Surgical Treatment and Targeted Therapy for a Large Metastatic Malignant Peripheral Nerve Sheath Tumor: A Case Report and Literature Review
Abstract
1. Introduction
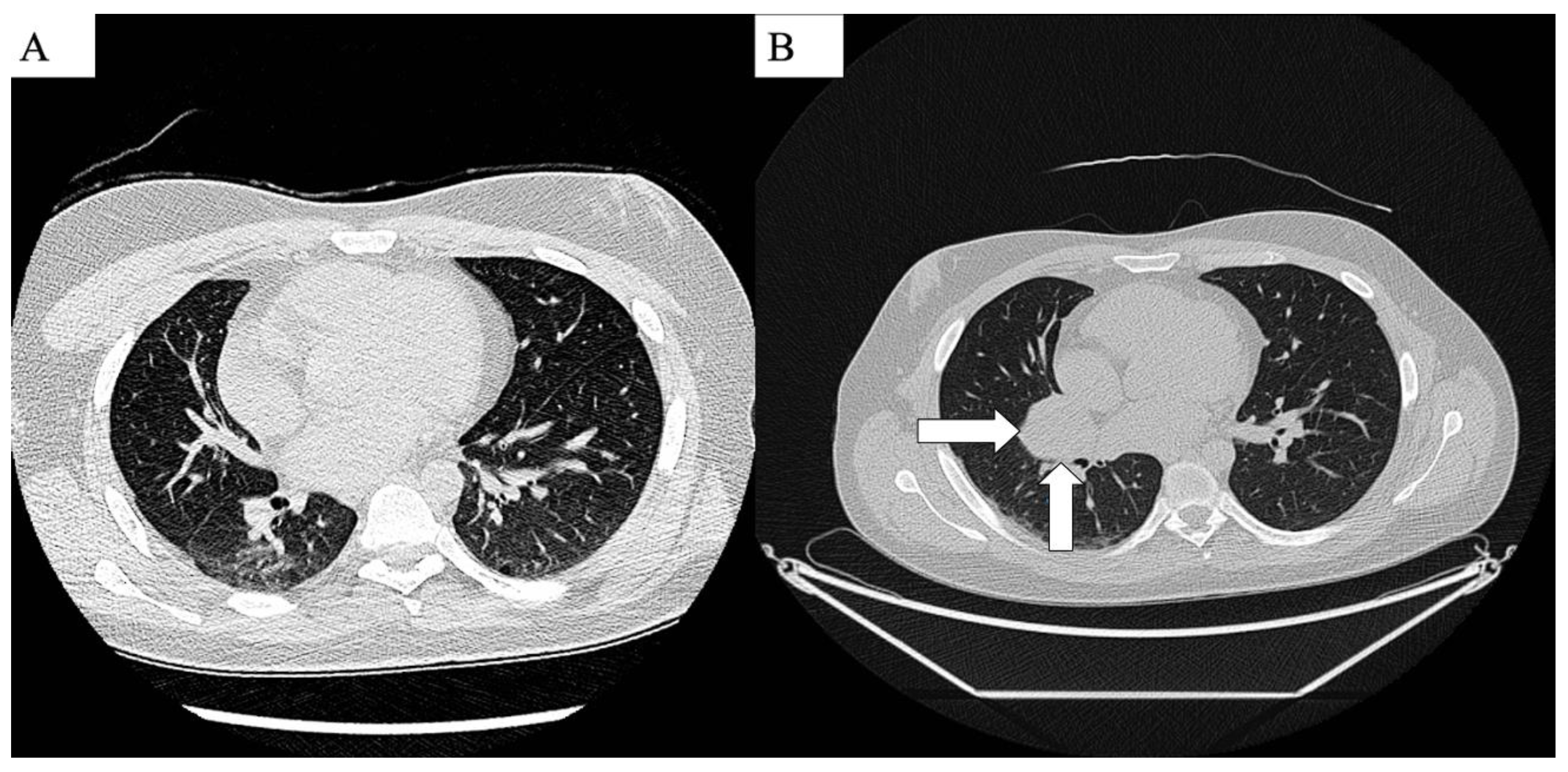
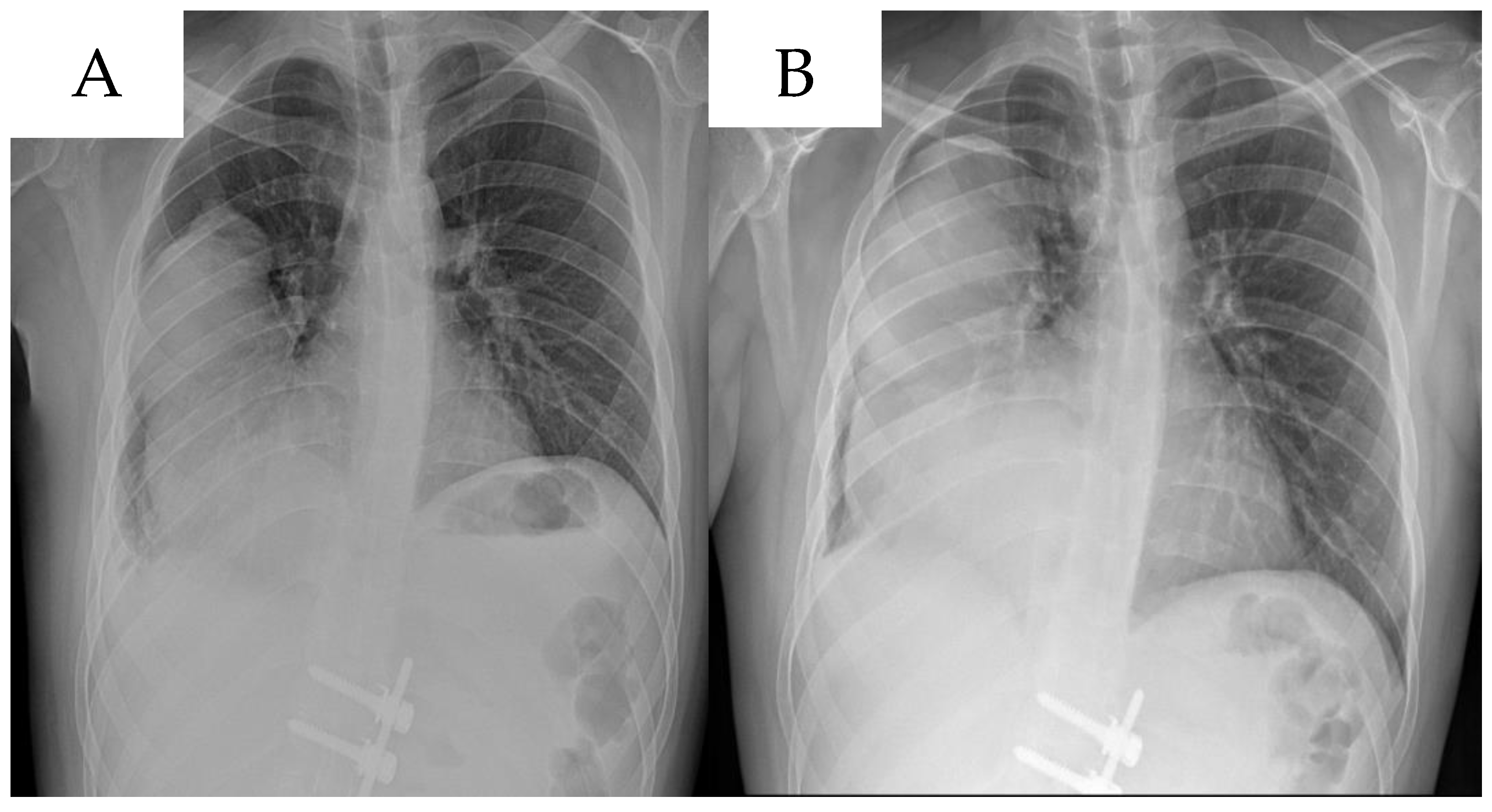
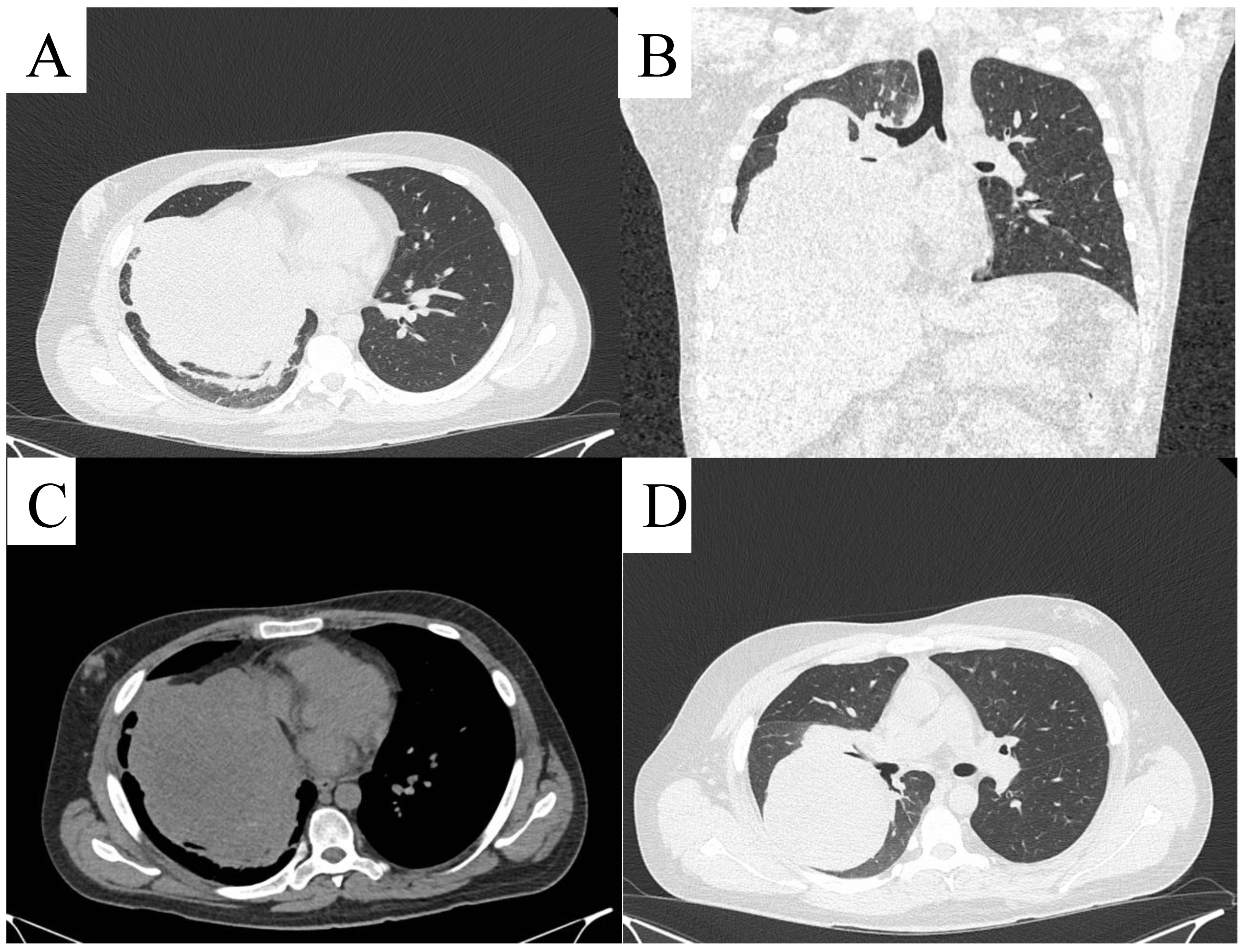
2. Detailed Case Description
3. Discussion
4. Conclusions
Author Contributions
Funding
Institutional Review Board Statement
Informed Consent Statement
Data Availability Statement
Conflicts of Interest
References
- Woodruff, J.M.; Selig, A.M.; Crowley, K.; Allen, P.W. Schwannoma (Neurilemoma) with Malignant Transformation. A Rare, Distinctive Peripheral Nerve Tumor. Am. J. Surg. Pathol. 1994, 18, 882–895. [Google Scholar] [CrossRef] [PubMed]
- Wong, W.W.; Hirose, T.; Scheithauer, B.W.; Schild, S.E.; Gunderson, L.L. Malignant Peripheral Nerve Sheath Tumor: Analysis of Treatment Outcome. Int. J. Radiat. Oncol. Biol. Phys. 1998, 42, 351–360. [Google Scholar] [CrossRef]
- Komori, M.; Yabuuchi, H.; Kuroiwa, T.; Nagatoshi, Y.; Ichinose, Y.; Hachitanda, Y. Thoracic Malignant Peripheral Nerve Sheath Tumour Mimicking a Pleural Tumour: A Rare Pedunculated Appearance. Pediatr. Radiol. 2003, 33, 578–581. [Google Scholar] [CrossRef] [PubMed]
- Stucky, C.-C.H.; Johnson, K.N.; Gray, R.J.; Pockaj, B.A.; Ocal, I.T.; Rose, P.S.; Wasif, N. Malignant Peripheral Nerve Sheath Tumors (MPNST): The Mayo Clinic Experience. Ann. Surg. Oncol. 2012, 19, 878–885. [Google Scholar] [CrossRef] [PubMed]
- Baehring, J.M.; Betensky, R.A.; Batchelor, T.T. Malignant Peripheral Nerve Sheath Tumor: The Clinical Spectrum and Outcome of Treatment. Neurology 2003, 61, 696–698. [Google Scholar] [CrossRef]
- Prudner, B.C.; Ball, T.; Rathore, R.; Hirbe, A.C. Diagnosis and Management of Malignant Peripheral Nerve Sheath Tumors: Current Practice and Future Perspectives. Neuro-Oncol. Adv. 2020, 2, i40–i49. [Google Scholar] [CrossRef]
- Noreña-Rengifo, B.D.; Cadavid-Alvarez, L.M.; Gil-Serrano, P.E.; Varela-Aguirre, G.J. Malignant Peripheral Nerve Sheath Tumor in a Child. Radiol. Case Rep. 2020, 16, 145–151. [Google Scholar] [CrossRef]
- Martin, E.; Muskens, I.S.; Coert, J.H.; Smith, T.R.; Broekman, M.L.D. Treatment and Survival Differences across Tumor Sites in Malignant Peripheral Nerve Sheath Tumors: A SEER Database Analysis and Review of the Literature. Neurooncol. Pract. 2019, 6, 134–143. [Google Scholar] [CrossRef]
- deCou, J.M.; Rao, B.N.; Parham, D.M.; Lobe, T.E.; Bowman, L.; Pappo, A.S.; Fontanesi, J. Malignant Peripheral Nerve Sheath Tumors: The St. Jude Children’s Research Hospital Experience. Ann. Surg. Oncol. 1995, 2, 524–529. [Google Scholar] [CrossRef]
