Management of a Rare Case of Superior Mesenteric Artery Aneurysm Associated with a Pancreatic Cyst Complicated by Acute Rupture: A Case Report and Review of Literature
Abstract
1. Introduction
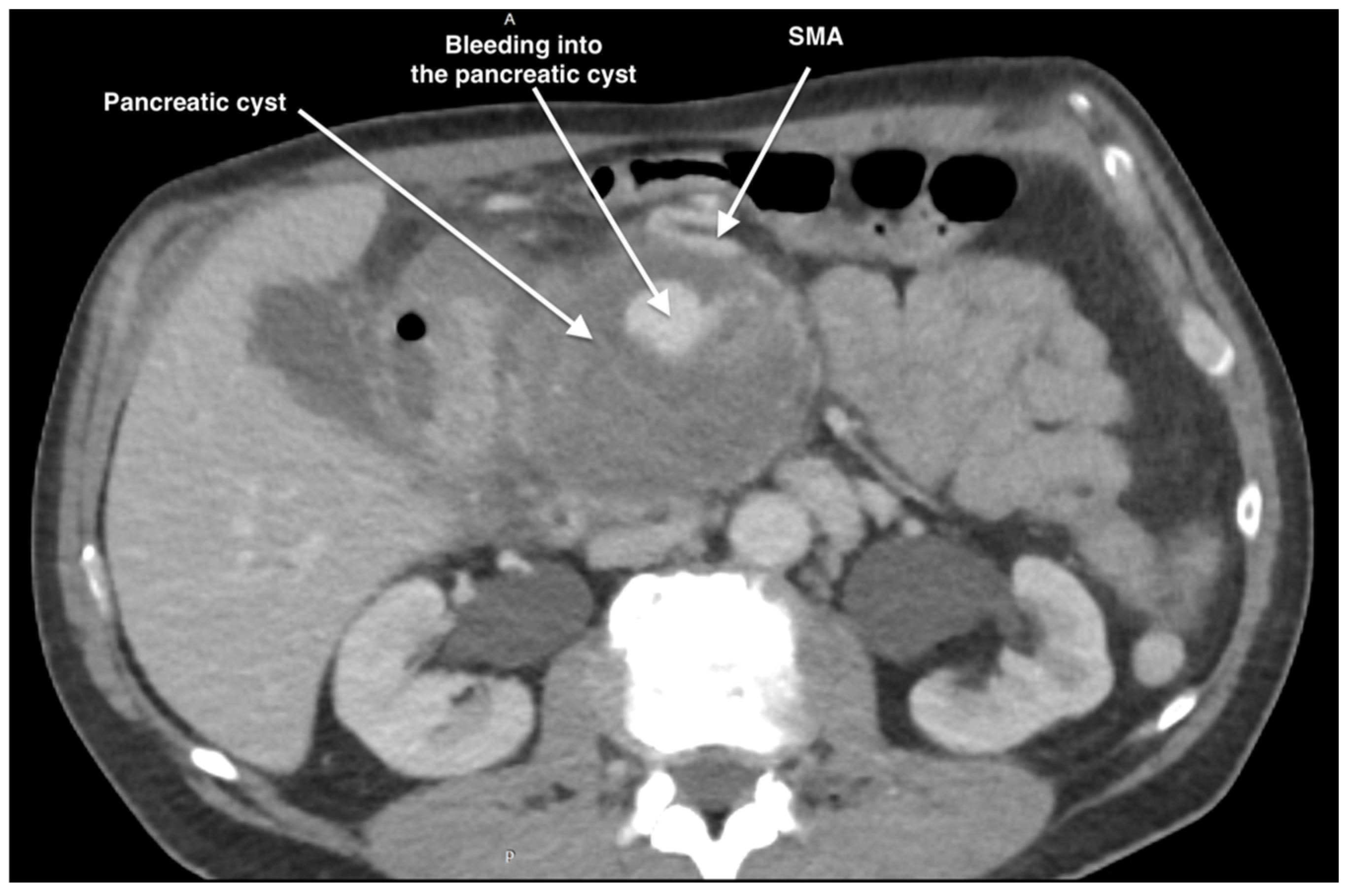
2. Case Report
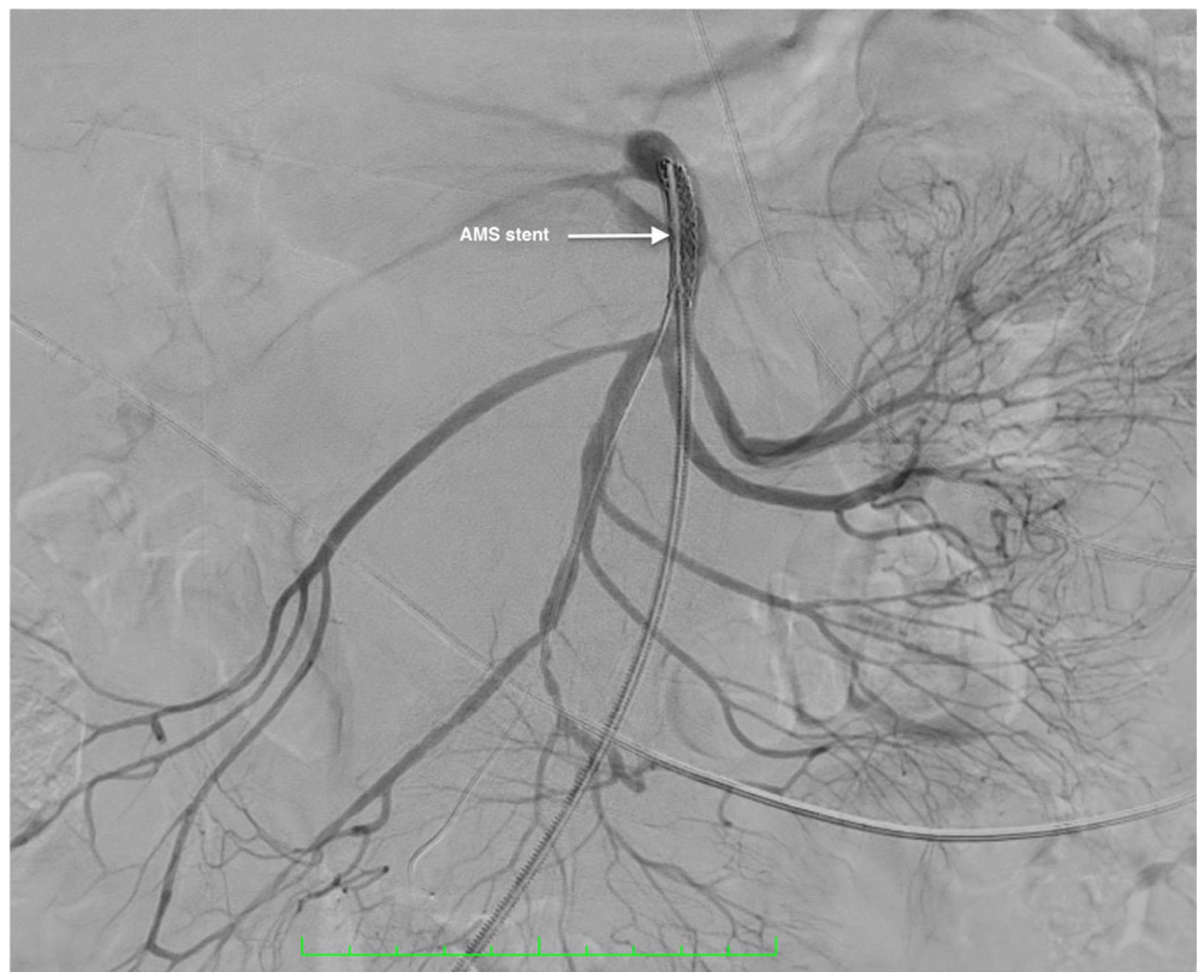
Surgical Technique
3. Discussion
Review of Literature
4. Conclusions
Author Contributions
Funding
Institutional Review Board Statement
Informed Consent Statement
Data Availability Statement
Conflicts of Interest
References
- Erben, Y.; Brownstein, A.J.; Rajaee, S.; Li, Y.; Rizzo, J.A.; Mojibian, H.; Ziganshin, B.A.; Elefteriades, J.A. Natural history and management of splanchnic artery aneurysms in a single tertiary referral center. J. Vasc. Surg. 2018, 68, 1079–1087. [Google Scholar] [CrossRef] [PubMed]
- Kaszczewski, P.; Kozubek, H.; Ostrowski, T.; Maciąg, R.; Chudziński, W.; Skórski, M.; Gałązka, Z. Rapid Formation and Hybrid Treatment of a Large Superior Mesenteric Artery Aneurysm. Am. J. Case Rep. 2023, 24, e939558. [Google Scholar] [CrossRef] [PubMed] [PubMed Central]
- Corey, M.R.; Ergul, E.A.; Cambria, R.P.; English, S.J.; Patel, V.I.; Lancaster, R.T.; Kwolek, C.J.; Conrad, M.F. The natural history of splanchnic artery aneurysms and outcomes after operative intervention. J. Vasc. Surg. 2016, 63, 949–957. [Google Scholar] [CrossRef] [PubMed]
- Pitcher, G.S.; Cirillo-Penn, N.C.; Mendes, B.C.; Shuja, F.; DeMartino, R.R.; Kalra, M.; Bower, T.C.; Harmsen, W.S.; Colglazier, J.J. Aneurysms of the superior mesenteric artery and its branches. J. Vasc. Surg. 2022, 76, 149–157. [Google Scholar] [CrossRef] [PubMed]
- Piasek, E.; Sojka, M.; Kuczyńska, M.; Światłowski, Ł.; Drelich-Zbroja, A.; Furmaga, O.; Jargiełło, T. Visceral artery aneurysms—Classification, diagnosis and treatment. J. Ultrason. 2018, 18, 148–151. [Google Scholar] [CrossRef] [PubMed] [PubMed Central]
- Verde, F.; Fishman, E.K.; Johnson, P.T. Arterial pseudoaneurysms complicating pancreatitis: Literature review. J. Comput. Assist. Tomogr. 2015, 39, 7–12. [Google Scholar] [CrossRef] [PubMed]
