Treatment of HIV-Associated Lupus-like Membranous Nephropathy with Tacrolimus: A Case Report and Review of the Literature
Abstract
1. Introduction
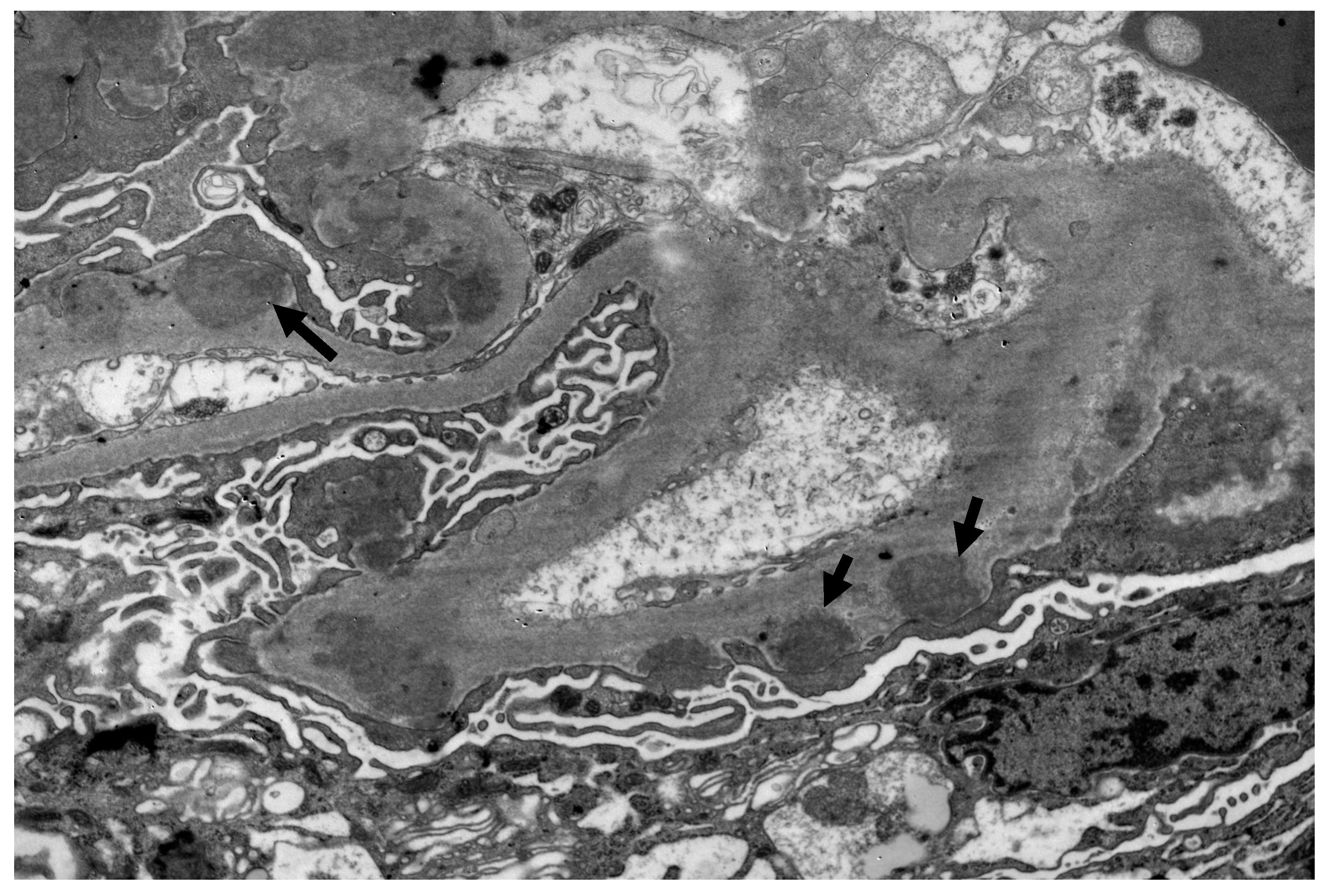
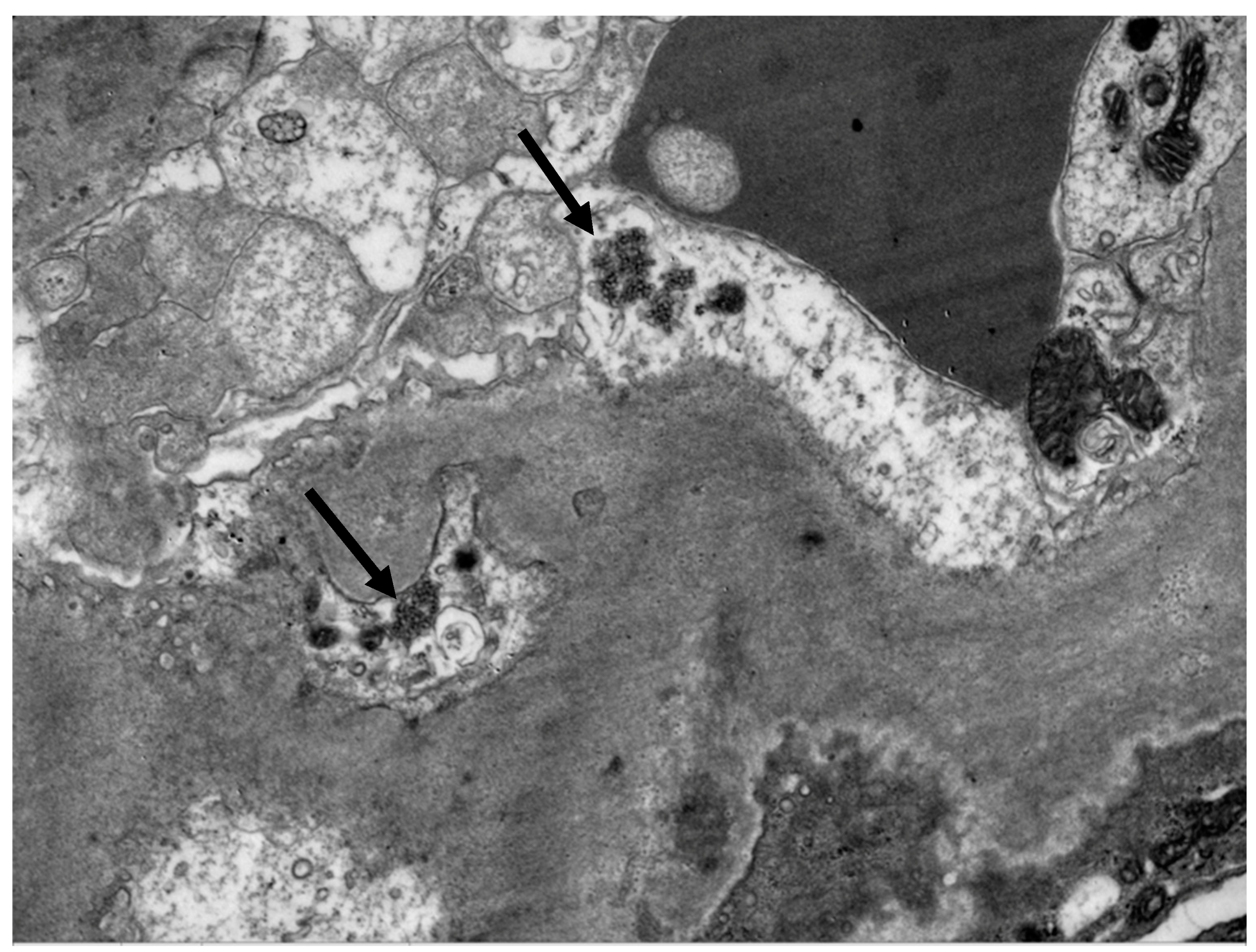
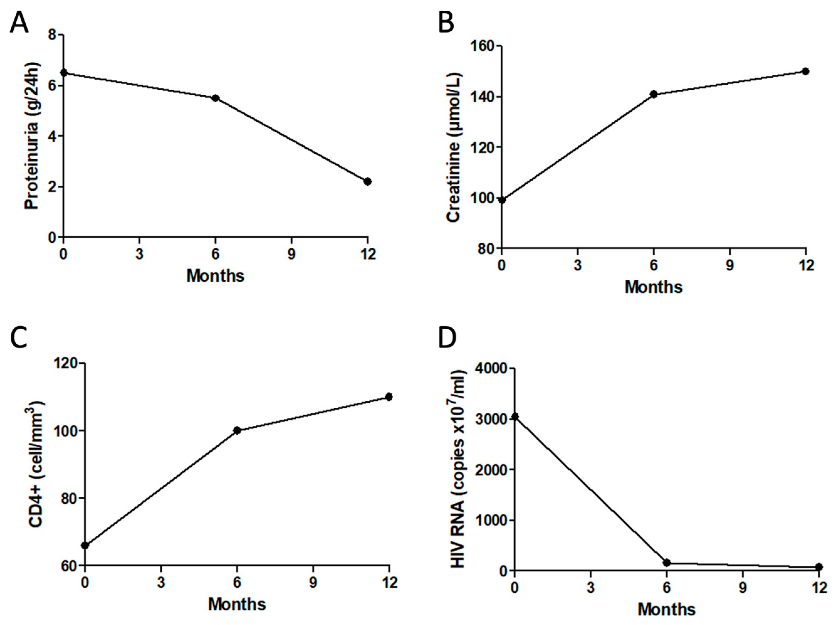
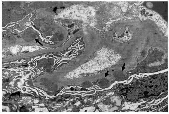
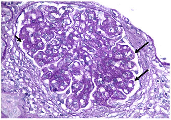
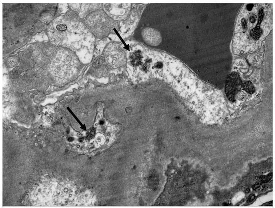
2. Case Presentation
3. Discussion
4. Conclusions
Author Contributions
Funding
Institutional Review Board Statement
Informed Consent Statement
Data Availability Statement
Acknowledgments
Conflicts of Interest
References
- Global HIV and AIDS Statistics. Available online: https://www.unaids.org/en/resources/fact-sheet (accessed on 29 January 2023).
- Fine, D.; Wasser, W.; Estrella, M.; Atta, M.; Kuperman, M.; Shemer, R.; Rajasekaran, A.; Tzur, S.; Racusen, L.; Skorecki, K. APOL1 risk variants predict histopathology and progression to ESRD in HIV-related kidney disease. J. Am. Soc. Nephrol. 2012, 23, 343–350. [Google Scholar] [CrossRef] [PubMed]
- Fernando, S.; Finkelstein, F.; Moore, B.; Weissman, S. Prevalence of chronic kidney disease in an urban HIV infected population. Am. J. Med. Sci. 2008, 335, 89–94. [Google Scholar] [CrossRef] [PubMed]
- Wyatt, C.; Klotman, P.; D’Agati, V. HIV-Associated Nephropathy: Clinical Presentation, Pathology, and Epidemiology in the Era of Antiretroviral Therapy. Semin. Nephrol. 2008, 28, 513–522. [Google Scholar] [CrossRef] [PubMed]
- Rao, T.; Filippone, E.; Nicastri, A.; Landesman, S.; Frank, E.; Chen, C.; Friedman, E. Associated Focal and Segmental Glomerulosclerosis in the Acquired Immunodeficiency Syndrome. N. Engl. J. Med. 1984, 310, 669–673. [Google Scholar] [CrossRef]
- Bigé, N.; Lanternier, F.; Viard, J.; Kamgang, P.; Daugas, E.; Elie, C.; Jidar, K.; Walker-Combrouze, F.; Peraldi, M.; Isnard-Bagnis, C.; et al. Presentation of HIV-associated nephropathy and outcome in HAART-treated patients. Nephrol. Dial. Transplant. 2012, 27, 1114–1121. [Google Scholar] [CrossRef]
- Cohen, S.; Kimmel, P. Immune Complex Renal Disease and Human Immunodeficiency Virus Infection. Semin. Nephrol. 2008, 28, 535–544. [Google Scholar] [CrossRef]
