Monitoring the Impact of Spaceflight on the Human Brain
Abstract
:1. Introduction
2. The Effects of Spaceflight on the Brain
3. Monitoring Technologies Adaptable to Spaceflight
3.1. Electroencephalogram (EEG)
3.2. Functional Near-Infrared Spectroscopy (fNIRS)
3.3. Ultrasound
4. Monitoring Technologies Not Suitable for the Spaceflight Environment
4.1. Magnetic Resonance Imaging
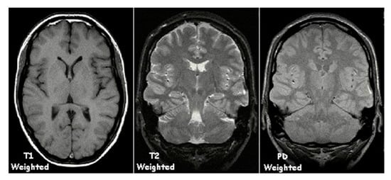
4.1.1. Structural Magnetic Resonance Imaging (MRI)
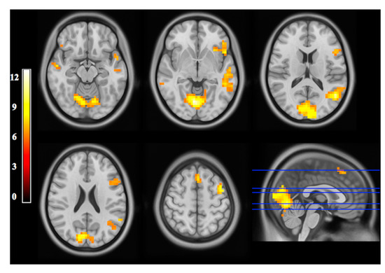
4.1.2. Functional Magnetic Resonance Imaging (fMRI)
4.1.3. Diffusion MRI (dMRI)
4.2. Positron Emission Tomography (PET)
4.3. Computerized Tomography (CT)
5. Neurological Monitoring Technologies in the Deep Space Environment
6. Conclusions
7. Methodology
Author Contributions
Funding
Acknowledgments
Conflicts of Interest
References
- Tripathi, R. Meeting the Grand Challenge of Protecting an Astronaut’s Health: Electrostatic Active Space Radiation Shielding for Deep Space Missions. Available online: https://www.nasa.gov/pdf/718390main_Tripathi_2011_PhI_Electrostatic_Radiation_Protection.pdf (accessed on 24 April 2022).
- Jandial, R.; Hoshide, R.; Waters, J.D.; Limoli, C.L. Space–Brain: The Negative Effects of Space Exposure on the Central Nervous System. Surg. Neurol. Int. 2018, 9, 9. [Google Scholar] [CrossRef]
- Shashivadhanan, S.; Mishra, R. Neuroscience & Outer Space Travel: The Final Frontier. IP Indian J. Neurosci. 2021, 7, 241–247. [Google Scholar] [CrossRef]
- Roy-O’Reilly, M.; Mulavara, A.; Williams, T. A Review of Alterations to the Brain during Spaceflight and the Potential Relevance to Crew in Long-Duration Space Exploration. NPJ Microgravity 2021, 7, 5. [Google Scholar] [CrossRef] [PubMed]
- Lee, J.K.; Koppelmans, V.; Pasternak, O.; Beltran, N.E.; Kofman, I.S.; De Dios, Y.E.; Mulder, E.R.; Mulavara, A.P.; Bloomberg, J.J.; Seidler, R.D. Effects of Spaceflight Stressors on Brain Volume, Microstructure, and Intracranial Fluid Distribution. Cereb. Cortex Commun. 2021, 2, tgab022. [Google Scholar] [CrossRef] [PubMed]
- Yuan, P.; Koppelmans, V.; Reuter-Lorenz, P.; De Dios, Y.; Gadd, N.; Wood, S.; Riascos, R.; Kofman, I.; Bloomberg, J.; Mulavara, A.; et al. Vestibular Brain Changes within 70 Days of Head down Bed Rest. Hum. Brain Mapp. 2018, 39, 2753–2763. [Google Scholar] [CrossRef]
- Casero, D.; Gill, K.; Sridharan, V.; Koturbash, I.; Nelson, G.; Hauer-Jensen, M.; Boerma, M.; Braun, J.; Cheema, A.K. Space-Type Radiation Induces Multimodal Responses in the Mouse Gut Microbiome and Metabolome. Microbiome 2017, 5, 105. [Google Scholar] [CrossRef]
- Davis, C.M.; Allen, A.R.; Bowles, D.E. Consequences of Space Radiation on the Brain and Cardiovascular System. J. Environ. Sci. Health C Toxicol. Carcinog. 2021, 39, 180–218. [Google Scholar] [CrossRef]
- Parihar, V.K.; Allen, B.; Tran, K.K.; Macaraeg, T.G.; Chu, E.M.; Kwok, S.F.; Chmielewski, N.N.; Craver, B.M.; Baulch, J.E.; Acharya, M.M.; et al. What Happens to Your Brain on the Way to Mars. Sci. Adv. 2015, 1, e1400256. [Google Scholar] [CrossRef] [Green Version]