- Watson, K.L.; Al Sannaa, G.A.; Kivlin, C.M.; Ingram, D.R.; Landers, S.M.; Roland, C.L.; Cormier, J.N.; Hunt, K.K.; Feig, B.W.; Ashleigh Guadagnolo, B.; et al. Patterns of Recurrence and Survival in Sporadic, Neurofibromatosis Type 1-Associated, and Radiation-Associated Malignant Peripheral Nerve Sheath Tumors. J. Neurosurg. 2017, 126, 319–329. [Google Scholar] [CrossRef]
- Akshintala, S.; Mallory, N.C.; Lu, Y.; Ballman, K.V.; Schuetze, S.M.; Chugh, R.; Maki, R.G.; Reinke, D.K.; Widemann, B.C.; Kim, A. Outcome of Patients With Malignant Peripheral Nerve Sheath Tumors Enrolled on Sarcoma Alliance for Research Through Collaboration (SARC) Phase II Trials. Oncologist 2023, 28, 453–459. [Google Scholar] [CrossRef] [PubMed]
- Williams, L.A.; Moertel, C.L.; Richardson, M.; Marcotte, E.L. Incidence of Second Malignancies in Individuals Diagnosed with Malignant Peripheral Nerve Sheath Tumors. J. Neuro-Oncol. 2020, 147, 701–709. [Google Scholar] [CrossRef] [PubMed]
- Wang, Y.; Katagiri, H.; Murata, H.; Wasa, J.; Miyagi, M.; Kakuda, Y.; Takahashi, M. Metastatic Malignant Peripheral Nerve Sheath Tumor With NF1 Successfully Treated With “Gradual Subtraction” ICE Chemotherapy. Anticancer Res. 2020, 40, 1619–1624. [Google Scholar] [CrossRef] [PubMed]
- Melean, G.; Hernández, A.M.; Valero, M.C.; Hernández-Imaz, E.; Martín, Y.; Hernández-Chico, C. Monozygotic Twins with Neurofibromatosis Type 1, Concordant Phenotype and Synchronous Development of MPNST and Metastasis. BMC Cancer 2010, 10, 407. [Google Scholar] [CrossRef][Green Version]
- Albayrak, B.S.; Gorgulu, A.; Kose, T. A Case of Intra-Dural Malignant Peripheral Nerve Sheath Tumor in Thoracic Spine Associated with Neurofibromatosis Type 1. J. Neurooncol. 2006, 78, 187–190. [Google Scholar] [CrossRef]
- Celli, P.; Cervoni, L.; Tarantino, R.; Fortuna, A. Primary Spinal Malignant Schwannomas: Clinical and Prognostic Remarks. Acta Neurochir. 1995, 135, 52–55. [Google Scholar] [CrossRef]
- Cunha, K.S.; Caruso, A.C.; Faria, P.A.; Silva, L.E.; Pires, A.R.; Geller, M.; Lopes, V.S.; Moura-Neto, R.S. Malignant Peripheral Nerve Sheath Tumors: Clinicopathological Aspects, Expression of P53 and Survival. Clinics 2012, 67, 963–968. [Google Scholar] [CrossRef]
- Hanai, U.; Akamatsu, T.; Kobayashi, M.; Tsunoda, Y.; Hirabayashi, K.; Baba, T.; Atsumi, H.; Matsumae, M. A Case of Occipital Malignant Peripheral Nerve Sheath Tumor with Neurofibromatosis Type 1. Tokai J. Exp. Clin. Med. 2016, 41, 130–134. [Google Scholar]
