Isolation and Characterization of Mycoplasma ovipneumoniae Infecting Goats with Pneumonia in Anhui Province, China
Abstract
1. Introduction
2. Materials and Methods
2.1. Region of Study and the Animals Used
2.2. Animals and Sampling
2.3. Histopathology
2.4. Isolation and Identification of M. ovipneumoniae
2.5. Extraction of DNA and Amplification by PCR
2.6. Biochemical Characteristic Tests
3. Results
3.1. Symptoms
3.2. Pathological Manifestation of M. ovipneumoniae Infection
3.3. Frequency of M. ovipneumoniae Infection among the Goats
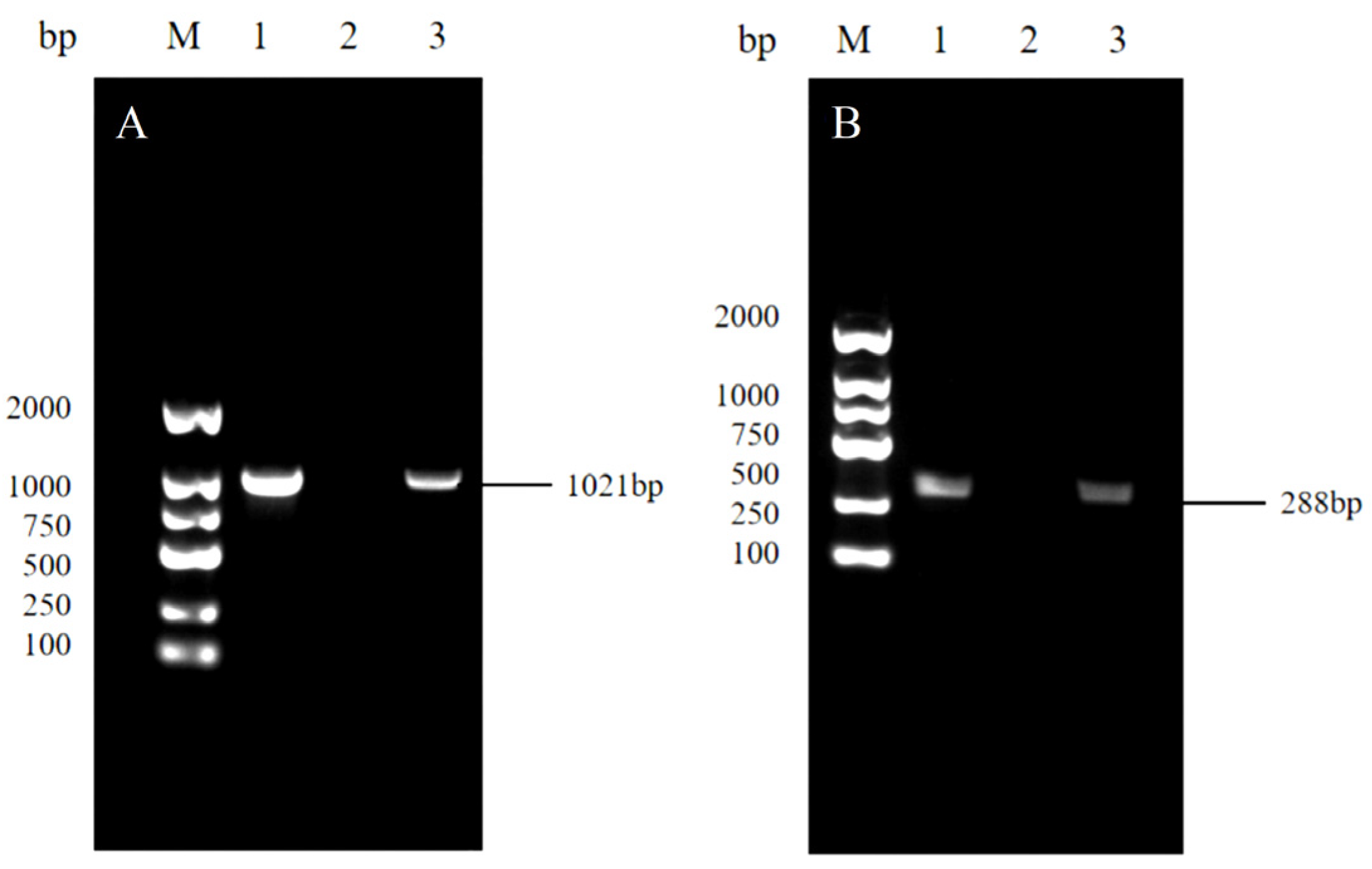
3.4. Molecular Characterization
3.5. Biochemical Test Results
4. Discussion
5. Conclusions
Author Contributions
Funding
Institutional Review Board Statement
Informed Consent Statement
Data Availability Statement
Conflicts of Interest
References
- Ke, T.; Zhao, M.; Zhang, X.; Cheng, Y.; Sun, Y.; Wang, P.; Ren, C.; Cheng, X.; Zhang, Z.; Huang, Y. Review of Feeding Systems Affecting Production, Carcass Attributes, and Meat Quality of Ovine and Caprine Species. Life 2023, 13, 1215. [Google Scholar] [CrossRef] [PubMed]
- FAOSTAT. Production Statistics of the Food Agriculture Organization of The United States. Available online: https://www.fao.org/faostat/en/#data/QCL (accessed on 23 December 2023).
