Modulation of Immunity, Antioxidant Status, Performance, Blood Hematology, and Intestinal Histomorphometry in Response to Dietary Inclusion of Origanum majorana in Domestic Pigeons’ Diet
Abstract
1. Introduction
2. Materials and Methods
2.1. Origanum majorana Powder
2.2. Birds, Diets, and Design
2.3. Growth Performance
2.4. Feeding and Drinking Behavior Assessment
2.5. Carcass Parameters and Lymphoid Organs
2.6. Blood Examination
2.7. Blood Hematology
2.8. Blood Biochemical Parameters
2.9. Serum Inflammatory and Oxidative Markers
2.10. Histomorphometry Analyses
2.11. Statistical Analyses
3. Results
3.1. Growth Performance Parameters
3.2. Feeding and Drinking Behavior
3.3. Carcass Parameters and Lymphoid Organs
3.4. Blood Examination
3.4.1. Hematological Parameters
3.4.2. Blood Biochemical Parameters, Serum Inflammatory Markers, and Oxidative Markers
3.5. Histomorphometry Examination
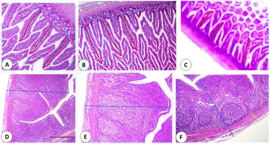
3.5.1. Duodenal and Cecal Histomorphometry
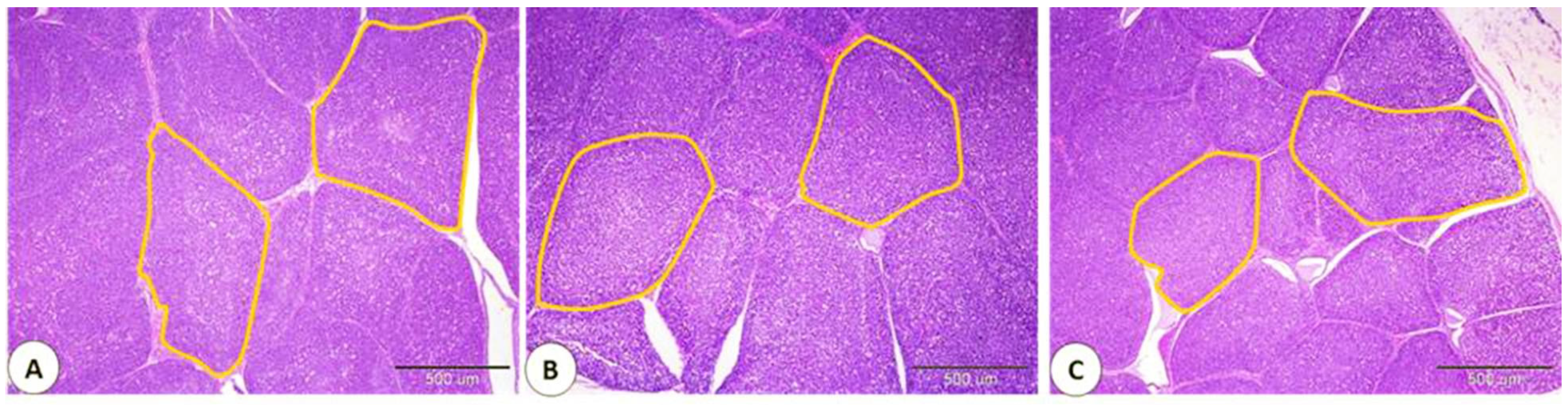
3.5.2. Bursal Follicle Histomorphometry
4. Discussion
4.1. Effect of Origanum majorana Powder on Growth Performance Characteristics
4.2. Effect of Origanum majorana Powder on Feeding and Drinking Behavior
4.3. Effect of Origanum majorana Powder on Carcass Characteristics and Lymphoid Organs
4.4. Effect of Origanum majorana Powder on Blood Hematology
4.5. Effect of Origanum majorana Powder on Biochemical Parameters, Inflammatory and Oxidative Markers
4.6. Effect of Origanum majorana Powder on Duodenal, Cecal, and Bursal Follicle Histomorphometry
4.7. Limitations of the Study
5. Conclusions
Supplementary Materials
Author Contributions
Funding
Institutional Review Board Statement
Data Availability Statement
Acknowledgments
Conflicts of Interest
References
- Vandana, G.D.; Sejian, V.; Lees, A.M.; Pragna, P.; Silpa, M.V.; Maloney, S.K. Heat stress and poultry production: Impact and amelioration. Int. J. Biometeorol. 2021, 65, 163–179. [Google Scholar] [CrossRef] [PubMed]
- Daghir, N.; Diab-El-Harake, M.; Kharroubi, S. Poultry production and its effects on food security in the Middle Eastern and North African region. J. Appl. Poult. Res. 2021, 30, 100110. [Google Scholar] [CrossRef]
