Boswellia serrate Gum Resin Mitigates Renal Toxicity: Role of TNF-α, Interleukins, TGF-β, and Lipid Peroxidation
Abstract
1. Introduction
2. Materials and Methods
3. Results
3.1. HPLC Analysis and Characterization of BS Oleo-Gum Resin
3.2. Effect of BS on Renal Function Parameters
3.3. Effect of BS Treatment on Oxidative Stress Markers
3.4. Effect of BS Treatment on Inflammatory Cytokine Levels After Renal Damage Induction
3.5. Effect of BS on TGF-β Levels After Renal Damage Induction
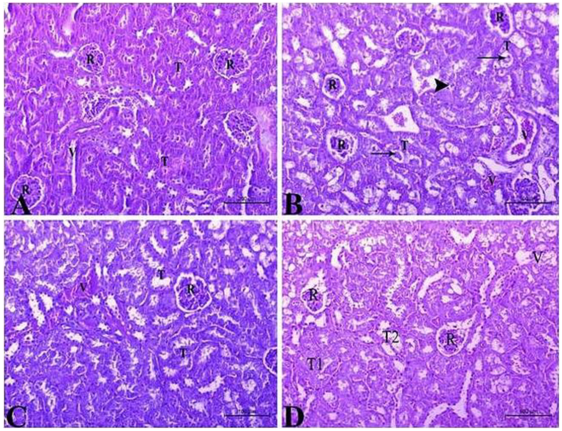
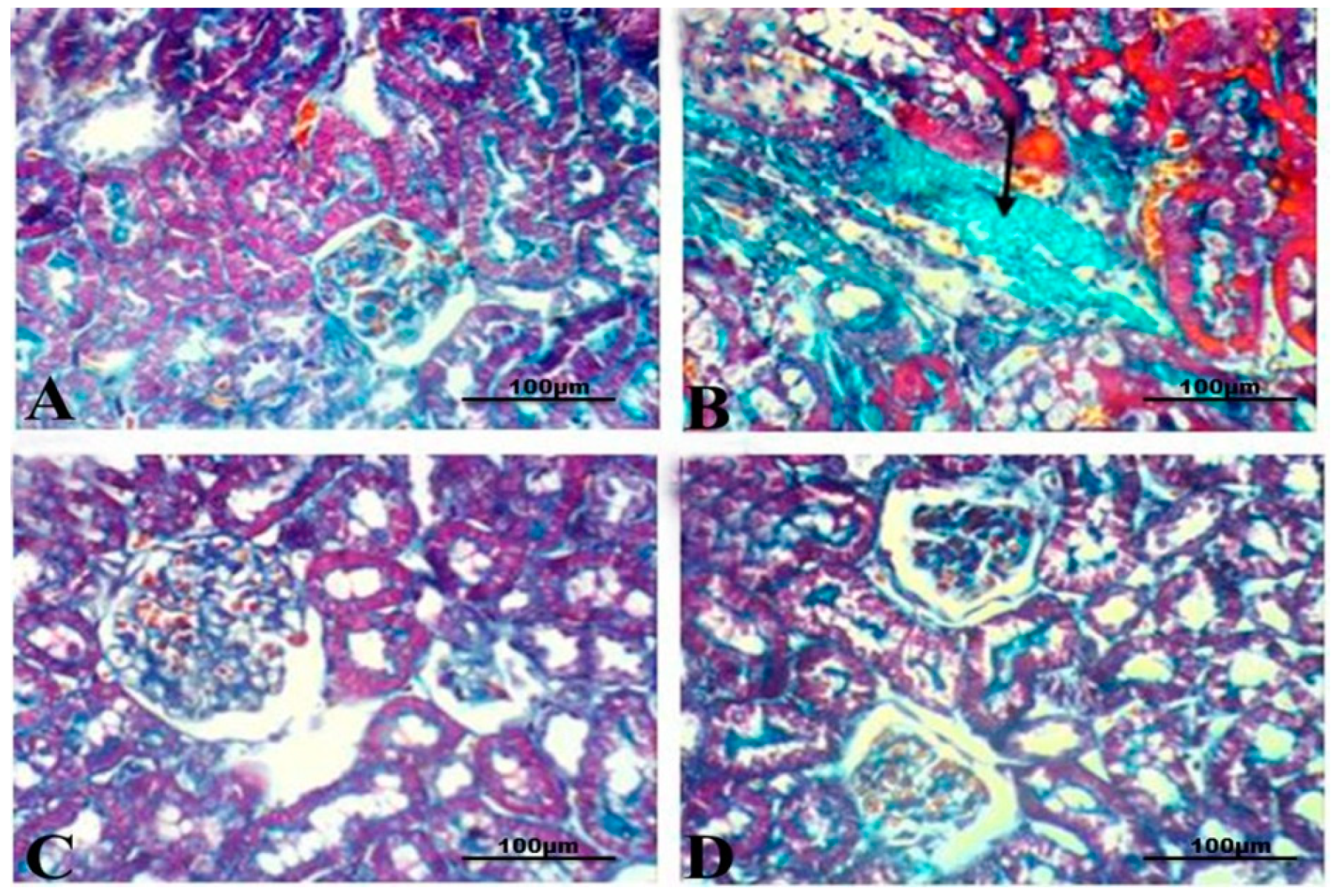
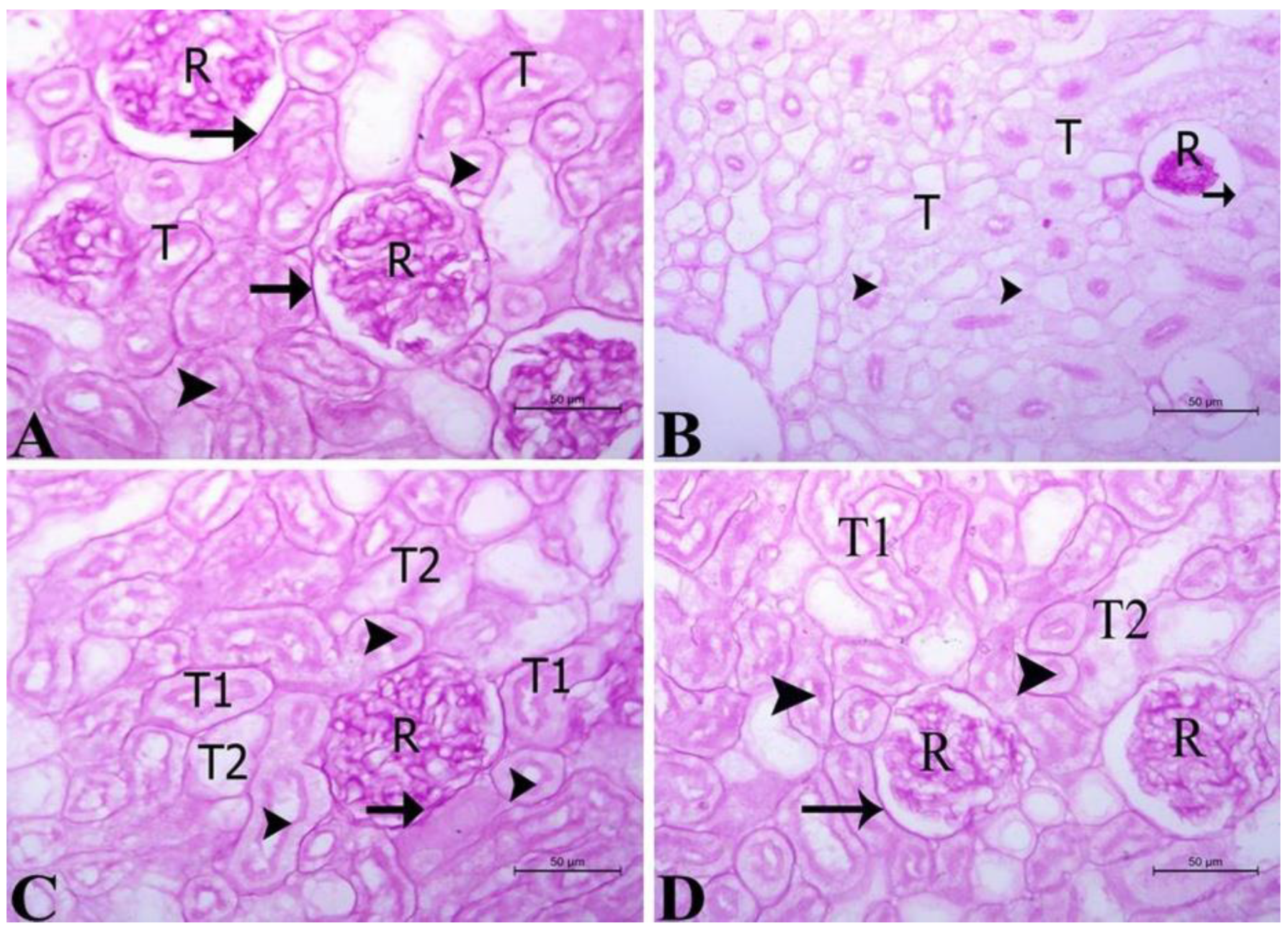
3.6. Effect of BS on Kidney Histology After Induction of Renal Damage
4. Discussion
5. Conclusions
Study Limitation
Author Contributions
Funding
Institutional Review Board Statement
Informed Consent Statement
Data Availability Statement
Conflicts of Interest
References
- Barnett, L.M.; Cummings, B.S. Nephrotoxicity and renal pathophysiology: A contemporary perspective. Toxicol. Sci. 2018, 164, 379–390. [Google Scholar] [CrossRef] [PubMed]
- Kwiatkowska, E.; Domański, L.; Dziedziejko, V.; Kajdy, A.; Stefańska, K.; Kwiatkowski, S. The mechanism of drug nephrotoxicity and the methods for preventing kidney damage. Int. J. Mol. Sci. 2021, 22, 6109. [Google Scholar] [CrossRef]
- Khan, M.R.; Rizvi, W.; Khan, G.N.; Khan, R.A.; Shaheen, S. Carbon tetrachloride-induced nephrotoxicity in rats: Protective role of Digera muricata. J. Ethnopharmacol. 2009, 122, 91–99. [Google Scholar] [CrossRef]
- Thrall, K.D.; Vucelick, M.E.; Gies, R.A.; Benson, J. Comparative metabolism of carbon tetrachloride in rats, mice, and hamsters using gas uptake and PBPK modeling. J. Toxicol. Environ. Health Part A 2000, 60, 531–548. [Google Scholar]
- Ogeturk, M.; Kus, I.; Kavakli, A.; Oner, J.; Kukner, A.; Sarsilmaz, M. Reduction of carbon tetrachloride-induced nephropathy by melatonin administration. Cell Biochem. Funct. 2005, 23, 85–92. [Google Scholar] [CrossRef] [PubMed]
- Nogueira, A.; Pires, M.J.; Oliveira, P.A. Pathophysiological mechanisms of renal fibrosis: A review of animal models and therapeutic strategies. In Vivo 2017, 31, 1–22. [Google Scholar] [CrossRef]
- Sedeek, M.; Nasrallah, R.; Touyz, R.M.; Hébert, R.L. NADPH oxidases, reactive oxygen species, and the kidney: Friend and foe. J. Am. Soc. Nephrol. 2013, 24, 1512–1518. [Google Scholar] [CrossRef]
- Natarajan, S.K.; Basivireddy, J.; Ramachandran, A.; Thomas, S.; Ramamoorthy, P.; Pulimood, A.B.; Jacob, M.; Balasubramanian, K.A. Renal damage in experimentally-induced cirrhosis in rats: Role of oxygen free radicals. Hepatology 2006, 43, 1248–1256. [Google Scholar] [CrossRef] [PubMed]
