Gestational Pemphigoid—From Molecular Mechanisms to Clinical Outcomes: A Case Report and Review of Literature
Abstract
1. Introduction
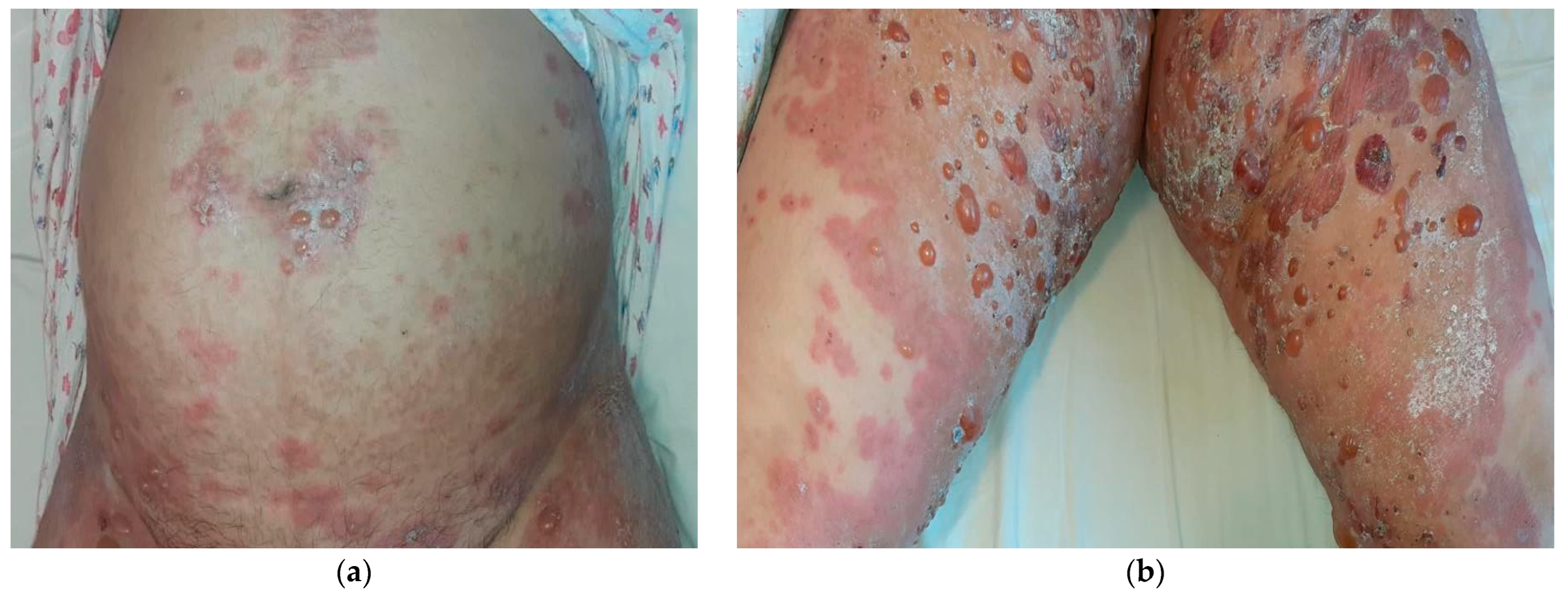
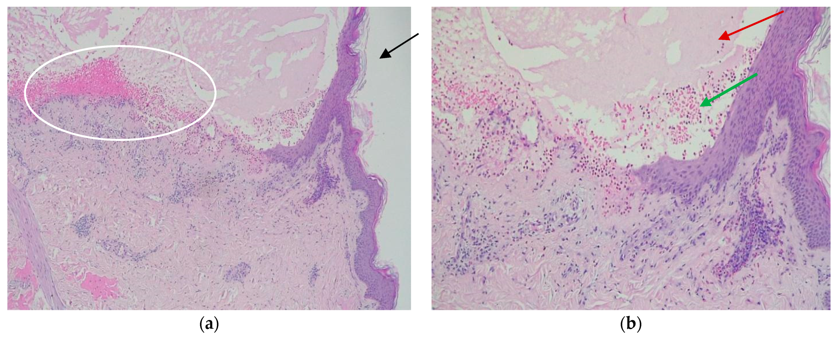
2. Clinical Case
3. Discussions
3.1. Review
3.2. Definition
3.3. Epidemiology
3.4. Etiopathogenesis
3.5. Clinical Course and Features
3.6. Diagnosis
3.7. Differential Diagnosis
3.8. Treatment
3.9. Outcomes
4. Conclusions
Author Contributions
Funding
Institutional Review Board Statement
Informed Consent Statement
Data Availability Statement
Acknowledgments
Conflicts of Interest
References
- Ceryn, J.; Siekierko, A.; Skibińska, M.; Doss, N.; Narbutt, J.; Lesiak, A. Pemphigoid Gestationis—Case Report and Review of Literature. Clin. Cosmet. Investig. Dermatol. 2021, 14, 665–670. [Google Scholar] [CrossRef] [PubMed]
- Daniel, B.S.; Murrell, D.F. Review of autoimmune blistering diseases: The Pemphigoid diseases. J. Eur. Acad. Dermatol. Venereol. 2019, 33, 1685–1694. [Google Scholar] [CrossRef] [PubMed]
- Hallaji, Z.; Mortazavi, H.; Ashtari, S.; Nikoo, A.; Abdollahi, M.; Nasimi, M. Pemphigoid gestationis: Clinical and histologic features of twenty-three patients. Int. J. Womens Dermatol. 2016, 3, 86–90. [Google Scholar] [CrossRef]
- Lardenoije, C.M.; van de Water, M.; Mertens, H.J.; Gondrie, E.T. Pemphigoid gestationis. BMJ Case Rep. 2011, 2011, bcr0120102623. [Google Scholar] [CrossRef]
- Genovese, G.; Derlino, F.; Berti, E.; Marzano, A.V. Treatment of Autoimmune Bullous Diseases During Pregnancy and Lactation: A Review Focusing on Pemphigus and Pemphigoid Gestationis. Front. Pharmacol. 2020, 11, 583354. [Google Scholar] [CrossRef]
- Patel, P.M.; Jones, V.A.; Murray, T.N.; Amber, K.T. A Review Comparing International Guidelines for the Management of Bullous Pemphigoid, Pemphigoid Gestationis, Mucous Membrane Pemphigoid, and Epidermolysis Bullosa Acquisita. Am. J. Clin. Dermatol. 2020, 21, 557–565. [Google Scholar] [CrossRef]
