Abstract
This experiment was conducted to evaluate the effect of adding Origanum majorana (OM) powder to domestic pigeon diets on growth performance, feeding and drinking behaviour, blood hematology, blood biochemical parameters, blood inflammatory and oxidative markers, carcass characteristics, the weights of lymphoid organs, and and intestinal cecal, and bursa of Fabricius histology. A random distribution of fifty-four unsexed pigeon squabs (30 days old, average body weight; 321 g ± 7.5) into three groups was done. The first group was fed the grower basal diet without adding OM powder, while OM powder was added at levels of 0.5 and 1% to the basal diets of the second and third groups, respectively. The changes in growth performance parameters and feeding and drinking behavior under OM powder’s effect were insignificant. However, the lymphoid organs (spleen and thymus) significantly increased in weight (p < 0.05) in the OM-fed groups. Moreover, blood examination showed positive responses to OM powder in terms of blood cell counts (RBCs andWBCs), and the values of hemoglobin, hematocrit, mean corpuscular volume, lymphocyte numbers, levels of globulin, and glutathione peroxidase enzyme were significantly increased. The numbers of heterophils, the ratio of heterophil to lymphocyte, malondialdehyde levels were reduced (p < 0.05). Histomorphometry examination revealed increases in intestinal villi height, cecal thickness, and bursal follicle area and number. These results indicated that adding OM powder to the pigeon diet may improve their immunity, increase their antioxidant status, and correct some hematological disorders.
1. Introduction
Recently, the animal industry has expanded worldwide, including the production of livestock, companion animals, and poultry. Among these sectors, the most significant contributor to this expansion was poultry production [1]. It is known that poultry production is characterized by its lower cost, better feed conversion, and fewer associated environmental and health problems than other livestock productions [2,3]. Because of all these factors contributing to the growing population, poultry production has grown with rapid conversion to the commercial production type in developing countries [4]. Therefore, for improving the performance, immune response, and health of poultry, it was essential for researchers to examine new feed additives and include them into poultry diets. Herbal plants and their extracts are considered promising additives in poultry production; they can be used as growth promoters and immune modulators as replacements for antibiotics, which have adverse effects on poultry [5,6].
Origanum majorana [OM], or sweet marjoram, is a creeping aromatic medicinal herbal plant [7] that belongs to the family Lamiaceae. It is very popular in Western Asia and North Africa [8]. Because of its richness in phenolic compounds, flavonoids, and essential oils, with borneol, terpinene, pinene, sabinene, and terpineol contents [9], Origanum majorana is characterized by its antioxidant, antibacterial, antifungal, antiseptic, analgesic, immune modulator, and metabolism-inducing properties [10,11]. Moreover, OM extract could protect against renal and liver damage [8], lead acetate injury [12], and hyperlipidemia [13].
The broiler response to diets supplemented with prebiotics, probiotics, or herbal mixtures (Origanum majorana, Carum carvi, and Foeniculum vulgare) as alternatives to antibiotics indicated that the herbal mixture group recorded the highest productive performance [14]. Moreover, Saleh et al. [15] added a mixture of OM and another medicinal herbal plant to laying hen diets and noticed an improvement in their productivity and performance, including the feed conversion ratio and egg quality and quantity.
Because of its highly palatable and delicious meat (which indicates high nutritional value), effortless management and rearing, and rapid weight gain, the marketing of domestic pigeons is very common in Egypt [16]. To our knowledge, few studies have been conducted in order to study the nutritional, behavioral, antioxidant, and immunomodulatory impacts of adding OM powder to the pigeon diet.
In this study, we hypothesized that adding OM powder to pigeon diets may modulate their growth performance, feeding and drinking behavior, immune response, antioxidant status, and intestinal absorption in a desirable manner. Therefore, this experiment studied the effect of adding OM to the pigeon diet on performance, feeding and drinking behavior, carcass parameters and lymphoid organ weights, blood hematology, blood biochemical parameters, antioxidant and inflammatory markers, and intestinal, cecal, and bursal histomorphometry.
2. Materials and Methods
2.1. Origanum majorana Powder
Origanum majorana (OM) powder was purchased from a commercial source (Organic, Natural Oil Factory, Assiut, Egypt), and prepared and analyzed (using the methods described by the AOAC [17]) in the Animal Nutrition and Clinical Nutrition Lab., New Valley University, Egypt. The OM chemical analysis indicated that it contains 95.5% dry matter (DM), 3.3% ether extract (EE), 14% crude protein (CP), 10.3% ash, and 17.5% crude fiber (CF) using the following official methods: AOAC 930.15, AOAC 920.39, AOAC 984.13, AOAC 942.05, and AOAC 978.10. Metabolizable energy (ME) (2712 Kcal/Kg diet) was calculated based on the chemical composition, as described by the NRC [18]. In addition, the active principles of OM powder were analyzed in the Chemistry Lab., Faculty of Science, Assiut University, Assiut (see Supplementary Information Report S1). The active components included thymol (4.2%), terpineol contents (alpha-terpineol 3.6%, alpha-terpinene 6.8%, alpha-terpinolene 1.5%, and gamma-terpinene 5.5%), carene (1.1%), caryophyllene (1.5%), alpha-phellandrene (2.07%), aminopropyl phenol (0.09%), fluoro-5-ethyl phenol (0.2%), (1-Pyrrolyl) phenol (1.7%), 5-methyl phenol (0.14%), and cathine (0.02%). The previous studies [19,20] were used to decide the inclusion level of OM powder in the diets.
2.2. Birds, Diets, and Design
Fifty-four unsexed pigeon squabs (age: 30 days; average body weight; 321 g ± 7.5) from a local source (El-Matieuh rural villages—Assiut, Egypt) were randomly distributed into three groups (n = 18, 3 replicates, n = 6/group). The grower basal diet without supplementing OM powder was offered for the 1st group, while OM was added to the basal diets of the 2nd and 3rd groups at levels of 5 and 10 g/kg diet, respectively. The mashed form of the diet was used. The ingredients of the grower basal diet, which was formulated based on the recommendations of [21,22], are shown in Table 1. The temperature was adjusted according to the bird’s needs (18–23 °C). Natural and mechanical ventilations were supplied. Free access to both water and feed was provided. The schematic cartoon (Figure 1) of the experimental study was designed by BioRender.com.
