Production of Intestinal Mucins, sIgA, and Metallothionein after Administration of Zinc and Infection of Ascaridia galli in Chickens: Preliminary Data
Abstract
1. Introduction
2. Materials and Methods
2.1. Experimental Design and Sample Collection
2.2. Preparation of Infective Inoculum
2.3. Intestinal Samples and Flush Protocol
2.4. Enzyme-Linked Immunosorbent Assay (ELISA) sIgA
2.5. Enzyme-Linked Immunosorbent Assay (ELISA) of MUC-1 and MUC-2
2.6. Enzyme-Linked Immunosorbent Assay (ELISA) of Metallothionein (MT I/II)
2.7. Histological Procedure
2.8. Statistical Analysis
3. Results
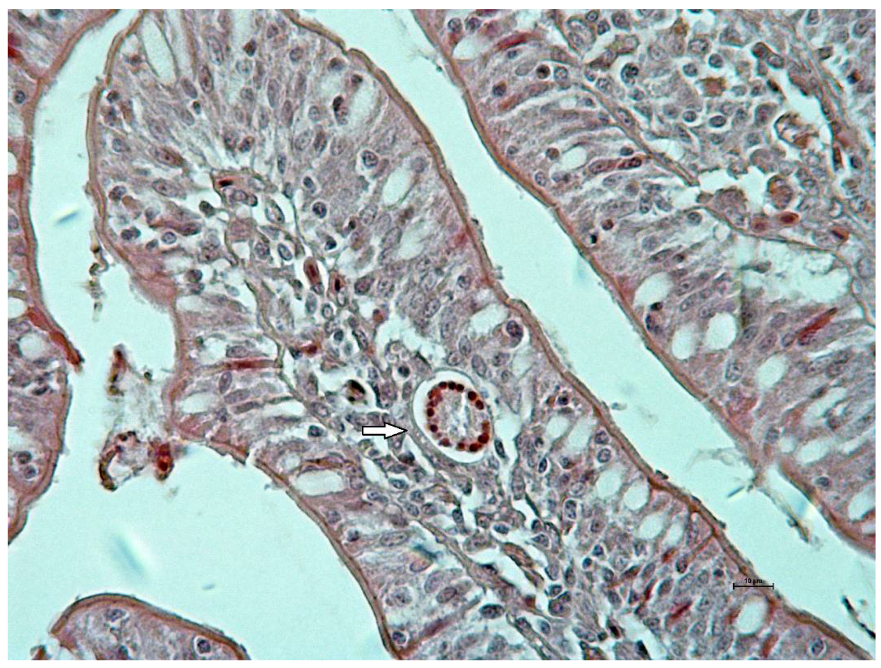
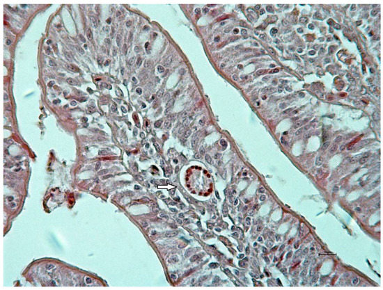
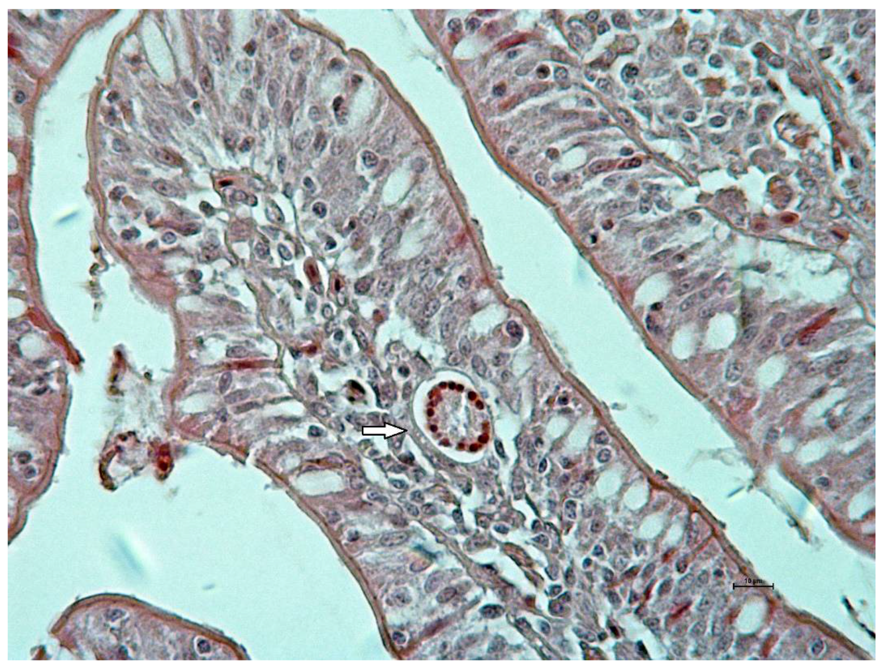
3.1. Clinical Sings, Gross Lesions, Histological Changes
3.2. Evaluation of MUC1 and MUC2
3.3. Determination of sIgA
3.4. Measurement of Metallothionein
4. Discussion
5. Conclusions
Author Contributions
Funding
Institutional Review Board Statement
Informed Consent Statement
Data Availability Statement
Conflicts of Interest
References
- Anand, K.; Wakode, S. Development of drugs based on benzimidazole heterocycle: Recent advancement and insights. Int. J. Chem. Stud. 2017, 5, 350–362. [Google Scholar]
- Collins, B.; Jordan, B.; Vidvashnkar, A.N.; Castro, P.J.; Fowler, J.; Kaplan, R.M. Impact of fenbendazole resistance in Ascaridia dissimilis on the economic production in turkeys. Poult. Sci. 2021, 100, 101435. [Google Scholar] [CrossRef] [PubMed]
- Luna-Olivares, L.A.; Kyvsgaard, N.C.; Ferdushy, T.; Nejsum, P.; Thamsborg, S.M.; Roepstorff, A.; Iburg, T.M. The jejunal cellular responses in chickens infected with a single dose of Ascaridia galli eggs. Parasitol. Res. 2015, 114, 2507–2515. [Google Scholar] [CrossRef] [PubMed]
- Hansen, M.; Terhaar, C.; Turner, D. Importance of the egg shell of Ascaridia galli to the infectivity of its larva. J. Parasitol. 1956, 42, 122–125. [Google Scholar] [CrossRef]
- Ferdushy, T.; Luna-Olivares, L.A.; Nejsum, P.; Roepstorff, A.; Thamsborg, S.M.; Kyvsgaard, N.C. Population dynamics of Ascaridia galli following single infection in young chickens. Parasitology 2013, 140, 1078–1084. [Google Scholar] [CrossRef]
- Luna-Olivares, L.A.; Ferdushy, T.; Kyvsgaard, N.C.; Nejsum, P.; Thamsborg, S.M.; Roepstorff, A.; Iburg, T.M. Localization of Ascaridia galli larvae in the jejunum of chickens 3 days post infection. Vet. Parasitol. 2012, 185, 186–193. [Google Scholar] [CrossRef]
- Schwarz, A.; Gauly, M.; Abel, H.; Daş, G.; Humburg, J.; Rohn, K.; Breves, G.; Rautenschlein, S. Immunopathogenesis of Ascaridia galli infection in layer chicken. Dev. Comp. Immunol. 2011, 35, 774–784. [Google Scholar] [CrossRef]
- Else, K.J. How gastrointestinal nematodes outwitted the immune system? Parasite Immunol. 2005, 27, 407–415. [Google Scholar] [CrossRef]