- Maziad, A.; Torrealba, J.; Seikaly, M.; Hassler, J.; Hendricks, A. Renal-Limited “lupus-Like” Nephritis: How Much of a Lupus. Case Rep. Nephrol. Dial. 2017, 7, 43–48. [Google Scholar] [CrossRef]
- Smith, M.; Austen, J.; Carey, J.; Emancipator, S.; Herbener, T.; Gripshover, B.; Mbanefo, C.; Phinney, M.; Rahman, M.; Salata, R.; et al. Prednisone Improves Renal Function and Proteinuria in Human Immunodeficiency Virus-associated Nephropathy. Am. J. Med. 1996, 101, 41–48. [Google Scholar] [CrossRef]
- Sury, K.; Perazella, M. The Changing Face of Human Immunodeficiency Virus-Mediated Kidney Disease. Adv. Chronic Kidney Dis. 2019, 26, 185–197. [Google Scholar] [CrossRef]
- Yahaya, I.; Uthman, O.; Uthman, M. Interventions for HIV-associated nephropathy. Cochrane Database Syst. Rev. 2013, 2013, CD007183. [Google Scholar] [CrossRef]
- Gupta, S.; Parker, R.; Robbins, G.; Dubé, M. The effects of highly active antiretroviral therapy on albuminuria in HIV-infected persons: Results from a randomized trial. Nephrol. Dial. Transplant. 2005, 20, 2237–2242. [Google Scholar] [CrossRef] [PubMed]
- Tiong, M.; Wilson, S.; Pham, A.; Chrysostomou, A. Successful treatment of HIV-associated lupus-like glomerulonephritis with mycophenolic acid. Clin. Case Rep. 2020, 8, 1601–1604. [Google Scholar] [CrossRef] [PubMed]
- Kalyan, P.; Schwartz, D.; Fisher, M. Rituximab for Lupus-Like Membranous Nephropathy in the Setting of Well-Controlled HIV Infection. Am. J. Ther. 2021, 28, e732–e734. [Google Scholar] [CrossRef]
- Petri, M.; Orbai, A.; Alarcõn, G.; Gordon, C.; Merrill, J.; Fortin, P.; Bruce, I.; Isenberg, D.; Wallace, D.; Nived, O.; et al. Derivation and validation of the systemic lupus international collaborating clinics classification criteria for systemic lupus erythematosus. Arthritis Rheum. 2012, 64, 2677–2686. [Google Scholar] [CrossRef] [PubMed]
- Chaudhary, S.; Workeneh, B.; Montez-Rath, M.; Zolopa, A.; Klotman, P.; Winkelmayer, W. Trends in the outcomes of end-stage renal disease secondary to human immunodeficiency virus-associated nephropathy. Nephrol. Dial. Transplant. 2015, 30, 1734–1740. [Google Scholar] [CrossRef]
