Fresh Hemorrhages in Intestinal Resection Margins Are Associated with Unfavorable Clinical Outcomes in Preterm Infants with Necrotizing Enterocolitis with Surgical Intervention
Abstract
1. Introduction
2. Material and Methods
2.1. Patient Population and Study Design
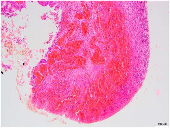
2.2. Histopathological Evaluation
2.3. Statistical Analysis
3. Results
3.1. General Patient Characteristics and Postoperative Outcomes
3.2. Histopathological Findings
3.3. Association Between Histopathological Features and Occurrence of Postoperative Complications or Death




3.4. Binary Logistic Regression Model
4. Discussion
5. Conclusions
Author Contributions
Funding
Institutional Review Board Statement
Informed Consent Statement
Data Availability Statement
Conflicts of Interest
References
- Yee, W.H.; Soraisham, A.S.; Shah, V.S.; Aziz, K.; Yoon, W.; Lee, S.K.; Canadian Neonatal Network. Incidence and timing of presentation of necrotizing enterocolitis in preterm infants. Pediatrics 2012, 129, e298–e304. [Google Scholar] [CrossRef] [PubMed]
- Neu, J.; Walker, W.A. Necrotizing enterocolitis—Review Article. N. Engl. J. Med. 2011, 364, 255–264. [Google Scholar] [CrossRef]
- Hunter, C.J.; Upperman, J.S.; Ford, H.R.; Camerini, V. Understanding the susceptibility of the premature infant to necrotizing enterocolitis (NEC). Pediatr. Res. 2008, 63, 117–123. [Google Scholar] [CrossRef] [PubMed]
- Caplan, M.S.; Jilling, T. New concepts in necrotizing enterocolitis. Curr. Opin. Pediatr. 2001, 13, 111–115. [Google Scholar] [CrossRef]
- Alsaied, A.; Islam, N.; Thalib, L. Global incidence of Necrotizing Enterocolitis: A systematic review and Meta-analysis. BMC Pediatr. 2020, 20, 344. [Google Scholar] [CrossRef]
- Challis, P.; Larsson, L.; Stoltz Sjöström, E.; Serenius, F.; Domellöf, M.; Elfvin, A. Validation of the diagnosis of necrotising enterocolitis in a Swedish population-based observational study. Acta Paediatr. Int. J. Paediatr. 2019, 108, 835–841. [Google Scholar] [CrossRef]
- Battersby, C.; Santhalingam, T.; Costeloe, K.; Modi, N. Incidence of neonatal necrotising enterocolitis in high-income countries: A systematic review. Arch. Dis. Child.—Fetal Neonatal Ed. 2018, 103, F182–F189. [Google Scholar] [CrossRef] [PubMed]
- Meister, A.L.; Doheny, K.K.; Travagli, R.A. Necrotizing enterocolitis: It’s not all in the gut. Exp. Biol. Med. 2020, 245, 85–95. [Google Scholar] [CrossRef] [PubMed]
- Fundora, J.B.; Guha, P.; Shores, D.R.; Pammi, M.; Maheshwari, A. Intestinal dysbiosis and necrotizing enterocolitis: Assessment for causality using Bradford Hill criteria. Pediatr. Res. 2020, 87, 235–248. [Google Scholar] [CrossRef]
- Isani, M.A.; Delaplain, P.T.; Grishin, A.; Ford, H.R. Evolving understanding of neonatal necrotizing enterocolitis. Curr. Opin. Pediatr. 2018, 30, 417–423. [Google Scholar] [CrossRef]
- Niño, D.F.; Sodhi, C.P.; Hackam, D.J. Necrotizing enterocolitis: New insights into pathogenesis and mechanisms. Nat. Rev. Gastroenterol. Hepatol. 2016, 13, 590–600. [Google Scholar] [CrossRef] [PubMed]
- Tanner, S.M.; Berryhill, T.F.; Ellenburg, J.L.; Jilling, T.; Cleveland, D.S.; Lorenz, R.G.; Martin, C.A. Pathogenesis of necrotizing enterocolitis: Modeling the innate immune response. Am. J. Pathol. 2015, 185, 4–16. [Google Scholar] [CrossRef] [PubMed]
- Hackam, D.J.; Sodhi, C.P.; Good, M. New insights into necrotizing enterocolitis: From laboratory observation to personalized prevention and treatment. J. Pediatr. Surg. 2019, 54, 398–404. [Google Scholar] [CrossRef]