- Dávila Arias, C.; Ruiz-Rodríguez, A.J.; Cabrera Peña, Á. Hematochezia secondary to hemosuccus pancreaticus due to a pseudoaneurysm associated with a pancreatic pseudocyst. Rev. Esp. Enfermedades Dig. 2021, 113, 618. [Google Scholar] [CrossRef] [PubMed]
- Branquinho, D.; Ramos-Andrade, D.; Elvas, L.; Amaro, P.; Ferreira, M.; Sofia, C. Drug-Induced Acute Pancreatitis and Pseudoaneurysms: An Ominous Combination. GE Port. J. Gastroenterol. 2016, 23, 309–313. [Google Scholar] [CrossRef] [PubMed] [PubMed Central]
- Corvino, F.; Giurazza, F.; Ierardi, A.M.; Lucatelli, P.; Basile, A.; Corvino, A.; Niola, R. Splenic Artery Pseudoaneurysms: The Role of ce-CT for Diagnosis and Treatment Planning. Diagnostics 2022, 12, 1012. [Google Scholar] [CrossRef] [PubMed] [PubMed Central]
- Okubo, R.; Kikuchi, S.; Otani, N.; Tsutsui, M.; Kamiya, H. Giant Superior Mesenteric Artery Aneurysm Treated by Endovascular Treatment in a Very Elderly Female. Vasc. Spec. Int. 2023, 39, 10. [Google Scholar] [CrossRef] [PubMed] [PubMed Central]
- Saftoiu, A.; Iordache, S.; Ciurea, T.; Dumitrescu, D.; Popescu, M.; Stoica, Z. Pancreatic pseudoaneurysm of the superior mesenteric artery complicated with obstructive jaundice. A case report. JOP 2005, 6, 29–35. [Google Scholar] [PubMed]
- Pulli, R.; Dorigo, W.; Troisi, N.; Pratesi, G.; Innocenti, A.A.; Pratesi, C. Surgical treatment of visceral artery aneurysms: A 25-year experience. J. Vasc. Surg. 2008, 48, 334–342. [Google Scholar] [CrossRef] [PubMed]
- Mohan, I.V.; Stephen, M.S. Peripheral arterial aneurysms: Open or endovascular surgery? Prog. Cardiovasc. Dis. 2013, 56, 36–56. [Google Scholar] [CrossRef] [PubMed]
- Thillai, M.; Sethi, P.; Narayana Menon, R.; Puthukudiyil Kader, N. Cystic artery pseudoaneurysm following acute necrotising pancreatitis. BMJ Case Rep. 2017, 2017, bcr2016218891. [Google Scholar] [CrossRef] [PubMed] [PubMed Central]
- Wang, J.; Cao, D.; Tong, Q. Superior mesenteric artery branch pseudoaneurysm rupture mimicking acute pancreatitis in a patient with acute type B aortic dissection: A case report. Medicine 2019, 98, e16442. [Google Scholar] [CrossRef] [PubMed] [PubMed Central]