Table 1.
Ingredients and chemical composition of the grower basal diet of pigeon squabs.
Figure 1.
The schematic cartoon of the experimental design, created with BioRender.com.
2.3. Growth Performance
The body weight was recorded for each bird at the study beginning. After that, body weight (individual and cumulative), along with the feed intake of pigeon squabs, was recorded weekly. The feed conversion ratio (FCR), relative growth rate (RGR), and European production efficiency index (EPI) were calculated [23,24].
2.4. Feeding and Drinking Behavior Assessment
During the experiment, feeding and drinking behaviors were observed [25]. Pigeons involved in eating behavior (act\30 min) were recorded by observing their contact with feed and water, following the recommendation of Spudeit et al. [26].
2.5. Carcass Parameters and Lymphoid Organs
The experimental period was 45 days. At the experimental end, 3 birds per group were euthanized by slaughter after their random selection and weighing. The lymphoid organs (spleen, bursa of Fabricius, and thymus), liver, heart, and gizzard were weighed and expressed as a percentage of the live body weight [27].
2.6. Blood Examination
During slaughtering, blood was collected from the cervical vein and preserved in heparinized and non-heparinized tubes (Vacutainer, Becton Dickinson, Stuart, FL, USA).
2.7. Blood Hematology
The heparinized tubes were used for evaluating red blood cells (RBCs), white blood cells (WBCs), blood hemoglobin (Hb), mean corpuscular volume (MCV), mean corpuscular hemoglobin concentration (MCH), hematocrit value (HCT), and differential white blood cell count. The ratio of heterophils/lymphocytes was calculated. Using a hemocytometer and staining blood films with the Wright–Giemsa stain, numbers of RBCs and WBCs were counted.
2.8. Blood Biochemical Parameters
The blood samples in the other tubes were centrifuged for 15 min, at 3000 rpm at 4 °C, and kept at −20 °C till further analysis. Total proteins, albumin, globulin, total cholesterol, urea, and creatinine were determined by using commercial kits (Biotechnology Company, Assiut, Egypt).
2.9. Serum Inflammatory and Oxidative Markers
For inflammation detection, tumor necrosis factor α (TNF-α) and interleukin 6 (IL6) were determined by an ELISA Kit for chicken (Biotechnology Company, Assiut, Egypt). The malondialdehyde (MDA) and glutathione peroxidase (GPx), as oxidative markers, were measured by commercial colorimetric kits) Biotechnology Company, Assiut, Egypt) using a spectrophotometer (Unico UV 2000; Spectra Lab Scientific Inc., Alexandria, VA, USA).
2.10. Histomorphometry Analyses
Eight pigeons were randomly chosen to collect samples from the intestine (duodenum), cecum, and bursa of Fabricius. Immediately after slaughtering, samples were dissected, fixed in Bouin’s fluid, alcohol-dehydrated, cleared in methyl benzoate, and paraffin wax-embedded. After that, cutting at 4–5 μm thickness and staining with Harris hematoxylin were done [28]. Measurements of duodenal villi height/um, wall thickness/um, cecal muscle thickness/um, and follicle numbers/500 um and follicle area/um2 of the bursa of Fabricius were done using ImageJ software. Measurement data are described as means ± SDM.
2.11. Statistical Analyses
Origanum majorana’s effects on performance, behavior, carcass characteristics, blood hematology, blood parameters, and inflammatory and oxidative markers in pigeons were analyzed using SPSS [26.0]. For treatment comparison, Duncan’s multiple range test was used. The 5% level was used as an indication of significance [29]. The statistical model was Yij = μ + Ti + Eij, where Yij = response variables; μ = the overall mean; Ti = treatment effect; Eij = the experimental error.
3. Results
3.1. Growth Performance Parameters
Origanum majorana powder’s effect on the performance of pigeon squabs is shown in Table 2. A numerical increase in growth performance parameters under the OM powder effect was observed. However, no significant differences were detected among groups in terms of body weight, weight gain, feed intake, feed conversion, production index, or relative growth rate.
Table 2.
Effect of adding Origanum majorana powder to pigeon diets on growth performance parameters.
3.2. Feeding and Drinking Behavior
The assessment of pigeons’ feeding and drinking behavior under the effect of Origanum majorana powder is indicated in Figure 2. Adding OM powder increased the birds’ feeding and drinking acts, but this increase was insignificant.
Figure 2.
Effect of Origanum majorana powder on feeding and drinking behavior of pigeon squabs.
3.3. Carcass Parameters and Lymphoid Organs
The effect of Origanum majorana powder on the carcass parameters and lymphoid organs is presented in Table 3. The dressing percentages for liver, gizzard, bursa, and heart did not show any significant changes among the experimental groups. However, there was a significant increase in spleen and thymus relative weights (p ≤ 0.05) in the OM powder groups.
Table 3.
Effect of adding Origanum majorana powder to the pigeon diet on carcass characteristics and immunity organs.
3.4. Blood Examination
3.4.1. Hematological Parameters
The Origanum majorana powder effect on blood hematology is shown in Table 4. Red blood cells [RBCs], hemoglobin [Hb], hematocrit [HCT], mean corpuscular volume [MCV], white blood cells [WBCs], and lymphocyte % showed higher values with OM powder [p < 0.05]. While heterophils % and heterophils to lymphocyte ratio were significantly [p < 0.01] decreased.
Table 4.
Effect of adding Origanum majorana powder to the pigeon diet on blood hematology.
3.4.2. Blood Biochemical Parameters, Serum Inflammatory Markers, and Oxidative Markers
Blood parameters and markers affected by adding Origanum majorana powder to pigeon diets are presented in Table 5. Supplementation of OM powder had no effect on serum total protein, albumin, creatine, or urea levels. In contrast, globulin was higher [p < 0.05], and the albumin-to-globulin ratio was lower [p < 0.05] in the treated groups. Moreover, adding OM powder to pigeon diets at both levels reduced [p < 0.05] the cholesterol level.
Table 5.
Effect of adding Origanum majorana powder to pigeon diet on blood biochemical parameters, and serum inflammatory and oxidative markers.
Interleukin 6 was not affected, while tumor necrosis factor tended to be [p = 0.09] increased by adding OM powder. In addition, serum oxidative markers, malondialdehyde, and glutathione peroxidase enzyme were significantly [p < 0.01] decreased and increased, respectively.