- Asfaw, M.; Senbit, M.; Yesuf, M.; Dagnaw, M.; Birhan, G.; Abat, A.S.; Ibrahim, S.M. A Preliminary Investigation on a Commercial Ovine Pasteurellosis Vaccine Using Clinical and Pathological Endpoints. Infect. Drug Resist. 2022, 15, 2937–2948. [Google Scholar] [CrossRef] [PubMed]
- Mackay, J.; Nisbet, D.; Foggie, A. Isolation of pleuropneumonia-like organisms (Genus Mycoplasma) from case of sheep pulmonary adenomatosis (SPA). Vet. Rec. 1963, 75, 550–551. [Google Scholar]
- Luo, H.; Wu, X.; Xu, Z.; Hao, X.; Wang, Y.; Li, M. NOD2/c-Jun NH2-Terminal Kinase Triggers Mycoplasma ovipneumoniae-Induced Macrophage Autophagy. J. Bacteriol. 2020, 202, e00689-19. [Google Scholar] [CrossRef]
- Amores, J.; Corrales, J.C.; Martín, A.G.; Sánchez, A.; Contreras, A.; de la Fe, C. Comparison of culture and PCR to detect Mycoplasma agalactiae and Mycoplasma mycoides subsp. capri in ear swabs taken from goats. Vet. Microbiol. 2010, 140, 105–108. [Google Scholar] [CrossRef]
- Alley, M.R.; Ionas, G.; Clarke, J.K. Chronic non-progressive pneumonia of sheep in New Zealand—A review of the role of Mycoplasma ovipneumoniae. N. Z. Vet. J. 1999, 47, 155–160. [Google Scholar] [CrossRef] [PubMed]
- Manlove, K.; Branan, M.; Baker, K.; Bradway, D.; Cassirer, E.F.; Marshall, K.L.; Miller, R.S.; Sweeney, S.; Cross, P.C.; Besser, T.E. Risk factors and productivity losses associated with Mycoplasma ovipneumoniae infection in United States domestic sheep operations. Prev. Vet. Med. 2019, 168, 30–38. [Google Scholar] [CrossRef]
- Jaÿ, M.; Ambroset, C.; Tricot, A.; Colin, A.; Tardy, F. Population structure and antimicrobial susceptibility of Mycoplasma ovipneumoniae isolates in France. Vet. Microbiol. 2020, 248, 108828. [Google Scholar] [CrossRef]
- Deeney, A.S.; Collins, R.; Ridley, A.M. Identification of Mycoplasma species and related organisms from ruminants in England and Wales during 2005–2019. BMC Vet Res 2021, 17, 325. [Google Scholar] [CrossRef]
- Nicholas, R.A.J.; Ayling, R.; McAuliffe, L. Respiratory Diseases of Small Ruminants. In Mycoplasma Diseases of Ruminants; CAB International: Wallingford, UK, 2008; pp. 169–198. ISBN 9780851990125. [Google Scholar]
- McAuliffe, L.; Hatchell, F.M.; Ayling, R.D.; King, A.I. Nicholas RA. Detection of Mycoplasma ovipneumoniae in Pasteurella-vaccinated sheep flocks with respiratory disease in England. Vet. Rec. 2003, 153, 687–688. [Google Scholar] [CrossRef]
- Giangaspero, M.; Nicholas, R.A.; Hlusek, M.; Bonfini, B.; Osawa, T.; Orusa, R.; Tatami, S.; Takagi, E.; Moriya, H.; Okura, N.; et al. Seroepidemiological survey of sheep flocks from Northern Japan for Mycoplasma ovipneumoniae and Mycoplasma agalactiae. Trop. Anim. Health Prod. 2012, 44, 395–398. [Google Scholar] [CrossRef]
- Daee, A.A.; Khodakaram-Tafti, A.; Derakhshandeh, A.; Seyedin, M. Identification of Mycoplasma ovipneumoniae and Mycoplasma arginini in sheep with pneumonia in North East of Iran. Iran. J. Vet. Res. 2020, 21, 15–19. [Google Scholar] [PubMed]