- Sousa, J.; Costa, D.; Mansilha, A. Visceral artery aneurysms: Review on indications and current treatment strategies. Int. Angiol. 2019, 38, 381–394. [Google Scholar] [CrossRef] [PubMed]
- Wang, L.; Shu, C.; Li, Q.; Jiang, X.; Li, X.; He, H.; Li, M. Experience of managing superior mesenteric artery aneurysm and its midterm follow-up results with 18 cases. Vascular 2021, 29, 516–526. [Google Scholar] [CrossRef] [PubMed]
- Bouassida, M.; Benali, M.; Charrada, H.; Ghannouchi, M.; Chebbi, F.; Mighri, M.M.; Azzouz, M.M.; Touinsi, H.; Sassi, S. Gastrointestinal bleeding due to an erosion of the superior mesenteric artery: An exceptional fatal complication of pancreatic pseudocyst. Pan Afr. Med. J. 2012, 12, 62. [Google Scholar] [PubMed] [PubMed Central]
- Ogino, H.; Banno, T.; Sato, Y.; Hara, M.; Shibamoto, Y. Superior mesenteric artery stent-graft placement in a patient with pseudoaneurysm developing from a pancreatic pseudocyst. Cardiovasc. Interv. Radiol. 2004, 27, 68–70. [Google Scholar] [CrossRef] [PubMed]
- Stiru, O.; Gorduza, E.V.; Dorobantu, F.L.; Parasca, C.A.; Chioncel, O.; Bubenek Turconi, S.I.; Filipescu, D.C.; Iliescu, V.A. Surgical Management of Type A Acute Aortic Dissection in Patients with Marfan Syndrome: A Single Center Experience. Med.-Surg. J. 2016, 120, 611–618. [Google Scholar] [PubMed]
- Geana, R.C.; Pavel, P.; Nayyerani, R.; Kulcsar, I.; Tulin, A.; Honciuc, O.; Balescu, I.; Bacalbasa, N.; Stiru, O.; Iliescu, V.A.; et al. Successfully superior mesenteric artery stenting in operated type A aortic dissection complicated with delayed mesenteric malperfusion. SAGE Open Med. Case Rep. 2021, 9, 2050313X211021184. [Google Scholar] [CrossRef] [PubMed] [PubMed Central]
- Dumitrescu, C.I.; Ciobirca, C.; Popa, R.T.; Dumitrescu, D.; Tambura, C.G.; Ciobirca, D.M.; Stavaru, R.; Tiuca, M.F.; Maces, S.; Barbulescu, L.F.; et al. Preoperative Planning for Superior Mesenteric Artery Aneurysm. Appl. Sci. 2021, 11, 10311. [Google Scholar] [CrossRef]