3.5. Histomorphometry Examination
3.5.1. Duodenal and Cecal Histomorphometry
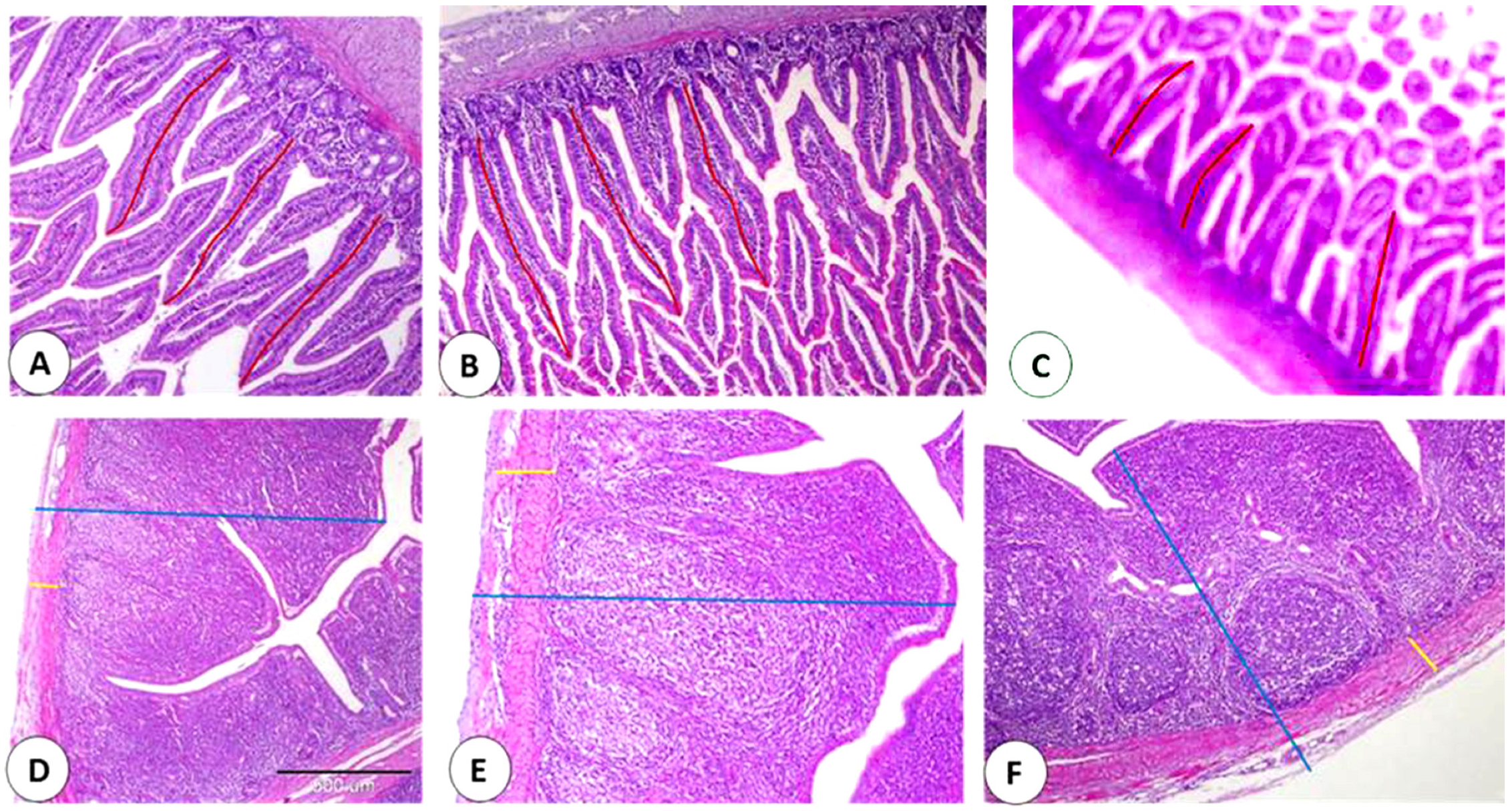
A slight increase in intestinal villi length [about 510.134 ± 6.239 μm] was observed in the group fed 1% OM powder. However, intestinal villi height was nearly similar in the control group [about 504.036 ± 31.292 μm], and the group provided 0.5% OM powder [about 504.713 ± 4.021 μm] [Figure 3A–C and Figure 4].
Figure 3.
Effect of Origanum majoran powder on intestinal and cecal histology. Histomorphometry analyses of villi length of the duodenum [red line] in the control group (A), 0.5% Origanum majorana [OM] powder (B), and 1% OM powder (C). Histomorphometry analyses of the thickness of the cecal wall [blue line] and cecal muscular thickness [yellow line] in the control group (D), 0.5% OM powder (E), and 1% OM powder (F).
Figure 4.
Histomorphometry using image j software showing; Thickness of cecal muscle/μm, No. of Bursal follicles/500 μm, Duodenal villi height/μm, Thickness of cecal wall/μm, Bursal Follicle area/μm2.
The cecal wall thickness was increased with both levels of OM [about 1699.357 ± 4.468 μm and 1426.958 ± 8.336 μm with 0.5 and 1% OM, respectively] in comparison with the control [about 1321.432 ± 7.518 μm]. In addition, a slight increase in muscular layer thickness was detected in the 0.5% OM group [nearly 109.639 ± 1.426 μm] and 1% OM group [nearly 110.050 ± 6.347 μm] in comparison with the control group [nearly 107.265 ± 3.050 μm] [Figure 3D–F and Figure 4].
3.5.2. Bursal Follicle Histomorphometry
The number of follicles was about 8.8 follicles per 500 μm in the control group. By adding OM powder, the number was increased to about 9 follicles per 500 μm with 0.5% OM and about 12 follicles per 500 μm with 1% OM. Moreover, the area of the follicle in the control group was about 249.500 ± 3.190 μm2 and increased to about 251 ± 5.332 μm2 in the 0.5% OM group. The largest follicle area was demonstrated with a 1% OM group [about 254.500 ± 5.816 μm2] [Figure 4 and Figure 5].
Figure 5.
