Correlation between Bone Mineral Density and Progression of Hip Osteoarthritis in Adult Men and Women in Bulgaria—Results from a 7-Year Study
Abstract
1. Introduction
2. Methods and Materials
2.1. Patients
Inclusion and Exclusion Criteria
2.2. Study Design
Blinding
2.3. Physical Examination
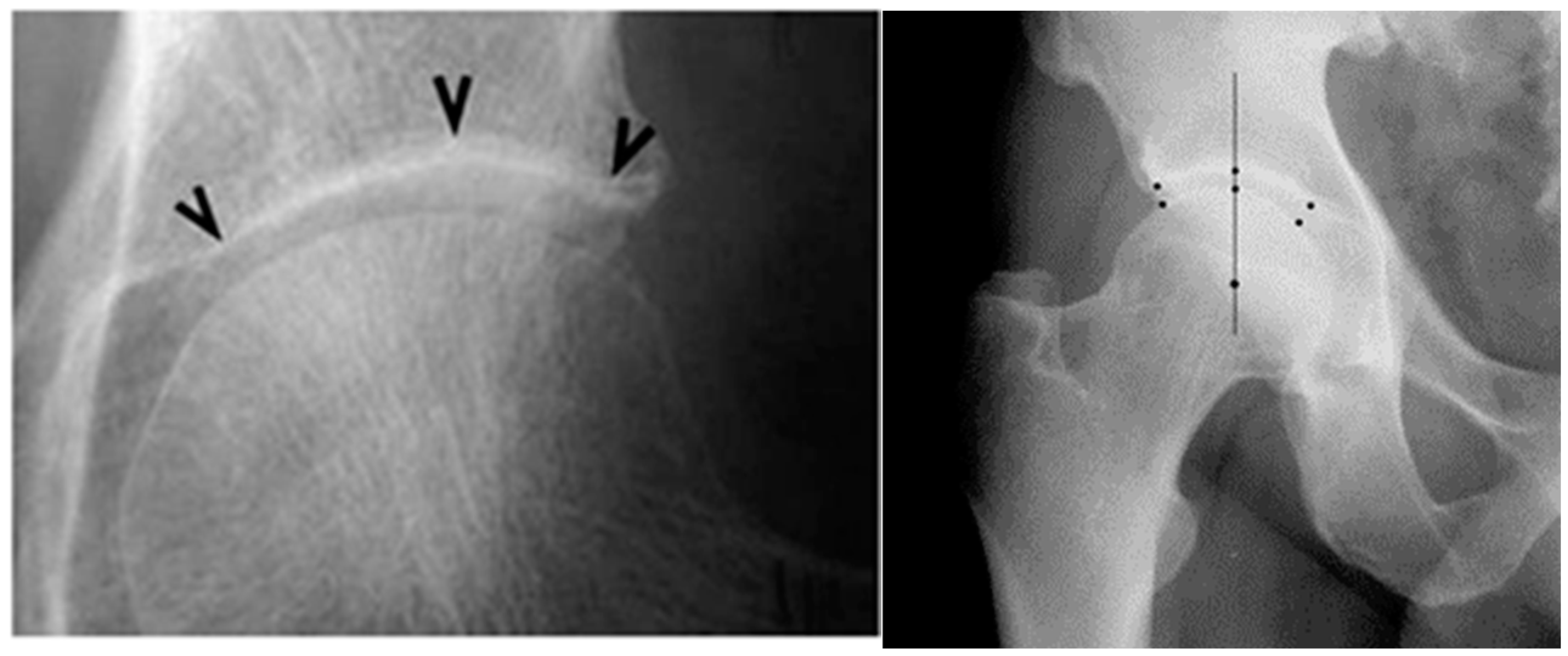
2.4. Radiological Examinations
2.5. Biochemical Analyses
- ○
- 25-hydroxy vitamin D (25-OH-D)—chemiluminescent immunoenzymatic assay (CLIA (reference range 20–120 ng/mL)) [31]
- ○
- β-beta-isomerized carboxy-terminal cross-linking telopeptide of type I collagen (CTX-I, in our country - β-Cross Laps), a product of the break-down of collagen type I by the osteoclasts, with the former comprising 90% of the organic bone matrix, a marker of bone degradation [31], CLIA methodology (reference range: men (>60 years old) <0.7 ng/mL; women >60 years old (postmenopausal) <0.9 ng/mL).
- ○
2.6. Follow-Up
2.7. Statistical Analyses
3. Results
3.1. Results from the Cross-Sectional Study
3.2. Results from the Longitudinal Study
3.3. Within Group Comparisons
3.4. Between Group (SC vs. SG) Comparisons
4. Discussion
Author Contributions
Funding
Institutional Review Board Statement
Informed Consent Statement
Data Availability Statement
Conflicts of Interest
References
- Burr, D.B.; Gallant, M.A. Bone remodeling in osteoarthritis. Nat. Rev. Rheumatol. 2012, 8, 665–673. [Google Scholar] [CrossRef]
- Goldring, S.R.; Goldring, M.B. Changes in the osteochondral unit during osteoarthritis: Structure, function and cartilage-bone crosstalk. Nat. Rev. Rheumatol. 2016, 12, 632–644. [Google Scholar] [CrossRef]
- Donell, S. Subchondral bone remodeling in osteoarthritis. EFORT Open Rev. 2019, 4, 221–229. [Google Scholar] [CrossRef]
- Hu, Y.; Chen, X.; Wang, S.; Jing, Y.; Su, J. Subchondral bone microenvironment in osteoarthritis and pain. Bone Res. 2021, 9, 20. [Google Scholar] [CrossRef]
- Kuttapitiya, A.; Assi, L.; Laing, K.; Hing, C.; Mitchell, P.; Whitley, G.; Harrison, A.; Howe, F.A.; Ejindu, V.; Heron, C.; et al. Microarray analysis of bone marrow lesions in osteoarthritis demonstrates upregulation of genes implicated in osteochondral turnover, neurogenesis and inflammation. Ann. Rheum. Dis. 2017, 76, 1764–1773. [Google Scholar] [CrossRef]
- Hunter, D.J.; Bierma-Zeinstra, S. Osteoarthritis. Lancet 2019, 393, 1745–1759. [Google Scholar] [CrossRef] [PubMed]
- van den Bosch, M.H.J. Osteoarthritis year in review 2020: Biology. Osteoarthr. Cartil. 2021, 29, 143–150. [Google Scholar] [CrossRef] [PubMed]
- Coaccioli, S.; Sarzi-Puttini, P.; Zis, P.; Rinonapoli, G.; Varrassi, G. Osteoarthritis: New Insight on Its Pathophysiology. J. Clin. Med. 2022, 11, 6013. [Google Scholar] [CrossRef] [PubMed]
- Betancourt, M.C.; Linden, J.C.; Rivadeneira, F.; Rozendaal, R.M.; Bierma Zeinstra, S.M.; Weinans, H.; Waarsing, J.H. Dual energy x-ray absorptiometry analysis contributes to the prediction of hip osteoarthritis progression. Arthritis Res. Ther. 2009, 11, R162. [Google Scholar] [CrossRef] [PubMed]
- Castaño-Betancourt, M.C.; Rivadeneira, F.; Bierma-Zeinstra, S.; Kerkhof, H.J.; Hofman, A.; Uitterlinden, A.G.; van Meurs, J.B. Bone parameters across different types of hip osteoarthritis and their relationship to osteoporotic fracture risk. Arthritis Rheum. 2013, 65, 693–700. [Google Scholar] [CrossRef]
- Cooper, C.; Cook, P.L.; Osmond, C.; Fisher, L.; Cawley, M.I. Osteoarthritis of the hip and osteoporosis of the proximal femur. Ann. Rheum. Dis. 1991, 50, 540–542. [Google Scholar] [CrossRef] [PubMed]
- Goker, B.; Sumner, D.R.; Hurwitz, D.E.; Block, J.A. Bone mineral density varies as a function of the rate of joint space narrowing in the hip. J. Rheumatol. 2000, 27, 735–738. [Google Scholar] [PubMed]
- Antoniades, L.; MacGregor, A.J.; Matson, M.; Spector, T.D. A cotwin control study of the relationship between hip osteoarthritis and bone mineral density. Arthritis Rheum. 2000, 43, 1450–1455. [Google Scholar] [CrossRef]
- Hochberg, M.C.; Lethbridge-Cejku, M.; Tobin, J.D. Bone mineral density and osteoarthritis: Data from the Baltimore Longitudinal Study of Aging. Osteoarthr. Cartil. 2004, 12 (Suppl. A), S45–S48. [Google Scholar] [CrossRef] [PubMed]
- Nevitt, M.C.; Lane, N.E.; Scott, J.C.; Hochberg, M.C.; Pressman, A.R.; Genant, H.K.; Cummings, S.R. Radiographic osteoarthritis of the hip and bone mineral density. The Study of Osteoporotic Fractures Research Group. Arthritis Rheum. 1995, 38, 907–916. [Google Scholar] [CrossRef]
- Javaid, M.K.; Lane, N.E.; Mackey, D.C.; Lui, L.Y.; Arden, N.K.; Beck, T.J.; Hochberg, M.C.; Nevitt, M.C. Changes in proximal femoral mineral geometry precede the onset of radiographic hip osteoarthritis: The study of osteoporotic fractures. Arthritis Rheum. 2009, 60, 2028–2036. [Google Scholar] [CrossRef]
