Looking into the Eyes to See the Heart of Chronic Kidney Disease Patients
Abstract
1. Introduction
2. Materials and Methods
Statistical Analysis
3. Results
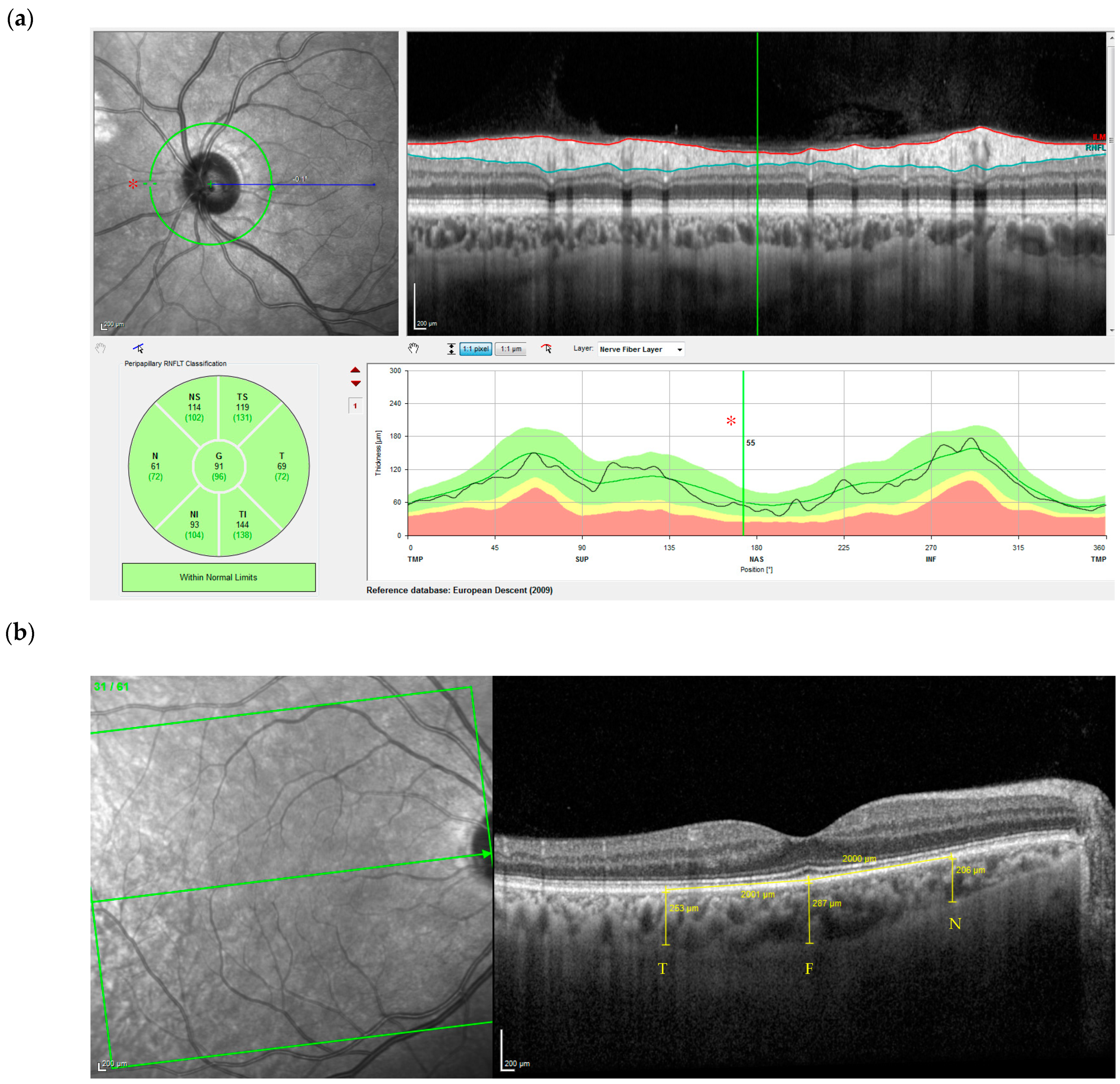
3.1. pRNFL
3.2. CHT
3.3. Severe Calcification and Ophthalmologic Parameters
4. Discussion
5. Conclusions
Author Contributions
Funding
Institutional Review Board Statement
Informed Consent Statement
Data Availability Statement
Acknowledgments
Conflicts of Interest
References
- Hill, N.R.; Fatoba, S.T.; Oke, J.L.; Hirst, J.A.; O’Callaghan, C.A.; Lasserson, D.S.; Hobbs, F.D.R. Global Prevalence of Chronic Kidney Disease—A Systematic Review and Meta-Analysis. PLoS ONE 2016, 11, e0158765. [Google Scholar] [CrossRef] [PubMed]
- Gansevoort, R.T.; Correa-Rotter, R.; Hemmelgarn, B.R.; Jafar, T.H.; Heerspink, H.J.L.; Mann, J.F.; Matsushita, K.; Wen, C.P. Chronic kidney disease and cardiovascular risk: Epidemiology, mechanisms, and prevention. Lancet 2013, 382, 339–352. [Google Scholar] [CrossRef] [PubMed]
- Stevens, P.E.; Levin, A. Kidney Disease: Improving Global Outcomes Chronic Kidney Disease Guideline Development Work Group Members. Evaluation and management of chronic kidney disease: Synopsis of the kidney disease: Improving global outcomes 2012 clinical practice guideline. Ann. Intern. Med. 2013, 158, 825–830. [Google Scholar] [CrossRef] [PubMed]
- Levey, A.S.; Stevens, L.A.; Schmid, C.H.; Zhang, Y.L.; Castro, A.F., 3rd; Feldman, H.I.; Kusek, J.W.; Eggers, P.; Van Lente, F.; Greene, T.; et al. A new equation to estimate glomerular filtration rate. Ann. Intern. Med. 2009, 150, 604–612. [Google Scholar] [CrossRef] [PubMed]
- Soni, R.K.; Weisbord, S.D.; Unruh, M.L. Health-related quality of life outcomes in chronic kidney disease. Curr. Opin. Nephrol. Hypertens. 2010, 19, 153–159. [Google Scholar] [CrossRef] [PubMed]
- Bello, A.K.; Levin, A.; Lunney, M.; Osman, M.A.; Ye, F.; Ashuntantang, G.E.; Bellorin-Font, E.; Gharbi, M.B.; Davison, S.N.; Ghnaimat, M.; et al. Status of care for end stage kidney disease in countries and regions worldwide: International cross sectional survey. BMJ 2019, 367, l5873. [Google Scholar] [CrossRef] [PubMed]
- Farrah, T.E.; Pugh, D.; Chapman, F.A.; Godden, E.; Balmforth, C.; Oniscu, G.C.; Webb, D.J.; Dhillon, B.; Dear, J.W.; Bailey, M.A.; et al. Choroidal and retinal thinning in chronic kidney disease independently associate with eGFR decline and are modifiable with treatment. Nat. Commun. 2023, 14, 7720. [Google Scholar] [CrossRef] [PubMed]
- Stevens, P.; O’Donoghue, D.; de Lusignan, S.; Van Vlymen, J.; Klebe, B.; Middleton, R.; Hague, N.; New, J.; Farmer, C. Chronic kidney disease management in the United Kingdom: NEOERICA project results. Kidney Int. 2007, 72, 92–99. [Google Scholar] [CrossRef] [PubMed]
