Adaptive Optics Imaging to Analyze the Photoreceptor Layer Reconstitution in Acute Syphilitic Posterior Placoid Chorioretinopathy
Abstract
:1. Introduction
2. Materials and Methods
2.1. Spectral-Domain Optical Coherence Tomography and Fundus Autofluorescence
2.2. Optical Coherence Tomography Angiography
2.3. Adaptive Optics Imaging
2.4. Statistical Analysis
3. Results
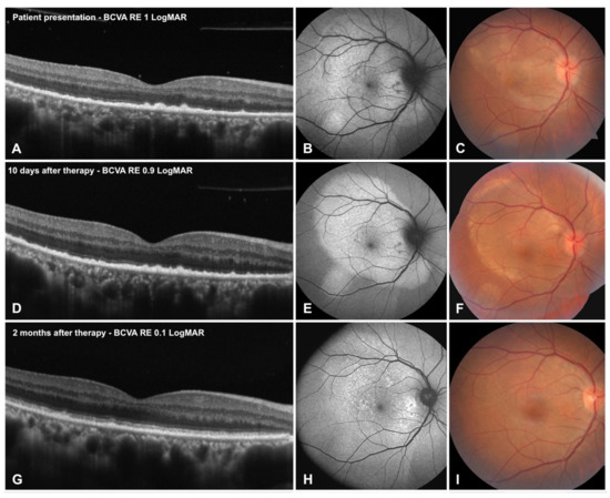
3.1. Optical Coherence Tomography
3.2. Optical Coherence Tomography Angiography
3.3. Adaptive Optics Imaging
4. Discussion
Author Contributions
Funding
Institutional Review Board Statement
Informed Consent Statement
Data Availability Statement
Conflicts of Interest
References
- Gass, J.D.M.; Braunstein, R.A.; Chenoweth, R.G. Acute Syphilitic Posterior Placoid Chorioretinitis. Ophthalmology 1990, 97, 1288–1297. [Google Scholar] [CrossRef]
- Furtado, J.M.; Arantes, T.E.; Nascimento, H.; Vasconcelos-Santos, D.V.; Nogueira, N.; de Pinho Queiroz, R.; Brandão, L.P.; Bastos, T.; Martinelli, R.; Santana, R.C.; et al. Clinical Manifestations and Ophthalmic Outcomes of Ocular Syphilis at a Time of Re-Emergence of the Systemic Infection. Sci. Rep. 2018, 8, 12071. [Google Scholar] [CrossRef]
- Pichi, F.; Ciardella, A.P.; Cunningham, E.T., Jr.; Morara, M.; Veronese, C.; Jumper, J.M.; Albini, T.A.; Sarraf, D.; McCannel, C.; Voleti, V.; et al. Spectral domain optical coherence tomography findings in patients with acute syphilitic posterior placoid chorioretinopathy. Retina 2014, 34, 373–384. [Google Scholar] [CrossRef] [PubMed]
- Liang, J.; Williams, D.R.; Miller, D.T. Supernormal vision and high-resolution retinal imaging through adaptive optics. J. Opt. Soc. Am. A Opt. Image Sci. Vis. 1997, 14, 2884–2892. [Google Scholar] [CrossRef]
- Meira-Freitas, D.; Farah, M.E.; Höfling-Lima, A.L.; Aggio, F.B. Optical coherence tomography and indocyanine green angiography findings in acute syphilitic posterior placoid choroidopathy: Case report. Arq. Bras. Oftalmol. 2009, 72, 832–835. [Google Scholar] [CrossRef] [PubMed]
- Eandi, C.M.; Neri, P.; Adelman, R.A.; Yannuzzi, L.A.; Cunningham, E.T. Acute syphilitic posterior placoid chorioretinitis: Report of a case series and comprehensive review of the literature. Retina 2012, 32, 1915–1941. [Google Scholar] [CrossRef] [PubMed]
- Tsui, E.; Gal-Or, O.; Ghadiali, Q.; Freund, K.B. Multimodal Imaging Adds New Insights into Acute Syphilitic Posterior Placoid Chorioretinitis. Retin. Cases Brief Rep. 2018, 12 (Suppl. S1), S3–S8. [Google Scholar] [CrossRef] [PubMed]
- Barikian, A.; Davis, J.; Gregori, G.; Rosenfeld, P. Wide field swept source OCT angiography in acute syphilitic placoid chorioretinitis. Am. J. Ophthalmol. Case Rep. 2020, 18, 100678. [Google Scholar] [CrossRef] [PubMed]