- Onorato, G.; Di Schiavi, E.; Di Cunto, F. Understanding the Effects of Deep Space Radiation on Nervous System: The Role of Genetically Tractable Experimental Models. Front. Phys. 2020, 8, 362. [Google Scholar] [CrossRef]
- Van Ombergen, A.; Demertzi, A.; Tomilovskaya, E.; Jeurissen, B.; Sijbers, J.; Kozlovskaya, I.B.; Parizel, P.M.; Van de Heyning, P.H.; Sunaert, S.; Laureys, S.; et al. The Effect of Spaceflight and Microgravity on the Human Brain. J. Neurol. 2017, 264, 18–22. [Google Scholar] [CrossRef] [Green Version]
- Roberts, D.R.; Brown, T.R.; Nietert, P.J.; Eckert, M.A.; Inglesby, D.C.; Bloomberg, J.J.; George, M.S.; Asemani, D. Prolonged Microgravity Affects Human Brain Structure and Function. Am. J. Neuroradiol. 2019, 40, 1878–1885. [Google Scholar] [CrossRef] [PubMed] [Green Version]
- Brem, C.; Lutz, J.; Vollmar, C.; Feuerecker, M.; Strewe, C.; Nichiporuk, I.; Vassilieva, G.; Schelling, G.; Choukér, A. Changes of Brain DTI in Healthy Human Subjects after 520 Days Isolation and Confinement on a Simulated Mission to Mars. Life Sci. Space Res. 2020, 24, 83–90. [Google Scholar] [CrossRef] [PubMed]
- Pagel, J.I.; Choukèr, A. Effects of Isolation and Confinement on Humans-Implications for Manned Space Explorations. J. Appl. Physiol. 2016, 120, 1449–1457. [Google Scholar] [CrossRef] [Green Version]
- Caddick, Z.A.; Gregory, K.; Flynn-Evans, E.E. Sleep Environment Recommendations for Future Spaceflight Vehicles. Adv. Hum. Asp. Transp. 2017, 484, 923–933. [Google Scholar] [CrossRef] [Green Version]
- Willis, A.; Sladky, J.; Tate, D.; Wood, J.; Sherman, P.; Kochunov, P.; McGuire, S. Neurocognitive Changes in High-Altitude U-2 Pilots: Relationship between Microstructural Integrity of White Matter Tracks and Neurocognitive Outcomes. (P6.218). Neurology 2015, 84 (Suppl. 14). [Google Scholar]
- Doroshin, A.; Jillings, S.; Jeurissen, B.; Tomilovskaya, E.; Pechenkova, E.; Nosikova, I.; Rumshiskaya, A.; Litvinova, L.; Rukavishnikov, I.; De Laet, C.; et al. Brain Connectometry Changes in Space Travelers After Long-Duration Spaceflight. Front. Neural Circuits 2022, 16, 815838. [Google Scholar] [CrossRef] [PubMed]
- Goodacre, S. Uncontrolled Before-after Studies: Discouraged by Cochrane and the EMJ. Emerg. Med. J. 2015, 32, 507–508. [Google Scholar] [CrossRef] [PubMed] [Green Version]
- Delgado-Rodriguez, M.; Llorca, J. Bias. J. Epidemiol. Community Health 2004, 58, 635–641. [Google Scholar] [CrossRef] [Green Version]
- Kruit, M.C.; Thijs, R.D.; Ferrari, M.D.; Launer, L.J.; van Buchem, M.A.; van Dijk, J.G. Syncope and Orthostatic Intolerance Increase Risk of Brain Lesions in Migraineurs and Controls. Neurology 2013, 80, 1958–1965. [Google Scholar] [CrossRef] [Green Version]
- Louis, E.K.S.; Frey, L.C.; Britton, J.W.; Frey, L.C.; Hopp, J.L.; Korb, P.; Koubeissi, M.Z.; Lievens, W.E.; Pestana-Knight, E.M. Introduction; American Epilepsy Society: Chicago, IL, USA, 2016. [Google Scholar]
- Britton, J.W.; Frey, L.C.; Hopp, J.L.; Korb, P.; Koubeissi, M.Z.; Lievens, W.E.; Pestana-Knight, E.M.; St. Louis, E.K. Electroencephalography (EEG): An Introductory Text and Atlas of Normal and Abnormal Findings in Adults, Children, and Infants; St. Louis, E.K., Frey, L.C., Eds.; American Epilepsy Society: Chicago, IL, USA, 2016; ISBN 978-0-9979756-0-4. [Google Scholar]