Effect of Origanum majorana powder on the bursa of Fabricius histology. Histomorphometry analyses of follicles area and the number in the control group (A), 0.5% Origanum majorana [OM] powder (B), and 1% OM powder (C).
4. Discussion
4.1. Effect of Origanum majorana Powder on Growth Performance Characteristics
The numerical values showed that pigeons fed OM powder had higher feed intake, body weight, weight gain, and relative growth rate than the control group; no significant differences were detected among the three groups. Our results agreed with those obtained by Khattab et al. [30]; they investigated feeding different levels of Origanum majorana, Pimpinella anisum, and Mentha piperita in relation to growth performance improvements in broiler chicks. They indicated that neither feed conversion nor body weight were affected by adding Origanum majorana to the broiler diet. Moreover, Ali [19] reported a reduction in the daily feed intake of broilers by supplementing Origanum majorana at levels of 0.5, 1.0, and 1.5%. Contrary to our results, Shawky et al. [20] and Abdel-Wahab [31] indicated that adding dietary Origanum majorana to broiler diets improved their weight and weight gain.
No clear explanation was found for the variant effect of Origanum majorana on growth performance among the different research works. Still, it may be related to the variation in the level used in each experiment or other factors, such as stress. Vase-Khavari et al. [32] indicated that the efficacy of herbal plants and probiotics is correlated to different factors, such as their level and concentration used, the composition of the diet, environmental factors, and the hygiene of the poultry houses.
4.2. Effect of Origanum majorana Powder on Feeding and Drinking Behavior
Bird physiological conditions, diet composition, feeder space, and heat stress can affect birds’ feeding and drinking behavior [33,34,35]. The assessment results for feeding and drinking behavior were consistent with the performance results, as OM powder increased feeding and drinking behavior, but this increase was insignificant. Ramadan [36] and Harrington et al. [37] indicated that aromatic herbs and their extracts could increase feeding behavior in poultry. Ramadan [36] reported the presence of a negative correlation between fear and feeding behaviors in poultry, as a decrease in the fear response will increase feeding behavior. Scientists suggested that aromatic plants have a depressing effect on neural activity through the activation of GABA receptors, resulting in reduced fear behavior and increased feeding times [36,37,38]. The fear response was not assessed in our experiment.
4.3. Effect of Origanum majorana Powder on Carcass Characteristics and Lymphoid Organs
The dressing percentage and liver, heart, gizzard, and the bursa of Fabricius did not differ among pigeons supplemented with OM powder and the control group. The absence of the OM effect on carcass traits was expected, because of the similar growth performances among the three groups. Several studies reported that adding herbal plants either in powder or oil extract did not affect broilers’ internal organ weights [39]. Moreover, Shawky et al. [20] reported that the weights of the liver, heart, and gizzard did not show any significant difference when dietary supplementation of OM was used in broiler diets.
The avian immune response can be affected by several extrinsic or intrinsic factors; one of the significant extrinsic factors affecting bird immunity is the diet and its composition [40]. The lymphoid organs responsible for avian immunity include primary and secondary organs. The primary organs are the thymus and bursa of Fabricius [41]. These organs are the sites for maturation, differentiation, and immunocompetence of T and B types of lymphocytes [42]. Functional T and B cells depart from the primary to the secondary lymphoid organs, including the bone marrow and spleen [43]. Ahsan et al. [44] indicated that the relative weight of lymphoid organs reflects the bird’s immunity status. In our experiment, the thymus and spleen showed significant increases in their weights with the OM powder supply, which means that the pigeon immune responses were improved under the effect of Origanum majorana. The impact of OM may be related to the presence of flavonoids and phenolics, with their antibacterial, antioxidant, and immune-modulating effects. However, Ali [19] indicated that the spleen weight in broilers was not affected by adding variant Origanum majorana powder levels.
4.4. Effect of Origanum majorana Powder on Blood Hematology
Nutrition’s effect on bird physiology and metabolism can be indicated by examining blood hematology and biochemical blood parameters [45]. As a result, adding Origanum majorana to birds’ diet affected the pigeons’ hematology. Origanum majorana powder significantly increased both RBC (with 1% OM) and WBC counts, which are responsible for oxygen transfer and protection against infection, respectively. The elevation in the numbers of RBCs with OM may refer to its antioxidant activity, preventing lipid peroxidation in blood cell membranes. Moreover, the increased WBC number may be related to thymol (active component in OM), which is responsible for immune response enhancement [46]. The favorable effect of Origanum majorana on blood hematology also included raising the values of Hb, HCT, MCV, and lymphocyte percentage. The positive impact of OM on Hb may be related to its higher content of iron, which is considered an essential nutrient for hemoglobin production [47]. At the same time, the increased MCV suggests that OM has a hematopoietic impact, as RBCs (both new and young) are more prominent and contain a higher Hb amount [48]. According to Altan et al. [49], the H/L ratio is a valuable tool for explaining the different stress factors to which birds are exposed. In our experiment, adding OM powder to the pigeon diet decreased heterophils, increased lymphocytes, and, consequently, decreased the H/L ratio, which means that it may play a vital role in alleviating bird stress. Stef et al. [50] indicated that lymphocytosis could enhance interferon production. Furthermore, it was reported that hematological disorders caused by toxins, metals, or bacterial infections in different animals could be corrected by adding herbs to their diets [51,52].
4.5. Effect of Origanum majorana Powder on Biochemical Parameters, Inflammatory and Oxidative Markers
Total protein, albumin, creatinine, and urea were not changed by adding OM powder. Similarly, Shawky et al. [20] reported no significant difference in total protein and urea between the OM-supplemented group and the control group. Globulin was increased, while the ratio of albumin/globulin was decreased with OM powder. The same author suggested that the significant elevation in globulin indicates the Origanum’s ability to enhance the immunity of broiler chicks. Origanum majorana has been reported to induce hypocholesterolemia [15,31]. Our cholesterol result agreed with these reports. It was indicated that carvacrol and thymol present in OM could reduce cholesterol levels by inhibiting hepatic 3-hydroxy-3-methyl-glutaril198 CoA reductase [46,53].
In our experiment, interleukin 6 was not affected, while tumor necrosis factor-α levels tended to be increased with OM powder. Substances that promote leukocytosis may stimulate cytokine secretion from these cells, such as interleukin 6 and TNF-α [54]. Therefore, the tendency of TNFα to increase may be a compensatory reaction due to leukocytosis. Contrary to our results, Arranz et al. [55] indicated that the essential oil extracted from Origanum majorana has anti-inflammatory activity, as it contains terpineol and sabinene hydrate, which adversely affect cytokine production.
