Role of Exendin-4 Functional Imaging in Diagnosis of Insulinoma: A Systematic Review
Abstract
1. Introduction
2. Materials and Methods
2.1. Search Strategy and Study Selection
2.2. Data Extraction and Methodological Quality Assessment
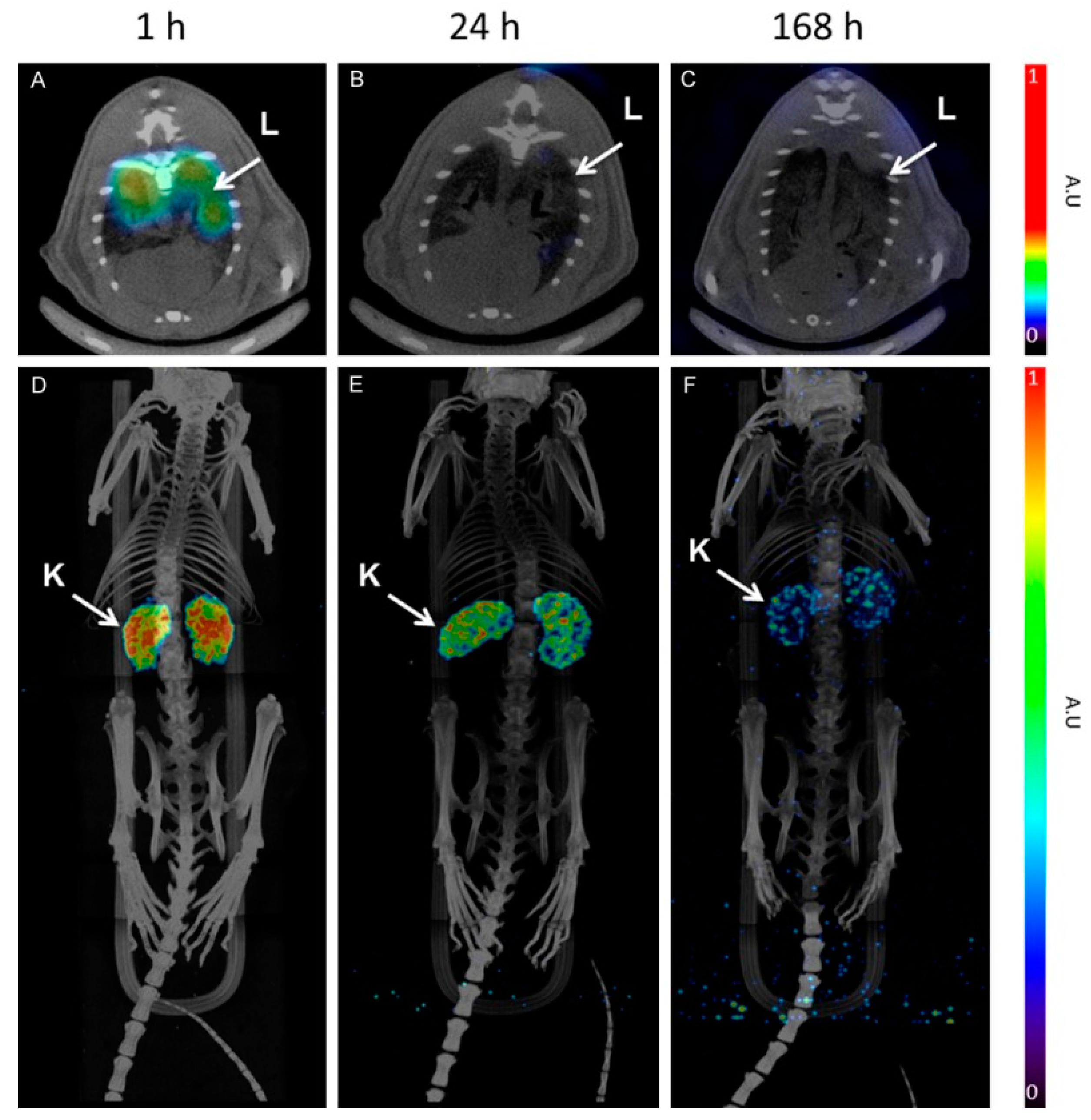
3. Results
Qualitative Assessment of the Selected Papers
4. Discussion
Future Prospectives
5. Conclusions
Author Contributions
Funding
Institutional Review Board Statement
Informed Consent Statement
Data Availability Statement
Conflicts of Interest
References
- Okabayashi, T.; Shima, Y.; Sumiyoshi, T.; Kozuki, A.; Ito, S.; Ogawa, Y.; Kobayashi, M.; Hanazaki, K. Diagnosis and management of insulinoma. World J. Gastroenterol. 2013, 19, 829–837. [Google Scholar] [CrossRef] [PubMed]
- Shin, J.J.; Gorden, P.; Libutti, S.K. Insulinoma: Pathophysiology, localization and management. Future Oncol. 2010, 6, 229–237. [Google Scholar] [CrossRef] [PubMed]
- Service, F.J.; McMahon, M.M.; O’Brien, P.C.; Ballard, D.J. Functioning insulinoma--incidence, recurrence, and long-term survival of patients: A 60-year study. Mayo Clin. Proc. 1991, 66, 711–719. [Google Scholar] [CrossRef] [PubMed]
- Al-Salameh, A.; Cadiot, G.; Calender, A.; Goudet, P.; Chanson, P. Clinical aspects of multiple endocrine neoplasia type 1. Nat. Rev. Endocrinol. 2021, 17, 207–224. [Google Scholar] [CrossRef] [PubMed]
- de Herder, W.W. Insulinoma. Neuroendocrinology 2004, 80 (Suppl. S1), 20–22. [Google Scholar] [CrossRef]
- Tucker, O.N.; Crotty, P.L.; Conlon, K.C. The management of insulinoma. Br. J. Surg. 2006, 93, 264–275. [Google Scholar] [CrossRef]
- Sotoudehmanesh, R.; Hedayat, A.; Shirazian, N.; Shahraeeni, S.; Ainechi, S.; Zeinali, F.; Kolahdoozan, S. Endoscopic ultrasonography (EUS) in the localization of insulinoma. Endocrine 2007, 31, 238–241. [Google Scholar] [CrossRef]
- Balci, N.C.; Semelka, R.C. Radiologic features of cystic, endocrine and other pancreatic neoplasms. Eur. J. Radiol. 2001, 38, 113–119. [Google Scholar] [CrossRef]
- Bauckneht, M.; Albano, D.; Annunziata, S.; Santo, G.; Guglielmo, P.; Frantellizzi, V.; Branca, A.; Ferrari, C.; Vento, A.; Mirabile, A.; et al. Somatostatin Receptor PET/CT Imaging for the Detection and Staging of Pancreatic NET: A Systematic Review and Meta-Analysis. Diagnostics 2020, 10, 598. [Google Scholar] [CrossRef]
- Kauhanen, S.; Seppanen, M.; Minn, H.; Nuutila, P. Clinical PET Imaging of Insulinoma and Beta-Cell Hyperplasia. Curr. Pharm. Des. 2010, 16, 1550–1560. [Google Scholar] [CrossRef]