- Jervis, B.W.; Coelho, M.; Morgan, G.W. Spectral Analysis of EEG Responses. Med. Biol. Eng. Comput. 1989, 27, 230. [Google Scholar] [CrossRef]
- Ianof, J.N.; Anghinah, R. Traumatic Brain Injury: An EEG Point of View. Dement. Neuropsychol. 2017, 11, 3–5. [Google Scholar] [CrossRef] [PubMed] [Green Version]
- Mezzacappa, F.M.; Thorell, W. Neuronal Brain Tumors. In StatPearls; StatPearls Publishing: Treasure Island, FL, USA, 2022. [Google Scholar]
- Wolf, M.E.; Ebert, A.D.; Chatzikonstantinou, A. The Use of Routine EEG in Acute Ischemic Stroke Patients without Seizures: Generalized but Not Focal EEG Pathology Is Associated with Clinical Deterioration. Int. J. Neurosci. 2017, 127, 421–426. [Google Scholar] [CrossRef] [PubMed]
- Rosenberg, S.D.; Périn, B.; Michel, V.; Debs, R.; Navarro, V.; Convers, P. EEG in Adults in the Laboratory or at the Patient’s Bedside. Neurophysiol. Clin./Clin. Neurophysiol. 2015, 45, 19–37. [Google Scholar] [CrossRef] [PubMed]
- Takács, E.; Barkaszi, I.; Czigler, I.; Pató, L.G.; Altbäcker, A.; McIntyre, J.; Cheron, G.; Balázs, L. Persistent Deterioration of Visuospatial Performance in Spaceflight. Sci. Rep. 2021, 11, 9590. [Google Scholar] [CrossRef] [PubMed]
- Cebolla, A.M.; Petieau, M.; Dan, B.; Balazs, L.; McIntyre, J.; Cheron, G. Cerebellar Contribution to Visuo-Attentional Alpha Rhythm: Insights from Weightlessness. Sci. Rep. 2016, 6, 37824. [Google Scholar] [CrossRef]
- Cheron, G.; Leroy, A.; De Saedeleer, C.; Bengoetxea, A.; Lipshits, M.; Cebolla, A.; Servais, L.; Dan, B.; Berthoz, A.; McIntyre, J. Effect of Gravity on Human Spontaneous 10-Hz Electroencephalographic Oscillations during the Arrest Reaction. Brain Res. 2006, 1121, 104–116. [Google Scholar] [CrossRef]
- Petit, G.; Cebolla, A.M.; Fattinger, S.; Petieau, M.; Summerer, L.; Cheron, G.; Huber, R. Local Sleep-like Events during Wakefulness and Their Relationship to Decreased Alertness in Astronauts on ISS. NPJ Microgravity 2019, 5, 10. [Google Scholar] [CrossRef] [Green Version]
- Marušič, U.; Meeusen, R.; Pišot, R.; Kavcic, V. The Brain in Micro- and Hypergravity: The Effects of Changing Gravity on the Brain Electrocortical Activity. Eur. J. Sport Sci. 2014, 14, 813–822. [Google Scholar] [CrossRef]
- Zivi, P.; De Gennaro, L.; Ferlazzo, F. Sleep in Isolated, Confined, and Extreme (ICE): A Review on the Different Factors Affecting Human Sleep in ICE. Front. Neurosci. 2020, 14, 851. [Google Scholar] [CrossRef]
- Wollseiffen, P.; Vogt, T.; Abeln, V.; Strüder, H.K.; Askew, C.D.; Schneider, S. Neuro-Cognitive Performance Is Enhanced during Short Periods of Microgravity. Physiol. Behav. 2016, 155, 9–16. [Google Scholar] [CrossRef]
- Lipnicki, D.M. Baroreceptor Activity Potentially Facilitates Cortical Inhibition in Zero Gravity. NeuroImage 2009, 46, 10–11. [Google Scholar] [CrossRef] [PubMed]
- Styf, J.R.; Hutchinson, K.; Carlsson, S.G.; Hargens, A.R. Depression, Mood State, and Back Pain During Microgravity Simulated by Bed Rest. Psychosom. Med. 2001, 63, 862–864. [Google Scholar] [CrossRef] [PubMed]
