A Decrease in the Hardness of Feces with Added Glucosylceramide Extracted from Koji In Vitro—A Working Hypothesis of Health Benefits of Dietary Glucosylceramide †
Abstract
1. Introduction
1.1. History of Sphingolipid Research
1.2. Molecular Diversity of Sphingolipids
1.3. Fate of Dietary Sphingolipids
1.4. Health Benefits and Functions of Glucosylceramides
1.5. Mechanism of the Health Benefits and Functions of Glucosylceramide
2. Materials and Methods
2.1. Materials
2.2. Extraction and Purification of Glucosylceramide
2.2.1. Extraction of Lipids from Yellow Koji
2.2.2. Purification of Glucosylceramide from Koji by Open Column Chromatography
2.2.3. Isolation and Purification of Glucosylceramide from Koji by Thin-Layer Chromatography
2.2.4. Detection of Glucosylceramide from Koji by Thin-Layer Chromatography
2.2.5. Determination of Glucosylceramide from Koji by ImageJ
2.3. Sample Processing
2.4. Fall Cone Test
2.5. Statistical Analysis
3. Results
3.1. Measurement of Water Content of Feces
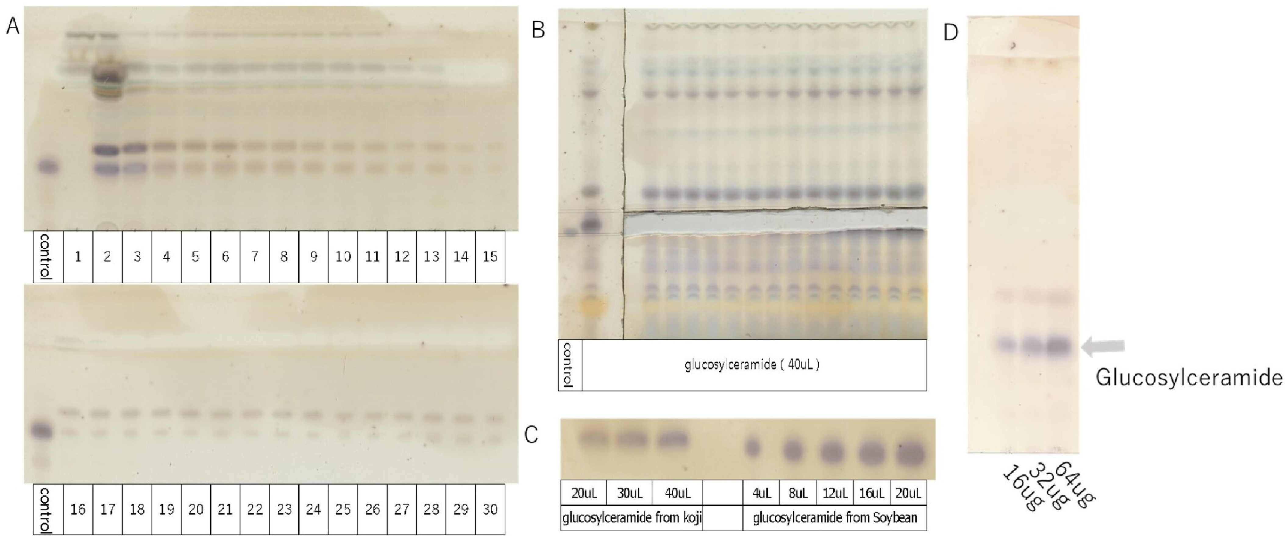
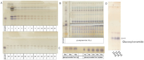
3.2. Extraction and Purification of Glucosylceramide from Koji
- TLC developing solvent: chloroform/methanol/acetic acid/water solution = 94.3:16.5:10.8:3.3 v/v/v/v.
- A: Purification of glucosylceramide from koji by open column chromatography (1–30). Ethyl acetate/MeOH (9:1 v/v).
- B: Isolation and purification of glucosylceramide from koji by thin-layer chromatography.
- C: Detection of glucosylceramide from koji by thin-layer chromatography.
