A Strange Case of Traumatic Pleural Effusion: Pleural Empyema Due to Actinomyces meyeri, a Case Report
Abstract
1. Introduction
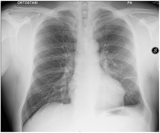
2. Patient Information
3. Discussion
Author Contributions
Funding
Institutional Review Board Statement
Informed Consent Statement
Data Availability Statement
Conflicts of Interest
Abbreviations
References
- Valour, F.; Sénéchal, A.; Dupieux, C.; Karsenty, J.; Lustig, S.; Breton, P.; Gleizal, A.; Boussel, L.; Laurent, F.; Braun, E.; et al. Actinomycosis: Etiology, clinical features, diagnosis, treatment, and management. Infect. Drug Resist. 2014, 7, 183–197. [Google Scholar] [PubMed]
- Fazili, T.; Blair, D.; Riddell, S.; Kiska, D.; Nagra, S. Actinomyces meyeri infection: Case report and review of the literature. J. Infect. 2012, 65, 357–361. [Google Scholar] [CrossRef] [PubMed]
- Apothéloz, C.; Regamey, C. Disseminated infection due to Actinomyces meyeri: Case report and review. Clin. Infect. Dis. 1996, 22, 621–625. [Google Scholar] [CrossRef] [PubMed]
- Park, H.J.; Park, K.-H.; Kim, S.-H.; Sung, H.; Choi, S.-H.; Kim, Y.S.; Woo, J.H.; Lee, S.-O. A Case of Disseminated Infection due to Actinomyces meyeri Involving Lung and Brain. Infect. Chemother. 2014, 46, 269–273. [Google Scholar] [CrossRef] [PubMed]
- Duvignaud, A.; Ribeiro, E.; Moynet, D.; Longy-Boursier, M.; Malvy, D. Cervical spondylitis and spinal abscess due to Actinomyces meyeri. Braz. J. Infect. Dis. 2014, 18, 106–109. [Google Scholar] [CrossRef] [PubMed]
- Costiniuk, C.T.; Voduc, N.; de Souza, C. Pulmonary actinomycosis in a male patient with a tracheal bronchus Can. Respir. J. 2011, 18, 462608. [Google Scholar] [CrossRef]
- Branquinho, D.F.; Andrade, D.R.; Almeida, N.; Sofia, C. Mediastinitis by Actinomyces meyeri after oesophageal stent placement. BMJ Case Rep. 2014, 2014, bcr2014204499. [Google Scholar] [CrossRef] [PubMed]
- Lee, M.J.; Ha, Y.E.; Park, H.Y.; Lee, J.H.; Lee, Y.J.; Sung, K.S.; Kang, C.-I.; Chung, D.R.; Song, J.-H.; Peck, K.R. Osteomyelitis of a long bone due to Fusobacterium nucleatum and Actinomyces meyeri in an immunocompetent adult: A case report and literature review. BMC Infect. Dis. 2012, 20, 161. [Google Scholar] [CrossRef]
- Vallet, C.; Pezzetta, E.; Nicolet-Chatelin, G.; El Lamaa, Z.; Martinet, O.; Ris, H.-B. Stage III empyema caused by Actinomyces meyeri: A plea for decortication. Thorac. Cardiovasc. Surg. 2004, 127, 1511–1513. [Google Scholar] [CrossRef] [PubMed]
- Gayraud, A.; Grosieux-Dauger, C.; Durlach, A.; Salmon-Ehr, V.; Elia, A.; Grosshans, E.; Bernard, P. Cutaneous actinomycosis in the perianal area and buttocks. Ann. Dermatol. Venereol. 2000, 127, 393–396. [Google Scholar] [PubMed]
- Liaudet, L.; Erard, P.; Kaeser, P. Cutaneous and muscular abscesses secondary to Actinomyces meyeri pneumonia. Clin. Infect. Dis. 1996, 22, 185–186. [Google Scholar] [CrossRef] [PubMed]
- Infante, M.V.; Benato, C.; Silva, R.; Rocco, G.; Bertani, A.; Bertolaccini, L.; Gonfiotti, A.; Giovannetti, R.; Bonadiman, C.; Lonardoni, A.; et al. What counts more: The patient, the surgical technique, or the hospital? A multivariable analysis of factors affecting perioperative complications of pulmonary lobectomy by video-assisted thoracoscopic surgery from a large nationwide registry. Eur. J. Cardio-Thorac. Surg. 2019, 56, 1097–1103. [Google Scholar] [CrossRef] [PubMed]


Disclaimer/Publisher’s Note: The statements, opinions and data contained in all publications are solely those of the individual author(s) and contributor(s) and not of MDPI and/or the editor(s). MDPI and/or the editor(s) disclaim responsibility for any injury to people or property resulting from any ideas, methods, instructions or products referred to in the content. |
© 2023 by the authors. Licensee MDPI, Basel, Switzerland. This article is an open access article distributed under the terms and conditions of the Creative Commons Attribution (CC BY) license (https://creativecommons.org/licenses/by/4.0/).
Share and Cite
Ghisalberti, M.; Madioni, C.; Ghinassi, G.; Maccari, U.; Corzani, R.; Meniconi, F.; Scala, R.; Paladini, P. A Strange Case of Traumatic Pleural Effusion: Pleural Empyema Due to Actinomyces meyeri, a Case Report. Life 2023, 13, 1450. https://doi.org/10.3390/life13071450
Ghisalberti M, Madioni C, Ghinassi G, Maccari U, Corzani R, Meniconi F, Scala R, Paladini P. A Strange Case of Traumatic Pleural Effusion: Pleural Empyema Due to Actinomyces meyeri, a Case Report. Life. 2023; 13(7):1450. https://doi.org/10.3390/life13071450
Chicago/Turabian StyleGhisalberti, Marco, Chiara Madioni, Giacomo Ghinassi, Uberto Maccari, Roberto Corzani, Fabiola Meniconi, Raffaele Scala, and Piero Paladini. 2023. "A Strange Case of Traumatic Pleural Effusion: Pleural Empyema Due to Actinomyces meyeri, a Case Report" Life 13, no. 7: 1450. https://doi.org/10.3390/life13071450
APA StyleGhisalberti, M., Madioni, C., Ghinassi, G., Maccari, U., Corzani, R., Meniconi, F., Scala, R., & Paladini, P. (2023). A Strange Case of Traumatic Pleural Effusion: Pleural Empyema Due to Actinomyces meyeri, a Case Report. Life, 13(7), 1450. https://doi.org/10.3390/life13071450