- Chaganti, R.K.; Parimi, N.; Lang, T.; Orwoll, E.; Stefanick, M.L.; Nevitt, M.; Lane, N.E.; Osteoporotic Fractures in Men (MrOS) Study Group. Bone Mineral Density and Prevalent Osteoarthritis of the Hip in Older Men for the Osteoporotic Fractures in Men (MrOS) Study Group. Osteoporos Int. 2010, 21, 1307–1316. [Google Scholar] [CrossRef]
- Bergink, A.P.; Rivadeneira, F.; Bierma-Zeinstra, S.M.; Zillikens, M.C.; Ikram, M.A.; Uitterlinden, A.G.; van Meurs, J.B. Are Bone Mineral Density and Fractures Related to the Incidence and Progression of Radiographic Osteoarthritis of the Knee, Hip, and Hand in Elderly Men and Women? The Rotterdam Study. Arthritis Rheumatol. 2019, 71, 361–369. [Google Scholar] [CrossRef]
- Mäkinen, T.J.; Alm, J.J.; Laine, H.; Svedström, E.; Aro, H.T. The incidence of osteopenia and osteoporosis in women with hip osteoarthritis scheduled for cementless total joint replacement. Bone 2007, 40, 1041–1047. [Google Scholar] [CrossRef]
- Lingard, E.A.; Mitchell, S.Y.; Francis, R.M.; Rawlings, D.; Peaston, R.; Birrell, F.N.; McCaskie, A.W. The prevalence of osteoporosis in patients with severe hip and knee osteoarthritis awaiting joint arthroplasty. Age Ageing 2010, 39, 234–239. [Google Scholar] [CrossRef]
- Sandini, L.; Arokoski, J.P.; Jurvelin, J.S.; Kröger, H. Increased bone mineral content but not bone mineral density in the hip in surgically treated knee and hip osteoarthritis. J. Rheumatol. 2005, 32, 1951–1957. [Google Scholar] [PubMed]
- Stamenkovic, B.N.; Rancic, N.K.; Bojanovic, M.R.; Stojanovic, S.K.; Zivkovic, V.G.; Djordjevic, D.B.; Stankovic, A.M. Is Osteoarthritis Always Associated with Low Bone Mineral Density in Elderly Patients? Medicina 2022, 58, 1207. [Google Scholar] [CrossRef] [PubMed]
- Ledingham, J.; Dawson, S.; Preston, B.; Milligan, G.; Doherty, M. Radiographic patterns and associations of osteoarthritis of the hip. Ann. Rheum. Dis. 1992, 51, 1111–1116. [Google Scholar] [CrossRef] [PubMed]
- Conrozier, T.; Merle-Vincent, F.; Mathieu, P.; Richard, M.; Favret, H.; Piperno, M.; Caton, J.; Vignon, E. Epidemiological, clinical, biological and radiological differences between atrophic and hypertrophic patterns of hip osteoarthritis: A case-control study. Clin. Exp. Rheumatol. 2004, 22, 403–408. [Google Scholar] [PubMed]
- Schnitzler, C.M.; Mesquita, J.M.; Wane, L. Bone histomorphometry of the iliac crest, and spinal fracture prevalence in atrophic and hypertrophic osteoarthritis of the hip. Osteoporos Int. 1992, 2, 186–194. [Google Scholar] [CrossRef] [PubMed]
- Bierma-Zeinstra, S.M.; Koes, B.W. Risk factors and prognostic factors of hip and knee osteoarthritis. Nat. Clin. Pract. Rheumatol. 2007, 3, 78–85. [Google Scholar] [CrossRef]
- Teirlinck, C.H.; Dorleijn, D.M.J.; Bos, P.K.; Rijkels-Otters, J.B.M.; Bierma-Zeinstra, S.M.A.; Luijsterburg, P.A.J. Prognostic factors for progression of osteoarthritis of the hip: A systematic review. Arthritis Res. Ther. 2019, 21, 192. [Google Scholar] [CrossRef]
- Saberi Hosnijeh, F.; Zuiderwijk, M.E.; Versteeg, M.; Smeele, H.T.; Hofman, A.; Uitterlinden, A.G.; Agricola, R.; Oei, E.H.; Waarsing, J.H.; Bierma-Zeinstra, S.M.; et al. Cam Deformity and Acetabular Dysplasia as Risk Factors for Hip Osteoarthritis. Arthritis Rheumatol. 2017, 69, 86–93. [Google Scholar] [CrossRef]
- Altman, R.D.; Bloch, D.A.; Dougados, M.; Hochberg, M.; Lohmander, S.; Pavelka, K.; Spector, T.; Vignon, E. Measurement of structural progression in osteoarthritis of the hip: The Barcelona consensus group. Osteoarthr. Cartil. 2004, 12, 515–524. [Google Scholar] [CrossRef]
- Shepherd, J.A.; Schousboe, J.T.; Broy, S.B.; Engelke, K.; Leslie, W.D. Executive Summary of the 2015 ISCD Position Development Conference on Advanced Measures From DXA and QCT: Fracture Prediction Beyond BMD. J. Clin. Densitom. 2015, 18, 274–286. [Google Scholar] [CrossRef]
- Vasikaran, S.; Cooper, C.; Eastell, R.; Griesmacher, A.; Morris, H.A.; Trenti, T.; Kanis, J.A. International Osteoporosis Foundation and International Federation of Clinical Chemistry and Laboratory Medicine position on bone marker standards in osteoporosis. Clin. Chem. Lab. Med. 2011, 49, 1271–1274. [Google Scholar] [CrossRef] [PubMed]
- van Spil, W.E.; De Groot, J.; Lems, W.F.; Oostveen, J.C.; Lafeber, F.P. Serum and urinary biochemical markers for knee and hip-osteoarthritis: A systematic review applying the consensus BIPED criteria. Osteoarthr. Cartil. 2010, 18, 605–612. [Google Scholar] [CrossRef]