- Carrick, F.R.; Pagnacco, G.; Azzolino, S.F.; Hunfalvay, M.; Oggero, E.; Frizzell, T.; Smith, C.J.; Pawlowski, G.; Campbell, N.K.J.; Fickling, S.D.; et al. Brain Vital Signs in Elite Ice Hockey: Towards Characterizing Objective and Specific Neurophysiological Reference Values for Concussion Management. Front. Neurosci. 2021, 15, 670563. [Google Scholar] [CrossRef] [PubMed]
- Ghosh Hajra, S.; Liu, C.C.; Song, X.; Fickling, S.; Liu, L.E.; Pawlowski, G.; Jorgensen, J.K.; Smith, A.M.; Schnaider-Beeri, M.; Van Den Broek, R.; et al. Developing Brain Vital Signs: Initial Framework for Monitoring Brain Function Changes Over Time. Front. Neurosci. 2016, 10, 211. [Google Scholar] [CrossRef] [PubMed] [Green Version]
- Pinti, P.; Tachtsidis, I.; Hamilton, A.; Hirsch, J.; Aichelburg, C.; Gilbert, S.; Burgess, P.W. The Present and Future Use of Functional Near-infrared Spectroscopy (FNIRS) for Cognitive Neuroscience. Ann. N. Y. Acad. Sci. 2020, 1464, 5–29. [Google Scholar] [CrossRef]
- Harrivel, A. Monitoring Attentional State Using Functional near Infrared Spectroscopy. In Proceedings of the 17th Annual Meeting of the Organization for Human Brain Mapping, Quebec City, QC, Canada, 26–30 June 2011. [Google Scholar]
- Jalili, M. Functional Brain Networks: Does the Choice of Dependency Estimator and Binarization Method Matter? Sci. Rep. 2016, 6, 29780. [Google Scholar] [CrossRef] [Green Version]
- Cui, X.; Bray, S.; Bryant, D.M.; Glover, G.H.; Reiss, A.L. A Quantitative Comparison of NIRS and FMRI across Multiple Cognitive Tasks. Neuroimage 2011, 54, 2808–2821. [Google Scholar] [CrossRef] [Green Version]
- Chen, W.-L.; Wagner, J.; Heugel, N.; Sugar, J.; Lee, Y.-W.; Conant, L.; Malloy, M.; Heffernan, J.; Quirk, B.; Zinos, A.; et al. Functional Near-Infrared Spectroscopy and Its Clinical Application in the Field of Neuroscience: Advances and Future Directions. Front. Neurosci. 2020, 14, 724. [Google Scholar] [CrossRef]
- Mohamed, M.; Jo, E.; Mohamed, N.; Kim, M.; Yun, J.-D.; Kim, J.G. Development of an Integrated EEG/FNIRS Brain Function Monitoring System. Sensors 2021, 21, 7703. [Google Scholar] [CrossRef]
- Leighton, T.G. What Is Ultrasound? Prog. Biophys. Mol. Biol. 2007, 93, 3–83. [Google Scholar] [CrossRef]
- Sun, X.-Q.; Yao, Y.-J.; Yang, C.-B.; Jiang, S.-Z.; Jiang, C.-L.; Liang, W.-B. Effect of Lower-Body Negative Pressure on Cerebral Blood Fl Ow Velocity during 21 Days Head-down Tilt Bed Rest. Med. Sci. Monit. 2005, 11, CR1–CR5. [Google Scholar] [PubMed]
- Bagian, J.P.; Hackett, P. Cerebral Blood Flow: Comparison of Ground-Based and Spaceflight Data and Correlation with Space Adaptation Syndrome. J. Clin. Pharmacol. 1991, 31, 1036–1040. [Google Scholar] [CrossRef]
- Klein, T.; Wollseiffen, P.; Sanders, M.; Claassen, J.; Carnahan, H.; Abeln, V.; Vogt, T.; Strüder, H.K.; Schneider, S. The Influence of Microgravity on Cerebral Blood Flow and Electrocortical Activity. Exp. Brain Res. 2019, 237, 1057–1062. [Google Scholar] [CrossRef] [PubMed]
- Lawley, J.S.; Petersen, L.G.; Howden, E.J.; Sarma, S.; Cornwell, W.K.; Zhang, R.; Whitworth, L.A.; Williams, M.A.; Levine, B.D. Effect of Gravity and Microgravity on Intracranial Pressure. J. Physiol. 2017, 595, 2115–2127. [Google Scholar] [CrossRef] [Green Version]