- Kehrer, J.P.; Klotz, L.O. Free radicals and related reactive species as mediators of tissue injury and disease: Implications for Health. Crit. Rev. Toxicol. 2015, 45, 765–798. [Google Scholar] [CrossRef]
- Liu, W.-H.; Tang, N.-N.; Zhang, Q.-D. Could mycophenolate mofetil combined with benazapril delay tubulointerstitial fibrosis in 5/6 nephrectomized rats? Chin. Med. J. 2009, 122, 199–204. [Google Scholar] [CrossRef]
- Yang, J.; Chen, J.; Yan, J.; Zhang, L.; Chen, G.; He, L.; Wang, Y. Effect of interleukin 6 deficiency on renal interstitial fibrosis. PLoS ONE 2012, 7, e52415. [Google Scholar] [CrossRef]
- Afsar, B.; Covic, A.; Ortiz, A.; Afsar, R.E.; Kanbay, M. The Future of IL-1 Targeting in Kidney Disease. Drugs 2018, 78, 1073–1083. [Google Scholar] [CrossRef] [PubMed]
- Isaka, Y. Targeting TGF-β signaling in kidney fibrosis. Int. J. Mol. Sci. 2018, 19, 2532. [Google Scholar] [CrossRef]
- Jamshidzadeh, A.; Heidari, R.; Razmjou, M.; Karimi, F.; Moein, M.R.; Farshad, O.; Akbarizadeh, A.R.; Shayesteh, M.R. An in vivo and in vitro investigation on hepatoprotective effects of Pimpinella anisum seed essential oil and extracts against carbon tetrachloride-induced toxicity. Iran. J. Basic. Med. Sci. 2015, 18, 205–211. [Google Scholar] [PubMed]
- Ekor, M. The growing use of herbal medicines: Issues relating to adverse reactions and challenges in monitoring safety. Front. Pharmacol. 2014, 4, 177. [Google Scholar] [CrossRef]
- Lemenith, M.; Teketay, D. Frankincense and myrrh resources of Ethiopia: II. Medicinal and industrial uses. SINET Ethiop. J. Sci. 2003, 26, 161–172. [Google Scholar] [CrossRef]
- Siddiqui, M. Boswellia serrata, a potential antiinflammatory agent: An overview. Indian J. Pharm. Sci. 2011, 73, 255. [Google Scholar]
- Eltahir, H.M.; Fawzy, M.A.; Mohamed, E.M.; Alrehany, M.A.; Shehata, A.M.; Abouzied, M.M. Antioxidant, anti-inflammatory and anti-fibrotic effects of Boswellia serrate gum resin in CCl(4)-induced hepatotoxicity. Exp. Ther. Med. 2020, 19, 1313–1321. [Google Scholar] [CrossRef]
- Miscioscia, E.; Shmalberg, J.; Scott, K.C. Measurement of 3-acetyl-11-keto-beta-boswellic acid and 11-keto-beta-boswellic acid in Boswellia serrata supplements administered to dogs. BMC Vet. Res. 2019, 15, 270. [Google Scholar] [CrossRef] [PubMed]
- Ahmad, S.; Khan, S.A.; Kindelin, A.; Mohseni, T.; Bhatia, K.; Hoda, M.N.; Ducruet, A.F. Acetyl-11-keto-β-boswellic acid (AKBA) attenuates oxidative stress, inflammation, complement activation and cell death in brain endothelial cells following OGD/reperfusion. Neuromol. Med. 2019, 21, 505–516. [Google Scholar] [CrossRef] [PubMed]
