Cutaneous Malignant Melanoma Metastatic to the Larynx and Trachea: A Case Report and Review of the Literature
Abstract
1. Introduction
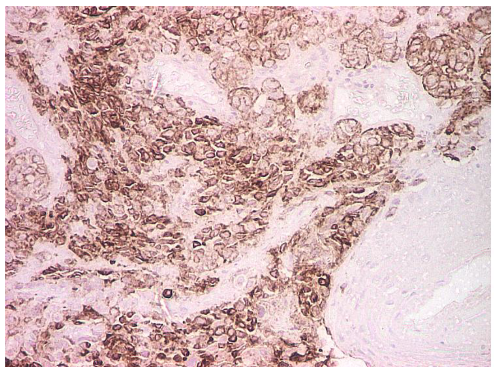
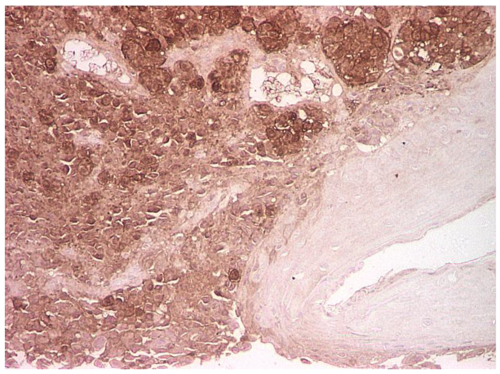
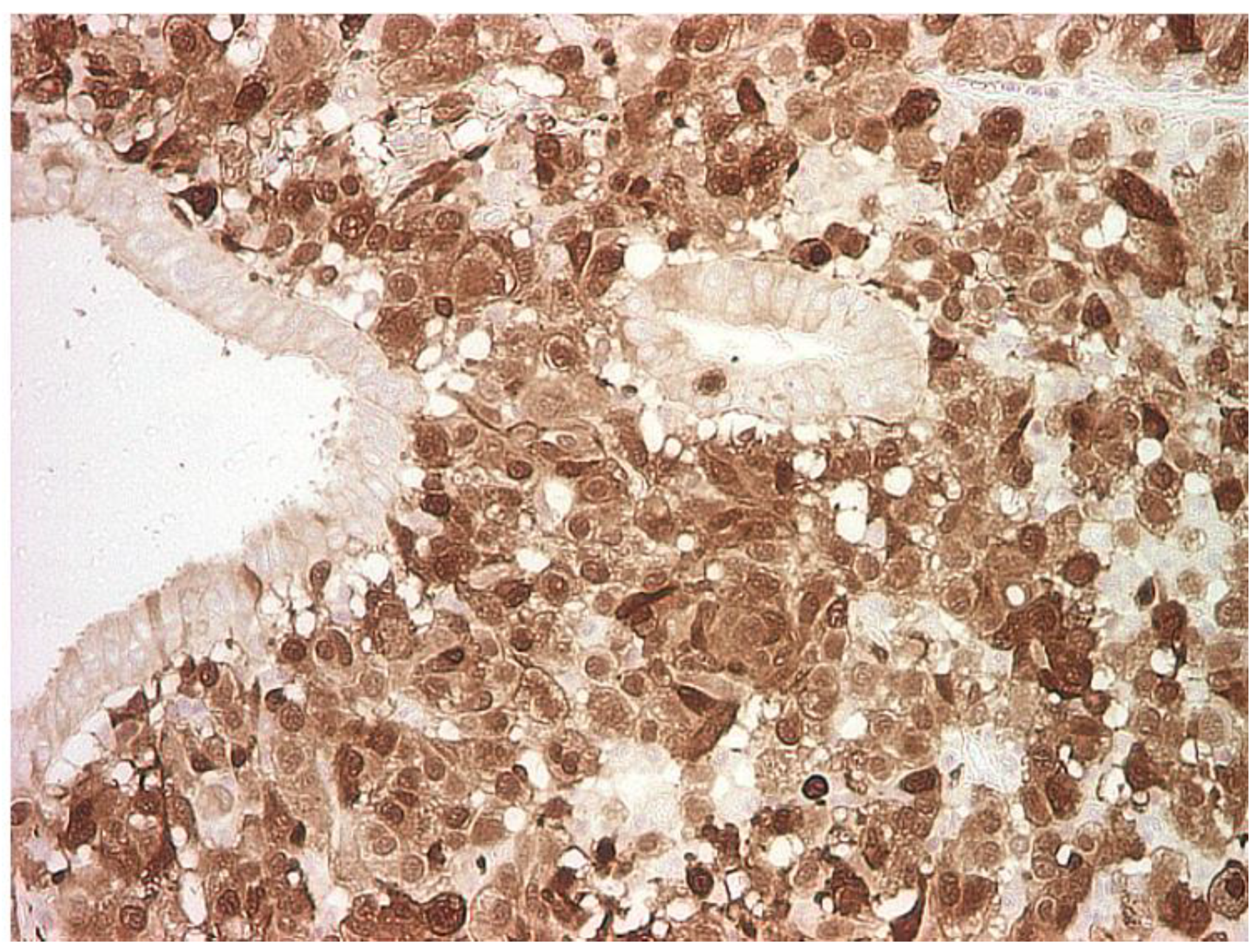
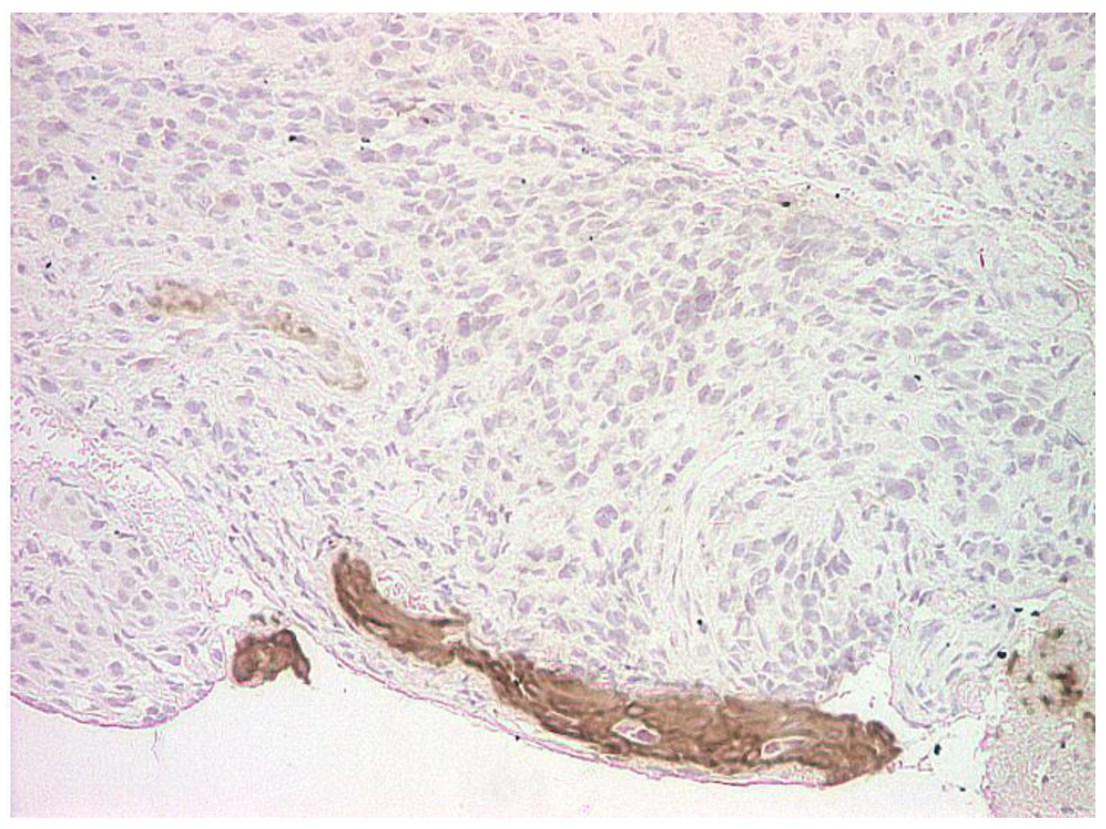
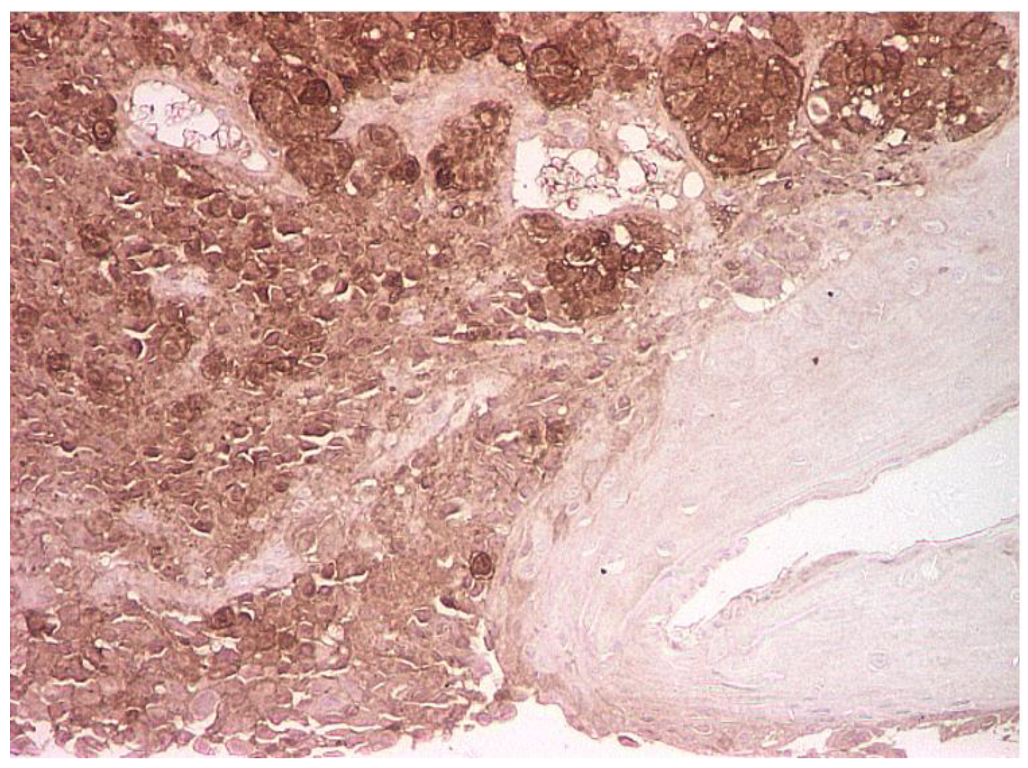
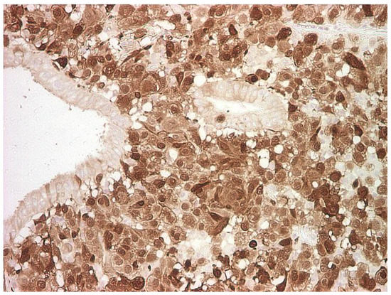
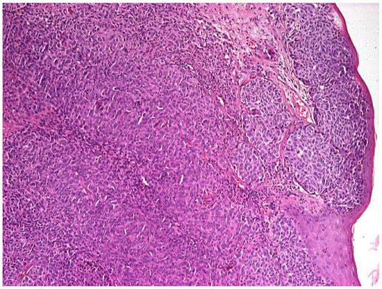
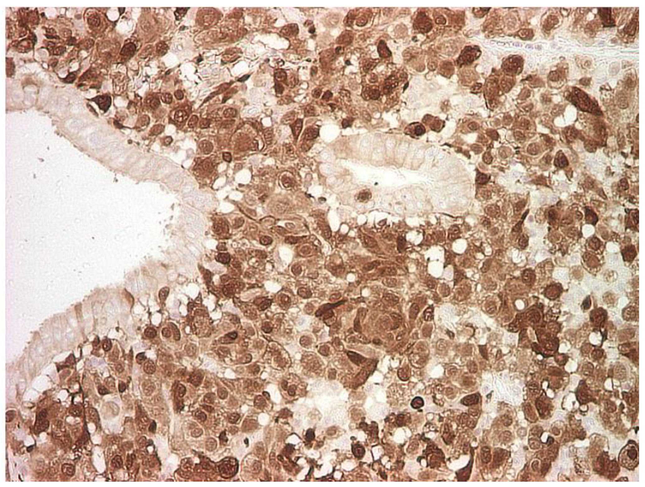
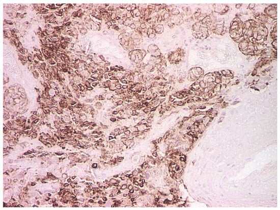
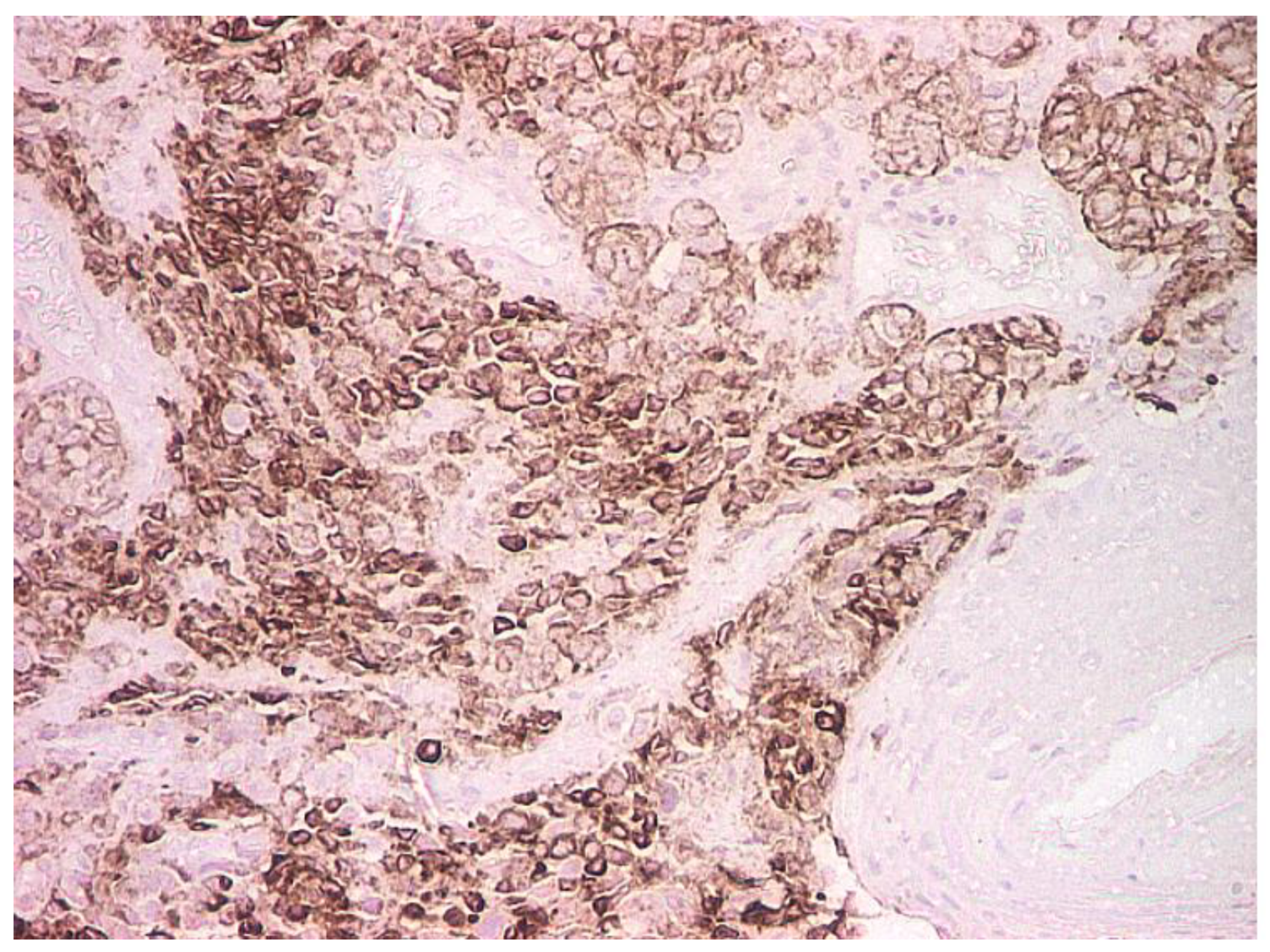
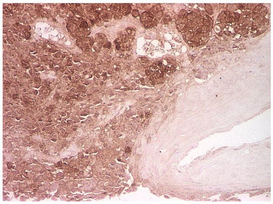
2. Case Report
3. Discussion
4. Conclusions
Author Contributions
Funding
Institutional Review Board Statement
Informed Consent Statement
Acknowledgments
Conflicts of Interest
Abbreviations
| BRAF | B-Raf |
| c-KIT | Receptor tyrosine kinase |
| HE | Hematoxylin eosin |
| NRAS/MEK | Neuroblastoma ras viral oncogene homolog |
| CTLA-4 | Anti-cytotoxic T-lymphocyte-associated protein-4 |
| PD-1/PD-L1 | Anti-programmed cell death protein 1 |
| VIM | Vimentin |
| IHC | Immunohistochemistry |
| FEV | Forced expiratory volume |
| CM | Cutaneos melanoma |
| HNMM | Head and neck mucosal melanoma |
| FDA | Food and Drug Administration |
References
- Pincet, L.; Lambercy, K.; Pasche, P.; Broome, M.; Latifyan, S.; Reinhard, A. Mucosal Melanoma of the Head and Neck: A Retrospective Review and Current Opinion. Front. Surg. 2021, 7, 616174. [Google Scholar] [CrossRef]
- Aggarwal, S.; Kaushal, V.; Singla, S.; Sen, R. Primary glottic malignant melanoma of the larynx (PGMML): A very rare entity. BMJ Case Rep. 2015, 2015, bcr2015211317. [Google Scholar] [CrossRef]
- Henderson, L.T.; Robbins, K.T.; Weitzner, S. Upper aerodigestive tract metastases in disseminated malignant melanoma. Arch. Otolaryngol. Head Neck Surg. 1986, 112, 659–663. [Google Scholar] [CrossRef]
- Ascierto, P.A.; Accorona, R.; Botti, G.; Farina, D.; Fossati, P.; Gatta, G.; Gogas, H.; Lombardi, D.; Maroldi, R.; Nicolai, P.; et al. Mucosal melanoma of the head and neck. Crit. Rev. Oncol. Hematol. 2017, 112, 136–152. [Google Scholar] [CrossRef] [PubMed]
- Whiteman, D.C.; Green, A.C.; Olsen, C.M. The Growing Burden of Invasive Melanoma: Projections of Incidence Rates and Numbers of New Cases in Six Susceptible Populations through 2031. J. Investig. Dermatol. 2016, 136, 1161–1171. [Google Scholar] [CrossRef] [PubMed]