- Ormaechea, M.S.; Hassan, M.; Nguyen, Q.D.; Schlaen, A. Acute syphilitic posterior placoid chorioretinopathy: An infectious or autoimmune disease? Am. J. Ophthalmol. Case Rep. 2019, 14, 70–73. [Google Scholar] [CrossRef]
- Marchese, A.; Agarwal, A.K.; Erba, S.; Scialdone, A.; Miserocchi, E.; Bandello, F.; Introini, U.; Jampol, L.M.; Casalino, G. Placoid lesions of the retina: Progress in multimodal imaging and clinical perspective. Br. J. Ophthalmol. 2021, 106, 14–25. [Google Scholar] [CrossRef]
- Casalino, G.; Erba, S.; Sivagnanavel, V.; Lari, S.; Scialdone, A.; Pavesio, C. Spontaneous resolution of acute syphilitic posterior placoid chorioretinitis: Reappraisal of the literature and pathogenetic insights. GMS Ophthalmol. Cases 2020, 10, Doc26. [Google Scholar] [PubMed]
- Franco, M.; Nogueira, V. Severe acute syphilitic posterior placoid chorioretinitis with complete spontaneous resolution: The natural course. GMS Ophthalmol. Cases 2016, 6, Doc02. [Google Scholar]
- Murro, V.; Mucciolo, D.P.; Giorgio, D.; Sodi, A.; Boraldi, F.; Quaglino, D.; Virgili, G.; Rizzo, S. Coquille d’oeuf in young patients affected with Pseudoxantoma elasticum. Ophthalmic Genet. 2019, 40, 242–246. [Google Scholar] [CrossRef] [PubMed]
- Zhang, Q.; Zheng, F.; Motulsky, E.H.; Gregori, G.; Chu, Z.; Chen, C.L.; Li, C.; de Sisternes, L.; Durbin, M.; Rosenfeld, P.J.; et al. A Novel Strategy for Quantifying Choriocapillaris Flow Voids Using Swept-Source OCT Angiography. Investig. Ophthalmol. Vis. Sci. 2018, 59, 203–211. [Google Scholar] [CrossRef] [PubMed]
- Makiyama, Y.; Ooto, S.; Hangai, M.; Yoshimura, N. Cone abnormalities in Fundus albipunctatus associated with RDH5 mutations assessed using adaptive optics scanning laser ophthalmoscopy. Am. J. Ophthalmol. 2014, 157, 558–570.e4. [Google Scholar] [CrossRef]
- Debellemanière, G.; Flores, M.; Tumahai, P.; Meillat, M.; Bidaut Garnier, M.; Delbosc, B.; Saleh, M. Assessment of parafoveal cone density in patients taking hydroxychloroquine in the absence of clinically documented retinal toxicity. Acta Ophthalmol. 2015, 93, e534–e540. [Google Scholar] [CrossRef]
- Li, K.Y.; Roorda, A. Automated identification of cone photoreceptors in adaptive optics retinal images. J. Opt. Soc. Am. A Opt. Image Sci. Vis. 2007, 24, 1358–1363. [Google Scholar] [CrossRef]
- Bidaut Garnier, M.; Flores, M.; Debellemanière, G.; Puyraveau, M.; Tumahai, P.; Meillat, M.; Schwartz, C.; Montard, M.; Delbosc, B.; Saleh, M. Reliability of cone counts using an adaptive optics retinal camera. Clin. Exp. Ophthalmol. 2014, 42, 833–840. [Google Scholar] [CrossRef]
- Akyol, E.; Hagag, A.M.; Sivaprasad, S.; Lotery, A.J. Adaptive optics: Principles and applications in ophthalmology. Eye 2021, 35, 244–264. [Google Scholar] [CrossRef]
- Burns, S.A.; Elsner, A.E.; Sapoznik, K.A.; Warner, R.L.; Gast, T.J. Adaptive optics imaging of the human retina. Prog. Retin. Eye Res. 2019, 68, 1–30. [Google Scholar] [CrossRef]
