Autoinflammatory Recurrent Pericarditis Associated with a New NLRP12 Mutation in a Male Adolescent
Abstract
:1. Introduction
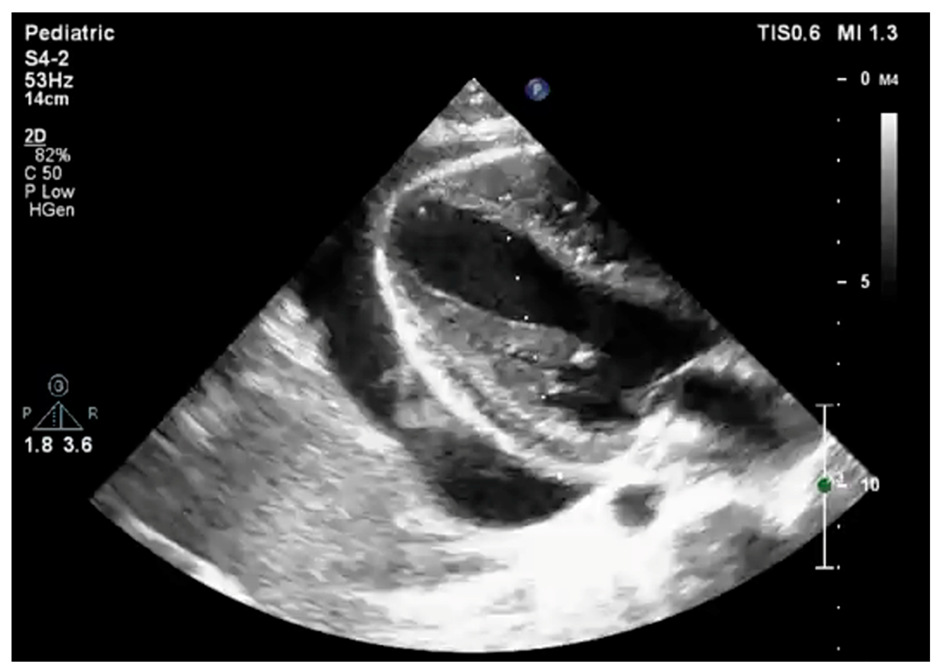
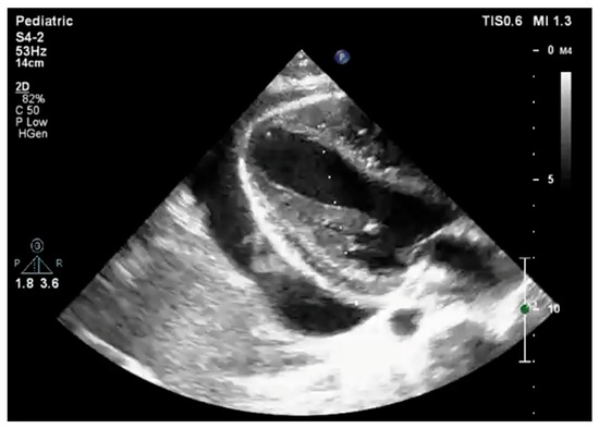
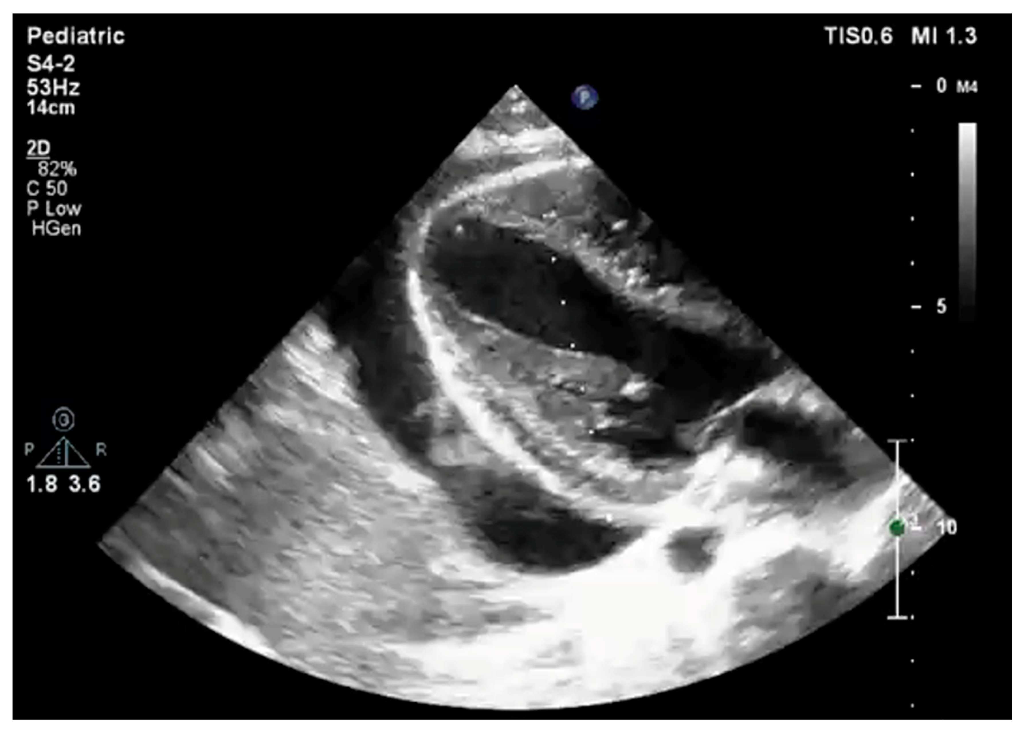
2. Case Report
3. Discussion
4. Conclusions
Author Contributions
Funding
Institutional Review Board Statement
Informed Consent Statement
Data Availability Statement
Acknowledgments
Conflicts of Interest
References
- Adler, Y.; Charron, P.; Imazio, M.; Badano, L.; Barón-Esquivias, G.; Bogaert, J.; Brucato, A.; Gueret, P.; Klingel, K.; Lionis, C.; et al. 2015 ESC Guidelines for the diagnosis and management of pericardial diseases: The Task Force for the Diagnosis and Management of Pericardial Diseases of the European Society of Cardiology (ESC)Endorsed by: The European Association for Cardio-Thoracic Surgery (EACTS). Eur. Heart J. 2015, 36, 2921–2964. [Google Scholar] [CrossRef] [PubMed]
- Brucato, A.; Imazio, M.; Cremer, P.C.; Adler, Y.; Maisch, B.; Lazaros, G.; Gattorno, M.; Caforio, A.L.P.; Marcolongo, R.; Emmi, G.; et al. Recurrent pericarditis: Still idiopathic? The pros and cons of a well-honoured term. Intern. Emerg. Med. 2018, 13, 839–844. [Google Scholar] [CrossRef] [PubMed]
- Andreis, A.; Imazio, M.; Casula, M.; Avondo, S.; Brucato, A. Recurrent pericarditis: An update on diagnosis and management. Intern. Emerg. Med. 2021, 16, 551–558. [Google Scholar] [CrossRef] [PubMed]
- Gouriet, F.; Levy, P.Y.; Casalta, J.P.; Zandotti, C.; Collart, F.; Lepidi, H.; Cautela, J.; Bonnet, J.L.; Thuny, F.; Habib, G.; et al. Etiology of Pericarditis in a Prospective Cohort of 1162 Cases. Am. J. Med. 2015, 128, 784.e1–784.e7848. [Google Scholar] [CrossRef]
- Imazio, M.; Bobbio, M.; Cecchi, E.; Demarie, D.; Demichelis, B.; Pomari, F.; Moratti, M.; Gaschino, G.; Giammaria, M.; Ghisio, A.; et al. Colchicine in addition to conventional therapy for acute pericarditis: Results of the COlchicine for acute PEricarditis (COPE) trial. Circulation 2005, 112, 2012–2016. [Google Scholar] [CrossRef]
- Imazio, M.; Brucato, A.; Cemin, R.; Ferrua, S.; Maggiolini, S.; Beqaraj, F.; Demarie, D.; Forno, D.; Ferro, S.; Maestroni, S.; et al. A randomized trial of colchicine for acute pericarditis. N. Engl. J. Med. 2013, 369, 1522–1528. [Google Scholar] [CrossRef]