- Puvača, N.; Tufarelli, V.; Giannenas, I. Essential oils in broiler chicken production, immunity and meat quality: Review of Thymus vulgaris, Origanum vulgare, and Rosmarinus officinalis. Agriculture 2022, 12, 874. [Google Scholar] [CrossRef]
- Mottet, A.; Tempio, G. Global poultry production: Current state and future outlook and challenges. World’s Poult. Sci. J. 2017, 73, 245–256. [Google Scholar] [CrossRef]
- Seidavi, A.; Tavakoli, M.; Slozhenkina, M.; Gorlov, I.; Hashem, N.M.; Asroosh, F.; Taha, A.E.; El-Hack, M.E.A.; A Swelum, A. The use of some plant-derived products as effective alternatives to antibiotic growth promoters in organic poultry production: A review. Environ. Sci. Pollut. Res. 2021, 28, 47856–47868. [Google Scholar] [CrossRef]
- Sakr, S.A.; El-Emam, H.A.; Naiel, M.A.E.; Wahed, N.M.; Zaher, H.A.; Abougabal, M.S.; Alghamdi, Y.S.; Albogami, S.; Soliman, M.M.; Shukry, M.; et al. The impact of paulownia leaves extract enriched diets on performance, blood biochemical, antioxidant, immunological indices and related gene expression of broilers. Front. Vet. Sci. 2022, 9, 859. [Google Scholar] [CrossRef]
- Cala, A.; Salcedo, J.R.; Torres, A.; Varela, R.M.; Molinillo, J.M.; Macías, F.A. A study on the phytotoxic potential of the seasoning herb marjoram [Origanum majorana L.] leaves. Molecules 2021, 26, 3356. [Google Scholar] [CrossRef]
- Yen, L.T.; Park, J. The complete chloroplast genome sequence of Origanum majorana L. Mitochondrial DNA Part B 2021, 6, 1224–1225. [Google Scholar] [CrossRef]
- Bina, F.; Rahimi, R. Sweet marjoram: A review of ethnopharmacology, phytochemistry, and biological activities. J. Evid.-Based Complement. Altern. Med. 2017, 22, 175–185. [Google Scholar] [CrossRef]
- Banchio, E.; Bogino, P.C.; Zygadlo, J.; Giordano, W. Plant growth promoting rhizobacteria improve growth and essential oil yield in Origanummajorana L. Biochem. Syst. Ecol. 2008, 36, 766–771. [Google Scholar] [CrossRef]
- Kordali, S.; Kabaagac, G.; Sen, İ.; Yilmaz, F.; Najda, A. Phytotoxic effects of three Origanum species extracts and essential oil on seed germinations and seedling growths of four weed species. Agronomy 2022, 12, 2581. [Google Scholar] [CrossRef]
- El-Ghany, A.; Nanees, Y. Effect of marjoram leaves on injured liver in experimental rats. Rep. Opin. 2010, 2, 181–191. Available online: http://www.sciencepub.net (accessed on 2 February 2010).