- Forte, R.; Saleh, M.; Aptel, F.; Chiquet, C. Evaluation of Photoreceptors, Retinal Capillary Plexuses, and Choriocapillaris in Patients with Birdshot Chorioretinopathy. Retina 2020, 40, 977–988. [Google Scholar] [CrossRef] [PubMed]
- Yung, M.; Klufas, M.A.; Sarraf, D. Clinical applications of fundus autofluorescence in retinal disease. Int. J. Retin. Vitr. 2016, 2, 12. [Google Scholar] [CrossRef] [PubMed]
- Maruko, I.; Koizumi, H.; Sawaguchi, S.; Hasegawa, T.; Arakawa, H.; Iida, T. Choroidal blood vessels in retinal pigment epithelial atrophy using optical coherence tomography angiography. Retin. Cases Brief Rep. 2019, 13, 88–93. [Google Scholar] [CrossRef] [PubMed]





| Patient 1 RE | Presentation | 10 Days | 2 Months |
|---|---|---|---|
| BCVA | 1.00 | 0.9 | 0.1 |
| ELM | Disrupted | Present | Present |
| EZ | Absent | Disrupted | Present with focal damage |
| RPE | RPE clumping | RPE clumping | Disrupted |
| FAF | Hyper-autofluorescence with RPE alterations and blurred margins | Hyper-autofluorescence with RPE alterations with defined margins | Attenuated diffused hyper-autofluorescence with RPE alterations |
| Patient 1 LE | |||
| BCVA | 0.6 | 0.3 | 0.0 |
| ELM | absent | disrupted | present |
| EZ | absent | absent | present |
| RPE | RPE clumping | disrupted | disrupted |
| FAF | Hyper-autofluorescence with mild RPE alterations | Hyper-autofluorescence with mild RPE alterations | minimal RPE alterations |
| Patient 2 LE | |||
| BCVA | 0.3 | 0.2 | 0.0 |
| ELM | disrupted | present | present |
| EZ | disrupted | disrupted | present |
| RPE | RPE clumping | RPE clumping | present |
| FAF | Hyper-autofluorescence with minimal RPE alterations | Hyper-autofluorescence with minimal RPE alterations | minimal RPE alterations |
| OCTA VD | t0 | t1 | OCTA VP | t0 | t1 |
|---|---|---|---|---|---|
| SCP mVD | 15 ± 0.2 | 16.5 ± 1.4 | SCP mVP | 45.4 ± 4.3 | 47.9 ± 2.0 |
| DCP mVD | 11.8 ± 3.9 | 15.3 ± 1.3 | DCP mVP | 18.9 ± 1.4 | 28.8 ± 10.9 |
| CC mVD | 18.7 ± 1.9 | 20.8 ± 1.8 | CC mVP | 48 ± 2.2 | 55.5 ± 2.7 |
| Cone Density 1 | Cone Density 2 | Cone Spacing 1 | Cone Spacing 2 | |
|---|---|---|---|---|
| 1.5° from Fovea | Mean ± STD | Mean ± STD | Mean ± STD | Mean ± STD |
| superior | 13,418 ± 3309 | 16,804.6 ± 2356 | 9.49 ± 0.95 | 8.59 ± 0.69 |
| superonasal | 12,004.1 ± 2802 | 15,699 ± 2405 | 9.57 ± 1.01 | 8.66 ± 0.70 |
| nasal | 11,661.6 ± 2933 | 15,403.3 ± 3307 | 10.16 ± 1.21 | 8.92 ± 0.83 |
| inferonasal | 12,302 ± 2560 | 15,101 ± 2702 | 9.78 ± 0.91 | 8.96 ± 0.52 |
| inferior | 12,904.6 ± 2387 | 14,879.3 ± 377 | 9.69 ± 0.78 | 9.01 ± 0.17 |
| inferotemporal | 12,420 ± 2101 | 15,201 ± 2100 | 9.81 ± 0.95 | 9.00 ± 0.56 |
| temporal | 11,966.6 ± 2489 | 15,559.6 ± 725 | 9.91 ± 0.86 | 8.81 ± 0.14 |
| superotemporal | 12,231 ± 2305 | 15,702 ± 1607 | 9.82 ± 0.88 | 8.77 ± 0.23 |