- Imazio, M.; Bobbio, M.; Cecchi, E.; Demarie, D.; Pomari, F.; Moratti, M.; Ghisio, A.; Belli, R.; Trinchero, R. Colchicine as first-choice therapy for recurrent pericarditis: Results of the CORE (COlchicine for REcurrent pericarditis) trial. Arch. Intern. Med. 2005, 165, 1987–1991. [Google Scholar] [CrossRef]
- Imazio, M.; Brucato, A.; Cemin, R.; Ferrua, S.; Belli, R.; Maestroni, S.; Trinchero, R.; Spodick, D.H.; Adler, Y. CORP (COlchicine for Recurrent Pericarditis) Investigators Colchicine for recurrent pericarditis (CORP): A randomized trial. Ann. Intern. Med. 2011, 155, 409–414. [Google Scholar] [CrossRef]
- Imazio, M.; Belli, R.; Brucato, A.; Cemin, R.; Ferrua, S.; Beqaraj, F.; Demarie, D.; Ferro, S.; Forno, D.; Maestroni, S.; et al. Efficacy and safety of colchicine for treatment of multiple recurrences of pericarditis (CORP-2): A multicentre, double-blind, placebo-controlled, randomised trial. Lancet 2014, 383, 2232–2237. [Google Scholar] [CrossRef]
- Brucato, A.; Brambilla, G.; Moreo, A.; Alberti, A.; Munforti, C.; Ghirardello, A.; Doria, A.; Shinar, Y.; Livneh, A.; Adler, Y.; et al. Long-term outcomes in difficult-to-treat patients with recurrent pericarditis. Am. J. Cardiol. 2006, 98, 267–271. [Google Scholar] [CrossRef]
- Caforio, A.L.; Brucato, A.; Doria, A.; Brambilla, G.; Angelini, A.; Ghirardello, A.; Bottaro, S.; Tona, F.; Betterle, C.; Daliento, L.; et al. Anti-heart and anti-intercalated disk autoantibodies: Evidence for autoimmunity in idiopathic recurrent acute pericarditis. Heart 2010, 96, 779–784. [Google Scholar] [CrossRef]
- Tangye, S.G.; Al-Herz, W.; Bousfiha, A.; Cunningham-Rundles, C.; Franco, J.L.; Holland, S.M.; Klein, C.; Morio, T.; Oksenhendler, E.; Picard, C.; et al. Human Inborn Errors of Immunity: 2022 Update on the Classification from the International Union of Immunological Societies Expert Committee. J. Clin. Immunol. 2022, 42, 1473–1507. [Google Scholar] [CrossRef]
- Wang, H.F. NLRP12-associated systemic autoinflammatory diseases in children. Pediatr. Rheumatol. Online J. 2022, 20, 9. [Google Scholar] [CrossRef] [PubMed]
- Soler-Soler, J.; Sagristà-Sauleda, J.; Permanyer-Miralda, G. Relapsing pericarditis. Heart 2004, 90, 1364–1368. [Google Scholar] [CrossRef]
- Chiabrando, J.G.; Bonaventura, A.; Vecchié, A.; Wohlford, G.F.; Mauro, A.G.; Jordan, J.H.; Grizzard, J.D.; Montecucco, F.; Berrocal, D.H.; Brucato, A.; et al. Management of Acute and Recurrent Pericarditis: JACC State-of-the-Art Review. J. Am. Coll. Cardiol. 2020, 75, 76–92. [Google Scholar] [CrossRef] [PubMed]
