Embryonal Rhabdomyosarcoma of the Tongue in Adults
Abstract
Simple Summary
Abstract
1. Introduction
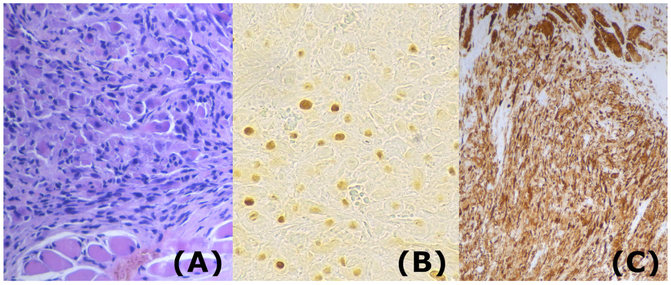
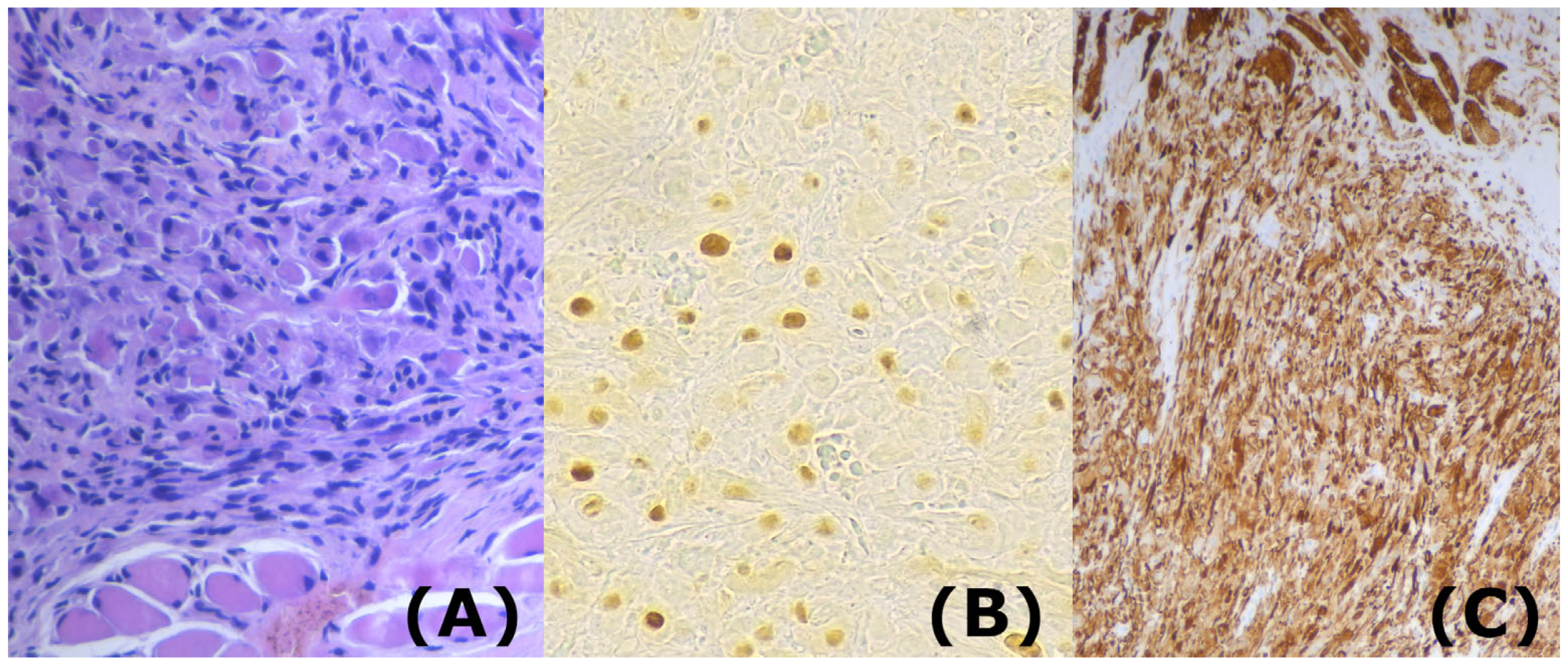
2. Case Description
3. Discussion
Author Contributions
Funding
.Institutional Review Board Statement
Informed Consent Statement
Data Availability Statement
Acknowledgments
Conflicts of Interest
References
- Chen, E.; Ricciotti, R.; Futran, N.; Oda, D. Head and Neck Rhabdomyosarcoma: Clinical and Pathologic Characterization of Seven Cases. Head Neck Pathol. 2017, 11, 321–326. [Google Scholar] [CrossRef]
- Iannella, G.; De Vincentiis, M.; Corsi, A.; Greco, A.; Magliulo, G. Un Raro Caso Di Rabdiomiosarcoma Embrionario Dello Spazio Parafaringeo. Acta Otorhinolaryngol. Ital. 2017, 37, 346–349. [Google Scholar] [CrossRef]
- Wagemans, J.; Beuselinck, B.; Nuyts, S.; Sciot, R.; Delaere, P.; Vander Poorten, V.; Dumez, H.; Hermans, R.; Schöffski, P.; Van den Bogaert, W.; et al. A Case Series of Embryonal Rhabdomyosarcoma of the Head and Neck in Adults. Acta Clin. Belg. 2010, 65, 404–410. [Google Scholar] [CrossRef]
- Gerber, N.K.; Wexler, L.H.; Singer, S.; Alektiar, K.M.; Keohan, M.L.; Shi, W.; Zhang, Z.; Wolden, S. Adult Rhabdomyosarcoma Survival Improved with Treatment on Multimodality Protocols. Int. J. Radiat. Oncol. Biol. Phys. 2013, 86, 58–63. [Google Scholar] [CrossRef]
- Vilanova, J.C. WHO Classification of Soft Tissue Tumors. In Imaging of Soft Tissue Tumors; Springer International Publishing: Cham, Switzerland, 2017; pp. 187–196. ISBN 978-3-319-46679-8. [Google Scholar]
- Pontes, F.S.C.; De Oliveira, J.I.; De Souza, L.L.; De Almeida, O.P.; Fregnani, E.R.; Vilela, R.S.; Silva, W.M.; Fonseca, F.P.; Pontes, H.A.R. Clinicopathological Analysis of Head and Neck Rhabdomyosarcoma: A Series of 10 Cases and Literature Review. Med. Oral Patol. Oral Y Cir. Bucal 2018, 23, e188–e197. [Google Scholar]
- Zhou, D.-N.; Yang, Q.-Q.; Li, Z.-L.; Pan, Z.-Y.; Deng, Y.-F. Head and Neck Rhabdomyosarcoma: Follow-up Results of Four Cases and Review of the Literature. Int. J. Clin. Exp. Pathol. 2015, 8, 4277–4283. [Google Scholar]
- Drabbe, C.; Benson, C.; Younger, E.; Zaidi, S.; Jones, R.L.; Judson, I.; Chisholm, J.; Mandeville, H.; Fisher, C.; Thway, K.; et al. Embryonal and Alveolar Rhabdomyosarcoma in Adults: Real-Life Data From a Tertiary Sarcoma Centre. Clin. Oncol. 2020, 32, e27–e35. [Google Scholar] [CrossRef]
