The Co-Occurrence of 22q11.2 Deletion Syndrome and Epithelial Basement Membrane Dystrophy: A Case Report and Review of the Literature
Abstract
1. Introduction
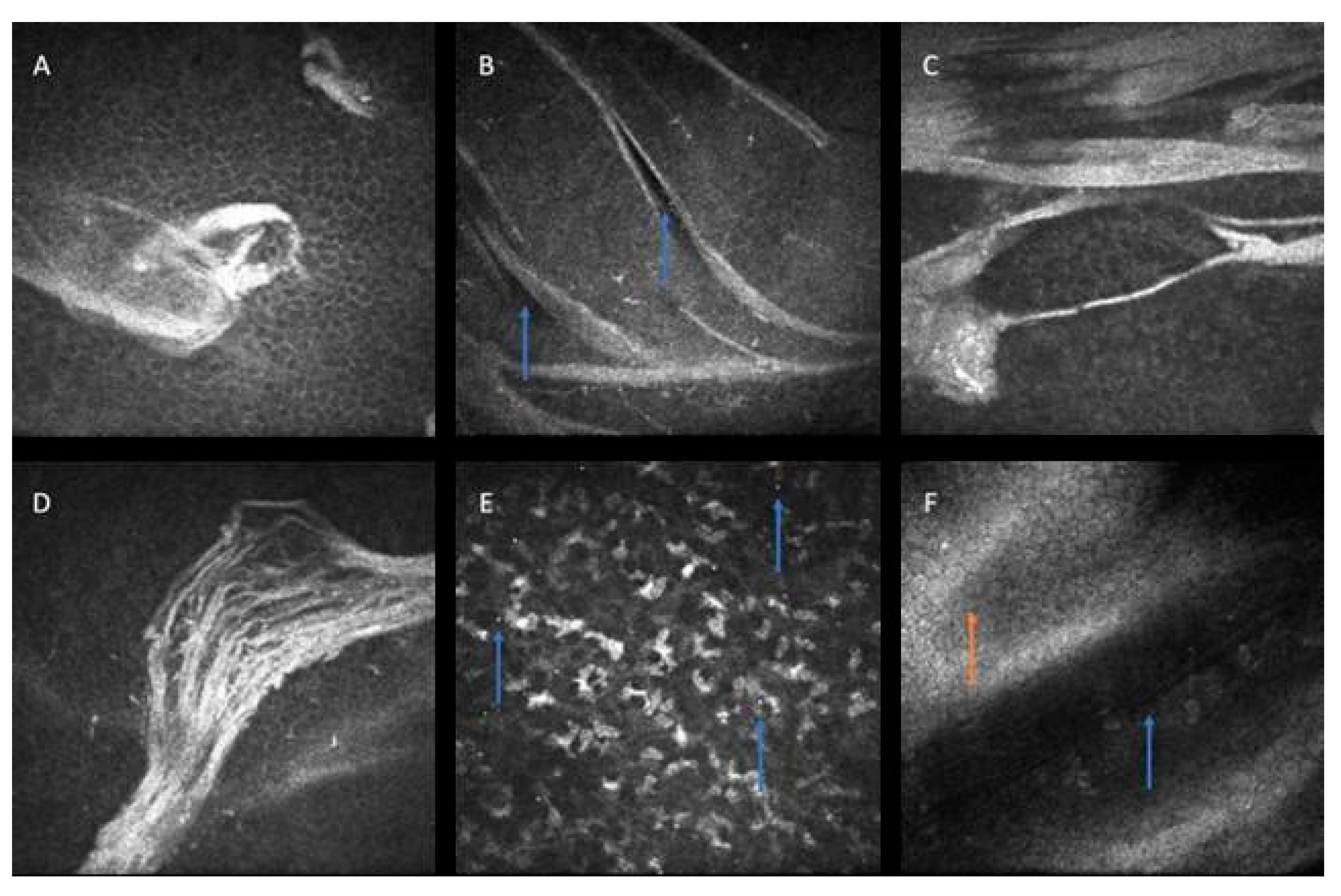
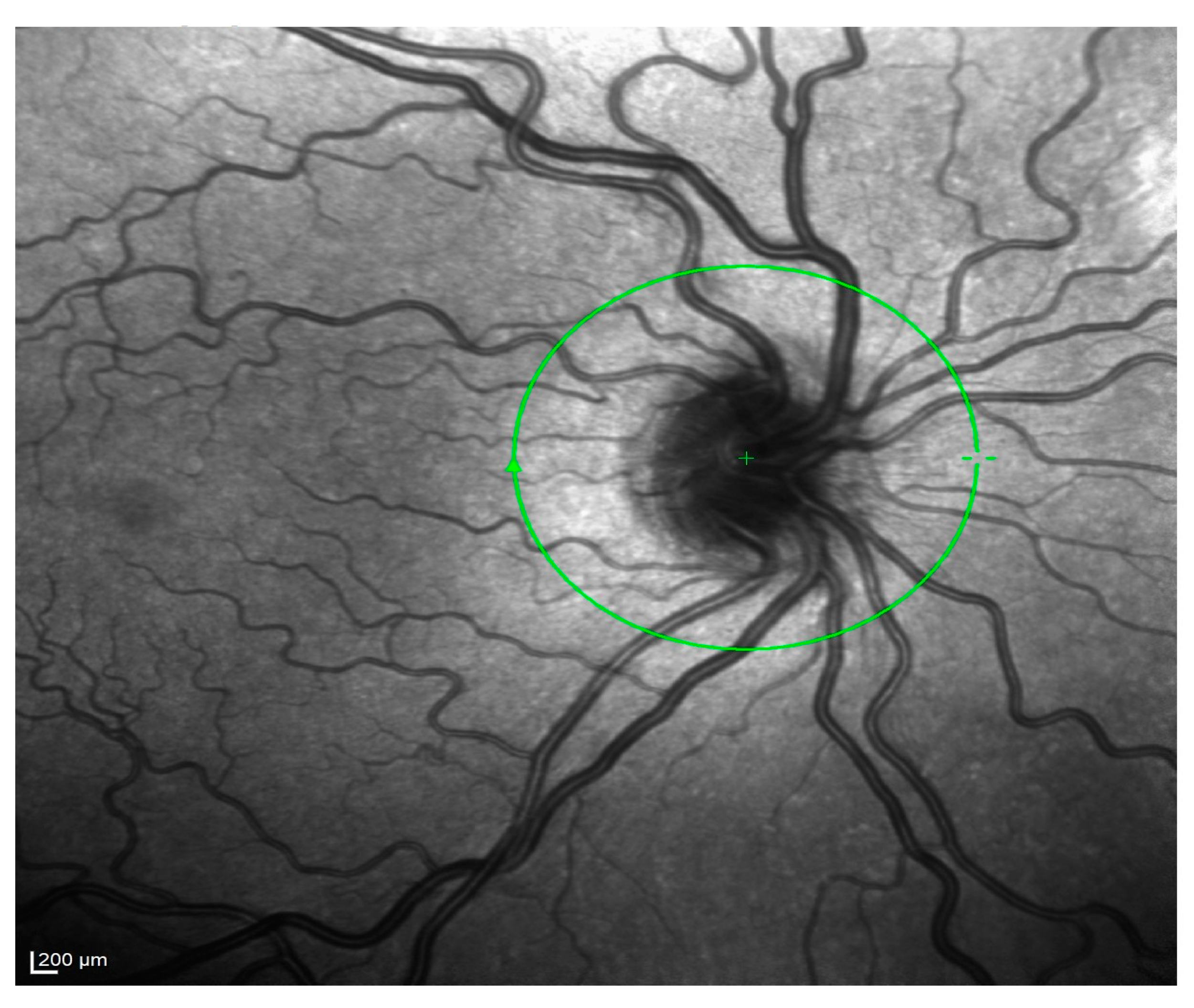
2. Case Description
3. Focus on EBMD
4. Review of the Main Ocular Manifestations in 22q11.2 DS
4.1. Adnexa, External Eye Structures and Globe Involvement
4.2. Corneal Involvement
4.3. Anterior Segment Involvement
4.4. Posterior Segment Involvement
5. Conclusions
Author Contributions
Funding
Institutional Review Board Statement
Informed Consent Statement
Data Availability Statement
Conflicts of Interest
References
- Oskarsdóttir, S.; Vujic, M.; Fasth, A. Incidence and prevalence of the 22q11 deletion syndrome: A population-based study in Western Sweden. Arch. Dis. Child. 2004, 89, 148–151. [Google Scholar] [CrossRef] [PubMed]
- Shprintzen, R.J. Velo-cardio-facial syndrome: 30 Years of study. Dev. Disabil. Res. Rev. 2008, 14, 3–10. [Google Scholar] [CrossRef] [PubMed]
- Driscoll, D.A.; Salvin, J.; Sellinger, B.; Budarf, M.L.; McDonald-McGinn, D.M.; Zackai, E.H.; Emanuel, B.S. Prevalence of 22q11 microdeletions in DiGeorge and velocardiofacial syndromes: Implications for genetic counselling and prenatal diagnosis. J. Med. Genet. 1993, 30, 813–817. [Google Scholar] [CrossRef] [PubMed]
- McDonald-McGinn, D.M.; Sullivan, K.E. Chromosome 22q11.2 deletion syndrome (DiGeorge syndrome/velocardiofacial syndrome). Medicine 2011, 90, 1–18. [Google Scholar] [CrossRef] [PubMed]
- Morrow, B.E.; McDonald-McGinn, D.M.; Emanuel, B.S.; Vermeesch, J.R.; Scambler, P.J. Molecular genetics of 22q11.2 deletion syndrome. Am. J. Med. Genet. A 2018, 176, 2070–2081. [Google Scholar] [CrossRef] [PubMed]
- Papangeli, I.; Scambler, P. The 22q11 deletion: DiGeorge and velocardiofacial syndromes and the role of TBX1. Wiley Interdiscip. Rev. Dev. Biol. 2013, 2, 393–403. [Google Scholar] [CrossRef] [PubMed]
- Funato, N. Craniofacial Phenotypes and Genetics of DiGeorge Syndrome. J. Dev. Biol. 2022, 10, 18. [Google Scholar] [CrossRef]
- Shprintzen, R.J.; Goldberg, R.B.; Lewin, M.L.; Sidoti, E.J.; Berkman, M.D.; Argamaso, R.V.; Young, D. A new syndrome involving cleft palate, cardiac anomalies, typical facies, and learning disabilities: Velo-cardio-facial syndrome. Cleft. Palate J. 1978, 15, 56–62. [Google Scholar]
- Wulfsberg, E.A.; Leana-Cox, J.; Neri, G. What’s in a name? Chromosome 22q abnormalities and the DiGeorge, velocardiofacial, and conotruncal anomalies face syndromes. Am. J. Med. Genet. 1996, 65, 317–319. [Google Scholar] [CrossRef]
