Phyto-Mediated Zinc Oxide Nanoparticles from Raphanus sativus (L.): Metabolomic Insights, Gastroprotective Potential, and Docking-Supported Evidence
Abstract
1. Introduction
2. Materials and Methods
2.1. Plant Material Collection and Ethical Compliance
2.2. Preparation of the Plant Extract
2.3. Metabolic Profiling and Molecular Network
2.3.1. Sample Preparation
2.3.2. Instrumentation and Analytical Conditions
2.3.3. LC-MS Data Processing
2.4. Green Synthesis of Zinc Oxide Quantum Dots
2.5. Characterization of Zinc Oxide Nanoparticles
2.5.1. UV–Vis Spectral Analysis
2.5.2. FT-IR Analysis
2.5.3. Zeta-Sizer Measurements
2.5.4. Transmission Electron Microscopy (TEM) Analysis
2.5.5. X-Ray Diffraction (XRD)
2.6. Bioassay
2.6.1. Drugs and Chemicals
2.6.2. Experimental Animals
2.6.3. Acute Toxicity Test
2.6.4. Experimental Design
2.6.5. Gastritis Induction
2.6.6. Macroscopic Assessment of Gastric Mucosa and Injury Index
2.6.7. Tissue Collection and Sample Preparation
2.6.8. Assessment of Oxidative Stress and Inflammatory Biomarkers
2.6.9. Determination of Gene Expression by Real-Time Polymerase Chain Reaction (RT-PCR)
| Fo Rward Sequence | Reverse Sequence | Reference | |
|---|---|---|---|
| pERK1/2 | CTCAAGCCTTCCAACCTC | TTCCACGGCACCTTATTT | XM_032899833.1 |
| MMP10 | GAAGTCCAAGCAGGTTACCC | GTAACACAGCATCAACTTGT | NM_133514.2 |
2.6.10. Histopathological Evaluation
2.7. Statistical Analysis
2.8. Molecular Docking Study
3. Results
3.1. Metabolic Profiling and Molecular Network
3.1.1. Glucosinolates
3.1.2. Flavonoids
3.1.3. Anthocyanin
3.1.4. Phenolic and Organic Acids
3.1.5. Fatty Acids and Their Derivatives
3.1.6. Amino Acids and Their Derivatives
3.1.7. Saccharides
3.2. ZnO-NPs Characterization
3.2.1. UV–Vis Investigation of ZnO-NPs
3.2.2. FT-IR Characterization of Synthesized ZnO-NPs and Ethanolic Extract of R. sativus
3.2.3. Zeta Potential (ZP) Measurements
3.2.4. TEM Imaging of ZnO-NPs
3.2.5. X-Ray Diffraction (XRD)
3.3. Biology
3.3.1. LD50 Results
3.3.2. Macroscopic Observations and Evaluation of Ulcer Index, Severity, and Number
3.3.3. Evaluation of Oxidative Stress Biomarkers (GSSG, GPX, and CAT)
3.3.4. Assessment of Gastric Secretions and Inflammatory Biomarkers (Gastrin, Histamine, TNF-α, and NF-κB)
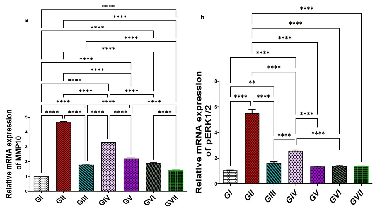
3.3.5. Assessment of MMP-10 and pERK1/2 by RT-PCR
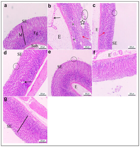
3.3.6. Microscopic Examination
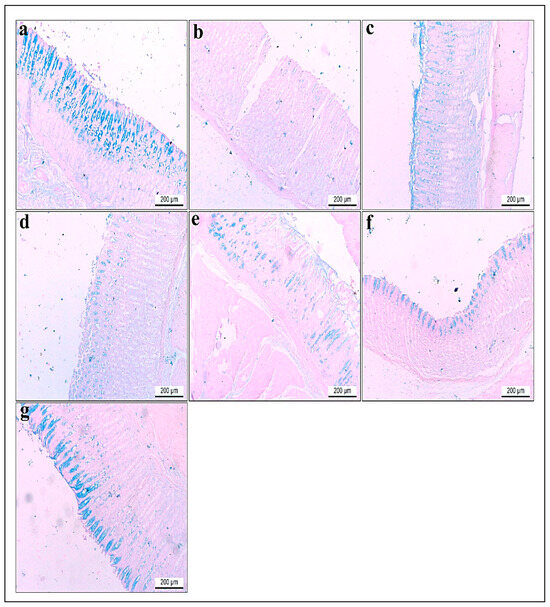
3.3.7. Histochemical Investigations of Alcian Blue pH (2.5)
3.3.8. Correlation Analysis of the Key Parameters
3.4. Docking Simulations
4. Discussion
5. Conclusions
Supplementary Materials
Author Contributions
Funding
Institutional Review Board Statement
Informed Consent Statement
Data Availability Statement
Acknowledgments
Conflicts of Interest
References
- Elseweidy, M. Brief review on the causes, diagnosis and therapeutic treatment of gastritis disease. Altern. Integr. Med. 2017, 6, 1–6. [Google Scholar] [CrossRef]
- Hassan, M.N.; Arif, A.; Shahzad, M.S.; Ibrahim, M.; Rahman, H.A.; Razaq, M.A.; Ahmed, R. Global prevalence of Helicobacter pylori and its effect on human health. Pure Appl. Biol. 2020, 9, 936–948. [Google Scholar] [CrossRef]
- Kim, J.H.; Kim, H.; Park, M.; Park, B.; Park, B.; Park, H.Y.; Lee, G.; Yu, J.S. Comparative Metabolic Profiling of Different Raphanus sativus Cultivars and Their Antioxidant and Anti-Inflammatory Activities. Appl. Sci. 2024, 15, 247. [Google Scholar] [CrossRef]
- Hemamalini, K.; Ramulu, Y.; Rambabu, B. Protective Effect of Raphanus sativus Using by Phytochemical and Antiulcer Activity by Aspirin Induced Gastric Ulcer. J. Pharm. Res. Int. 2025, 37, 83–89. [Google Scholar] [CrossRef]