- Düsing, P.; Zietzer, A.; Goody, P.R.; Hosen, M.R.; Kurts, C.; Nickenig, G.; Jansen, F. Vascular pathologies in chronic kidney disease: Pathophysiological mechanisms and novel therapeutic approaches. J. Mol. Med. 2021, 99, 335–348. [Google Scholar] [CrossRef] [PubMed]
- Fujii, H.; Goto, S.; Fukagawa, M. Role of Uremic Toxins for Kidney, Cardiovascular, and Bone Dysfunction. Toxins 2018, 10, 202. [Google Scholar] [CrossRef] [PubMed]
- Thompson, S.; James, M.; Wiebe, N.; Hemmelgarn, B.; Manns, B.; Klarenbach, S.; Tonelli, M. Cause of Death in Patients with Reduced Kidney Function. J. Am. Soc. Nephrol. 2015, 26, 2504–2511. [Google Scholar] [CrossRef] [PubMed]
- Jankowski, J.; Floege, J.; Fliser, D.; Böhm, M.; Marx, N. Cardiovascular Disease in Chronic Kidney Disease: Pathophysiological Insights and Therapeutic Options. Circulation 2021, 143, 1157–1172. [Google Scholar] [CrossRef] [PubMed]
- NCD Risk Factor Collaboration (NCD-RisC). Worldwide trends in hypertension prevalence and progress in treatment and control from 1990 to 2019: A pooled analysis of 1201 population-representative studies with 104 million participants. Lancet 2021, 398, 957–980. [Google Scholar] [CrossRef] [PubMed]
- Saeedi, P.; Petersohn, I.; Salpea, P.; Malanda, B.; Karuranga, S.; Unwin, N.; Colagiuri, S.; Guariguata, L.; Motala, A.A.; Ogurtsova, K.; et al. Global and regional diabetes prevalence estimates for 2019 and projections for 2030 and 2045: Results from the International Diabetes Federation Diabetes Atlas, 9th edition. Diabetes Res. Clin. Pract. 2019, 157, 107843. [Google Scholar] [CrossRef] [PubMed]
- Houben, A.J.H.M.; Martens, R.J.H.; Stehouwer, C.D.A. Assessing Microvascular Function in Humans from a Chronic Disease Perspective. J. Am. Soc. Nephrol. 2017, 28, 3461–3472. [Google Scholar] [CrossRef]
- Stehouwer, C.D.A. Microvascular Dysfunction and Hyperglycemia: A Vicious Cycle with Widespread Consequences. Diabetes 2018, 67, 1729–1741. [Google Scholar] [CrossRef] [PubMed]
- Levey, A.S.; Coresh, J. Chronic kidney disease. Lancet 2012, 379, 165–180. [Google Scholar] [CrossRef] [PubMed]
- Wong, C.W.; Wong, T.Y.; Cheng, C.Y.; Sabanayagam, C. Kidney and eye diseases: Common risk factors, etiological mechanisms, and pathways. Kidney Int. 2014, 85, 1290–1302. [Google Scholar] [CrossRef] [PubMed]
- Farrah, T.E.; Dhillon, B.; Keane, P.A.; Webb, D.J.; Dhaun, N. The eye, the kidney, and cardiovascular disease: Old concepts, better tools, and new horizons. Kidney Int. 2020, 98, 323–342. [Google Scholar] [CrossRef] [PubMed]
- Lamirel, C. Encyclopedia of the Neurological Sciences, 2nd ed.; Aminoff, M.J., Daroff, R.B., Eds.; Elsevier: Amsterdam, The Netherlands, 2014. [Google Scholar]