- McDonald-McGinn, D.M.; Sullivan, K.E.; Marino, B.; Philip, N.; Swillen, A.; Vorstman, J.A.S.; Zackai, E.H.; Emanuel, B.S.; Vermeesch, J.R.; Morrow, B.E.; et al. 22q11.2 deletion syndrome. Nat. Rev. Dis. Primers 2015, 1, 15071. [Google Scholar] [CrossRef]
- Bassett, A.S.; Chow, E.W.C.; Husted, J.; Weksberg, R.; Caluseriu, O.; Webb, G.D.; Gatzoulis, M.A. Clinical features of 78 adults with 22q11 Deletion Syndrome. Am. J. Med. Genet. A 2005, 138, 307–313. [Google Scholar] [CrossRef]
- Murphy, K.C.; Jones, L.A.; Owen, M.J. High rates of schizophrenia in adults with velo-cardio-facial syndrome. Arch. Gen. Psychiatry 1999, 56, 940–945. [Google Scholar] [CrossRef] [PubMed]
- Gothelf, D.; Schaer, M.; Eliez, S. Genes, brain development and psychiatric phenotypes in velo-cardio-facial syndrome. Dev. Disabil. Res. Rev. 2008, 14, 59–68. [Google Scholar] [CrossRef] [PubMed]
- Rizvi, S.; Khan, A.M.; Saeed, H.; Aribara, A.M.; Carrington, A.; Griffiths, A.; Mohit, A. Schizophrenia in DiGeorge Syndrome: A Unique Case Report. Cureus 2018, 10, e3142. [Google Scholar] [CrossRef] [PubMed]
- Schneider, M.; Debbané, M.; Bassett, A.S.; Chow, E.W.C.; Fung, W.L.A.; Bree, M.B.M.v.D.; Owen, M.; Murphy, K.C.; Niarchou, M.; Kates, W.R.; et al. Psychiatric disorders from childhood to adulthood in 22q11.2 deletion syndrome: Results from the International Consortium on Brain and Behavior in 22q11.2 Deletion Syndrome. Am. J. Psychiatry 2014, 171, 627–639. [Google Scholar] [CrossRef] [PubMed]
- Cortés-Martín, J.; Peñuela, N.L.; Sánchez-García, J.C.; Montiel-Troya, M.; Díaz-Rodríguez, L.; Rodríguez-Blanque, R. Deletion Syndrome 22q11.2: A Systematic Review. Children 2022, 9, 1168. [Google Scholar] [CrossRef] [PubMed]
- Werblin, T.P.; Hirst, L.W.; Stark, W.J.; Maumenee, I.H. Prevalence of map-dot-fingerprint changes in the cornea. Br. J. Ophthalmol. 1981, 65, 401–409. [Google Scholar] [CrossRef]
- Cogan, D.G.; Donaldson, D.D.; Kuwabara, T.; Marshall, D. Microcystic Dystrophy of the Corneal Epithelium. Trans. Am. Ophthalmol. Soc. 1964, 62, 213–225. [Google Scholar] [PubMed]
- Guerry, D. Observations on Cogan’s microcystic dystrophy of the corneal epithelium. Trans. Am. Ophthalmol. Soc. 1965, 63, 320–334. [Google Scholar]
- Trobe, J.D.; Laibson, P.R. Dystrophic changes in the anterior cornea. Arch. Ophthalmol. 1972, 87, 378–382. [Google Scholar] [CrossRef]
- Rodrigues, M.M.; Fine, B.S.; Laibson, P.R.; Zimmerman, L.E. Disorders of the corneal epithelium. A clinicopathologic study of dot, geographic, and fingerprint patterns. Arch. Ophthalmol. 1974, 92, 475–482. [Google Scholar] [CrossRef] [PubMed]
- Møller, H.U.; Weiss, J.S. IC3D classification of corneal dystrophies. Dev. Ophthalmol. 2011, 48, 1–8. [Google Scholar] [CrossRef] [PubMed]