- Mousa, W.S.; Zaghawa, A.A.; Elsify, A.M.; Nayel, M.A.; Ibrahim, Z.H.; Al-Kheraije, K.A.; Elhalafawy, H.R.; El-Shafey, D.; Anis, A.; Salama, A.A. Clinical, histopathological, and molecular characterization of Mycoplasma species in sheep and goats in Egypt. Vet. World 2021, 14, 2561–2567. [Google Scholar] [CrossRef]
- Zhao, J.Y.; Du, Y.Z.; Song, Y.P.; Zhou, P.; Chu, Y.F.; Wu, J.Y. Investigation of the Prevalence of Mycoplasma ovipneumoniae in Southern Xinjiang, China. J. Vet. Res. 2021, 65, 155–160. [Google Scholar] [CrossRef] [PubMed]
- Harvey, M.E.; Morrical, D.G.; Rosenbusch, R.F. Sheep flock infections with Mycoplasma ovipneumoniae involve multiple strains. Small Rumin. Res. 2007, 73, 287–290. [Google Scholar] [CrossRef]
- Herväs, J.; Méndez, A.; Gómez-Villamandos, J.C.; Villalba, E.; Díaz, E.; Cano, T.; Carrasco, L.; Padró, J.M.; Fernández, A.; Sierra, M.A. Etiologic and Pathologic Study of Respiratory Disease in Lambs from Intensive Breeding Facilities in Southern Spain. Zentralbl. Veterinarmed. B 1996, 43, 221–231. [Google Scholar]
- Parham, K.; Churchward, C.P.; McAuliffe, L.; Nicholas, R.; Ayling, R. A high level of strain variation within the Mycoplasma ovipneumoniae population of the UK has implications for disease diagnosis and management. Vet. Microbiol. 2006, 118, 83–90. [Google Scholar] [CrossRef] [PubMed]
- Thirkell, D.; Spooner, R.K.; Jones, G.E.; Russell, W.C. Polypeptide and antigenic variability among strains of Mycoplasma ovipneumoniae demonstrated by SDS-PAGE and immunoblotting. Vet. Microbiol. 1990, 21, 241–254. [Google Scholar] [CrossRef]
- Maksimović, Z.; De la Fe, C.; Amores, J.; Gómez-Martín, Á.; Rifatbegović, M. Comparison of phenotypic and genotypic profiles among caprine and ovine Mycoplasma ovipneumoniae strains. Vet. Rec. 2017, 180, 180. [Google Scholar] [CrossRef]
- Ionas, G.; Clarke, J.K.; Marshall, R.B. The isolation of multiple strains of Mycoplasma ovipneumoniae from individual pneumonic sheep lungs. Vet. Microbio 1991, 29, 349–360. [Google Scholar] [CrossRef]
- Dassanayake, R.P.; Shanthalingam, S.; Herndon, C.N.; Subramaniam, R.; Lawrence, P.K.; Bavananthasivam, J.; Cassirer, E.F.; Haldorson, G.J.; Foreyt, W.J.; Rurangirwa, F.R.; et al. Mycoplasma ovipneumoniae can predispose bighorn sheep to fatal Mannheimia haemolytica pneumonia. Vet. Microbiol. 2010, 145, 354–359. [Google Scholar] [CrossRef] [PubMed]
- Robinson, E.; Schulein, C.; Jacobson, B.T.; Jones, K.; Sago, J.; Huber, V.; Jutila, M.; Bimczok, D.; Rynda-Apple, A. Pathophysiology of Influenza D Virus Infection in Specific-Pathogen-Free Lambs with or without Prior Mycoplasma ovipneumoniae Exposure. Viruses 2022, 14, 1422. [Google Scholar] [CrossRef] [PubMed]
- Besser, T.E.; Cassirer, E.F.; Highland, M.A.; Wolff, P.; Justice-Allen, A.; Mansfield, K.; Davis, M.A.; Foreyt, W. Bighorn sheep pneumonia: Sorting out the cause of a polymicrobial disease. Prev. Vet. Med. 2013, 108, 85–93. [Google Scholar] [CrossRef] [PubMed]
