Vitamin B1 Deficiency and Perimyocarditis Fulminans: A Case Study of Shoshin Syndrome in a Woman Following an Unbalanced Dietary Pattern Followed by a Literature Review
Abstract
1. Introduction
2. Materials and Methods
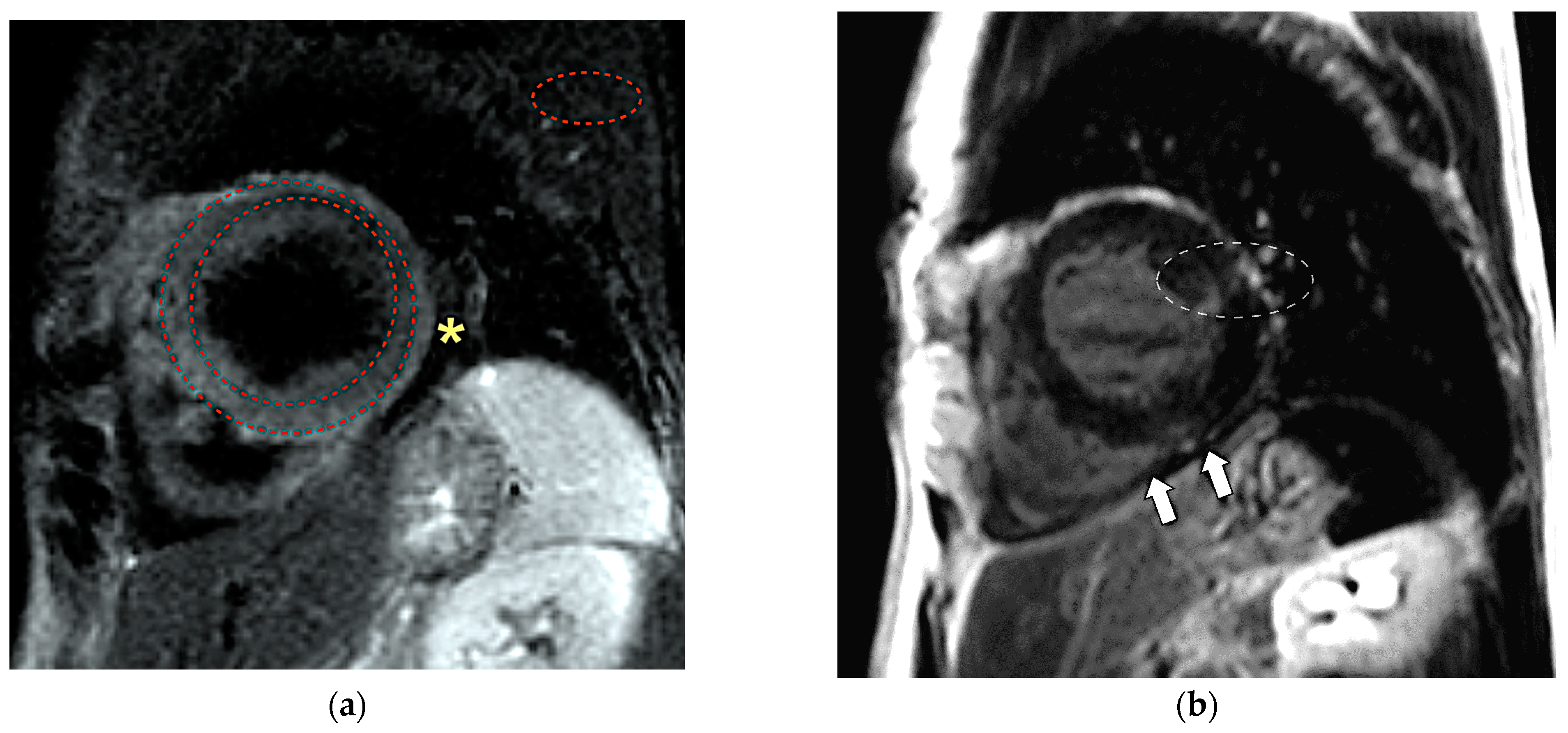
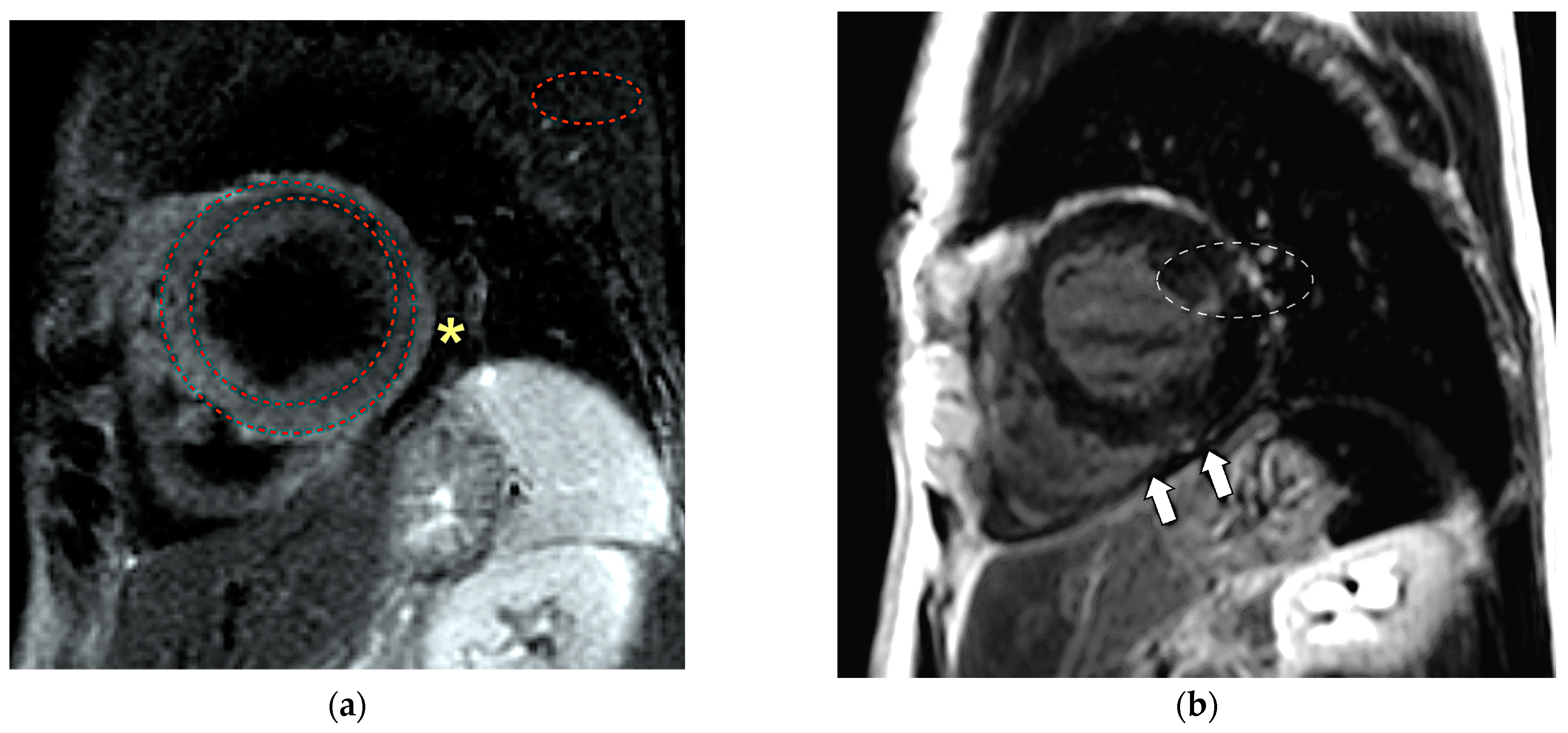
3. Case Presentation
4. Discussion
5. Practical Implications
6. Review of the Literature
7. Conclusions
Author Contributions
Funding
Institutional Review Board Statement
Informed Consent Statement
Data Availability Statement
Conflicts of Interest
References
- Hrubša, M.; Siatka, T.; Nejmanová, I.; Vopršalová, M.; Kujovská Krčmová, L.; Matoušová, K.; Javorská, L.; Macáková, K.; Mercolini, L.; Remião, F.; et al. Biological Properties of Vitamins of the B-Complex, Part 1: Vitamins B1, B2, B3, and B5. Nutrients 2022, 14, 484. [Google Scholar] [CrossRef]
- Lonsdale, D. A review of the biochemistry, metabolism and clinical benefits of thiamin(e) and its derivatives. Evid. Based Complement. Alternat. Med. 2006, 3, 49–59. [Google Scholar] [CrossRef]
- Ahmed, M.; Azizi-Namini, P.; Yan, A.T.; Keith, M. Thiamin deficiency and heart failure: The current knowledge and gaps in literature. Heart Fail Rev. 2015, 20, 1–11. [Google Scholar] [CrossRef]
- Gubbay, E.R. Beri-Beri heart disease. Can. Med. Assoc. J. 1966, 95, 21–27. [Google Scholar]
- Kim, J.; Park, S.; Kim, J.H.; Kim, S.W.; Kang, W.C.; Kim, S.J. A case of shoshin beriberi presenting as cardiogenic shock with diffuse ST-segment elevation, which dramatically improved after a single dose of thiamine. Cardiovasc. J. Afr. 2014, 25, e1–e55. [Google Scholar] [CrossRef]
- Attas, M.; Hanley, H.G.; Stultz, D.; Jones, M.R.; McAllister, R.G. Fulminant beriberi heart disease with lactic acidosis: Presentation of a case with evaluation of left ventricular function and review of pathophysiologic mechanisms. Circulation 1978, 8 Pt 1, 566–572. [Google Scholar] [CrossRef]
- Cottini, M.; Ranucci, M.; Facciolo, C.; Satriano, A.; Kandill, H.; Bettini, F.; De Vincentis, C.; Cotza, M.; Ballotta, A. An unusual case of cardiogenic shock in which thiamine administration led to reversal of lactic acidosis and heart function recovery: Shoshin beriberi in an adolescent. Int. J. Cardiol. 2016, 222, 401–403. [Google Scholar] [CrossRef]
- Kountchev, J.; Bijuklic, K.; Bellmann, R.; Joannidis, M. A patient with severe lactic acidosis and rapidly evolving multiple organ failure: A case of shoshin beri-beri. Intensive Care Med. 2005, 31, 1004. [Google Scholar] [CrossRef]
- Dabar, G.; Harmouche, C.; Habr, B.; Riachi, M.; Jaber, B. Shoshin Beriberi in Critically-Ill patients: Case series. Nutr. J. 2015, 14, 51. [Google Scholar] [CrossRef]
- Bello, S.; Neri, M.; Riezzo, I.; Othman, M.S.; Turillazzi, E.; Fineschi, V. Cardiac beriberi: Morphological findings in two fatal cases. Diagn. Pathol. 2011, 6, 8. [Google Scholar] [CrossRef] [PubMed]