- Kelley, N.; Jeltema, D.; Duan, Y.; He, Y. The NLRP3 Inflammasome: An Overview of Mechanisms of Activation and Regulation. Int. J. Mol. Sci. 2019, 20, 3328. [Google Scholar] [CrossRef] [PubMed]
- Pathak, S.; McDermott, M.F.; Savic, S. Autoinflammatory diseases: Update on classification diagnosis and management. J. Clin. Pathol. 2017, 70, 1–8. [Google Scholar] [CrossRef]
- Havnaer, A.; Han, G. Autoinflammatory Disorders: A Review and Update on Pathogenesis and Treatment. Am. J. Clin. Dermatol. 2019, 20, 539–564. [Google Scholar] [CrossRef]
- Takeuchi, O.; Akira, S. Pattern recognition receptors and inflammation. Cell 2010, 140, 805–820. [Google Scholar] [CrossRef] [PubMed]
- Sharma, D.; Kanneganti, T.D. The cell biology of inflammasomes: Mechanisms of inflammasome activation and regulation. J. Cell Biol. 2016, 213, 617–629. [Google Scholar] [CrossRef]
- Lamkanfi, M.; Dixit, V.M. Mechanisms and functions of inflammasomes. Cell 2014, 157, 1013–1022. [Google Scholar] [CrossRef] [PubMed]
- Minkiewicz, J.; de Rivero Vaccari, J.P.; Keane, R.W. Human astrocytes express a novel NLRP2 inflammasome. Glia 2013, 61, 1113–1121. [Google Scholar] [CrossRef] [PubMed]
- Vladimer, G.I.; Weng, D.; Paquette, S.W.; Vanaja, S.K.; Rathinam, V.A.; Aune, M.H.; Conlon, J.E.; Burbage, J.J.; Proulx, M.K.; Liu, Q.; et al. The NLRP12 inflammasome recognizes Yersinia pestis. Immunity 2012, 37, 96–107. [Google Scholar] [CrossRef]
- Cochino, A.V.; Ioan, A.; Farkas, O.M. Autoinflammatory Diseases in Romanian Children: A Tertiary Center Case Series Study. J. Clin. Rheumatol. Pract. Rep. Rheum. Musculoskelet. Dis. 2022, 28, 429–432. [Google Scholar] [CrossRef] [PubMed]
- Lopalco, G.; Rigante, D.; Cantarini, L.; Imazio, M.; Lopalco, A.; Emmi, G.; Venerito, V.; Fornaro, M.; Frediani, B.; Nivuori, M.; et al. The autoinflammatory side of recurrent pericarditis: Enlightening the pathogenesis for a more rational treatment. Trends Cardiovasc. Med. 2021, 31, 265–274. [Google Scholar] [CrossRef] [PubMed]
- Mauro, A.G.; Bonaventura, A.; Vecchié, A.; Mezzaroma, E.; Carbone, S.; Narayan, P.; Potere, N.; Cannatà, A.; Paolini, J.F.; Bussani, R.; et al. The Role of NLRP3 Inflammasome in Pericarditis: Potential for Therapeutic Approaches. JACC. Basic Transl. Sci. 2021, 6, 137–150. [Google Scholar] [CrossRef]