- Cohen, S.; Strowd, L.C.; Pichardo, R.O. Pemphigoid gestationis: A case series and review of the literature. J. Dermatol. Treat. 2018, 29, 815–818. [Google Scholar] [CrossRef]
- Jimenez, A.; Blain, K.; Khalighi, M.; Clarke, J.T.; Snook, J.; Cipriano, S.D. Neonatal pemphigoid gestationis: An atypical presentation of a rare disease. Pediatr. Dermatol. 2021, 38, 1575–1576. [Google Scholar] [CrossRef] [PubMed]
- Sitaru, C.; Powell, J.; Messer, G.; Bröcker, E.B.; Wojnarowska, F.; Zillikens, D. Immunoblotting and enzyme-linked immunosorbent assay for the diagnosis of pemphigoid gestationis. Obstet. Gynecol. 2004, 103, 757–763. [Google Scholar] [CrossRef]
- Powell, A.M.; Sakuma-Oyama, Y.; Oyama, N.; Albert, S.; Bhogal, B.; Kaneko, F.; Nishikawa, T.; Black, M.M. Usefulness of BP180 NC16a Enzyme-Linked Immunosorbent Assay in the Serodiagnosis of Pemphigoid Gestationis and in Differentiating Between Pemphigoid Gestationis and Pruritic Urticarial Papules and Plaques of Pregnancy. Arch. Dermatol. 2005, 141, 705–710. [Google Scholar] [CrossRef]
- Alturaymi, M.A.; Almadhi, O.F.; Alageel, Y.S.; Bin Dayel, M.; Alsubayyil, M.S.; Alkhateeb, B.F. The Association Between Prolonged Use of Oral Corticosteroids and Mental Disorders: Do Steroids Have a Role in Developing Mental Disorders? Cureus 2023, 15, e37627. [Google Scholar] [CrossRef] [PubMed] [PubMed Central]
- Jolley, S.N.; Elmore, S.; Barnard, K.E.; Carr, D.B. Dysregulation of the hypothalamic-pituitary-adrenal axis in postpartum depression. Biol. Res. Nurs. 2007, 8, 210–222. [Google Scholar] [CrossRef] [PubMed]
- Meltzer-Brody, S. New insights into perinatal depression: Pathogenesis and treatment during pregnancy and postpartum. Dialogues Clin. Neurosci. 2011, 13, 89–100. [Google Scholar] [CrossRef] [PubMed]
- Carlson, K.; Mughal, S.; Azhar, Y.; Siddiqui, W. Postpartum Depression. In StatPearls [Internet]; StatPearls Publishing: Treasure Island, FL, USA, 2024. Available online: https://www.ncbi.nlm.nih.gov/books/NBK519070/ (accessed on 18 October 2024).