Malondialdehyde is considered a lipid peroxide. When its level increases, it can impair nucleic acid metabolism and function, destroy membrane proteins, and lead to autoimmune diseases [56]. To overcome lipid peroxidation and toxic free radicals, the secretion of some enzymes such as superoxide dismutase and glutathione peroxidase is enhanced, which play essential roles in the body’s defense mechanism against peroxidation. In the current study, OM powder significantly decreased the MDA level and increased the glutathione peroxidase level. The association between OM’s richness in phenolics and flavonoids (such as carnosol, carnosic acid, and hydroxycinnamic acid) and its antioxidant effect was investigated [9]. Therefore, Origanum majorana can play an essential role in maintaining the normal physiology, production, health, and welfare of animals.
4.6. Effect of Origanum majorana Powder on Duodenal, Cecal, and Bursal Follicle Histomorphometry
Feed utilization efficiency depends on feed digestion and absorption, which are affected by the intestinal surface [57]. Our histological results indicated that the intestinal villi length was slightly increased with OM powder. Abdelatty et al. [58] reported that improvements in growth performance are associated with increases in intestinal villi length and intestinal absorption. It was observed that the slight increase in intestinal villi length in the Origanum groups was associated with a numerical increase in body weight.
In the muscular layer, the cecal wall was thickened with OM powder supplementation. Scarce studies take morphometrical measurements for the cecum, despite its role in immune response, water absorption, digestion, and fermentation [59,60,61].
As a primary lymphoid organ, the bursa has a crucial role in B cell maintenance and establishment [41]. The area and number of follicles in the bursa of Fabricius were increased with OM powder. Attia et al. [62] reported that induction of humoral immunity and B lymphocyte production is associated with increases in the area of the bursal follicle.
4.7. Limitations of the Study
There was no possibility to confirm the results through q-PCR or to perform LC-MS analysis of serum, in order to see whether feeding OM increased the metabolites related to brain modulators, antioxidants, and immune modulators. In addition, the fear response was not assessed in our experiment in order to confirm as to whether it is correlated with increased feed intake. However, this research is essential and acts as the first step to realizing the influence of OM on improving the health status and welfare of pigeons; therefore, further experiments are required to emphasize the neural activity of birds.
5. Conclusions
Adding OM powder to the pigeon diet increased the relative weights of the lymphoid organs (spleen, thymus, and the number and area of bursal follicles), the WBC count, the lymphocyte count, and the serum globulin level. These effects suggest that OM powder may enhance bird immunity. The increased Hb, HCT, and MCV may have a hematopoietic effect. A decreased H/L ratio and MDA, as well as increased GPx, indicated that OM powder might have an antioxidant effect. Histological examination of the intestine suggested that nutrient absorption may be affected by adding OM powder, but this point needs further investigation. In conclusion, adding OM powder to the pigeon diet may play an essential role in alleviating stress, correcting some hematological disorders, and maintaining the physiology, metabolism, health, and welfare of birds, but more future work is still required.
Supplementary Materials
The following supporting information can be downloaded at: https://www.mdpi.com/article/10.3390/life13030664/s1, Report S1. The active principles of Origanum majorana powder were analysed in the Chemistry Lab., Faculty of Science, Assiut University, Egypt.
Author Contributions
All authors have significantly contributed to each step of the work and manuscript preparation. In detail, H.Y.A.: the idea of the manuscript, H.Y.A., R.D.E.-S., F.E.-Z.A.M., R.I.M.H., I.F.R. and W.M.S.G.: conceptualization and methodology. H.Y.A., R.D.E.-S., F.E.-Z.A.M., R.I.M.H., W.M.S.G., I.F.R., F.Z. and Z.L.: formal analysis. H.Y.A. and R.I.M.H.: writing the original draft, H.Y.A., R.D.E.-S., F.E.-Z.A.M., R.I.M.H., W.M.S.G., I.F.R., F.Z. and Z.L.: writing—review & editing. All authors contributed to the article and approved the submitted version. All authors have read and agreed to the published version of the manuscript.
Funding
This work was supported by Slovak project KEGA no. 010UVLF-4/2023: Study and material provision of the teaching of the subject Breeds and breeding of pets, in order to increase the level of practical experience of students in the study program Veterinary Nurse.
Institutional Review Board Statement
The study was conducted in accordance with the Ethics Committee of the Faculty of Veterinary Medicine, Assiut University, Egypt, according to the OIE standards for use of animal research under a number of (06\2023/0034) is here by authorized to conduct scientific tests, experiments, or investigations involving the use of living vertebrate animals.
Data Availability Statement
The datasets of the study are available from the corresponding author upon reasonable request.
Acknowledgments
We acknowledge the Research Animal Unit Staff, Faculty of Veterinary Medicine, Assiut University, Egypt, for their assistance in bird care and management. We acknowledge Asmaa Gomaa, Medical Physiology Department, Assiut University, Egypt, for her help and beneficial advice during manuscript writing. Also, we acknowledge Mercia Nitzsche, Carshalton, United Kingdom, for the language editing.
Conflicts of Interest
There is no conflict of interest between the authors.