- Górriz, J.; Gutiérrez, F.; Trullas, J.; Arazo, P.; Arribas, J.; Barril, G.; Cervero, M.; Cofan, F.; Domingo, P.; Estrada, V.; et al. Consensus document on the management of renal disease in HIV-infected patients. Nefrologia 2014, 34, 693–810. [Google Scholar] [CrossRef]
- Wyatt, C.; Arons, R.; Klotman, P.; Klotman, M. Acute renal failure in hospitalized patients with HIV: Risk factors and impact on in-hospital mortality. AIDS 2006, 20, 561–565. [Google Scholar] [CrossRef]
- Nobakht, E.; Cohen, S.; Rosenberg, A.; Kimmel, P. HIV-associated immune complex kidney disease. Nat. Rev. Nephrol. 2016, 12, 291–300. [Google Scholar] [CrossRef]
- Ahmed, S.; Siddiqui, R.; Siddiqui, A. HIV associated thrombotic microangiopathy. Postgrad. Med. J. 2002, 78, 520–524. [Google Scholar] [CrossRef]
- Sarmiento, M.; Balcells, M.; Ramirez, P. Thrombotic microangiopathy as first manifestation of acute human immunodeficiency virus infection: A case report and review of the literature. J. Med. Case Rep. 2016, 10, 152. [Google Scholar] [CrossRef][Green Version]
- Kudose, S.; Santoriello, D.; Bomback, A.; Stokes, M.; Batal, I.; Markowitz, G.; Wyatt, C.; D’Agati, V. The spectrum of kidney biopsy findings in HIV-infected patients in the modern era. Kidney Int. 2020, 97, 1006–1016. [Google Scholar] [CrossRef] [PubMed]
- George, E.; Nadkarni, G.; Estrella, M.; Lucas, G.; Sperati, C.; Atta, M.; Fine, D. The impact of hepatitis C coinfection on kidney disease related to human immunodeficiency virus (HIV): A biopsy study. Medicine 2011, 90, 289–295. [Google Scholar] [CrossRef] [PubMed]
- Murphy, R.; Murray, D.; Robinson, A.; Campion, B. Outcomes of cardiopulmonary resuscitation in the elderly. Ann. Intern. Med. 1989, 111, 199–205. [Google Scholar] [CrossRef] [PubMed]
- Ifudu, O.; Sreepada, T.; Ao, R.; Tan, C.; Fleisch, H.; Chirgwin, K.; Friedman, A. Clinical Study Zidovudine Is Beneficial in Human Im m unodeficiency Virus A ssociated Nephropathy. Am. J. Nephrol. 1995, 15, 217–221. [Google Scholar] [CrossRef] [PubMed]