- D: Purified glucosylceramide solution configured with 4 µg/mL, showing 16, 32, and 64 µg schematics on TLC.
3.3. Decrease in the Hardness of Feces Added with Glucosylceramide
4. Discussion
Author Contributions
Funding
Institutional Review Board Statement
Informed Consent Statement
Data Availability Statement
Acknowledgments
Conflicts of Interest
References
- Sugawara, T. Digestion and Absorption of Sphingolipids as Functional Food Components. Nippon. Eiyo Shokuryo Gakkaishi 2013, 66, 177–183. [Google Scholar] [CrossRef]
- Belton, S.; Ng, C.K. Plant Sphingolipids. eLS 2020, 1–10. [Google Scholar] [CrossRef]
- Platt, F.M. Sphingolipid lysosomal storage disorders. Nature 2014, 510, 68–75. [Google Scholar] [CrossRef]
- Hannun, Y.A.; Bell, R.M. Lysosphingolipids Inhibit Protein Kinase C: Implications for the Sphingolipidoses. Science 1987, 235, 670–674. [Google Scholar] [CrossRef]
- Modrak, D.E.; Gold, D.V.; Goldenberg, D.M. Sphingolipid targets in cancer therapy. Mol. Cancer Ther. 2006, 5, 200–208. [Google Scholar] [CrossRef]
- Merrill, A.H., Jr. Sphingolipid and glycosphingolipid metabolic pathways in the era of sphingolipidomics. Chem. Rev. 2011, 111, 6387–6422. [Google Scholar] [CrossRef] [PubMed]
- Imokawa, G.; Abe, A.; Jin, K.; Higaki, Y.; Kawashima, M.; Hidano, A. Decreased Level of Ceramides in Stratum Corneum of Atopic Dermatitis: An Etiologic Factor in Atopic Dry Skin? J. Investig. Dermatol. 1991, 96, 523–526. [Google Scholar] [CrossRef] [PubMed]
- A Lemonnier, L.; Dillehay, D.L.; Vespremi, M.J.; Abrams, J.; Brody, E.; Schmelz, E.M. Sphingomyelin in the suppression of colon tumors: Prevention versus intervention. Arch. Biochem. Biophys. 2003, 419, 129–138. [Google Scholar] [CrossRef] [PubMed]
- Schmelz, E.M. Sphingolipids in the chemoprevention of colon cancer. Front. Biosci. Landmark 2004, 9, 2632–2639. [Google Scholar] [CrossRef]
- Duan, J.; Sugawara, T.; Hirose, M.; Aida, K.; Sakai, S.; Fujii, A.; Hirata, T. Dietary sphingolipids improve skin barrier functions via the upregulation of ceramide synthases in the epidermis. Exp. Dermatol. 2012, 21, 448–452. [Google Scholar] [CrossRef]
- Hirata, M.; Tsuge, K.; Jayakody, L.N.; Urano, Y.; Sawada, K.; Inaba, S.; Nagao, K.; Kitagaki, H. Structural determination of glucosylceramides in the distillation remnants of shochu, the Japanese traditional liquor, and its production by Aspergillus kawachii. J. Agric. Food Chem. 2012, 60, 11473–11482. [Google Scholar] [CrossRef] [PubMed]
- Tani, Y.; Amaishi, Y.; Funatsu, T.; Ito, M.; Itonori, S.; Hata, Y.; Ashida, H.; Yamamoto, K. Structural analysis of cerebrosides from Aspergillus fungi: The existence of galactosylceramide in A. oryzae. Biotechnol. Lett. 2014, 36, 2507–2513. [Google Scholar] [CrossRef]
- Sugawara, T.; Miyazawa, T. Separation and determination of glycolipids from edible plant sources by high-performance liquid chromatography and evaporative light-scattering detection. Lipids 1999, 34, 1231–1237. [Google Scholar] [CrossRef] [PubMed]