- Taibi, A.; Gadda, G.; Gambaccini, M.; Menegatti, E.; Sisini, F.; Zamboni, P. Investigation of Cerebral Venous Outflow in Microgravity. Physiol. Meas. 2017, 38, 1939–1952. [Google Scholar] [CrossRef] [PubMed] [Green Version]
- Lee, A.G.; Mader, T.H.; Gibson, C.R.; Tarver, W.; Rabiei, P.; Riascos, R.F.; Galdamez, L.A.; Brunstetter, T. Spaceflight Associated Neuro-Ocular Syndrome (SANS) and the Neuro-Ophthalmologic Effects of Microgravity: A Review and an Update. NPJ Microgravity 2020, 6, 7. [Google Scholar] [CrossRef] [Green Version]
- Simonov, L.G. Potential use of ultrasonic bioecholocation as a noninvasive method for assessing human intracranial volumetric ratios. Kosm. Biol. Aviakosmicheskaia Meditsina 1982, 16, 24–28. [Google Scholar]
- Berger, A. Magnetic Resonance Imaging. BMJ 2002, 324, 35. [Google Scholar] [CrossRef]
- Baliyan, V.; Das, C.J.; Sharma, R.; Gupta, A.K. Diffusion Weighted Imaging: Technique and Applications. World J. Radiol. 2016, 8, 785–798. [Google Scholar] [CrossRef]
- Allisy-Roberts, P.J.; Williams, J. Farr’s Physics for Medical Imaging; Elsevier Health Sciences: Philadelphia, PA, USA, 2007; ISBN 978-0-7020-2844-1. [Google Scholar]
- Hendee, W.R.; Ritenour, E.R. Medical Imaging Physics; John Wiley & Sons: New York, NY, USA, 2003; ISBN 978-0-471-46113-5. [Google Scholar]
- Grover, V.P.B.; Tognarelli, J.M.; Crossey, M.M.E.; Cox, I.J.; Taylor-Robinson, S.D.; McPhail, M.J.W. Magnetic Resonance Imaging: Principles and Techniques: Lessons for Clinicians. J. Clin. Exp. Hepatol. 2015, 5, 246–255. [Google Scholar] [CrossRef] [Green Version]
- Bodini, B.; Ciccarelli, O. Chapter 11-Diffusion MRI in Neurological Disorders. In Diffusion MRI, 2nd ed.; Johansen-Berg, H., Behrens, T.E.J., Eds.; Academic Press: San Diego, CA, USA, 2014; pp. 241–255. ISBN 978-0-12-396460-1. [Google Scholar]
- Mitchell, D.G.; Cohen, M. MRI Principles; Saunders: Philadephia, PA, USA, 2004; ISBN 978-0-7216-0024-6. [Google Scholar]
- Hasan, K.M.; Mwangi, B.; Keser, Z.; Riascos, R.; Sargsyan, A.E.; Kramer, L.A. Brain Quantitative MRI Metrics in Astronauts as a Unique Professional Group. J. Neuroimaging 2018, 28, 256–268. [Google Scholar] [CrossRef] [PubMed]
- Lev, M.H. The Long-Term Effects of Spaceflight on Human Brain Physiology. Radiology 2020, 295, 649–650. [Google Scholar] [CrossRef] [Green Version]
- Chavhan, G.B.; Babyn, P.S.; Thomas, B.; Shroff, M.M.; Haacke, E.M. Principles, Techniques, and Applications of T2*-Based MR Imaging and Its Special Applications. Radiographics 2009, 29, 1433–1449. [Google Scholar] [CrossRef] [PubMed] [Green Version]
- Hillman, E.M.C. Coupling Mechanism and Significance of the BOLD Signal: A Status Report. Annu. Rev. Neurosci. 2014, 37, 161–181. [Google Scholar] [CrossRef] [PubMed] [Green Version]
- Glover, G.H. Overview of Functional Magnetic Resonance Imaging. Neurosurg. Clin. 2011, 22, 133–139. [Google Scholar] [CrossRef] [Green Version]
- Cassady, K.; Koppelmans, V.; Reuter-Lorenz, P.; De Dios, Y.; Gadd, N.; Wood, S.; Castenada, R.R.; Kofman, I.; Bloomberg, J.; Mulavara, A.; et al. Effects of a Spaceflight Analog Environment on Brain Connectivity and Behavior. NeuroImage 2016, 141, 18–30. [Google Scholar] [CrossRef]