- de Mendonça, U.B.T.; Soffientini, J.G.; Barbosa, V.F.; Cozer, K. Mucosal Melanoma of the Head and Neck: From Diagnosis to Treatment. In Melanoma; BoD—Books on Demand: Norderstedt, Germany, 2021. [Google Scholar]
- Paolino, G.; Didona, D.; Macrì, G.; Calvieri, S.; Mercuri, S.R. Nasopharyngeal melanoma. In Noncutaneous Melanoma; Scott, J.F., Gerstenblith, M.R., Eds.; Codon Publications: Brisbane, Australia, 2018; Chapter 4. [Google Scholar]
- Yde, S.S.; Sjoegren, P.; Heje, M.; Stolle, L.B. Mucosal Melanoma: A Literature Review. Curr. Oncol. Rep. 2018, 20, 28. [Google Scholar] [CrossRef]
- Cazzato, G.; Colagrande, A.; Cimmino, A.; Caporusso, C.; Candance, P.M.V.; Trabucco, S.M.R.; Zingarelli, M.; Lorusso, A.; Marrone, M.; Stellacci, A.; et al. Urological Melanoma: A Comprehensive Review of a Rare Subclass of Mucosal Melanoma with Emphasis on Differential Diagnosis and Therapeutic Approaches. Cancers 2021, 13, 4424. [Google Scholar] [CrossRef] [PubMed]
- Weber, C.O. Chirurgische Ehrfahrungen und Untersuchungen, nebst zahlreichen Beobachtungen aus der chirurgischen Klinik und dem Evangelischen Krankenhaus zu Bonn; G Reimer: Berlin, Germany, 1859. [Google Scholar]
- Plavc, G.; But-Hadžić, J.; Aničin, A.; Lanišnik, B.; Didanović, V.; Strojan, P. Mucosal melanoma of the head and neck: A population-based study from Slovenia, 1985–2013. Radiat Oncol. 2016, 11, 137. [Google Scholar] [CrossRef] [PubMed]
- Mallone, S.; De Vries, E.; Guzzo, M.; Midena, E.; Verne, J.; Coebergh, J.; Marcos-Gragera, R.; Ardanaz, E.; Martinez, R.; Chirlaque, M.; et al. Descriptive epidemiology of malignant mucosal and uveal melanomas and adnexal skin carcinomas in Europe. Eur. J. Cancer 2012, 48, 1167–1175. [Google Scholar] [CrossRef]
- Chang, A.E.; Karnell, L.H.; Menck, H.R. The National Cancer Data Base report on cutaneous and noncutaneous melanoma: A summary of 84,836 cases from the past decade. The American College of Surgeons Commission on Cancer and the American Cancer Society. Cancer 1998, 83, 1664–1678. [Google Scholar] [CrossRef]
- McLaughlin, C.C.; Wu, X.-C.; Jemal, A.; Martin, H.J.; Roche, L.M.; Chen, V.W. Incidence of noncutaneous melanomas in the U.S. Cancer 2005, 103, 1000–1007. [Google Scholar] [CrossRef] [PubMed]