- Hsueh, W.; Caplan, M.S.; Qu, X.W.; Tan, X.D.; De Plaen, I.G.; Gonzalez-Crussi, F. Neonatal necrotizing enterocolitis: Clinical considerations and pathogenetic concepts. Pediatr. Dev. Pathol. 2003, 6, 6–23. [Google Scholar] [CrossRef]
- Lin, P.W.; Stoll, B.J. Necrotising enterocolitis. Lancet 2006, 368, 1271–1283. [Google Scholar] [CrossRef] [PubMed]
- Pierro, A.; Zani, A. Necrotizing enterocolitis: Controversies and challenges. F1000Research 2015, 4, F1000 Faculty Rev-1373. [Google Scholar] [CrossRef]
- Lee, J.S.; Polin, R.A. Treatment and prevention of necrotizing enterocolitis. Semin. Neonatol. 2003, 8, 449–459. [Google Scholar] [CrossRef]
- Jones, I.H.; Hall, N.J. Contemporary Outcomes for Infants with Necrotizing Enterocolitis—A Systematic Review. J. Pediatr. 2020, 220, 86–92. [Google Scholar] [CrossRef] [PubMed]
- Thyoka, M.; De Coppi, P.; Eaton, S.; Khoo, K.; Hall, N.J.; Curry, J.; Kiely, E.; Drake, D.; Cross, K.; Pierro, A.; et al. Advanced necrotizing enterocolitis part 1: Mortality. Eur. J. Pediatr. Surg. 2012, 22, 008–012. [Google Scholar] [CrossRef]
- Fitzgibbons, S.C.; Ching, Y.; Yu, D.; Carpenter, J.; Kenny, M.; Weldon, C.; Lillehei, C.; Valim, C.; Horbar, J.D.; Jaksic, T.; et al. Mortality of necrotizing enterocolitis expressed by birth weight categories. J. Pediatr. Surg. 2009, 44, 1072–1076. [Google Scholar] [CrossRef]
- Holman, R.C.; Stoll, B.J.; Curns, A.T.; Yorita, K.L.; Steiner, C.A.; Schonberger, L.B. Necrotising enterocolitis hospitalisations among neonates in the United States. Paediatr. Perinat. Epidemiol. 2006, 20, 498–506. [Google Scholar] [CrossRef] [PubMed]
- Guthrie, S.O.; Gordon, P.V.; Thomas, V.; Thorp, J.A.; Peabody, J.; Clark, R.H. Necrotizing enterocolitis among neonates in the United States. J. Perinatol. 2003, 23, 278–285. [Google Scholar] [CrossRef] [PubMed]
- Kamitsuka, M.D.; Horton, M.K.; Williams, M.A. The incidence of necrotizing enterocolitis after introducing standardized feeding schedules for infants between 1250 and 2500 grams and less than 35 weeks of gestation. Pediatrics 2000, 105, 379–384. [Google Scholar] [CrossRef]
- Zani, A.; Eaton, S.; Puri, P.; Rintala, R.; Lukac, M.; Bagolan, P.; Kuebler, J.F.; Hoellwarth, M.E.; Wijnen, R.; Tovar, J.; et al. International survey on the management of necrotizing enterocolitis. Eur. J. Pediatr. Surg. 2015, 25, 27–33. [Google Scholar] [CrossRef] [PubMed]
- Kelleher, J.; Mallick, H.; Soltau, T.D.; Harmon, C.M.; Dimmitt, R.A. Mortality and intestinal failure in surgical necrotizing enterocolitis. J. Pediatr. Surg. 2013, 48, 568–572. [Google Scholar] [CrossRef]
- Berman, L.; Moss, R.L. Necrotizing enterocolitis: An update. Semin. Fetal Neonatal Med. 2011, 16, 145–150. [Google Scholar] [CrossRef] [PubMed]
- Hintz, S.R.; Kendrick, D.E.; Stoll, B.J.; Vohr, B.R.; Fanaroff, A.A.; Donovan, E.F.; Kenneth Poole, K.; Blakely, M.L.; Wright, L.; Higgins, R.; et al. Neurodevelopmental and growth outcomes of extremely low birth weight infants after necrotizing enterocolitis. Pediatrics 2005, 115, 696–703. [Google Scholar] [CrossRef] [PubMed]
- Schaart, M.W.; De Bruijn, A.C.J.M.; Bouwman, D.M.; de Krijger, R.R.; van Goudoever, J.B.; Tibboel, D.; Renes, I.B. Epithelial functions of the residual bowel after surgery for necrotising enterocolitis in human infants. J. Pediatr. Gastroenterol. Nutr. 2009, 49, 31–41. [Google Scholar] [CrossRef]
- Ballance, W.A.; Dahms, B.B.; Shenker, N.; Kliegman, R.M. Pathology of neonatal necrotizing enterocolitis: A ten-year experience. J. Pediatr. 1990, 117, S6–S13. [Google Scholar] [CrossRef]