References
- Vandana, G.D.; Sejian, V.; Lees, A.M.; Pragna, P.; Silpa, M.V.; Maloney, S.K. Heat stress and poultry production: Impact and amelioration. Int. J. Biometeorol. 2021, 65, 163–179. [Google Scholar] [CrossRef] [PubMed]
- Daghir, N.; Diab-El-Harake, M.; Kharroubi, S. Poultry production and its effects on food security in the Middle Eastern and North African region. J. Appl. Poult. Res. 2021, 30, 100110. [Google Scholar] [CrossRef]
- Puvača, N.; Tufarelli, V.; Giannenas, I. Essential oils in broiler chicken production, immunity and meat quality: Review of Thymus vulgaris, Origanum vulgare, and Rosmarinus officinalis. Agriculture 2022, 12, 874. [Google Scholar] [CrossRef]
- Mottet, A.; Tempio, G. Global poultry production: Current state and future outlook and challenges. World’s Poult. Sci. J. 2017, 73, 245–256. [Google Scholar] [CrossRef]
- Seidavi, A.; Tavakoli, M.; Slozhenkina, M.; Gorlov, I.; Hashem, N.M.; Asroosh, F.; Taha, A.E.; El-Hack, M.E.A.; A Swelum, A. The use of some plant-derived products as effective alternatives to antibiotic growth promoters in organic poultry production: A review. Environ. Sci. Pollut. Res. 2021, 28, 47856–47868. [Google Scholar] [CrossRef]
- Sakr, S.A.; El-Emam, H.A.; Naiel, M.A.E.; Wahed, N.M.; Zaher, H.A.; Abougabal, M.S.; Alghamdi, Y.S.; Albogami, S.; Soliman, M.M.; Shukry, M.; et al. The impact of paulownia leaves extract enriched diets on performance, blood biochemical, antioxidant, immunological indices and related gene expression of broilers. Front. Vet. Sci. 2022, 9, 859. [Google Scholar] [CrossRef]
- Cala, A.; Salcedo, J.R.; Torres, A.; Varela, R.M.; Molinillo, J.M.; Macías, F.A. A study on the phytotoxic potential of the seasoning herb marjoram [Origanum majorana L.] leaves. Molecules 2021, 26, 3356. [Google Scholar] [CrossRef]
- Yen, L.T.; Park, J. The complete chloroplast genome sequence of Origanum majorana L. Mitochondrial DNA Part B 2021, 6, 1224–1225. [Google Scholar] [CrossRef]
- Bina, F.; Rahimi, R. Sweet marjoram: A review of ethnopharmacology, phytochemistry, and biological activities. J. Evid.-Based Complement. Altern. Med. 2017, 22, 175–185. [Google Scholar] [CrossRef]
- Banchio, E.; Bogino, P.C.; Zygadlo, J.; Giordano, W. Plant growth promoting rhizobacteria improve growth and essential oil yield in Origanummajorana L. Biochem. Syst. Ecol. 2008, 36, 766–771. [Google Scholar] [CrossRef]
- Kordali, S.; Kabaagac, G.; Sen, İ.; Yilmaz, F.; Najda, A. Phytotoxic effects of three Origanum species extracts and essential oil on seed germinations and seedling growths of four weed species. Agronomy 2022, 12, 2581. [Google Scholar] [CrossRef]
- El-Ghany, A.; Nanees, Y. Effect of marjoram leaves on injured liver in experimental rats. Rep. Opin. 2010, 2, 181–191. Available online: http://www.sciencepub.net (accessed on 2 February 2010).
- Ahmed, L.A.; Ramadan, R.S.; Mohamed, R.A. Biochemical and histopathological studies on the water extracts of marjoram and chicory herbs and their mixture in obese rats. Pak. J. Nutr. 2009, 8, 1581–1587. [Google Scholar] [CrossRef]
- Enas, A.E.; Asmaa, S.; Garmian, A.O. Effect of antibiotic alternatives inclusion in broilers diet on productive performance, carcass yield and intestinal histology. Egypt. Poult. Sci. J. 2019, 39, 673–688. [Google Scholar] [CrossRef]
- Saleh, A.A.; Hamed, S.; Hassan, A.M.; Amber, K.; Awad, W.; Alzawqari, M.H.; Shukry, M. Productive performance, ovarian follicular development, lipid peroxidation, antioxidative status, and egg quality in laying hens fed diets supplemented with salvia officinalis and Origanum majorana powder levels. Animals 2021, 11, 3513. [Google Scholar] [CrossRef]
- Salem, H.M.; Yehia, N.; Al-Otaibi, S.; El-Shehawi, A.M.; Elrys, A.A.; El-Saadony, M.T.; Attia, M.M. The prevalence and intensity of external parasites in domestic pigeons [Columba livia domestica] in Egypt with special reference to the role of deltamethrin as insecticidal agent. Saudi J. Biol. Sci. 2022, 29, 1825–1831. [Google Scholar] [CrossRef]
- AOAC. Official Methods of Analysis, Association of Official Analytical Chemist, 19th ed.; AOAC: Washington, DC, USA, 2012. [Google Scholar]
- NRC. National Research Council, Nutrient Requirements of Poultry: 1994; National Academies Press: Cambridge, MA, USA, 1994. [Google Scholar]
- Ali, A. Productive performance and immune response of broiler chicks as affected by dietary marjoram leaves powder. Egypt. Poult. Sci. J. 2014, 34, 57–70. [Google Scholar] [CrossRef]
- Shawky, S.M.; Orabi, S.H.; Dawod, A. Effect of marjoram supplementation on growth performance and some immunological indices in broilers. Int. J. Vet. Sci. 2020, 9, 297–300. [Google Scholar] [CrossRef]
- Khashaba, H.A.A.; Sayed, M.A.M.; Mariey, Y.A.; Ibrahem, M.A. Nutritional and management studies on the pigeon: Estimate of metabolizable energy requirements. Egypt. Poult. Sci. J. 2009, 29, 481–501. Available online: http://www.epsaegypt.com/pdf/2009_june/1-1118.pdf (accessed on 1 December 2009).