- Boutboul, S.; Black, G.C.M.; Moore, J.E.; Sinton, J.; Menasche, M.; Munier, F.L.; Laroche, L.; Abitbol, M.; Schorderet, D.F. A subset of patients with epithelial basement membrane corneal dystrophy have mutations in TGFBI/BIGH3. Hum. Mutat. 2006, 27, 553–557. [Google Scholar] [CrossRef] [PubMed]
- Laibson, P.R.; Krachmer, J.H. Familial occurrence of dot (microcystic), map, fingerprint dystrophy of the cornea. Investig. Ophthalmol. 1975, 14, 397–399. [Google Scholar]
- Evans, C.J.; Davidson, A.E.; Carnt, N.; López, K.E.R.; Veli, N.; Thaung, C.M.; Tuft, S.J.; Hardcastle, A.J. Genotype-Phenotype Correlation for TGFBI Corneal Dystrophies Identifies p.(G623D) as a Novel Cause of Epithelial Basement Membrane Dystrophy. Investig. Ophthalmol. Vis. Sci. 2016, 57, 5407–5414. [Google Scholar] [CrossRef] [PubMed]
- Ehlers, N.; Møller, H.U. Dot-map-fingerprint dystrophy--Cogan’s microcystic dystrophy--normal reactions of the corneal epithelium? Acta Ophthalmol. 1987, 182, 62–66. [Google Scholar] [CrossRef] [PubMed]
- Laibson, P.R. Recurrent corneal erosions and epithelial basement membrane dystrophy. Eye Contact Lens 2010, 36, 315–317. [Google Scholar] [CrossRef]
- Hykin, P.G.; Foss, A.E.; Pavesio, C.; Dart, J.K. The natural history and management of recurrent corneal erosion: A prospective randomised trial. Eye 1994, 8 Pt 1, 35–40. [Google Scholar] [CrossRef] [PubMed]
- Labetoulle, M.; Rousseau, A.; M’Garrech, M.; Kaswin, G.; Dupas, B.; Baudouin, C.; Barreau, E.; Bourcier, T.; Chiambaretta, F. Efficacy of a Topical Heparan Sulfate Mimetic Polymer on Ocular Surface Discomfort in Patients with Cogan’s Epithelial Basement Membrane Dystrophy. J. Ocul. Pharmacol. Ther. 2019, 35, 359–365. [Google Scholar] [CrossRef]
- Orndahl, M.J.; Fagerholm, P.P. Phototherapeutic keratectomy for map-dot-fingerprint corneal dystrophy. Cornea 1998, 17, 595–599. [Google Scholar] [CrossRef]
- Lee, W.S.; Lam, C.K.; Manche, E.E. Phototherapeutic keratectomy for epithelial basement membrane dystrophy. Clin. Ophthalmol. 2017, 11, 15–22. [Google Scholar] [CrossRef]
- McLean, E.N.; MacRae, S.M.; Rich, L.F. Recurrent erosion. Treatment by anterior stromal puncture. Ophthalmology 1986, 93, 784–788. [Google Scholar] [CrossRef]
- Pogorelov, P.; Langenbucher, A.; Kruse, F.; Seitz, B. Long-term results of phototherapeutic keratectomy for corneal map-dot-fingerprint dystrophy (Cogan-Guerry). Cornea 2006, 25, 774–777. [Google Scholar] [CrossRef]
- Vo, R.C.; Chen, J.L.; Sanchez, P.J.; Yu, F.; Aldave, A.J. Long-Term Outcomes of Epithelial Debridement and Diamond Burr Polishing for Corneal Epithelial Irregularity and Recurrent Corneal Erosion. Cornea 2015, 34, 1259–1265. [Google Scholar] [CrossRef]