- Handeland, K.; Tengs, T.; Kokotovic, B.; Vikoren, T.; Ayling, R.D.; Bergsjo, B.; Sigurðardóttir, Ó.G.; Bretten, T. Mycoplasma ovipneumoniae—A Primary Cause of Severe Pneumonia Epizootics in the Norwegian Muskox (Ovibos moschatus) Population. PLoS ONE 2014, 9, e106116. [Google Scholar] [CrossRef]
- Rovani, E.R.; Beckmen, K.B.; Highland, M.A. Mycoplasma ovipneumoniae Associated with Polymicrobial Pneumonia in a FreeRanging Yearling Barren Ground Caribou (Rangifer tarandus granti) from Alaska, USA. J. Wildl. Dis. 2019, 55, 733–736. [Google Scholar] [CrossRef]
- Wolff, P.L.; Blanchong, J.A.; Nelson, D.D.; Plummer, P.J.; McAdoo, C.; Cox, M.; Besser, T.E.; Muñoz-Gutiérrez, J.; Anderson, C.A. Detection of Mycoplasma ovipneumoniae in Pneumonic Mountain Goat (Oreamnos americanus) Kids. J. Wildl. Dis. 2019, 55, 206–212. [Google Scholar] [CrossRef]
- Maksimović, Z.; De La Fe, C.; Rifatbegović, M. Assessment of in vitro growth characteristics of Mycoplasma ovipneumoniae. Rev. Sci. Tech. 2020, 39, 711–716. [Google Scholar] [CrossRef]
- Wang, X.; Zhang, W.; Hao, Y. Improving Mycoplasma ovipneumoniae Culture Medium by a Comparative Transcriptome Method. J. Vet. Sci. 2020, 21, e30. [Google Scholar] [CrossRef]
- Chen, F.; Chu, Y.F.; Liu, B.H.; Chen, S.L.; Hao, H.F.; Wang, P.Y.; Yan, X.M. Screening and application of specific molecular detection targets for Mycoplasma ovipneumoniae. Chin. Vet. Sci. 2021, 51, 848–856. [Google Scholar] [CrossRef]
- Tamura, K.; Stecher, G.; Kumar, S. MEGA11: Molecular Evolutionary Genetics Analysis Version 11. Mol. Biol. Evol. 2021, 38, 3022–3027. [Google Scholar] [CrossRef] [PubMed]
- Besser, T.E.; Levy, J.; Ackerman, M.; Nelson, D.; Manlove, K.; Potter, K.A.; Busboom, J.; Benson, M. A Pilot Study of the Effects of Mycoplasma ovipneumoniae Exposure on Domestic Lamb Growth and Performance. PLoS ONE 2019, 14, e0207420. [Google Scholar] [CrossRef]
- Sheehan, M.; Cassidy, J.P.; Brady, J.; Ball, H.; Doherty, M.L.; Quinn, P.J.; Nicholas, R.A.; Markey, B.K. An aetiopathological study of chronic bronchopneumonia in lambs in Ireland. Vet. J. 2007, 173, 630–637. [Google Scholar] [CrossRef]
- Gonçalves, R.; Mariano, I.; Núñez, A.; Branco, S.; Fairfoul, G.; Nicholas, R. Atypical non-progressive pneumonia in goats. Vet. J. 2010, 183, 219–221. [Google Scholar] [CrossRef] [PubMed]
- Wang, J.; Liu, H.; Raheem, A.; Ma, Q.; Liang, X.; Guo, Y.; Lu, D. Whole genome sequence of Mycoplasma ovipneumoniae strain NXNK2203 isolated from Hu sheep in Ningxia province, China. Microbiol. Resour. Announc. 2023, 12, e0056523. [Google Scholar] [CrossRef] [PubMed]
- Niang, M.; Rosenbusch, R.F.; Lopez-Virella, J.; Kaeberle, M.L. Expression of functions by normal sheep alveolar macrophages and their alteration by interaction with Mycoplasma ovipneumoniae. Vet. Microbiol. 1997, 58, 31–43. [Google Scholar] [CrossRef] [PubMed]
- Ma, C.; Li, M.; Peng, H.; Lan, M.; Tao, L.; Li, C.; Wu, C.; Bai, H.; Zhong, Y.; Zhong, S.; et al. Mesomycoplasma ovipneumoniae from goats with respiratory infection: Pathogenic characteristics, population structure, and genomic features. BMC Microbiol. 2023, 23, 220. [Google Scholar] [CrossRef] [PubMed]