- Ammon, H. Boswellic acids and their role in chronic inflammatory diseases. Anti-Inflamm. Nutraceuticals Chronic Dis. 2016, 928, 291–327. [Google Scholar]
- Gilbert, N.C.; Gerstmeier, J.; Schexnaydre, E.E.; Börner, F.; Garscha, U.; Neau, D.B.; Werz, O.; Newcomer, M.E. Structural and mechanistic insights into 5-lipoxygenase inhibition by natural products. Nat. Chem. Biol. 2020, 16, 783–790. [Google Scholar] [CrossRef] [PubMed]
- Ammon, H.P. Boswellic acids in chronic inflammatory diseases. Planta Med. 2006, 72, 1100–1116. [Google Scholar] [CrossRef]
- Tawab, M.A.; Kaunzinger, A.; Bahr, U.; Karas, M.; Wurglics, M.; Schubert-Zsilavecz, M. Development of a high-performance liquid chromatographic method for the determination of 11-keto-beta-boswellic acid in human plasma. J. Chromatogr. B Biomed. Sci. Appl. 2001, 761, 221–227. [Google Scholar] [CrossRef]
- Wang, G.; Li, Z.; Li, H.; Li, L.; Li, J.; Yu, C. Metabolic profile changes of CCl4-liver fibrosis and inhibitory effects of Jiaqi Ganxian granule. Molecules 2016, 21, 698. [Google Scholar] [CrossRef]
- Shehata, A.M.; Quintanilla-Fend, L.; Bettio, S.; Singh, C.; Ammon, H. Prevention of multiple low-dose streptozotocin (MLD-STZ) diabetes in mice by an extract from gum resin of Boswellia serrata (BE). Phytomedicine 2011, 18, 1037–1044. [Google Scholar] [CrossRef] [PubMed]
- Sajid, M.; Khan, M.R.; Shah, N.A.; Ullah, S.; Younis, T.; Majid, M.; Ahmad, B.; Nigussie, D. Proficiencies of Artemisia scoparia against CCl4 induced DNA damages and renal toxicity in rat. BMC Complement. Altern. Med. 2016, 16, 149. [Google Scholar] [CrossRef]
- Okuma, M.; Steiner, M.; Baldini, M. Studies on lipid peroxides in platelets. I. Method of assay and effect of storage. J. Lab. Clin. Med. 1970, 75, 283–296. [Google Scholar]
- Claiborne, A. Handbook of Methods for Oxygen Radical Research; CRC Press: Boca Raton, FL, USA, 1985; pp. 283–284. [Google Scholar]
- Rice-Evans, C.; Miller, N.J. Total Antioxidant Status in Plasma and Body Fluids. In Methods in Enzymology; Elsevier: Amsterdam, The Netherlands, 1994; pp. 279–293. [Google Scholar]
- Kim, S.Y.; Moon, A. Drug-induced nephrotoxicity and its biomarkers. Biomol. Ther. 2012, 20, 268. [Google Scholar] [CrossRef] [PubMed]
- Unsal, V.; Cicek, M.; Sabancilar, İ. Toxicity of carbon tetrachloride, free radicals and role of antioxidants. Rev. Environ. Health 2021, 36, 279–295. [Google Scholar] [CrossRef]
- Haghi, M.E.; Dehghan, G.; Banihabib, N.; Zare, S.; Mikaili, P.; Panahi, F. Protective effects of Cornus mas fruit extract on carbon tetrachloride induced nephrotoxicity in rats. Indian J. Nephrol. 2014, 24, 291. [Google Scholar]