- Ahmed, L.A.; Ramadan, R.S.; Mohamed, R.A. Biochemical and histopathological studies on the water extracts of marjoram and chicory herbs and their mixture in obese rats. Pak. J. Nutr. 2009, 8, 1581–1587. [Google Scholar] [CrossRef]
- Enas, A.E.; Asmaa, S.; Garmian, A.O. Effect of antibiotic alternatives inclusion in broilers diet on productive performance, carcass yield and intestinal histology. Egypt. Poult. Sci. J. 2019, 39, 673–688. [Google Scholar] [CrossRef]
- Saleh, A.A.; Hamed, S.; Hassan, A.M.; Amber, K.; Awad, W.; Alzawqari, M.H.; Shukry, M. Productive performance, ovarian follicular development, lipid peroxidation, antioxidative status, and egg quality in laying hens fed diets supplemented with salvia officinalis and Origanum majorana powder levels. Animals 2021, 11, 3513. [Google Scholar] [CrossRef]
- Salem, H.M.; Yehia, N.; Al-Otaibi, S.; El-Shehawi, A.M.; Elrys, A.A.; El-Saadony, M.T.; Attia, M.M. The prevalence and intensity of external parasites in domestic pigeons [Columba livia domestica] in Egypt with special reference to the role of deltamethrin as insecticidal agent. Saudi J. Biol. Sci. 2022, 29, 1825–1831. [Google Scholar] [CrossRef]
- AOAC. Official Methods of Analysis, Association of Official Analytical Chemist, 19th ed.; AOAC: Washington, DC, USA, 2012. [Google Scholar]
- NRC. National Research Council, Nutrient Requirements of Poultry: 1994; National Academies Press: Cambridge, MA, USA, 1994. [Google Scholar]
- Ali, A. Productive performance and immune response of broiler chicks as affected by dietary marjoram leaves powder. Egypt. Poult. Sci. J. 2014, 34, 57–70. [Google Scholar] [CrossRef]
- Shawky, S.M.; Orabi, S.H.; Dawod, A. Effect of marjoram supplementation on growth performance and some immunological indices in broilers. Int. J. Vet. Sci. 2020, 9, 297–300. [Google Scholar] [CrossRef]
- Khashaba, H.A.A.; Sayed, M.A.M.; Mariey, Y.A.; Ibrahem, M.A. Nutritional and management studies on the pigeon: Estimate of metabolizable energy requirements. Egypt. Poult. Sci. J. 2009, 29, 481–501. Available online: http://www.epsaegypt.com/pdf/2009_june/1-1118.pdf (accessed on 1 December 2009).
- Omar, M.A.; Hassan, F.A.; Shahin, S.E. Economic assessment of various levels of protein and energy in pigeon squabs diet. Zagazig Vet. J. 2017, 45, 20–30. [Google Scholar] [CrossRef]
- Marcu, A.; Vacaru-Opriş, I.; Dumitrescu, G.; Ciochină, L.P.; Marcu, A.; Nicula, M.; Peţ, N.; l Dron, D.; Kelciov, B.; Mariş, C. The influence of genetics on economic efficiency of broiler chickens growth. Anim. Sci. Biotechnol. 2013, 46, 339–346. [Google Scholar]
- Fattah, A.F.A.; Roushdy, E.-S.M.; Tukur, H.A.; Saadeldin, I.M.; Kishawy, A.T.Y. Comparing the effect of different management and rearing systems on pigeon squab welfare and performance after the loss of one or both parents. Animals 2019, 9, 165. [Google Scholar] [CrossRef] [PubMed]
- Dawkins, M.S. Observing Animal Behaviour: Design and Analysis of Quantitative Data; Oxford University Press: Oxford, UK, 2007. [Google Scholar] [CrossRef]
- Spudeit, W.A.; Sulzbach, N.S.; Bittencourt, M.D.A.; Duarte, A.M.C.; Liang, H.; Lino-de-Oliveira, C.; Marino-Neto, J. The behavioral satiety sequence in pigeons [Columba livia]. Description and development of a method for quantitative analysis. Physiol. Behav. 2013, 122, 62–71. [Google Scholar] [CrossRef] [PubMed]