- Bajema, I.; Wilhelmus, S.; Alpers, C.; Bruijn, J.; Colvin, R.; Cook, H.; D’Agati, V.; Ferrario, F.; Haas, M.; Jennette, J.; et al. Revision of the International Society of Nephrology/Renal Pathology Society classification for lupus nephritis: Clarification of definitions, and modified National Institutes of Health activity and chronicity indices. Kidney Int. 2018, 93, 789–796. [Google Scholar] [CrossRef]
- Markowitz, G.; D’Agati, V. The ISN/RPS 2003 classification of lupus nephritis: An assessment at 3 years. Kidney Int. 2007, 71, 491–495. [Google Scholar] [CrossRef]
- Weening, J.; D’Agati, V.; Schwartz, M.; Seshan, S.; Alpers, C.; Appel, G.; Balow, J.; Bruijn, J.; Cook, T.; Ferrario, F.; et al. The Classification of Glomerulonephritis in Systemic Lupus Erythematosus Revisited. J. Am. Soc. Nephrol. 2004, 15, 241–250. [Google Scholar] [CrossRef]
- Nochy, D.; Glotz, D.; Dosquet, P.; Pruna, A.; Guettier, C.; Weiss, L.; Hinglais, N.; Idatte, J.-M.; Mery, J.-P.; Kazatchkine, M.; et al. Nephrology Dialysis Transplantation Renal disease associated with HIV infection: A multicentric study of 60 patients from Paris hospitals. Nephrol. Dial. Transplant. 1993, 8, 11–19. [Google Scholar] [CrossRef]
- Casanova, S.; Mazzucco, G.; Di Belgiojoso, G.B.; Motta, M.; Boldorini, R.; Genderini, A.; Monga, G. Pattern of Glomerular Involvement in Human Immunodeficiency Virus-Infected Patients: An Italian Study. Am. J. Kidney Dis. 1995, 26, 446–453. [Google Scholar] [CrossRef]
- Haas, M.; Kaul, S.; Eustace, J. HIV-associated immune complex glomerulonephritis with “lupus-like” features: A clinicopathologic study of 14 cases. Kidney Int. 2005, 67, 1381–1390. [Google Scholar] [CrossRef]
- Booth, J.; Hamzah, L.; Jose, S.; Horsfield, C.; O’Donnell, P.; McAdoo, S.; Kumar, E.; Turner-Stokes, T.; Khatib, N.; Das, P.; et al. Clinical characteristics and outcomes of HIV-associated immune complex kidney disease. Nephrol. Dial. Transplant. 2016, 31, 2099–2107. [Google Scholar] [CrossRef] [PubMed]
- Berliner, A.; Fine, D.; Lucas, G.; Rahman, M.; Racusen, L.; Scheel, P.; Atta, M. Observations on a cohort of HIV-infected patients undergoing native renal biopsy. Am. J. Nephrol. 2008, 28, 478–486. [Google Scholar] [CrossRef] [PubMed]