- Clyde, W.A., Jr.; Hu, P.C. Antigenic determinants of the attachment protein of Mycoplasma pneumoniae shared by other pathogenic Mycoplasma species. Infect. Immun. 1986, 51, 690–692. [Google Scholar] [CrossRef]
- Ayling, R.D.; Nicholas, R.A.J. Mycoplasma Respiratory Infections. In Diseases of Sheep; Aitken, I.D., Ed.; Blackwell Publishing: Oxford, UK, 2007; pp. 231–235. ISBN 978-1-405-13414-9. [Google Scholar]
- Jones, G.E.; Wood, A.R. Microbiological and serological studies on caprine pneumonias in Oman. Res. Vet. Sci. 1988, 44, 125–131. [Google Scholar] [CrossRef] [PubMed]
- Fernández, S.; Galapero, J.; Rey, J.; Pérez, C.J.; Ramos, A.; Rosales, R.; Ayling, R.; Alonso, J.M.; Gómez, L. Investigations into the seasonal presence of Mycoplasma species in fattening lambs. Vet. J. 2016, 212, 80–82. [Google Scholar] [CrossRef]
- Chen, C.; Qiao, J.; Meng, Q.L.; Hu, Z.X.; Ma, Y.; Cai, X.P.; Cheng, Z.B.; Zhang, J.S.; Zhang, Z.C.; Cai, K.J.; et al. Serological and molecular survey of sheep infected with Mycoplasma ovipneumoniae in Xinjiang, China. Trop. Anim. Health Prod. 2015, 47, 1641–1647. [Google Scholar] [CrossRef]
- Rong, G.; Zhao, J.M.; Hou, G.Y.; Zhou, H.L. Seroprevalence and molecular detection of Mycoplasma ovipneumoniae in goats in tropical China. Trop. Anim. Health Prod. 2014, 46, 1491–1495. [Google Scholar] [CrossRef]
- Miles, R.J.; Nicholas, R.A. Introduction. In Methods in Molecular Biology, Mycoplasmas Protocols; Miles, R.J., Nicholas, R.A.J., Eds.; Humana Press: Totowa, NJ, USA, 1998; Volume 104, pp. 1–5. ISBN 0896035255. [Google Scholar]
- Patel, H.; Mackintosh, D.; Ayling, R.D.; Nicholas, R.A.J.; Fielder, M.D. A Novel Medium Devoid of Ruminant Peptone for High Yield Growth of Mycoplasma ovipneumoniae. Vet. Microbiol. 2008, 127, 309–314. [Google Scholar] [CrossRef]
- Weiser, G.C.; Drew, M.L.; Frances Cassirer, E.; Ward, A.C.S. Detection of Mycoplasma ovipneumoniae and M. arginini in Bighorn Sheep Using Enrichment Culture Coupled with Genus- and Species-Specific Polymerase Chain Reaction. J. Wildl. Dis. 2012, 48, 449–453. [Google Scholar] [CrossRef][Green Version]
- Woubit, S.; Lorenzon, S.; Peyraud, A.; Manso-Silván, L.; Thiaucourt, F. A specific PCR for the identification of Mycoplasma capricolum subsp. capripneumoniae, the causative agent of contagious caprine pleuropneumonia (CCPP). Vet. Microbiol. 2004, 104, 125–132. [Google Scholar] [CrossRef]
- Razin, S. Adherence of pathogenic mycoplasmas to host cells. Biosci. Rep. 1999, 19, 367–372. [Google Scholar] [CrossRef] [PubMed][Green Version]
- Krause, D.C.; Balish, M.F. Structure, function, and assembly of the terminal organelle of Mycoplasma pneumoniae. FEMS Microbiol. Lett. 2001, 198, 1–7. [Google Scholar] [CrossRef] [PubMed]
- Adehan, R.K.; Ajuwape, A.T.P.; Adetosoye, A.I.; Alaka, O.O. Characterization of Mycoplasmas isolated from pneumonic lungs of sheep and goats. Small Rumin. Res. 2006, 63, 44–49. [Google Scholar] [CrossRef]