| overall | 12,364 ± 2610 | 15,543 ± 1947 | 9.77 ± 0.94 | 8.84 ± 0.48 |
| Controls Cone Density | Controls Cone Spacing | |||
| 1.5° from Fovea | Mean ± STD | Mean ± STD | ||
| superior | 26,580 ± 3380 | 6.91 ± 0.43 | ||
| superonasal | 25,760 ± 2102 | 6.99 ± 0.34 | ||
| nasal | 24,293 ± 1369 | 7.08 ± 0.19 | ||
| inferonasal | 23,990 ± 1202 | 7.01 ± 0.10 | ||
| inferior | 24,353 ± 1154 | 7.06 ± 0.14 | ||
| inferotemporal | 23,902 ± 2001 | 7.26 ± 0.3 | ||
| temporal | 22,514 ± 2423 | 7.43 ± 0.43 | ||
| superotemporal | 24,002 ± 2100 | 7.22 ± 0.26 | ||
| overall | 24,424 ± 1966 | 7.12 ± 0.27 | ||
| Unaffected Eye of Patient 2 | Unaffected Eye of Patient 2 | |||
| 1.5° from Fovea | Values | Values | ||
| superior | 24,580 | 7.02 | ||
| superonasal | 24,230 | 7.12 | ||
| nasal | 23,819 | 7.22 | ||
| inferonasal | 23,902 | 7.20 | ||
| inferior | 23,410 | 7.13 | ||
| inferotemporal | 23,450 | 7.35 | ||
| temporal | 22,623 | 7.49 | ||
| superotemporal | 22,995 | 7.40 | ||
| overall | 23,626 | 7.24 |
Publisher’s Note: MDPI stays neutral with regard to jurisdictional claims in published maps and institutional affiliations. |
© 2022 by the authors. Licensee MDPI, Basel, Switzerland. This article is an open access article distributed under the terms and conditions of the Creative Commons Attribution (CC BY) license (https://creativecommons.org/licenses/by/4.0/).
Share and Cite
Giansanti, F.; Mercuri, S.; Vannozzi, L.; Govetto, A.; Minnella, A.M.; Caporossi, T.; Savastano, A.; Savastano, M.C.; Gambini, G.; Rizzo, S.; et al. Adaptive Optics Imaging to Analyze the Photoreceptor Layer Reconstitution in Acute Syphilitic Posterior Placoid Chorioretinopathy. Life 2022, 12, 1361. https://doi.org/10.3390/life12091361
Giansanti F, Mercuri S, Vannozzi L, Govetto A, Minnella AM, Caporossi T, Savastano A, Savastano MC, Gambini G, Rizzo S, et al. Adaptive Optics Imaging to Analyze the Photoreceptor Layer Reconstitution in Acute Syphilitic Posterior Placoid Chorioretinopathy. Life. 2022; 12(9):1361. https://doi.org/10.3390/life12091361
Chicago/Turabian StyleGiansanti, Fabrizio, Stefano Mercuri, Lorenzo Vannozzi, Andrea Govetto, Angelo Maria Minnella, Tomaso Caporossi, Alfonso Savastano, Maria Cristina Savastano, Gloria Gambini, Stanislao Rizzo, and et al. 2022. "Adaptive Optics Imaging to Analyze the Photoreceptor Layer Reconstitution in Acute Syphilitic Posterior Placoid Chorioretinopathy" Life 12, no. 9: 1361. https://doi.org/10.3390/life12091361
APA StyleGiansanti, F., Mercuri, S., Vannozzi, L., Govetto, A., Minnella, A. M., Caporossi, T., Savastano, A., Savastano, M. C., Gambini, G., Rizzo, S., Virgili, G., & Bacherini, D. (2022). Adaptive Optics Imaging to Analyze the Photoreceptor Layer Reconstitution in Acute Syphilitic Posterior Placoid Chorioretinopathy. Life, 12(9), 1361. https://doi.org/10.3390/life12091361