- Silva Cunha, J.L.; De Assis Almeida Lima-Júnior, F.; Gonçalves Júnior, W.D.; De Santana Santos, T.; Da Silveira, E.J.D.; De Sousa, S.F.; De Albuquerque-Júnior, R.L.C. Embryonal Rhabdomyosarcoma (Botryoid Subtype) Affecting the Buccal Mucosa. Head Neck Pathol. 2019, 13, 671–676. [Google Scholar] [CrossRef]
- Patil, G.; Halawar, S.; Sagari, S.; Babannavar, R.; Purohit, S. Embryonal Rhabdomyosarcoma Occurring on Mandibular Gingiva in an Adult. J. Clin. Diagn. Res. 2013, 7, 2088–2089. [Google Scholar] [CrossRef]
- Li, Y.; Fu, Z.; Chen, W.; Yang, L.; Zhu, W. Embryonal Rhabdomyosarcoma of the Adult’s Vocal Cord: A Case Report. Iran. Red Crescent Med.J. 2015, 17, e59549. [Google Scholar] [CrossRef]
- El-Ghazali, A.M.S.; McLaren, K.M. Embryonal Rhabdomyosarcoma of Adult Nasopharynx. J. Laryngol. Otol. 2005, 119, 639–642. [Google Scholar] [CrossRef]
- Crist, W.M.; Anderson, J.R.; Meza, J.L.; Fryer, C.; Raney, R.B.; Ruymann, F.B.; Breneman, J.; Qualman, S.J.; Wiener, E.; Wharam, M.; et al. Intergroup Rhabdomyosarcoma Study-IV: Results for Patients with Nonmetastatic Disease. J. Clin. Oncol. 2001, 19, 3091–3102. [Google Scholar] [CrossRef]
- Ohba, S.; Matsumoto, F.; Fujimaki, M.; Ito, S.; Yokoyama, J.; Ikeda, K. Embryonal Rhabdomyosarcoma of the Head and Neck in an Adult. Auris Nasus Larynx 2012, 39, 326–328. [Google Scholar] [CrossRef]
- Russell, J.O.; Revenaugh, P.C.; Budd, G.T.; Greskovich, J.; Scharpf, J. Failed Organ Preservation Strategy for Adult Laryngeal Embryonal Rhabdomyosarcoma. Am. J. Otolaryngol. Head Neck Med. Surg. 2015, 36, 277–279. [Google Scholar] [CrossRef]
- Reilly, B.K.; Kim, A.; Peña, M.T.; Dong, T.A.; Rossi, C.; Murnick, J.G.; Choi, S.S. Rhabdomyosarcoma of the Head and Neck in Children: Review and Update. Int. J. Pediatr. Otorhinolaryngol. 2015, 79, 1477–1483. [Google Scholar] [CrossRef]
- McInturff, M.; Adamson, A.; Donaldson, C.; Nelson, B.L. Embryonal Rhabdomyosarcoma of the Oral Cavity. Head Neck Pathol. 2017, 11, 385–388. [Google Scholar] [CrossRef]
- Rohaizam, J.; Doris, E.J.Y.H.; Tang, P.I.; Lee, S.C.; Uchang, J. Adult Embryonal Rhabdomyosarcoma of the Ethmoid: A Rare Entity. Med. J. Malays. 2010, 65, 160–161. [Google Scholar]
- Hartmann, S.; Mentzel, T.; Kübler, A.C.; Da Müller-Richter, U. An Adult Spindle Cell Rhabdomyosarcoma in the Head and Neck Region with Long-Term Survival: A Case Report. J. Med. Case Rep. 2014, 8, 208. [Google Scholar] [CrossRef]
- Bozorg-Grayeli, A.; Julien, N.; Molas, G.; Grandjean, M.; Sterkers, O. Lingual rhabdomyosarcoma in an adult patient. Ann. Otolaryngol. Chir. Cervicofac. 1993, 110, 291–295. [Google Scholar]
