Unique Subclavian Vascular Ring Anomaly: Insights from CT Angiography
Abstract
1. Introduction
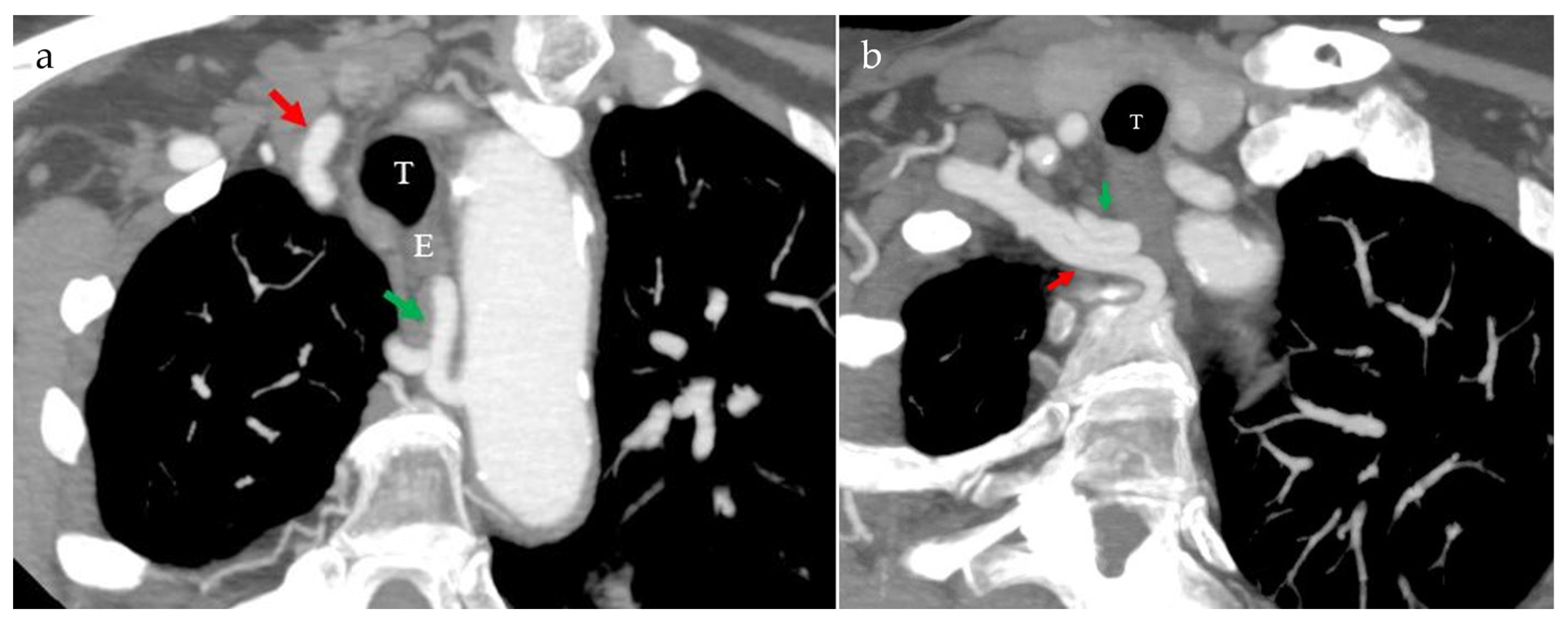
2. Case Presentation
3. Discussion
4. Conclusions
Supplementary Materials
Author Contributions
Funding
Institutional Review Board Statement
Informed Consent Statement
Data Availability Statement
Conflicts of Interest
References
- Stojanovska, J.; Cascade, P.N.; Chong, S.; Quint, L.E.; Sundaram, B. Embryology and imaging review of aortic arch anomalies. J. Thorac. Imaging 2012, 27, 73–84. [Google Scholar] [CrossRef]
- Shuford, W.H.; Sybers, R.G.; Edwards, F.K. The three types of right aortic arch. Am. J. Roentgenol. Radium Ther. Nucl. Med. 1970, 109, 67–74. [Google Scholar] [CrossRef]
- Murray, A.; Meguid, E.A. Anatomical variation in the branching pattern of the aortic arch: A literature review. Ir. J. Med. Sci. 2023, 192, 1807–1817. [Google Scholar] [CrossRef]
- Graham, A.; Hikspoors, J.; Anderson, R.H.; Lamers, W.H.; Bamforth, S.D. A revised terminology for the pharyngeal arches and the arch arteries. J. Anat. 2023, 243, 564–569. [Google Scholar] [CrossRef]
- Kaoukis, R.; Dieter, R.S.; Okundaye, I.; Dauzvardis, M.; Frysztak, R.J.; Ibrahim, W.; Pyle, M.J. Embryology and Anatomy of the Aorta. In Diseases of the Aorta; Dieter, R.S., Dieter Jr, R.A., Dieter Iii, R.A., Eds.; Springer International Publishing: Cham, Switzerland, 2019; pp. 9–19. [Google Scholar] [CrossRef]
- Sato, Y. Dorsal aorta formation: Separate origins, lateral-to-medial migration, and remodeling. Dev. Growth Differ. 2013, 55, 113–129. [Google Scholar] [CrossRef]
- Khalid, N.; Bordoni, B. Embryology, Great Vessel. In StatPearls; StatPearls Publishing: Treasure Island, FL, USA, 2024. [Google Scholar]
- Panakkal, B.J.; Rajesh, G.N.; Parakkal, H.B.; Subramaniam, G.; Vellani, H.; Sajeev, C.G. Bilateral variant origin of subclavian artery branches. BJR Case Rep. 2016, 2, 20150429. [Google Scholar] [CrossRef]
- Backer, C.L.; Mavroudis, C. Congenital Heart Surgery Nomenclature and Database Project: Vascular rings, tracheal stenosis, pectus excavatum. Ann. Thorac. Surg. 2000, 69, S308–S318. [Google Scholar] [CrossRef]
- Ruiz-Solano, E.; Mitchell, M. Rings and Slings: Not Such Simple Things. Curr. Cardiol. Rep. 2022, 24, 1495–1503. [Google Scholar] [CrossRef]
- Sadler, T.W. Langman’s Medical Embryology, 13e; Lippincott Williams & Wilkins: Philadelphia, PA, USA, 2018. [Google Scholar]
- Carlson, B.M. Human Embryology and Developmental Biology-Inkling Enhanced E-Book; Elsevier Health Sciences: Amsterdam, The Netherlands, 2018. [Google Scholar]
- Sahni, D.; Franklin, W.H. Vascular Ring Double Aortic Arch. In StatPearls; StatPearls Publishing: Treasure Island, FL, USA, 2024. [Google Scholar]