- Li, W.; Belwal, T.; Li, L.; Xu, Y.; Liu, J.; Zou, L.; Luo, Z. Sphingolipids in foodstuff: Compositions, distribution, digestion, metabolism and health effects–A comprehensive review. Food Res. Int. 2021, 147, 110566. [Google Scholar] [CrossRef] [PubMed]
- Ohlsson, L.; Hertervig, E.; Jönsson, B.A.; Duan, R.-D.; Nyberg, L.; Svernlöv, R.; Nilsson, Å. Sphingolipids in human ileostomy content after meals containing milk sphingomyelin. Am. J. Clin. Nutr. 2010, 91, 672–678. [Google Scholar] [CrossRef] [PubMed]
- Nilsson, Å.; Duan, R.-D. Absorption and lipoprotein transport of sphingomyelin. J. Lipid Res. 2006, 47, 154–171. [Google Scholar] [CrossRef] [PubMed]
- Schmelz, E.-M.; Crall, K.J.; Larocque, R.; Dillehay, D.L.; Merrill, A.H. Uptake and Metabolism of Sphingolipids in Isolated Intestinal Loops of Mice. J. Nutr. 1994, 124, 702–712. [Google Scholar] [CrossRef]
- Nilsson, Å. Metabolism of cerebroside in the intestinal tract of the rat. Biochim. Biophys. Acta (BBA) Lipids Lipid Metab. 1969, 187, 113–121. [Google Scholar] [CrossRef]
- Sugawara, T.; Kinoshita, M.; Ohnishi, M.; Nagata, J.; Saito, M. Digestion of maize sphingolipids in rats and uptake of sphingadienine by Caco-2 cells. J. Nutr. 2003, 133, 2777–2782. [Google Scholar] [CrossRef]
- Sugawara, T.; Tsuduki, T.; Yano, S.; Hirose, M.; Duan, J.; Aida, K.; Ikeda, I.; Hirata, T. Intestinal absorption of dietary maize glucosylceramide in lymphatic duct cannulated rats. J. Lipid Res. 2010, 51, 1761–1769. [Google Scholar] [CrossRef]
- Inamine, M.; Suzui, M.; Morioka, T.; Kinjo, T.; Kaneshiro, T.; Sugishita, T.; Okada, T.; Yoshimi, N. Inhibitory effect of dietary monoglucosylceramide 1-O-β-glucosyl-N-2′-hydroxyarachidoyl-4, 8-sphingadienine on two different categories of colon preneoplastic lesions induced by 1, 2-dimethylhydrazine in F344 rats. Cancer Sci. 2005, 96, 876–881. [Google Scholar] [CrossRef] [PubMed]
- Yazama, H.; Kitatani, K.; Fujiwara, K.; Kato, M.; Hashimoto-Nishimura, M.; Kawamoto, K.; Hasegawa, K.; Kitano, H.; Bielawska, A.; Bielawski, J.; et al. Dietary glucosylceramides suppress tumor growth in a mouse xenograft model of head and neck squamous cell carcinoma by the inhibition of angiogenesis through an increase in ceramide. Int. J. Clin. Oncol. 2014, 20, 438–446. [Google Scholar] [CrossRef] [PubMed]
- Fujiwara, K.; Kitatani, K.; Fukushima, K.; Yazama, H.; Umehara, H.; Kikuchi, M.; Igarashi, Y.; Kitano, H.; Okazaki, T. Inhibitory effects of dietary glucosylceramides on squamous cell carcinoma of the head and neck in NOD/SCID mice. Int. J. Clin. Oncol. 2010, 16, 133–140. [Google Scholar] [CrossRef] [PubMed]
- Holly, S.; Eva, M.S.; Dirck, L.D.; Alfred, H.M. Dietary soy sphingolipids suppress tumorigenesis and gene expression in 1, 2-dimethylhydrazine-treated CF1 mice and Apc Min/+ mice. J. Nutr. 2004, 134, 1157–1161. [Google Scholar]
- Fujiwara, K.; Yazama, H.; Donishi, R.; Koyama, S.; Fukuhara, T.; Takeuchi, H. Inhibitory Effects of Glucosylceramide on Tumorigenesis Induced by a Carcinogen in Mice. Laryngoscope 2020, 130, E593–E597. [Google Scholar] [CrossRef] [PubMed]