- Larson, K.; Russ, A.; Arif-Tiwari, H.; Mahadevan, D.; Elliott, A.; Bhattacharyya, A.; Babiker, H. Pembrolizumab Achieves a Complete Response in an NF-1 Mutated, PD-L1 Positive Malignant Peripheral Nerve Sheath Tumor: A Case Report and Review of the Benchmarks. J. Immunother. 2022, 45, 222–226. [Google Scholar] [CrossRef]
- Ahlawat, S.; Blakeley, J.O.; Rodriguez, F.J.; Fayad, L.M. Imaging Biomarkers for Malignant Peripheral Nerve Sheath Tumors in Neurofibromatosis Type 1. Neurology 2019, 93, e1076–e1084. [Google Scholar] [CrossRef]
- Koike, H.; Nishida, Y.; Ito, S.; Shimoyama, Y.; Ikuta, K.; Urakawa, H.; Sakai, T.; Shimizu, K.; Ito, K.; Imagama, S. Diffusion-Weighted Magnetic Resonance Imaging Improves the Accuracy of Differentiation of Benign from Malignant Peripheral Nerve Sheath Tumors. World Neurosurg. 2022, 157, e207–e214. [Google Scholar] [CrossRef] [PubMed]
- Nishida, Y.; Urakawa, H.; Nakayama, R.; Kobayashi, E.; Ozaki, T.; Ae, K.; Matsumoto, Y.; Tsuchiya, H.; Goto, T.; Hiraga, H.; et al. Phase II Clinical Trial of Pazopanib for Patients with Unresectable or Metastatic Malignant Peripheral Nerve Sheath Tumors. Int. J. Cancer 2021, 148, 140–149. [Google Scholar] [CrossRef] [PubMed]
- Yun, J.S.; Lee, M.H.; Lee, S.M.; Lee, J.S.; Kim, H.J.; Lee, S.J.; Chung, H.W.; Lee, S.H.; Shin, M.J. Peripheral Nerve Sheath Tumor: Differentiation of Malignant from Benign Tumors with Conventional and Diffusion-Weighted MRI. Eur. Radiol. 2021, 31, 1548–1557. [Google Scholar] [CrossRef] [PubMed]
- Pušnik, L.; Lechner, L.; Serša, I.; Cvetko, E.; Haas, P.; Jengojan, S.A.; Snoj, Ž. 3D Fascicular Reconstruction of Median and Ulnar Nerve: Initial Experience and Comparison between High-Resolution Ultrasound and MR Microscopy. Eur. Radiol. Exp. 2024, 8, 100. [Google Scholar] [CrossRef]
- Sałamacha, M.; Koseła, H.; Falkowski, S.; Cybulska-Stopa, B.; Nowecki, Z.I.; Rutkowski, P. Zespół von Recklinghausena (Neurofibromatoza Typu 1)- Najczęstszy Uwarunkowany Genetycznie Zespół Prowadzący Do Powstawania Mięsaków Tkanek Miękkich. Nowotwory. J. Oncol. 2011, 61, 43. [Google Scholar]
- Brahmi, M.; Thiesse, P.; Ranchere, D.; Mognetti, T.; Pinson, S.; Renard, C.; Decouvelaere, A.-V.; Blay, J.-Y.; Combemale, P. Diagnostic Accuracy of PET/CT-Guided Percutaneous Biopsies for Malignant Peripheral Nerve Sheath Tumors in Neurofibromatosis Type 1 Patients. PLoS ONE 2015, 10, e0138386. [Google Scholar] [CrossRef]
