The Importance of In Vivo Reflectance Confocal Microscopy in a Case of Desmoplastic Melanoma
Abstract
1. Introduction
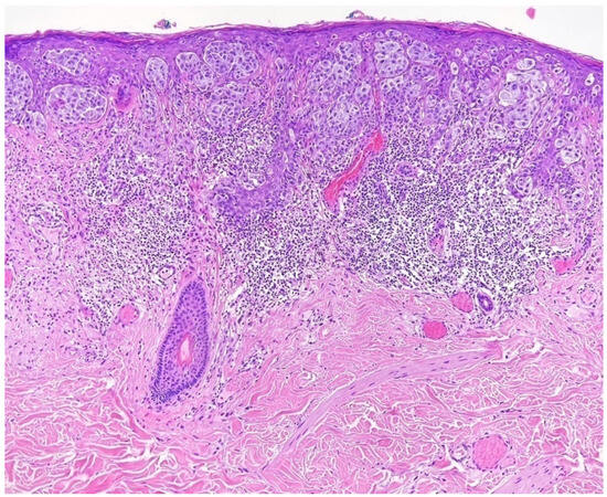
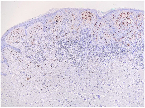
2. Case Presentation
3. Discussions
4. Conclusions
Author Contributions
Funding
Informed Consent Statement
Data Availability Statement
Acknowledgments
Conflicts of Interest
References
- Saginala, K.; Barsouk, A.; Aluru, J.S.; Rawla, P.; Barsouk, A. Epidemiology of Melanoma. Med. Sci. 2021, 9, 63. [Google Scholar] [CrossRef] [PubMed]
- Linos, E.; Swetter, S.M.; Cockburn, M.G.; Colditz, G.A.; Clarke, C.A. Increasing Burden of Melanoma in the United States. J. Investig. Dermatol. 2009, 129, 1666–1674. [Google Scholar] [CrossRef] [PubMed]
- Califano, J.; Nance, M. Malignant Melanoma. Facial Plast. Surg. Clin. North Am. 2009, 17, 337–348. [Google Scholar] [CrossRef] [PubMed]
- Erdei, E.; Torres, S.M. A New Understanding in the Epidemiology of Melanoma. Expert Rev. Anticancer Ther. 2010, 10, 1811–1823. [Google Scholar] [CrossRef] [PubMed]
- Garbe, C.; Amaral, T.; Peris, K.; Hauschild, A.; Arenberger, P.; Basset-Seguin, N.; Bastholt, L.; Bataille, V.; del Marmol, V.; Dréno, B.; et al. European Consensus-Based Interdisciplinary Guideline for Melanoma. Part 1: Diagnostics: Update 2022. Eur. J. Cancer 2022, 170, 236–255. [Google Scholar] [CrossRef] [PubMed]
- Nicolson, N.G.; Han, D. Desmoplastic Melanoma. J. Surg. Oncol. 2019, 119, 208–215. [Google Scholar] [CrossRef]
- Busam, K.J.; Mujumdar, U.; Hummer, A.J.; Nobrega, J.; Hawkins, W.G.; Coit, D.G.; Brady, M.S. Cutaneous Desmoplastic Melanoma: Reappraisal of Morphologic Heterogeneity and Prognostic Factors. Am. J. Surg. Pathol. 2004, 28, 1518–1525. [Google Scholar] [CrossRef] [PubMed]
- Chen, L.L.; Jaimes, N.; Barker, C.A.; Busam, K.J.; Marghoob, A.A. Desmoplastic Melanoma: A Review. J. Am. Acad. Dermatol. 2013, 68, 825–833. [Google Scholar] [CrossRef]
- Murali, R.; Shaw, H.M.; Lai, K.; McCarthy, S.W.; Quinn, M.J.; Stretch, J.R.; Thompson, J.F.; Scolyer, R.A. Prognostic Factors in Cutaneous Desmoplastic Melanoma: A Study of 252 Patients. Cancer 2010, 116, 4130–4138. [Google Scholar] [CrossRef]
- Ahlgrimm-Siess, V.; Laimer, M.; Rabinovitz, H.S.; Oliviero, M.; Hofmann-Wellenhof, R.; Marghoob, A.A.; Scope, A. Confocal Microscopy in Skin Cancer. Curr. Dermatol. Rep. 2018, 7, 105–118. [Google Scholar] [CrossRef]
- Lupu, M.; Voiculescu, V.M.; Caruntu, A.; Tebeica, T.; Caruntu, C. Preoperative Evaluation through Dermoscopy and Reflectance Confocal Microscopy of the Lateral Excision Margins for Primary Basal Cell Carcinoma. Diagnostics 2021, 11, 120. [Google Scholar] [CrossRef] [PubMed]
- Waddell, A.; Star, P.; Guitera, P. Advances in the Use of Reflectance Confocal Microscopy in Melanoma. Melanoma Manag. 2018, 5, MMT04. [Google Scholar] [CrossRef]