- Peet, C.J.; Rowczenio, D.; Omoyinmi, E.; Papadopoulou, C.; Mapalo, B.R.R.; Wood, M.R.; Capon, F.; Lachmann, H.J. Pericarditis and Autoinflammation: A Clinical and Genetic Analysis of Patients With Idiopathic Recurrent Pericarditis and Monogenic Autoinflammatory Diseases at a National Referral Center. J. Am. Heart Assoc. 2022, 11, e024931. [Google Scholar] [CrossRef]
- Karacan, İ.; Balamir, A.; Uğurlu, S.; Aydın, A.K.; Everest, E.; Zor, S.; Önen, M.Ö.; Daşdemir, S.; Özkaya, O.; Sözeri, B.; et al. Diagnostic utility of a targeted next-generation sequencing gene panel in the clinical suspicion of systemic autoinflammatory diseases: A multi-center study. Rheumatol. Int. 2019, 39, 911–919, Erratum in Rheumatol. Int. 2019, 39, 921. [Google Scholar] [CrossRef]
- Jéru, I.; Duquesnoy, P.; Fernandes-Alnemri, T.; Cochet, E.; Yu, J.W.; Lackmy-Port-Lis, M.; Grimprel, E.; Landman-Parker, J.; Hentgen, V.; Marlin, S.; et al. Mutations in NALP12 cause hereditary periodic fever syndromes. Proc. Natl. Acad. Sci. USA 2008, 105, 1614–1619. [Google Scholar] [CrossRef]
- Alonzi, T.; Fattori, E.; Lazzaro, D.; Costa, P.; Probert, L.; Kollias, G.; De Benedetti, F.; Poli, V.; Ciliberto, G. Interleukin 6 is required for the development of collagen-induced arthritis. J. Exp. Med. 1998, 187, 461–468. [Google Scholar] [CrossRef]
- Yamamoto, M.; Yoshizaki, K.; Kishimoto, T.; Ito, H. IL-6 is required for the development of Th1 cell-mediated murine colitis. J. Immunol. 2000, 164, 4878–4882. [Google Scholar] [CrossRef]
- Xing, Z.; Gauldie, J.; Cox, G.; Baumann, H.; Jordana, M.; Lei, X.F.; Achong, M.K. IL-6 is an antiinflammatory cytokine required for controlling local or systemic acute inflammatory responses. J. Clin. Investig. 1998, 101, 311–320. [Google Scholar] [CrossRef]
- Borghini, S.; Tassi, S.; Chiesa, S.; Caroli, F.; Carta, S.; Caorsi, R.; Fiore, M.; Delfino, L.; Lasigliè, D.; Ferraris, C.; et al. Clinical presentation and pathogenesis of cold-induced autoinflammatory disease in a family with recurrence of an NLRP12 mutation. Arthritis Rheum. 2011, 63, 830–839. [Google Scholar] [CrossRef] [PubMed]