- Worhunsky, D.J.; Levy, B.E.; Stephens, E.H.; Backer, C.L. Vascular rings. Semin. Pediatr. Surg. 2021, 30, 151128. [Google Scholar] [CrossRef]
- Hanneman, K.; Newman, B.; Chan, F. Congenital Variants and Anomalies of the Aortic Arch. Radiographics 2017, 37, 32–51. [Google Scholar] [CrossRef]
- Anzai, T. A new proposal for the classification of the right aortic arch. J. Jpn. Pract. Surg. Soc. 1987, 48, 300–304. [Google Scholar] [CrossRef]
- Edwards, J.E. Vascular rings related to anomalies of the aortic arches. Mod. Concepts Cardiovasc. Dis. 1948, 17, 1. [Google Scholar]
- Ellis, F.H., Jr.; Clagett, O.T.; Kirklin, J.W. Vascular rings produced by anomalies of the aortic-arch system. Surg. Clin. N. Am. 1955, 35, 979–987. [Google Scholar] [CrossRef]
- Garti, I.J.; Aygen, M.M.; Vidne, B.; Levy, M.J. Right aortic arch with mirror-image branching causing vascular ring. A new classification of the right aortic arch patterns. Br. J. Radiol. 1973, 46, 115–119. [Google Scholar] [CrossRef]
- Ramesh Babu, C.S.; Gupta, O.P.; Kumar, A. Aberrant Right Subclavian Artery: A Multi-Detector Computed Tomography Study. J. Anat. Soc. India 2021, 70, 11–18. [Google Scholar] [CrossRef]
- Jamous, M.A.; Abdel-Aziz, H.; Kaisy, F. Collateral blood flow patterns in patients with unilateral ICA agenesis and cerebral aneurysm. Neuro Endocrinol. Lett. 2007, 28, 647–651. [Google Scholar]
- Kochhan, E.; Lenard, A.; Ellertsdottir, E.; Herwig, L.; Affolter, M.; Belting, H.G.; Siekmann, A.F. Blood flow changes coincide with cellular rearrangements during blood vessel pruning in zebrafish embryos. PLoS ONE 2013, 8, e75060. [Google Scholar] [CrossRef]
- Midgett, M.; Thornburg, K.; Rugonyi, S. Blood flow patterns underlie developmental heart defects. Am. J. Physiol. Heart Circ. Physiol. 2017, 312, H632–H642. [Google Scholar] [CrossRef]
- Jones, E.A.V. The initiation of blood flow and flow induced events in early vascular development. Semin. Cell Dev. Biol. 2011, 22, 1028–1035. [Google Scholar] [CrossRef]
- Kowalski, W.J.; Dur, O.; Wang, Y.; Patrick, M.J.; Tinney, J.P.; Keller, B.B.; Pekkan, K. Critical transitions in early embryonic aortic arch patterning and hemodynamics. PLoS ONE 2013, 8, e60271. [Google Scholar] [CrossRef]
- Baz, R.O.; Scheau, C.; Baz, R.A.; Niscoveanu, C. Buhler’s Arc: An Unexpected Finding in a Case of Chronic Abdominal Pain. J. Gastrointest. Liver Dis. 2020, 29, 304. [Google Scholar] [CrossRef]
- Kunimoto, K.; Yamamoto, Y.; Jinnin, M. ISSVA Classification of Vascular Anomalies and Molecular Biology. Int. J. Mol. Sci. 2022, 23, 2358. [Google Scholar] [CrossRef]