- Pianta, M.; Chock, E.; Schlicht, S.; McCombe, D. Accuracy and Complications of CT-Guided Core Needle Biopsy of Peripheral Nerve Sheath Tumours. Skelet. Radiol. 2015, 44, 1341–1349. [Google Scholar] [CrossRef]
- Mautner, V.-F.; Asuagbor, F.A.; Dombi, E.; Fünsterer, C.; Kluwe, L.; Wenzel, R.; Widemann, B.C.; Friedman, J.M. Assessment of Benign Tumor Burden by Whole-Body MRI in Patients with Neurofibromatosis 1. Neuro-oncology 2008, 10, 593–598. [Google Scholar] [CrossRef]
- Moldovan, H.; Ciomaga, I.; Nechifor, E.; Tigănașu, R.; Badea, A.; Dobra, I.; Nica, C.; Scarlat, C.; Gheorghiță, D.; Antoniac, I.; et al. A Rare Case of Left Ventricular Malignant Peripheral Nerve Sheath Tumour-Case Report and Review of the Literature. Medicina 2022, 58, 1404. [Google Scholar] [CrossRef]
- Azizi, A.A.; Slavc, I.; Theisen, B.E.; Rausch, I.; Weber, M.; Happak, W.; Aszmann, O.; Hojreh, A.; Peyrl, A.; Amann, G.; et al. Monitoring of Plexiform Neurofibroma in Children and Adolescents with Neurofibromatosis Type 1 by [18 F]FDG-PET Imaging. Is It of Value in Asymptomatic Patients? Pediatr. Blood Cancer 2018, 65, e26733. [Google Scholar] [CrossRef]
- Ducatman, B.S.; Scheithauer, B.W.; Piepgras, D.G.; Reiman, H.M.; Ilstrup, D.M. Malignant Peripheral Nerve Sheath Tumors. A Clinicopathologic Study of 120 Cases. Cancer 1986, 57, 2006–2021. [Google Scholar] [CrossRef] [PubMed]
- Tucker, T.; Wolkenstein, P.; Revuz, J.; Zeller, J.; Friedman, J.M. Association between Benign and Malignant Peripheral Nerve Sheath Tumors in NF1. Neurology 2005, 65, 205–211. [Google Scholar] [CrossRef] [PubMed]
- Yamanaka, R.; Hayano, A. Radiation-Induced Malignant Peripheral Nerve Sheath Tumors: A Systematic Review. World Neurosurg. 2017, 105, 961–970.e8. [Google Scholar] [CrossRef] [PubMed]
- Raedt, T.D.; Brems, H.; Wolkenstein, P.; Vidaud, D.; Pilotti, S.; Perrone, F.; Mautner, V.; Frahm, S.; Sciot, R.; Legius, E. Elevated Risk for MPNST in NF1 Microdeletion Patients. Am. J. Hum. Genet. 2003, 72, 1288–1292. [Google Scholar] [CrossRef]
- Binobaid, L.; Masternak, M.M. Molecular Targets for NF1-Associated Malignant Peripheral Nerve Sheath Tumor. Rep. Pract. Oncol. Radiother. 2020, 25, 556–561. [Google Scholar] [CrossRef]
- Wang, W.; Wei, C.-J.; Cui, X.-W.; Li, Y.-H.; Gu, Y.-H.; Gu, B.; Li, Q.-F.; Wang, Z.-C. Impacts of NF1 Gene Mutations and Genetic Modifiers in Neurofibromatosis Type 1. Front. Neurol. 2021, 12, 704639. [Google Scholar] [CrossRef]