- El-Raey, M.A.; Ahmed, G.F.; El Hawary, S.S.E. An updated overview on certain plants of family Brassicaceae: Traditional uses, Phytochemistry and Pharmacological activities. Egypt. J. Chem. 2025. [CrossRef]
- Alqasoumi, S.; Al-Yahya, M.; Al-Howiriny, T.; Rafatullah, S. Gastroprotective effect of radish “Raphanus sativus” L. on experimental gastric ulcer models in rats. Farm.-Bucur. 2008, 56, 204. [Google Scholar]
- Mejia-Mendez, J.L.; Reza-Zaldívar, E.E.; Sanchez-Martinez, A.; Ceballos-Sanchez, O.; Navarro-López, D.E.; Marcelo Lozano, L.; Armendariz-Borunda, J.; Tiwari, N.; Jacobo-Velázquez, D.A.; Sanchez-Ante, G. Exploring the cytotoxic and antioxidant properties of lanthanide-doped ZnO nanoparticles: A study with machine learning interpretation. J. Nanobiotechnology 2024, 22, 687. [Google Scholar] [CrossRef]
- Al-Tameemi, A.I.; Masarudin, M.J.; Rahim, R.A.; Mizzi, R.; Timms, V.J.; Isa, N.m.; Neilan, B.A. Eco-friendly zinc oxide nanoparticle biosynthesis powered by probiotic bacteria. Appl. Microbiol. Biotechnol. 2025, 109, 32. [Google Scholar] [CrossRef]
- Anjum, S.; Hashim, M.; Malik, S.A.; Khan, M.; Lorenzo, J.M.; Abbasi, B.H.; Hano, C. Recent advances in zinc oxide nanoparticles (ZnO NPs) for cancer diagnosis, target drug delivery, and treatment. Cancers 2021, 13, 4570. [Google Scholar] [CrossRef] [PubMed]
- Hussien, N.A.; Khalil, M.A.E.F.; Schagerl, M.; Ali, S.S. Green Synthesis of Zinc Oxide Nanoparticles as a Promising Nanomedicine Approach for Anticancer, Antibacterial, and Anti-Inflammatory Therapies. Int. J. Nanomed. 2025, 4299–4317. [Google Scholar] [CrossRef]
- Youssef, F.S.; Ismail, S.H.; Fouad, O.A.; Mohamed, G.G. Green synthesis and biomedical applications of zinc oxide nanoparticles. Egypt. J. Vet. Sci. 2024, 55, 287–311. [Google Scholar] [CrossRef]
- Mohammed, H.A.; Khan, R.A.; Abdel-Hafez, A.A.; Abdel-Aziz, M.; Ahmed, E.; Enany, S.; Mahgoub, S.; Al-Rugaie, O.; Alsharidah, M.; Aly, M.S. Phytochemical profiling, in vitro and in silico anti-microbial and anti-cancer activity evaluations and Staph GyraseB and h-TOP-IIβ receptor-docking studies of major constituents of Zygophyllum coccineum L. Aqueous-ethanolic extract and its subsequent fractions: An approach to validate traditional phytomedicinal knowledge. Molecules 2021, 26, 577. [Google Scholar]
- Essa, A.F.; El-Hawary, S.S.; Kubacy, T.M.; El-Din AM El-Khrisy, E.; El-Desoky, A.H.; Elshamy, A.I.; Younis, I.Y. Integration of LC/MS, NMR and Molecular Docking for Profiling of Bioactive Diterpenes from Euphorbia mauritanica L. with in Vitro Anti-SARS-CoV-2 Activity. Chem. Biodivers. 2023, 20, e202200918. [Google Scholar] [CrossRef]
- El-Fadaly, A.A.; Younis, I.Y.; Abdelhameed, M.F.; Ahmed, Y.H.; Ragab, T.I.; El Gendy, A.E.-N.G.; Farag, M.A.; Elshamy, A.I.; Elgamal, A.M. protective action mechanisms of Launaea mucronata extract and its nano-formulation against nephrotoxicity in rats as revealed via biochemical, histopathological, and UPLC-QTOF–MS/MS Analyses. Metabolites 2023, 13, 786. [Google Scholar] [CrossRef]
- Asaad, G.F.; Mostafa, R.E. Lactoferrin mitigates ethanol-induced gastric ulcer via modulation of ROS/ICAM-1/Nrf2 signaling pathway in Wistar rats. Iran. J. Basic Med. Sci. 2022, 25, 1522. [Google Scholar]
- Taher, R.F.; Abd El ghany, E.M.; El-Gendy, Z.A.; Elghonemy, M.M.; Hassan, H.A.; Abdel Jaleel, G.A.; Hassan, A.; Sarker, T.C.; Abd-ElGawad, A.M.; Farag, M.A. In vivo anti-ulceration effect of Pancratium maritimum extract against ethanol-induced rats via NLRP3 inflammasome and HMGB1/TLR4/MYD88/NF-κβ signaling pathways and its extract metabolite profile. PLoS ONE 2025, 20, e0321018. [Google Scholar] [CrossRef]