- Malciu, A.M.; Lupu, M.; Voiculescu, V.M. Artificial Intelligence-Based Approaches to Reflectance Confocal Microscopy Image Analysis in Dermatology. J. Clin. Med. 2022, 11, 429. [Google Scholar] [CrossRef] [PubMed]
- Keung, E.Z.; Gershenwald, J.E. The Eighth Edition American Joint Committee on Cancer (AJCC) Melanoma Staging System: Implications for Melanoma Treatment and Care. Expert Rev. Anticancer Ther. 2018, 18, 775–784. [Google Scholar] [CrossRef] [PubMed]
- Maurichi, A.; Miceli, R.; Camerini, T.; Contiero, P.; Patuzzo, R.; Tragni, G.; Crippa, F.; Romanidis, K.; Ruggeri, R.; Carbone, A.; et al. Pure Desmoplastic Melanoma: A Melanoma with Distinctive Clinical Behavior. Ann. Surg. 2010, 252, 1052–1057. [Google Scholar] [CrossRef] [PubMed]
- Licata, G.; Scharf, C.; Ronchi, A.; Pellerone, S.; Argenziano, G.; Verolino, P.; Moscarella, E. Diagnosis and Management of Melanoma of the Scalp: A Review of the Literature. Clin. Cosmet Investig. Dermatol. 2021, 14, 1435–1447. [Google Scholar] [CrossRef]
- Pellacani, G.; Guitera, P.; Longo, C.; Avramidis, M.; Seidenari, S.; Menzies, S. The Impact of in Vivo Reflectance Confocal Microscopy for the Diagnostic Accuracy of Melanoma and Equivocal Melanocytic Lesions. J. Investig. Dermatol. 2007, 127, 2759–2765. [Google Scholar] [CrossRef] [PubMed]
- Atak, M.F.; Farabi, B.; Navarrete-Dechent, C.; Rubinstein, G.; Rajadhyaksha, M.; Jain, M. Confocal Microscopy for Diagnosis and Management of Cutaneous Malignancies: Clinical Impacts and Innovation. Diagnostics 2023, 13, 854. [Google Scholar] [CrossRef] [PubMed]
- Maher, N.G.; Solinas, A.; Scolyer, R.A.; Puig, S.; Pellacani, G.; Guitera, P. Detection of Desmoplastic Melanoma with Dermoscopy and Reflectance Confocal Microscopy. J. Eur. Acad. Dermatol. Venereol. 2017, 31, 2016–2024. [Google Scholar] [CrossRef]
- Tang, Z.; Huang, J.; Lu, J.; Chen, J.; Guo, A.; Ding, S. Application and challenge of reflectance confocal microscopy in the diagnosis of pigmented nevus. Skin Res. Technol. 2020, 26, 690–695. [Google Scholar] [CrossRef]
- Latriglia, F.; Ogien, J.; Tavernier, C.; Fischman, S.; Suppa, M.; Perrot, J.-L.; Dubois, A. Line-Field Confocal Optical Coherence Tomography (LC-OCT) for Skin Imaging in Dermatology. Life 2023, 13, 2268. [Google Scholar] [CrossRef] [PubMed]
- Schuh, S.; Ruini, C.; Perwein, M.K.E.; Daxenberger, F.; Gust, C.; Sattler, E.C.; Welzel, J. Line-Field Confocal Optical Coherence Tomography: A New Tool for the Differentiation between Nevi and Melanomas? Cancers 2022, 14, 1140. [Google Scholar] [CrossRef]
- Skelton, H.G.; Smith, K.J.; Laskin, W.B.; McCarthy, W.F.; Gagnier, J.M.; Graham, J.H.; Lupton, G.P. Desmoplastic Malignant Melanoma. J. Am. Acad. Dermatol. 1995, 32, 717–725. [Google Scholar] [CrossRef] [PubMed]