- Szymanski, J.J.; Sundby, R.T.; Jones, P.A.; Srihari, D.; Earland, N.; Harris, P.K.; Feng, W.; Qaium, F.; Lei, H.; Roberts, D.; et al. Cell-Free DNA Ultra-Low-Pass Whole Genome Sequencing to Distinguish Malignant Peripheral Nerve Sheath Tumor (MPNST) from Its Benign Precursor Lesion: A Cross-Sectional Study. PLoS Med. 2021, 18, e1003734. [Google Scholar] [CrossRef]
- James, A.W.; Shurell, E.; Singh, A.; Dry, S.M.; Eilber, F.C. Malignant Peripheral Nerve Sheath Tumor. Surg. Oncol. Clin. N. Am. 2016, 25, 789–802. [Google Scholar] [CrossRef]
- Grobmyer, S.R.; Reith, J.D.; Shahlaee, A.; Bush, C.H.; Hochwald, S.N. Malignant Peripheral Nerve Sheath Tumor: Molecular Pathogenesis and Current Management Considerations. J. Surg. Oncol. 2008, 97, 340–349. [Google Scholar] [CrossRef]
- Kahn, J.; Gillespie, A.; Tsokos, M.; Ondos, J.; Dombi, E.; Camphausen, K.; Widemann, B.C.; Kaushal, A. Radiation Therapy in Management of Sporadic and Neurofibromatosis Type 1-Associated Malignant Peripheral Nerve Sheath Tumors. Front. Oncol. 2014, 4, 324. [Google Scholar] [CrossRef]
- International Consensus Statement on Malignant Peripheral Nerve Sheath Tumors in Neurofibromatosis 11|Cancer Research|American Association for Cancer Research. Available online: https://aacrjournals.org/cancerres/article/62/5/1573/509653/International-Consensus-Statement-on-Malignant (accessed on 5 November 2024).
- Edmonson, J.H.; Ryan, L.M.; Blum, R.H.; Brooks, J.S.; Shiraki, M.; Frytak, S.; Parkinson, D.R. Randomized Comparison of Doxorubicin Alone versus Ifosfamide plus Doxorubicin or Mitomycin, Doxorubicin, and Cisplatin against Advanced Soft Tissue Sarcomas. J. Clin. Oncol. 1993, 11, 1269–1275. [Google Scholar] [CrossRef] [PubMed]
- Sarcoma Meta-Analysis Collaboration. Adjuvant Chemotherapy for Localised Resectable Soft-Tissue Sarcoma of Adults: Meta-Analysis of Individual Data. Lancet 1997, 350, 1647–1654. [Google Scholar] [CrossRef]
- Wang, J.; Pollard, K.; Calizo, A.; Pratilas, C.A. Activation of Receptor Tyrosine Kinases Mediates Acquired Resistance to MEK Inhibition in Malignant Peripheral Nerve Sheath Tumors. Cancer Res. 2021, 81, 747–762. [Google Scholar] [CrossRef] [PubMed]
- Peacock, J.D.; Pridgeon, M.G.; Tovar, E.A.; Essenburg, C.J.; Bowman, M.; Madaj, Z.; Koeman, J.; Boguslawski, E.A.; Grit, J.; Dodd, R.D.; et al. Genomic Status of MET Potentiates Sensitivity to MET and MEK Inhibition in NF1-Related Malignant Peripheral Nerve Sheath Tumors. Cancer Res. 2018, 78, 3672–3687. [Google Scholar] [CrossRef]
- Hitchen, N.; Cross, M.; Laking, G.; Connor, J.; Korenbaum, C. Sporadic Metastatic Malignant Peripheral Nerve Sheath Tumour with an NF1 Mutation Responding to Trametinib: A Case Report. Case Rep. Oncol. 2023, 16, 1–6. [Google Scholar] [CrossRef]