- Jincy, J.; Sunil, C. Exploring antiulcer and anti-inflammatory activities of methanolic leaves extract of an Indian mistletoe Helicantes elasticus (Desv.) Danser. South Afr. J. Bot. 2020, 133, 10–16. [Google Scholar] [CrossRef]
- Bancroft, J.; Gamble, M. Theories and Practice of Histological Techniques; Churchil Livingstone: New York, NY, USA; London, UK; Madrid, Spain, 2013; Volume 7, pp. 2768–2773. [Google Scholar]
- Boga, S.B.; Deng, Y.; Zhu, L.; Nan, Y.; Cooper, A.B.; Shipps, G.W., Jr.; Doll, R.; Shih, N.-Y.; Zhu, H.; Sun, R. MK-8353: Discovery of an orally bioavailable dual mechanism ERK inhibitor for oncology. ACS Med. Chem. Lett. 2018, 9, 761–767. [Google Scholar] [CrossRef]
- Bertini, I.; Calderone, V.; Fragai, M.; Luchinat, C.; Mangani, S.; Terni, B. Crystal structure of the catalytic domain of human matrix metalloproteinase 10. J. Mol. Biol. 2004, 336, 707–716. [Google Scholar] [CrossRef]
- Essoh, A.P.; Monteiro, F.; Pena, A.R.; Pais, M.S.; Moura, M.; Romeiras, M.M. Exploring glucosinolates diversity in Brassicaceae: A genomic and chemical assessment for deciphering abiotic stress tolerance. Plant Physiol. Biochem. 2020, 150, 151–161. [Google Scholar] [CrossRef] [PubMed]
- Yan, C.; Huang, Y.; Zhang, S.; Cui, L.; Jiao, Z.; Peng, Z.; Luo, X.; Liu, Y.; Qiu, Z. Dynamic profiling of intact glucosinolates in radish by combining UHPLC-HRMS/MS and UHPLC-QqQ-MS/MS. Front. Plant Sci. 2023, 14, 1216682. [Google Scholar] [CrossRef] [PubMed]
- Pocasap, P.; Weerapreeyakul, N.; Barusrux, S. Cancer preventive effect of Thai rat-tailed radish (Raphanus sativus L. var. caudatus Alef). J. Funct. Foods 2013, 5, 1372–1381. [Google Scholar] [CrossRef]
- Kim, S.-J.; Uddin, M.R.; Park, S.U. Glucosinolate accumulation in three important radish (‘Raphanus sativus’) cultivars. Aust. J. Crop Sci. 2013, 7, 1843–1847. [Google Scholar]
- Yu, X.; He, H.; Zhao, X.; Liu, G.; Hu, L.; Cheng, B.; Wang, Y. Determination of 18 intact glucosinolates in Brassicaceae vegetables by UHPLC-MS/MS: Comparing tissue disruption methods for sample preparation. Molecules 2021, 27, 231. [Google Scholar] [CrossRef]
- Farid, M.M.; Ibrahim, F.M.; Ragheb, A.Y.; Mohammed, R.S.; Hegazi, N.M.; Shabrawy, M.O.E.; Kawashty, S.A.; Marzouk, M.M. Comprehensive phytochemical characterization of Raphanus raphanistrum L.: In vitro antioxidant and antihyperglycemic evaluation. Sci. Afr. 2022, 16, e01154. [Google Scholar] [CrossRef]
- Fabre, N.; Poinsot, V.; Debrauwer, L.; Vigor, C.; Tulliez, J.; Fourasté, I.; Moulis, C. Characterisation of glucosinolates using electrospray ion trap and electrospray quadrupole time-of-flight mass spectrometry. Phytochem. Anal. Int. J. Plant Chem. Biochem. Tech. 2007, 18, 306–319. [Google Scholar] [CrossRef]
- Shin, T.; Ahn, M.; Kim, G.O.; Park, S.U. Biological activity of various radish species. Orient. Pharm. Exp. Med. 2015, 15, 105–111. [Google Scholar] [CrossRef]
- Beevi, S.S.; Narasu, M.L.; Gowda, B.B. Polyphenolics profile, antioxidant and radical scavenging activity of leaves and stem of Raphanus sativus L. Plant Foods Hum. Nutr. 2010, 65, 8–17. [Google Scholar] [CrossRef]
- Koley, T.K.; Khan, Z.; Oulkar, D.; Singh, B.; Maurya, A.; Singh, B.; Banerjee, K. High resolution LC-MS characterization of phenolic compounds and the evaluation of antioxidant properties of a tropical purple radish genotype. Arab. J. Chem. 2020, 13, 1355–1366. [Google Scholar] [CrossRef]
- Pająk, P.; Socha, R.; Gałkowska, D.; Rożnowski, J.; Fortuna, T. Phenolic profile and antioxidant activity in selected seeds and sprouts. Food Chem. 2014, 143, 300–306. [Google Scholar] [CrossRef]
- Sun, J.; Lin, L.z.; Chen, P. Study of the mass spectrometric behaviors of anthocyanins in negative ionization mode and its applications for characterization of anthocyanins and non-anthocyanin polyphenols. Rapid Commun. Mass Spectrom. 2012, 26, 1123–1133. [Google Scholar] [CrossRef]