- Mialou, V.; Bertrand, Y.; Bouvier, R.; Nochy, D.; Fabien, N.; Nicoud, P.; Pondarré, C.; Meunier, S.; Philippe, N.; Cochat, P. Lupus Nephritis in a Child with AIDS. Am. J. Kidney Dis. 2001, 37, E27. [Google Scholar] [CrossRef] [PubMed]
- Yoon, J.; Chun, S.; Shin, J.; Lim, B.; Kim, Y.; Na, K.-R.; Suh, K.; Lee, K.; Shin, Y.-T. A Case of Lupus-like Glomerulonephritis in an HIV-infected Patient. Infect. Chemother. 2009, 41, 362. [Google Scholar] [CrossRef]
- Cook, K.; Stroup, J.; Stephens, J. Newly Diagnosed White Man with HIV-Associated Lupus-like Nephropathy. Infect. Dis. Clin. Pract. 2011, 19, 5. [Google Scholar] [CrossRef]
- Eanes, G.; Silva, B.; Leite, V.A.; Salgado-Filho, N.; Ravinal, R.; Gabriel, J.; Vergna, G.; Silva, R.; Dantas, M. Necrotizing arteritis in a human immunodeficiency virus-infected patient with lupus-like glomerulonephritis. Int. J. Clin. Exp. Pathol. 2013, 7, 464–467. [Google Scholar]
- Hamid, C.; Hameed, R.; Khaliq, B.; Manzoor, R.; Hamid, C. HIV associated lupus like nephropathy. Ethiop. J. Health Sci. 2014, 24, 277–283. [Google Scholar] [CrossRef]
- Yang, J.; Seo, M.; Kim, K.; Lee, J.; Kim, S.-C.; Kim, M.-G.; Jo, S.-K.; Cho, W.-Y.; Kim, H.-K.; Won, N.; et al. A case of lupus-like glomerulonephritis in an HIV patient with nephrotic range proteinuria, purpura, and elevated IgA level. Int. J. Clin. Exp. Pathol. 2014, 7, 4467–4472. [Google Scholar]
- Wiegersma, J.; Franssen, C.; Diepstra, A. Nephrotic syndrome due to lupus-like glomerulonephritis in an HIV-positive patient. Neth. J. Med. 2017, 75, 412–414. [Google Scholar]
- Matignon, M.; Lidove, O.; Dupuis, E.; Walker, F.; Abgrall, S.; Papo, T. A lupus-like glomerulonephritis following acute HIV-1 seroconversion in an African woman. Nephrol. Dial. Transplant. 2005, 20, 438–440. [Google Scholar] [CrossRef]
- Chandran, S.; Jen, K.; Laszik, Z. Recurrent HIV-associated immune complex glomerulonephritis with lupus-like features after kidney transplantation. Am. J. Kidney Dis. 2013, 62, 335–338. [Google Scholar] [CrossRef] [PubMed]