- Pang, J.A.; Yardumian, A.; Davies, R.; Patterson, D.L.H. Shoshin beriberi: An underdiagnosed condition? Intensive Care Med. 1986, 12, 380–382. [Google Scholar] [CrossRef] [PubMed]
- Kaya, Z.; Bicer, A.; Yalcin, F.; Er, A.; Camuzcuoglu, A.; Korkmaz, N.; Sezen, Y. Impaired global and segmental myocardial deformation assessed by two-dimensional speckle tracking echocardiography in patients with vitamin B12 deficiency. Cardiol. J. 2014, 21, 60–66. [Google Scholar] [CrossRef] [PubMed]
- Niland, B.; Cash, B.D. Health Benefits and Adverse Effects of a Gluten-Free Diet in Non-Celiac Disease Patients. Gastroenterol. Hepatol. 2018, 14, 82–91. [Google Scholar]
- Diez-Sampedro, A.; Olenick, M.; Maltseva, T.; Flowers, M. A Gluten-Free Diet, Not an Appropriate Choice without a Medical Diagnosis. J. Nutr. Metab. 2019, 2019, 2438934. [Google Scholar] [CrossRef]
- Hathirat, S.; Jumbala, B. Giant T inversion in cardiac beriberi. J. Med. Assoc. Thail. 1975, 58, 636–641. [Google Scholar]
- Meurin, P. Shoshin beriberi. A rapidly curable hemodynamic disaster. Presse Med. 1996, 25, 1115–1118. [Google Scholar]
- Whitfield, K.C.; Bourassa, M.W.; Adamolekun, B.; Bergeron, G.; Bettendorff, L.; Brown, K.H.; Cox, L.; Fattal-Valevski, A.; Fischer, P.R.; Frank, E.L.; et al. Thiamine deficiency disorders: Diagnosis, prevalence, and a roadmap for global control programs. Ann. N. Y. Acad. Sci. 2018, 1430, 3–43. [Google Scholar] [CrossRef]
- Smith, T.J.; Johnson, C.R.; Koshy, R.; Hess, S.Y.; Qureshi, U.A.; Mynak, M.L.; Fischer, P.R. Thiamine deficiency disorders: A clinical perspective. Ann. N. Y. Acad. Sci. 2021, 1498, 9–28. [Google Scholar] [CrossRef]
- Lei, Y.; Zheng, M.H.; Huang, W.; Zhang, J.; Lu, Y. Wet beriberi with multiple organ failure remarkably reversed by thiamine administration: A case report and literature review. Medicine 2018, 97, e0010. [Google Scholar] [CrossRef]
- Barennes, H.; Sengkhamyong, K.; Rene, J.P.; Phimmasane, M. Beriberi (thiamine deficiency) and high infant mortality in northern Laos. PLoS Negl. Trop. Dis. 2015, 9, e0003581. [Google Scholar] [CrossRef]
- Bhat, J.I.; Rather, H.A.; Ahangar, A.A.; Qureshi, U.A.; Dar, P.; Ahmed, Q.I.; Charoo, B.A.; Ali, S.W. Shoshin beriberi-thiamine responsive pulmonary hypertension in exclusively breastfed infants: A study from northern India. Indian Heart J. 2017, 69, 24–27. [Google Scholar] [CrossRef]
- Thomas, L.; Fay, D.; Moraillon, X.; Delubac, G.; Berthet, P.; Demingeon, G. Lactic acidosis treated with thiamine. 3 cases. Presse Med. 1985, 14, 1871–1875. [Google Scholar] [PubMed]
- Shivalkar, B.; Engelmann, I.; Carp, L.; De Raedt, H.; Daelemans, R. Shoshin syndrome: Two case reports representing opposite ends of the same disease spectrum. Acta Cardiol. 1998, 53, 195–199. [Google Scholar] [PubMed]
- Saya, R.P.; Baikunje, S.; Prakash, P.S.; Subramanyam, K.; Patil, V. Clinical correlates and outcome of shoshin beriberi. N. Am. J. Med. Sci. 2012, 4, 503–506. [Google Scholar] [CrossRef] [PubMed]