- Ramos, J.L.B.; Li, Y.; Huang, D. Clinical and research applications of anterior segment optical coherence tomography—A review. Clin Exp. Ophthalmol. 2009, 37, 81–89. [Google Scholar] [CrossRef]
- Hernández-Quintela, E.; Mayer, F.; Dighiero, P.; Briat, B.; Savoldelli, M.; Legeais, J.-M.; Renard, G. Confocal microscopy of cystic disorders of the corneal epithelium. Ophthalmology 1998, 105, 631–636. [Google Scholar] [CrossRef]
- El Sanharawi, M.; Sandali, O.; Basli, E.; Bouheraoua, N.; Ameline, B.; Goemaere, I.; Georgeon, C.; Hamiche, T.; Borderie, V.; Laroche, L. Fourier-domain optical coherence tomography imaging in corneal epithelial basement membrane dystrophy: A structural analysis. Am. J. Ophthalmol. 2015, 159, 755–763. [Google Scholar] [CrossRef]
- Rosenberg, M.E.; Tervo, T.M.; Petroll, W.M.; Vesaluoma, M.H. In vivo confocal microscopy of patients with corneal recurrent erosion syndrome or epithelial basement membrane dystrophy. Ophthalmology 2000, 107, 565–573. [Google Scholar] [CrossRef] [PubMed]
- Kobayashi, A.; Yokogawa, H.; Sugiyama, K. In vivo laser confocal microscopy findings in patients with map-dot-fingerprint (epithelial basement membrane) dystrophy. Clin. Ophthalmol. 2012, 6, 1187–1190. [Google Scholar] [CrossRef] [PubMed][Green Version]
- Chandramohan, A.; Sears, C.M.; Huang, L.C.; Beres, S.; Fredrick, D.; Kossler, A.L. Microphthalmia and orbital cysts in DiGeorge syndrome. J. AAPOS 2021, 25, 358–360. [Google Scholar] [CrossRef] [PubMed]
- Prabhakaran, V.C.; Davis, G.; Wormald, P.J.; Selva, D. Congenital absence of the nasolacrimal duct in velocardiofacial syndrome. J. AAPOS 2008, 12, 85–86. [Google Scholar] [CrossRef] [PubMed]
- Mansour, A.M.; Bitar, F.F.; Traboulsi, E.I.; Kassak, K.M.; Obeid, M.Y.; Megarbane, A.; I Salti, H. Ocular pathology in congenital heart disease. Eye 2005, 19, 29–34. [Google Scholar] [CrossRef] [PubMed]
- Forbes, B.J.; Binenbaum, G.; Edmond, J.C.; DeLarato, N.; McDonald-McGinn, D.M.; Zackai, E.H. Ocular findings in the chromosome 22q11.2 deletion syndrome. J. AAPOS 2007, 11, 179–182. [Google Scholar] [CrossRef]
- Gokturk, B.; Topcu-Yilmaz, P.; Bozkurt, B.; Yildirim, M.S.; Guner, S.N.; Sayar, E.H.; Reisli, I. Ocular Findings in Children With 22q11.2 Deletion Syndrome. J. Pediatr. Ophthalmol. Strabismus 2016, 53, 218–222. [Google Scholar] [CrossRef] [PubMed]
- Mansour, A.M.; Goldberg, R.B.; Wang, F.M.; Shprintzen, R.J. Ocular findings in the velo-cardio-facial syndrome. J. Pediatr. Ophthalmol. Strabismus 1987, 24, 263–266. [Google Scholar] [CrossRef]