- Ozturk, F.; Ucar, M.; Ozturk, I.C.; Vardi, N.; Batcioglu, K. Carbon tetrachloride-induced nephrotoxicity and protective effect of betaine in Sprague-Dawley rats. Urology 2003, 62, 353–356. [Google Scholar] [CrossRef]
- Ronis, M.J.; Huang, J.; Longo, V.; Tindberg, N.; Ingelman-Sundberg, M.; Badger, T.M. Expression and distribution of cytochrome P450 enzymes in male rat kidney: Effects of ethanol, acetone and dietary conditions. Biochem. Pharmacol. 1998, 55, 123–129. [Google Scholar] [CrossRef]
- Lobo, V.; Patil, A.; Phatak, A.; Chandra, N. Free radicals, antioxidants and functional foods: Impact on human health. Pharmacogn. Rev. 2010, 4, 118. [Google Scholar] [CrossRef]
- Jha, J.C.; Banal, C.; Chow, B.S.; Cooper, M.E.; Jandeleit-Dahm, K. Diabetes and kidney disease: Role of oxidative stress. Antioxid. Redox Signal. 2016, 25, 657–684. [Google Scholar] [CrossRef] [PubMed]
- Weber, L.W.; Boll, M.; Stampfl, A. Hepatotoxicity and mechanism of action of haloalkanes: Carbon tetrachloride as a toxicological model. Crit. Rev. Toxicol. 2003, 33, 105–136. [Google Scholar] [CrossRef] [PubMed]
- Kurutas, E.B. The importance of antioxidants which play the role in cellular response against oxidative/nitrosative stress: Current state. Nutr. J. 2015, 15, 71. [Google Scholar] [CrossRef] [PubMed]
- Baba, S.P.; Bhatnagar, A. Role of Thiols in Oxidative Stress. Curr. Opin. Toxicol. 2018, 7, 133–139. [Google Scholar] [CrossRef]
- Ganie, S.A.; Haq, E.; Hamid, A.; Qurishi, Y.; Mahmood, Z.; Zargar, B.A.; Masood, A.; Zargar, M.A. Carbon tetrachloride induced kidney and lung tissue damages and antioxidant activities of the aqueous rhizome extract of Podophyllum hexandrum. BMC Complement. Altern. Med. 2011, 11, 17. [Google Scholar] [CrossRef] [PubMed]
- Hassan, M.H.; Bahashawan, S.A.; Abdelghany, T.M.; Abd-Allah, G.M.; Ghobara, M.M. Crocin Abrogates Carbon Tetrachloride-Induced Renal Toxicity in Rats via Modulation of Metabolizing Enzymes and Diminution of Oxidative Stress, Apoptosis, and Inflammatory Cytokines. J. Biochem. Mol. Toxicol. 2015, 29, 330–339. [Google Scholar] [CrossRef]
- Safhi, M.M. Nephroprotective effect of Zingerone against CCl4-induced renal toxicity in Swiss albino mice: Molecular mechanism. Oxidative Med. Cell. Longev. 2018, 2018, 2474831. [Google Scholar] [CrossRef] [PubMed]
- Tinti, F.; Lai, S.; Noce, A.; Rotondi, S.; Marrone, G.; Mazzaferro, S.; Di Daniele, N.; Mitterhofer, A.P. Chronic kidney disease as a systemic inflammatory syndrome: Update on mechanisms involved and potential treatment. Life 2021, 11, 419. [Google Scholar] [CrossRef]