- Salvatori, G.; Mondi, V.; Piersigilli, F.; Capolupo, I.; Pannone, V.; Vici, C.D.; Rizzo, C.; Dotta, A. Thiamine Deficiency in a Developed Country: Acute Lactic Acidosis in Two Neonates Due to Unsupplemented Parenteral Nutrition. JPEN J. Parenter. Enteral Nutr. 2016, 40, 886–889. [Google Scholar] [CrossRef] [PubMed]
- Delorme, N.; Cornette, A.; Maurin, P.; Polu, J.M.; Sadoul, P. Shoshin beriberi with hyponatremia in a beer drinker. Presse Med. 1986, 15, 2005–2009. [Google Scholar] [PubMed]
- Naidoo, D.P.; Singh, B.; Haffejee, A.; Aitcheson, J.; Barker, E.M. Acute pernicious beriberi in a patient receiving parenteral nutrition. A case report. S. Afr. Med. J. 1989, 75, 546–548. [Google Scholar]
- Cage, J.B.; Wall, B.M. Shoshin beriberi in an AIDS patient with end-stage renal disease. Clin. Cardiol. 1992, 15, 862–865. [Google Scholar] [CrossRef]
- Debuse, P.J. Shoshin beriberi in an infant of a thiamine-deficient mother. Acta Paediatr. 1992, 81, 723–724. [Google Scholar] [CrossRef]
- Fujita, I.; Sata, T.; Gondo, K.; Fukazawa, M.; Kukita, J.; Zaitsu, A.; Yoshitake, J.; Ueda, K. Cardiac beriberi (shoshin beriberi) caused by excessive intake of isotonic drink. Acta Paediatr. Jpn. 1992, 34, 466–468. [Google Scholar] [CrossRef]
- Smith, S.W. Severe acidosis and hyperdynamic circulation in a 39-year-old alcoholic. J. Emerg. Med. 1998, 16, 587–591. [Google Scholar] [CrossRef]
- López Gastón, O.D.; Malvino, E.R.; McLoughlin, D.; Osatnik, J.; Chávez Zambrano, M.A.; Pino, C. Acute cardiovascular beriberi (shoshin-beriberi). Medicina 2002, 62, 331–334. [Google Scholar]
- Groeneveld, J.H.; Geelhoed-Duijvestijn, P.H.; Veldkamp, R.F.; Baur, H.J. Shoshin beriberi provoked by the inhalation of salbutamol. Ned. Tijdschr. Geneeskd. 2003, 147, 1601–1603. [Google Scholar] [PubMed]
- Goto, Y.; Awata, M.; Uematsu, M.; Yano, M.; Morozumi, T.; Kotani, J.; Watanabe, T.; Onishi, T.; Iida, O.; Sera, F.; et al. Shoshin beriberi complicating severe pulmonary hypertension: A case report. J. Cardiol. 2007, 49, 361–365. [Google Scholar] [PubMed]
- Daly, M.J.; Dixon, L.J. A case of ST-elevation and nystagmus—When coronary thrombosis is not to blame. QJM Int. J. Med. 2009, 102, 737–739. [Google Scholar] [CrossRef] [PubMed]
- Greenspon, J.; Perrone, E.E.; Alaish, S.M. Shoshin beriberi mimicking central line sepsis in a child with short bowel syndrome. World J. Pediatr. 2010, 6, 366–368. [Google Scholar] [CrossRef]
- Loma-Osorio, P.; Pe√Īafiel, P.; Doltra, A.; Sionis, A.; Bosch, X. Shoshin beriberi mimicking a high-risk non-ST-segment elevation acute coronary syndrome with cardiogenic shock: When the arteries are not guilty. J. Emerg. Med. 2011, 41, e73–e77. [Google Scholar] [CrossRef]
- Reinhardt, D.; Giambarba, C.; Raimondi, S. Alcohol, acid, vitamins and heart. Praxis 2011, 100, 733–736. [Google Scholar] [CrossRef] [PubMed]
- Brown, T.M. A case of Shoshin Beriberi: Lessons old and new for the psychiatrist. Psychosomatics. 2013, 54, 175–180. [Google Scholar] [CrossRef]