- Papathanasiou, K.A.; Kazantzis, D.; Vrachatis, D.A.; Giotaki, S.G.; Papaconstantinou, E.; Kanakis, M.; Avramides, D.; Deftereos, S.; Chatziralli, I.; Georgalas, I. Choroidal thickness in patients with systemic arterial hypertension: A systematic review and meta-analysis. Ther. Adv. Ophthalmol. 2022, 14, 25158414221132825. [Google Scholar] [CrossRef] [PubMed]
- Singh, R.B.; Perepelkina, T.; Testi, I.; Young, B.K.; Mirza, T.; Invernizzi, A.; Biswas, J.; Agarwal, A. Imaging-based Assessment of Choriocapillaris: A Comprehensive Review. Semin. Ophthalmol. 2023, 38, 405–426. [Google Scholar] [CrossRef] [PubMed]
- Chow, J.Y.; She, P.F.; Pee, X.K.; Wan Muda, W.N.; Catherine Bastion, M.L. Comparison of peripapillary retinal nerve fiber layer and macular thickness in non-diabetic chronic kidney disease and controls. PLoS ONE 2022, 17, e0266607. [Google Scholar] [CrossRef] [PubMed]
- Yeung, L.; Wu, I.W.; Liu, C.F.; Lin, Y.T.; Lee, C.C.; Sun, C.C. Accelerated Peripapillary Retinal Nerve Fiber Layer Degeneration in Patients with Chronic Kidney Disease: A 2-Year Longitudinal Study. Transl. Vis. Sci. Technol. 2022, 11, 10. [Google Scholar] [CrossRef] [PubMed]
- Balmforth, C.; Van Bragt, J.J.; Ruijs, T.; Cameron, J.R.; Kimmitt, R.; Moorhouse, R.; Czopek, A.; Hu, M.K.; Gallacher, P.J.; Dear, J.W.; et al. Chorioretinal thinning in chronic kidney disease links to inflammation and endothelial dysfunction. JCI Insight 2016, 1, e89173. [Google Scholar] [CrossRef] [PubMed]
- Basiony, A.I.; Atta, S.N.; Dewidar, N.M.; Zaky, A.G. Association of chorioretinal thickness with chronic kidney disease. BMC Ophthalmol. 2023, 23, 55. [Google Scholar] [CrossRef] [PubMed]
- van Dijk, H.W.; Kok, P.H.B.; Garvin, M.; Sonka, M.; DeVries, J.H.; Michels, R.P.J.; van Velthoven, M.E.J.; Schlingemann, R.O.; Verbraak, F.D.; Abramoff, M.D. Selective loss of inner retinal layer thickness in type 1 diabetic patients with minimal diabetic retinopathy. Invest. Ophthalmol. Vis. Sci. 2009, 50, 3404–3409. [Google Scholar] [CrossRef] [PubMed]
- Scarinci, F.; Picconi, F.; Virgili, G.; Giorno, P.; Di Renzo, A.; Varano, M.; Frontoni, S.; Parravano, M. Single Retinal Layer Evaluation in Patients with Type 1 Diabetes with No or Early Signs of Diabetic Retinopathy: The First Hint of Neurovascular Crosstalk Damage between Neurons and Capillaries? Ophthalmologica 2017, 237, 223–231. [Google Scholar] [CrossRef] [PubMed]
- Matsushita, K.; Ballew, S.H.; Wang, A.Y.M.; Kalyesubula, R.; Schaeffner, E.; Agarwal, R. Epidemiology and risk of cardiovascular disease in populations with chronic kidney disease. Nat. Rev. Nephrol. 2022, 18, 696–707. [Google Scholar] [CrossRef] [PubMed]