- Baldi, A.; Nicoletti, G.; Colella, G.; Pia Di Marino, M.; Persichetti, P. Embryonal Rhabdomyosarcoma of the Tongue in Old Age. Oral. Oncol. 2004, 40, 450–452. [Google Scholar] [CrossRef]
- Doval, D.C.; Kannan, V.; Acharya, R.S.; Mukherjee, G.; Shenoy, A.M.; Bapsy, P.P. Rhabdomyosarcoma of the Tongue. Br. J. Oral Maxillofac. Surg. 1994, 32, 183–186. [Google Scholar] [CrossRef]
- Stout, A.P. Rhabdomyosarcoma of the Skeletal Muscles. Ann. Surg. 1946, 123, 447–472. [Google Scholar] [CrossRef]
- Dito, W.R.; Batsakis, J.G. Rhabdomyosarcoma of the Head and Neck. An Appraisal of the Biologic Behavior in 170 Cases. Arch. Surg. 1962, 84, 582–588. [Google Scholar] [CrossRef]
- Masson, J.K.; Soule, E.H. Embryonal Rhabdomyosarcoma of the Head and Neck. Report on Eighty-Eight Cases. Am. J. Surg. 1965, 110, 585–591. [Google Scholar] [CrossRef]
- Pavithran, K.; Doval, D.C.; Mukherjee, G.; Kannan, V.; Kumaraswamy, S.V.; Bapsy, P.P. Rhabdomyosarcoma of the Oral Cavity--Report of Eight Cases. Acta Oncol. 1997, 36, 819–821. [Google Scholar] [CrossRef]
- Moretti, G.; Guimarães, R.; de Oliveira, K.M.; Sanjar, F.; Voegels, R.L. Rhabdomyosarcoma of the head and neck: 24 cases and literature review. Braz. J. Otorhinolaryngol. 2010, 76, 533–537. [Google Scholar] [CrossRef]
- Turner, J.H.; Richmon, J.D. Head and Neck Rhabdomyosarcoma: A Critical Analysis of Population-Based Incidence and Survival Data. Otolaryngol. Head Neck Surg. 2011, 145, 967–973. [Google Scholar] [CrossRef]
- Ahmad, Z.; Ud Din, N.; Ahmad, A.; Imran, S.; Pervez, S.; Ahmed, R.; Kayani, N. Rhabdomyosarcoma—An Epidemiological and Histopathologic Study of 277 Cases from a Major Tertiary Care Center in Karachi, Pakistan. Asian Pac. J. Cancer Prev. 2015, 16, 757–760. [Google Scholar] [CrossRef]
- Chigurupati, R.; Alfatooni, A.; Myall, R.W.T.; Hawkins, D.; Oda, D. Orofacial Rhabdomyosarcoma in Neonates and Young Children: A Review of Literature and Management of Four Cases. Oral. Oncol. 2002, 38, 508–515. [Google Scholar] [CrossRef]
- Sultan, I.; Qaddoumi, I.; Yaser, S.; Rodriguez-Galindo, C.; Ferrari, A. Comparing Adult and Pediatric Rhabdomyosarcoma in the Surveillance, Epidemiology and End Results Program, 1973 to 2005: An Analysis of 2600 Patients. J. Clin. Oncol. 2009, 27, 3391–3397. [Google Scholar] [CrossRef]