- Kuno, T.; Nakamura, H.; Endo, Y.; Saito, K.; Yamazaki, H.; Motoda, H.; Numasawa, Y.; Shimizu, K.; Takahashi, T. Clinical history and colliquative myocytolysis are keys to the diagnosis of shoshin beriberi. Case Rep. Pathol. 2014, 2014, 506072. [Google Scholar] [CrossRef]
- Misumida, N.; Umeda, H.; Iwase, M. Shoshin beriberi induced by long-term administration of diuretics: A case report. Case Rep. Pathol. 2014, 2014, 878915. [Google Scholar] [CrossRef] [PubMed]
- Moulin, P.; Cinq-Frais, C.; Gangloff, C.; Peyre, M.; Seguela, P.E.; Charpentier, S.; Cascarigny, F.; Alcouffe, F.; Periquet, B.; Dulac, Y.; et al. Thiamine deficiency in infants: A case report. Arch. Pediatr. Organe Off. Soc. Fr. Pediatr. 2014, 21, 392–395. [Google Scholar] [CrossRef] [PubMed]
- Tejedor, A.; Solé, M.; Prieto-González, S.; Alba, M.A.; Grau, J.M.; Cid, M.C.; Hernández-Rodriguez, J. Acute dilated cardiomyopathy in a patient with beriberi and cryoglobulinaemic vasculitis: An unusual potential complication of two rare disorders. Clin. Exp. Rheumatol. 2014, 32 (Suppl. 82), S66–S69. [Google Scholar] [PubMed]
- Imamura, T.; Kinugawa, K. Shoshin Beriberi With Low Cardiac Output and Hemodynamic Deterioration Treated Dramatically by Thiamine Administration. Int. Heart J. 2015, 56, 568–570. [Google Scholar] [CrossRef]
- Shah, A.; Patel, S.; Kothari, S.; Denk, J. Beriberi Induced Cardiomyopathy Requiring Salvage Venoarterial Extracorporeal Membrane Oxygenation. Case Rep. Crit. Care 2016, 2016, 5043818. [Google Scholar] [CrossRef]
- Elias, I.M.; Sinclair, G.; Blydt-Hansen, T.D. Acute Shoshin beriberi syndrome immediately post-kidney transplant with rapid recovery after thiamine administration. Pediatr. Transplant. 2019, 23, e13493. [Google Scholar] [CrossRef]
- Vicinanza, A.; De Laet, C.; Rooze, S.; Willems, A.; Beretta-Piccoli, X.; Vens, D.; Voglet, C.; Jacquemart, C.; Massin, M.; Biarent, D. Shoshin Beriberi and Severe Accidental Hypothermia as Causes of Heart Failure in a 6-Year-Old Child: A Case Report and Brief Review of Literature. Front. Pediatr. 2019, 7, 119. [Google Scholar] [CrossRef]
- Didisheim, C.; Ballhausen, D.; Choucair, M.L.; Longchamp, D.; Natterer, J.; Ferry, T.; Perez, M.H.; Amiet, V. Severe Lactic Acidosis in a Critically Ill Child: Think About Thiamine! A Case Report. J. Pediatr. Intensive Care 2020, 10, 307–310. [Google Scholar] [CrossRef]
- Hodgkinson, L.M.; Shah, A.; Bae, G.H.; Novoa, R.; Kwong, B.Y. Shoshin beriberi in a patient with oral and cutaneous graft-versus-host disease. JAAD Case Rep. 2020, 6, 420–421. [Google Scholar] [CrossRef]
- Lim, M.S.; Win, W.; Von Essen, A.; Gannon, D.; Ramali, M. Lessons of the month 1: Shoshin beriberi: A case report of fulminant cardiovascular collapse, intractable hyperlactatemia and deteriorating consciousness. Clin. Med. 2021, 21, e670–e672. [Google Scholar] [CrossRef]
- Tamaki, H.; Tsushima, H.; Kachi, N.; Jimura, F. Cardiac Dysfunction Due to Thiamine Deficiency after Hemodialysis for Biguanide-related Lactic Acidosis. Intern. Med. 2022, 61, 2905–2909. [Google Scholar] [CrossRef] [PubMed]