- Chen, J.; Budoff, M.J.; Reilly, M.P.; Yang, W.; Rosas, S.E.; Rahman, M.; Zhang, X.; Roy, J.A.; Lustigova, E.; Nessel, L.; et al. Coronary Artery Calcification and Risk of Cardiovascular Disease and Death Among Patients with Chronic Kidney Disease. JAMA Cardiol. 2017, 2, 635–643. [Google Scholar] [CrossRef] [PubMed]
- Sandoval, Y.; Herzog, C.A.; Love, S.A.; Cao, J.; Hu, Y.; Wu, A.H.B.; Gilbertson, D.; Brunelli, S.M.; Young, A.; Ler, R.; et al. Prognostic Value of Serial Changes in High-Sensitivity Cardiac Troponin I and T over 3 Months Using Reference Change Values in Hemodialysis Patients. Clin. Chem. 2016, 62, 631–638. [Google Scholar] [CrossRef] [PubMed]
- Keddis, M.T.; El-Zoghby, Z.; Kaplan, B.; Meeusen, J.W.; Donato, L.J.; Cosio, F.G.; Steidley, D.E. Soluble ST2 does not change cardiovascular risk prediction compared to cardiac troponin T in kidney transplant candidates. PLoS ONE 2017, 12, e0181123. [Google Scholar] [CrossRef] [PubMed]
- Ahmad, M.; Kaszubski, P.A.; Cobbs, L.; Reynolds, H.; Smith, R.T. Choroidal thickness in patients with coronary artery disease. PLoS ONE 2017, 12, e0175691. [Google Scholar] [CrossRef] [PubMed]
- Kocamaz, M.; Karadağ, O.; Onder, S.E. Comparison of choroidal thicknesses in patients with coronary artery disease and patients at risk of coronary artery disease. Int. Ophthalmol. 2021, 41, 2117–2124. [Google Scholar] [CrossRef] [PubMed]
- Phan, K.; Au, C.; Mitchell, P.; Liew, G.; Plant, A.J.H.; Wang, S.B.; Chiha, J.; Thiagalingam, A.; Burlutsky, G.; Gopinath, B. Chronic kidney disease and the severity of coronary artery disease and retinal microvasculature changes: A cross-sectional study. J. Thorac. Dis. 2016, 8, 2111–2114. [Google Scholar] [CrossRef] [PubMed]
- Winkelmayer, W.C.; Eigner, M.; Berger, O.; Grisold, W.; Leithner, C. Optic neuropathy in uremia: An interdisciplinary emergency. Am. J. Kidney Dis. 2001, 37, E23. [Google Scholar] [CrossRef] [PubMed]
- Shim, S.H.; Sung, K.-C.; Kim, J.M.; Lee, M.Y.; Won, Y.S.; Kim, J.H.; Park, K.H. Association between Renal Function and Open-Angle Glaucoma: The Korea National Health and Nutrition Examination Survey 2010–2011. Ophthalmology 2016, 123, 1981–1988. [Google Scholar] [CrossRef] [PubMed]
- Vadalà, M.; Castellucci, M.; Guarrasi, G.; Terrasi, M.; La Blasca, T.; Mulè, G. Retinal and choroidal vasculature changes associated with chronic kidney disease. Graefes Arch. Clin. Exp. Ophthalmol. 2019, 257, 1687–1698. [Google Scholar] [CrossRef] [PubMed]
- Haider, S.; Astbury, N.J.; Hamilton, D.V. Optic neuropathy in uraemic patients on dialysis. Eye 1993, 7 Pt 1, 148–151. [Google Scholar] [CrossRef] [PubMed]
- Sahin, O.Z.; Sahin, S.B.; Ayaz, T.; Karadag, Z.; Turkyilmaz, K.; Aktas, E.; Bostan, M. The impact of hypertension on retinal nerve fiber layer thickness and its association with carotid intima media thickness. Blood Press. 2015, 24, 178–184. [Google Scholar] [CrossRef] [PubMed]