- Jing, P.; Song, L.-H.; Shen, S.-Q.; Zhao, S.-J.; Pang, J.; Qian, B.-J. Characterization of phytochemicals and antioxidant activities of red radish brines during lactic acid fermentation. Molecules 2014, 19, 9675–9688. [Google Scholar] [CrossRef]
- Stöhr, H.; Herrmann, K. On the phenolic acids of vegetables. III. Hydroxycinnamic acids and hydroxybenzoic acids of root vegetables (author’s transl). Z. Fur Lebensm.-Unters. Und-Forsch. 1975, 159, 218–224. [Google Scholar]
- Brandi, W.; Herrmann, K.; Grotjahn, L. Hydroxycinnamoyl esters of malic acid in small radish (Raphanus sativus L. var. sativus). Z. Für Naturforschung C 1984, 39, 515–520. [Google Scholar] [CrossRef]
- Cai, X.; Zhu, K.; Li, W.; Peng, Y.; Yi, Y.; Qiao, M.; Fu, Y. Characterization of flavor and taste profile of different radish (Raphanus sativus L.) varieties by headspace-gas chromatography-ion mobility spectrometry (GC/IMS) and E-nose/tongue. Food Chem. X 2024, 22, 101419. [Google Scholar] [CrossRef] [PubMed]
- Kajszczak, D.; Sosnowska, D.; Bonikowski, R.; Szymczak, K.; Frąszczak, B.; Pielech-Przybylska, K.; Podsędek, A. Comparative Nutrient Study of Raphanus sativus L. Sprouts Microgreens, and Roots. Agronomy 2025, 15, 1216. [Google Scholar] [CrossRef]
- Terp, N.; Göbel, C.; Brandt, A.; Feussner, I. Lipoxygenases during Brassica napus seed germination. Phytochemistry 2006, 67, 2030–2040. [Google Scholar] [CrossRef]
- Vick, B.A.; Zimmermann, D.C. Distribution of a fatty acid cyclase enzyme system in plants. Plant Physiol. 1979, 64, 203–205. [Google Scholar] [CrossRef] [PubMed]
- Ahn, M.; Koh, R.; Kim, G.O.; Shin, T. Aqueous extract of purple Bordeaux radish, Raphanus sativus L. ameliorates ethanol-induced gastric injury in rats. Orient. Pharm. Exp. Med. 2013, 13, 247–252. [Google Scholar] [CrossRef]
- Choi, K.-C.; Cho, S.-W.; Kook, S.-H.; Chun, S.-R.; Bhattarai, G.; Poudel, S.B.; Kim, M.-K.; Lee, K.-Y.; Lee, J.-C. Intestinal anti-inflammatory activity of the seeds of Raphanus sativus L. in experimental ulcerative colitis models. J. Ethnopharmacol. 2016, 179, 55–65. [Google Scholar] [CrossRef]
- Yanaka, A.; Fahey, J.W.; Fukumoto, A.; Nakayama, M.; Inoue, S.; Zhang, S.; Tauchi, M.; Suzuki, H.; Hyodo, I.; Yamamoto, M. Dietary sulforaphane-rich broccoli sprouts reduce colonization and attenuate gastritis in Helicobacter pylori–infected mice and humans. Cancer Prev. Res. 2009, 2, 353–360. [Google Scholar] [CrossRef]
- Properzi, S.; Stracci, F.; Rosi, M.; Lupi, C.; Villarini, A.; Gili, A. Can a diet rich in Brassicaceae help control Helicobacter pylori infection? A systematic review. Front. Med. 2024, 11, 1454902. [Google Scholar] [CrossRef] [PubMed]
- Beil, W.; Birkholz, C.; Sewing, K.-F. Effects of flavonoids on parietal cell acid secretion, gastric mucosal prostaglandin production and Helicobacter pylori growth. Arzneim.-Forsch. 1995, 45, 697–700. [Google Scholar]
- Kumar, S.; Pandey, A.K. Chemistry and biological activities of flavonoids: An overview. Sci. World J. 2013, 2013, 162750. [Google Scholar] [CrossRef]
- Alsayed, D.K.; Elhawary, S.S.; El Raey, M.A.; Ahmed, G.F.; Marrez, D.A.; Essa, A.F.; Alshehri, S.A.; Rabeh, M.A.; Elmotayam, A.K. Eco-friendly fabrication of ZnO quantum dots using Brassica rapa (L.): Metabolomic profiling and antimicrobial efficacy against foodborne pathogens supported by in-silico insights. Sci. Rep. 2025, 15, 28738. [Google Scholar] [CrossRef]
- Talam, S.; Karumuri, S.R.; Gunnam, N. Synthesis, characterization, and spectroscopic properties of ZnO nanoparticles. Int. Sch. Res. Not. 2012, 2012, 372505. [Google Scholar] [CrossRef]