- Tanné, C.; Nguyen, J.; Blondé, R. Shoshin beriberi and thiamine-responsive right heart failure: A case report in Mayotte Recognition and management of infant Shoshin beriberi. Arch. Pediatr. Organe Off. Soc. Fr. Pediatr. 2022, 29, 624–625. [Google Scholar] [CrossRef] [PubMed]


| On Admission | Day 2 | Day 5 | After 2 Weeks | |
|---|---|---|---|---|
| pH (normal: 7.37–7.45) | 6.6 | 6.9 | 7.43 | 7.39 |
| Lac; mmol/L (normal: 0.5–2.2) | 19.0 | 23.0 | 3.2 | 1.0 |
| HCO3−; mmol/L (normal: 22–28) | 3.4 | 7.5 | 24.4 | 21.5 |
| 4 pCO2; mmHg (normal: 31–43) | 29.5 | 41.1 | 36.4 | 35.8 |
| BE; mmol/L (normal: −2.0–3.0) | −34.6 | −24.4 | 0.3 | −2.7 |
| TnI; ng/mL (normal: 0–0.1) | 1.01 | 0.9 | 19.25 | 0.02 |
| CK-MB mass; ng/mL (normal: 0.0–6.6) | 27.6 | 59.9 | 250.8 | 3.9 |
| creatinine; mg/dL (normal: 0.55–1.02) | 0.82 | 1.34 | 3.37 | 0.73 |
| eGFR; ml/min/1.73 m2 | 84 | 47 | 16 | >90 |
| CRP; mg/L (normal: 0.0–5.0) | 0.92 | 105.9 | 21.74 | 1.11 |
| PCT; ng/mL (normal: 0.0–0.5) | 0.08 | 7.16 | 3.34 | 0.07 |
| WBC; ×109/L (normal: 4–10) | 9.43 | 21 | 12.15 | 7.48 |
| Hb; g/dL (normal: 12–16) | |
| on admission | 12.5 |
| the outermost value | 6.4 |
| iron; ug/dL (normal: 50–170) | 38 |
| ferritin; ng/mL (normal: 4.63–204) | 588 |
| transferrin; G/L (normal: 1.8–3.82) | 1.29 |
| transferrin saturation; % (normal: 15–45) | 20.9 |
| ALT; U/L (normal: 0–55) | |
| on admission | 31 |
| the outermost value | 495 |
| AST; U/L (normal: 0–35) | |
| on admission | 21 |
| the outermost value | 555 |
| serum albumin; G/L (normal: 35–50) | 18 |
| Endomyocardial Biopsy | Cardiac Fragments within Normal Limits |
|---|---|
| anti-beta2GPI antibodies IgG (normal 0–5) | 0.27 |
| anti-beta2GPI antibodies IgM (normal 0–5) | 0.00 |
| aPS antibodies IgG (normal 0–10) | 3.48 |
| aPS antibodies IGM (normal 0–10) | 0.00 |
| dRVVT—LA1 (screening); sec (normal 31–44) | 27 |
| anti-cardiac muscle antibodies (normal 0–1) | 1:10 |
| anti-striated muscle antibodies (normal 0–1) | 1:10 |
| ANCA (normal 0–1) | 0 |
| HLA B27 antigen | positive |
| anti-CMV antibodies IgG; U/ml | 26.8 |
| anti-CMV antibodies IgM; U/ml | <5 |
| anti-borelia burgdorferi antibodies IgM and IgG | negative |
| Chlamydophilia pneumoniae IgA, IgM and IgG | negative |
| Mycoplasma pneumoniae IgA, IgM and IgG | negative |
| Clostridium difficile toxins (A, B, GDH) | negative |
| Pneumocystis carinii trophozoits | negative |
| adenoviruses and rotaviruses | negative |
| eosinophil count; ×109/L (normal 0.02–0.5) | 0.17 |
| eosinophil count; ×109/L (normal 0.02–0.5) | 2.3 |
| TSH; uU/mL (normal 0.34–4.94) | 5.25 |
| fT4; pmol/L (normal 9.01–19.05) | 15.17 |
| fT3; pmol/L (normal 2.63–5.7) | 3.49 |
| anti-tTg IgA; RU/mL (normal 0–20) | 11.55 |
| anti-tTg IgG | 0.05 |
| total IgA; G/L (normal 0.65–4.21) | 2.02 |
| total IgM; G/L (normal 0.33–2.93) | 14.92 |
| total IgG; G/L (normal 5.52–16.31) | 0.96 |
| serum proteins electrophoresis: | |
| albumin; % (normal 55.8–66.1) | 53.2 |
| albumin; G/L (35–50) | 28 |