- Mianroodi, A.A.; Mirshekari, T.; Taheri, A. Malignant melanoma metastatic to the larynx: A case report. Ear Nose Throat J. 2013, 92, E8–E9. [Google Scholar] [CrossRef] [PubMed]
- Santos, R.S.L.; Andrade, M.F.; Alves, F.D.A.; Kowalski, L.P.; Perez, D.E.D.C. Metastases of Melanoma to Head and Neck Mucosa: A Report of Short Series. Clin. Exp. Otorhinolaryngol. 2016, 9, 80–84. [Google Scholar] [CrossRef] [PubMed]
- Garbe, C.; Amaral, T.; Peris, K.; Hauschild, A.; Arenberger, P.; Bastholt, L.; Bataille, V.; del Marmol, V.; Dréno, B.; Fargnoli, M.C.; et al. European consensus-based interdisciplinary guideline for melanoma. Part 1: Diagnostics—Update 2019. Eur. J. Cancer 2020, 126, 141–158. [Google Scholar] [CrossRef] [PubMed]
- Dye, D.E.; Medic, S.; Ziman, M.; Coombe, D.R. Melanoma biomolecules: Independently identified but functionally intertwined. Front. Oncol. 2013, 3, 252. [Google Scholar] [CrossRef]
- Karakousis, G.; Gimotty, P.A.; Bartlett, E.K.; Sim, M.-S.; Neuwirth, M.G.; Fraker, D.; Czerniecki, B.J.; Faries, M.B. Thin Melanoma with Nodal Involvement: Analysis of Demographic, Pathologic, and Treatment Factors with Regard to Prognosis. Ann. Surg. Oncol. 2017, 24, 952–959. [Google Scholar] [CrossRef]
- Lachiewicz, A.M.; Berwick, M.; Wiggins, C.L.; Thomas, N.E. Survival differences between patients with scalp or neck melanoma and those with melanoma of other sites in the Surveillance, Epidemiology, and End Results (SEER) program. Arch. Dermatol. 2008, 144, 515–521. [Google Scholar] [CrossRef]
- Lideikaitė, A.; Mozūraitienė, J.; Letautienė, S. Analysis of prognostic factors for melanoma patients. Acta Med. Litu. 2017, 24, 25–34. [Google Scholar] [CrossRef]
- Mifsud, M.; Padhya, T.A. Metastatic melanoma to the upper aerodigestive tract: A systematic review of the literature. Laryngoscope 2014, 124, 1143–1149. [Google Scholar] [CrossRef]
- Wagner, M.; Morris, C.G.; Werning, J.W.; Mendenhall, W.M. Mucosal melanoma of the head and neck. Am. J. Clin. Oncol. 2008, 31, 43–48. [Google Scholar] [CrossRef]
- Koh, H.K. Cutaneous melanoma. N. Engl. J. Med. 1991, 325, 171–182. [Google Scholar] [CrossRef] [PubMed]
- Bardia, A.; Rao, R.D. Images in clinical medicine. Intratracheal melanoma metastases. N. Engl. J. Med. 2006, 355, 1357. [Google Scholar] [CrossRef]
- Koyi, H.; Brandén, E. Intratracheal metastasis from malignant melanoma. J. Eur. Acad. Dermatol. Venereol. 2000, 14, 407–408. [Google Scholar] [CrossRef]