- Hussain, T.; Tan, B.; Yin, Y.; Blachier, F.; Tossou, M.C.; Rahu, N. Oxidative stress and inflammation: What polyphenols can do for us? Oxidative Med. Cell. Longev. 2016, 2016, 7432797. [Google Scholar] [CrossRef]
- Elmarakby, A.A.; Sullivan, J.C. Relationship between oxidative stress and inflammatory cytokines in diabetic nephropathy. Cardiovasc. Ther. 2012, 30, 49–59. [Google Scholar] [CrossRef] [PubMed]
- Andrade-Oliveira, V.; Foresto-Neto, O.; Watanabe, I.K.M.; Zatz, R.; Câmara, N.O.S. Inflammation in renal diseases: New and old players. Front. Pharmacol. 2019, 10, 1192. [Google Scholar] [CrossRef] [PubMed]
- Mihai, S.; Codrici, E.; Popescu, I.D.; Enciu, A.-M.; Albulescu, L.; Necula, L.G.; Mambet, C.; Anton, G.; Tanase, C. Inflammation-related mechanisms in chronic kidney disease prediction, progression, and outcome. J. Immunol. Res. 2018, 2018, 2180373. [Google Scholar] [CrossRef]
- Ramesh, G.; Reeves, W.B. Inflammatory cytokines in acute renal failure. Kidney Int. Suppl. 2004, 66, S56–S61. [Google Scholar] [CrossRef] [PubMed]
- Zhang, L.; Liu, C.; Yin, L.; Huang, C.; Fan, S. Mangiferin relieves CCl4-induced liver fibrosis in mice. Sci. Rep. 2023, 13, 4172. [Google Scholar] [CrossRef]
- Black, L.M.; Lever, J.M.; Agarwal, A. Renal inflammation and fibrosis: A double-edged sword. J. Histochem. Cytochem. 2019, 67, 663–681. [Google Scholar] [CrossRef] [PubMed]
- Therrien, F.J.; Agharazii, M.; Lebel, M.; Larivière, R. Neutralization of tumor necrosis factor-alpha reduces renal fibrosis and hypertension in rats with renal failure. Am. J. Nephrol. 2012, 36, 151–161. [Google Scholar] [CrossRef]
- He, L.; Wei, Q.; Liu, J.; Yi, M.; Liu, Y.; Liu, H.; Sun, L.; Peng, Y.; Liu, F.; Venkatachalam, M.A. AKI on CKD: Heightened injury, suppressed repair, and the underlying mechanisms. Kidney Int. 2017, 92, 1071–1083. [Google Scholar] [CrossRef] [PubMed]
- Guo, H.; Callaway, J.B.; Ting, J.P. Inflammasomes: Mechanism of action, role in disease, and therapeutics. Nat. Med. 2015, 21, 677–687. [Google Scholar] [CrossRef] [PubMed]
- Dinarello, C.A. Immunological and inflammatory functions of the interleukin-1 family. Annu. Rev. Immunol. 2009, 27, 519–550. [Google Scholar] [CrossRef] [PubMed]
- Mutsaers, H.A.M.; Norregaard, R. Prostaglandin E2 receptors as therapeutic targets in renal fibrosis. Kidney Res. Clin. Pract. 2022, 41, 4–13. [Google Scholar] [CrossRef]
- He, S.; Zhao, W.; Chen, X.; Li, J.; Zhang, L.; Jin, H. Ameliorative Effects of Peptide Phe-Leu-Ala-Pro on Acute Liver and Kidney Injury Caused by CCl(4) via Attenuation of Oxidative Stress and Inflammation. ACS Omega 2022, 7, 44796–44803. [Google Scholar] [CrossRef] [PubMed]