- Chmielewski, T.L.; Trumble, T.; Joseph, A.M.; Shuster, J.; Indelicato, P.A.; Moser, M.W.; Cicuttini, F.M.; Leeuwenburgh, C. Urinary CTXII concentrations are elevated and associated with knee pain and function in subjects with ACL reconstruction. Osteoarthr. Cartil. 2012, 20, 1294–1301. [Google Scholar] [CrossRef] [PubMed]
- Bay-Jensen, A.C.; Reker, D.; Kjelgaard-Petersen, C.F.; Mobasheri, A.; Karsdal, M.A.; Ladel, C.; Henrotin, Y.; Thudium, C.S. Osteoarthritis year in review 2015: Soluble biomarkers and the BIPED criteria. Osteoarthr. Cartil. 2016, 24, 9–20. [Google Scholar] [CrossRef] [PubMed]
- Eastell, R.; Pigott, T.; Gossiel, F.; Naylor, K.E.; Walsh, J.S.; Peel, N.F.A. DIAGNOSIS OF ENDOCRINE DISEASE: Bone turnover markers: Are they clinically useful? Eur. J. Endocrinol. 2018, 178, R19–R31. [Google Scholar] [CrossRef]
- Hao, H.Q.; Zhang, J.F.; He, Q.Q.; Wang, Z. Cartilage oligomeric matrix protein, C-terminal cross-linking telopeptide of type II collagen, and matrix metalloproteinase-3 as biomarkers for knee and hip osteoarthritis (OA) diagnosis: A systematic review and meta-analysis. Osteoarthr. Cartil. 2019, 27, 726–736. [Google Scholar] [CrossRef]
- Garnero, P.; Sornay-Rendu, E.; Chapurlat, R. The cartilage degradation marker, urinary CTX-II, is associated with the risk of incident total joint replacement in postmenopausal women. A 18 year evaluation of the OFELY prospective cohort. Osteoarthr. Cartil. 2020, 28, 468–474. [Google Scholar] [CrossRef] [PubMed]
- Lane, N.E.; Gore, L.R.; Cummings, S.R.; Hochberg, M.C.; Scott, J.C.; Williams, E.N.; Nevitt, M.C. Serum vitamin D levels and incident changes of radiographic hip osteoarthritis: A longitudinal study. Study of Osteoporotic Fractures Research Group. Arthritis Rheum. 1999, 42, 854–860. [Google Scholar] [CrossRef]
- Karsdal, M.A.; Bay-Jensen, A.C.; Lories, R.J.; Abramson, S.; Spector, T.; Pastoureau, P.; Christiansen, C.; Attur, M.; Henriksen, K.; Goldring, S.R.; et al. The coupling of bone and cartilage turnover in osteoarthritis: Opportunities for bone antiresorptives and anabolics as potential treatments? Ann. Rheum. Dis. 2014, 73, 336–348. [Google Scholar] [CrossRef]
- Altman, R.; Alarcón, G.; Appelrouth, D.; Bloch, D.; Borenstein, D.; Brandt, K.; Brown, C.; Cooke, T.D.; Daniel, W.; Feldman, D.; et al. The American College of Rheumatology criteria for the classification and reporting of osteoarthritis of the hip. Arthritis Rheum. 1991, 34, 505–514. [Google Scholar] [CrossRef]
- Hawker, G.A.; Mian, S.; Kendzerska, T.; French, M. Measures of adult pain: Visual Analog Scale for Pain (VAS Pain), Numeric Rating Scale for Pain (NRS Pain), McGill Pain Questionnaire (MPQ), Short-Form McGill Pain Questionnaire (SF-MPQ), Chronic Pain Grade Scale (CPGS), Short Form-36 Bodily Pain Scale (SF-36 BPS), and Measure of Intermittent and Constant Osteoarthritis Pain (ICOAP). Arthritis. Care Res. 2011, 63, S240–S252. [Google Scholar] [CrossRef]
- Bellamy, N.; Buchanan, W.W.; Goldsmith, C.H.; Campbell, J.; Stitt, L.W. Validation study of WOMAC: A health status instrument for measuring clinically important patient relevant outcomes to antirheumatic drug therapy in patients with osteoarthritis of the hip or knee. J. Rheumatol. 1988, 15, 1833–1840. [Google Scholar] [PubMed]
- Kellgren, J.H.; Lawrence, J.S. Radiological assessment of osteo-arthrosis. Ann. Rheum. Dis. 1957, 16, 494–502. [Google Scholar] [CrossRef]
- Wittes, J. Sample size calculations for randomized controlled trials. Epidemiol. Rev. 2002, 24, 39–53. [Google Scholar] [CrossRef]
- Berger, V.W.; Bour, L.J.; Carter, K.; Chipman, J.J.; Everett, C.C.; Heussen, N.; Hewitt, C.; Hilgers, R.D.; Luo, Y.A.; Renteria, J.; et al. A roadmap to using randomization in clinical trials. BMC Med. Res. Methodol. 2021, 21, 168. [Google Scholar] [CrossRef]
- Patrick, D.L.; Deyo, R.A. Generic and disease-specific measures in assessing health status and quality of life. Med. Care 1989, 27 (Suppl. 3), S217–S232. [Google Scholar] [CrossRef] [PubMed]
- Pham, T.; van der Heijde, D.; Altman, R.D.; Anderson, J.J.; Bellamy, N.; Hochberg, M.; Simon, L.; Strand, V.; Woodworth, T.; Dougados, M. OMERACT-OARSI initiative: Osteoarthritis Research Society International set of responder criteria for osteoarthritis clinical trials revisited. Osteoarthr. Cartil. 2004, 12, 389–399. [Google Scholar] [CrossRef] [PubMed]
- Tubach, F.; Ravaud, P.; Baron, G.; Falissard, B.; Logeart, I.; Bellamy, N.; Bombardier, C.; Felson, D.; Hochberg, M.; van der Heijde, D.; et al. Evaluation of clinically relevant changes in patient reported outcomes in knee and hip osteoarthritis: The minimal clinically important improvement. Ann. Rheum. Dis. 2005, 64, 29–33. [Google Scholar] [CrossRef]