- Alshikh Ahmad, H.; Alkhatib, A.; Luo, J. Prevalence and risk factors of postpartum depression in the Middle East: A systematic review and meta-analysis. BMC Pregnancy Childbirth 2021, 21, 542. [Google Scholar] [CrossRef]
- Huilaja, L.; Mäkikallio, K.; Tasanen, K. Gestational pemphigoid. Orphanet J. Rare Dis. 2014, 9, 136. [Google Scholar] [CrossRef]
- Patsatsi, A.; Uy, C.D.C.; Murrell, D.F. Multiple milia formation in blistering diseases. Int. J. Womens Dermatol. 2020, 6, 199–202. [Google Scholar] [CrossRef]
- Callaway, J.L.; Noojin, R.O. Herpes gestationis; report of a case occurring post-partum on three separate occasions. Urol. Cutaneous Rev. 1946, 50, 287. [Google Scholar] [PubMed]
- Genovese, G.; Derlino, F.; Cerri, A.; Moltrasio, C.; Muratori, S.; Berti, E.; Marzano, A.V. A Systematic Review of Treatment Options and Clinical Outcomes in Pemphigoid Gestationis. Front. Med. 2020, 7, 604945. [Google Scholar] [CrossRef]
- Messer, G.; Schirren, H.; Meurer, M. Herpes gestationis: Immunologic and immunogenetic aspects. Hautarzt 1993, 44, 761–766. [Google Scholar]
- Semkova, K.; Black, M. Pemphigoid gestationis: Current insights into pathogenesis and treatment. Eur. J. Obstet. Gynecol. Reprod. Biol. 2009, 145, 138–144. [Google Scholar] [CrossRef]
- Kanwar, A.J. Pemphigoid gestationis. Br. J. Dermatol. 2015, 172, 6–7. [Google Scholar] [CrossRef] [PubMed]
- Van Beek, N.; Holtsche, M.M.; Atefi, I.; Olbrich, H.; Schmitz, M.J.; Pruessmann, J.; Vorobyev, A.; Schmidt, E. State-of-the-art diagnosis of autoimmune blistering diseases. Front. Immunol. 2024, 15, 1363032. [Google Scholar] [CrossRef] [PubMed]
- Ghafoor, R.; Hanif, I.M.; Ullah, M.A.; Husseni, A.M. Gestational Pemphigoid Presenting in the Second Trimester of Pregnancy: A Rare Finding. Cureus 2022, 14, e25531. [Google Scholar] [CrossRef]
- Intong, L.R.A.; Murrell, D.F. Pemphigoid Gestationis: Pathogenesis and Clinical Features. Dermatol. Clin. 2011, 29, 447–452. [Google Scholar] [CrossRef]
- Jiao, H.N.; Ruan, Y.P.; Liu, Y.; Pan, M.; Zhong, H.P. Diagnosis, fetal risk and treatment of pemphigoid gestationis in pregnancy: A case report. World J. Clin. Cases 2021, 9, 10645–10651. [Google Scholar] [CrossRef]
- Sabir, S.; Sami, Z.; Youssouf, N.; Gmih, S.; Jalal, M.; Lamrissi, A.; Bouhya, S. Gestational Pemphigus: A Case Report. Med. Clin. Case. Rep. 2022, 2, 1–4. Available online: https://www.scivisionpub.com/pdfs/gestational-pemphigus--a-case-report-2279.pdf (accessed on 28 September 2024). [CrossRef]
- Kurien, G.; Carlson, K.; Badri, T. Dermatoses of Pregnancy. In Stat Pearls [Internet]; Stat Pearls Publishing: Treasure Island, FL, USA, 2024. Available online: http://www.ncbi.nlm.nih.gov/books/NBK430864/ (accessed on 28 September 2024).