- Malakasioti, G.; Iancu, D.; Tullus, K. Calcineurin inhibitors in nephrotic syndrome secondary to podocyte gene mutations: A systematic review. Pediatr. Nephrol. 2021, 36, 1353–1364. [Google Scholar] [CrossRef] [PubMed]
- Chen, D.; Jefferson, B.; Harvey, S.; Zheng, K.; Gartley, C.; Jacobs, R.; Thorner, P. Cyclosporine A slows the progressive renal disease of Alport syndrome (X-linked hereditary nephritis): Results from a canine model. J. Am. Soc. Nephrol. 2003, 14, 690–698. [Google Scholar] [CrossRef] [PubMed]
- Zietse, R.; Wenting, G.; Kramer, P.; Schalekamp, M.; Weimar, W. Effects of cyclosporin A on glomerular barrier function in the nephrotic syndrome. Clin. Sci. 1992, 82, 641–650. [Google Scholar] [CrossRef] [PubMed]
- Faul, C.; Donnelly, M.; Merscher-Gomez, S.; Chang, Y.; Franz, S.; Delfgaauw, J.; Chang, J.; Choi, H.; Campbell, K.; Kim, K.; et al. The actin cytoskeleton of kidney podocytes is a direct target of the antiproteinuric effect of cyclosporine A. Nat. Med. 2008, 14, 931–938. [Google Scholar] [CrossRef]
- Huber, T.; Kwoh, C.; Wu, H.; Asanuma, K.; Gödel, M.; Hartleben, B.; Blumer, K.; Miner, J.; Mundel, P.; Shaw, A. Bigenic mouse models of focal segmental glomerulosclerosis involving pairwise interaction of CD2AP, Fyn, and synaptopodin. J. Clin. Investig. 2006, 116, 1337–1345. [Google Scholar] [CrossRef]




| Diagnosis | |
|---|---|
| Podocytopathy | Classic HIVAN |
| FSGS (NOS) in the setting of HIV | |
| Minimal change disease in the setting of HIV | |
| Other podocytopathy in the setting of HIV | |
| Immune-complex-mediated glomerular disease | IgA nephropathy |
Uncharacterized ICGN with no etiology other than HIV
| |
| Membranous nephropathy | |
| Cryoglobulinemic GN | |
| Fibrillary GN | |
| Proliferative GN with monoclonal Ig deposits | |
| Tubulointerstitial-dominant | Tenofovir nephrotoxicity |
| Acute tubular injury | |
| Tubulointerstitial nephritis | |
| Chronic tubulointerstitial nephropathy NOS | |
| Acute tubular injury and/or tubulointerstitial nephritis | |
| IgG4-related disease | |
| Vascular-dominant | Thrombotic microangiopathy |
| Infarction | |
| Necrotizing arteritis | |
| At Presentation | 12 Months after Treatment | Normal Range | |