- Baz, R.A.; Jurja, S.; Ciuluvica, R.; Scheau, C.; Baz, R. Morphometric study regarding ophthalmic and internal carotid arteries utilizing computed tomography angiography. Exp. Ther. Med. 2022, 23, 112. [Google Scholar] [CrossRef]
- Olinic, D.M.; Stanek, A. Vascular Diseases: Etiologic, Diagnostic, Prognostic, and Therapeutic Research. Life 2023, 13, 1171. [Google Scholar] [CrossRef]
- Chen, S.A.; Ong, C.S.; Malguria, N.; Vricella, L.A.; Garcia, J.R.; Hibino, N. Digital Design and 3D Printing of Aortic Arch Reconstruction in HLHS for Surgical Simulation and Training. World J. Pediatr. Congenit. Heart Surg. 2018, 9, 454–458. [Google Scholar] [CrossRef]
- Timofticiuc, I.-A.; Călinescu, O.; Iftime, A.; Dragosloveanu, S.; Caruntu, A.; Scheau, A.-E.; Badarau, I.A.; Didilescu, A.C.; Caruntu, C.; Scheau, C. Biomaterials Adapted to Vat Photopolymerization in 3D Printing: Characteristics and Medical Applications. J. Funct. Biomater. 2024, 15, 7. [Google Scholar] [CrossRef]
- Marti, P.; Lampus, F.; Benevento, D.; Setacci, C. Trends in use of 3D printing in vascular surgery: A survey. Int. Angiol. 2019, 38, 418–424. [Google Scholar] [CrossRef]
- Periferakis, A.; Periferakis, A.-T.; Troumpata, L.; Dragosloveanu, S.; Timofticiuc, I.-A.; Georgatos-Garcia, S.; Scheau, A.-E.; Periferakis, K.; Caruntu, A.; Badarau, I.A.; et al. Use of Biomaterials in 3D Printing as a Solution to Microbial Infections in Arthroplasty and Osseous Reconstruction. Biomimetics 2024, 9, 154. [Google Scholar] [CrossRef]
- Wang, Z.; Yang, Y. Application of 3D Printing in Implantable Medical Devices. BioMed Res. Int. 2021, 2021, 6653967. [Google Scholar] [CrossRef]
- Vrana, N.E.; Gupta, S.; Mitra, K.; Rizvanov, A.A.; Solovyeva, V.V.; Antmen, E.; Salehi, M.; Ehterami, A.; Pourchet, L.; Barthes, J.; et al. From 3D printing to 3D bioprinting: The material properties of polymeric material and its derived bioink for achieving tissue specific architectures. Cell Tissue Bank. 2022, 23, 417–440. [Google Scholar] [CrossRef]
- Dragosloveanu, Ş.; Cotor, D.C.; Dragosloveanu, C.D.M.; Stoian, C.; Stoica, C.I. Preclinical study analysis of massive magnesium alloy graft for calcaneal fractures. Exp. Ther. Med. 2021, 22, 731. [Google Scholar] [CrossRef] [PubMed]
- Frisch, E.; Clavier, L.; Belhamdi, A.; Vrana, N.E.; Lavalle, P.; Frisch, B.; Heurtault, B.; Gribova, V. Preclinical in vitro evaluation of implantable materials: Conventional approaches, new models and future directions. Front. Bioeng. Biotechnol. 2023, 11, 1193204. [Google Scholar] [CrossRef]
- Zhu, C.; Pascall, A.J.; Dudukovic, N.; Worsley, M.A.; Kuntz, J.D.; Duoss, E.B.; Spadaccini, C.M. Colloidal Materials for 3D Printing. Annu. Rev. Chem. Biomol. Eng. 2019, 10, 17–42. [Google Scholar] [CrossRef] [PubMed]