- Chang, I.B.; Lee, J.H.; Kim, J.S. Changes in Choroidal Thickness in and outside the macula after hemodialysis in patients with end-stage renal disease. Retina 2017, 37, 896–905. [Google Scholar] [CrossRef] [PubMed]
- Yang, S.J.; Han, Y.H.; Song, G.I.; Lee, C.H.; Sohn, S.W. Changes of choroidal thickness, intraocular pressure and other optical coherence tomographic parameters after haemodialysis. Clin. Exp. Optom. 2013, 96, 494–499. [Google Scholar] [CrossRef] [PubMed]
- Zhuang, X.; Cao, D.; Zeng, Y.; Yang, D.; Yao, J.; Kuang, J.; Xie, J.; He, M.; Cai, D.; Zhang, S.; et al. Associations between retinal microvasculature/microstructure and renal function in type 2 diabetes patients with early chronic kidney disease. Diabetes Res. Clin. Pract. 2020, 168, 108373. [Google Scholar] [CrossRef] [PubMed]
- Wu, I.; Sun, C.; Lee, C.; Liu, C.; Wong, T.Y.; Chen, S.; Huang, J.C.; Tseng, C.; Yeung, L. Retinal neurovascular changes in chronic kidney disease. Acta Ophthalmol. 2020, 98, e848–e855. [Google Scholar] [CrossRef]
- Paterson, E.N.; Ravindran, M.L.; Griffiths, K.; Le Velly, C.A.; Cardwell, C.C.; McCarter, R.V.; Nicol, P.; Chhablani, J.K.; Rasheed, M.A.; Vupparaboina, K.K.; et al. Association of reduced inner retinal thicknesses with chronic kidney disease. BMC Nephrol. 2020, 21, 37. [Google Scholar] [CrossRef] [PubMed]
- Liu, S.; Wang, W.; Tan, Y.; He, M.; Wang, L.; Li, Y.; Huang, W. Correlation between Renal Function and Peripapillary Choroidal Thickness in Treatment-Naïve Diabetic Eyes Using Swept-Source Optical Coherence Tomography. Curr. Eye Res. 2020, 45, 1526–1533. [Google Scholar] [CrossRef] [PubMed]
- Mulè, G.; Vadalà, M.; La Blasca, T.; Gaetani, R.; Virone, G.; Guarneri, M.; Castellucci, M.; Guarrasi, G.; Terrasi, M.; Cottone, S. Association between early-stage chronic kidney disease and reduced choroidal thickness in essential hypertensive patients. Hypertens. Res. 2019, 42, 990–1000. [Google Scholar] [CrossRef] [PubMed]


| Studied Variables | Value |
|---|---|
| All participants (n) | 127 |
| Male (n, %) | 70 (55%) |
| Age (years, mean ± SD) | 61 ± 7 |
| DM (n, %) | 47 (37%) |
| HT (n, %) | 110 (87%) |
| Non-smokers (n, %) | 40 (31%) |
| eGFR (mL/min/1.73 m2, mean ± SD) | 39 ± 30 |
| BMI (kg/m2, mean ± SD) | 28 ± 5 |
| C-reactive protein (mg/dL, mean ± SD) | 0.6 ± 0.8 |
| High-sensitivity troponin I (ng/L, mean ± SD) | 16 ± 26 |
| NT-ProBNP (pg/mL, mean ± SD) | 2310 ± 6460 |
| Triglycerides (mg/dL, mean ± SD) | 143 ± 72 |
| LDL cholesterol (mg/dL, mean ± SD) | 94 ± 39 |
| HDL cholesterol (mg/dL, mean ± SD) | 48 ± 16 |