|---|---|---|---|
| Serum | |||
| Haemoglobin (g/L) | 9.7 | 12.6 | 12–16 |
| Leucocytes (×109/L) | 4.2 | 9.1 | 4.0–9.0 |
| Thrombocytes (×109/L) | 168 | 289 | 120–360 |
| Albumin (g/L) | 2.9 | 4.2 | 3.5–5.0 |
| CRP (mg/L) | 0.94 | 1.3 | <5 |
| Creatinine (μmol/L) | 99.1 | 150 | 45–83 |
| eGFR (ml/min/1.73 m2) | 70 | 58 | >90 |
| Triglycerides (mmol/L) | 8.09 | 7.80 | <1.7 |
| Cholesterol (mmol/L) | 12 | 9.8 | <10 |
| Ferritin (μg/L) | 1.13 | 0.9 | 0.01–0.3 |
| ANA | Negative | Negative | <1:80 |
| Anti-dsDNA (IU/mL) | Negative | Negative | <7 |
| ANCA | Negative | Negative | <20 |
| Complement C3 (g/L) | 69 | 111 | 90–180 |
| Complement C4 (g/L) | 24 | 22 | 10–40 |
| CD4+ lymphocyte count (cell/mm3) | 66 | 110 | >470 |
| HIV RNA (copies ×107/mL) | 3050 | 157 | <50 |
| Urine | |||
| RBC | 25–30 | 1–3 | 0–2 |
| WBC | 0–2 | 2–4 | 0–2 |
| Protein (g/24 h) | 6.5 | 2.2 | <0.3 |
| First Author, Year | Country | Type of Study | Number of Patients | Results |
|---|---|---|---|---|
| Nochy D., 1993 | France | Retrospective | 60 | HIVAN: 26, ICGN: 22; Lupus-like nephrits: 10, IgA: 4, TMA: 2, Interstitial-dominant lesions: 10 |
| D’Agati V., 1998 | United States | Retrospective | 136 | Lupus-like nephritis: 4, Other: 132 |
| Casanova S., 1999 | Italy | Retrospective | 26 | HIVAN: 0, Lupus-like nephritis: 3, IgAN: 4, Membranous nephropathy: 4, MCD: 2, Mesangial proliferative: 10, Crescentic GN: 1 |
| Praditronsilpa K., 1999 | Thailand | Retrospective | 26 | HIVAN: 0, Lupus-like nephritis: 0, Mesangial proliferative: 17, Membranous nephropathy: 2, Interstitial-dominant lesions: 2, IgAN: 2, Postinfectious GN: 3 |
| Haas M., 2005 | United States | Retrospective | 77 | HIVAN: 31, ICGN: 26, Lupus-like nephritis: 14, TMA: 1, Interstitial-dominant lesions: 4, Other: 15 |
| Berliner AR., 2008 | United States | Retrospective | 152 | HIVAN: 53, FSGS non-collapsing: 34, Interstitial-dominant lesions: 12, Postinfectious GN: 7, Lupus-like nephritis: 3, Other: 43 |
| Nebuloni M., 2009 | Italy | Retrospective | 73 | HIVAN: 9, ICGN: 40, Lupus-like nephritis: 5, IgAN: 4, Membranous nephropathy: 4, Other: 24 |