- Morales-Roselló, J.; Lázaro-Santander, R. Prenatal diagnosis of down syndrome associated with right aortic arch and dilated septum cavi pellucidi. Case Rep. Obs. Gynecol. 2012, 2012, 329547. [Google Scholar] [CrossRef] [PubMed][Green Version]
- Landeras, L.A.; Chung, J.H. Congenital Thoracic Aortic Disease. Radiol. Clin. N. Am. 2019, 57, 113–125. [Google Scholar] [CrossRef]
- Liang, R.X.; Wang, B.; Zhao, W.X.; Xue, E.S.; Ye, Q.; Chen, Z.Y.; Chen, Z.K.; Lin, X.Y.; Lin, Z.H.; Lin, Y.J. Predictive value of ultrasound diagnosis of aberrant right subclavian artery with non-recurrent laryngeal nerve. Arch. Med. Sci. 2024, 20, 719–725. [Google Scholar] [CrossRef]
- Lee, J.Y.; Won, D.Y.; Oh, S.H.; Hong, S.Y.; Woo, R.S.; Baik, T.K.; Yoo, H.I.; Song, D.Y. Three concurrent variations of the aberrant right subclavian artery, the non-recurrent laryngeal nerve and the right thoracic duct. Folia Morphol. 2016, 75, 560–564. [Google Scholar] [CrossRef]
- Labuz, D.F.; Kamran, A.; Jennings, R.W.; Baird, C.W. Reoperation to correct unsuccessful vascular ring and vascular decompression surgery. J. Thorac. Cardiovasc. Surg. 2022, 164, 199–207. [Google Scholar] [CrossRef]
- Yoshimura, N.; Fukahara, K.; Yamashita, A.; Doi, T.; Yamashita, S.; Homma, T.; Yokoyama, S.; Aoki, M.; Higashida, A.; Shimada, Y.; et al. Congenital vascular ring. Surg. Today 2020, 50, 1151–1158. [Google Scholar] [CrossRef]
- Backer, C.L. Vascular Rings With Tracheoesophageal Compression: Management Considerations. Semin. Thorac. Cardiovasc. Surg. Annu. Pediatr. Card. Surg. Annu. 2020, 23, 48–52. [Google Scholar] [CrossRef]
- Licari, A.; Manca, E.; Rispoli, G.A.; Mannarino, S.; Pelizzo, G.; Marseglia, G.L. Congenital vascular rings: A clinical challenge for the pediatrician. Pediatr. Pulmonol. 2015, 50, 511–524. [Google Scholar] [CrossRef] [PubMed]
- Imanishi, N.; Takenaka, M.; Nabe, Y.; Nishimura, Y.; Tanaka, F. Successful surgical treatment with tracheal resection for a symptomatic vascular ring in an adult. Gen. Thorac. Cardiovasc. Surg. 2019, 67, 336–339. [Google Scholar] [CrossRef] [PubMed]
- Kamran, A.; Friedman, K.G.; Jennings, R.W.; Baird, C.W. Aortic uncrossing and tracheobronchopexy corrects tracheal compression and tracheobronchomalacia associated with circumflex aortic arch. J. Thorac. Cardiovasc. Surg. 2020, 160, 796–804. [Google Scholar] [CrossRef] [PubMed]
- Nakamura, Y.; Kumada, Y.; Mori, A.; Kawai, N.; Ishida, N.; Kasugai, T. Thoracic endovascular aortic repair for chronic aortic dissection after total arch replacement for aberrant right subclavian artery: A case report. SAGE Open Med. Case Rep. 2022, 10, 2050313x221123432. [Google Scholar] [CrossRef]