- Yamashita, S.; Sakurai, R.; Hishiki, K.; Aida, K.; Kinoshita, M. Effects of dietary plant-origin glucosylceramide on colon cytokine contents in DMH-treated mice. J. Oleo Sci. 2017, 66, 157–160. [Google Scholar] [CrossRef]
- Asanuma, N. Effect of dietary ceramide and glucosylceramide on the alleviation of experimental inflammatory bowel disease in mice. J. Oleo Sci. 2022, 71, 1397–1402. [Google Scholar] [CrossRef] [PubMed]
- Arai, K.; Mizobuchi, Y.; Tokuji, Y.; Aida, K.; Yamashita, S.; Ohnishi, M.; Kinoshita, M. Effects of dietary plant-origin glucosylceramide on bowel inflammation in DSS-treated mice. J. Oleo Sci. 2015, 64, 737–742. [Google Scholar] [CrossRef] [PubMed]
- Tsuji, K.; Mitsutake, S.; Ishikawa, J.; Takagi, Y.; Akiyama, M.; Shimizu, H.; Tomiyama, T.; Igarashi, Y. Dietary glucosylceramide improves skin barrier function in hairless mice. J. Dermatol. Sci. 2006, 44, 101–107. [Google Scholar] [CrossRef]
- Hossain, Z.; Sugawara, T.; Aida, K.; Hirata, T. Effect of dietary glucosylceramide from sea cucumber on plasma and liver lipids in cholesterol-fed mice. Fish. Sci. 2011, 77, 1081–1085. [Google Scholar] [CrossRef]
- Hamajima, H.; Tanaka, M.; Miyagawa, M.; Sakamoto, M.; Nakamura, T.; Yanagita, T.; Nishimukai, M.; Mitsutake, S.; Nakayama, J.; Nagao, K.; et al. Koji glycosylceramide commonly contained in Japanese traditional fermented foods alters cholesterol metabolism in obese mice. Biosci. Biotechnol. Biochem. 2019, 83, 1514–1522. [Google Scholar] [CrossRef] [PubMed]
- Hamajima, H.; Matsunaga, H.; Fujikawa, A.; Sato, T.; Mitsutake, S.; Yanagita, T.; Nagao, K.; Nakayama, J. Japanese traditional dietary fungus koji Aspergillus oryzae functions as a prebiotic for Blautia coccoides through glycosylceramide: Japanese dietary fungus koji is a new prebiotic. SpringerPlus 2016, 5, 1321. [Google Scholar] [CrossRef] [PubMed]
- Yamashita, S.; Kinoshita, M.; Miyazawa, T. Dietary Sphingolipids Contribute to Health via Intestinal Maintenance. Int. J. Mol. Sci. 2021, 22, 7052. [Google Scholar] [CrossRef] [PubMed]
- Dai, H.; Otsuka, A.; Tanabe, K.; Yanagita, T.; Nakayama, J.; Kitagaki, H. Glucosylceramide changes bacterial metabolism and increases gram-positive bacteria through tolerance to secondary bile acids in vitro. Int. J. Mol. Sci. 2022, 23, 5300. [Google Scholar] [CrossRef]
- Shirakura, Y.; Kikuchi, K.; Matsumura, K.; Mukai, K.; Mitsutake, S.; Igarashi, Y. 4,8-Sphingadienine and 4-hydroxy-8-sphingenine activate ceramide production in the skin. Lipids Health Dis. 2012, 11, 108. [Google Scholar] [CrossRef] [PubMed]
- Esaki, S.; Nagasawa, T.; Tanaka, H.; Tominaga, A.; Mikami, D.; Usuki, S.; Hamajima, H.; Hanamatsu, H.; Sakai, S.; Hama, Y.; et al. The fungal 9-methyl-sphingadiene is a novel ligand for both PPARγ and GPR120. J. Food Biochem. 2018, 42, e12624. [Google Scholar] [CrossRef]
- Tsuji, K.; Satoh, S.; Mitsutake, S.; Murakami, I.; Park, J.-J.; Li, Q.; Chang, Y.-T.; Chung, S.-K.; Igarashi, Y. Evaluation of synthetic sphingolipid analogs as ligands for peroxisome proliferator-activated receptors. Bioorg. Med. Chem. Lett. 2009, 19, 1643–1646. [Google Scholar] [CrossRef]