- Normand, S.; Waldschmitt, N.; Neerincx, A.; Martinez-Torres, R.J.; Chauvin, C.; Couturier-Maillard, A.; Boulard, O.; Cobret, L.; Awad, F.; Huot, L.; et al. Proteasomal degradation of NOD2 by NLRP12 in monocytes promotes bacterial tolerance and colonization by enteropathogens. Nat. Commun. 2018, 9, 5338. [Google Scholar] [CrossRef]
- Hoffman, H.M.; Mueller, J.L.; Broide, D.H.; Wanderer, A.A.; Kolodner, R.D. Mutation of a new gene encoding a putative pyrin-like protein causes familial cold autoinflammatory syndrome and Muckle-Wells syndrome. Nat. Genet. 2001, 29, 301–305. [Google Scholar] [CrossRef]
- Simon, A.; van der Meer, J.W.; Vesely, R.; Myrdal, U.; Yoshimura, K.; Duys, P.; Drenth, J.P. International HIDS Study Group Approach to genetic analysis in the diagnosis of hereditary autoinflammatory syndromes. Rheumatology 2006, 45, 269–273. [Google Scholar] [CrossRef] [PubMed]
- Chen, M.; Tsao, Y.; Chen, S. NLRP12 Regulates Interferon-α Expression and Is a Biomarker for Disease Activity of Systemic Lupus Erythematosus [abstract]. Arthritis Rheumatol. 2019, 71 (Suppl. S10). [Google Scholar]
- Vance, E.E.; Lee, E.L.; Brown, B.; Snow, P.E.; Truax, A.; Ting, J.P.; Caspi, R.R.; Rosenzweig, H.L. The innate immune receptor Nlrp12 participates in protection against experimental autoimmune uveitis. Investig. Ophthalmol. Vis. Sci. 2016, 57, 490. [Google Scholar]
- Ayla, A.Y.; Eren, H.; Zare, J.; Calhan, S.S.; Karacan, I.; Seven, M.; Ugurlu, S. A rare case of an NLRP12-associated autoinflammatory disease. Eur. J. Med. Genet. 2021, 64, 104168. [Google Scholar] [CrossRef]
- Jéru, I.; Le Borgne, G.; Cochet, E.; Hayrapetyan, H.; Duquesnoy, P.; Grateau, G.; Morali, A.; Sarkisian, T.; Amselem, S. Identification and functional consequences of a recurrent NLRP12 missense mutation in periodic fever syndromes. Arthritis Rheum. 2011, 63, 1459–1464. [Google Scholar] [CrossRef]
- Vitale, A.; Rigante, D.; Maggio, M.C.; Emmi, G.; Romano, M.; Silvestri, E.; Lucherini, O.M.; Emmi, L.; Gerloni, V.; Cantarini, L. Rare NLRP12 variants associated with the NLRP12-autoinflammatory disorder phenotype: An Italian case series. Clin. Exp. Rheumatol. 2013, 31 (Suppl. S77), 155–156. [Google Scholar]
- Başaran, Ö.; Uncu, N.; Çakar, N.; Turanlı, E.T.; Kiremitci, S.; Aydın, F.; Bayrakcı, U.S. C3 glomerulopathy in NLRP12-related autoinflammatory disorder: Case-based review. Rheumatol. Int. 2018, 38, 1571–1576. [Google Scholar] [CrossRef] [PubMed]