- Wafaey, A.A.; El-Hawary, S.S.; Abdelhameed, M.F.; El Raey, M.A.; Abdelrahman, S.S.; Ali, A.M.; Kirollos, F.N. Green synthesis of zinc oxide nanoparticles using ethanolic extract of Gliricidia sepium (Jacq.) Kunth. ex. Walp., stem: Characterizations and their gastroprotective effect on ethanol-induced gastritis in rats. Bioorganic Chem. 2024, 145, 107225. [Google Scholar] [CrossRef] [PubMed]
- Tiwari, A.K.; Jha, S.; Tripathi, S.K.; Shukla, R.; Awasthi, R.R.; Bhardwaj, A.K.; Singh, A.K.; Dikshit, A. Spectroscopic investigations of green synthesized zinc oxide nanoparticles (ZnO NPs): Antioxidant and antibacterial activity. Discov. Appl. Sci. 2024, 6, 399. [Google Scholar] [CrossRef]
- Moura, F.A.; de Andrade, K.Q.; Dos Santos, J.C.F.; Araújo, O.R.P.; Goulart, M.O.F. Antioxidant therapy for treatment of inflammatory bowel disease: Does it work? Redox Biol. 2015, 6, 617–639. [Google Scholar] [CrossRef] [PubMed]
- Barocelli, E.; Ballabeni, V. Histamine in the control of gastric acid secretion: A topic review. Pharmacol. Res. 2003, 47, 299–304. [Google Scholar] [CrossRef] [PubMed]
- Chen, X.; Andresen, B.T.; Hill, M.; Zhang, J.; Booth, F.; Zhang, C. Role of reactive oxygen species in tumor necrosis factor-alpha induced endothelial dysfunction. Curr. Hypertens. Rev. 2008, 4, 245–255. [Google Scholar] [CrossRef] [PubMed]
- Isomoto, H.; Mizuta, Y.; Miyazaki, M.; Takeshima, F.; Omagari, K.; Murase, K.; Nishiyama, T.; Inoue, K.-i.; Murata, I.; Kohno, S. Implication of Nf-κB in Helicobacter Pylori-Associated Gastritis. Off. J. Am. Coll. Gastroenterol. ACG 2000, 95, 2768–2776. [Google Scholar]
- Zavitri, N.G.; Syahbaniati, A.P.; Putri, R.M.; Dwivany, F.M.; Wibowo, I.; Pramudita, D.; Indarto, A. Green synthesis and anti-inflammatory properties of zinc oxide nanoparticles from Fe’i and Cavendish Banana Extracts. Mater. Adv. 2025. [Google Scholar] [CrossRef]
- Donmez, S. Phyto-Mediated Synthesis of Zinc Oxide Nanoparticles Using Black Chokeberry Fruit (Aronia melanocarpa L.) Extracts for Promising Antioxidant, Antibacterial, Antidiabetic, and Photocatalytic Activities. J. Clust. Sci. 2025, 36, 119. [Google Scholar] [CrossRef]
















| No. | RT (min) | Molecular ion (m/z)− | Metabolite Name | Formula | Fragmentation | Error PPM |
|---|---|---|---|---|---|---|
| Glu cosinolates | ||||||
| 1. | 1.13 | 434.0259 | Glucoraphenin | C12H21NO10S3 | 96.9598 | 3.5 |
| 2. | 1.15 | 434.0623 | Glucoberteroin | C13H25NO9S3 | 96.9598 | 3.5 |
| 3. | 1.16 | 436.0399 | Glucoraphanin | C12H23NO10S3 | 372.0447, 259.0151, 96.9602, 74.9907 | 0.3 |
| 4. | 1.45 | 463.0486 | 4-Hydroxyglucobrassicin | C16H20N2O10S2 | 96.9598 | 2.2 |
| 5. | 1.8 | 372.0443 | Gluconapin | C11H19NO9S2 | 259.0146, 195.0321, 96.960 | 6.9 |
| 6. | 1.85 | 406.0297 | Glucoiberverin | C11H21NO9S3 | 258.9979, 96.9612, 74.9916 | 0.6 |
| 7. | 2.11 | 386.0572 | Glucobrassicanapin | C12H21NO9S2 | 258.9398, 112.9844, 96.9607 | 0.5 |
| 8. | 2.00 | 408.0425 | Glucotropeolin | C14H19NO9S2 | 232.0593, 164.0716 | 1.8 |
| 9. | 2.23 | 420.0446 | Glucoerucin | C12H23NO9S3 | 259.0095, 96.9607, 74.9907 | 1.2 |
| 10. | 2.80 | 447.0518 | Glucobrassicin | C16H20N2O9S2 | 294.8948, 96.9575 | 1.7 |
| 11. | 3.78 | 422.0568 | Gluconasturtiin | C15H21NO9S2 | 96.9616 | 1.4 |
| 12. | 4.16 | 477.0638 | Neoglucobrassicin | C17H22N2O10S2 | 96.9607, 74.9913 | 1.2 |
| 13. | 5.66 | 174.0045 | Sulforaphene | C6H9NOS2 | 158.9815, 130.9672, 57.9743 | 1.8 |
| 14. | 6.18 | 388.0333 | Progitrin | C11H19NO10S2 | 258.9395, 195.0306, 96.9596 | 8.7 |
| 15. | 6.21 | 416.1046 | Heptyl glucosinolate | C14H27NO9S2 | 96.9601 | 0.6 |
| 16. | 8.66 | 402.0888 | Hexyl glucosinolate | C13H25NO9S2 | 96.9693, 274.8984 | 0.2 |