- Fong, M.; Gandhi, G.R.; Gharbi, A.; Hafsi, W. Pemphigoid Gestationis. In Stat Pearls [Internet]; Stat Pearls Publishing: Treasure Island, FL, USA, 2024. Available online: http://www.ncbi.nlm.nih.gov/books/NBK470287/ (accessed on 28 September 2024).
- Abdelhafez, M.M.A.; Ahmed, K.A.M.; Daud, M.N.B.M.; Jeffree, M.S.; Kadir, F.; Baharuddin, D.M.P.; Than, W.W.; Hayati, F.; Tay, K.X.; Helmy, E. Pemphigoid Gestationis and adverse pregnancy outcomes: A literature review. J. Gynecol. Obstet. Hum. Reprod. 2022, 51, 102370. [Google Scholar] [CrossRef]
- Awh, K.C.; Hsu, S. Do We Need to Monitor for Graves’ Disease After a Diagnosis of Pemphigoid Gestationis? Cureus 2023, 15, e48972. [Google Scholar] [CrossRef] [PubMed]
- Parfene, C.G.; Bohiltea, R.E.; Mihai, B.M.; Grigoriu, C.; Margaritescu, I.; Chirita, A.D.; Zugravu, C.A.; Pelinescu-Onciul, D. Influence of pemphigoid gestationis on pregnancy outcome: A case report and review of the literature. Exp. Ther. Med. 2022, 23, 23. [Google Scholar] [CrossRef]
- Narayanan, A.; Pangti, R.; Agarwal, S.; Bhari, N. Pemphigoid gestationis: A rare pregnancy dermatosis treated with a combination of IVIg and rituximab. BMJ Case Rep. 2021, 14, e241496. [Google Scholar] [CrossRef]
- Schauer, F.; Mai, S.; Hofmann, S.C.; Mai, Y.; Izumi, K.; Kern, J.S.; Kiritsi, D. Autoreactivity to BP180 Neoepitopes in Patients with Pemphigoid Gestationis. JAMA Dermatol. 2022, 158, 212–214. [Google Scholar] [CrossRef]
- Shornick, J.K.; Jenkins, R.E.; Briggs, D.C.; Welsh, K.I.; Kelly, S.E.; Garvey, M.P.; Black, M.M. Anti-HLA antibodies in pemphigoid gestationis (herpes gestationis). Br. J. Dermatol. 1993, 129, 257–259. [Google Scholar] [CrossRef]
- Opelka, B.; Schmidt, E.; Goletz, S. Type XVII collagen: Relevance of distinct epitopes, complement-independent effects, and association with neurological disorders in pemphigoid disorders. Front. Immunol. 2022, 13, 948108. [Google Scholar] [CrossRef] [PubMed]
- Ambros-Rudolph, C.M.; Müllegger, R.R.; Vaughan-Jones, S.A.; Kerl, H.; Black, M.M. The specific dermatoses of pregnancy revisited and reclassified: Results of a retrospective two-center study on 505 pregnant patients. J. Am. Acad. Dermatol. 2006, 54, 395–404. [Google Scholar] [CrossRef]
- Herman, H.; Krepelka, P.; Tefr Faridová, A.; Trojanova, K.; Hanacek, J.; Jaluvkova, B.; Feyereisl, J.; Gkalpakiotis, S. A severe case of pemphigoid gestationis persisting after labor—Case report and review of the literature. Biomed. Pap. 2024, 168, 271–275. [Google Scholar] [CrossRef] [PubMed]
- Feliciani, C.; Genovese, G.; D’astolto, R.; Pontini, P.; Marzano, A.V. Autoimmune bullous diseases during pregnancy: Insight into pathogenetic mechanisms and clinical features. Giornale Italiano Dermatol. Venereol. 2018, 154, 256–262. Available online: https://www.minervamedica.it/en/journals/Ital-J-Dermatol-Venereol/article.php?cod=R23Y2019N03A0256 (accessed on 9 October 2024). [CrossRef] [PubMed]
- Stefaniak, A.A.; Pereira, M.P.; Zeidler, C.; Ständer, S. Pruritus in Pregnancy. Am. J. Clin. Dermatol. 2022, 23, 231–246. [Google Scholar] [CrossRef]
- Cordel, N.; Flament, J.; Jouen, F.; Seta, V.; Tancrède-Bohin, E.; Dahan, C.P.; Konstantinou, M.; Dereure, O.; Quéreux, G.; Prost, C.; et al. Anti-BP180 IgG antibody ELISA values correlate with adverse pregnancy outcomes in pemphigoid gestationis. J. Eur. Acad. Dermatol. Venereol. 2023, 37, 1207–1214. [Google Scholar] [CrossRef]
- Kotnik, V. Complement in skin diseases. Acta Dermatovenerol. Alp. Pannonica Adriat. 2011, 20, 3–11. Available online: https://pubmed.ncbi.nlm.nih.gov/21879199/ (accessed on 10 October 2024).