- Ghosh, K.; Mishra, K.; Shah, A.; Patel, P.; Shetty, S. Novel Deleterious Sequence Change in the NLRP12 Gene in a Child with the Autoinflammatory Syndrome, Joint Hypermobility and Cutis Laxa from India. Mediterr. J. Hematol. Infect. Dis. 2019, 11, e2019018. [Google Scholar] [CrossRef] [PubMed]
- Gupta, L.; Ahmed, S.; Singh, B.; Prakash, S.; Phadke, S.; Aggarwal, A. Novel NLRP12 variant presenting with familial cold autoimmunity syndrome phenotype. Ann. Rheum. Dis. 2021, 80, e117. [Google Scholar] [CrossRef] [PubMed]
- Wang, W.; Zhou, Y.; Zhong, L.Q.; Li, Z.; Jian, S.; Tang, X.Y.; Song, H.M. The clinical phenotype and genotype of NLRP12-autoinflammatory disease: A Chinese case series with literature review. World J. Pediatr. WJP 2020, 16, 514–519. [Google Scholar] [CrossRef] [PubMed]
- Wang, W.; Yu, Z.; Gou, L.; Zhong, L.; Li, J.; Ma, M.; Wang, C.; Zhou, Y.; Ru, Y.; Sun, Z.; et al. Single-Center Overview of Pediatric Monogenic Autoinflammatory Diseases in the Past Decade: A Summary and Beyond. Front. Immunol. 2020, 11, 565099. [Google Scholar] [CrossRef]
- Yang, X.; Zhao, B.; Liao, Y. Analysis on misdiagnosis of a case of novel variant of NLRP12. Ann. Rheum. Dis. 2023, 82, e26. [Google Scholar] [CrossRef]
- Kostik, M.M.; Suspitsin, E.N.; Guseva, M.N.; Levina, A.S.; Kazantseva, A.Y.; Sokolenko, A.P.; Imyanitov, E.N. Multigene sequencing reveals heterogeneity of NLRP12-related autoinflammatory disorders. Rheumatol. Int. 2018, 38, 887–893. [Google Scholar] [CrossRef]
- Bettiol, A.; Lopalco, G.; Emmi, G.; Cantarini, L.; Urban, M.L.; Vitale, A.; Denora, N.; Lopalco, A.; Cutrignelli, A.; Lopedota, A.; et al. Unveiling the efficacy, safety, and tolerability of anti -Interleukin -1 treatment in monogenic and multifactorial autoinflammatory diseases. Int. J. Mol. Sci. 2019, 20, 1898. [Google Scholar] [CrossRef]
- Imazio, M.; Andreis, A.; De Ferrari, G.M.; Cremer, P.C.; Mardigyan, V.; Maestroni, S.; Luis, S.A.; Lopalco, G.; Emmi, G.; Lotan, D.; et al. Anakinra for corticosteroid-dependent and colchicine-resistant pericarditis: The IRAP (International Registry of Anakinra for Pericarditis) study. Eur. J. Prev. Cardiol. 2020, 27, 956–964. [Google Scholar] [CrossRef]
- Hausmann, J.S. Targeting cytokines to treat autoinflammatory diseases. Clin Immunol. 2019, 206, 23–32. [Google Scholar] [CrossRef] [PubMed]
- European Medicine Agency (EMA). Rilonacept Regeneron; European Medicine Agency (EMA): Amsterdam, The Netherlands, 2022.