- Binenbaum, G.; McDonald-McGinn, D.M.; Zackai, E.H.; Walker, B.M.; Coleman, K.; Mach, A.M.; Adam, M.; Manning, M.; Alcorn, D.M.; Zabel, C.; et al. Sclerocornea associated with the chromosome 22q11.2 deletion syndrome. Am. J. Med. Genet. A 2008, 146A, 904–909. [Google Scholar] [CrossRef]
- Tarlan, B.; Kiratli, H.; Kılıç, E.; Utine, E.; Boduroğlu, K. A case of 22q11.2 deletion syndrome with right microphthalmia and left corneal staphyloma. Ophthalmic Genet. 2014, 35, 248–251. [Google Scholar] [CrossRef]
- Mataftsi, A.; Islam, L.; Kelberman, D.; Sowden, J.C.; Nischal, K.K. Chromosome abnormalities and the genetics of congenital corneal opacification. Mol. Vis. 2011, 17, 1624–1640. [Google Scholar]
- Santodomingo-Rubido, J.; Carracedo, G.; Suzaki, A.; Villa-Collar, C.; Vincent, S.J.; Wolffsohn, J.S. Keratoconus: An updated review. Cont. Lens Anterior. Eye 2022, 45, 101559. [Google Scholar] [CrossRef]
- Saffra, N.; Reinherz, B. Keratoconus in an adult with 22q11.2 deletion syndrome. BMJ Case Rep. 2015, 2015, bcr2014203737. [Google Scholar] [CrossRef]
- Bassett, A.S.; Hodgkinson, K.; Chow, E.W.; Correia, S.; Scutt, L.E.; Weksberg, R. 22q11 deletion syndrome in adults with schizophrenia. Am. J. Med. Genet. 1998, 81, 328–337. [Google Scholar] [CrossRef]
- Midbari Kufert, Y.; Nachmani, A.; Nativ, E.; Weizman, A.; Gothelf, D. Association between prematurity and the evolution of psychotic disorders in 22q11.2 deletion syndrome. J. Neural Transm. 2016, 123, 1491–1497. [Google Scholar] [CrossRef]
- Quiroz-Casian, N.; Chacon-Camacho, O.F.; Barragan-Arevalo, T.; Nava-Valdez, J.; Lieberman, E.; Salgado-Medina, A.; Navas, A.; Graue-Hernandez, E.O.; Zenteno, J.C. Sclerocornea-Microphthalmia-Aphakia Complex: Description of Two Additional Cases Associated With Novel FOXE3 Mutations and Review of the Literature. Cornea 2018, 37, 1178–1181. [Google Scholar] [CrossRef]
- Agarwal, R.; Nagpal, R.; Todi, V.; Sharma, N. Descemetocele. Surv. Ophthalmol. 2021, 66, 2–19. [Google Scholar] [CrossRef]
- Wan, Y.; Xiao, G.; Yu, T.; Zhang, P.; Hong, J. Histopathological examination of congenital corneal staphyloma and prognosis after penetrating keratoplasty. Medicine 2020, 99, e21892. [Google Scholar] [CrossRef]
- Rennie, C.A.; Chowdhury, S.; Khan, J.; Rajan, F.; Jordan, K.; Lamb, R.J.; Vivian, A.J. The prevalence and associated features of posterior embryotoxon in the general ophthalmic clinic. Eye 2005, 19, 396–399. [Google Scholar] [CrossRef]
- Michels, K.; Bohnsack, B.L. Ophthalmological Manifestations of Axenfeld-Rieger Syndrome: Current Perspectives. Clin. Ophthalmol. 2023, 17, 819–828. [Google Scholar] [CrossRef]