| Flavonoids | ||||||
| 17. | 1.70 | 289.0690 | Catechin | C15H14O6 | 243.0623 | 5.8 |
| 18. | 1.78 | 283.0624 | Methylgalangin | C16H12O5 | 240.0451, 146.9627 | 8.1 |
| 19. | 2.54 | 317.0308 | Myricetin | C15H10O8 | 248.9649, 180.9708, 112.9858 | 5.1 |
| 20. | 2.89 | 271.0627 | Naringenin | C15H12O5 | 203.0830, 116.0524 | 9.6 |
| 21. | 3.73 | 771.1962 | Kaempferol 3-O-sophoroside-7-glucoside | C33H40O21 | 609.1463, 285.0451 | 2.1 |
| 22. | 4.15 | 933.2294 | Quercetin 3-p-coumarylsophoroside-7-glucoside | C42H46O24 | 771.1764 | 0.1 |
| 23. | 4.63 | 977.2547 | Kaempferol 3-(2″′-sinapoylsophoroside) 7-glucoside | C44H50O25 | 815.2082 | 1.1 |
| 24. | 4.79 | 947.2460 | Kaempferol 3-O-feruloyl-sophoroside 7-O-glucoside | C43H48O24 | 785.1880 | 0.9 |
| 25. | 4.84 | 639.1525 | Dactylin | C28H32O17 | 477.1005, 315.0506 | 4.8 |
| 26. | 5.40 | 609.1432 | Rutin | C27H30O16 | 404.8315, 301.0359 | 2.8 |
| 27. | 5.55 | 431.0984 | Kaempferol-3-O-rhamnoside | C21H20O10 | 385.1902, 285.0259, 278.9101 | 2.6 |
| 28. | 5.65 | 755.2040 | Kaempferol 3-O-glucosyl-rhamnosyl-glucoside | C33H40O20 | 593.1487, 447.0902, 285.0391 | 1.4 |
| 29. | 6.07 | 593.1505 | Nicotiflorin | C27H30O15 | 447.0943, 431.0976, 285.0392 | 0.7 |
| 30. | 6.13 | 623.1607 | Narcissin | C28H32O16 | 315.0504, 299.0191 | 0.1 |
| 31. | 6.25 | 739.2100 | Kaempferol 3-O-xylosyl-rutinoside | C33H40O19 | 593.1396, 431.0936, 285.0400 | 2.7 |
| 32. | 6.28 | 463.0867 | Isoquercitrin | C21H20O12 | 218.9489, 286.9362, 300.0263 | 0.9 |
| 33. | 6.64 | 577.1540 | Kaempferitrin | C27H30O14 | 285.0409, 431.0968 | 2 |
| 34. | 6.73 | 315.0505 | Isorhamnetin | C16H12O7 | 152.0071, 188.9387, 246.8939 | 1.7 |
| 35. | 6.83 | 447.0954 | Astragalin | C21H20O11 | 112.9871, 284.0353, 285.0452 | 7.2 |
| 36. | 7.04 | 477.1031 | Isorhamnetin-3-O-glucoside | C22H22O12 | 314.0437, 243.0307 | 0.7 |
| 37. | 9.23 | 301.0349 | Quercetin | C15H10O7 | 121.0315, 151.0050, 255.2376 | 2.1 |
| 38. | 10.48 | 285.0392 | Kaempferol | C15H10O6 | 92.9308, 150.9950, 285.0392 | 0.6 |
| Anthocyanin | ||||||
| 39. | 1.88 | 773.2105 | Pelargonidin 3-sophoroside-5-glucoside | C33H41O20+ | 611.1784, 517.1150, 269.0663 | 3.9 |
| 40. | 3.12 | 449.1079 | Cyanidin-3-o-rhamnoside | C21H21O10+ | 302.9065, 287.0544, 259.0607 | 0.1 |
| 41. | 5.82 | 919.2529 | Pelargonidin 3-(6″-(E-p-coumaroyl) sophoroside-5-glucoside | C42H47O22+ | 757.2007, 431.1008, 269.0447 | 2.9 |
| 42. | 6.10 | 949.2603 | Pelargonidin 3-(6″-(E-feruloyl) sophoroside-5-glucoside | C43H49O23+ | 787.2048, 431.0914, 269.0436 | 0.6 |
| 43. | 7.05 | 287.0551 | Pelargonidin | C15H11O5+ | 218.9499, 112.9894 | 0.3 |
| Phenolic and Organic acids | ||||||
| 44. | 0.97 | 115.0029 | Maleic acid | C4H4O4 | 71.0139 | 2.7 |
| 45. | 0.98 | 133.0139 | Malic acid | C4H6O5 | 115.0027, 71.0136 | 5.6 |
| 46. | 1.02 | 191.093 | Citric acid | C6H8O7 | 111.0089, 87.0089, 57.0347 | 3.6 |
| 47. | 1.04 | 175.0241 | Ascorbic acid | C6H8O6 | 130.9661, 87.0090, 59.0125 | 2.2 |
| 48. | 1.04 | 117.0184 | Succinic acid | C4H6O4 | 73.0297 | 1.4 |
| 49. | 1.06 | 103.0030 | Malonic acid | C3H4O4 | 59.0142 | 4 |
| 50. | 1.17 | 89.02350 | Lactic acid | C3H6O3 | 87.0073, 71.0153 | 2 |
| 51. | 1.18 | 193.0344 | Glucuronic Acid | C6H10O7 | 113.0161, 103.0035, 89.0239 | 0.6 |
| 52. | 1.18 | 128.0342 | Pyroglutamic Acid | C5H7NO3 | 128.0360, 82.0295 | 0.2 |
| 53. | 1.74 | 163.0388 | P-Coumaric acid | C9H8O3 | 119.0494 | 1 |
| 54. | 1.95 | 223.0607 | Sinapic acid | C11H12O5 | 208.0363, 164.043, 149.0210 | 2.7 |
| 55. | 2 | 197.0431 | Syringic acid | C9H10O5 | 129.0557, 112.988 | 6.9 |
| 56. | 2.76 | 137.0231 | Salicylic acid | C7H6O3 | 93.0351 | 1.6 |
| 57. | 2.85 | 339.0728 | Sinapoyl malate | C15H16O9 | 293.0519, 225.0646, 203.0819 | 5.1 |