- Antonella, B.; Politis, I.; Pecorini, C.; Fusi, E.; Chronopoulou, R.; Dell’orto, V. Biological effects of milk proteins and their peptides with emphasis on that related gastrointestinal ecosystem. J. Dairy Res. 2005, 72, 66–72. [Google Scholar]
- Herich, R. Is the role of IgA in local immunity completely known? Food Agric. Immun. 2016, 28, 223–237. [Google Scholar] [CrossRef]
- Matsuzawa, K.; Abe, M.; Shirakura, T.; Zhao, W.; Nakamura, F. Spontaneous worm expulsion and intestinal IgA response in mice infected by Vampirolepis nana. Parasitol. Int. 2008, 57, 512–514. [Google Scholar] [CrossRef] [PubMed]
- Linden, S.K.; Karlsson, N.G.; Korolik, V.; McGuckin, M.A. Mucins in the mucosal barrier to infection. Mucosal Immunol. 2008, 1, 183–191. [Google Scholar] [CrossRef] [PubMed]
- Hasnain, S.Z.; Wang, H.; Ghia, J.E.; Hag, N.; Deng, Y.; Velcich, A.; Grencis, R.K.; Thornton, D.J.; Khan, W.I. Mucin gene deficiency in mice impairs host resistance to an enteric parasitic infection. Gastroenterology 2010, 138, 1763–1771. [Google Scholar] [CrossRef] [PubMed]
- Dhar, P.; McAuley, J. The role of the cell surface mucin MUC-1 as a barrier to infection and regulator of inflammation. Front. Cell Infect. Microbiol. 2019, 9, 117. [Google Scholar] [CrossRef]
- Zhang, Q.; Eicher, S.D.; Applegate, T.J. Development of intestinal mucin 2, IgA, and polymeric Ig receptor expressions in broiler chickens and Pekin ducks. Poult. Sci. 2015, 94, 172–180. [Google Scholar] [CrossRef]
- Levkut, M.; Husáková, E.; Bobíková, K.; Karaffová, V.; Levkutová, M.; Ivanišinová, O.; Grešáková, Ľ.; Čobánová, K.; Reiterová, K.; Levkut, M. Inorganic or organic zinc and MUC-2, IgA, IL-17, TGF-β gene expression and sIgA secretion in broiler chickens. Food Agric. Immunol. 2017, 28, 801–811. [Google Scholar] [CrossRef]
- Bonaventura, P.; Benedetti, G.; Albarède, F.; Miossec, P. Zinc and its role in immunity and inflammation. Autoimmun. Rev. 2015, 14, 277–285. [Google Scholar] [CrossRef]
- Hasnain, S.Z.; Gallagher, A.L.; Grencis, R.K.; Thorton, D.J. A new role for mucins in immunity: Insights from gastrointestinal nematode infection. Int. J. Biochem. Cell Biol. 2013, 45, 364–374. [Google Scholar] [CrossRef]
- Walsh, C.T.; Sandstead, H.H.; Prasad, A.S.; Newberne, P.M.; Fraker, P.J. Zinc: Health effects and research priorities for the 1990s. Environ. Health Perspect. 1994, 102 (Suppl. 2), 5–46. [Google Scholar]
- Andrews, G.K. Regulation of metallothionein gene expression. Prog. Food Nutr. Sci. 1990, 14, 193–258. [Google Scholar]
- Sato, M.; Kondoh, M. Recent studies on metallothionein: Protection against toxicity of heavy metals and oxygen free radicals. Tohoku J. Exp. Med. 2002, 196, 9–22. [Google Scholar] [CrossRef] [PubMed]
- Permin, A.; Pearman, M.; Nansen, P.; Bisgaard, M.; Frandsen, F. An investigation on different media for embryonation of Ascaridia galli eggs. Helminthologia 1997, 34, 75–79. [Google Scholar]