- Schillaci, O.; Massa, R.; Scopinaro, F. 111In-Pentetreotide Scintigraphy in the Detection of Insulinomas: Importance of SPECT Imaging. J. Nucl. Med. 2000, 41, 459–462. [Google Scholar] [PubMed]
- Christ, E.; Wild, D.; Ederer, S.; Béhé, M.; Nicolas, G.; Caplin, M.E.; Brändle, M.; Clerici, T.; Fischli, S.; Stettler, C.; et al. Glucagon-like peptide-1 receptor imaging for the localisation of insulinomas: A prospective multicentre imaging study. Lancet Diabetes Endocrinol. 2013, 1, 115–122. [Google Scholar] [CrossRef] [PubMed]
- Reubi, J.C.; Waser, B. Concomitant expression of several peptide receptors in neuroendocrine tumours: Molecular basis for in vivo multireceptor tumour targeting. Eur. J. Nucl. Med. Mol. Imaging 2003, 30, 781–793. [Google Scholar] [CrossRef]
- Kalff, V.; Iravani, A.; Akhurst, T.; Pattison, D.A.; Eu, P.; Hofman, M.S.; Hicks, R.J. Utility of 68Ga-DOTA-Exendin-4 positron emission tomography-computed tomography imaging in distinguishing between insulinoma and nesidioblastosis in patients with confirmed endogenous hyperinsulinaemic hypoglycaemia. Intern. Med. J. 2021, 51, 1657–1664. [Google Scholar] [CrossRef] [PubMed]
- Schueler, S.; Schuetz, G.M.; Dewey, M. The revised QUADAS-2 tool. Ann. Intern. Med. 2012, 156, 323, author reply 323–324. [Google Scholar] [CrossRef]
- Whiting, P.; Rutjes, A.W.; Reitsma, J.B.; Bossuyt, P.M.; Kleijnen, J. The development of QUADAS: A tool for the quality assessment of studies of diagnostic accuracy included in systematic reviews. BMC Med. Res. Methodol. 2003, 3, 25. [Google Scholar] [CrossRef]
- Whiting, P.F.; Rutjes, A.W.; Westwood, M.E.; Mallett, S.; Deeks, J.J.; Reitsma, J.B.; Leeflang, M.M.; Sterne, J.A.; Bossuyt, P.M. QUADAS-2: A revised tool for the quality assessment of diagnostic accuracy studies. Ann. Intern. Med. 2011, 155, 529–536. [Google Scholar] [CrossRef]
- Antwi, K.; Fani, M.; Heye, T.; Nicolas, G.; Rottenburger, C.; Kaul, F.; Merkle, E.; Zech, C.J.; Boll, D.; Vogt, D.R.; et al. Comparison of glucagon-like peptide-1 receptor (GLP-1R) PET/CT, SPECT/CT and 3T MRI for the localisation of occult insulinomas: Evaluation of diagnostic accuracy in a prospective crossover imaging study. Eur. J. Nucl. Med. Mol. Imaging 2018, 45, 2318–2327. [Google Scholar] [CrossRef]
- Antwi, K.; Nicolas, G.; Fani, M.; Heye, T.; Pattou, F.; Grossman, A.; Chanson, P.; Reubi, J.C.; Perren, A.; Gloor, B.; et al. 68Ga-Exendin-4 PET/CT Detects Insulinomas in Patients With Endogenous Hyperinsulinemic Hypoglycemia in MEN-1. J. Clin. Endocrinol. Metab. 2019, 104, 5843–5852. [Google Scholar] [CrossRef]