| alpha-1-globulins; % (normal 2.9–4.9) | 4.2 |
| alpha-2-globulins; % (normal 7.1–11.8) | 7.7 |
| beta-2-globulins; % (normal 3.2–6.5) | 6.0 |
| beta-1-globulins; % (normal 4.7–7.2) | 6.2 |
| gamma-globulins; % (normal 11.1–18.8) | 22.7 |
| total protein G/L (normal 64–83) | 66 |
| Author | Date and Country of the Study | Patient’s Age | Cause of Thiamine Deficiency | Clinical Presentation |
|---|---|---|---|---|
| Original research | ||||
| Barennes, H.; et al. [20] | Laos, 2015 | 1–6 months old | breastfed infant of thiamine-deficient mother (dietary insufficiency—excessive consumption of polished rice) | acute heart failure (AHF) and lactic acidosis |
| Bhat J.I., et al. [21] | India, 2017 | 78.45 ± 30.7 days | breastfed infants of thiamine-deficient mothers (due to customary dietary restrictions) | cardiogenic shock and renal failure |
| Case series | ||||
| Thomas, L.; et al. [22] | France, 1985 | 3 adult patients, 1 had Shoshin beriberi | excessive alcohol intake | cardiogenic shock and lactic acidosis |
| Pang, J. A.; et al. [11] | United Kingdom (UK), 1986 | 2 adult patients | dietary deficiency | AHF with renal failure and severe metabolic acidosis |
| Shivalkar, B.; et al. [23] | Belgium, 1998 | 2 adult patients | excessive alcohol intake | one with high-output heart failure (HF) and the other with low-output HF and cardiovascular collapse |
| Bello, S.; et al. [10] | Italy, 2011 | 2 patients, 47 and 43 years old | 1. gastric resection 2. total parenteral nutrition (TPN) | cardiac arrest and lactic acidosis |
| Saya, R.P.; et al. [24] | India, 2012 | 6 patients, 20–36 years old | five were non-alcoholics and none had signs of overt malnutrition | cardiogenic shock, severe metabolic acidosis, and multiorgan failure (MOF) |
| Dabar, G.; et al. [9] | Lebanon, 2015 | 4 patients, 23–60 years old | critically ill non-septic non-alcoholic patients 1. gastric surgery 2. pancreatic cancer 3. type-1 glycogen storage disease 4. peritonitis | severe lactic acidosis and refractory cardio-circulatory collapse |
| Salvatori, G., et al. [25] | Italy, 2016 | 2 pre-term infants | prolonged TPN | AHF with MOF and lactic acidosis |
| Case reports | ||||
| Attas, M.; et al. [6] | United States of America (USA), 1978 | 36 years old | excessive alcohol intake | AHF with lactic acidosis and dyspnea |
| Delorme, N.; et al. [26] | France, 1986 | age not precise, adult | excessive alcohol intake | cardiogenic shock with lactic acidosis and severe hyponatremia |
| Naidoo, D.P.; et al. [27] | Republic of South Africa, 1989 | age not precise, adult | TPN and protracted vomiting from intestinal obstruction | refractory cardiogenic shock and lactic acidosis |
| Cage, J. B.; et al. [28] | USA, 1992 | 29 years old | end-stage kidney failure on continuous peritoneal dialysis | cardiogenic shock with fulminant pulmonary edema |
| Debuse, P. J.; et al. [29] | Australia, 1992 | 3 months old | breastfed infant of thiamine-deficient mother | cardiogenic shock with lactic acidosis |