- Borthwick, L.A.; Wynn, T.A.; Fisher, A.J. Cytokine mediated tissue fibrosis. Biochim. Biophys. Acta (BBA)-Mol. Basis Dis. 2013, 1832, 1049–1060. [Google Scholar] [CrossRef]
- Lemos, D.R.; McMurdo, M.; Karaca, G.; Wilflingseder, J.; Leaf, I.A.; Gupta, N.; Miyoshi, T.; Susa, K.; Johnson, B.G.; Soliman, K.; et al. Interleukin-1beta Activates a MYC-Dependent Metabolic Switch in Kidney Stromal Cells Necessary for Progressive Tubulointerstitial Fibrosis. J. Am. Soc. Nephrol. 2018, 29, 1690–1705. [Google Scholar] [CrossRef]
- Lei, Y.; Devarapu, S.K.; Motrapu, M.; Cohen, C.D.; Lindenmeyer, M.T.; Moll, S.; Kumar, S.V.; Anders, H.J. Interleukin-1beta Inhibition for Chronic Kidney Disease in Obese Mice With Type 2 Diabetes. Front. Immunol. 2019, 10, 1223. [Google Scholar] [CrossRef] [PubMed]
- Kitanaka, N.; Nakano, R.; Sugiura, K.; Kitanaka, T.; Namba, S.; Konno, T.; Nakayama, T.; Sugiya, H. Interleukin-1beta promotes interleulin-6 expression via ERK1/2 signaling pathway in canine dermal fibroblasts. PLoS ONE 2019, 14, e0220262. [Google Scholar] [CrossRef] [PubMed]
- Su, H.; Lei, C.T.; Zhang, C. Interleukin-6 Signaling Pathway and Its Role in Kidney Disease: An Update. Front. Immunol. 2017, 8, 405. [Google Scholar] [CrossRef]
- Qazi, B.S.; Tang, K.; Qazi, A. Recent advances in underlying pathologies provide insight into interleukin-8 expression-mediated inflammation and angiogenesis. Int. J. Inflamm. 2011, 2011, 908468. [Google Scholar] [CrossRef] [PubMed]
- He, Q.; Shi, X.; Zhou, B.; Teng, J.; Zhang, C.; Liu, S.; Lian, J.; Luo, B.; Zhao, G.; Lu, H.; et al. Corrigendum to “Interleukin 8 (CXCL8)-CXC chemokine receptor 2 (CXCR2) axis contributes to MiR-4437-associated recruitment of granulocytes and natural killer cells in ischemic stroke” [Mol. Immunol. 101 (2018) 440–449]. Mol. Immunol. 2022, 146, 87–89. [Google Scholar] [CrossRef]
- Wu, S.; Fang, Z.; Zhou, S. Saturated hydrogen alleviates CCl(4)-induced acute kidney injury via JAK2/STAT3/p65 signaling. J. Int. Med. Res. 2020, 48, 300060519895353. [Google Scholar] [CrossRef]
- Amrouche, L.; Desbuissons, G.; Rabant, M.; Sauvaget, V.; Nguyen, C.; Benon, A.; Barre, P.; Rabate, C.; Lebreton, X.; Gallazzini, M.; et al. MicroRNA-146a in Human and Experimental Ischemic AKI: CXCL8-Dependent Mechanism of Action. J. Am. Soc. Nephrol. 2017, 28, 479–493. [Google Scholar] [CrossRef] [PubMed]
- Genovese, F.; Manresa, A.A.; Leeming, D.J.; Karsdal, M.A.; Boor, P. The extracellular matrix in the kidney: A source of novel non-invasive biomarkers of kidney fibrosis? Fibrogenesis Tissue Repair. 2014, 7, 4. [Google Scholar] [CrossRef] [PubMed]