- Abel, M.K.; Suresh, R.; Raffi, J.; McCalmont, T.H.; Murase, J.E. Diagnostic testing in gestational bullous pemphigoid: Has enzyme-linked immunosorbent assay replaced direct immunofluorescence as the new gold standard? JAAD Case Rep. 2019, 5, 1081–1083. [Google Scholar] [CrossRef]
- Chandra, R.; Roesyanto-Mahadi, I.D. Dermoscopic and histopathologic findings in diagnosing postpartum pemphigoid gestationis. JDVI 2024, 8, 7. Available online: https://scholarhub.ui.ac.id/jdvi/vol8/iss1/7/ (accessed on 28 September 2024).
- Bokhari, A.; Darwish, R.; Bin Dawood, F.; Mohamed, F.; Alkhaldi, O.; Alruwaili, M.; Alhazmi, K.; Tharwat, T.; Alabbas, F.; Albthali, S.; et al. Dermatoses of Pregnancy: Overview of Presentation, Treatment and Outcome. JOHS 2023, 3, 584–591. [Google Scholar] [CrossRef]
- Vičić, M.; Marinović, B. Autoimmune bullous diseases in pregnancy: An overview of pathogenesis, clinical presentations, diagnostics and available therapies. Ital. J. Dermatol. Venereol. 2023, 158, 99–109. [Google Scholar] [CrossRef]
- Ting, S.; Nixon, R. Assessment and management of itchy skin in pregnancy. Aust. J. Gen. Pract. 2021, 50, 898–903. [Google Scholar] [CrossRef]
- Bechtel, M.A.; Plotner, A. Dermatoses of pregnancy. Clin. Obstet. Gynecol. 2015, 58, 104–111. [Google Scholar] [CrossRef] [PubMed]
- Egami, S.; Yamagami, J.; Amagai, M. Autoimmune bullous skin diseases, pemphigus and pemphigoid. J. Allergy Clin. Immunol. 2020, 145, 1031–1047. [Google Scholar] [CrossRef]
- Gur, C.; Diav-Citrin, O.; Shechtman, S.; Arnon, J.; Ornoy, A. Pregnancy outcome after first trimester exposure to corticosteroids: A prospective controlled study. Reprod. Toxicol. 2004, 18, 93–101. [Google Scholar] [CrossRef]
- Bandoli, G.; Palmsten, K.; Forbess Smith, C.J.; Chambers, C.D. A Review of Systemic Corticosteroid Use in Pregnancy and the Risk of Select Pregnancy and Birth Outcomes. Rheum. Dis. Clin. N. Am. 2017, 43, 489–502. [Google Scholar] [CrossRef]
- Bobircă, A.; Simionescu, A.A.; Mușetescu, A.E.; Alexandru, C.; Bobircă, F.; Bojincă, M.; Bălănescu, A.; Micu, M.; Ancuța, C.; Sima, R.; et al. Outcomes of Prospectively Followed Pregnancies in Rheumatoid Arthritis: A Multicenter Study from Romania. Life 2023, 13, 359. [Google Scholar] [CrossRef]
- Kumar, S.; Biswas, M.; Rajagopal, R.; Datta, S.; Narayan, B. Successfully Treated Case of Pemphigoid Gestationis with Post-Partum Intravenous and Oral Steroids. J. Obstet. Gynecol. India 2014, 64, 16–18. [Google Scholar] [CrossRef][Green Version]
- Paziana, K.; Del Monaco, M.; Cardonick, E.; Moritz, M.; Keller, M.; Smith, B.; Coscia, L.; Armenti, V. Ciclosporin Use During Pregnancy. Drug Saf. 2013, 36, 279–294. [Google Scholar] [CrossRef] [PubMed]
- Boria, F.; Maseda, R.; Albízuri, F.; de la Calle, M. Intravenous Immunoglobulin Therapy for Gestational Pemphigoid Refractory to Conventional Treatment. Actas Dermosifiliogr (Engl. Ed.) 2021, 112, 83–85. [Google Scholar] [CrossRef] [PubMed]
- Treatment of Pemphigoid Gestationis with Dupilumab. Available online: https://pubmed.ncbi.nlm.nih.gov/34048080/ (accessed on 1 October 2024).