- Bottinelli, M.; Schnee, C.; Lepri, E.; Stefanetti, V.; Filippini, G.; Gobbi, M.; Sebastianelli, M.; Antenucci, P.; Rampacci, E.; Coletti, M. Investigation on mycoplasma populations in pneumonic dairy lamb lungs using a DNA microarray assay. Small Rumin. Res. 2017, 147, 96–100. [Google Scholar] [CrossRef]
- Ivorová, S.; Kopčaková, A.; Pristaš, P.; Kišidayová, S. Morphometric and Molecular Analysis of Five-Spine Epidinium Morphotypes Taken from the Rumen of European Bison, Bison bonasus. Life 2023, 13, 2350. [Google Scholar] [CrossRef] [PubMed]
- Dudek, K.; Sevimli, U.; Migliore, S.; Jafarizadeh, A.; Loria, G.R.; Nicholas, R.A.J. Vaccines for Mycoplasma Diseases of Small Ruminants: A Neglected Area of Research. Pathogens 2022, 11, 75. [Google Scholar] [CrossRef] [PubMed]
- Miles, R.J.; Agbanyim, C. Determination of Substrate Utilisation Rates of Mycoplasmas. In Methods in Molecular Biology, Mycoplasmas Protocols; Miles, R.J., Nicholas, R.A.J., Eds.; Humana Press: Totowa, NJ, USA, 1998; ISBN 0896035255. [Google Scholar]
- Maksimović, Z.; Bačić, A.; Rifatbegović, M. Antimicrobial Susceptibility of Caprine and Ovine Mycoplasma ovipneumoniae Isolates. Microb. Drug Resist. 2020, 26, 1271–1274. [Google Scholar] [CrossRef] [PubMed]
- Nicholas, R.A.J.; Ayling, R.D.; Rosales, R.S.; Myerscough, C. Investigation of severe coughing and ill thrift in adult hill sheep associated with Mycoplasma ovipneumoniae. Vet. Rec. Case Rep. 2015, 3, e000255. [Google Scholar] [CrossRef]






| Number | Species | GenBank Accession Numbers |
|---|---|---|
| 1 | Mesomycoplasma ovipneumoniae strain Y-98 | NR025989.1 |
| 2 | Mesomycoplasma ovipneumoniaee strain FJ-SM | KU870650.1 |
| 3 | Mesomycoplasma ovipneumoniaee strain FJ-FZ | KU870647.1 |
| 4 | Mycoplasma ovipneumoniae strain MoGH3-3 | EF687778.1 |
| 5 | Mycoplasma ovipneumoniae strain GZ-WN | JN257121.1 |
| 6 | Mycoplasma ovipneumoniae strain XJ-3f | DQ000588.1 |
| 7 | Mycoplasma ovipneumoniae strain FJ-01CL | KM982447.1 |
| 8 | Mycoplasma capricolum capricolum strain G5 | U26041.1 |
| 9 | Mycoplasma capricolum subsp. capripneumoniae strain F38 | NR037061.1 |
| 10 | Mycoplasma mycoides subsp. Mycoides strain PG1 | NR074703.1 |
| 11 | Mycoplasma mycoides mycoides LC type Y-goat | U26044.1 |
| 12 | Mycoplasma mycoides subsp. capri strain PG3 | NR044772.1 |
| 13 | Mycoplasma mycoides subsp. capri strain CIRG/Mmc-3 | FJ655555.1 |
| 14 | Escherichia coli (ATCC 11775T) | X80725.1 |
| 15 | BZ-2 (Mesomycoplasma ovipneumoniae strain AH2201) | OR964948.1 |
| 16 | BZ-6 (Mesomycoplasma ovipneumoniae strain AH2202) | OR964949.1 |
| 17 | BZ-10 (Mesomycoplasma ovipneumoniae strain AH2203) | OR964950.1 |
| 18 | BZ-13 (Mesomycoplasma ovipneumoniae strain AH2204) | OR964951.1 |
| 19 | BZ-16 (Mesomycoplasma ovipneumoniae strain AH2205) | OR964952.1 |
| 20 | BZ-18 (Mesomycoplasma ovipneumoniae strain AH2206) | OR964953.1 |