- Joshi, V.V.; Winston, Y.E.; Kay, S. Neonatal Necrotizing Enterocolitis: Histologic Evidence of Healing. Am. J. Dis. Child. 1973, 126, 113–116. [Google Scholar] [CrossRef][Green Version]
- Remon, J.I.; Amin, S.C.; Mehendale, S.R.; Rao, R.; Luciano, A.A.; Garzon, S.A.; Maheshwari, A. Depth of bacterial invasion in resected intestinal tissue predicts mortality in surgical necrotizing enterocolitis. J. Perinatol. 2015, 35, 755–762. [Google Scholar] [CrossRef] [PubMed]
- Eaton, S.; Sebire, N.; Thyoka, M.; Pierro, A. Histologic and immunohistochemical features associated with outcome in neonatal necrotizing enterocolitis. Eur. J. Pediatr. Surg. 2014, 24, 051–056. [Google Scholar] [CrossRef]
- Sharma, R.; Hudak, M.L. A Clinical Perspective of Necrotizing Enterocolitis: Past, Present, and Future. Clin. Perinatol. 2013, 40, 27–51. [Google Scholar] [CrossRef]
- Kostadinova-Petrova, I.; Mitevska, E.; Janeska, B. Histological characteristics of bruises with different age. Open Access Maced. J. Med. Sci. 2017, 5, 813. [Google Scholar] [CrossRef]
- Wilkinson, H.N.; Hardman, M.J. Wound healing: Cellular mechanisms and pathological outcomes: Cellular Mechanisms of Wound Repair. Open Biol. 2020, 10, 200223. [Google Scholar] [CrossRef]
- Eming, S.A.; Wynn, T.A.; Martin, P. Inflammation and metabolism in tissue repair and regeneration. Science 2017, 356, 1026–1030. [Google Scholar] [CrossRef]
- Collins, A.; Weitkamp, J.H.; Wynn, J.L. Why are preterm newborns at increased risk of infection? Arch. Dis. Child. Fetal Neonatal Ed. 2018, 103, F391–F394. [Google Scholar] [CrossRef] [PubMed]
- Oshima, K.; Hinoki, A.; Uchida, H.; Tanaka, Y.; Okuno, Y.; Go, Y.; Shirota, C.; Tainaka, T.; Sumida, W.; Yokota, K.; et al. Single-cell RNA sequencing of intestinal immune cells in neonatal necrotizing enterocolitis. Pediatr. Surg. Int. 2023, 39, 179. [Google Scholar] [CrossRef] [PubMed]
- Zhang, H.Y.; Wang, F.; Feng, J.X. Intestinal microcirculatory dysfunction and neonatal necrotizing enterocolitis. Chin. Med. J. 2013, 126, 1771–1778. [Google Scholar] [CrossRef]
- Ring, H.C.; Theut Riis, P.; Bay, L.; Kallenbach, K.; Bjarnsholt, T.; Jemec, G.B.E. Haematoxylin and eosin staining identifies medium to large bacterial aggregates with a reliable specificity: A comparative analysis of follicular bacterial aggregates in axillary biopsies using peptide nucleic acid-fluorescence in situ hybridization and haematoxylin and eosin staining. Exp. Dermatol. 2017, 26, 943–945. [Google Scholar] [CrossRef]

| Patients | 59 |
|---|---|
| Gestational age (weeks)—median (iqr) | 27 (25–29) |
| Birth weight (g)—median (iqr) | 810 (680–1050) |
| Age at surgery (days)—median (iqr) | 16 (8–31) |
| Sex (male/female) | 37/22 (62.7%/37.3%) |
| Multiple pregnancy—n (%) | |
| Singleton | 48 (81.4%) |
| Twins | 10 (16.9%) |
| Triplets | 1 (1.7%) |
| DIAGNOSIS | Number of Patients N (%) |
|---|---|
| Necrotizing enterocolitis | 49 (83.1%) |
|
|
|
|
|
|
|
|
|
|
|
|
| Histopathological Findings of the Surgery Margin of All NEC Patients (n = 49) | ||||
| No complications | Complications | Deaths | p-value | |
| Vital Mucosa | 15 | 12 | 3 | 1.000 |
| Avital Mucosa | 9 | 8 | 2 | |
| Vital Muscularis | 21 | 16 | 3 | 0.304 |
| Avital Muscularis | 3 | 4 | 2 | |
| No transmural necrosis | 21 | 14 | 5 | 0.217 |
| Transmural necrosis | 3 | 6 | 0 | |
| No haemorrhage | 20 | 6 | 1 | <0.001 |
| haemorrhage | 4 | 14 | 4 | |
| No Peritonitis | 17 | 15 | 2 | 0.406 |
| Peritonitis | 7 | 5 | 3 | |
| Histopathological Findings of the Central Portions of All NEC-Patients (n = 49) | ||||
| No complications | Complications | Deaths | p-value | |