- Chen, R.E.; Yokoyama, C.C.; Anadkat, M.J. Pemphigoid gestationis treated with dupilumab. JAAD Case Rep. 2023, 41, 10–12. [Google Scholar] [CrossRef] [PubMed]
- Uchida, S.; Oiso, N.; Koga, H.; Ishii, N.; Okahashi, K.; Matsuda, H.; Hashimoto, T.; Kawada, A. Refractory bullous pemphigoid leaving numerous milia during recovery. J. Dermatol. 2014, 41, 1003–1005. [Google Scholar] [CrossRef]
- Vidarsson, G.; Dekkers, G.; Rispens, T. IgG subclasses and allotypes: From structure to effector functions. Front. Immunol. 2014, 5, 520. [Google Scholar] [CrossRef]
- Pyzik, M.; Sand, K.M.K.; Hubbard, J.J.; Andersen, J.T.; Sandlie, I.; Blumberg, R.S. The Neonatal Fc Receptor (FcRn): A Misnomer? Front. Immunol. 2019, 10, 1540. [Google Scholar] [CrossRef]
- Challa, D.K.; Velmurugan, R.; Ober, R.J.; Sally Ward, E. FcRn: From molecular interactions to regulation of IgG pharmacokinetics and functions. Curr. Top. Microbiol. Immunol. 2014, 382, 249–272. [Google Scholar] [CrossRef]
- Palmeira, P.; Quinello, C.; Silveira-Lessa, A.L.; Zago, C.A.; Carneiro-Sampaio, M. IgG placental transfer in healthy and pathological pregnancies. Clin. Dev. Immunol. 2012, 2012, 985646. [Google Scholar] [CrossRef]
- Ciobanu, A.M.; Dumitru, A.E.; Gica, N.; Botezatu, R.; Peltecu, G.; Panaitescu, A.M. Benefits and Risks of IgG Transplacental Transfer. Diagnostics 2020, 10, 583. [Google Scholar] [CrossRef]
- Huilaja, L.; Mäkikallio, K.; Sormunen, R.; Lohi, J.; Hurskainen, T.; Tasanen, K. Gestational pemphigoid: Placental morphology and function. Acta Derm. Venereol. 2013, 93, 33–38. [Google Scholar] [CrossRef]




Disclaimer/Publisher’s Note: The statements, opinions and data contained in all publications are solely those of the individual author(s) and contributor(s) and not of MDPI and/or the editor(s). MDPI and/or the editor(s) disclaim responsibility for any injury to people or property resulting from any ideas, methods, instructions or products referred to in the content. |
© 2024 by the authors. Licensee MDPI, Basel, Switzerland. This article is an open access article distributed under the terms and conditions of the Creative Commons Attribution (CC BY) license (https://creativecommons.org/licenses/by/4.0/).
Share and Cite
Cristescu, M.I.; Tutunaru, C.V.; Panaitescu, A.; Voiculescu, V.M. Gestational Pemphigoid—From Molecular Mechanisms to Clinical Outcomes: A Case Report and Review of Literature. Life 2024, 14, 1427. https://doi.org/10.3390/life14111427
Cristescu MI, Tutunaru CV, Panaitescu A, Voiculescu VM. Gestational Pemphigoid—From Molecular Mechanisms to Clinical Outcomes: A Case Report and Review of Literature. Life. 2024; 14(11):1427. https://doi.org/10.3390/life14111427
Chicago/Turabian StyleCristescu, Miruna Ioana, Cristina Violeta Tutunaru, Anca Panaitescu, and Vlad Mihai Voiculescu. 2024. "Gestational Pemphigoid—From Molecular Mechanisms to Clinical Outcomes: A Case Report and Review of Literature" Life 14, no. 11: 1427. https://doi.org/10.3390/life14111427
APA StyleCristescu, M. I., Tutunaru, C. V., Panaitescu, A., & Voiculescu, V. M. (2024). Gestational Pemphigoid—From Molecular Mechanisms to Clinical Outcomes: A Case Report and Review of Literature. Life, 14(11), 1427. https://doi.org/10.3390/life14111427