- Grit, J.L.; Pridgeon, M.G.; Essenburg, C.J.; Wolfrum, E.; Madaj, Z.B.; Turner, L.; Wulfkuhle, J.; Petricoin, E.F.; Graveel, C.R.; Steensma, M.R. Kinome Profiling of NF1-Related MPNSTs in Response to Kinase Inhibition and Doxorubicin Reveals Therapeutic Vulnerabilities. Genes 2020, 11, 331. [Google Scholar] [CrossRef]
- Na, B.; Haist, B.; Shah, S.R.; Sabiston, G.; Jonas, S.J.; Vitte, J.; Wirz, R.E.; Giovannini, M. Cold Atmospheric Plasma Induces Growth Arrest and Apoptosis in Neurofibromatosis Type 1-Associated Peripheral Nerve Sheath Tumor Cells. Biomedicines 2024, 12, 1986. [Google Scholar] [CrossRef]
- Davis, L.E.; Nicholls, L.A.; Babiker, H.M.; Liau, J.; Mahadevan, D. PD-1 Inhibition Achieves a Complete Metabolic Response in a Patient with Malignant Peripheral Nerve Sheath Tumor. Cancer Immunol. Res. 2019, 7, 1396–1400. [Google Scholar] [CrossRef]
- Albritton, K.H.; Rankin, C.; Coffin, C.M.; Ratner, N.; Budd, G.T.; Schuetze, S.M.; Randall, R.L.; Declue, J.E.; Borden, E.C. Phase II Study of Erlotinib in Metastatic or Unresectable Malignant Peripheral Nerve Sheath Tumors (MPNST). J. Clin. Oncol. 2006, 24, 9518. [Google Scholar] [CrossRef]
- Dickson, M.A.; Mahoney, M.R.; Tap, W.D.; D’Angelo, S.P.; Keohan, M.L.; Van Tine, B.A.; Agulnik, M.; Horvath, L.E.; Nair, J.S.; Schwartz, G.K. Phase II Study of MLN8237 (Alisertib) in Advanced/Metastatic Sarcoma. Ann. Oncol. 2016, 27, 1855–1860. [Google Scholar] [CrossRef]
- Schuetze, S.M.; Wathen, J.K.; Lucas, D.R.; Choy, E.; Samuels, B.L.; Staddon, A.P.; Ganjoo, K.N.; von Mehren, M.; Chow, W.A.; Loeb, D.M.; et al. SARC009: Phase 2 Study of Dasatinib in Patients with Previously Treated, High-Grade, Advanced Sarcoma. Cancer 2016, 122, 868–874. [Google Scholar] [CrossRef] [PubMed]
- Maki, R.G.; D’Adamo, D.R.; Keohan, M.L.; Saulle, M.; Schuetze, S.M.; Undevia, S.D.; Livingston, M.B.; Cooney, M.M.; Hensley, M.L.; Mita, M.M.; et al. Phase II Study of Sorafenib in Patients with Metastatic or Recurrent Sarcomas. J. Clin. Oncol. 2009, 27, 3133–3140. [Google Scholar] [CrossRef] [PubMed]
- Chugh, R.; Wathen, J.K.; Maki, R.G.; Benjamin, R.S.; Patel, S.R.; Meyers, P.A.; Priebat, D.A.; Reinke, D.K.; Thomas, D.G.; Keohan, M.L.; et al. Phase II Multicenter Trial of Imatinib in 10 Histologic Subtypes of Sarcoma Using a Bayesian Hierarchical Statistical Model. J. Clin. Oncol. 2009, 27, 3148–3153. [Google Scholar] [CrossRef] [PubMed]