| 58. | 4.82 | 147.0441 | Cinnamic acid | C9H8O2 | 103.0542, | 0.3 |
| 59. | 5.21 | 169.0146 | Gallic acid | C7H6O5 | 169.0146, 65.9993 | 8.6 |
| 60. | 7.43 | 309.0591 | Feruloylmalic acid | C14H14O8 | 104.9520, 193.0182, 294.0264 | 4.5 |
| Fatty acids and their derivatives | ||||||
| 61. | 13.44 | 295.2272 | Dimorphecolic acid | C18H32O3 | 102.9572, 158.9776, 210.9284 | 1.5 |
| 62. | 14.86 | 271.2281 | Juniperic acid | C16H32O3 | 94.9284, 102.9557, 271.2281 | 4.9 |
| 63. | 18.17 | 277.2160 | Linolenic acid | C18H30O2 | 277.2160 | 0.7 |
| 64. | 19.44 | 227.2004 | Myristic acid | C14H28O2 | 227.2021 | 0.7 |
| 65. | 21.57 | 279.2324 | Linoleic acid | C18H32O2 | 279.2324 | 1.9 |
| 66. | 23.47 | 255.2322 | Palmitic acid | C16H32O2 | 255.2322 | 1.3 |
| 67. | 23.64 | 281.2474 | Oleic acid | C18H34O2 | 281.2474 | 0.4 |
| Amino acids and their derivatives | ||||||
| 68. | 1.04 | 308.0972 | N-Fructosyl glutamic acid | C11H19NO9 | 146.0448 | 1.3 |
| 69. | 1.06 | 146.0447 | Glutamic acid | C5H9NO4 | 128.0349, 102.0557 | 0.6 |
| 70. | 1.16 | 264.1077 | N-Fructosyl methyl alanine | C10H18NO7 | 174.0773, 102.0564 | 0.3 |
| 71. | 1.18 | 290.0873 | N-Fructosyl pyroglutamate | C11H17NO8 | 200.0561, 128.0349 | 0.9 |
| 72. | 1.19 | 307.1142 | N-Fructosyl glutamine | C11H20N2O8 | 145.0620, 127.0520 | 2 |
| 73. | 1.23 | 154.0609 | Histidine | C6H9N3O2 | 137.0413, 93.0449 | 1.3 |
| 74. | 1.23 | 294.1181 | N-Fructosyl hydroxy-norvaline | C11H21NO8 | 132.0306 | 0.8 |
| 75. | 1.24 | 88.0393 | Alanine | C3H7NO2 | 88.0393 | 0.1 |
| 76. | 1.25 | 118.0502 | Threonine | C4H9NO3 | 74.0257 | 2.8 |
| 77. | 1.30 | 116.0710 | Valine | C5H11NO2 | 116.0710 | 3.4 |
| 78. | 1.30 | 292.1394 | N-Fructosyl isoleucine | C12H23NO7 | 130.0873 | 1.1 |
| 79. | 1.31 | 278.1237 | N-Fructosyl Valine | C11H21NO7 | 116.0724 | 1 |
| 80. | 1.39 | 104.0341 | Serine | C3H7NO3 | 74.0243 | 1.1 |
| 81. | 1.54 | 173.1035 | Arginine | C6H14N4O2 | 131.0821 | 1.1 |
| 82. | 1.68 | 180.0655 | Tyrosine | C9H11NO3 | 180.0655, 119.0501, 59.0140 | 0.1 |
| 83. | 1.74 | 262.1289 | N-pentosyl isoleucine | C11H21NO6 | 130.0851 | 1.5 |
| 84. | 1.8 | 130.0863 | Leucine | C6H13NO2 | 130.0863, 57.9790 | 0.3 |
| 85. | 1.98 | 164.0707 | Phenylalanine | C9H11NO2 | 147.0459, 103.0541, 72.0087 | 0.6 |
| 86. | 2.25 | 145.0976 | Lysine | C6H14N2O2 | 128.0310, 100.9645, 60.9953 | 3.1 |
| 87. | 2.57 | 203.0818 | L-tryptophan | C11H12N2O2 | 159.0880, 142.0638, 116.0502 | 1.5 |
| 88. | 2.64 | 365.1339 | N-Fructosyl tryptophan | C17H22N2O7 | 203.0825, 116.0514 | 1.2 |
| Saccharides | ||||||
| 89. | 1.16 | 503.1608 | Raffinose | C18H32O16 | 503.1608 | 0.3 |
| 90. | 1.20 | 179.0552 | Fructose | C6H12O6 | 89.0245, 71.0140, 59.0138 | 1 |
| 91. | 1.35 | 341.1077 | Sucrose | C12H22O11 | 179.0560, 119.0341, 89.0242 | 0.4 |
| 92. | 1.39 | 181.0705 | Mannitol | C6H14O6 | 112.9852, 71.0134, 59.0138 | 0.9 |
| Ex perimental Groups | Alcian Blue pH (2.5) Optical Density |
|---|---|
| Group I | 10.7 ± 2 a |
| Group II | 0.2 ± 0.1 d |
| Group III | 8.5 ± 1.4 a |
| Group IV | 3.9 ± 0.1 c |
| Group V | 5.8 ± 0.3 b,c |
| Group VI | 6.5 ± 0.6 b,c |
| Group VII | 9.4 ± 1.2 a |
| No. | Compound | ΔG a (kcal/mol) | |
|---|---|---|---|
| MMP-10 | ERK | ||
| 1 | Glucoraphenin | −4.38 | −7.83 |
| 2 | Glucoberteroin | −10.38 | −7.41 |
| 3 | Glucoraphanin | −10.08 | −7.51 |
| 4 | 4-Hydroxyglucobrassicin | −10.43 | −7.74 |
| 5 | Gluconapin | −8.40 | −6.51 |
| 6 | Glucoiberverin | −10.13 | −7.33 |
| 7 | Glucobrassicanapin | −10.74 | −6.58 |
| 8 | Glucotropeolin | −10.23 | −6.69 |
| 9 | Glucoerucin | −11.27 | −8.10 |
| 10 | Glucobrassicin | −10.29 | −7.77 |
| 11 | Gluconasturtiin | −9.15 | −7.30 |
| 12 | Neoglucobrassicin | −10.25 | −8.14 |