- Weiss, A.R.; Lyden, E.R.; Anderson, J.R.; Hawkins, D.S.; Spunt, S.L.; Walterhouse, D.O.; Wolden, S.L.; Parham, D.M.; Rodeberg, D.A.; Kao, S.C.; et al. Histologic and Clinical Characteristics Can Guide Staging Evaluations for Children and Adolescents with Rhabdomyosarcoma: A Report from the Children’s Oncology Group Soft Tissue Sarcoma Committee. J. Clin. Oncol. 2013, 31, 3226–3232. [Google Scholar] [CrossRef]
- Rudzinski, E.R. Histology and Fusion Status in Rhabdomyosarcoma. In American Society of Clinical Oncology Educational Book; American Society of Clinical Oncology: Alexandria, VA, USA, 2013. [Google Scholar]
- Liu, Y.T.; Wang, C.W.; Hong, R.L.; Kuo, S.H. Prognostic Factors and Treatment Outcomes of Adult Patients with Rhabdomyosarcoma after Multimodality Treatment. Anticancer. Res. 2019, 39, 1355–1364. [Google Scholar] [CrossRef]
- Elsebaie, M.A.T.; Amgad, M.; Elkashash, A.; Elgebaly, A.S.; Ashal, G.G.E.L.; Shash, E.; Elsayed, Z. Management of Low and Intermediate Risk Adult Rhabdomyosarcoma: A Pooled Survival Analysis of 553 Patients. Sci. Rep. 2018, 8, 9337. [Google Scholar] [CrossRef]
- Little, D.J.; Ballo, M.T.; Zagars, G.K.; Pisters, P.W.T.; Patel, S.R.; El-Naggar, A.K.; Garden, A.S.; Benjamin, R.S. Adult Rhabdomyosarcoma: Outcome Following Multimodality Treatment. Cancer 2002, 95, 377–388. [Google Scholar] [CrossRef]
- Lloyd, R.V.; Hajdu, S.I.; Knapper, W.H. Embryonal Rhabdomyosarcoma in Adults. Cancer 1983, 51, 557–565. [Google Scholar] [CrossRef]


| Timeline | Event | Results |
|---|---|---|
| March 2019 | The appearance of a growing painless mass on the tongue | Attention in primary care |
| April 2019 | Attention in primary care | Exophytic pedunculated lesion, 1 cm diameter, in the midline of the dorsum of the tongue Urgent referral to the Department of Oral and Maxillofacial Surgery |
| 25 April 2019 | Department of Oral and Maxillofacial Surgery. Excisional biopsy performed | Embryonal rhabdomyosarcoma with fusocellular areas |
| 22 May 2019 | Excisional biopsy of the dorsum of the tongue | Scar tissue |
| 23 May 2019 | CT of the neck | A cavity found around the excisional biopsy. Inconclusive data about tumoral remains |
| 6 June 2019 | Contrast-enhanced MRI | 1.5 × 0.8 cm lesion on the dorsum of the right hemi-tongue, possible sarcoma |
| 24 June 2019 | First visit to the Medical Oncology/Sarcoma Committee. | Decision: surgery + adjuvant chemotherapy |
| 9 July 2019 | Central partial glossectomy + reconstruction with buccinator flap. Mass and samples of margins obtained | No events. Margins without tumor cells |
| 18 July 2019 | Definitive results of pathology | Scar fibrosis and inflammatory reaction with giant cells, with no evidence of tumor cells |