- Ammarullah, M.I.; Santoso, G.; Sugiharto, S.; Supriyono, T.; Wibowo, D.B.; Kurdi, O.; Tauviqirrahman, M.; Jamari, J. Minimizing Risk of Failure from Ceramic-on-Ceramic Total Hip Prosthesis by Selecting Ceramic Materials Based on Tresca Stress. Sustainability 2022, 14, 13413. [Google Scholar] [CrossRef]
- Ammarullah, M.I.; Afif, I.Y.; Maula, M.I.; Winarni, T.I.; Tauviqirrahman, M.; Akbar, I.; Basri, H.; van der Heide, E.; Jamari, J. Tresca Stress Simulation of Metal-on-Metal Total Hip Arthroplasty during Normal Walking Activity. Materials 2021, 14, 7554. [Google Scholar] [CrossRef]
- Xing, R.L.; Zhao, L.R.; Wang, P.M. Bisphosphonates therapy for osteoarthritis: A meta-analysis of randomized controlled trials. SpringerPlus 2016, 5, 1704. [Google Scholar] [CrossRef] [PubMed]
- Nishii, T.; Tamura, S.; Shiomi, T.; Yoshikawa, H.; Sugano, N. Alendronate treatment for hip osteoarthritis: Prospective randomized 2-year trial. Clin. Rheumatol. 2013, 32, 1759–1766. [Google Scholar] [CrossRef] [PubMed]
- Liu, Y.; Xu, J.W.; Li, M.Y.; Wu, L.M.; Zeng, Y.; Shen, B. Zoledronic Acid for Periprosthetic Bone Mineral Density Changes in Patients with Osteoporosis after Hip Arthroplasty—An Updated Meta-Analysis of Six Randomized Controlled Trials. Front. Med. 2021, 8, 801282. [Google Scholar] [CrossRef] [PubMed]
- Vaysbrot, E.E.; Osani, M.C.; Musetti, M.C.; McAlindon, T.E.; Bannuru, R.R. Are bisphosphonates efficacious in knee osteoarthritis? A meta-analysis of randomized controlled trials. Osteoarthr. Cartil. 2018, 26, 154–164. [Google Scholar] [CrossRef] [PubMed]








| Participants: | Methodology: | Analyses: |
|---|---|---|
| 300 patients: 150 grade II K/L 150 grade III K/L Two groups: control (150 patients)/study (150 patients) Control group: 75 patients K/L-II 25—‘A’-models (♀/♂ = 15/10) 25—‘I’-models (♀/♂ = 15/10) 25—‘H’-models (♀/♂ = 15/10) 75 patients K/L-III 25—‘A’-models (♀/♂ = 15/10) 25—‘I’-models (♀/♂ = 15/10) 25—‘H’-models (♀/♂ = 15/10) Study group: 75 patients K/L-II 25—‘A’-models (♀/♂ = 15/10) 25—‘I’-models (♀/♂ = 15/10) 25—‘H’-models (♀/♂ = 15/10) 75 patients K/L-III 25—‘A’-models (♀/♂ = 15/10) 25—‘I’-models (♀/♂ = 15/10) 25—‘H’-models (♀/♂ = 15/10) | Clinical assessment (every 6 months):
|
|
| Parameter # | ‘H’ Models | ‘I’ Models | ‘A’ Models | p * |
|---|---|---|---|---|
| Median ± IQR | Median (IQR) | Median (IQR) | Median (IQR) | CG vs. SG |
| Age K/L-II | 0.997 | |||
| Control group (SC) | 65 (64–67) | 64 (63–66) | 62 (61–63) | |
| Treatment group (SG) | 65 (64–67) | 64 (63–66) | 62 (61–63) | |
| Age K/L-III | ||||
| Control group | 66 (64–68) | 65 (63–68) | 63 (62–64) | |
| Treatment group | 66 (63–69) | 65 (64–68) | 63 (61–65) | |
| BMI K/L-II | 0.995 | |||
| Control group | 25.5 (24–27) | 24.5 (23.5–26.5) | 24.0 (23.0–25.0) | |
| Treatment group | 25.7 (23.7–27.7) | 25.0 (23.0–27.0) | 23.5 (22.5–25.0) | |
| BMI K/L-III | ||||
| Control group | 26.5 (25.0–27.0) | 26.0 (25.0–27.0) | 24.5 (23.5–25.5) | |
| Treatment group | 26.8 (25.0–27.8) | 25.5 (24.5–26.5) | 25.0 (24.0–26.0) | |
| Gender K/L-II | 1.000 | |||
| Control group | ♀-15/♂-10 | ♀-15/♂-10 | ♀-15/♂-10 | |
| Treatment group | ♀-15/♂-10 | ♀-15/♂-10 | ♀-15/♂-10 | |
| Gender K/L-III | ||||
| Control group | ♀-15/♂-10 | ♀-15/♂-10 | ♀-15/♂-10 | |
| Treatment group | ♀-15/♂-10 | ♀-15/♂-10 | ♀-15/♂-10 | |
| WP (VAS mm.) K/L-II | 0.993 | |||
| Control group | 41 (40–42) | 43 (42–44) | 45 (42–48) | |
| Treatment group | 41 (39–42) | 43 (41–45) | 45 (43–47) | |
| WP (VAS mm.) K/L-III | ||||
| Control group | 48 (46–50) | 50.5 (48.5–52.5) | 53 (51–55) | |
| Treatment group | 48 (45–51) | 51 (49–53) | 54(53–55) | |
| F (WOMAC-C) K/L-II | 0.951 | |||
| Control group | 31.5 (30–33) | 34.5 (33–36) | 36.5 (35–38) | |
| Treatment group | 32 (30–34) | 35 (34–36) | 37 (36–38) | |
| F (WOMAC-C) K/L-III | ||||
| Control group | 37.5 (36–39) | 40.5 (39–42) | 42.5 (41–44) | |
| Treatment group | 38 (36–40) | 41 (39–43) | 43 (41–45) | |
| 25-OH-D (ng/mL) K/L-II | 0.921 | |||
| Control group | 39.5 (33.5–45.5) | 36.0 (30.5–41.5) | 31.5 (27.5–33.5) | |
| Treatment group | 39.0 (33.0–45.0) | 35.6 (30.6–40.6) | 31.0 (27.5–33.0) | |
| 25-OH-D (ng/mL) K/L-III | ||||
| Control group | 35.8 (31.8–39.8) | 32.4 (29.4–35.4) | 27.5 (25.5–29.5) | |
| Treatment group | 35.5 (31.5–39.5) | 32.0 (29.0–35.0) | 27.0 (25.5–29.5) | |
| s-CTX-I (ng/mL) K/L-II | 0.913 | |||
| Control group | 520 (460–600) | 590 (510–670) | 650 (600–700) | |
| Treatment group | 525 (465–600) | 594 (514–680) | 655 (610–700) | |
| s-CTX-I (ng/mL) K/L-III | ||||
| Control group | 560 (500–620) | 645 (600–700) | 715 (650–780) | |
| Treatment group | 564 (510–620) | 654 (604–700) | 720 (660–790) | |
| u-CTX-II (ng/mmol Cr) K/L-II | 0.912 | |||