- Pallavi, U.N.; Malasani, V.; Sen, I.; Thakral, P.; Dureja, S.; Pant, V.; Gaikwad, V.S.; Sabharwal, A. Molecular Imaging to the Surgeons Rescue: Gallium-68 DOTA-Exendin-4 Positron Emission Tomography-Computed Tomography in Pre-operative Localization of Insulinomas. Indian J. Nucl. Med. 2019, 34, 14–18. [Google Scholar] [CrossRef]
- Garg, R.; Shah, R.; Tiwari, A.; Purandare, N.; Lele, V.R.; Malhotra, G.; Verma, P.; Gosavi, V.; Dalvi, A.; Kumar Jaiswal, S.; et al. Exendin-4-based imaging in endogenous hyperinsulinemic hypoglycaemia cohort: A tertiary Endocrine centre experience. Clin. Endocrinol. 2020, 93, 678–686. [Google Scholar] [CrossRef] [PubMed]
- Michalski, K.; Laubner, K.; Stoykow, C.; Omrane, M.A.; Maecke, H.R.; Seufert, J.; Goetz, C.; Meyer, P.T.; Ruf, J. Detection of Insulinomas Using Dual-Time-Point 68Ga-DOTA-Exendin 4 PET/CT. Clin. Nucl. Med. 2020, 45, 519–524. [Google Scholar] [CrossRef] [PubMed]
- Senica, K.; Tomazic, A.; Skvarca, A.; Kolenc Peitl, P.; Mikolajczak, R.; Hubalewska-Dydejczyk, A.; Lezaic, L. Superior Diagnostic Performance of the GLP-1 Receptor Agonist [Lys(40)(AhxHYNIC-[(99m)Tc]/EDDA)NH(2)]-Exendin-4 over Conventional Imaging Modalities for Localization of Insulinoma. Mol. Imaging Biol. 2020, 22, 165–172. [Google Scholar] [CrossRef] [PubMed]
- Shah, R.; Sehemby, M.; Garg, R.; Purandare, N.; Hira, P.; Mahajan, A.; Lele, V.; Malhotra, G.; Verma, P.; Rojekar, A.; et al. 68Ga-DOTATATE PET/CT imaging in endogenous hyperinsulinemic hypoglycemia: A tertiary endocrine centre experience. Clin. Endocrinol. 2022, 96, 190–199. [Google Scholar] [CrossRef]
- Luo, Y.; Pan, Q.; Yao, S.; Yu, M.; Wu, W.; Xue, H.; Kiesewetter, D.O.; Zhu, Z.; Li, F.; Zhao, Y.; et al. Glucagon-Like Peptide-1 Receptor PET/CT with 68Ga-NOTA-Exendin-4 for Detecting Localized Insulinoma: A Prospective Cohort Study. J. Nucl. Med. 2016, 57, 715–720. [Google Scholar] [CrossRef]
- Christ, E.; Wild, D.; Forrer, F.; Brändle, M.; Sahli, R.; Clerici, T.; Gloor, B.; Martius, F.; Maecke, H.; Reubi, J.C. Glucagon-like peptide-1 receptor imaging for localization of insulinomas. J. Clin. Endocrinol. Metab. 2009, 94, 4398–4405. [Google Scholar] [CrossRef]
- Antwi, K.; Fani, M.; Nicolas, G.; Rottenburger, C.; Heye, T.; Reubi, J.C.; Gloor, B.; Christ, E.; Wild, D. Localization of Hidden Insulinomas with ⁶⁸Ga-DOTA-Exendin-4 PET/CT: A Pilot Study. J. Nucl. Med. 2015, 56, 1075–1078. [Google Scholar] [CrossRef]