- Purcell, P.; Meyer, T.; Allen, C. Tracheal mass. Malignant melanoma metastatic to the trachea. JAMA Otolaryngol. Head Neck Surg. 2015, 141, 291–292. [Google Scholar] [CrossRef]
- Ritzel, R.M.; Klose, H.; Habermann, C.R. Tracheal metastasis of a cutaneous malignant melanoma. In RöFo-Fortschritte auf dem Gebiet der Röntgenstrahlen und der bildgebenden Verfahren; Georg Thieme Verlag KG Stuttgart: New York, NY, USA, 2012; Volume 184, pp. 742–743. [Google Scholar] [CrossRef]
- Patnana, M.; Bronstein, Y.; Szklaruk, J.; Bedi, D.; Hwu, W.-J.; Gershenwald, J.; Prieto, V.; Ng, C. Multimethod imaging, staging, and spectrum of manifestations of metastatic melanoma. Clin. Radiol. 2011, 66, 224–236. [Google Scholar] [CrossRef]
- Barrett, A.W.; Raja, A.M. The immunohistochemical identification of human oral mucosal melanocytes. Arch. Oral Biol. 1997, 42, 77–81. [Google Scholar] [CrossRef] [PubMed]
- Prasad, M.L.; Jungbluth, A.A.; Iversen, K.; Huvos, A.G.; Busam, K.J. Expression of melanocytic differentiation markers in malignant melanomas of the oral and sinonasal mucosa. Am. J. Surg. Pathol. 2001, 25, 782–787. [Google Scholar] [CrossRef]
- Wenig, B.M. Laryngeal mucosal malignant melanoma. A clinicopathologic, immunohistochemical, and ultrastructural study of four patients and a review of the literature. Cancer 1995, 75, 1568–1577. [Google Scholar] [CrossRef] [PubMed]
- Lanson, B.G.; Sanfilippo, N.; Wang, B.; Grew, D.; DeLacure, M.D. Malignant melanoma metastatic to the larynx: Treatment and functional outcome. Curr. Oncol. 2010, 17, 127–132. [Google Scholar] [CrossRef]
- Spencer, K.R.; Mehnert, J.M. Mucosal Melanoma: Epidemiology, Biology and Treatment. Cancer Treat. Res. 2016, 167, 295–320. [Google Scholar] [CrossRef]
- López, F.; Rodrigo, J.P.; Cardesa, A.; Triantafyllou, A.; Devaney, K.O.; Mendenhall, W.M.; Haigentz, M.J.; Strojan, P.; Pellitteri, P.K.; Bradford, C.R.; et al. Update on primary head and neck mucosal melanoma. Head Neck 2016, 38, 147–155. [Google Scholar] [CrossRef]
- Sanchez-Vega, F.; Mina, M.; Armenia, J.; Chatila, W.K.; Luna, A.; La, K.C.; Dimitriadoy, S.; Liu, D.L.; Kantheti, H.S.; Saghafinia, S.; et al. Oncogenic Signaling Pathways in The Cancer Genome Atlas. Cell 2018, 173, 321.e10–337.e10. [Google Scholar] [CrossRef]