- Ter Haar, N.M.; Annink, K.V.; Al-Mayouf, S.M.; Amaryan, G.; Anton, J.; Barron, K.S.; Benseler, S.M.; Brogan, P.A.; Cantarini, L.; Cattalini, M.; et al. Development of the autoinflammatory disease damage index (ADDI). Ann. Rheum. Dis. 2017, 76, 821–830. [Google Scholar] [CrossRef]
- Ter Haar, N.M.; van Delft, A.L.J.; Annink, K.V.; van Stel, H.; Al-Mayouf, S.M.; Amaryan, G.; Anton, J.; Barron, K.S.; Benseler, S.; Brogan, P.A.; et al. In silico validation of the Autoinflammatory Disease Damage Index. Ann. Rheum. Dis. 2018, 77, 1599–1605. [Google Scholar] [CrossRef] [PubMed]
- Gattorno, M.; Sormani, M.P.; D’Osualdo, A.; Pelagatti, M.A.; Caroli, F.; Federici, S.; Cecconi, M.; Solari, N.; Meini, A.; Zulian, F.; et al. A diagnostic score for molecular analysis of hereditary autoinflammatory syndromes with periodic fever in children. Arthritis Rheum. 2008, 58, 1823–1832. [Google Scholar] [CrossRef] [PubMed]


| Subgroup | Disease | Genetic Defect |
|---|---|---|
| Defects Affecting the Inflammasome | Muckle–Wells syndrome, Familial cold autoinflammatory syndrome 1 (FCAS1), Neonatal onset multisystem inflammatory disease (NOMID) | NLRP3 |
| Familial Mediterranean Fever (FMF) | MEFV | |
| Mevalonate kinase deficiency (Hyper IgD) | MVK | |
| NLRP1 deficiency or gain-of-function | NLRP1 | |
| NLRC4-related disease (FCAS4) | NLRC4 | |
| PLAID (PLCγ2 associated antibody deficiency and immune dysregulation) | PLCG2 | |
| RIPK1 deficiency | RIPK1 | |
| NLRP12-AID (FCAS2) | NLRP12 | |
| Non-Inflammasome Related Conditions | TNF receptor-associated periodic syndrome (TRAPS) | TNFRSF1A |
| Pyogenic sterile arthritis, pyoderma gangrenosum, acne (PAPA) syndrome | PSTPP1 | |
| Deficiency of the IL-1 receptor antagonist (DIRA) | IL1RN | |
| Deficiency of IL-36-receptor antagonist (DITRA) | IL36RN | |
| Majeed syndrome | LPIN-2 | |
| Blau syndrome | NOD2 | |
| CANDLE (chronic atypical neutrophilic dermatosis with lipodystrophy) | PSMG2 | |
| Others | CARD14, COPA, ALP1, TRIM22 | |
| Type 1 Interferonopathies | ADA2 deficiency | ADA2 |
| STING-associated vasculopathy of infancy (SAVI) AR or AD forms | TMEM173 | |
| Aicardi–Goutières syndrome 1–7 | TREX1, RNASEH2, (A/B/C), SAMHD1, ADAR1, IFIH1, DNAse II, LSM 11, RNU7–1 | |
| Very early onset pediatric lupus erythematosus | DNASE1L3 | |
| Other | ACP5, POLA1, USP18, STAT2 |