- Sowa-Staszczak, A.; Pach, D.; Mikołajczak, R.; Mäcke, H.; Jabrocka-Hybel, A.; Stefańska, A.; Tomaszuk, M.; Janota, B.; Gilis-Januszewska, A.; Małecki, M.; et al. Glucagon-like peptide-1 receptor imaging with [Lys40(Ahx-HYNIC- 99mTc/EDDA)NH2]-exendin-4 for the detection of insulinoma. Eur. J. Nucl. Med. Mol. Imaging 2013, 40, 524–531. [Google Scholar] [CrossRef]
- Boss, M.; Rottenburger, C.; Brenner, W.; Blankenstein, O.; Prasad, V.; Prasad, S.; Coppi, P.; Kühnen, P.; Buitinga, M.; Nuutila, P.; et al. 68Ga-NODAGA-Exendin-4 PET/CT Improves the Detection of Focal Congenital Hyperinsulinism. J. Nucl. Med. 2022, 63, 310–315. [Google Scholar] [CrossRef]
- Wild, D.; Christ, E.; Caplin, M.E.; Kurzawinski, T.R.; Forrer, F.; Brändle, M.; Seufert, J.; Weber, W.A.; Bomanji, J.; Perren, A.; et al. Glucagon-like peptide-1 versus somatostatin receptor targeting reveals 2 distinct forms of malignant insulinomas. J. Nucl. Med. 2011, 52, 1073–1078. [Google Scholar] [CrossRef]
- Imperiale, A.; Boursier, C.; Sahakian, N.; Ouvrard, E.; Chevalier, E.; Sebag, F.; Addeo, P.; Taïeb, D. Value of 68Ga-DOTATOC and Carbidopa-Assisted 18F-DOPA PET/CT for Insulinoma Localization. J. Nucl. Med. 2022, 63, 384–388. [Google Scholar] [CrossRef] [PubMed]
- Shah, R.; Garg, R.; Majmundar, M.; Purandare, N.; Malhotra, G.; Patil, V.; Ramteke-Jadhav, S.; Lila, A.; Shah, N.; Bandgar, T. Exendin-4-based imaging in insulinoma localization: Systematic review and meta-analysis. Clin. Endocrinol. 2021, 95, 354–364. [Google Scholar] [CrossRef] [PubMed]
- Klöppel, G.; Anlauf, M.; Raffel, A.; Perren, A.; Knoefel, W.T. Adult diffuse nesidioblastosis: Genetically or environmentally induced? Hum. Pathol. 2008, 39, 3–8. [Google Scholar] [CrossRef] [PubMed]
- Antwi, K.; Hepprich, M.; Müller, N.A.; Reubi, J.C.; Fani, M.; Rottenburger, C.; Nicolas, G.; Kaul, F.; Christ, E.R.; Wild, D. Pitfalls in the Detection of Insulinomas With Glucagon-Like Peptide-1 Receptor Imaging. Clin. Nucl. Med. 2020, 45, e386–e392. [Google Scholar] [CrossRef]
- Deden, L.N.; Booij, J.; Grandjean, J.; Homberg, J.R.; Hazebroek, E.J.; Gotthardt, M.; Boss, M. Brain Imaging of the GLP-1 Receptor in Obesity Using 68Ga-NODAGA-Exendin-4 PET. Brain Sci. 2021, 11, 1647. [Google Scholar] [CrossRef]
- Mukai, E.; Toyoda, K.; Kimura, H.; Kawashima, H.; Fujimoto, H.; Ueda, M.; Temma, T.; Hirao, K.; Nagakawa, K.; Saji, H.; et al. GLP-1 receptor antagonist as a potential probe for pancreatic beta-cell imaging. Biochem. Biophys. Res. Commun. 2009, 389, 523–526. [Google Scholar] [CrossRef]