- Alshelmani, M.I.; Loh, T.C.; Foo, H.L.; Sazili, A.Q.; Lau, W.H. Effect of feeding different levels of palm kernel cake fermented by Paenibacillus polymyxa ATCC 842 on nutrient digestibility, intestinal morphology, and gut microflora in broiler chickens. Anim. Feed Sci. Technol. 2016, 216, 216–224. [Google Scholar] [CrossRef]
- Bancroft, J.D.; Layton, C.; Suvarna, S.K. Bancroft’s theory and practice of histological techniques. In Churchill Livingstone, 7th ed.; Elsevier: Oxford, UK, 2013. [Google Scholar]
- George, D.; Mallery, P. IBM SPSS Statistics 26 Step by Step: A Simple Guide and Reference; Routledge: New York, NY, USA, 2019. [Google Scholar] [CrossRef]
- Khattab, M.A.; Roshdy, A.R.; Ali, A.M. Effect of some medicinal plants on broiler performance. Sinai J. Appl. Sci. 2018, 7, 131–140. [Google Scholar] [CrossRef]
- Abdel-Wahab, A.A. Effect of adding marjoram powder to broilerchicks diet on performance, blood and antioxidant enzyme activity. Egypt. J. Nutr. Feed. 2019, 22, 611–625. [Google Scholar] [CrossRef]
- Vase-Khavari, K.; Mortezavi, S.H.; Rasouli, B.; Khusro, A.; Salem, A.Z.; Seidavi, A. The effect of three tropical medicinal plants and superzist probiotic on growth performance, carcass characteristics, blood constitutes, immune response, and gut microflora of broiler. Trop. Anim. Health Prod. 2019, 51, 33–42. [Google Scholar] [CrossRef]
- El-Hack, M.E.A.; Abdelnour, S.A.; Taha, A.E.; Khafaga, A.; Arif, M.; Ayasan, T.; Swelum, A.A.; Abukhalil, M.H.; Alkahtani, S.; Aleya, L.; et al. Herbs as thermoregulatory agents in poultry: An overview. Sci. Total Environ. 2020, 703, 134399. [Google Scholar] [CrossRef]
- Li, G.S.; Zhu, F.; Yang, F.X.; Hao, J.P.; Hou, Z.C. Selection response and genetic parameter estimation of feeding behavior traits in Pekin ducks. Poult. Sci. 2020, 99, 2375–2384. [Google Scholar] [CrossRef]
- Li, G.; Zhao, Y.; Purswell, J.L.; Magee, C. Effects of feeder space on broiler feeding behaviors. Poult. Sci. 2021, 100, 101016. [Google Scholar] [CrossRef]
- Ramadan, S.G. Behaviour, welfare and performance of broiler chicks fed dietary essential oils as growth promoter. Assiut J. Vet. Med. 2013, 59, 137. [Google Scholar] [CrossRef]
- Harrington, D.; Hall, H.; Wilde, D.; Wakeman, W. Application of aromatic plants and their extracts in the diets of laying hens. In Feed Additives; Academic Press: Cambridge, MA, USA, 2020; pp. 187–203. [Google Scholar] [CrossRef]
- Lábaque, M.C.; Kembro, J.M.; Luna, A.; Marin, R.H. Effects of thymol feed supplementation on female Japanese quail [Coturnix coturnix] behavioural fear response. Anim. Feed Sci. Technol. 2013, 183, 67–72. [Google Scholar] [CrossRef]
- Vlaicu, P.A.; Panaite, T.D.; Turcu, R.P.; Tabuc, C. Dietary Origanum vulgare supplements for broilers. Rom. Biotechnol. Lett. 2020, 25, 1922–1929. [Google Scholar] [CrossRef]
- Dalgaard, T.S.; Rebel, J.M.; Bortoluzzi, C.; Kogut, M.H. Factors modulating the avian immune system. In Avian Immunology; Academic Press: Cambridge, MA, USA, 2022; pp. 419–435. [Google Scholar] [CrossRef]
- Çetin, S.; Özaydın, T. The effects of bisphenol A given in ovo on bursa of Fabricius development and percentage of acid phosphatase positive lymphocyte in chicken. Environ. Sci. Pollut. Res. 2021, 28, 41688–41697. [Google Scholar] [CrossRef]
- Bölükbaş, F.; Öznurlu, Y. The determination of the effect of in ovo administered monosodium glutamate on the embryonic development of thymus and bursa of Fabricius and percentages of alpha-naphthyl acetate esterase positive lymphocyte in chicken. Environ. Sci. Pollut. Res. 2022, 29, 45338–45348. [Google Scholar] [CrossRef]