- Kim, G.; McKee, A.E.; Ning, Y.-M.; Hazarika, M.; Theoret, M.; Johnson, J.R.; Xu, Q.C.; Tang, S.; Sridhara, R.; Jiang, X.; et al. FDA approval summary: Vemurafenib for treatment of unresectable or metastatic melanoma with the BRAFV600E mutation. Clin. Cancer Res. 2014, 20, 4994–5000. [Google Scholar] [CrossRef]
- Nenclares, P.; Ap Dafydd, D.; Bagwan, I.; Begg, D.; Kerawala, C.; King, E.; Lingley, K.; Paleri, V.; Paterson, G.; Payne, M.; et al. Head and neck mucosal melanoma: The United Kingdom national guidelines. Eur. J. Cancer 2020, 138, 11–18. [Google Scholar] [CrossRef] [PubMed]
- Larkin, J.; Chiarion-Sileni, V.; Gonzalez, R.; Grob, J.-J.; Rutkowski, P.; Lao, C.D.; Cowey, C.L.; Schadendorf, D.; Wagstaff, J.; Dummer, R.; et al. Five-Year Survival with Combined Nivolumab and Ipilimumab in Advanced Melanoma. N. Engl. J. Med. 2019, 381, 1535–1546. [Google Scholar] [CrossRef] [PubMed]
- Wolchok, J.D.; Chiarion-Sileni, V.; Gonzalez, R.; Grob, J.-J.; Rutkowski, P.; Lao, C.D.; Cowey, C.L.; Schadendorf, D.; Wagstaff, J.; Dummer, R.; et al. Long-Term Outcomes With Nivolumab Plus Ipilimumab or Nivolumab Alone Versus Ipilimumab in Patients With Advanced Melanoma. J. Clin. Oncol. 2022, 40, 127–137. [Google Scholar] [CrossRef]
- Ferrucci, P.F.; Di Giacomo, A.M.; Del Vecchio, M.; Atkinson, V.; Schmidt, H.; Schachter, J.; Queirolo, P.; Long, G.V.; Stephens, R.; Svane, I.M.; et al. KEYNOTE-022 international team. KEYNOTE-022 part 3: A randomized, double-blind, phase 2 study of pembrolizumab, dabrafenib, and trametinib in BRAF-mutant melanoma. J. Immunother. Cancer 2020, 8, e001806, Erratum in J. Immunother. Cancer 2021, 9. [Google Scholar] [CrossRef] [PubMed]
- Bartell, H.L.; Bedikian, A.Y.; Papadopoulos, N.E.; Dett, T.K.; Ballo, M.T.; Myers, J.N.; Hwu, P.; Kim, K.B. Biochemotherapy in patients with advanced head and neck mucosal melanoma. Head Neck 2008, 30, 1592–1598. [Google Scholar] [CrossRef]
- Rashid, S.; Shaughnessy, M.; Tsao, H. Melanoma classification and management in the era of molecular medicine. Dermatol. Clin. 2023, 41, 49–63. [Google Scholar] [CrossRef]
- Bolognesi, C.; Nucci, C. Metastasi Laringea da Neoplasia Della Mammella. Otorinolaringol. Ital. 1963, 32, 280–290. [Google Scholar]
- Fisher, G.E.; Odess, J.S. Metastatic malignant melanoma of the larynx. AMA Arch. Otolaryngol. 1951, 54, 639–642. [Google Scholar] [CrossRef] [PubMed]