- Rylova, S.N.; Waser, B.; Del Pozzo, L.; Tönnesmann, R.; Mansi, R.; Meyer, P.T.; Reubi, J.C.; Maecke, H.R. Approaches to Improve the Pharmacokinetics of Radiolabeled Glucagon-Like Peptide-1 Receptor Ligands Using Antagonistic Tracers. J. Nucl. Med. 2016, 57, 1282–1288. [Google Scholar] [CrossRef]
- Brom, M.; Joosten, L.; Oyen, W.J.; Gotthardt, M.; Boerman, O.C. Radiolabelled GLP-1 analogues for in vivo targeting of insulinomas. Contrast Media Mol. Imaging 2012, 7, 160–166. [Google Scholar] [CrossRef]
- Imperiale, A.; Sebag, F.; Vix, M.; Castinetti, F.; Kessler, L.; Moreau, F.; Bachellier, P.; Guillet, B.; Namer, I.J.; Mundler, O.; et al. 18F-FDOPA PET/CT imaging of insulinoma revisited. Eur. J. Nucl. Med. Mol. Imaging 2015, 42, 409–418. [Google Scholar] [CrossRef]
- Nakuz, T.S.; Berger, E.; El-Rabadi, K.; Wadsak, W.; Haug, A.; Hacker, M.; Karanikas, G. Clinical Value of 18F-FDOPA PET/CT With Contrast Enhancement and Without Carbidopa Premedication in Patients with Insulinoma. Anticancer. Res. 2018, 38, 353–358. [Google Scholar] [CrossRef]
- Fujimoto, H.; Fujita, N.; Hamamatsu, K.; Murakami, T.; Nakamoto, Y.; Saga, T.; Ishimori, T.; Shimizu, Y.; Watanabe, H.; Sano, K.; et al. First-in-Human Evaluation of Positron Emission Tomography/Computed Tomography With [18F]FB(ePEG12)12-Exendin-4: A Phase 1 Clinical Study Targeting GLP-1 Receptor Expression Cells in Pancreas. Front. Endocrinol. 2021, 12, 717101. [Google Scholar] [CrossRef] [PubMed]
- Özgüven, S.; Filizoğlu, N.; Kesim, S.; Öksüzoğlu, K.; Şen, F.; Öneş, T.; İnanır, S.; Turoğlu, H.T.; Erdil, T.Y. Physiological Biodistribution of 68Ga-DOTA-TATE in Normal Subjects. Mol. Imaging Radionucl. Ther. 2021, 30, 39–46. [Google Scholar] [CrossRef] [PubMed]
- Solnes, L.B.; Werner, R.A.; Jones, K.M.; Sadaghiani, M.S.; Bailey, C.R.; Lapa, C.; Pomper, M.G.; Rowe, S.P. Theranostics: Leveraging Molecular Imaging and Therapy to Impact Patient Management and Secure the Future of Nuclear Medicine. J. Nucl. Med. 2020, 61, 311–318. [Google Scholar] [CrossRef] [PubMed]
- Filippi, L.; Bagni, O.; Nervi, C. Aptamer-based technology for radionuclide targeted imaging and therapy: A promising weapon against cancer. Expert. Rev. Med. Devices 2020, 17, 751–758. [Google Scholar] [CrossRef] [PubMed]