- Swirski, F.K.; Nahrendorf, M.; Etzrodt, M.; Wildgruber, M.; Cortez-Retamozo, V.; Panizzi, P.; Figueiredo, J.-L.; Kohler, R.H.; Chudnovskiy, A.; Waterman, P.; et al. Identification of splenic reservoir monocytes and their deployment to inflammatory sites. Science 2009, 325, 612–616. [Google Scholar] [CrossRef]
- Ahsan, U.; Cengiz, Ö.; Raza, I.; Kuter, E.; Chacher, M.; Iqbal, Z.; Umar, S.; Çakir, S. Sodium butyrate in chicken nutrition: The dynamics of performance, gut microbiota, gut morphology, and immunity. World’s Poult. Sci. J. 2016, 72, 265–275. [Google Scholar] [CrossRef]
- Ahmed-Farid, O.A.; Salah, A.S.; Nassan, M.A.; El-Tarabany, M.S. Effects of chronic thermal stress on performance, energy metabolism, antioxidant activity, brain serotonin, and blood biochemical indices of broiler chickens. Animals 2021, 11, 2554. [Google Scholar] [CrossRef]
- Shad, A.A.; Bakht, J.; Shah, H.U.; Hayat, Y. Antioxidant activity and nutritional assessment of under-utilized medicinal plants. Pak. J. Pharm. Sci. 2016, 29, 2039–2045. [Google Scholar]
- ALGarni, E.H.; Hafez, D.A. Effect of extracts of some herbs on fertility of male diabetic rats. J. Am. Sci. 2015, 11, 165–175. [Google Scholar]
- Yousefi, M.; Ghafarifarsani, H.; Hoseinifar, S.H.; Rashidian, G.; Van Doan, H. Effects of dietary marjoram, Origanum majorana extract on growth performance, hematological, antioxidant, humoral and mucosal immune responses, and resistance of common carp, Cyprinus carpio against Aeromonas hydrophila. Fish Shellfish Immunol. 2021, 108, 127–133. [Google Scholar] [CrossRef] [PubMed]
- Altan, Ö.Z.; Pabuçcuoğlu, A.; Altan, A.; Konyalioğlu, S.; Bayraktar, H. Effect of heat stress on oxidative stress, lipid peroxidation and some stress parameters in broilers. Br. Poult. Sci. 2003, 44, 545–550. [Google Scholar] [CrossRef] [PubMed]
- Stef, L.; Dumitrescu, G.; Drinceanu, D.; Stef, D.; Mot, D.; Julean, C.; Tatileanu, R.; Corcionivoschi, N. The effect of medicinal plants and plant extracted oils on broiler duodenum morphology and immunological profile. Rom. Biotechnol. Lett. 2009, 14, 4606–4614. [Google Scholar]
- Abdel-Wahhab, M.A.; Aly, S.E. Antioxidant property of Nigella sativa [black cumin] and Syzygium aromaticum [clove] in rats during aflatoxicosis. J. Appl. Toxicol. Int. J. 2005, 25, 218–223. [Google Scholar] [CrossRef]
- Demir, H.; Kanter, M.; Coskun, O.; Uz, Y.H.; Koc, A.; Yildiz, A. Effect of black cumin [Nigella sativa] on heart rate, some hematological values, and pancreatic β-cell damage in cadmium-treated rats. Biol. Trace Elem. Res. 2006, 110, 151–162. [Google Scholar] [CrossRef]
- Mazmanoglu, G. Effects of Dietary Antibiotic, Essential Oil Mixture and Organic Acid Supplementation; on Performance, Some Organ Weights and Blood Parameters in Broilers. Master’s Thesis, Istanbul University, Istanbul, Turkey, 2008. [Google Scholar]
- Sevimli, A.; Bulbul, T.; Bulbul, A.; Yagci, A. Chicken amyloid arthropathy: Serum amyloid A, interleukin-1β, interleukin-6, tumour necrosis factor-α and nitric oxide profile in acute phase [12th hour]. Pol. J. Vet. Sci. 2013, 16, 241–247. [Google Scholar] [CrossRef]
- Arranz, E.; Jaime, L.; de las Hazas, M.L.; Reglero, G.; Santoyo, S. Supercritical fluid extraction as an alternative process to obtain essential oils with anti-inflammatory properties from marjoram and sweet basil. Ind. Crops Prod. 2015, 67, 121–129. [Google Scholar] [CrossRef]