- Salem, R.; Holubec, T.; Walther, T.; Van Linden, A. Type A aortic dissection repair with a dissection stent in presence of aberrant subclavian artery. Interact. Cardiovasc. Thorac. Surg. 2022, 35, ivac100. [Google Scholar] [CrossRef]
- Bae, S.B.; Kang, E.J.; Choo, K.S.; Lee, J.; Kim, S.H.; Lim, K.J.; Kwon, H. Aortic Arch Variants and Anomalies: Embryology, Imaging Findings, and Clinical Considerations. J. Cardiovasc. Imaging 2022, 30, 231–262. [Google Scholar] [CrossRef]
- Schorn, C.; Hildebrandt, N.; Schneider, M.; Schaub, S. Anomalies of the aortic arch in dogs: Evaluation with the use of multidetector computed tomography angiography and proposal of an extended classification scheme. BMC Vet. Res. 2021, 17, 387. [Google Scholar] [CrossRef]
- Azarow, K.S.; Pearl, R.H.; Hoffman, M.A.; Zurcher, R.; Edwards, F.H.; Cohen, A.J. Vascular ring: Does magnetic resonance imaging replace angiography? Ann. Thorac. Surg. 1992, 53, 882–885. [Google Scholar] [CrossRef]
- Sam, J.W.; Levine, M.S.; Miller, W.T. The right inferior supraazygous recess: A cause of upper esophageal pseudomass on double-contrast esophagography. AJR Am. J. Roentgenol. 1998, 171, 1583–1586. [Google Scholar] [CrossRef]
- Madueme, P.C. Computed tomography and magnetic resonance imaging of vascular rings and other things: A pictorial review. Pediatr. Radiol. 2022, 52, 1839–1848. [Google Scholar] [CrossRef]
- Fernández-Marmiesse, A.; Roca, I.; Díaz-Flores, F.; Cantarín, V.; Pérez-Poyato, M.S.; Fontalba, A.; Laranjeira, F.; Quintans, S.; Moldovan, O.; Felgueroso, B.; et al. Rare Variants in 48 Genes Account for 42% of Cases of Epilepsy With or Without Neurodevelopmental Delay in 246 Pediatric Patients. Front. Neurosci. 2019, 13, 1135. [Google Scholar] [CrossRef] [PubMed]
- Ritter, A.; Berger, J.H.; Deardorff, M.; Izumi, K.; Lin, K.Y.; Medne, L.; Ahrens-Nicklas, R.C. Variants in NAA15 cause pediatric hypertrophic cardiomyopathy. Am. J. Med. Genet. Part A 2021, 185, 228–233. [Google Scholar] [CrossRef] [PubMed]
- Dragosloveanu, C.D.M.; Celea, C.G.; Dragosloveanu, Ş. Comparison of 360° circumferential trabeculotomy and conventional trabeculotomy in primary pediatric glaucoma surgery: Complications, reinterventions and preoperative predictive risk factors. Int. Ophthalmol. 2020, 40, 3547–3554. [Google Scholar] [CrossRef] [PubMed]
- Mantri, S.S.; Raju, B.; Jumah, F.; Rallo, M.S.; Nagaraj, A.; Khandelwal, P.; Roychowdhury, S.; Kung, D.; Nanda, A.; Gupta, G. Aortic arch anomalies, embryology and their relevance in neuro-interventional surgery and stroke: A review. Interv. Neuroradiol. 2022, 28, 489–498. [Google Scholar] [CrossRef]