- Wicki, A.; Wild, D.; Storch, D.; Seemayer, C.; Gotthardt, M.; Behe, M.; Kneifel, S.; Mihatsch, M.J.; Reubi, J.C.; Mäcke, H.R.; et al. [Lys40(Ahx-DTPA-111In)NH2]-Exendin-4 is a highly efficient radiotherapeutic for glucagon-like peptide-1 receptor-targeted therapy for insulinoma. Clin. Cancer Res. Off. J. Am. Assoc. Cancer Res. 2007, 13, 3696–3705. [Google Scholar] [CrossRef] [PubMed]
- Buitinga, M.; Jansen, T.; van der Kroon, I.; Woliner-van der Weg, W.; Boss, M.; Janssen, M.; Aarntzen, E.; Béhé, M.; Wild, D.; Visser, E.; et al. Succinylated Gelatin Improves the Theranostic Potential of Radiolabeled Exendin-4 in Insulinoma Patients. J. Nucl. Med. 2019, 60, 812–816. [Google Scholar] [CrossRef]
- Velikyan, I.; Bulenga, T.N.; Selvaraju, R.; Lubberink, M.; Espes, D.; Rosenström, U.; Eriksson, O. Dosimetry of [(177)Lu]-DO3A-VS-Cys(40)-Exendin-4—Impact on the feasibility of insulinoma internal radiotherapy. Am. J. Nucl. Med. Mol. Imaging 2015, 5, 109–126. [Google Scholar]
- Eriksson, O.; Velikyan, I.; Selvaraju, R.K.; Kandeel, F.; Johansson, L.; Antoni, G.; Eriksson, B.; Sörensen, J.; Korsgren, O. Detection of metastatic insulinoma by positron emission tomography with [68ga]exendin-4-a case report. J. Clin. Endocrinol. Metab. 2014, 99, 1519–1524. [Google Scholar] [CrossRef]
- Lehtonen, J.; Schäffer, L.; Rasch, M.G.; Hecksher-Sørensen, J.; Ahnfelt-Rønne, J. Beta cell specific probing with fluorescent exendin-4 is progressively reduced in type 2 diabetic mouse models. Islets 2015, 7, e1137415. [Google Scholar] [CrossRef]
- Reiner, T.; Thurber, G.; Gaglia, J.; Vinegoni, C.; Liew, C.W.; Upadhyay, R.; Kohler, R.H.; Li, L.; Kulkarni, R.N.; Benoist, C.; et al. Accurate measurement of pancreatic islet beta-cell mass using a second-generation fluorescent exendin-4 analog. Proc. Natl. Acad. Sci. USA 2011, 108, 12815–12820. [Google Scholar] [CrossRef]
- Moan, J.; Berg, K. The photodegradation of porphyrins in cells can be used to estimate the lifetime of singlet oxygen. Photochem. Photobiol. 1991, 53, 549–553. [Google Scholar] [CrossRef] [PubMed]
- Henderson, B.W.; Dougherty, T.J. How does photodynamic therapy work? Photochem. Photobiol. 1992, 55, 145–157. [Google Scholar] [CrossRef] [PubMed]




| Authors, Year of Pub (Ref) | Risk of Bias Assessment | |||
|---|---|---|---|---|
| Patient Selection | Index Test | Reference Standard | Flow and Timing | |
| Antwi et al., 2018 [18] | Low | High | Low | Low |
| Antwi et al., 2019 [19] | Low | Low | Unclear | Low |
| Pallavi et al., 2019 [20] | Low | Unclear | Unclear | Low |