- Ueda, O.; Uchiyama, T.; Nakashima, M. Distribution and metabolism of sphingosine in skin after oral administration to mice. Drug Metab. Pharmacokinet. 2010, 25, 456–465. [Google Scholar] [CrossRef] [PubMed]
- Yamashita, S.; Tsuruma, T.; Honda, T.; Hashimoto, S.; Kaneda, S.; Ezure, T.; Kubota, T.; Yumoto, E.; Miyashita, K.; Koga, J.; et al. Dietary fungal glucosylceramide and ceramide reduce the formation of aberrant crypt foci in 1,2-dimethylhydrazine-treated mice: Differences in the role of glucosylceramide and ceramide. ACS Food Sci. Technol. 2023, 3, 85–91. [Google Scholar] [CrossRef]
- Furuya, H.; Ide, Y.; Hamamoto, M.; Asanuma, N.; Hino, T. Isolation of a novel bacterium, Blautia glucerasei sp. nov., hydrolyzing plant glucosylceramide to ceramide. Arch. Microbiol. 2010, 192, 365–372. [Google Scholar] [CrossRef]
- Miyagawa, M.; Fujikawa, A.; Nagadome, M.; Kohama, K.; Ogami, T.; Kitamura, S.; Kitagaki, H. Glycosylceramides purified from the Japanese traditional non-pathogenic fungus Aspergillus and koji increase the expression of genes involved in tight junctions and ceramide delivery in normal human epidermal keratinocytes. Fermentation 2019, 5, 43. [Google Scholar] [CrossRef]
- Japanese Geotechnical Society. Japanese Standards and Explanations of Laboratory Tests of Geomaterials; Japanese Geotechnical Society: Tokyo, Japan, 2009; pp. 142–146. (In Japanese) [Google Scholar]
- Chumpitazi, B.P.; Self, M.M.; Czyzewski, D.I.; Cejka, S.; Swank, P.R.; Shulman, R.J. Bristol Stool Form Scale reliability and agreement decreases when determining Rome III stool form designations. Neurogastroenterol. Motil. 2016, 28, 443–448. [Google Scholar] [CrossRef]
- Fosnes, G.S.; Lydersen, S.; Farup, P.G. Effectiveness of laxatives in elderly-a cross sectional study in nursing homes. BMC Geriatr. 2011, 11, 76. [Google Scholar] [CrossRef] [PubMed]
- Munshi, R.; Bhalerao, S.; Rathi, P.; Kuber, V.V.; Nipanikar, S.U.; Kadbhane, K.P. An open-label, prospective clinical study to evaluate the efficacy and safety of TLPL/AY/01/2008 in the management of functional constipation. J. Ayurveda Integr. Med. 2011, 2, 144. [Google Scholar] [PubMed]
- Pucciani, F.; Raggioli, M.; Ringressi, M.N. Usefulness of psyllium in rehabilitation of obstructed defecation. Tech. Coloproctology 2011, 15, 377–383. [Google Scholar] [CrossRef]
- Strid, H.; Simrén, M.; Störsrud, S.; Stotzer, P.-O.; Sadik, R. Effect of heavy exercise on gastrointestinal transit in endurance athletes. Scand. J. Gastroenterol. 2011, 46, 673–677. [Google Scholar] [CrossRef] [PubMed]
- Shiu, J.W.; Slaughter, D.C.; Boyden, L.E.; Barrett, D.M. Effect of the shear-to-compressive force ratio in puncture tests quantifying watermelon mechanical properties. J. Food Eng. 2015, 150, 125–131. [Google Scholar] [CrossRef]
- Koumoto, T.; Houlsby, G.T. Theory and practice of the fall cone test. Géotechnique 2001, 51, 701–712. [Google Scholar] [CrossRef]
- Sugawara, T.; Aida, K.; Duan, J.; Tomonaga, N.; Manabe, Y.; Hirata, T. Analysis of chemical structures of glucosylceramides from rice and other foodstuffs. J. Nutr. Sci. Vitaminol. 2019, 65, S228–S230. [Google Scholar] [CrossRef]