- Pechenkova, E.; Nosikova, I.; Rumshiskaya, A.; Litvinova, L.; Rukavishnikov, I.; Mershina, E.; Sinitsyn, V.; Van Ombergen, A.; Jeurissen, B.; Jillings, S.; et al. Alterations of Functional Brain Connectivity After Long-Duration Spaceflight as Revealed by FMRI. Front. Physiol. 2019, 10, 761. [Google Scholar] [CrossRef]
- Demertzi, A.; Van Ombergen, A.; Tomilovskaya, E.; Jeurissen, B.; Pechenkova, E.; Di Perri, C.; Litvinova, L.; Amico, E.; Rumshiskaya, A.; Rukavishnikov, I.; et al. Cortical Reorganization in an Astronaut’s Brain after Long-Duration Spaceflight. Brain Struct. Funct. 2016, 221, 2873–2876. [Google Scholar] [CrossRef] [Green Version]
- Le Bihan, D. Diffusion MRI: What Water Tells Us about the Brain. EMBO Mol. Med. 2014, 6, 569–573. [Google Scholar] [CrossRef]
- Ranzenberger, L.R.; Snyder, T. Diffusion Tensor Imaging. In StatPearls; StatPearls Publishing: Treasure Island, FL, USA, 2022. [Google Scholar]
- Koppelmans, V.; Pasternak, O.; Bloomberg, J.J.; Dios, Y.E.D.; Wood, S.J.; Riascos, R.; Reuter-Lorenz, P.A.; Kofman, I.S.; Mulavara, A.P.; Seidler, R.D. Intracranial Fluid Redistribution But No White Matter Microstructural Changes During a Spaceflight Analog. Sci. Rep. 2017, 7, 3154. [Google Scholar] [CrossRef]
- Berger, A. Positron Emission Tomography. BMJ 2003, 326, 1449. [Google Scholar] [CrossRef]
- Miele, E.; Spinelli, G.P.; Tomao, F.; Zullo, A.; De Marinis, F.; Pasciuti, G.; Rossi, L.; Zoratto, F.; Tomao, S. Positron Emission Tomography (PET) Radiotracers in Oncology—Utility of 18F-Fluoro-Deoxy-Glucose (FDG)-PET in the Management of Patients with Non-Small-Cell Lung Cancer (NSCLC). J. Exp. Clin. Cancer Res. 2008, 27, 52. [Google Scholar] [CrossRef] [PubMed] [Green Version]
- Jaszczak, R.J.; Coleman, R.E.; Lim, C.B. SPECT: Single Photon Emission Computed Tomography. IEEE Trans. Nucl. Sci. 1980, 27, 1137–1153. [Google Scholar] [CrossRef]
- Roy, A.K.; Ferrara, E.; Keesey, R.; Davis, K. FMRI and Other Neuroimaging Methods. In Reference Module in Neuroscience and Biobehavioral Psychology; Elsevier: Amsterdam, The Netherlands, 2021; ISBN 978-0-12-809324-5. [Google Scholar]
- Sasikumar, A.; Joy, A.; Pillai, M.R.A.; Nanabala, R.; Anees, K.M.; Jayaprakash, P.G.; Madhavan, J.; Nair, S. Diagnostic Value of 68Ga PSMA-11 PET/CT Imaging of Brain Tumors-Preliminary Analysis. Clin. Nucl. Med. 2017, 42, e41–e48. [Google Scholar] [CrossRef] [PubMed]
- Buzug, T.M. Computed Tomography. In Springer Handbook of Medical Technology; Kramme, R., Hoffmann, K.-P., Pozos, R.S., Eds.; Springer Handbooks; Springer: Berlin/Heidelberg, Germany, 2011; pp. 311–342. ISBN 978-3-540-74658-4. [Google Scholar]
- Puckett, Y.; Nappe, T.M. Ionizing Radiation. In StatPearls; StatPearls Publishing: Treasure Island, FL, USA, 2022. [Google Scholar]
- Schneider, R.C.; Scott, B.B.; Crosby, E.C. Ruptured Arteriovenous Anomaly in a Former Woman Astronaut Candidate. Aviat. Space Environ. Med. 1979, 50, 182–186. [Google Scholar]
- Newberg, A.B.; Alavi, A. Changes in the Central Nervous System during Long-Duration Space Flight: Implications for Neuro-Imaging. Adv. Space Res. 1998, 22, 185–196. [Google Scholar] [CrossRef]