| Fujita, I.; et al. [30] | Japan, 1992 | 21 months old | excessive isotonic sports drink intake | cardiogenic shock with lactic acidosis |
| Smith, S. W. [31] | USA, 1998 | 39 years old | excessive alcohol intake | unexplained lactic acidosis and high output HF |
| López Gastón, O. D.; et al. [32] | Argentina, 2002 | 58 years old | excessive alcohol intake | dyspnea, oliguria, edema, high output HF, metabolic acidosis, and renal tubular dysfunction |
| Groeneveld, J.H.; et al. [33] | The Netherlands, 2003 | 45 years old | excessive alcohol intake, dietary deficiency, and inhalation of salbutamol | cardiogenic shock, severe dyspnea, and lactic acidosis |
| Kountchev, J.; et al. [8] | Austria, 2005 | 50 years old | excessive alcohol intake | AHF, dyspnea, and lactic acidosis |
| Goto, Y.; et al. [34] | Japan, 2007 | 44 years old | dietary deficiency | cardiogenic shock and pulmonary hypertension |
| Daly, M.J.; et al. [35] | UK, 2009 | post-menopausal woman | prolonged vomiting and diarrhea | cardiogenic shock |
| Greenspon, J.; et al. [36] | USA, 2010 | pediatric patient, age not precise | short bowel syndrome | cardiogenic shock and lactic acidosis |
| Loma-Osorio, P.; et al. [37] | Spain, 2011 | 35 years old | not precise | cardiogenic shock and an electrocardiographic pattern of severe myocardial ischemia suggesting left main coronary artery obstruction |
| Reinhardt, D.; et al. [38] | Switzerland, 2011 | 67 years old | excessive alcohol intake | acute dyspnea, AHF, and severe lactic acidosis |
| Brown, T.M.; et al. [39] | USA, 2013 | 55 years old | excessive alcohol intake and dietary deficiency | AHF and lactic acidosis |
| Kim, J.; et al. [5] | South Korea, 2014 | 87 years old | TPN | Cardiogenic shock with diffuse ST-segment elevation (inferior and anterior wall) |
| Kuno, T.; et al. [40] | Japan, 2014 | 66 years old | dietary deficiency | AHF, colliquative myocytolysis, and lactic acidosis |
| Misumida, N.; et al. [41] | Japan, 2014 | 61 years old | long-term diuretics therapy | AHF |
| Moulin, P.; et al. [42] | France, 2014 | 10 weeks old | breastfed infant of thiamine-deficient mother due to high consumption of polished rice | diarrhea, vomiting, lactic acidosis and AHF |
| Tejedor, A.; et al. [43] | Spain, 2014 | 45 years old | excessive alcohol intake and dietary deficiency | AHF and dilated cardiomyopathy |
| Imamura, T.; et al. [44] | Japan, 2015 | 40 years old | excessive alcohol intake | AHF and lactic acidosis |
| Cottini, M.; et al. [7] | Italy, 2016 | 17 years old | not precise | cardiogenic shock and lactic acidosis |
| Shah, A.; et al. [45] | USA, 2016 | 33 years old | malnutrition (restrictive, unbalanced diet) | cardiogenic shock and lactic acidosis |
| Lei, Y.; et al. [19] | China, 2018 | 39 years old | excessive alcohol intake | AHF, MOF, and lactic acidosis |
| Elias, I. M.; et al. [46] | Canada, 2019 | 14 years old | end-stage kidney failure | AHF and lactic acidosis |