- Agulnik, M.; Costa, R.L.B.; Milhem, M.; Rademaker, A.W.; Prunder, B.C.; Daniels, D.; Rhodes, B.T.; Humphreys, C.; Abbinanti, S.; Nye, L.; et al. A Phase II Study of Tivozanib in Patients with Metastatic and Nonresectable Soft-Tissue Sarcomas. Ann. Oncol. 2017, 28, 121–127. [Google Scholar] [CrossRef]
- Al-Ezzi, E.; Gounder, M.; Watson, G.; Mazzocca, A.; D’Angelo, S.P.; Bravetti, J.; Wang, H.; Razak, A.A.; Vincenzi, B. Selinexor, a First in Class, Nuclear Export Inhibitor for the Treatment of Advanced Malignant Peripheral Nerve Sheath Tumor. Oncologist 2021, 26, e710. [Google Scholar] [CrossRef]
- Kim, A.; Lu, Y.; Okuno, S.H.; Reinke, D.; Maertens, O.; Perentesis, J.; Basu, M.; Wolters, P.L.; De Raedt, T.; Chawla, S.; et al. Targeting Refractory Sarcomas and Malignant Peripheral Nerve Sheath Tumors in a Phase I/II Study of Sirolimus in Combination with Ganetespib (SARC023). Sarcoma 2020, 2020, 5784876. [Google Scholar] [CrossRef]
- Widemann, B.C.; Lu, Y.; Reinke, D.; Okuno, S.H.; Meyer, C.F.; Cote, G.M.; Chugh, R.; Milhem, M.M.; Hirbe, A.C.; Kim, A.; et al. Targeting Sporadic and Neurofibromatosis Type 1 (NF1) Related Refractory Malignant Peripheral Nerve Sheath Tumors (MPNST) in a Phase II Study of Everolimus in Combination with Bevacizumab (SARC016). Sarcoma 2019, 2019, 7656747. [Google Scholar] [CrossRef]
- Özdemir, B.C.; Bohanes, P.; Bisig, B.; Missiaglia, E.; Tsantoulis, P.; Coukos, G.; Montemurro, M.; Homicsko, K.; Michielin, O. Deep Response to Anti-PD-1 Therapy of Metastatic Neurofibromatosis Type 1-Associated Malignant Peripheral Nerve Sheath Tumor With CD274/PD-L1 Amplification. JCO Precis. Oncol. 2019, 3, 1–6. [Google Scholar] [CrossRef]








| Patient No. | First Author | Sex/Age | Symptoms | Location of Primary Tumor | Lung Metastasis Size Max (cm) | Type of Metastasis Treatment Used | Overall Survival (Years) |
|---|---|---|---|---|---|---|---|
| 1 | Wang Y. [13] | M/40 | NR | Right shoulder | 1.7; 2.9 | Chemotherapy | 12; ND |
| 2 | Melean G. [14] | M/22 | Pain in the left leg | Sciatic popliteal nerve in the left leg | NR | NR | 5; ND |
| 3 | Melean G. [14] | M/24 | NR | Sciatic popliteal nerve in the left leg | NR | NR | 3; ND |
| 4 | Albayrak S. [15] | M/25 | Loss of urinary sphincter control, paraparetic spontaneous myoclonic jerks | Upper thoracic spine | NR | NR | NR |
| 5 | Celli P. [16] | F/22 | Pain, motor sphincter | Intradural C2 | NR | Surgical resection | 0.5; D |
| 6 | Cunha K. [17] | M/23 | NR | Left lower limb | NR | Chemotherapy | 0.23; D |
| 7 | Cunha K. [17] | F/23 | NR | Sacrum and spine | NR | Radiotherapy | 0.64; D |