- Sarty, G.; Obenaus, A. Magnetic Resonance Imaging of Astronauts on the International Space Station and into the Solar System. Can. Aeronaut. Space J. 2012, 58, 60–68. [Google Scholar] [CrossRef]
- Scarapicchia, V.; Brown, C.; Mayo, C.; Gawryluk, J.R. Functional Magnetic Resonance Imaging and Functional Near-Infrared Spectroscopy: Insights from Combined Recording Studies. Front. Hum. Neurosci. 2017, 11, 419. [Google Scholar] [CrossRef]
- Harrivel, A.; Hearn, T. Functional near Infrared Spectroscopy: Watching the Brain in Flight. In Advances in Human Aspects of Aviation; Landry, S.J., Ed.; CRC PRESS: Boca Raton, FL, USA, 2012; pp. 555–564. ISBN 978-0-429-06488-3. [Google Scholar]
- Peng, C.; Hou, X. Applications of Functional Near-Infrared Spectroscopy (FNIRS) in Neonates. Neurosci. Res. 2021, 170, 18–23. [Google Scholar] [CrossRef]
- Lau-Zhu, A.; Lau, M.P.H.; McLoughlin, G. Mobile EEG in Research on Neurodevelopmental Disorders: Opportunities and Challenges. Dev. Cogn. Neurosci. 2019, 36, 100635. [Google Scholar] [CrossRef]
- Mazerolle, E.L.; D’Arcy, R.C.N.; Marchand, Y.; Bolster, R.B. ERP Assessment of Functional Status in the Temporal Lobe: Examining Spatiotemporal Correlates of Object Recognition. Int. J. Psychophysiol. 2007, 66, 81–92. [Google Scholar] [CrossRef] [PubMed]
- D’Arcy, R.; Marchand, Y.; Eskes, G.; Harrison, E.R.; Phillips, S.; Major, A.; Connolly, J. Electrophysiological Assessment of Language Function Following Stroke. Clin. Neurophysiol. 2003, 114, 662–672. [Google Scholar] [CrossRef]
- Zhang, X.; D’Arcy, R.; Chen, L.; Xu, M.; Ming, D.; Menon, C. The Feasibility of Longitudinal Upper Extremity Motor Function Assessment Using EEG. Sensors 2020, 20, 5487. [Google Scholar] [CrossRef] [PubMed]





| Imaging Devices | Analog or Pre/Post-Flight Studies | Utilized in LEO | Good Candidate for Deep Space | Metrics Measured by Device | Major Terrestrial Clinical Uses | Major Terrestrial Research | Typical Size (Volume and Weight) |
|---|---|---|---|---|---|---|---|
| EEG | YES | YES | YES | Brain activity as waveform patterns of spectral content | Brain tumors, head injury, brain dysfunction (encephalopathy, encephalitis), stroke, sleep disorders | Brain tumor, brain damage, head injury brain dysfunction, stroke, and sleep disorder research | Device Dimensions = 8.91 × 6.11 × 2.38 cm Weight = 0.078–0.096 kg |
| Ultrasound | YES | YES | YES | Structural measurements, middle cerebral artery velocity (MCAv) | Cardiovascular measurements, cerebrovascular examination, and pediatric neuroimaging | Cerebrovascular research and pediatric neuroimaging research | Typical Device: Dimensions = 34.0 × 35.5 × 15.0 cm Weight = 3.1 kg Portable Device: Dimensions = 17.2 × 5.4 × 4.2 cm Weight = 0.120 kg |
| MRI: Structural | YES | NO | NO | Volumes, surface areas, regional thickness, and other measurements that characterize the structural features of the brain | Demyelinating diseases, dementia, cerebrovascular disease, infectious diseases, Alzheimer’s disease, epilepsy, edema, tumor, infarction, inflammation, infection, hyperacute or chronic hemorrhage | Alzheimer’s, epilepsy, cranial nerves, Parkinson’s disease, schizophrenia, trauma, tumors, multiple sclerosis, and surgical applications | Length = 186 cm, Weight = 7000 kg |