| Control group | 346 (300–390) | 378 (330–415) | 456 (416–496) | |
| Treatment group | 354 (304–394) | 382 (334–420) | 464 (420–500) | |
| u-CTX-II (ng/mmol Cr) K/L-III | ||||
| Control group | 378 (318–438) | 418 (350–478) | 476 (426–526) | |
| Treatment group | 384 (324–442) | 423 (353–483) | 484 (430–530) | |
| mJSW (mm.) K/L-II | 0.956 | |||
| Control group | 4.5 (4.4–4.6) | 4.4 (4.0–4.8) | 4.3 (4.0–4.6) | |
| Treatment group | 4.5 (4.3–4.7) | 4.4 (4.1–4.7) | 4.3 (4.1–4.5) | |
| mJSW (mm.) K/L-III | ||||
| Control group | 3.7 (3.6–3.8) | 3.5 (3.4–3.6) | 3.3 (3.1–3.5) | |
| Treatment group | 3.7 (3.5–3.9) | 3.5 (3.3–3.7) | 3.3 (3.0–3.6) | |
| AP spine L1–L4 BMD (g/cm2) K/L-II | 0.948 | |||
| Control group | 1.3 (1.0–1.5) | 1.1 (0.9–1.3) | 0.8 (0.7–0.9) | |
| Treatment group | 1.3 (1.1–1.5) | 1.1 (0.8–1.3) | 0.8 (0.6–0.9) | |
| AP spine L1–L4 BMD (g/cm2) K/L-III | ||||
| Control group | 1.0 (0.8–1.2) | 0.8 (0.5–1.1) | 0.6 (0.5–0.7) | |
| Treatment group | 1.0 (0.9–1.1) | 0.8 (0.6–1.0) | 0.6 (0.53–0.67) | |
| Total hip BMD (g/cm2) K/L-II | 0.947 | |||
| Control group | 0.8 (0.6–1.0) | 0.6 (0.5–0.7) | 0.45 (0.39–0.51) | |
| Treatment group | 0.8 (0.7–0.9) | 0.6 (0.5–0.65) | 0.45 (0.38–0.51) | |
| Total hip BMD (g/cm2) K/L-III | ||||
| Control group | 0.7 (0.63–0.8) | 0.5 (0.43–0.60) | 0.35 (0.32–0.38) | |
| Treatment group | 0.7 (0.61–0.8) | 0.5 (0.41–0.61) | 0.35 (0.33–0.37) | |
| Femoral neck BMD (g/cm2) K/L-II | 0.946 | |||
| Control group | 0.9 (0.8–1.0) | 0.7 (0.6–0.8) | 0.5 (0.4–0.6) | |
| Treatment group | 0.9 (0.7–1.1) | 0.7 (0.62–0.78) | 0.5 (0.43–0.57) | |
| Femoral neck BMD (g/cm2) K/L-III | ||||
| Control group | 0.8 (0.67–0.9) | 0.64 (0.6–0.68) | 0.4 (0.36–0.44) | |
| Treatment group | 0.8 (0.7–0.91) | 0.63 (0.6–0.67) | 0.42 (0.38–0.44) | |
| Total body BMD (g/cm2) K/L-II | 0.945 | |||
| Control group | 1.5 (1.3–1.7) | 1.4 (1.3–1.5) | 1.3 (1.2–1.4) | |
| Treatment group | 1.5 (1.4–1.6) | 1.4 (1.2–1.6) | 1.3 (1.1–1.5) | |
| Total body BMD (g/cm2) K/L-III | ||||
| Control group | 1.4 (1.3–1.5) | 1.3 (1.2–1.4) | 1.2 (1.1–1.3) | |
| Treatment group | 1.4 (1.2–1.6) | 1.3 (1.1–1.5) | 1.2 (1.0–1.4) |
| X-Ray Grade | ||||||||||||
|---|---|---|---|---|---|---|---|---|---|---|---|---|
| K/L-II | K/L-III | |||||||||||
| X-Ray Model | ‘H’ | ‘I’ | ‘A’ | ‘H’ | ‘I’ | ‘A’ | ||||||
| Groups # | SC | SG | SC | SG | SC | SG | SC | SG | SC | SG | SC | SG |
| WOMAC-C M0-Median (IQR) | 31 (30–32) | 32 (31–33) | 33 (33–35) | 34 (32–36) | 36 (35–37) | 36 (35–37) | 38 (37–39) | 38 (37–40) | 41 (40–42) | 41 (39–43) | 43 (42–44) | 43 (41–45) |
| p * ‘H’ vs. ‘A’ | p † < 0.001; p ‡ < 0.001 | p † < 0.001; p ‡ < 0.001 | ||||||||||
| p * ’H’ vs. ‘I’ | p † = 0.061; p ‡ = 0.063 | p † = 0.056; p ‡ = 0.059 | ||||||||||
| p * ’I’ vs. ‘A’ | p † = 0.051; p ‡ = 0.049 | p † = 0.054; p ‡ = 0.055 | ||||||||||
| WP-VAS M0-Median (IQR) | 41 (38–44) | 41 (39–43) | 43 (41–45) | 43 (41–45) | 45 (42–48) | 45 (41–49) | 48 (46–50) | 48 (47–49) | 50 (47–53) | 50 (46–54) | 52 (50–54) | 53 (50–56) |
| p * ‘H’ vs. ‘A’ | p † < 0.001; p ‡ < 0.001 | p † < 0.001; p ‡ < 0.001 | ||||||||||
| p * ’H’ vs. ‘I’ | p † = 0.051; p ‡ = 0.053 | p † = 0.046; p ‡ = 0.048 | ||||||||||
| p * ’I’ vs. ‘A’ | p † = 0.047; p ‡ = 0.049 | p † = 0.052; p ‡ = 0.054 | ||||||||||
| s-CTX-I M0- Median (IQR) | 520 (460–600) | 525 (465–600) | 590 (510–670) | 594 (514–680) | 650 (600–700) | 655 (610–700) | 560 (500–620) | 564 (510–620) | 645 (600–700) | 654 (604–700) | 715 (650–780) | 720 (660–790) |
| p * ‘H’ vs. ‘A’ | p † < 0.001; p ‡ < 0.001 | p † < 0.001; p ‡ < 0.001 | ||||||||||
| p * ’H’ vs. ‘I’ | p † = 0.56; p ‡ = 0.059 | p † = 0.051; p ‡ = 0.053 | ||||||||||
| p * ’I’ vs. ‘A’ | p † = 0.049; p ‡ = 0.051 | p † = 0.047; p ‡ = 0.049 | ||||||||||
| u-CTX-II M0-Median (IQR) | 346 (300–390) | 354 (304–394) | 378 (330–415) | 382 (334–420) | 456 (416–496) | 464 (420–500) | 378 (318–438) | 384 (324–442) | 418 (350–478) | 423 (353–483) | 476 (426–526) | 484 (430–530) |
| p * ‘H’ vs. ‘A’ | p † < 0.001; p ‡ < 0.001 | p † < 0.001; p ‡ < 0.001 | ||||||||||
| p * ’H’ vs. ‘I’ | p † = 0.061; p ‡ = 0.063 | p † = 0.056; p ‡ = 0.059 | ||||||||||
| p * ’I’ vs. ‘A’ | p † = 0.049; p ‡ = 0.053 | p † = 0.047; p ‡ = 0.049 | ||||||||||
| TH-BMD M0-Median (IQR) | 0.8 (0.6–1.0) | 0.8 (0.7–0.9) | 0.6 (0.5–0.7) | 0.6 (0.5–0.65) | 0.45 (0.39–0.51) | 0.45 (0.38–0.51) | 0.7 (0.63–0.80) | 0.7 (0.61–0.80) | 0.5 (0.43–0.60) | 0.5 (0.41–0.61) | 0.35 (0.32–0.38) | 0.35 (0.33–0.37) |
| p * ‘H’ vs. ‘A’ | p † < 0.001; p ‡ < 0.001 | p † < 0.001; p ‡ < 0.001 | ||||||||||
| p * ’H’ vs. ‘I’ | p † = 0.065; p ‡ = 0.069 | p † = 0.055; p ‡ = 0.059 | ||||||||||
| p * ’I’ vs. ‘A’ | p † = 0.055; p ‡ = 0.058 | p † = 0.049; p ‡ = 0.051 | ||||||||||