- Casteels, I.; Casaer, P.; Gewillig, M.; Swillen, A.; Devriendt, K. Ocular findings in children with a microdeletion in chromosome 22q11.2. Eur. J. Pediatr. 2008, 167, 751–755. [Google Scholar] [CrossRef]
- Landsend, E.C.S.; Lagali, N.; Utheim, T.P. Congenital aniridia—A comprehensive review of clinical features and therapeutic approaches. Surv. Ophthalmol. 2021, 66, 1031–1050. [Google Scholar] [CrossRef]
- Bhandari, R.; Ferri, S.; Whittaker, B.; Liu, M.; Lazzaro, D.R. Peters anomaly: Review of the literature. Cornea 2011, 30, 939–944. [Google Scholar] [CrossRef]
- Reis, L.M.; Tyler, R.C.; Zori, R.; Burgess, J.; Mueller, J.; Semina, E.V. A case of 22q11.2 deletion syndrome with Peters anomaly, congenital glaucoma, and heterozygous mutation in CYP1B1. Ophthalmic Genet. 2015, 36, 92–94. [Google Scholar] [CrossRef] [PubMed][Green Version]
- Erdoğan, M.K.; Utine, G.E.; Alanay, Y.; Aktaş, D. Unilateral Peters’ anomaly in an infant with 22q11.2 deletion syndrome. Clin. Dysmorphol. 2008, 17, 289–290. [Google Scholar] [CrossRef] [PubMed]
- Casteels, I.; Devriendt, K. Unilateral Peters’ anomaly in a patient with DiGeorge syndrome. J. Pediatr. Ophthalmol. Strabismus 2005, 42, 311–313. [Google Scholar] [CrossRef] [PubMed]
- Allegrini, D.; Penco, S.; Pece, A.; Autelitano, A.; Montesano, G.; Paci, S.; Montanari, C.; Maver, A.; Peterlin, B.; Damante, G. Cataract and optic disk drusen in a patient with glycogenosis and di George syndrome: Clinical and molecular report. BMC Ophthalmol. 2017, 17, 107. [Google Scholar] [CrossRef] [PubMed][Green Version]
- De Niro, J.E.; Randhawa, S.; McDonald, H.R. Retinal vascular tortuosity in DiGeorge syndrome complicated by solar retinopathy. Retin Cases Brief Rep. 2013, 7, 343–346. [Google Scholar] [CrossRef] [PubMed]
- Crewther, S.G.; Kiely, P.M.; Kok, L.L.; Crewther, D.P. Anomalies of genetic development as predictors of oculo-visual abnormalities in velo-cardio-facial syndrome. Optom. Vis. Sci. 1998, 75, 748–757. [Google Scholar] [CrossRef] [PubMed]
- Uhumwangho, O.M.; Jalali, S. Chorioretinal coloboma in a paediatric population. Eye 2014, 28, 728–733. [Google Scholar] [CrossRef] [PubMed]
- Pagon, R.A. Ocular coloboma. Surv. Ophthalmol. 1981, 25, 223–236. [Google Scholar] [CrossRef]
- Gilmour, D.F.; Downey, L.M.; Sheridan, E.; Long, V.; Bradbury, J.; Inglehearn, C.F.; Toomes, C. Familial exudative vitreoretinopathy and DiGeorge syndrome: A new locus for familial exudative vitreoretinopathy on chromosome 22q11.2? Ophthalmology 2009, 116, 1522–1524. [Google Scholar] [CrossRef]
- Kozak, I.; Ali, S.A.; Wu, W.C. Novel retinal observations in a child with DiGeorge (22q11.2 deletion) syndrome. Am. J. Ophthalmol. Case Rep. 2022, 27, 101608. [Google Scholar] [CrossRef]