- Chaer, R.A.; Abularrage, C.J.; Coleman, D.M.; Eslami, M.H.; Kashyap, V.S.; Rockman, C.; Murad, M.H. The Society for Vascular Surgery clinical practice guidelines on the management of visceral aneurysms. J. Vasc. Surg. 2020, 72, 3S–39S. [Google Scholar] [CrossRef]
- Guo, B.; Guo, D.; Xu, X.; Chen, B.; Shi, Z.; Luo, J.; Jiang, J.; Fu, W. Early and intermediate results of endovascular treatment of symptomatic and asymptomatic visceral artery aneurysms. J. Vasc. Surg. 2016, 64, 140–148. [Google Scholar] [CrossRef] [PubMed][Green Version]
- Venturini, M.; Marra, P.; Colombo, M.; Alparone, M.; Agostini, G.; Bertoglio, L.; Sallemi, B.C.; Salvioni, M.; Gusmini, S.; Balzano, G.; et al. Endovascular Treatment of Visceral Artery Aneurysms and Pseudoaneurysms in 100 Patients: Covered Stenting vs Transcatheter Embolization. J. Endovasc. Ther. 2017, 24, 709–717. [Google Scholar] [CrossRef]
- Hemp, J.H.; Sabri, S.S. Endovascular management of visceral arterial aneurysms. Tech. Vasc. Interv. Radiol. 2015, 18, 14–23. [Google Scholar] [CrossRef] [PubMed]







| Authors | Year | Country | Number of Patients | Mean Age (Years) | SMAA | Pancreatic Cyst | Treatment | Follow-Up (Months) | Mortality |
|---|---|---|---|---|---|---|---|---|---|
| Pulli et al. [12] | 2008 | Italy | 55 | 59.3 | 2 | 1 | Surgery | 120 | 50% |
| Wang et al. [17] | 2020 | China | 18 | 49.1 | 18 | 2 | Surgery 9 pts Endovascular 3 pts Conservative 3 pts | 47 | 0% |
| Zyromski et al. [16] | 2007 | USA | 35 | 59.3 | 3 | 3 | Surgery | NS | NS |
| Guo et al. [24] | 2016 | China | 8 | 55.3 | 8 | 1 | Endovascular | NS | NS |
| Arias et al. [7] | 2020 | Spain | 1 | NS | 1 | 1 | Endovascular | NS | NS |
| Saftoiu et al. [11] | 2004 | Romania | 1 | 66 | 1 | 1 | Surgery | NA | 100% |
| Bouassida et al. [18] | 2012 | Tunisia | 1 | 50 | 0 | 1 | Surgery | NA | 100% |
| Kaszczewski et al. [2] | 2023 | Poland | 1 | 41 | 1 | 0 | Endovascular | 12 | 0% |
| Pitcher et al. [4] | 2022 | USA | 131 | 60 | 41 | 1 | Surgery 36 Endovascular 8 | 43.6 | NS |
| Okubo et al. [10] | 2023 | Japan | 1 | 92 | 1 | 0 | Endovascular | 21 | 0% |
| Saltzberg et al. [13] | 2005 | USA | 65 | 64.9 | 3 | 0 | Endovascular 18 (27.7%) Surgery 9 (13.9%) | 14.9 | NS |