- Hawkins, W.G.; Busam, K.J.; Ben-Porat, L.; Panageas, K.S.; Coit, D.G.; Gyorki, D.E.; Linehan, D.C.; Brady, M.S. Desmoplastic Melanoma: A Pathologically and Clinically Distinct Form of Cutaneous Melanoma. Ann. Surg. Oncol. 2005, 12, 207–213. [Google Scholar] [CrossRef] [PubMed]
- Swetter, S.M.; Thompson, J.A.; Albertini, M.R.; Barker, C.A.; Baumgartner, J.; Boland, G.; Chmielowski, B.; DiMaio, D.; Durham, A.; Fields, R.C.; et al. NCCN Guidelines® Insights: Melanoma: Cutaneous, Version 2.2021: Featured Updates to the NCCN Guidelines. J. Natl. Compr. Canc. Netw. 2021, 19, 364–376. [Google Scholar] [CrossRef] [PubMed]
- Wasif, N.; Gray, R.J.; Pockaj, B.A. Desmoplastic Melanoma—The Step-child in the Melanoma Family? J. Surg. Oncol. 2011, 103, 158–162. [Google Scholar] [CrossRef]
- Egger, M.E.; Huber, K.M.; Dunki-Jacobs, E.M.; Quillo, A.R.; Scoggins, C.R.; Martin, R.C.G.; Stromberg, A.J.; McMasters, K.M.; Callender, G.G. Incidence of Sentinel Lymph Node Involvement in a Modern, Large Series of Desmoplastic Melanoma. J. Am. Coll. Surg. 2013, 217, 37–44. [Google Scholar] [CrossRef]






Disclaimer/Publisher’s Note: The statements, opinions and data contained in all publications are solely those of the individual author(s) and contributor(s) and not of MDPI and/or the editor(s). MDPI and/or the editor(s) disclaim responsibility for any injury to people or property resulting from any ideas, methods, instructions or products referred to in the content. |
© 2024 by the authors. Licensee MDPI, Basel, Switzerland. This article is an open access article distributed under the terms and conditions of the Creative Commons Attribution (CC BY) license (https://creativecommons.org/licenses/by/4.0/).
Share and Cite
Cristescu, M.I.; Popa, L.G.; Cozma, E.C.; Celarel, A.M.; Popa, V.T.; Lupu, M.; Voiculescu, V.M. The Importance of In Vivo Reflectance Confocal Microscopy in a Case of Desmoplastic Melanoma. Life 2024, 14, 574. https://doi.org/10.3390/life14050574
Cristescu MI, Popa LG, Cozma EC, Celarel AM, Popa VT, Lupu M, Voiculescu VM. The Importance of In Vivo Reflectance Confocal Microscopy in a Case of Desmoplastic Melanoma. Life. 2024; 14(5):574. https://doi.org/10.3390/life14050574
Chicago/Turabian StyleCristescu, Miruna Ioana, Liliana Gabriela Popa, Elena Codruta Cozma, Ana Maria Celarel, Valentin Tudor Popa, Mihai Lupu, and Vlad Mihai Voiculescu. 2024. "The Importance of In Vivo Reflectance Confocal Microscopy in a Case of Desmoplastic Melanoma" Life 14, no. 5: 574. https://doi.org/10.3390/life14050574
APA StyleCristescu, M. I., Popa, L. G., Cozma, E. C., Celarel, A. M., Popa, V. T., Lupu, M., & Voiculescu, V. M. (2024). The Importance of In Vivo Reflectance Confocal Microscopy in a Case of Desmoplastic Melanoma. Life, 14(5), 574. https://doi.org/10.3390/life14050574