| Garg et al., 2020 [21] | Low | Low | Unclear | Low |
| Michalski et al., 2020 [22] | Low | Unclear | Unclear | Low |
| Kalff et al., 2021 [14] | Low | Low | Unclear | Low |
| Senica et al., 2020 [23] | Low | Unclear | Unclear | Low |
| Shah et al., 2022 [24] | Low | Low | Unclear | Low |
| Crist et al., 2013 [12] | Low | Low | Low | Low |
| Luo et al., 2016 [25] | Low | Unclear | Unclear | Low |
| Crist et al., 2009 [26] | Low | Unclear | Unclear | Low |
| Antwi et al., 2015 [27] | Low | Unclear | Low | Low |
| Sowa-Staszczak et al., 2013 [28] | Low | Unclear | Unclear | Low |
| Boss et al., 2022 [29] | Low | High | Unclear | Low |
| Authors, Year of Publication (Ref) | Applicability Concerns’ Assessment | ||
|---|---|---|---|
| Patient Selection | Index Test | Reference Standard | |
| Antwi et al., 2018 [18] | Low | Low | Low |
| Antwi et al., 2019 [19] | Low | Low | Low |
| Pallavi et al., 2019 [20] | Low | Low | Low |
| Garg et al., 2020 [21] | Low | Low | Low |
| Michalski et al., 2020 [22] | Low | Low | Low |
| Kalff et al., 2021 [14] | Low | Low | Low |
| Senica et al., 2020 [23] | Low | Low | Low |
| Shah et al., 2022 [24] | Low | Low | Low |
| Crist et al., 2013 [12] | Low | Low | Low |
| Luo et al., 2016 [25] | Low | Low | Low |
| Crist et al., 2009 [26] | Low | Unclear | Unclear |
| Antwi et al., 2015 [27] | Low | Unclear | Low |
| Sowa-Staszczak et al., 2013 [28] | Low | Unclear | Unclear |
| Boss et al., 2022 [29] | Low | Low | Low |
| Author, Ref | Year of Publication | Country | Tracer | N of pts | Accuracy | Sensitivity | Specificity |
|---|---|---|---|---|---|---|---|
| Christ et al., [26] | 2009 | Switzerland | 111In-DOTA-exendin-4 | 6 | Not explicit | Not explicit | Not explicit |
| Christ et al., [12] | 2013 | Switzerland | 111In-DTPA-exendin-4 | 25 | Not explicit | 95% | 20% |
| Sowa-Staszczak et al., [28] | 2013 | Poland | [Lys40(Ahx-HYNIC-99mTc/EDDA)NH2]-exendin-4 | 11 | Not explicit | 100% | 100% |
| Antwi et al., [27] | 2015 | Switzerland | 111In-DOTA-exendin-4, 68Ga-DOTA-exendin-4 | 5 | Not explicit | Not explicit | Not explicit |
| Luo et al., [25] | 2016 | China | 68Ga-NOTA-exendin-4, 99mTc-HYNIC-TOC | 52 | Not explicit | 97.7% | Not explicit |
| Antwi et al., [18] | 2018 | Switzerland | 68Ga-DOTA-edendin-4; 111In-DOTA-exendin-4 | 52 | 93.9% PET/CT; 67.5% SPECT/CT | 94.6% PET/CT; 68.5% SPECT/CT | Not explicit |
| Senica et al., [23] | 2020 | India | [99mTc]EDDA)NH2]-exendin-4 | 8 | Not explicit | 100% | 100% |