| 13 | Sulforaphene | −6.86 | −5.33 |
| 14 | Progitrin | −10.67 | −7.00 |
| 15 | Heptyl glucosinolate | −10.64 | −8.30 |
| 16 | Hexyl glucosinolate | −9.10 | −7.34 |
| 17 | Catechin | −4.13 | −6.36 |
| 18 | Methylgalangin | −5.12 | −6.74 |
| 19 | Myricetin | −5.31 | −6.26 |
| 20 | Naringenin | −4.50 | −6.48 |
| 21 | Kaempferol 3-O-sophoroside-7-glucoside | −6.99 | −9.62 |
| 22 | Quercetin 3-p-coumarylsophoroside-7-glucoside | −8.62 | −9.89 |
| 23 | Kaempferol 3-(2‴-sinapoylsophoroside) 7-glucoside | −7.92 | −9.51 |
| 24 | Kaempferol 3-O-feruloyl-sophoroside 7-O-glucoside | −7.66 | −10.58 |
| 25 | Dactylin | −6.88 | −9.32 |
| 26 | Rutin | −6.76 | −9.45 |
| 27 | Kaempferol-3-O-rhamnoside | −6.10 | −8.60 |
| 28 | Kaempferol 3-O-glucosyl-rhamnosyl-glucoside | −6.12 | −7.00 |
| 29 | Nicotiflorin | −6.45 | −10.04 |
| 30 | Narcissin | −7.00 | −8.89 |
| 31 | Kaempferol 3-O-xylosyl-rutinoside | −6.24 | −10.26 |
| 32 | Quercetin-3-O-glucoside | −4.99 | −9.90 |
| 33 | Kaempferitrin | −7.35 | −7.50 |
| 34 | Isorhamnetin | −5.28 | −6.29 |
| 35 | Astragalin | −5.34 | −7.24 |
| 36 | Isorhamnetin-3-O-glucoside | −4.77 | −7.85 |
| 37 | Quercetin | −5.22 | −6.33 |
| 38 | Kaempferol | −5.14 | −6.30 |
| 39 | Pelargonidin 3-sophoroside-5-glucoside | −6.72 | −8.47 |
| 40 | Cyanidin-3-O-rhamnoside | −5.55 | −7.55 |
| 41 | Pelargonidin 3-(6″-(E-p-coumaroyl) sophoroside-5-glucoside | −6.69 | −10.70 |
| 42 | Pelargonidin 3-(6″-(E-feruloyl) sophoroside-5-glucoside | −6.66 | −10.90 |
| 43 | Pelargonidin | −4.89 | −6.29 |
| 44 | Reference compound | −7.25 | −12.00 |
Disclaimer/Publisher’s Note: The statements, opinions and data contained in all publications are solely those of the individual author(s) and contributor(s) and not of MDPI and/or the editor(s). MDPI and/or the editor(s) disclaim responsibility for any injury to people or property resulting from any ideas, methods, instructions or products referred to in the content. |
© 2025 by the authors. Licensee MDPI, Basel, Switzerland. This article is an open access article distributed under the terms and conditions of the Creative Commons Attribution (CC BY) license (https://creativecommons.org/licenses/by/4.0/).
Share and Cite
Alsayed, D.K.; El-Hawary, S.S.; El Raey, M.A.; Fouad, G.; Abdelhameed, M.F.; Essa, A.F.; Ahmed, Y.H.; Alshehri, S.A.; Rabeh, M.A.; Elmotayam, A.K. Phyto-Mediated Zinc Oxide Nanoparticles from Raphanus sativus (L.): Metabolomic Insights, Gastroprotective Potential, and Docking-Supported Evidence. Life 2025, 15, 1710. https://doi.org/10.3390/life15111710
Alsayed DK, El-Hawary SS, El Raey MA, Fouad G, Abdelhameed MF, Essa AF, Ahmed YH, Alshehri SA, Rabeh MA, Elmotayam AK. Phyto-Mediated Zinc Oxide Nanoparticles from Raphanus sativus (L.): Metabolomic Insights, Gastroprotective Potential, and Docking-Supported Evidence. Life. 2025; 15(11):1710. https://doi.org/10.3390/life15111710
Chicago/Turabian StyleAlsayed, Doaa K., Seham S. El-Hawary, Mohamed A. El Raey, Gihan Fouad, Mohamed F. Abdelhameed, Ahmed F. Essa, Yasmine H. Ahmed, Saad A. Alshehri, Mohamed A. Rabeh, and Amira K. Elmotayam. 2025. "Phyto-Mediated Zinc Oxide Nanoparticles from Raphanus sativus (L.): Metabolomic Insights, Gastroprotective Potential, and Docking-Supported Evidence" Life 15, no. 11: 1710. https://doi.org/10.3390/life15111710
APA StyleAlsayed, D. K., El-Hawary, S. S., El Raey, M. A., Fouad, G., Abdelhameed, M. F., Essa, A. F., Ahmed, Y. H., Alshehri, S. A., Rabeh, M. A., & Elmotayam, A. K. (2025). Phyto-Mediated Zinc Oxide Nanoparticles from Raphanus sativus (L.): Metabolomic Insights, Gastroprotective Potential, and Docking-Supported Evidence. Life, 15(11), 1710. https://doi.org/10.3390/life15111710