- Holt, P.S.; Gast, R.K.; Porter, R.E., Jr.; Stone, H.D. Hyporesponsiveness of the systemic and mucosal humoral immune systems in chickens infected with Salmonella enterica serovar Enteritidis at one day of age. Poult. Sci. 1999, 78, 1510–1517. [Google Scholar] [CrossRef] [PubMed]
- Husáková, E.; Bobíková, K.; Stašová, D. Total IgA in spleen, bursa and intestine of chickens pretreated with E. faecium AL41 and challenged with Salmonella Enteritidis PT4. Food Agric. Immunol. 2015, 26, 366–370. [Google Scholar] [CrossRef]
- Permin, A.; Hansen, J.W. Epidemiology, diagnosis and control of poultry parasite. In FAO Animal Health Manual; Food and Agriculture Organization of the United Nations: Rome, Italy, 1998. [Google Scholar]
- Herd, R.P.; McNaught, D.J. Arrested development and the histotrophic phase of Ascaridia galli in the chickens. Int. J. Parasitol. 1975, 5, 401–406. [Google Scholar] [CrossRef]
- Dehlawi, M.S.; Mahida, Y.R.; Hughes, K.; Wakelin, D. Effect of Trichinella spiralis infection on intestinal pathology in mice lacking interleuki-4 (IL-4) or intestinal trefoil factor (ITF/TFF3). Parasitol. Int. 2006, 55, 207–211. [Google Scholar] [CrossRef]
- Herbert, B.R.; Yang, J.O.; Hogan, S.P.; Groswitz, K.; Khodoun, M.; Munitz, A.; Orekov, T.; Perkins, C.H.; Wang, Q.; Brombacher, F.; et al. Intestinal epithelial cell secretion of RELM-βprotect against gastrointestinal worm infection. J. Exp. Med. 2009, 206, 2947–2957. [Google Scholar] [CrossRef]
- Shekels, L.L.; Anway, R.E.; Lin, J.; Kennedy, M.W.; Garside, P.; Lawrence, C.F.; Ho, S.B. Coordinadted Muc2 and Muc3 mucin gene expression in Trichinella spiralis infection in wild-type and cytokine-deficient mice. Dig. Dis. Sci. 2001, 46, 1757–1764. [Google Scholar] [CrossRef]
- Theoropoulos, G.; Hicks, S.J.; Corfield, A.P.; Miller, B.G.; Kapel, C.M.O.; Trivizaki, M.; Balaskas, C.; Petrakos, G.; Carrington, S.D. Trichinella spiralis: Enteric mucin-related response to experimental infection in conventional and SPF pigs. Exp. Par. 2005, 109, 63–71. [Google Scholar] [CrossRef]
- Thomsen, L.E.; Knudsen, K.E.B.; Hedernann, M.S.; Roepstorff, A. The effect of dietary carbohydrates and Trichuris suis infection on pig large intestine tissue structure, epithelial cell proliferation and mucin characteristics. Vet. Parasitol. 2006, 142, 112–122. [Google Scholar] [CrossRef]
- Sharpe, C.; Thornton, D.J.; Grencis, R.K. A sticky end for gastrointestinal helminths; the role of the mucus barrier. Parasite Immunol. 2018, 40, e12517. [Google Scholar] [CrossRef] [PubMed]
- Karaffová, V.; Revajová, V.; Dvorožňaková, E.; Grešáková, Ľ.; Levkut, M.; Ševčíková, Z.; Herich, R.; Levkut, M. Effect of inorganic zinc on selected immune parameters in chicken blood and jejunum after A. galli infection. Agriculture 2021, 11, 551. [Google Scholar] [CrossRef]
- Ruttkay-Nedecky, B.; Nejdl, L.; Gumulec, J.; Zitka, O.; Masarik, M.; Eckschlager, T.; Stiborova, M.; Adam, V.; Kizek, R. The role of metallothionein in oxidative stress. Int. J. Mol. Sci. 2013, 14, 6044–6066. [Google Scholar] [CrossRef] [PubMed]