| Calcium (mg/dL, mean ± SD) | 9 ± 0.7 |
| Phosphate (mg/dL, mean ± SD) | 4 ± 1.3 |
| PTH (pg/mL, mean ± SD) | 212 ± 245 |
| Vitamin D (ng/mL, mean ± SD) | 20 ± 10 |
| CAC—total (HU, mean ± SD) | 544 ± 1251 |
| CAC—LAD (HU, mean ± SD) | 223 ± 383 |
| CAC—CCA (HU, mean ± SD) | 77 ± 213 |
| CHT (μm, mean ± SD) | 247 ± 81 |
| pRNFL (μm, mean ± SD) | 95 ± 14 |
| pRNFL | CHT | |||
|---|---|---|---|---|
| r | p | r | p | |
| eGFR (mL/min/1.73 m2) | 0.177 | 0.049 * | −0.181 | 0.043 * |
| Age (years) | −0.216 | 0.016 * | −0.291 | 0.001 * |
| CRP (mg/dL) | −0.066 | 0.459 | −0.215 | 0.016 * |
| BMI (kg/m2) | 0.051 | 0.571 | 0.146 | 0.103 |
| Number of antihypertensive drugs | −0.210 | 0.020 * | 0.138 | 0.124 |
| Triglycerides (mg/dL) | 0.187 | 0.037 * | 0.165 | 0.064 |
| LDL cholesterol (mg/dL) | 0.070 | 0.437 | 0.006 | 0.949 |
| HDL cholesterol (mg/dL) | 0.031 | 0.732 | −0.104 | 0.248 |
| PTH (pg/mL) | −0.058 | 0.526 | 0.214 | 0.016 * |
| Vitamin D (ng/mL) | 0.017 | 0.855 | −0.053 | 0.556 |
| Phosphate (mg/dL) | −0.101 | 0.264 | 0.086 | 0.338 |
| Calcium (mg/dL) | 0.016 | 0.863 | −0.041 | 0.358 |
| High-sensitivity troponin I (ng/L) | −0.362 | <0.001 * | −0.161 | 0.072 |
| NT-ProBNP (pg/mL) | −0.063 | 0.449 | −0.093 | 0.302 |
| CAC—total (HU) | −0.194 | 0.032 * | −0.184 | 0.648 |
| CAC—LAD (HU) | −0.245 | 0.006 * | −0.004 | 0.964 |
| CAC—CCA (HU) | −0.216 | 0.016 * | 0.020 | 0.827 |
| (a) | pRNFL | |||||
|---|---|---|---|---|---|---|
| Univariate | Multivariate | |||||
| β | 95% CI | p | β | 95% CI | p | |
| eGFR (mL/min/1.73 m2) | 0.171 | −0.003–0.162 | 0.058 * | 0.128 | −0.026–0.144 | 0.170 |
| Age (years) | −0.212 | −0.786–−0.074 | 0.018 * | −0.189 | −0.739–−0.027 | 0.035 * |
| C-reactive protein (mg/dL) | 0.049 | −2.120–3.727 | 0.587 | - | - | - |
| BMI (kg/m2) | 0.055 | −0.331–0.623 | 0.546 | - | - | - |
| HT | −0.231 | −16.961–2.437 | 0.009 * | −0.151 | −13.771–1.406 | 0.109 |
| Triglycerides (mg/dL) | 0.189 | 0.002–0.071 | 0.036 * | 0.148 | −0.004–0.063 | 0.083 |
| LDL cholesterol (mg/dL) | 0.067 | −0.041–0.090 | 0.459 | - | - | - |
| HDL cholesterol (mg/dL) | 0.030 | −0.136–0.190 | 0.743 | - | - | - |
| PTH (pg/mL) | −0.032 | −0.012–0.009 | 0.725 | - | - | - |
| Vitamin D (ng/mL) | 0.013 | −0.228–0.265 | 0.884 | - | - | - |
| Calcium (mg/dL) | 0.004 | −3.529–3.710 | 0.961 | - | - | - |
| Phosphate (mg/dL) | −0.099 | −2.965–0.851 | 0.275 | - | - | - |
| High-sensitivity troponin I (ng/L) | −0.366 | −0.286–−0.107 | <0.001 * | −0.301 | −0.259–−0.071 | <0.001 * |
| NT-ProBNP (pg/mL) | −0.063 | −0.001–0.000 | 0.486 | - | - | - |
| Total-CAC (HU) | −0.194 | −0.004–0.000 | 0.032 * | −0.119 | −0.003–0.001 | 0.166 |
| LAD-CAC (HU) | −0.245 | −0.015–−0.003 | 0.006 * | −0.152- | −0.012–0.001 | 0.085 |