- Takakuwa, N.; Saito, K.; Ohnishi, M.; Oda, Y. Determination of glucosylceramide contents in crop tissues and by-products from their processing. Bioresour. Technol. 2005, 96, 1089–1092. [Google Scholar] [CrossRef]
- Nagao, Y.; Takahashi, H.; Kawaguchi, A.; Kitagaki, H. Effect of fermented rice drink Amazake on patients with nonalcoholic fatty liver disease and periodontal disease: A pilot study. Reports 2021, 4, 36. [Google Scholar] [CrossRef]
- Kitagaki, H. Medical Application of Substances Derived from Non-Pathogenic Fungi Aspergillus oryzae and A. luchuensis-Containing Koji. J. Fungi 2021, 7, 243. [Google Scholar] [CrossRef] [PubMed]
- Sakata, Y.; Shimbo, S. How much does partially hydrolyzed guar gum affect the weight, moisture and hardness of feces? Jpn. J. Public Health 2006, 53, 257–264. [Google Scholar]
- Quinlan, P.T.; Lockton, S.; Irwin, J.; Lucas, A.L. The relationship between stool hardness and stool composition in breast-and formula-fed infants. J. Pediatr. Gastroenterol. Nutr. 1995, 20, 81–90. [Google Scholar] [PubMed]
- Ideta, R.; Sakuta, T.; Nakano, Y.; Uchiyama, T. Orally administered glucosylceramide improves the skin barrier function by upregulating genes associated with the tight junction and cornified envelope formation. Biosci. Biotechnol. Biochem. 2011, 75, 1516–1523. [Google Scholar] [CrossRef]
- Amdanee, N.; Shao, M.; Hu, X.; Fang, X.; Zhou, C.; Chen, J.; Chattun, M.R.; Wen, L.; Pan, X.; Zhang, X.; et al. Serum metabolic profile in schizophrenia patients with antipsychotic-induced constipation and its relationship with gut microbiome. Schizophr. Bull. 2023, 49, 646–658. [Google Scholar] [CrossRef] [PubMed]
- Stevens, C.E. Comparative physiology of the digestive system. Duke’s Physiol. Domest. Anim. 1977, 216–232. [Google Scholar]
- Chauveau, A. The Comparative Anatomy of the Domesticated Animals; J. & A. Churchill: London, UK, 1873. [Google Scholar]
- Stevens, C.E.; Hume, I.D. Comparative Physiology of the Vertebrate Digestive System; Cambridge University Press: Cambridge, UK, 2004. [Google Scholar]
- Raja, M.K.M.M.; Manne, R.; Devarajan, A. Benefits of cow feces-a human ignored gift. J. Nat. Remedies 2021, 189–202. [Google Scholar] [CrossRef]
- Gupta, K.K.; Aneja, K.R.; Rana, D. Current status of cow feces as a bioresource for sustainable development. Bioresour. Bioprocess. 2016, 3, 28. [Google Scholar] [CrossRef]
- Penn, R.; Ward, B.J.; Strande, L.; Maurer, M. Review of synthetic human faeces and faecal sludge for sanitation and wastewater research. Water Res. 2018, 132, 222–240. [Google Scholar] [CrossRef]
- Rose, C.; Parker, A.; Jefferson, B.; Cartmell, E. The characterization of feces and urine: A review of the literature to inform advanced treatment technology. Crit. Rev. Environ. Sci. Technol. 2015, 45, 1827–1879. [Google Scholar] [CrossRef]
- Yang, P.J.; LaMarca, M.; Kaminski, C.; Chu, D.I.; Hu, D.L. Hydrodynamics of defecation. Soft Matter 2017, 13, 4960–4970. [Google Scholar] [CrossRef] [PubMed]