- Kimura, T.; Kambe, T. The functions of metallothionein and ZIP and ZnT transporters: An overview and perspective. Int. J. Mol. Sci. 2016, 17, 336. [Google Scholar] [CrossRef]
- Kang, Y.J. Metallothionein redoc cycle and function. Exp. Biol. Med. 2006, 231, 1459–1467. [Google Scholar] [CrossRef]





| Ingredients g/kg | BR1 |
|---|---|
| Wheat | 290 |
| Maize | 300 |
| Soybean meal | 320 |
| Rapeseed oil | 40 |
| Fish meal | 20 |
| Limestone | 12 |
| Dicalcium phosphate | 10 |
| Sodium chloride | 2 |
| DL-methionine | 1 |
| Vitamin-mineral mix | 5 |
| Composition by analysis (g/kg) | |
| Dry matter | 899.9 |
| Crude protein | 232.7 |
| Fat | 64.5 |
| Dietary fiber | 22.7 |
| Ash | 53 |
| Ca | 90.4 |
| P total | 69.6 |
| Metabolize energy | 11.515 |
Disclaimer/Publisher’s Note: The statements, opinions and data contained in all publications are solely those of the individual author(s) and contributor(s) and not of MDPI and/or the editor(s). MDPI and/or the editor(s) disclaim responsibility for any injury to people or property resulting from any ideas, methods, instructions or products referred to in the content. |
© 2022 by the authors. Licensee MDPI, Basel, Switzerland. This article is an open access article distributed under the terms and conditions of the Creative Commons Attribution (CC BY) license (https://creativecommons.org/licenses/by/4.0/).
Share and Cite
Levkut, M.; Levkutová, M.; Grešáková, Ľ.; Bobíková, K.; Revajová, V.; Dvorožňáková, E.; Ševčíková, Z.; Herich, R.; Karaffová, V.; Žitňan, R.; et al. Production of Intestinal Mucins, sIgA, and Metallothionein after Administration of Zinc and Infection of Ascaridia galli in Chickens: Preliminary Data. Life 2023, 13, 67. https://doi.org/10.3390/life13010067
Levkut M, Levkutová M, Grešáková Ľ, Bobíková K, Revajová V, Dvorožňáková E, Ševčíková Z, Herich R, Karaffová V, Žitňan R, et al. Production of Intestinal Mucins, sIgA, and Metallothionein after Administration of Zinc and Infection of Ascaridia galli in Chickens: Preliminary Data. Life. 2023; 13(1):67. https://doi.org/10.3390/life13010067
Chicago/Turabian StyleLevkut, Martin, Mária Levkutová, Ľubomíra Grešáková, Katarína Bobíková, Viera Revajová, Emília Dvorožňáková, Zuzana Ševčíková, Róbert Herich, Viera Karaffová, Rudolf Žitňan, and et al. 2023. "Production of Intestinal Mucins, sIgA, and Metallothionein after Administration of Zinc and Infection of Ascaridia galli in Chickens: Preliminary Data" Life 13, no. 1: 67. https://doi.org/10.3390/life13010067
APA StyleLevkut, M., Levkutová, M., Grešáková, Ľ., Bobíková, K., Revajová, V., Dvorožňáková, E., Ševčíková, Z., Herich, R., Karaffová, V., Žitňan, R., & Levkut, M. (2023). Production of Intestinal Mucins, sIgA, and Metallothionein after Administration of Zinc and Infection of Ascaridia galli in Chickens: Preliminary Data. Life, 13(1), 67. https://doi.org/10.3390/life13010067