- Loughead, J.R. Malignant melanoma of the larynx. Ann. Otol. Rhinol. Laryn. 1952, 61, 154–158. [Google Scholar] [CrossRef]
- Faaborg-Andersen, K. Melanoma malignum laryngis. Acta Otolaryngol. 1953, 43, 529–531. [Google Scholar] [CrossRef]
- Franzoni, M. I melanomi metastatici della laringe. Boll. Mal. Orecchio Gola Naso 1964, 82, 113–129. [Google Scholar]
- Auriol, M.; Chomette, G.; Abelanet, R. Metastases laryngees des tumeurs malignes (A propos de quelques observations). Gaz. Med. J. Fr. 1959, 66, 233–239. [Google Scholar]
- Bauer, J.; Fuchs, G. Lokalisation and Therapie der Melanome im Ohren-Nasen-Hals-Bereich. Krebsarzt 1961, 16, 411–424. [Google Scholar] [PubMed]
- Chamberlain, D. Malignant melanoma, metastatic to the larynx. Arch. Otolaryngol. 1966, 83, 231–232. [Google Scholar] [CrossRef] [PubMed]
- Freeland, A.P.; van Nostrand, A.W.; Jahn, A.F. Metastases to the larynx. J. Otolaryngol. 1979, 8, 448–456. [Google Scholar] [PubMed]
- Ferlito, A.; Caruso, G. Secondary malignant melanoma of the larynx. Report of 2 cases and review of 79 laryngeal secondary cancers. ORL J. Otorhinolaryngol. Relat. Spec. 1984, 46, 117–133. [Google Scholar] [CrossRef]
- Morgan, A.H.; Norris, J.W.; Hicks, J.N. Palliative laser surgery for melanoma metastatic to the larynx: Report of two cases. Laryngoscope 1985, 95 Pt 1, 794–797. [Google Scholar] [CrossRef]
- Ikeda, M.; Takahashi, H.; Karaho, T.; Kitahara, S.; Inouye, T. Amelanotic melanoma metastatic to the epiglottis. J. Laryngol. Otol. 1991, 105, 776–779. [Google Scholar] [CrossRef] [PubMed]
- Pau, H.; De, S.; Spencer, M.G.; Steele, P.R.M. Metastatic malignant melanoma of the larynx. J. Laryngol. Otol. 2001, 115, 925–927. [Google Scholar] [CrossRef] [PubMed]
- Koltsidopoulos, P.; Skoulakis, C. Metastatic amelanotic melanoma of larynx-hypopharynx. Otolaryngol. Head Neck Surg. 2011, 144, 125–126. [Google Scholar] [CrossRef] [PubMed]







| Article | Age/Sex | Primary Cutaneous Melanoma Site | Time Interval until Laryngeal Metastasis (Years) | Metastases Location (Larynx Involvement) | Other Metastatic Sites | Clinical Approach |
|---|---|---|---|---|---|---|
| Arabi Mianroodi A et al. [15] | 62/M | Left tragus | 1.5 | Left laryngeal ventricle | Brain (frontal lobe) | Surgical excision |