| Antwi et al., [19] | 2019 | Switzerland | 68Ga-DOTA-edendin-4 | 52 | 94.6% PET/CT | 84.6% PET/CT | 100% PET/CT |
| Pallavi et al., [20] | 2019 | India | 68Ga-DOTA-edendin-4 | 8 | Not explicit | 75% PET/CT | Not explicit |
| Garg et al., [21] | 2020 | India | 68Ga-NODAGA-edendin-4; 68Ga-DOTATATE | 14 | Not explicit | 83.3% exendin-4; 33.3% DOTATE | Not explicit |
| Michalski et al., [22] | 2020 | India | 68Ga-DOTA-edendin-4 | 10 | Not explicit | Not explicit | Not explicit |
| Kalff et al., [14] | 2021 | Australia | 68Ga-DOTA-exendin-4 | 25 | 84% | Not explicit | Not explicit |
| Boss et al., [29] | 2022 | Netherlands | 68Ga-NODAGA-exendin-4 | 19 | Not explicit | 100% | Not explicit |
Disclaimer/Publisher’s Note: The statements, opinions and data contained in all publications are solely those of the individual author(s) and contributor(s) and not of MDPI and/or the editor(s). MDPI and/or the editor(s) disclaim responsibility for any injury to people or property resulting from any ideas, methods, instructions or products referred to in the content. |
© 2023 by the authors. Licensee MDPI, Basel, Switzerland. This article is an open access article distributed under the terms and conditions of the Creative Commons Attribution (CC BY) license (https://creativecommons.org/licenses/by/4.0/).
Share and Cite
Sidrak, M.M.A.; De Feo, M.S.; Corica, F.; Gorica, J.; Conte, M.; Filippi, L.; Evangelista, L.; De Vincentis, G.; Frantellizzi, V. Role of Exendin-4 Functional Imaging in Diagnosis of Insulinoma: A Systematic Review. Life 2023, 13, 989. https://doi.org/10.3390/life13040989
Sidrak MMA, De Feo MS, Corica F, Gorica J, Conte M, Filippi L, Evangelista L, De Vincentis G, Frantellizzi V. Role of Exendin-4 Functional Imaging in Diagnosis of Insulinoma: A Systematic Review. Life. 2023; 13(4):989. https://doi.org/10.3390/life13040989
Chicago/Turabian StyleSidrak, Marko Magdi Abdou, Maria Silvia De Feo, Ferdinando Corica, Joana Gorica, Miriam Conte, Luca Filippi, Laura Evangelista, Giuseppe De Vincentis, and Viviana Frantellizzi. 2023. "Role of Exendin-4 Functional Imaging in Diagnosis of Insulinoma: A Systematic Review" Life 13, no. 4: 989. https://doi.org/10.3390/life13040989
APA StyleSidrak, M. M. A., De Feo, M. S., Corica, F., Gorica, J., Conte, M., Filippi, L., Evangelista, L., De Vincentis, G., & Frantellizzi, V. (2023). Role of Exendin-4 Functional Imaging in Diagnosis of Insulinoma: A Systematic Review. Life, 13(4), 989. https://doi.org/10.3390/life13040989