- Anderson, M.A.; Whitlock, J.E.; Harwood, V.J. Diversity and distribution of Escherichia coli genotypes and antibiotic resistance phenotypes in feces of humans, cattle, and horses. Appl. Environ. Microbiol. 2006, 72, 6914–6922. [Google Scholar] [CrossRef]
- Kwiterovich, P.O., Jr. The metabolic pathways of high-density lipoprotein, low-density lipoprotein, and triglycerides: A current review. Am. J. Cardiol. 2000, 86, 5L–10L. [Google Scholar] [CrossRef] [PubMed]
- Jia, L.; Betters, J.L.; Yu, L. Niemann-pick C1-like 1 (NPC1L1) protein in intestinal and hepatic cholesterol transport. Annu. Rev. Physiol. 2011, 73, 239–259. [Google Scholar] [CrossRef] [PubMed]
- Larson, G.; Falk, P.; Hoskins, L.C. Degradation of human intestinal glycosphingolipids by extracellular glycosidases from mucin-degrading bacteria of the human fecal flora. J. Biol. Chem. 1988, 263, 10790–10798. [Google Scholar] [CrossRef]
- Yunoki, K.; Ogawa, T.; Ono, J.; Miyashita, R.; Aida, K.; Oda, Y.; Ohnishi, M. Analysis of sphingolipid classes and their contents in meals. Biosci. Biotechnol. Biochem. 2008, 72, 222–225. [Google Scholar] [CrossRef]




Disclaimer/Publisher’s Note: The statements, opinions and data contained in all publications are solely those of the individual author(s) and contributor(s) and not of MDPI and/or the editor(s). MDPI and/or the editor(s) disclaim responsibility for any injury to people or property resulting from any ideas, methods, instructions or products referred to in the content. |
© 2024 by the authors. Licensee MDPI, Basel, Switzerland. This article is an open access article distributed under the terms and conditions of the Creative Commons Attribution (CC BY) license (https://creativecommons.org/licenses/by/4.0/).
Share and Cite
Dai, H.; Hariwitonang, J.; Fujiyama, N.; Moriguchi, C.; Hirano, Y.; Ebara, F.; Inaba, S.; Kondo, F.; Kitagaki, H. A Decrease in the Hardness of Feces with Added Glucosylceramide Extracted from Koji In Vitro—A Working Hypothesis of Health Benefits of Dietary Glucosylceramide. Life 2024, 14, 739. https://doi.org/10.3390/life14060739
Dai H, Hariwitonang J, Fujiyama N, Moriguchi C, Hirano Y, Ebara F, Inaba S, Kondo F, Kitagaki H. A Decrease in the Hardness of Feces with Added Glucosylceramide Extracted from Koji In Vitro—A Working Hypothesis of Health Benefits of Dietary Glucosylceramide. Life. 2024; 14(6):739. https://doi.org/10.3390/life14060739
Chicago/Turabian StyleDai, Huanghuang, Johan Hariwitonang, Nao Fujiyama, Chihiro Moriguchi, Yuto Hirano, Fumio Ebara, Shigeki Inaba, Fumiyoshi Kondo, and Hiroshi Kitagaki. 2024. "A Decrease in the Hardness of Feces with Added Glucosylceramide Extracted from Koji In Vitro—A Working Hypothesis of Health Benefits of Dietary Glucosylceramide" Life 14, no. 6: 739. https://doi.org/10.3390/life14060739
APA StyleDai, H., Hariwitonang, J., Fujiyama, N., Moriguchi, C., Hirano, Y., Ebara, F., Inaba, S., Kondo, F., & Kitagaki, H. (2024). A Decrease in the Hardness of Feces with Added Glucosylceramide Extracted from Koji In Vitro—A Working Hypothesis of Health Benefits of Dietary Glucosylceramide. Life, 14(6), 739. https://doi.org/10.3390/life14060739