| Cx-CAC (HU) | −0.216 | −0.026–0.003 | 0.016 * | −0.142 | −0.021–0.002 | 0.102 |
| (b) | CHT | |||||
| Univariate | Multivariate | |||||
| β | 95% CI | p | β | 95% CI | p | |
| eGFR (mL/min/1.73 m2) | −0.190 | −0.977–−0.040 | 0.034 * | −0.120 | −0.831–0.191 | 0.217 |
| Age (years) | −0.288 | −5.340–−1.363 | 0.001 * | −0.221 | −4.556–−0.574 | 0.012 * |
| C-reactive protein (mg/dL) | −0.204 | −35.699–−2.760 | 0.022 * | −0.206 | −35.267–−3.608 | 0.017 * |
| BMI (kg/m2) | 0.150 | −0.398–4.960 | 0.094 | - | - | - |
| HT | 0.065 | −27.050–57.572 | 0.477 | - | - | - |
| Triglycerides (mg/dL) | 0.167 | −0.010–0.388 | 0.062 | - | - | - |
| LDL cholesterol (mg/dL) | 0.002 | −0.369–0.379 | 0.980 | - | - | - |
| HDL cholesterol (mg/dL) | −0.106 | −1.397–0.353 | 0.240 | - | - | - |
| PTH (pg/mL) | 0.260 | 0.029–0.144 | 0.003 * | 0.179 | −0.006–0.125 | 0.074 |
| Vitamin D (ng/mL) | −0.057 | −1.846–0.953 | 0.529 | - | - | - |
| Calcium (mg/dL) | −0.096 | −31.881–9.464 | 0.285 | - | - | - |
| Phosphate (mg/dL) | 0.089 | −5.460–16.453 | 0.323 | - | - | - |
| High-sensitivity troponin I (ng/L) | −0.165 | −1.052–0.033 | 0.065 | - | - | - |
| NT-ProBNP (pg/mL) | −0.094 | −0.003–0.001 | 0.298 | - | - | - |
| Total-CAC (HU) | −0.041 | −0.014–0.009 | 0.648 | - | - | - |
| LAD-CAC (HU) | −0.004 | −0.039–0.037 | 0.964 | - | - | - |
| Cx–CAC (HU) | 0.020 | −0.061–0.076 | 0.827 | - | - | - |
| Agatston <400 HU (n = 88) | Agatston ≥400 HU (n = 39) | p | |
|---|---|---|---|
| eGFR (mL/min/1.73 m2) | 42.8 ± 31.1 | 28.2 ± 26.4 | 0.008 * |
| CKD stage V | 25.0% | 43.6% | 0.036 * |
| Age (years) | 60 ± 7 | 62 ± 7 | 0.071 |
| Sex (male) | 50% | 67% | 0.082 |
| BMI (kg/m2) | 28.0 ± 5.4 | 29.0 ± 5.3 | 0.351 |
| DM | 23.9% | 66.7% | <0.001 * |
| HT | 83% | 95% | 0.069 |
| Smoking (current-ex) | 27.3% | 41.0% | 0.124 |
| C-reactive protein (mg/dL) | 0.5 ± 0.4 | 0.6 ± 0.9 | 0.258 |
| Triglycerides (mg/dL) | 146 ± 73 | 141 ± 71 | 0.701 |
| LDL cholesterol (mg/dL) | 99.3 ± 41.4 | 81.5 ± 28.7 | 0.006 * |
| HDL cholesterol (mg/dL) | 50.0 ± 17.4 | 44.6 ± 13.3 | 0.060 |
| PTH (pg/mL) | 187.1 ± 187 | 258.6 ± 332.5 | 0.125 |
| Vitamin D (ng/mL) | 21.8 ± 9.4 | 18.9 ± 12.1 | 0.144 |
| Calcium (mg/dL) | 9.1 ± 0.7 | 9.1 ± 0.7 | 0.755 |
| Phosphate (mg/dL) | 3.8 ± 1.0 | 4.7 ± 1.7 | 0.004 * |
| High-sensitivity troponin I (ng/L) | 12.0 ± 19.3 | 25.0 ± 36.1 | 0.040 * |
| NT-ProBNP (pg/mL) | 1049.7 ± 2110.6 | 5157.2 ± 10,589.7 | 0.021 * |
| pRNFL (μm) | 97 ±13 | 89 ± 17 | 0.011 * |
| CHT (μm) | 254 ± 78 | 234 ± 88 | 0.208 |
| Multivariate Logistic Regression with Agatston Score | |||
|---|---|---|---|
| OR | 95% CI | p | |
| Model 1 | |||
| Adjusted for: | |||
| • eGFR | 0.998 | 0.980–1.016 | 0.820 |
| • HT | 2.063 | 0.406–10.482 | 0.382 |