| Santos RS et al. [16] | 39/M | Axilla | 4 | n/a | Lung, liver, pericardum | Chemotherapy |
| Lanson BG et al. [33] | 61/M | Left supraclavicular skin | 7 | Supraglottic posterior commisure region | Lung, bone | Surgical excision, radiotherapy |
| Massie F et al. [44] | 52/M | n/a | n/a | Subglottis | n/a | n/a |
| Massie F et al. [44] | 49/M | n/a | n/a | Epiglottis, true and false vocal cords | n/a | n/a |
| Massie F et al. [44] | 50/M | n/a | n/a | Epiglottis | n/a | Surgical excision |
| Massie F et al. [44] | 78/M | n/a | n/a | Right aryepiglottic fold | n/a | Surgical excision |
| Massie F et al. [44] | 48/M | n/a | n/a | Right hemilarynx | n/a | Surgical excision |
| Fisher GE et al. [45] | 63/F | Right shoulder | 3 | Right vocal cord | Surgical excision of the right true and false cords | |
| Loughead JR et al. [46] | 68/M | Right axilla | Metastases and the primary tumor were diagnosed simultaneously | Left vocal cord | n/a | Surgical excision |
| Faaborg-Andersen K et al. [47] | 46/F | Back | 2 | Left arytenoid | n/a | Radiotherapy |
| Franzoni M et al. [48] | 59/M | n/a | n/a | Epiglottis, left false cord | n/a | Total laryngectomy, radiotherapy |
| Franzoni M et al. [48] | 72/M | n/a | n/a | Epiglottis | n/a | Total laryngectomy |
| Auriol M et al. [49] | 38/M | n/a | n/a | Epiglottis, aryepiglottic fold, hypopharynx | n/a | n/a |
| Bauer J et al. [50] | 70/M | n/a | 8 | Right true and false vocal cords | n/a | Radiotherapy |
| Chamberlain D et al. [51] | 55/M | Chest | 14 | Right arytenoids, right true and false vocal cords | n/a | Radiotherapy |
| Freeland AP et al. [52] | 43/F | n/a | n/a | Subglottis, left aryepiglottic fold, epiglottis | n/a | n/a |
| Ferlito A et al. [53] | 75/F | Right cheek | 3 | Left half of the laryngeal wall of the epiglottis, extending to the pharyngeal wall and ventricular fold | n/a | Chemotherapy, radiotherapy |
| Ferlito A et al. [53] | 60/M | Medium third of the right leg | Less than 1 year (10 months) | Laryngeal wall of the epiglottis and the right ventricular fold | n/a | Chemotherapy |
| Morgan AH et al. [54] | 42/M | n/a | 2.5 | Both false cords | n/a | Carbon dioxide LASER excision |
| Morgan AH et al. [54] | 43/M | n/a | 5 | Subglottis | n/a | Carbon dioxide LASER excision |
| Ikeda M et al. [55] | 42/M | Left lower leg | 2 | Left laryngeal surface of epiglottis | Brain, liver, lung | Surgical excision, lasertherapy |