- Zhang, S.; Wang, C.; Sun, Y.; Wang, G.; Chen, H.; Li, D.; Yu, X.; Chen, G. Xylanase and fermented Polysaccharide of Hericium caputmedusae reduce pathogenic infection of broilers by improving antioxidant and anti-inflammatory properties. Oxidative Med. Cell. Longev. 2018, 2018, 4296985. [Google Scholar] [CrossRef]
- De Grande, A.; Leleu, S.; Delezie, E.; Rapp, C.; De Smet, S.; Goossens, E.; Haesebrouck, F.; Van Immerseel, F.; Ducatelle, R. Dietary zinc source impacts intestinal morphology and oxidative stress in young broilers. Poult. Sci. 2020, 99, 441–453. [Google Scholar] [CrossRef]
- Abdelatty, A.; Mandouh, M.; Mohamed, S.; Busato, S.; Badr, O.; Bionaz, M.; Elolimy, A.; Moustafa, M.; Farid, O.; Al-Mokaddem, A. Azolla leaf meal at 5% of the diet improves growth performance, intestinal morphology and p70S6K1 activation, and affects cecal microbiota in broiler chicken. Animal 2021, 15, 100362. [Google Scholar] [CrossRef]
- Wang, H.; Liang, S.; Li, X.; Yang, X.; Long, F.; Yang, X. Effects of encapsulated essential oils and organic acids on laying performance, egg quality, intestinal morphology, barrier function, and microflora count of hens during the early laying period. Poult. Sci. 2019, 98, 6751–6760. [Google Scholar] [CrossRef]
- Rebollada-Merino, A.; Bárcena, C.; Ugarte-Ruiz, M.; Porras, N.; Mayoral-Alegre, F.J.; Tomé-Sánchez, I.; Domínguez, L.; Rodríguez-Bertos, A. Effects on intestinal mucosal morphology, productive parameters and microbiota composition after supplementation with fermented defatted alperujo [FDA] in laying hens. Antibiotics 2019, 8, 215. [Google Scholar] [CrossRef]
- Hunt, A.; Al-Nakkash, L.; Lee, A.H.; Smith, H.F. Phylogeny and herbivory are related to avian cecal size. Sci. Rep. 2019, 9, 4243. [Google Scholar] [CrossRef]
- Attia, Y.A.; Al-Khalaifah, H.; El-Hamid, A.; Al-Harthi, M.A.; El-Shafey, A.A. Effect of different levels of multienzymes on immune response, blood hematology and biochemistry, antioxidants status and organs histology of broiler chicks fed standard and low-density diets. Front. Vet. Sci. 2020, 6, 510. [Google Scholar] [CrossRef]





| Item | Control Diet * |
|---|---|
| Ingredient, g/kg DM | |
| Yellow corn 1 | 759.4 |
| Soybean meal 2 | 197.2 |
| Supplement 3 | 43.4 |
| Chemical composition, g/kg DM | |
| CP | 160 |
| CF | 28.8 |
| EE | 29.7 |
| Available Ph | 4 |
| Ca | 12 |
| Lysine | 8 |
| Methionine | 3 |
| ME, Kcal/Kg diet 4 | 2988 |
| Item | Treatment * | SEM | p-Value | ||
|---|---|---|---|---|---|
| Control | 0.5 M | 1 M | |||
| Initial BW, g | 322 | 321 | 324 | 10.3 | 0.98 |
| Final BW, g | 424 | 438 | 439 | 13.8 | 0.68 |
| BWG, g | 102 | 115 | 117 | 10.5 | 0.57 |
| Total FI, g | 1178 | 1207 | 1237 | 41 | 0.62 |
| FCR, g/g | 4.7 | 5.8 | 5.2 | 0.87 | 0.73 |
| EPI | 12.8 | 12.5 | 12.2 | 1.97 | 0.98 |
| RGR | 17.5 | 19.2 | 19.1 | 2.34 | 0.85 |
| Item | Treatment * | SEM | p-Value | ||
|---|---|---|---|---|---|
| Control | 0.5 M | 1 M | |||
| Dressing % | 71.38 | 69.34 | 69.14 | 0.79 | 0.17 |
| The relative weight of different organs [%] | |||||
| Gizzard | 1.86 | 1.82 | 1.88 | 0.04 | 0.54 |
| Heart | 1.37 | 1.29 | 1.29 | 0.07 | 0.6 |
| Liver | 1.71 | 1.65 | 1.52 | 0.08 | 0.32 |
| Spleen | 0.18 c | 0.26 b | 0.36 a | 0.02 | 0.01 |
| Bursa of Fabricius | 0.35 | 0.36 | 0.34 | 0.02 | 0.75 |
| Thymus | 0.49 b | 0.68 a | 0.68 a | 0.03 | 0.01 |
| Item | Treatment * | SEM | p-Value | ||
|---|---|---|---|---|---|
| Control | 0.5 M | 1 M | |||