- Yuan, Q.; Tan, R.J.; Liu, Y. Myofibroblast in Kidney Fibrosis: Origin, Activation, and Regulation. Adv. Exp. Med. Biol. 2019, 1165, 253–283. [Google Scholar] [CrossRef]
- Huang, A.; Guo, G.; Yu, Y.; Yao, L. The roles of collagen in chronic kidney disease and vascular calcification. J. Mol. Med. 2021, 99, 75–92. [Google Scholar] [CrossRef]
- Meng, X.M.; Tang, P.M.; Li, J.; Lan, H.Y. TGF-beta/Smad signaling in renal fibrosis. Front. Physiol. 2015, 6, 82. [Google Scholar] [CrossRef] [PubMed]
- McCarty, M.F. Adjuvant strategies for prevention of glomerulosclerosis. Med. Hypotheses 2006, 67, 1277–1296. [Google Scholar] [CrossRef]
- Li, N.N.; Xu, Y.Y.; Chen, X.L.; Fan, Y.P.; Wu, J.H. Role of the prostaglandin E2/E-prostanoid 2 receptor signalling pathway in TGFbeta-induced mice mesangial cell damage. Biosci. Rep. 2014, 34, e00159. [Google Scholar] [CrossRef]
- Ma, J.Q.; Zhang, Y.J.; Tian, Z.K.; Liu, C.M. Bixin attenuates carbon tetrachloride induced oxidative stress, inflammation and fibrosis in kidney by regulating the Nrf2/TLR4/MyD88 and PPAR-gamma/TGF-beta1/Smad3 pathway. Int. Immunopharmacol. 2021, 90, 107117. [Google Scholar] [CrossRef]
- Hamed, M.A.; Ali, S.A.; El-Rigal, N.S. Therapeutic potential of ginger against renal injury induced by carbon tetrachloride in rats. Sci. World J. 2012, 2012, 840421. [Google Scholar] [CrossRef] [PubMed]
- Hismiogullari, A.A.; Hismiogullari, S.E.; Karaca, O.; Sunay, F.B.; Paksoy, S.; Can, M.; Kus, I.; Seyrek, K.; Yavuz, O. The protective effect of curcumin administration on carbon tetrachloride (CCl4)-induced nephrotoxicity in rats. Pharmacol. Rep. 2015, 67, 410–416. [Google Scholar] [CrossRef]
- Jayakumar, T.; Sakthivel, M.; Thomas, P.A.; Geraldine, P. Pleurotus ostreatus, an oyster mushroom, decreases the oxidative stress induced by carbon tetrachloride in rat kidneys, heart and brain. Chem. Biol. Interact. 2008, 176, 108–120. [Google Scholar] [CrossRef] [PubMed]
- Hartmann, R.M.; Fillmann, H.S.; Martins, M.I.; Meurer, L.; Marroni, N.P. Boswellia serrata has beneficial anti-inflammatory and antioxidant properties in a model of experimental colitis. Phytother. Res. 2014, 28, 1392–1398. [Google Scholar] [CrossRef] [PubMed]
- Ammon, H.P. Modulation of the immune system by Boswellia serrata extracts and boswellic acids. Phytomedicine 2010, 17, 862–867. [Google Scholar] [CrossRef]
- Büchele, B.; Zugmaier, W.; Simmet, T. Analysis of pentacyclic triterpenic acids from frankincense gum resins and related phytopharmaceuticals by high-performance liquid chromatography. Identification of lupeolic acid, a novel pentacyclic triterpene. J. Chromatogr. B 2003, 791, 21–30. [Google Scholar] [CrossRef]