- Omar, M.A.; Hassan, F.A.; Shahin, S.E. Economic assessment of various levels of protein and energy in pigeon squabs diet. Zagazig Vet. J. 2017, 45, 20–30. [Google Scholar] [CrossRef]
- Marcu, A.; Vacaru-Opriş, I.; Dumitrescu, G.; Ciochină, L.P.; Marcu, A.; Nicula, M.; Peţ, N.; l Dron, D.; Kelciov, B.; Mariş, C. The influence of genetics on economic efficiency of broiler chickens growth. Anim. Sci. Biotechnol. 2013, 46, 339–346. [Google Scholar]
- Fattah, A.F.A.; Roushdy, E.-S.M.; Tukur, H.A.; Saadeldin, I.M.; Kishawy, A.T.Y. Comparing the effect of different management and rearing systems on pigeon squab welfare and performance after the loss of one or both parents. Animals 2019, 9, 165. [Google Scholar] [CrossRef] [PubMed]
- Dawkins, M.S. Observing Animal Behaviour: Design and Analysis of Quantitative Data; Oxford University Press: Oxford, UK, 2007. [Google Scholar] [CrossRef]
- Spudeit, W.A.; Sulzbach, N.S.; Bittencourt, M.D.A.; Duarte, A.M.C.; Liang, H.; Lino-de-Oliveira, C.; Marino-Neto, J. The behavioral satiety sequence in pigeons [Columba livia]. Description and development of a method for quantitative analysis. Physiol. Behav. 2013, 122, 62–71. [Google Scholar] [CrossRef] [PubMed]
- Alshelmani, M.I.; Loh, T.C.; Foo, H.L.; Sazili, A.Q.; Lau, W.H. Effect of feeding different levels of palm kernel cake fermented by Paenibacillus polymyxa ATCC 842 on nutrient digestibility, intestinal morphology, and gut microflora in broiler chickens. Anim. Feed Sci. Technol. 2016, 216, 216–224. [Google Scholar] [CrossRef]
- Bancroft, J.D.; Layton, C.; Suvarna, S.K. Bancroft’s theory and practice of histological techniques. In Churchill Livingstone, 7th ed.; Elsevier: Oxford, UK, 2013. [Google Scholar]
- George, D.; Mallery, P. IBM SPSS Statistics 26 Step by Step: A Simple Guide and Reference; Routledge: New York, NY, USA, 2019. [Google Scholar] [CrossRef]
- Khattab, M.A.; Roshdy, A.R.; Ali, A.M. Effect of some medicinal plants on broiler performance. Sinai J. Appl. Sci. 2018, 7, 131–140. [Google Scholar] [CrossRef]
- Abdel-Wahab, A.A. Effect of adding marjoram powder to broilerchicks diet on performance, blood and antioxidant enzyme activity. Egypt. J. Nutr. Feed. 2019, 22, 611–625. [Google Scholar] [CrossRef]
- Vase-Khavari, K.; Mortezavi, S.H.; Rasouli, B.; Khusro, A.; Salem, A.Z.; Seidavi, A. The effect of three tropical medicinal plants and superzist probiotic on growth performance, carcass characteristics, blood constitutes, immune response, and gut microflora of broiler. Trop. Anim. Health Prod. 2019, 51, 33–42. [Google Scholar] [CrossRef]
- El-Hack, M.E.A.; Abdelnour, S.A.; Taha, A.E.; Khafaga, A.; Arif, M.; Ayasan, T.; Swelum, A.A.; Abukhalil, M.H.; Alkahtani, S.; Aleya, L.; et al. Herbs as thermoregulatory agents in poultry: An overview. Sci. Total Environ. 2020, 703, 134399. [Google Scholar] [CrossRef]
- Li, G.S.; Zhu, F.; Yang, F.X.; Hao, J.P.; Hou, Z.C. Selection response and genetic parameter estimation of feeding behavior traits in Pekin ducks. Poult. Sci. 2020, 99, 2375–2384. [Google Scholar] [CrossRef]
- Li, G.; Zhao, Y.; Purswell, J.L.; Magee, C. Effects of feeder space on broiler feeding behaviors. Poult. Sci. 2021, 100, 101016. [Google Scholar] [CrossRef]
- Ramadan, S.G. Behaviour, welfare and performance of broiler chicks fed dietary essential oils as growth promoter. Assiut J. Vet. Med. 2013, 59, 137. [Google Scholar] [CrossRef]
- Harrington, D.; Hall, H.; Wilde, D.; Wakeman, W. Application of aromatic plants and their extracts in the diets of laying hens. In Feed Additives; Academic Press: Cambridge, MA, USA, 2020; pp. 187–203. [Google Scholar] [CrossRef]
- Lábaque, M.C.; Kembro, J.M.; Luna, A.; Marin, R.H. Effects of thymol feed supplementation on female Japanese quail [Coturnix coturnix] behavioural fear response. Anim. Feed Sci. Technol. 2013, 183, 67–72. [Google Scholar] [CrossRef]
- Vlaicu, P.A.; Panaite, T.D.; Turcu, R.P.; Tabuc, C. Dietary Origanum vulgare supplements for broilers. Rom. Biotechnol. Lett. 2020, 25, 1922–1929. [Google Scholar] [CrossRef]
- Dalgaard, T.S.; Rebel, J.M.; Bortoluzzi, C.; Kogut, M.H. Factors modulating the avian immune system. In Avian Immunology; Academic Press: Cambridge, MA, USA, 2022; pp. 419–435. [Google Scholar] [CrossRef]
- Çetin, S.; Özaydın, T. The effects of bisphenol A given in ovo on bursa of Fabricius development and percentage of acid phosphatase positive lymphocyte in chicken. Environ. Sci. Pollut. Res. 2021, 28, 41688–41697. [Google Scholar] [CrossRef]
- Bölükbaş, F.; Öznurlu, Y. The determination of the effect of in ovo administered monosodium glutamate on the embryonic development of thymus and bursa of Fabricius and percentages of alpha-naphthyl acetate esterase positive lymphocyte in chicken. Environ. Sci. Pollut. Res. 2022, 29, 45338–45348. [Google Scholar] [CrossRef]
- Swirski, F.K.; Nahrendorf, M.; Etzrodt, M.; Wildgruber, M.; Cortez-Retamozo, V.; Panizzi, P.; Figueiredo, J.-L.; Kohler, R.H.; Chudnovskiy, A.; Waterman, P.; et al. Identification of splenic reservoir monocytes and their deployment to inflammatory sites. Science 2009, 325, 612–616. [Google Scholar] [CrossRef]
- Ahsan, U.; Cengiz, Ö.; Raza, I.; Kuter, E.; Chacher, M.; Iqbal, Z.; Umar, S.; Çakir, S. Sodium butyrate in chicken nutrition: The dynamics of performance, gut microbiota, gut morphology, and immunity. World’s Poult. Sci. J. 2016, 72, 265–275. [Google Scholar] [CrossRef]