| mJSW M0-Median (IQR) | 4.5 (4.4–4.6) | 4.5 (4.3–4.7) | 4.4 (4.0–4.8) | 4.4 (4.1–4.7) | 4.3 (4.0–4.6) | 4.3 (4.1–4.5) | 3.7 (3.6–3.8) | 3.7 (3.5–3.9) | 3.5 (3.4–3.6) | 3.5 (3.3–3.7) | 3.3 (3.1–3.5) | 3.3 (3.0–3.6) |
| p * ‘H’ vs. ‘A’ | p † = 0.060; p ‡ = 0.061 | p † = 0.068; p ‡ = 0.069 | ||||||||||
| p * ’H’ vs. ‘I’ | p † = 0.171; p ‡ = 0.173 | p † = 0.163; p ‡ = 0.165 | ||||||||||
| p * ’I’ vs. ‘A’ | p † = 0.149; p ‡ = 0.152 | p † = 0.149; p ‡ = 0.153 | ||||||||||
| Month Group | M0 (Baseline) | M12 | M24 | M36 | M48 | M60 | M72 | M78 |
|---|---|---|---|---|---|---|---|---|
| CG | ||||||||
| K/L-II”H” | ||||||||
| WP-VAS | 41 (38–44) | 43 (41–45) | 48 (46–49) | 53 (51–54) | 59 (57–60) | 64 (62–65) | 69 (68–70) | Conversion to THR-M78 |
| WOMAC-C | 32 (31–33) | 34 (31–36) | 38 (37–39) | 43 (42–44) | 49 (48–50) | 55 (54–56) | 60 (59–61) | |
| s-CTH-I | 520 (460–600) | 525 (460–610) | 530 (470–610) | 540 (480–620) | 560 (500–640) | 600 (540–680) | 680 (620–740) | |
| u-CTX-II | 346 (300–390) | 348 (300–394) | 350 (305–395) | 355 (310–400) | 365 (320–420) | 385 (350–440) | 425 (395–475) | |
| TB-BMD | 1.5 (1.3–1.7) | 1.4 (1.3–1.5) | 1.3 (1.2–1.4) | 1.2 (1.1–1.3) | 1.1 (1.0–1.2) | 1.0 (0.9–1.1) | 0.9 (0.8–1.0) | |
| mJSW | 4.4 (3.9–4.9) | 3.9 (3.8–4.2) | 3.3 (3.2–3.6) | 2.6 (2.5–2.9) | 1.8 (1.8–2.1) | 1.1 (1.0–1.1) | 0.5 (0.4–0.6) | |
| K/L-II” I” | ||||||||
| WP-VAS | 43 (42–44) | 46 (45–48) | 51 (50–53) | 57 (56–58) | 62 (62–64) | 69 (68–71) | Conversion to THR-M66 | |
| WOMAC-C | 33 (33–35) | 36 (35–38) | 41 (41–43) | 47 (46–49) | 53 (52–55) | 59 (58–61) | ||
| s-CTH-I | 590 (510–670) | 600 (520–680) | 610 (530–690) | 630 (550–710) | 670 (590–750) | 750 (670–830) | ||
| u-CTX-II | 378 (330–415) | 382 (335–420) | 390 (340–430) | 400 (350–440) | 420 (370–460) | 440 (410–500) | ||
| TB-BMD | 1.4 (1.3–1.5) | 1.3 (1.2–1.4) | 1.2 (1.1–1.3) | 1.1 (1.0–1.2) | 1.0 (0.9–1.1) | 0.9 (0.8–1.0) | ||
| mJSW | 4.3 (4.0–4.6) | 3.8 (3.7–4.0) | 3.1 (3.1–3.4) | 2.4 (2.4–2.7) | 1.7 (1.6–1.9) | 0.8 (0.8–1.0) | ||
| K/L-II” A” | ||||||||
| WP-VAS | 45 (44–47) | 50 (49–52) | 55 (55–57) | 61 (60–63) | 68 (67–70) | Conversion to THR-M54 | ||
| WOMAC-C | 36 (35–37) | 40 (39–42) | 45 (45–47) | 51 (51–53) | 58 (57–60) | |||
| s-CTH-I | 650 (600–700) | 670 (620–720) | 710 (660–760) | 780 (720–840) | 940 (880–990) | |||
| u-CTX-II | 456 (416–496) | 460 (420–500) | 475 (435–520) | 505 (465–550) | 570 (530–610) | |||
| TB-BMD | 1.3 (1.2–1.4) | 1.2 (1.1–1.3) | 1.1 (1.0–1.2) | 1.0 (0.9–1.1) | 0.9 (0.8–1.0) | |||
| mJSW | 4.2 (3.8–4.6) | 3.6 (3.5–3.9) | 2.9 (2.9–3.2) | 2.2 (2.1–2.4) | 1.3 (1.3–1.6) | |||
| K/L-III”H” | ||||||||
| WP-VAS | 48 (47–49) | 48 (47–50) | 54 (54–56) | 61 (61–63) | 69 (68–71) | Conversion to THR-M54 | ||
| WOMAC-C | 38 (37–39) | 38 (37–40) | 45 (44–47) | 52 (51–54) | 59 (58–61) | |||
| s-CTH-I | 560 (500–620) | 570 (510–630) | 590 (530–650) | 630 (570–690) | 750 (690–810) | |||
| u-CTX-II | 378 (318–438) | 384 (320–440) | 395 (330–450) | 420 (350–470) | 480 (410–550) | |||
| TB-BMD | 1.4 (1.3–1.5) | 1.3 (1.2–1.4) | 1.2 (1.1–1.3) | 1.1 (1.0–1.2) | 1.0 (0.9–1.1) | |||
| mJSW | 3.6 (3.1–4.1) | 3.0 (2.9–3.3) | 2.3 (2.3–2.6) | 1.6 (1.5–1.8) | 0.8 (0.8–0.9) | |||
| K/L-III” I” | ||||||||
| WP-VAS | 50 (49–52) | 51 (51–54) | 58 (57–61) | 66 (65–69) | Conversion to THR-M42 | |||
| WOMAC-C | 41 (40–42) | 42 (41–44) | 49 (48–50) | 56 (55–58) | ||||
| s-CTH-I | 645 (600–700) | 660 (620–715) | 690 (650–730) | 750 (710–800) | ||||
| u-CTX-II | 418 (350–478) | 425 (360–485) | 440 (380–500) | 480 (420–540) | ||||
| TB-BMD | 1.3 (1.2–1.4) | 1.2 (1.1–1.3) | 1.1 (1.0–1.2) | 1.0 (0.9–1.1) | ||||
| mJSW | 3.5 (3.0–4.0) | 2.9 (2.7–3.2) | 2.1 (2.0–2.4) | 1.2 (1.2–1.5) | ||||
| K/L-III” A” | THR-M36 | |||||||
| WP-VAS | 52 (52–54) | 54 (55–56) | 60 (60–62) | 72 (74–75) | ||||
| WOMAC-C | 43 (42–44) | 45 (44–46) | 52 (51–53) | 64 (63–65) | ||||
| s-CTH-I | 715 (650–780) | 745 (695–800) | 820 (770–870) | 950 (905–995) | ||||
| u-CTX-II | 476 (426–526) | 490 (440–540) | 520 (470–570) | 590 (540–640) | ||||
| TB-BMD | 1.2 (1.1–1.3) | 1.1 (1.0–1.2) | 0.9 (0.8–1.0) | 0.5 (05–0.6) | ||||
| mJSW | 3.4 (2.9–3.9) | 2.6 (2.6–2.9) | 1.7 (1.6–1.8) | 0.5 (0.5–0.6) | ||||
| SG | ||||||||
| K/L-II”H” | Conversion to THR-M78 | |||||||
| WP-VAS | 41 (40–42) | 37 (34–38) | 34 (32–36) | 34 (32–36) | 38 (37–39) | 47 (46–49) | 67 (66–69) | |
| WOMAC-C | 31 (31–33) | 27 (26–28) | 24 (23–26) | 25 (24–27) | 28 (27–29) | 38 (37–39) | 58 (57–59) | |
| s-CTH-I | 525 (465–600) | 500 (440–675) | 490 (420–560) | 480 (410–550) | 520 (450–590) | 590 (520–650) | 690 (620–750) | |