| RBCs [×106/mm3] | 4.27 b | 4.43 b | 5.37 a | 0.145 | <0.01 |
| Hb [g/dL] | 11.70 c | 12.30 b | 14.83 a | 0.135 | <0.01 |
| HCT [%] | 38.90 c | 40.00 b | 48.70 a | 0.149 | <0.01 |
| MCV [fl] | 89.15 c | 92.10 b | 96.55 a | 0.648 | <0.01 |
| MCH [pg] | 27.63 | 27.76 | 27.96 | 0.652 | 0.93 |
| WBCs [×103/mm3] | 38.33 b | 43.33 a | 44.00 a | 0.981 | 0.01 |
| Monocyte % | 7 | 7 | 8 | 0.577 | 0.42 |
| Heterophil % | 42.33 a | 27.33 b | 27.33 b | 2.769 | 0.01 |
| Lymphocyte % | 45.00 c | 73.00 a | 65.66 b | 1.981 | <0.01 |
| H/L ratio | 0.95 a | 0.385 b | 0.42 b | 0.049 | <0.01 |
| Item | Treatment * | SEM | p-Value | ||
|---|---|---|---|---|---|
| Control | 0.5 M | 1 M | |||
| Total protein, g/dL | 5.05 | 5.37 | 5.3 | 0.16 | 0.37 |
| Albumin, g/dL | 3.4 | 3.23 | 3.25 | 0.08 | 0.34 |
| Globulin, g/dL | 1.65 b | 2.13 a | 2.05 a | 0.11 | 0.04 |
| A/G ratio | 2.06 a | 1.53 b | 1.59 b | 0.08 | 0.01 |
| Cholesterol, mg/dL | 194 a | 159 b | 148 b | 9.46 | 0.03 |
| Urea, mg/dL | 37.1 | 34.1 | 37.7 | 2.07 | 0.47 |
| Creatinine, mg/dL | 0.39 | 0.48 | 0.43 | 0.02 | 0.18 |
| Interleukin 6 ng/L | 273 | 284 | 279 | 23.2 | 0.95 |
| TNFα Pg/mL | 222 b | 230 a | 236 a | 6.9 | 0.09 |
| MDA nmol/mL | 8.95 a | 6.17 b | 4.50 c | 0.32 | <0.01 |
| GPx mu/mL | 38.5 c | 102 b | 124 a | 5.57 | <0.01 |
Disclaimer/Publisher’s Note: The statements, opinions and data contained in all publications are solely those of the individual author(s) and contributor(s) and not of MDPI and/or the editor(s). MDPI and/or the editor(s) disclaim responsibility for any injury to people or property resulting from any ideas, methods, instructions or products referred to in the content. |
© 2023 by the authors. Licensee MDPI, Basel, Switzerland. This article is an open access article distributed under the terms and conditions of the Creative Commons Attribution (CC BY) license (https://creativecommons.org/licenses/by/4.0/).
Share and Cite
Amer, H.Y.; Hassan, R.I.M.; Mustafa, F.E.-Z.A.; EL-Shoukary, R.D.; Rehan, I.F.; Zigo, F.; Lacková, Z.; Gomaa, W.M.S. Modulation of Immunity, Antioxidant Status, Performance, Blood Hematology, and Intestinal Histomorphometry in Response to Dietary Inclusion of Origanum majorana in Domestic Pigeons’ Diet. Life 2023, 13, 664. https://doi.org/10.3390/life13030664
Amer HY, Hassan RIM, Mustafa FE-ZA, EL-Shoukary RD, Rehan IF, Zigo F, Lacková Z, Gomaa WMS. Modulation of Immunity, Antioxidant Status, Performance, Blood Hematology, and Intestinal Histomorphometry in Response to Dietary Inclusion of Origanum majorana in Domestic Pigeons’ Diet. Life. 2023; 13(3):664. https://doi.org/10.3390/life13030664
Chicago/Turabian StyleAmer, Hala Y., Rasha I. M. Hassan, Fatma El-Zahraa A. Mustafa, Ramadan D. EL-Shoukary, Ibrahim F. Rehan, František Zigo, Zuzana Lacková, and Walaa M. S. Gomaa. 2023. "Modulation of Immunity, Antioxidant Status, Performance, Blood Hematology, and Intestinal Histomorphometry in Response to Dietary Inclusion of Origanum majorana in Domestic Pigeons’ Diet" Life 13, no. 3: 664. https://doi.org/10.3390/life13030664
APA StyleAmer, H. Y., Hassan, R. I. M., Mustafa, F. E.-Z. A., EL-Shoukary, R. D., Rehan, I. F., Zigo, F., Lacková, Z., & Gomaa, W. M. S. (2023). Modulation of Immunity, Antioxidant Status, Performance, Blood Hematology, and Intestinal Histomorphometry in Response to Dietary Inclusion of Origanum majorana in Domestic Pigeons’ Diet. Life, 13(3), 664. https://doi.org/10.3390/life13030664