| Vicinanza, A.; et al. [47] | Belgium, 2019 | 6 years old | Malnutrition and refeeding syndrome | cardiogenic shock with cardiac arrest and severe accidental hypothermia |
| Didisheim, C.; et al. [48] | Switzerland, 2020 | 13 years old | TPN | refractory cardiogenic shock and lactic acidosis |
| Hodgkinson, L. M.; et al. [49] | USA, 2020 | 68 years old | oral and cutaneous graft-versus-host disease after allogeneic hematopoietic cell transplant (reduced intestinal absorption) | AHF, renal failure, and lactic acidosis |
| Lim, M. S.; et al. [50] | UK, 2021 | 57 years old | excessive alcohol intake | cardiogenic shock and lactic acidosis |
| Tamaki, H.; et al. [51] | Japan, 2022 | 82 years old | hemodialysis and biguanide therapy | AHF and lactic acidosis |
| Tanné C.; et al. [52] | Mayotte, 2022 | 2 months old | breastfed infant of thiamine-deficient mother due to high consumption of polished rice | AHF and lactic acidosis |
Disclaimer/Publisher’s Note: The statements, opinions and data contained in all publications are solely those of the individual author(s) and contributor(s) and not of MDPI and/or the editor(s). MDPI and/or the editor(s) disclaim responsibility for any injury to people or property resulting from any ideas, methods, instructions or products referred to in the content. |
© 2023 by the authors. Licensee MDPI, Basel, Switzerland. This article is an open access article distributed under the terms and conditions of the Creative Commons Attribution (CC BY) license (https://creativecommons.org/licenses/by/4.0/).
Share and Cite
Rohun, J.; Dorniak, K.; Młodziński, K.; Bachorski, W.; Gruchała, M.; Raczak, G.; Daniłowicz-Szymanowicz, L. Vitamin B1 Deficiency and Perimyocarditis Fulminans: A Case Study of Shoshin Syndrome in a Woman Following an Unbalanced Dietary Pattern Followed by a Literature Review. Life 2023, 13, 205. https://doi.org/10.3390/life13010205
Rohun J, Dorniak K, Młodziński K, Bachorski W, Gruchała M, Raczak G, Daniłowicz-Szymanowicz L. Vitamin B1 Deficiency and Perimyocarditis Fulminans: A Case Study of Shoshin Syndrome in a Woman Following an Unbalanced Dietary Pattern Followed by a Literature Review. Life. 2023; 13(1):205. https://doi.org/10.3390/life13010205
Chicago/Turabian StyleRohun, Justyna, Karolina Dorniak, Krzysztof Młodziński, Witold Bachorski, Marcin Gruchała, Grzegorz Raczak, and Ludmiła Daniłowicz-Szymanowicz. 2023. "Vitamin B1 Deficiency and Perimyocarditis Fulminans: A Case Study of Shoshin Syndrome in a Woman Following an Unbalanced Dietary Pattern Followed by a Literature Review" Life 13, no. 1: 205. https://doi.org/10.3390/life13010205
APA StyleRohun, J., Dorniak, K., Młodziński, K., Bachorski, W., Gruchała, M., Raczak, G., & Daniłowicz-Szymanowicz, L. (2023). Vitamin B1 Deficiency and Perimyocarditis Fulminans: A Case Study of Shoshin Syndrome in a Woman Following an Unbalanced Dietary Pattern Followed by a Literature Review. Life, 13(1), 205. https://doi.org/10.3390/life13010205