| MRI: Functional | YES | NO | NO | BOLD signal, functional connectivity | Maps brain activity from sensory, motor, cognitive, and emotional tasks. | Functional connectivity, multiple sclerosis, Alzheimer’s disease, epilepsy, brain tumors, stroke, traumatic brain injury, behavioral, and psychological performance. | Length = 186 cm, Weight = 7000 kg |
| MRI: Diffusion | YES | NO | NO | Fractional anisotropy (FA), mean diffusivity (MD), axial diffusivity (AD), and radial diffusivity (RD) | Cerebral infarction (DWI), white matter deformation by tumors, and dementia | Surgical planning, microstructure imaging, white matter connectivity, neurodevelopmental changes | Length = 186 cm, Weight = 7000 kg |
| fNIRS | NO | NO | YES | Oxygen concentrations, Hb concentrations, blood-oxygen level-dependent signal (BOLD signal), and functional connectivity | Global cerebral function, cerebral oxygenation, and autoregulation in patients with stroke and traumatic brain injury in critical care. | Functional connectivity, fetal alcohol syndrome, mental disorders, behavioral and psychological performance. | Dimensions = 16.2 × 12.5 × 6.0 cm Weight = 0.900 kg |
| Computed Tomography | NO | NO | NO | Volumes, surface areas, regional thickness, and other measurements that characterize the structural features of the brain | Detecting infarction (stroke), tumors, calcifications, hemorrhage, and bone trauma, and angiography of cerebral arteries. | Brain injury identification and treatment, tumor identification and treatment, structural abnormalities, stroke | Dimensions = 199 × 89 × 222 cm Weigh = 2100 kg |
| Positron Emission Tomography | NO | NO | NO | Metabolism rate (glucose metabolism) | Alzheimer’s, dementia, epilepsy, movement disorders, stroke, and cardiovascular disorder tumors | Oncology, Alzheimer’s, seizure, schizophrenia, substance abuse, mood disorders, and other psychiatric conditions, psychological disorders, and processes | Dimensions = 200 × 228 × 168 cm Weight = 2100 kg |
Publisher’s Note: MDPI stays neutral with regard to jurisdictional claims in published maps and institutional affiliations. |
© 2022 by the authors. Licensee MDPI, Basel, Switzerland. This article is an open access article distributed under the terms and conditions of the Creative Commons Attribution (CC BY) license (https://creativecommons.org/licenses/by/4.0/).
Share and Cite
Dinatolo, M.F.; Cohen, L.Y. Monitoring the Impact of Spaceflight on the Human Brain. Life 2022, 12, 1060. https://doi.org/10.3390/life12071060
Dinatolo MF, Cohen LY. Monitoring the Impact of Spaceflight on the Human Brain. Life. 2022; 12(7):1060. https://doi.org/10.3390/life12071060
Chicago/Turabian StyleDinatolo, Michael F., and Luchino Y. Cohen. 2022. "Monitoring the Impact of Spaceflight on the Human Brain" Life 12, no. 7: 1060. https://doi.org/10.3390/life12071060
APA StyleDinatolo, M. F., & Cohen, L. Y. (2022). Monitoring the Impact of Spaceflight on the Human Brain. Life, 12(7), 1060. https://doi.org/10.3390/life12071060