| • hyperphosphatemia | 1.615 | 1.083–2.408 | 0.019 * |
| • pRNFL | 0.967 | 0.937–0.997 | 0.032 * |
| Model 2 | |||
| Adjusted for: | |||
| • high-sensitivity troponin I | 1.008 | 0.992–1.025 | 0.333 |
| • NT-ProBNP | 1.000 | 1.000–1.000 | 0.052 |
| • LDL-cholesterol | 0.987 | 0.987–1.000 | 0.058 |
| • pRNFL | 0.967 | 0.936–1.000 | 0.047 * |
| Model 3 | |||
| Adjusted for: | |||
| • DM | 5.462 | 2.196–13.586 | <0.001 * |
| • NT-ProBNP | 1.000 | 1.000–1.000 | 0.041 * |
| • HT | 1.314 | 0.253–6.816 | 0.745 |
| • pRNFL | 0.964 | 0.933–0.996 | 0.029 * |
Disclaimer/Publisher’s Note: The statements, opinions and data contained in all publications are solely those of the individual author(s) and contributor(s) and not of MDPI and/or the editor(s). MDPI and/or the editor(s) disclaim responsibility for any injury to people or property resulting from any ideas, methods, instructions or products referred to in the content. |
© 2024 by the authors. Licensee MDPI, Basel, Switzerland. This article is an open access article distributed under the terms and conditions of the Creative Commons Attribution (CC BY) license (https://creativecommons.org/licenses/by/4.0/).
Share and Cite
Kislikova, M.; Gaitán-Valdizán, J.J.; Parra Blanco, J.A.; García Unzueta, M.T.; Rodríguez Vidriales, M.; Escagedo Cagigas, C.; Piñera Haces, V.C.; Valentín Muñoz, M.d.l.O.; Benito Hernández, A.; Ruiz San Millan, J.C.; et al. Looking into the Eyes to See the Heart of Chronic Kidney Disease Patients. Life 2024, 14, 533. https://doi.org/10.3390/life14040533
Kislikova M, Gaitán-Valdizán JJ, Parra Blanco JA, García Unzueta MT, Rodríguez Vidriales M, Escagedo Cagigas C, Piñera Haces VC, Valentín Muñoz MdlO, Benito Hernández A, Ruiz San Millan JC, et al. Looking into the Eyes to See the Heart of Chronic Kidney Disease Patients. Life. 2024; 14(4):533. https://doi.org/10.3390/life14040533
Chicago/Turabian StyleKislikova, Maria, Jorge Javier Gaitán-Valdizán, José Antonio Parra Blanco, María Teresa García Unzueta, María Rodríguez Vidriales, Clara Escagedo Cagigas, Vicente Celestino Piñera Haces, María de la Oliva Valentín Muñoz, Adalberto Benito Hernández, Juan Carlos Ruiz San Millan, and et al. 2024. "Looking into the Eyes to See the Heart of Chronic Kidney Disease Patients" Life 14, no. 4: 533. https://doi.org/10.3390/life14040533
APA StyleKislikova, M., Gaitán-Valdizán, J. J., Parra Blanco, J. A., García Unzueta, M. T., Rodríguez Vidriales, M., Escagedo Cagigas, C., Piñera Haces, V. C., Valentín Muñoz, M. d. l. O., Benito Hernández, A., Ruiz San Millan, J. C., & Rodrigo Calabia, E. (2024). Looking into the Eyes to See the Heart of Chronic Kidney Disease Patients. Life, 14(4), 533. https://doi.org/10.3390/life14040533