| Nr. | Symptoms and/or Other Manifestations | Percentage |
|---|---|---|
| 1. | Periodic fever | 100% |
| 2. | Polyarthralgia/arthritis | 55% |
| 3. | Abdominal pain/diarrhea | 48% |
| 4. | Rash/urticaria | 45% |
| 5. | Lymphadenopathy/splenomegaly | 33% |
| 6. | Significant malnutrition | 33% |
| 7. | Headache | 24% |
| 8. | Neurosensory deafness | 21% |
| 9. | Aphthous stomatitis | 12% |
| 10. | Elevated acute-phase reactants | 55% |
| 11. | Infectious susceptibility | 27% |
| 12. | Autoimmune hemolytic anemia | 3% |
| 13. | C3 glomerulopathy | 3% |
| 14. | Interstitial lung disease | 3% |
| 15. | Crohn’s disease | 9% |
| 16. | Immunodeficiency | 3% |
Disclaimer/Publisher’s Note: The statements, opinions and data contained in all publications are solely those of the individual author(s) and contributor(s) and not of MDPI and/or the editor(s). MDPI and/or the editor(s) disclaim responsibility for any injury to people or property resulting from any ideas, methods, instructions or products referred to in the content. |
© 2023 by the authors. Licensee MDPI, Basel, Switzerland. This article is an open access article distributed under the terms and conditions of the Creative Commons Attribution (CC BY) license (https://creativecommons.org/licenses/by/4.0/).
Share and Cite
Cinteza, E.; Stefan, D.; Iancu, M.A.; Ioan, A.; Vasile, C.M.; Vatasescu, R.; Cochino, A. Autoinflammatory Recurrent Pericarditis Associated with a New NLRP12 Mutation in a Male Adolescent. Life 2023, 13, 2131. https://doi.org/10.3390/life13112131
Cinteza E, Stefan D, Iancu MA, Ioan A, Vasile CM, Vatasescu R, Cochino A. Autoinflammatory Recurrent Pericarditis Associated with a New NLRP12 Mutation in a Male Adolescent. Life. 2023; 13(11):2131. https://doi.org/10.3390/life13112131
Chicago/Turabian StyleCinteza, Eliza, Dan Stefan, Mihaela Adela Iancu, Andreea Ioan, Corina Maria Vasile, Radu Vatasescu, and Alexis Cochino. 2023. "Autoinflammatory Recurrent Pericarditis Associated with a New NLRP12 Mutation in a Male Adolescent" Life 13, no. 11: 2131. https://doi.org/10.3390/life13112131
APA StyleCinteza, E., Stefan, D., Iancu, M. A., Ioan, A., Vasile, C. M., Vatasescu, R., & Cochino, A. (2023). Autoinflammatory Recurrent Pericarditis Associated with a New NLRP12 Mutation in a Male Adolescent. Life, 13(11), 2131. https://doi.org/10.3390/life13112131