| Control | CCl4 | CCl4 + BS | CCl4 + SIL | |
|---|---|---|---|---|
| Creatinine (mg/dL) | 0.66 ± 0.05 | 2.05 ± 0.13 * | 0.67 ± 0.06 # | 0.73 ± 0.04 # |
| Urea (mg/dL) | 41.67 ± 2.62 | 91.18 ± 7.70 * | 53.50 ± 3.14 # | 50.41 ± 3.60 # |
| MDA (nmol/g tissue) | 3.44 ± 0.21 | 7.21 ± 0.50 * | 4.80 ± 0.25 # | 5.11 ± 0.43 # |
| CAT (U/mg protein) | 168.11 ± 7.88 | 56.93 ± 3.93 * | 91.71 ± 5.32 # | 99.13 ± 5.56 # |
| Total Antioxidant Capacity (U/mg protein) | 1.23 ± 0.06 | 0.40 ± 0.03 * | 0.76 ± 0.05 # | 0.77 ± 0.04 # |
Disclaimer/Publisher’s Note: The statements, opinions and data contained in all publications are solely those of the individual author(s) and contributor(s) and not of MDPI and/or the editor(s). MDPI and/or the editor(s) disclaim responsibility for any injury to people or property resulting from any ideas, methods, instructions or products referred to in the content. |
© 2024 by the authors. Licensee MDPI, Basel, Switzerland. This article is an open access article distributed under the terms and conditions of the Creative Commons Attribution (CC BY) license (https://creativecommons.org/licenses/by/4.0/).
Share and Cite
Eltahir, H.M.; Shalkami, A.-G.S.; Shehata, A.M.; Almikhlafi, M.; Aldhafiri, A.J.; Alalawi, A.; Albadrani, M.; Mahmoud, A.B.; Abouzied, M.M. Boswellia serrate Gum Resin Mitigates Renal Toxicity: Role of TNF-α, Interleukins, TGF-β, and Lipid Peroxidation. Life 2024, 14, 1669. https://doi.org/10.3390/life14121669
Eltahir HM, Shalkami A-GS, Shehata AM, Almikhlafi M, Aldhafiri AJ, Alalawi A, Albadrani M, Mahmoud AB, Abouzied MM. Boswellia serrate Gum Resin Mitigates Renal Toxicity: Role of TNF-α, Interleukins, TGF-β, and Lipid Peroxidation. Life. 2024; 14(12):1669. https://doi.org/10.3390/life14121669
Chicago/Turabian StyleEltahir, Heba M., Abdel-Gawad S. Shalkami, Ahmed M. Shehata, Mohannad Almikhlafi, Ahmed J. Aldhafiri, Ali Alalawi, Muayad Albadrani, Ahmad Bakur Mahmoud, and Mekky M. Abouzied. 2024. "Boswellia serrate Gum Resin Mitigates Renal Toxicity: Role of TNF-α, Interleukins, TGF-β, and Lipid Peroxidation" Life 14, no. 12: 1669. https://doi.org/10.3390/life14121669
APA StyleEltahir, H. M., Shalkami, A.-G. S., Shehata, A. M., Almikhlafi, M., Aldhafiri, A. J., Alalawi, A., Albadrani, M., Mahmoud, A. B., & Abouzied, M. M. (2024). Boswellia serrate Gum Resin Mitigates Renal Toxicity: Role of TNF-α, Interleukins, TGF-β, and Lipid Peroxidation. Life, 14(12), 1669. https://doi.org/10.3390/life14121669