- Ahmed-Farid, O.A.; Salah, A.S.; Nassan, M.A.; El-Tarabany, M.S. Effects of chronic thermal stress on performance, energy metabolism, antioxidant activity, brain serotonin, and blood biochemical indices of broiler chickens. Animals 2021, 11, 2554. [Google Scholar] [CrossRef]
- Shad, A.A.; Bakht, J.; Shah, H.U.; Hayat, Y. Antioxidant activity and nutritional assessment of under-utilized medicinal plants. Pak. J. Pharm. Sci. 2016, 29, 2039–2045. [Google Scholar]
- ALGarni, E.H.; Hafez, D.A. Effect of extracts of some herbs on fertility of male diabetic rats. J. Am. Sci. 2015, 11, 165–175. [Google Scholar]
- Yousefi, M.; Ghafarifarsani, H.; Hoseinifar, S.H.; Rashidian, G.; Van Doan, H. Effects of dietary marjoram, Origanum majorana extract on growth performance, hematological, antioxidant, humoral and mucosal immune responses, and resistance of common carp, Cyprinus carpio against Aeromonas hydrophila. Fish Shellfish Immunol. 2021, 108, 127–133. [Google Scholar] [CrossRef] [PubMed]
- Altan, Ö.Z.; Pabuçcuoğlu, A.; Altan, A.; Konyalioğlu, S.; Bayraktar, H. Effect of heat stress on oxidative stress, lipid peroxidation and some stress parameters in broilers. Br. Poult. Sci. 2003, 44, 545–550. [Google Scholar] [CrossRef] [PubMed]
- Stef, L.; Dumitrescu, G.; Drinceanu, D.; Stef, D.; Mot, D.; Julean, C.; Tatileanu, R.; Corcionivoschi, N. The effect of medicinal plants and plant extracted oils on broiler duodenum morphology and immunological profile. Rom. Biotechnol. Lett. 2009, 14, 4606–4614. [Google Scholar]
- Abdel-Wahhab, M.A.; Aly, S.E. Antioxidant property of Nigella sativa [black cumin] and Syzygium aromaticum [clove] in rats during aflatoxicosis. J. Appl. Toxicol. Int. J. 2005, 25, 218–223. [Google Scholar] [CrossRef]
- Demir, H.; Kanter, M.; Coskun, O.; Uz, Y.H.; Koc, A.; Yildiz, A. Effect of black cumin [Nigella sativa] on heart rate, some hematological values, and pancreatic β-cell damage in cadmium-treated rats. Biol. Trace Elem. Res. 2006, 110, 151–162. [Google Scholar] [CrossRef]
- Mazmanoglu, G. Effects of Dietary Antibiotic, Essential Oil Mixture and Organic Acid Supplementation; on Performance, Some Organ Weights and Blood Parameters in Broilers. Master’s Thesis, Istanbul University, Istanbul, Turkey, 2008. [Google Scholar]
- Sevimli, A.; Bulbul, T.; Bulbul, A.; Yagci, A. Chicken amyloid arthropathy: Serum amyloid A, interleukin-1β, interleukin-6, tumour necrosis factor-α and nitric oxide profile in acute phase [12th hour]. Pol. J. Vet. Sci. 2013, 16, 241–247. [Google Scholar] [CrossRef]
- Arranz, E.; Jaime, L.; de las Hazas, M.L.; Reglero, G.; Santoyo, S. Supercritical fluid extraction as an alternative process to obtain essential oils with anti-inflammatory properties from marjoram and sweet basil. Ind. Crops Prod. 2015, 67, 121–129. [Google Scholar] [CrossRef]
- Zhang, S.; Wang, C.; Sun, Y.; Wang, G.; Chen, H.; Li, D.; Yu, X.; Chen, G. Xylanase and fermented Polysaccharide of Hericium caputmedusae reduce pathogenic infection of broilers by improving antioxidant and anti-inflammatory properties. Oxidative Med. Cell. Longev. 2018, 2018, 4296985. [Google Scholar] [CrossRef]
- De Grande, A.; Leleu, S.; Delezie, E.; Rapp, C.; De Smet, S.; Goossens, E.; Haesebrouck, F.; Van Immerseel, F.; Ducatelle, R. Dietary zinc source impacts intestinal morphology and oxidative stress in young broilers. Poult. Sci. 2020, 99, 441–453. [Google Scholar] [CrossRef]
- Abdelatty, A.; Mandouh, M.; Mohamed, S.; Busato, S.; Badr, O.; Bionaz, M.; Elolimy, A.; Moustafa, M.; Farid, O.; Al-Mokaddem, A. Azolla leaf meal at 5% of the diet improves growth performance, intestinal morphology and p70S6K1 activation, and affects cecal microbiota in broiler chicken. Animal 2021, 15, 100362. [Google Scholar] [CrossRef]
- Wang, H.; Liang, S.; Li, X.; Yang, X.; Long, F.; Yang, X. Effects of encapsulated essential oils and organic acids on laying performance, egg quality, intestinal morphology, barrier function, and microflora count of hens during the early laying period. Poult. Sci. 2019, 98, 6751–6760. [Google Scholar] [CrossRef]
- Rebollada-Merino, A.; Bárcena, C.; Ugarte-Ruiz, M.; Porras, N.; Mayoral-Alegre, F.J.; Tomé-Sánchez, I.; Domínguez, L.; Rodríguez-Bertos, A. Effects on intestinal mucosal morphology, productive parameters and microbiota composition after supplementation with fermented defatted alperujo [FDA] in laying hens. Antibiotics 2019, 8, 215. [Google Scholar] [CrossRef]
- Hunt, A.; Al-Nakkash, L.; Lee, A.H.; Smith, H.F. Phylogeny and herbivory are related to avian cecal size. Sci. Rep. 2019, 9, 4243. [Google Scholar] [CrossRef]
- Attia, Y.A.; Al-Khalaifah, H.; El-Hamid, A.; Al-Harthi, M.A.; El-Shafey, A.A. Effect of different levels of multienzymes on immune response, blood hematology and biochemistry, antioxidants status and organs histology of broiler chicks fed standard and low-density diets. Front. Vet. Sci. 2020, 6, 510. [Google Scholar] [CrossRef]
Disclaimer/Publisher’s Note: The statements, opinions and data contained in all publications are solely those of the individual author(s) and contributor(s) and not of MDPI and/or the editor(s). MDPI and/or the editor(s) disclaim responsibility for any injury to people or property resulting from any ideas, methods, instructions or products referred to in the content. |
© 2023 by the authors. Licensee MDPI, Basel, Switzerland. This article is an open access article distributed under the terms and conditions of the Creative Commons Attribution (CC BY) license (https://creativecommons.org/licenses/by/4.0/).