- Goudar, S.P.; Shah, S.S.; Shirali, G.S. Echocardiography of coarctation of the aorta, aortic arch hypoplasia, and arch interruption: Strategies for evaluation of the aortic arch. Cardiol. Young 2016, 26, 1553–1562. [Google Scholar] [CrossRef]
- Vollbrecht, T.M.; Hart, C.; Luetkens, J.A. Fetal Cardiac MRI of Complex Interrupted Aortic Arch. Radiology 2023, 307, e223224. [Google Scholar] [CrossRef]
- Loose, S.; Solou, D.; Strecker, C.; Hennemuth, A.; Hüllebrand, M.; Grundmann, S.; Asmussen, A.; Treppner, M.; Urbach, H.; Harloff, A. Characterization of aortic aging using 3D multi-parametric MRI-long-term follow-up in a population study. Sci. Rep. 2023, 13, 6285. [Google Scholar] [CrossRef]
- Miyazaki, S.; Itatani, K.; Furusawa, T.; Nishino, T.; Sugiyama, M.; Takehara, Y.; Yasukochi, S. Validation of numerical simulation methods in aortic arch using 4D Flow MRI. Heart Vessel. 2017, 32, 1032–1044. [Google Scholar] [CrossRef]
- Gikandi, A.; Chiu, P.; Crilley, N.; Brown, J.; Cole, L.; Emani, S.; Fynn Thompson, F.; Zendejas, B.; Baird, C. Outcomes of Patients Undergoing Surgery for Complete Vascular Rings. J. Am. Coll. Cardiol. 2024, 84, 1279–1292. [Google Scholar] [CrossRef]
- Dragosloveanu, S.; Petre, M.-A.; Capitanu, B.S.; Dragosloveanu, C.D.M.; Cergan, R.; Scheau, C. Initial Learning Curve for Robot-Assisted Total Knee Arthroplasty in a Dedicated Orthopedics Center. J. Clin. Med. 2023, 12, 6950. [Google Scholar] [CrossRef]
- Štádler, P.; Dorosh, J.; Dvořáček, L.; Vitásek, P.; Matouš, P.; Lin, J.C. Review and current update of robotic-assisted laparoscopic vascular surgery. Semin. Vasc. Surg. 2021, 34, 225–232. [Google Scholar] [CrossRef] [PubMed]
- Štádler, P.; Vitásek, P.; Matouš, P.; Dvořáček, L. Unique robotic vascular surgery procedures. Rozhl. Chir. 2022, 101, 375–380. [Google Scholar] [CrossRef] [PubMed]
- Miller, K.; Bergman, D.; Stante, G.; Vemuri, C. Exploration of robotic-assisted surgical techniques in vascular surgery. J. Robot. Surg. 2019, 13, 689–693. [Google Scholar] [CrossRef] [PubMed]
- Dumfarth, J.; Chou, A.S.; Ziganshin, B.A.; Bhandari, R.; Peterss, S.; Tranquilli, M.; Mojibian, H.; Fang, H.; Rizzo, J.A.; Elefteriades, J.A. Atypical aortic arch branching variants: A novel marker for thoracic aortic disease. J. Thorac. Cardiovasc. Surg. 2015, 149, 1586–1592. [Google Scholar] [CrossRef]
- Fan, Y.; Tan, X.; Yuan, H. Congenital Cervical Aortic Arch Accompanying Aortic Arch Aneurysm: A Case Report. Balk. Med. J. 2022, 39, 159–160. [Google Scholar] [CrossRef]