| 8 | Cunha K. [17] | F/60 | NR | Right lower limb | NR | Surgical resection | 3.4; ND |
| 9 | Cunha K. [17] | M/24 | NR | Right upper limb | NR | Chemotherapy | 1.07; D |
| 10 | Cunha K. [17] | M/45 | NR | Abdomen | NR | Surgical resection | 1.23; D |
| 11 | Hanai U. [18] | F/59 | NR | Occipital region | NR | Surgical resection | 1.33; D |
| 12 | Larson K. [19] | M/60 | NR | Para vertebral tumor at T7–T8 | 3.5 | Surgical resection, Pembrolizumab treatment | 3.0; ND |
| 13 | Presented case | M/24 | Dyspnea, heartburn, intermittent tachycardia, right shoulder pain, expectoration of white sputum | Left lateral retroperitoneal region | 22 × 13 | Surgery, Trametinib treatment | NR |
Disclaimer/Publisher’s Note: The statements, opinions and data contained in all publications are solely those of the individual author(s) and contributor(s) and not of MDPI and/or the editor(s). MDPI and/or the editor(s) disclaim responsibility for any injury to people or property resulting from any ideas, methods, instructions or products referred to in the content. |
© 2024 by the authors. Licensee MDPI, Basel, Switzerland. This article is an open access article distributed under the terms and conditions of the Creative Commons Attribution (CC BY) license (https://creativecommons.org/licenses/by/4.0/).
Share and Cite
Skórka, P.; Kordykiewicz, D.; Ilków, A.; Ptaszyński, K.; Wójcik, J.; Skórka, W.; Wojtyś, M.E. Surgical Treatment and Targeted Therapy for a Large Metastatic Malignant Peripheral Nerve Sheath Tumor: A Case Report and Literature Review. Life 2024, 14, 1648. https://doi.org/10.3390/life14121648
Skórka P, Kordykiewicz D, Ilków A, Ptaszyński K, Wójcik J, Skórka W, Wojtyś ME. Surgical Treatment and Targeted Therapy for a Large Metastatic Malignant Peripheral Nerve Sheath Tumor: A Case Report and Literature Review. Life. 2024; 14(12):1648. https://doi.org/10.3390/life14121648
Chicago/Turabian StyleSkórka, Patryk, Dawid Kordykiewicz, Andrzej Ilków, Konrad Ptaszyński, Janusz Wójcik, Wiktoria Skórka, and Małgorzata Edyta Wojtyś. 2024. "Surgical Treatment and Targeted Therapy for a Large Metastatic Malignant Peripheral Nerve Sheath Tumor: A Case Report and Literature Review" Life 14, no. 12: 1648. https://doi.org/10.3390/life14121648
APA StyleSkórka, P., Kordykiewicz, D., Ilków, A., Ptaszyński, K., Wójcik, J., Skórka, W., & Wojtyś, M. E. (2024). Surgical Treatment and Targeted Therapy for a Large Metastatic Malignant Peripheral Nerve Sheath Tumor: A Case Report and Literature Review. Life, 14(12), 1648. https://doi.org/10.3390/life14121648