| Vital Mucosa | 15 | 10 | 3 | 0.772 |
| Avital Mucosa | 9 | 10 | 2 | |
| Vital Muscularis | 10 | 4 | 2 | 0.283 |
| Avital Muscularis | 14 | 16 | 3 | |
| No transmural necrosis | 13 | 11 | 4 | 0.654 |
| Transmural necrosis | 11 | 9 | 1 | |
| No Perforation | 11 | 13 | 2 | 0.388 |
| Perforation | 13 | 7 | 3 | |
| No Peritonitis | 13 | 11 | 3 | 1.000 |
| Peritonitis | 11 | 9 | 2 | |
| No Stenosis | 21 | 14 | 3 | 0.214 |
| Stenosis | 3 | 6 | 2 | |
| Total | 24 | 20 | 5 | 49 |
| B | Exp(B) | Wald | p | 95% CI for Exp(B) | ||
|---|---|---|---|---|---|---|
| Lower | Upper | |||||
| Vitality mucosa | −1.258 | 0.284 | 1.700 | 0.192 | 0.043 | 1.884 |
| Vitality muscularis | 0.426 | 1.531 | 0.134 | 0.714 | 0.156 | 15.004 |
| Full thickness necrosis | 1.254 | 3.506 | 1.898 | 0.168 | 0.589 | 20.884 |
| Peritonitis | −0.531 | 0.588 | 0.451 | 0.502 | 0.125 | 2.770 |
| Hemorrhaege | 2.550 | 12.806 | 9.533 | 0.002 | 2.538 | 64.624 |
| Constant | −0.962 | 0.382 | 2.982 | 0.084 | ||
| Correlation Analysis CD15, CD68 and Iron Staining with Postoperative Course | |||||
|---|---|---|---|---|---|
| CD15 | No Complications | Complication | Death | p-Value | |
| Discreet | 2 | 7 | 1 | 10 (17%) | 0.403 |
| Mild | 1 | 4 | 1 | 6 (38%) | |
| Distinct | 3 | 1 | 1 | 6 (38%) | |
| CD68 | |||||
| Discreet | 2 | 7 | 0 | 9 (43%) | 0.296 |
| Mild | 2 | 4 | 2 | 8 (38%) | |
| Distinct | 2 | 1 | 1 | 4 (19%) | |
| Iron | |||||
| Not detectable | 5 | 9 | 2 | 16 (76%) | 0.429 |
| Discreet | 1 | 3 | 0 | 4 (19%) | |
| Mild | 0 | 0 | 1 | 1 (5%) | |
| Total | 6 | 12 | 3 | 21 | |
Disclaimer/Publisher’s Note: The statements, opinions and data contained in all publications are solely those of the individual author(s) and contributor(s) and not of MDPI and/or the editor(s). MDPI and/or the editor(s) disclaim responsibility for any injury to people or property resulting from any ideas, methods, instructions or products referred to in the content. |
© 2024 by the authors. Licensee MDPI, Basel, Switzerland. This article is an open access article distributed under the terms and conditions of the Creative Commons Attribution (CC BY) license (https://creativecommons.org/licenses/by/4.0/).
Share and Cite
Schickedanz, O.; Friedmacher, F.; Gretser, S.; Braun, Y.; Wild, P.J.; Rolle, U.; Gradhand, E. Fresh Hemorrhages in Intestinal Resection Margins Are Associated with Unfavorable Clinical Outcomes in Preterm Infants with Necrotizing Enterocolitis with Surgical Intervention. Life 2024, 14, 1510. https://doi.org/10.3390/life14111510
Schickedanz O, Friedmacher F, Gretser S, Braun Y, Wild PJ, Rolle U, Gradhand E. Fresh Hemorrhages in Intestinal Resection Margins Are Associated with Unfavorable Clinical Outcomes in Preterm Infants with Necrotizing Enterocolitis with Surgical Intervention. Life. 2024; 14(11):1510. https://doi.org/10.3390/life14111510
Chicago/Turabian StyleSchickedanz, Ole, Florian Friedmacher, Steffen Gretser, Yannick Braun, Peter Johanes Wild, Udo Rolle, and Elise Gradhand. 2024. "Fresh Hemorrhages in Intestinal Resection Margins Are Associated with Unfavorable Clinical Outcomes in Preterm Infants with Necrotizing Enterocolitis with Surgical Intervention" Life 14, no. 11: 1510. https://doi.org/10.3390/life14111510
APA StyleSchickedanz, O., Friedmacher, F., Gretser, S., Braun, Y., Wild, P. J., Rolle, U., & Gradhand, E. (2024). Fresh Hemorrhages in Intestinal Resection Margins Are Associated with Unfavorable Clinical Outcomes in Preterm Infants with Necrotizing Enterocolitis with Surgical Intervention. Life, 14(11), 1510. https://doi.org/10.3390/life14111510