| 21 | BZ-24 (Mesomycoplasma ovipneumoniae strain AH2207) | OR964954.1 |
| 22 | BZ-30 (Mesomycoplasma ovipneumoniae strain AH2208) | OR964955.1 |
| Growth Stage Season | Lambs | Fattening Lambs | Adult Goats | Total | ||||
|---|---|---|---|---|---|---|---|---|
| Positive /Total | Prevalence (%) | Positive /Total | Prevalence (%) | Positive /Total | Prevalence (%) | Positive /Total | Prevalence (%) | |
| Spring | 32/50 | 64.0 | 15/50 | 30.0 | 8/50 | 16.0 | 55/150 | 36.7 |
| Summer | 23/50 | 46.0 | 24/50 | 48.0 | 5/50 | 10.0 | 52/150 | 34.7 |
| Autumn | 9/50 | 18.0 | 10/50 | 20.0 | 3/50 | 6.0 | 22/150 | 14.7 |
| Winter | 17/50 | 34.0 | 8/50 | 16.0 | 11/50 | 22.0 | 36/150 | 24.0 |
| Total | 81/200 | 40.5 | 57/200 | 28.5 | 27/200 | 13.5 | 165/600 | 27.5 |
| Sample Type | Sample Count | Positive | Detection Rate (%) |
|---|---|---|---|
| Nasal swabs | 400 | 80 | 20.0 |
| Pleural fluid | 200 | 21 | 10.5 |
| Lung tissue samples | 120 | 15 | 12.5 |
| Biochemical Test | Isolated Strains | ||||||||
|---|---|---|---|---|---|---|---|---|---|
| Y98 | BZ-2 | BZ-6 | BZ-10 | BZ-13 | BZ-16 | BZ-18 | BZ-24 | BZ-30 | |
| Digitonin sensitivity test | + | + | + | + | + | + | + | + | + |
| Glucose fermentation test | + | + | + | + | + | + | + | + | + |
| Arginine hydrolysis test | − | − | − | − | − | − | − | − | − |
| Urea hydrolysis test | − | − | − | − | − | − | − | − | − |
Disclaimer/Publisher’s Note: The statements, opinions and data contained in all publications are solely those of the individual author(s) and contributor(s) and not of MDPI and/or the editor(s). MDPI and/or the editor(s) disclaim responsibility for any injury to people or property resulting from any ideas, methods, instructions or products referred to in the content. |
© 2024 by the authors. Licensee MDPI, Basel, Switzerland. This article is an open access article distributed under the terms and conditions of the Creative Commons Attribution (CC BY) license (https://creativecommons.org/licenses/by/4.0/).
Share and Cite
Chen, J.; Wang, S.; Dong, D.; Zhang, Z.; Huang, Y.; Zhang, Y. Isolation and Characterization of Mycoplasma ovipneumoniae Infecting Goats with Pneumonia in Anhui Province, China. Life 2024, 14, 218. https://doi.org/10.3390/life14020218
Chen J, Wang S, Dong D, Zhang Z, Huang Y, Zhang Y. Isolation and Characterization of Mycoplasma ovipneumoniae Infecting Goats with Pneumonia in Anhui Province, China. Life. 2024; 14(2):218. https://doi.org/10.3390/life14020218
Chicago/Turabian StyleChen, Jiahong, Shijia Wang, Dong Dong, Zijun Zhang, Yafeng Huang, and Yong Zhang. 2024. "Isolation and Characterization of Mycoplasma ovipneumoniae Infecting Goats with Pneumonia in Anhui Province, China" Life 14, no. 2: 218. https://doi.org/10.3390/life14020218
APA StyleChen, J., Wang, S., Dong, D., Zhang, Z., Huang, Y., & Zhang, Y. (2024). Isolation and Characterization of Mycoplasma ovipneumoniae Infecting Goats with Pneumonia in Anhui Province, China. Life, 14(2), 218. https://doi.org/10.3390/life14020218