| July 2019 | Extension study performed: bone scan, thorax simple X-ray, and PET-CT | Extension study negative |
| August 2019–January 2020 | Chemotherapy (VAC, eight cycles, the first four with cyclophosphamide) | No events |
| January 2020–July 2022 | Follow-up | No signs of local recurrence or metastatic disease |
| Author and Year | N | Age | Gender | Type of RMS | Treatment | Survival |
|---|---|---|---|---|---|---|
| Bozorg-Grayeli 1993 [20] | 1 | NS | Male | E | Surgery + radiotherapy | NS |
| Doval 1994 [22], Pavithran 1997 [26] | 1 | 32 | Male | E | Chemotherapy + radiotherapy | Death 24 months after |
| Baldi 2004 [21] | 1 | 65 | Male | E | Surgery + radiotherapy | Disease-free 48 months after |
Disclaimer/Publisher’s Note: The statements, opinions and data contained in all publications are solely those of the individual author(s) and contributor(s) and not of MDPI and/or the editor(s). MDPI and/or the editor(s) disclaim responsibility for any injury to people or property resulting from any ideas, methods, instructions or products referred to in the content. |
© 2023 by the authors. Licensee MDPI, Basel, Switzerland. This article is an open access article distributed under the terms and conditions of the Creative Commons Attribution (CC BY) license (https://creativecommons.org/licenses/by/4.0/).
Share and Cite
Díez-Montiel, A.; Antúnez-Conde, R.; Navarro Cuéllar, C.; Tousidonis Rial, M.; Salmerón, J.I.; Bonsfills, N.; Pujol, C.A.; Serrano, F.A.; Ochandiano, S. Embryonal Rhabdomyosarcoma of the Tongue in Adults. Life 2023, 13, 1255. https://doi.org/10.3390/life13061255
Díez-Montiel A, Antúnez-Conde R, Navarro Cuéllar C, Tousidonis Rial M, Salmerón JI, Bonsfills N, Pujol CA, Serrano FA, Ochandiano S. Embryonal Rhabdomyosarcoma of the Tongue in Adults. Life. 2023; 13(6):1255. https://doi.org/10.3390/life13061255
Chicago/Turabian StyleDíez-Montiel, Alberto, Raúl Antúnez-Conde, Carlos Navarro Cuéllar, Manuel Tousidonis Rial, José Ignacio Salmerón, Nuria Bonsfills, Carolina Agra Pujol, Francisco Alijo Serrano, and Santiago Ochandiano. 2023. "Embryonal Rhabdomyosarcoma of the Tongue in Adults" Life 13, no. 6: 1255. https://doi.org/10.3390/life13061255
APA StyleDíez-Montiel, A., Antúnez-Conde, R., Navarro Cuéllar, C., Tousidonis Rial, M., Salmerón, J. I., Bonsfills, N., Pujol, C. A., Serrano, F. A., & Ochandiano, S. (2023). Embryonal Rhabdomyosarcoma of the Tongue in Adults. Life, 13(6), 1255. https://doi.org/10.3390/life13061255