| u-CTX-II | 354 (304–394) | 350 (300–390) | 354 (300–390) | 360 (310–400) | 370 (320–420) | 390 (340–440) | 430 (370–470) | |
| TB-BMD | 1.5 (1.4–1.6) | 1.5 (1.4–1.6) | 1.6 (1.4–1.6) | 1.6 (1.5–1.7) | 1.7 (1.6–1.8) | 1.6 (1.6–1.8) | 1.5 (1.4–1.6) | |
| mJSW | 4.4 (4.0–4.8) | 3.9 (3.8–4.2) | 3.4 (3.3–3.7) | 2.9 (2.8–3.1) | 2.3 (2.3–2.5) | 1.6 (1.5–1.7) | 0.7 (0.7–0.9) | |
| K/L-II” I” | Conversion to THR-M78 | |||||||
| WP-VAS | 43 (42–44) | 38 (36–40) # | 33 (32–34) * | 33 (31–34) * | 38 (36–40) # | 48 (47–50) | 67 (66–69) | |
| WOMAC-C | 34 (33–35) | 29 (28–30) # | 24 (23–25) * | 24 (22–25) * | 29 (28–30) # | 39 (38–40) | 58 (57–59) | |
| s-CTH-I | 594 (514–680) | 545 (465–725) | 450 (390–550) | 350 (300–400) | 440 (390–490) | 550 (500–600) | 700 (650–750) | |
| u-CTX-II | 382 (334–420) | 370 (320–400) | 340 (290–430) | 290 (240–380) | 330 (280–420) | 380 (340–420) | 450 (410–490) | |
| TB-BMD | 1.4 (1.3–1.5) | 1.6 (1.3–1.5) | 1.7 (1.4–1.6) | 1.7 (1.5–1.7) | 1.7 (1.6–1.8) | 1.6 (1.6–1.8) | 1.5 (1.4–1.6) | |
| mJSW | 4.3 (3.9–4.7) | 3.8 (3.8–4.1) | 3.3 (3.3–3.5) | 2.9 (2.8–3.0) | 2.3 (2.2–2.4) | 1.6 (1.5–1.7) | 0.8 (0.7–0.9) | |
| K/L-II” A” | Conversion to THR-M66 | |||||||
| WP-VAS | 45 (44–48) | 39 (38–40) # | 35 (34–36) * | 35 (34–37) * | 40 (40–42) # | 62 (60–64) | ||
| WOMAC-C | 36 (35–37) | 29 (28–30) # | 26 (24–27) * | 25 (24–27) * | 31 (30–32) # | 52 (51–54) | ||
| s-CTH-I | 655 (610–700) | 500 (450–550) | 410 (360–470) | 330 (290–370) | 420 (370–470) | 650 (590–710) | ||
| u-CTX-II | 464 (420–500) | 415 (370–460) | 370 (320–420) | 280 (240–320) | 340 (290–430) | 420 (360–480) | ||
| TB-BMD | 1.3 (1.2–1.4) | 1.5 (1.2–1.4) | 1.7 (1.3–1.5) | 1.7 (1.4–1.6) | 1.7 (1.5–1.7) | 1.5 (1.4–1.6) | ||
| mJSW | 4.2 (3.8–4.6) | 3.7 (3.7–4.0) | 3.2 (3.2–3.4) | 2.6 (2.6–2.9) | 2.0 (2.0–2.3) | 1.4 (1.4–1.6) | ||
| K/L-III”H” | Conversion to THR-M54 | |||||||
| WP-VAS | 48 (47–50) | 45 (44–47) | 49 (48–50) | 56 (55–58) | 67 (65–68) | |||
| WOMAC-C | 38 (37–40) | 35 (34–37) | 39 (38–40) | 46 (45–48) | 58 (57–59) | |||
| s-CTH-I | 564 (510–620) | 560 (500–610) | 550 (500–600) | 530 (470–590) | 680 (620–740) | |||
| u-CTX-II | 384 (324–442) | 380 (320–440) | 370 (310–430) | 360 (300–420) | 430 (390–470) | |||
| TB-BMD | 1.4 (1.3–1.5) | 1.4 (1.3–1.5) | 1.4 (1.3–1.5) | 1.5 (1.4–1.6) | 1.5 (1.4–1.6) | |||
| mJSW | 3.6 (3.2–4.0) | 3.1 (3.0–3.4) | 2.3 (2.0–2.3) | 1.6 (1.4–1.6) | 0.8 (0.7–0.9) | |||
| K/L-III” I” | Conversion to THR-M54 | |||||||
| WP-VAS | 50 (48–52) | 46 (45–48) # | 50 (490–51) | 57 (56–58) | 67 (65–68) | |||
| WOMAC-C | 40 (39–42) | 36 (35–38) # | 41 (40–42) | 47 (56–59) | 59 (59–62) | |||
| s-CTH-I | 654 (604–700) | 600 (540–660) | 520 (470–570) | 460 (400–520) | 650 (590–710) | |||
| u-CTX-II | 423 (353–483) | 410 (370–450) | 380 (320–420) | 350 (290–410) | 450 (390–510) | |||
| TB-BMD | 1.3 (1.2–1.4) | 1.4 (1.2–1.4) | 1.5 (1.3–1.5) | 1.6 (1.4–1.6) | 1.6 (1.4–1.6) | |||
| mJSW | 3.5 (3.1–3.9) | 2.9 (2.8–3.1) | 2.2 (2.1–2.3) | 1.6 (1.5–1.6) | 0.8 (0.7–0.9) | |||
| K/L-III” A” | Conversion to THR-M42 | |||||||
| WP-VAS | 53 (52–55) | 50 (49–51) # | 56 (55–58) | 68 (67–70) | ||||
| WOMAC-C | 43 (42–45) | 40 (39–41) # | 46 (45–48) | 58 (47–60) | ||||
| s-CTH-I | 720 (660–790) | 590 (540–640) | 500 (440–560) | 550 (490–610) | ||||
| u-CTX-II | 484 (430–530) | 455 (400–510) | 440 (380–500) | 450 (390–510) | ||||
| TB-BMD | 1.2 (1.1–1.3) | 1.4 (1.1–1.3) | 1.5 (1.2–1.4) | 1.6 (1.4–1.6) | ||||
| mJSW | 3.4 (3.0–3.8) | 2.7 (2.6–2.8) | 1.9 (1.7–1.9) | 0.9 (0.9–1.0) |
| Treatment Groups # | Time (Months) for the Occurrence of SSD in Clinical Parameters (WP/F) |
|---|---|
| SC | |
| K/L-II’H’ vs. K/L-II’A’ | M0 (p < 0.001) * |
| K/L-II’H’ vs. K/L-II’I’ | M12(p = 0.044) * |
| K/L-II’I’ vs. K/L-II’A’ | M12 (p = 0.033) * |
| K/L-III’H’ vs. K/L-III’A’ | M0 (p < 0.001) * |
| K/L-III’H’ vs. K/L-III’I’ | M12 (p = 0.044) * |
| K/L-III’I’ vs. K/L-III’A’ | M12 (p = 0.033) * |
| SG | |
| K/L-II’H’ vs. K/L-II’A’ | M0 (p < 0.001) * |
| K/L-II’H’ vs. K/L-II’I’ | No SSD were detected between M0-M78 (p > 0.05) * |
| K/L-II’I’ vs. K/L-II’A’ | M60 (p < 0.001) * |
| K/L-III’H’ vs. K/L-III’A’ | M0 (p < 0.001) * |
| K/L-III’H’ vs. K/L-III’I’ | No SSD were detected between M0-M54 (THR) (p > 0.05) * |
| K/L-III’I’ vs. K/L-III’A’ | M36 (p = 0.044) * |
| X-ray Grade | Applied Treatment # | X-ray Model | JSN-M12 Median (IQR) mm./yearly | p * Value | mJSW-M36 Median (IQR) mm. | p * Value |
|---|---|---|---|---|---|---|
| K/L-II | SC | ‘H’ | 0.55 (0.50–0.60) | ‘H’ vs. ‘A’; p < 0.001 | 2.6 (2.5–2.9) | ‘H’ vs. ‘A’; p < 0.001 |
| ‘I’ | 0.57 (0.54–0.60) | ‘H’ vs. ‘I’; p = 0.044 | 2.4 (2.4–2.7) | ‘H’ vs. ‘I’; p = 0.044 | ||