- Paulus, Y.M.; Moshfeghi, D.M. Persistent plus disease after laser in retinopathy of prematurity with tetralogy of Fallot. Eur. J. Ophthalmol. 2013, 23, 764–766. [Google Scholar] [CrossRef]
- Girgis, R.a.M.; McKee, H.D.R.; Innes, J.R. Swollen optic discs in a patient with the chromosome 22q11.2 deletion syndrome. Br. J. Ophthalmol. 2004, 88, 591–592. [Google Scholar] [CrossRef] [PubMed][Green Version]



| Manifestation | Number of Patients | Author |
|---|---|---|
| Keratoconus | 1 (case report) | Saffra et al., 2015 [50] |
| 1 out of 10 | Bassett et al., 1998 [51] | |
| 1 out of 128 | Midbari et al., 2016 [52] | |
| Sclerocornea | 7 (100%) | Binenbaum et al., 2008 [46] |
| 1 (case report) | Tarlan et al., 2014 [47] | |
| Corneal staphyloma | 1 (case report) | Tarlan et al., 2014 [47] |
| Descemetocele | 3 (42.8%) | Binenbaum et al., 2008 [46] |
| Manifestation | Number of Patients | Author |
|---|---|---|
| Posterior embryotoxon | 44 (49%) | Forbes et al., 2007 [43] |
| 8 (50%) | Gokturk et al., 2016 [44] | |
| 5 (23%) | Mansour et al., 1987 [45] | |
| 32 (44%) * | Casteels et al., 2008 [58] | |
| Peters anomaly | 1 (out of 36) | Casteels et al., 2008 [58] |
| 3 (case reports) | Reis et al., 2015 [61]; Erdogan et al., 2008 [62]; Casteels et al., 2005 [63] | |
| Aniridia | 1 (case report) | Chandramohan et al., 2021 [40] |
| Lens subluxation | 1 (case report) | Chandramohan et al., 2021 [40] |
| Congenital aphakia | 1 (case report) | Tarlan et al., 2014 [47] |
| Cataract | 1 out of 22 | Mansour et al., 1987 [45] |
| 1 (case report) | Allegrini et al., 2017 [64] | |
| 1 out of 36 | Casteels et al., 2008 [58] | |
| Iridocorneal adhesions | 1 out of 7 | Binenbaum et al., 2008 [46] |
| Severe anterior segment dysgenesis | 1 out of 7 | Binenbaum et al., 2008 [46] |
| 2 (case reports) | Erdogan et al., 2008 [62]; Tarlan et al., 2014 [47] |
| Manifestation | Number of Patients | Author |
|---|---|---|
| Retinal vascular tortuosity | 11 (61%) | Mansour et al., 2005 [42] |
| 31 (34%) | Forbes et al., 2007 [43] | |
| 9 (56.2%) | Gokturk et al., 2016 [44] | |
| 8 (36.3%) | Mansour et al., 1987 [45] | |
| 4 (case reports) | Saffra et al., 2015 [50]; Kozak et al., 2022 [69]; Allegrini et al., 2017 [64]; De Niro et al., 2013 [65] | |
| 5 (3.9%) | Midbari et al., 2016 [52] | |
| 28 (77.7%) | Casteels et al., 2008 [58] | |
| 8 (80%) | Crewther et al., 1998 [66] | |
| Disk drusen | 1 out of 24 | Mansour et al., 2005 [42] |
| 1 (case report) | Allegrini et al., 2017 [64] | |
| Chorioretinal colobomas | 1 (case report) | Chandramohan et al., 2021 [40] |