| Pau H et al. [56] | 78/F | Right calf | 4 | Left aryepiglottic fold | n/a | Surgical excision |
| Koltsidopoulos P et al. [57] | 55/M | n/a | n/a | Right aryepiglottic fold | n/a | Surgical excision, chemotherapy, radiotherapy |
Disclaimer/Publisher’s Note: The statements, opinions and data contained in all publications are solely those of the individual author(s) and contributor(s) and not of MDPI and/or the editor(s). MDPI and/or the editor(s) disclaim responsibility for any injury to people or property resulting from any ideas, methods, instructions or products referred to in the content. |
© 2023 by the authors. Licensee MDPI, Basel, Switzerland. This article is an open access article distributed under the terms and conditions of the Creative Commons Attribution (CC BY) license (https://creativecommons.org/licenses/by/4.0/).
Share and Cite
Ciolofan, M.S.; Mogoantă, C.A.; Ioniță, I.; Mitroi, M.R.; Mitroi, G.F.; Anghelina, F.; Vlăescu, A.N.; Căpitănescu, A.N.; Vîlcea, A.M.; Mitroi, G.G.; et al. Cutaneous Malignant Melanoma Metastatic to the Larynx and Trachea: A Case Report and Review of the Literature. Life 2023, 13, 1452. https://doi.org/10.3390/life13071452
Ciolofan MS, Mogoantă CA, Ioniță I, Mitroi MR, Mitroi GF, Anghelina F, Vlăescu AN, Căpitănescu AN, Vîlcea AM, Mitroi GG, et al. Cutaneous Malignant Melanoma Metastatic to the Larynx and Trachea: A Case Report and Review of the Literature. Life. 2023; 13(7):1452. https://doi.org/10.3390/life13071452
Chicago/Turabian StyleCiolofan, Mircea Sorin, Carmen Aurelia Mogoantă, Iulică Ioniță, Mihaela Roxana Mitroi, George F. Mitroi, Florin Anghelina, Alexandru Nicolae Vlăescu, Alina Nicoleta Căpitănescu, Alina Maria Vîlcea, George G. Mitroi, and et al. 2023. "Cutaneous Malignant Melanoma Metastatic to the Larynx and Trachea: A Case Report and Review of the Literature" Life 13, no. 7: 1452. https://doi.org/10.3390/life13071452
APA StyleCiolofan, M. S., Mogoantă, C. A., Ioniță, I., Mitroi, M. R., Mitroi, G. F., Anghelina, F., Vlăescu, A. N., Căpitănescu, A. N., Vîlcea, A. M., Mitroi, G. G., Ică, O. M., & Stoica, L. E. (2023). Cutaneous Malignant Melanoma Metastatic to the Larynx and Trachea: A Case Report and Review of the Literature. Life, 13(7), 1452. https://doi.org/10.3390/life13071452