| Foy M., 2013 | United States | Retrospective | 267 | HIVAN: 56, ICGN: 83, Lupus-like nephritis: 11, IgAN: 8, Other: 122 |
| Booth JW., 2016 | United Kingdom | Retrospective | 265 | HIVAN: 70, ICGN: 92, Lupus-like nephritis: 10, IgAN: 27, Other: 103 |
| Kudose S., 2020 | United States | Retrospective | 437 | HIVAN: 119, ICGN: 75, Lupus-like nephritis: 9, Interstitial-dominant lesions: 113, TMA: 8, Other: 122 |
Disclaimer/Publisher’s Note: The statements, opinions and data contained in all publications are solely those of the individual author(s) and contributor(s) and not of MDPI and/or the editor(s). MDPI and/or the editor(s) disclaim responsibility for any injury to people or property resulting from any ideas, methods, instructions or products referred to in the content. |
© 2023 by the authors. Licensee MDPI, Basel, Switzerland. This article is an open access article distributed under the terms and conditions of the Creative Commons Attribution (CC BY) license (https://creativecommons.org/licenses/by/4.0/).
Share and Cite
Kofotolios, I.; Tsiakas, S.; Skalioti, C.; Kapsia, E.; Liapis, G.; Marinaki, S. Treatment of HIV-Associated Lupus-like Membranous Nephropathy with Tacrolimus: A Case Report and Review of the Literature. Life 2023, 13, 641. https://doi.org/10.3390/life13030641
Kofotolios I, Tsiakas S, Skalioti C, Kapsia E, Liapis G, Marinaki S. Treatment of HIV-Associated Lupus-like Membranous Nephropathy with Tacrolimus: A Case Report and Review of the Literature. Life. 2023; 13(3):641. https://doi.org/10.3390/life13030641
Chicago/Turabian StyleKofotolios, Ioannis, Stathis Tsiakas, Chrysanthi Skalioti, Eleni Kapsia, George Liapis, and Smaragdi Marinaki. 2023. "Treatment of HIV-Associated Lupus-like Membranous Nephropathy with Tacrolimus: A Case Report and Review of the Literature" Life 13, no. 3: 641. https://doi.org/10.3390/life13030641
APA StyleKofotolios, I., Tsiakas, S., Skalioti, C., Kapsia, E., Liapis, G., & Marinaki, S. (2023). Treatment of HIV-Associated Lupus-like Membranous Nephropathy with Tacrolimus: A Case Report and Review of the Literature. Life, 13(3), 641. https://doi.org/10.3390/life13030641