| ‘A’ | 0.61 (0.60–0.62) | ‘I’ vs. ‘A’; p = 0.022 | 2.2 (2.1–2.3) | ‘I’ vs. ‘A’; p = 0.044 | ||
| SG | ‘H’ | 0.55 (0.50–0.60) | ‘H’ vs. ‘A’; p = 0.059 | 2.6 (2.5–3.0) | ‘H’ vs. ‘A’; p = 1.0 | |
| ‘I’ | 0.56 (0.52–0.60) | ‘H’ vs. ‘I’; p = 0.796 | 2.6 (2.4–2.8) | ‘H’ vs. ‘I’; p = 1.0 | ||
| ‘A’ | 0.50 (0.45–0.55) | ‘I’ vs. ‘A’; p = 0.049 | 2.6 (2.3–2.9) | ‘I’ vs. ‘A’; p = 1.0 | ||
| K/L-III | SC | ‘H’ | 0.62 (0.59–0.65) | ‘H’ vs. ‘A’; p < 0.001 | 1.6 (1.5–1.8) | ‘H’ vs. ‘A’; p < 0.001 |
| ‘I’ | 0.67 (0.67–0.70) | ‘H’ vs. ‘I’; p = 0.021 | 1.2 (1.2–1.5) | ‘H’ vs. ‘I’; p = 0.023 | ||
| ‘A’ | 0.80 (0.70–0.90) | ‘I’ vs. ‘A’; p < 0.001 | 0.5 (0.4–0.6) | ‘I’ vs. ‘A’; p < 0.001 | ||
| SG | ‘H’ | 0.61 (0.58–0.64) | ‘H’ vs. ‘A’; p = 0.767 | 1.7 (1.5–1.9) | ‘H’ vs. ‘A’; p < 0.001 | |
| ‘I’ | 0.62 (0.59–0.65) | ‘H’ vs. ‘I’; p = 0.796 | 1.3 (1.2–1.6) | ‘H’ vs. ‘I’; p = 0.049 | ||
| ‘A’ | 0.62 (0.59–0.65) | ‘I’ vs. ‘A’; p = 1.0 | 0.8 (0.7–0.9) | ‘I’ vs. ‘A’; p = 0.045 |
| X-ray Grade | X-ray Model | Applied Treatment # | mJSN-M12 Median (IQR) | p-Value * | mJSW-M36 Median (IQR) | p-Value * |
|---|---|---|---|---|---|---|
| K/L II | H | SC | 0.55 (0.50–0.60) | SG vs. SC; p = 1.0 | 2.6 (2.5–2.9) | SG vs. SC; p = 1.0 |
| SG | 0.55 (0.50–0.60) | 2.6 (2.5–3.0) | ||||
| I | SC | 0.57 (0.54–0.60) | SG vs. SC; p = 1.0 | 2.4 (2.4–2.7) | SG vs. SC; p = 0.23 | |
| SG | 0.56 (0.52–0.60) | 2.5 (2.4–2.8) | ||||
| A | SC | 0.61 (0.60–0.62) | SG vs. SC; p < 0.001 | 2.2 (2.1–2.3) | SG vs. SC; p < 0.001 | |
| SG | 0.50 (0.45–0.55) | 2.6 (2.4–2.8) | ||||
| K/L III | H | SC | 0.62 (0.59–0.65) | SG vs. SC; p = 1.0 | 1.6 (1.5–1.8) | SG vs. SC; p = 1.0 |
| SG | 0.61 (0.58–0.64) | 1.7 (1.5–1.9) | ||||
| I | SC | 0.67 (0.67–0.70) | SG vs. SC; p =1.0 | 1.2 (1.2–1.5) | SG vs. SC; p = 0.21 | |
| SG | 0.62 (0.59–0.65) | 1.3 (1.2–1.6) | ||||
| A | SC | 0.80 (0.70–0.90) | SG vs. SC; p < 0.001 | 0.5 (0.4–0.6) | SG vs. SC; p = 0.03 | |
| SG | 0.62 (0.59–0.65) | 0.8 (0.7–0.9) |
| X-ray Pattern | Treatment # | Treatment 1 vs. Treatment 2 tTHR -Median (Months) | p-Value * |
|---|---|---|---|
| K/L III-‘A’ | SG vs. CG | 42 vs. 36 | <0.001 |
| K/L III-‘I’ | SG vs. CG | 54 vs. 42 | <0.001 |
| K/L III-‘H’ | SG vs. CG | 54 vs. 54 | 1.000 |
| K/L-II-‘A’ | SG vs. CG | 66 vs. 54 | <0.001 |
| K/L-II’I’ | SG vs. CG | 78 vs. 66 | <0.001 |
| K/L-II’H’ | SG vs. CG | 78 vs. 78 | 1.000 |
| Factors | OR | 95% CI of OR | p-Value | |
|---|---|---|---|---|
| Lower | Upper | |||
| FM-BMD b | 6.561 | 2.590 | 16.617 | <0.001 |
| TH-BMD b | 6.495 | 2.688 | 15.696 | <0.001 |
| HAL a | 2.212 | 1.182 | 4.141 | 0.013 |
| NSA b | 2.377 | 1.171 | 4.826 | 0.017 |
| CSA b | 4.038 | 1.863 | 8.752 | <0.001 |
| CSMI b | 2.724 | 1.301 | 5.706 | 0.008 |
| MNW b | 1.099 | 0.614 | 1.967 | 0.751 |
| FN-CT b | 1.578 | 0.812 | 3.104 | 0.177 |
| FS-CT b | 1.236 | 0.603 | 2.533 | 0.563 |
| SM b | 3.431 | 1.617 | 7.280 | 0.001 |
| BR a | 1.833 | 1.012 | 3.321 | 0.045 |
Disclaimer/Publisher’s Note: The statements, opinions and data contained in all publications are solely those of the individual author(s) and contributor(s) and not of MDPI and/or the editor(s). MDPI and/or the editor(s) disclaim responsibility for any injury to people or property resulting from any ideas, methods, instructions or products referred to in the content. |
© 2023 by the authors. Licensee MDPI, Basel, Switzerland. This article is an open access article distributed under the terms and conditions of the Creative Commons Attribution (CC BY) license (https://creativecommons.org/licenses/by/4.0/).
Share and Cite
Sapundzhiev, L.; Sapundzhieva, T.; Mitev, M.; Simitchiev, K.; Batalov, A. Correlation between Bone Mineral Density and Progression of Hip Osteoarthritis in Adult Men and Women in Bulgaria—Results from a 7-Year Study. Life 2023, 13, 421. https://doi.org/10.3390/life13020421
Sapundzhiev L, Sapundzhieva T, Mitev M, Simitchiev K, Batalov A. Correlation between Bone Mineral Density and Progression of Hip Osteoarthritis in Adult Men and Women in Bulgaria—Results from a 7-Year Study. Life. 2023; 13(2):421. https://doi.org/10.3390/life13020421
Chicago/Turabian StyleSapundzhiev, Lyubomir, Tanya Sapundzhieva, Martin Mitev, Kiril Simitchiev, and Anastas Batalov. 2023. "Correlation between Bone Mineral Density and Progression of Hip Osteoarthritis in Adult Men and Women in Bulgaria—Results from a 7-Year Study" Life 13, no. 2: 421. https://doi.org/10.3390/life13020421
APA StyleSapundzhiev, L., Sapundzhieva, T., Mitev, M., Simitchiev, K., & Batalov, A. (2023). Correlation between Bone Mineral Density and Progression of Hip Osteoarthritis in Adult Men and Women in Bulgaria—Results from a 7-Year Study. Life, 13(2), 421. https://doi.org/10.3390/life13020421