- Takayama, H. Another link between aortopathy and congenital anomaly? J. Thorac. Cardiovasc. Surg. 2015, 149, 1593–1594. [Google Scholar] [CrossRef]
- Frankel, W.C.; Roselli, E.E. Strategies for Complex Reoperative Aortic Arch Reconstruction in Patients With Congenital Heart Disease. Semin. Thorac. Cardiovasc. Surg. Annu. Pediatr. Card. Surg. Annu. 2023, 26, 81–88. [Google Scholar] [CrossRef]
- de Marvao, A.; Dawes, T.J.W.; O’Regan, D.P. Artificial Intelligence for Cardiac Imaging-Genetics Research. Front. Cardiovasc. Med. 2019, 6, 195. [Google Scholar] [CrossRef]
- Rodrigues, J.C.; Lyen, S.M.; Loughborough, W.; Amadu, A.M.; Baritussio, A.; Dastidar, A.G.; Manghat, N.E.; Bucciarelli-Ducci, C. Extra-cardiac findings in cardiovascular magnetic resonance: What the imaging cardiologist needs to know. J. Cardiovasc. Magn. Reson. 2016, 18, 26. [Google Scholar] [CrossRef]
- Gaudino, M.; Di Franco, A.; Arbustini, E.; Bacha, E.; Bates, E.R.; Cameron, D.E.; Cao, D.; David, T.E.; De Paulis, R.; El-Hamamsy, I.; et al. Management of Adults With Anomalous Aortic Origin of the Coronary Arteries: State-of-the-Art Review. J. Am. Coll. Cardiol. 2023, 82, 2034–2053. [Google Scholar] [CrossRef]



Disclaimer/Publisher’s Note: The statements, opinions and data contained in all publications are solely those of the individual author(s) and contributor(s) and not of MDPI and/or the editor(s). MDPI and/or the editor(s) disclaim responsibility for any injury to people or property resulting from any ideas, methods, instructions or products referred to in the content. |
© 2025 by the authors. Licensee MDPI, Basel, Switzerland. This article is an open access article distributed under the terms and conditions of the Creative Commons Attribution (CC BY) license (https://creativecommons.org/licenses/by/4.0/).
Share and Cite
Baz, R.O.; Enyedi, M.; Scheau, C.; Didilescu, A.C.; Baz, R.A.; Niscoveanu, C. Unique Subclavian Vascular Ring Anomaly: Insights from CT Angiography. Life 2025, 15, 77. https://doi.org/10.3390/life15010077
Baz RO, Enyedi M, Scheau C, Didilescu AC, Baz RA, Niscoveanu C. Unique Subclavian Vascular Ring Anomaly: Insights from CT Angiography. Life. 2025; 15(1):77. https://doi.org/10.3390/life15010077
Chicago/Turabian StyleBaz, Radu Octavian, Mihaly Enyedi, Cristian Scheau, Andreea Cristiana Didilescu, Radu Andrei Baz, and Cosmin Niscoveanu. 2025. "Unique Subclavian Vascular Ring Anomaly: Insights from CT Angiography" Life 15, no. 1: 77. https://doi.org/10.3390/life15010077
APA StyleBaz, R. O., Enyedi, M., Scheau, C., Didilescu, A. C., Baz, R. A., & Niscoveanu, C. (2025). Unique Subclavian Vascular Ring Anomaly: Insights from CT Angiography. Life, 15(1), 77. https://doi.org/10.3390/life15010077