| 1 out of 128 | Midbari et al., 2016 [52] | |
| Retrolental persistent fetal vasculature | 1 (case report) | Chandramohan et al., 2021 [40] |
| Familial exudative vitreoretinopathy | 1 (case report) | Gilmour et al., 2009 [69] |
| Diffuse retinal, vitreous, and papillar hemorrhages with vascular dysplasia | 1 (case report) | Kozak et al., 2022 [70] |
| Retinopathy of prematurity | 1 (case report) | Paulus et al., 2013 [71] |
| Optic disk hypoplasia | 6 (33%) | Mansour et al., 2005 [42] |
| 1 out of 16 | Gokturk et al., 2016 [44] | |
| 4 (18%) | Mansour et al., 1987 [45] | |
| 3 (30%) | Crewther et al., 1998 [66] | |
| Tilted optic nerve | 1 out of 90 | Forbes et al., 2007 [43] |
| Optic disk swelling | 1 (case report) | Girgis et al., 2004 [72] |
Disclaimer/Publisher’s Note: The statements, opinions and data contained in all publications are solely those of the individual author(s) and contributor(s) and not of MDPI and/or the editor(s). MDPI and/or the editor(s) disclaim responsibility for any injury to people or property resulting from any ideas, methods, instructions or products referred to in the content. |
© 2024 by the authors. Licensee MDPI, Basel, Switzerland. This article is an open access article distributed under the terms and conditions of the Creative Commons Attribution (CC BY) license (https://creativecommons.org/licenses/by/4.0/).
Share and Cite
Armentano, M.; Alisi, L.; Giovannetti, F.; Iannucci, V.; Lucchino, L.; Bruscolini, A.; Lambiase, A. The Co-Occurrence of 22q11.2 Deletion Syndrome and Epithelial Basement Membrane Dystrophy: A Case Report and Review of the Literature. Life 2024, 14, 1006. https://doi.org/10.3390/life14081006
Armentano M, Alisi L, Giovannetti F, Iannucci V, Lucchino L, Bruscolini A, Lambiase A. The Co-Occurrence of 22q11.2 Deletion Syndrome and Epithelial Basement Membrane Dystrophy: A Case Report and Review of the Literature. Life. 2024; 14(8):1006. https://doi.org/10.3390/life14081006
Chicago/Turabian StyleArmentano, Marta, Ludovico Alisi, Francesca Giovannetti, Valeria Iannucci, Luca Lucchino, Alice Bruscolini, and Alessandro Lambiase. 2024. "The Co-Occurrence of 22q11.2 Deletion Syndrome and Epithelial Basement Membrane Dystrophy: A Case Report and Review of the Literature" Life 14, no. 8: 1006. https://doi.org/10.3390/life14081006
APA StyleArmentano, M., Alisi, L., Giovannetti, F., Iannucci, V., Lucchino, L., Bruscolini, A., & Lambiase, A. (2024). The Co-Occurrence of 22q11.2 Deletion Syndrome and Epithelial Basement Membrane Dystrophy: A Case Report and Review of the Literature. Life, 14(8), 1006. https://doi.org/10.3390/life14081006