Disclaimer/Publisher’s Note: The statements, opinions and data contained in all publications are solely those of the individual author(s) and contributor(s) and not of MDPI and/or the editor(s). MDPI and/or the editor(s) disclaim responsibility for any injury to people or property resulting from any ideas, methods, instructions or products referred to in the content. |
© 2024 by the authors. Licensee MDPI, Basel, Switzerland. This article is an open access article distributed under the terms and conditions of the Creative Commons Attribution (CC BY) license (https://creativecommons.org/licenses/by/4.0/).
Share and Cite
Dragulescu, P.R.; Geana, R.C.; Robu, M.; Nayyerani, R.; Dumitrescu, C.; Dragan, A.; Vasilescu, C.; Iliescu, V.A.; Stiru, O. Management of a Rare Case of Superior Mesenteric Artery Aneurysm Associated with a Pancreatic Cyst Complicated by Acute Rupture: A Case Report and Review of Literature. Life 2024, 14, 1348. https://doi.org/10.3390/life14111348
Dragulescu PR, Geana RC, Robu M, Nayyerani R, Dumitrescu C, Dragan A, Vasilescu C, Iliescu VA, Stiru O. Management of a Rare Case of Superior Mesenteric Artery Aneurysm Associated with a Pancreatic Cyst Complicated by Acute Rupture: A Case Report and Review of Literature. Life. 2024; 14(11):1348. https://doi.org/10.3390/life14111348
Chicago/Turabian StyleDragulescu, Petru Razvan, Roxana Carmen Geana (Anghel), Mircea Robu, Reza Nayyerani, Cristian Dumitrescu, Anca Dragan, Catalin Vasilescu, Vlad Anton Iliescu, and Ovidiu Stiru. 2024. "Management of a Rare Case of Superior Mesenteric Artery Aneurysm Associated with a Pancreatic Cyst Complicated by Acute Rupture: A Case Report and Review of Literature" Life 14, no. 11: 1348. https://doi.org/10.3390/life14111348
APA StyleDragulescu, P. R., Geana, R. C., Robu, M., Nayyerani, R., Dumitrescu, C., Dragan, A., Vasilescu, C., Iliescu, V. A., & Stiru, O. (2024). Management of a Rare Case of Superior Mesenteric Artery Aneurysm Associated with a Pancreatic Cyst Complicated by Acute Rupture: A Case Report and Review of Literature. Life, 14(11), 1348. https://doi.org/10.3390/life14111348

