Temporomandibular Joint Disk Displacements in Class II Malocclusion and Cervical Spine Alterations: Systematic Review and Report of a Hypodivergent Case with MRI Bone and Soft Tissue Changes
Abstract
1. Introduction
2. Materials and Methods
2.1. Eligibility Criteria
2.2. Information Sources
2.3. Search Strategy
3. Results
3.1. Data Collection
3.2. Description of the Studies and Analysis
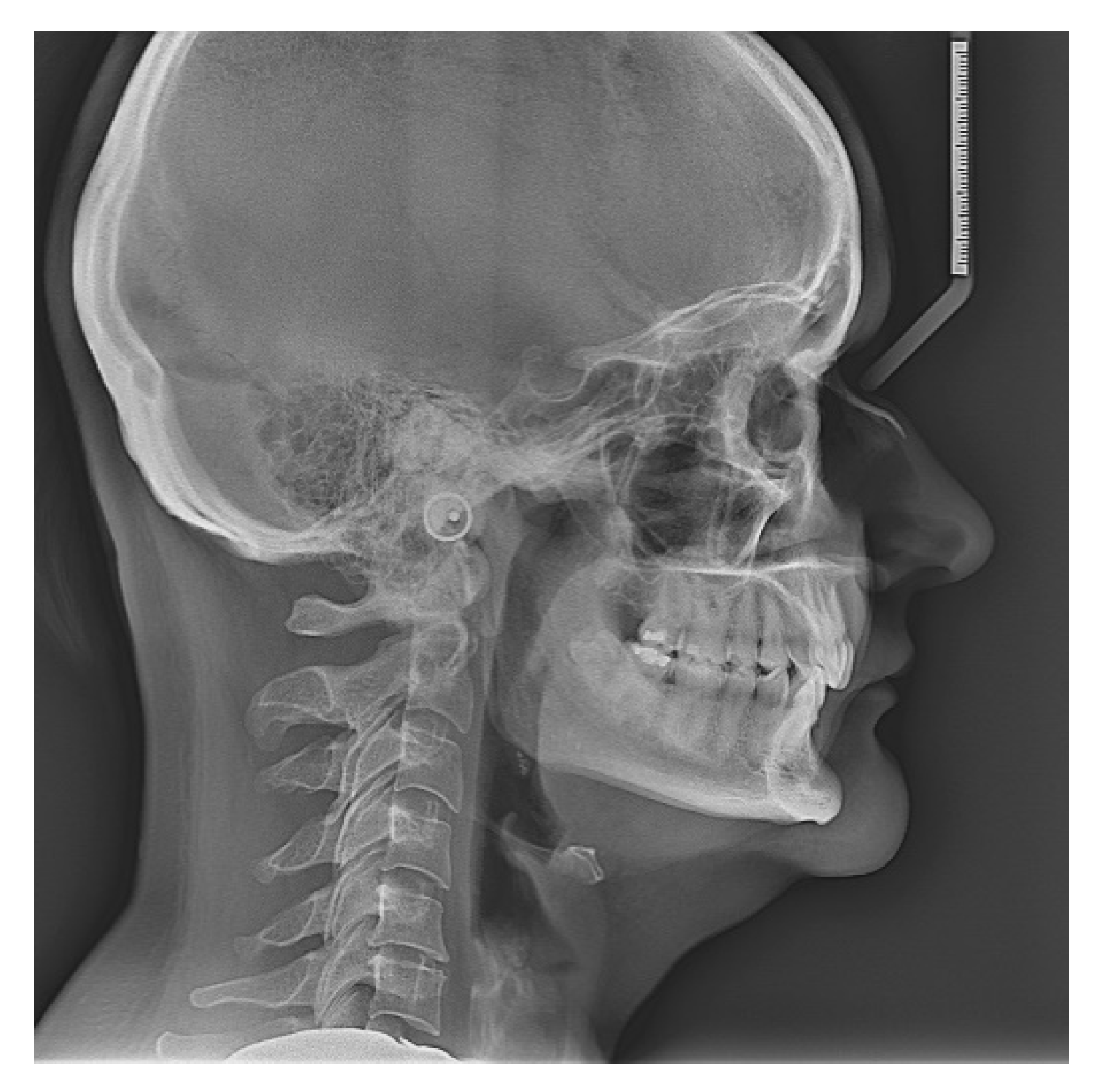
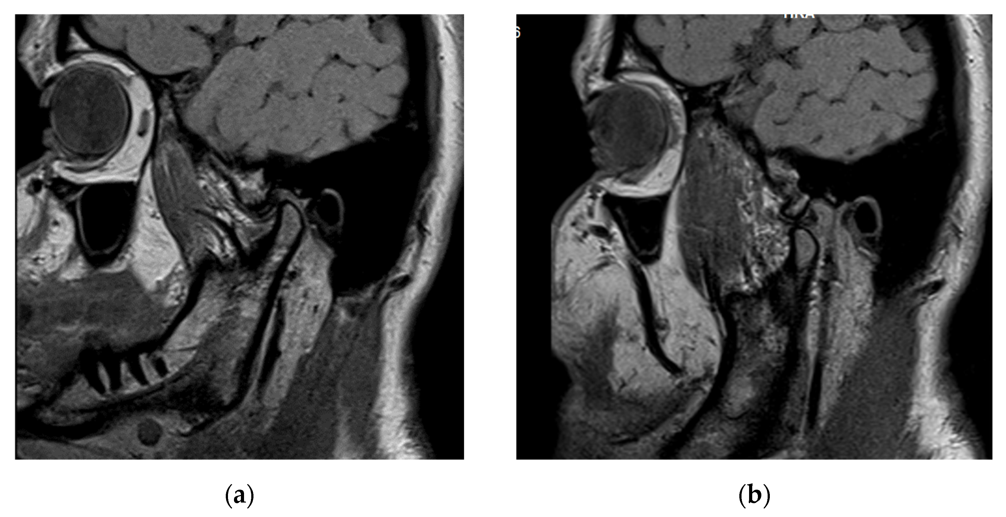
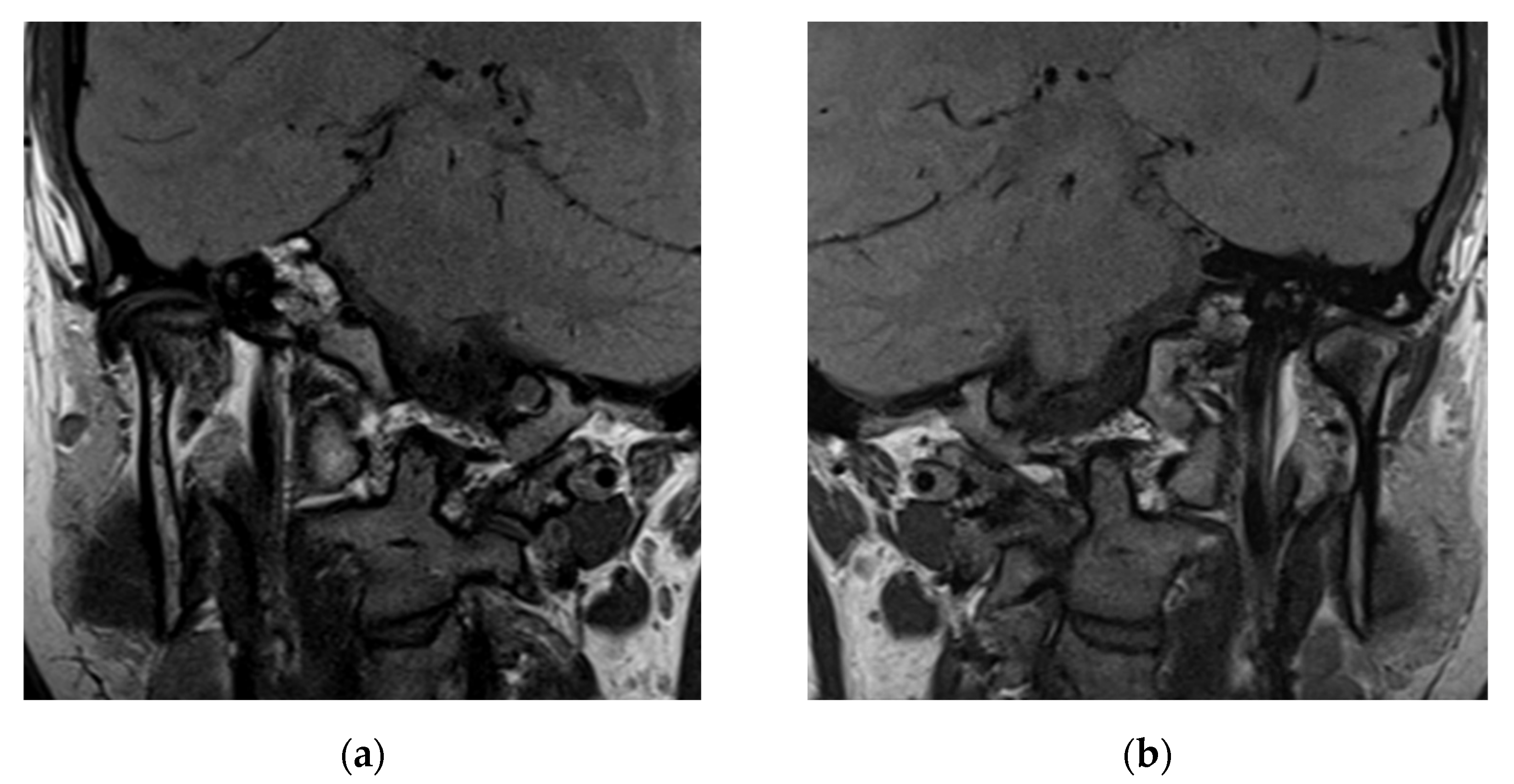
3.3. Case Report
4. Discussion
Implications for Practice and Future Research
5. Conclusions
Author Contributions
Funding
Informed Consent Statement
Conflicts of Interest
References
- Committee on Temporomandibular Disorders (TMDs). From Research Discoveries to Clinical Treatment; Board on Health Sciences Policy; Board on Health Care Services; Health and Medicine Division; National Academies of Sciences, Engineering, and Medicine. In Temporomandibular Disorders: Priorities for Research and Care; Bond, E.C., Mackey, S., English, R., Liverman, C.T., Yost, O., Eds.; National Academies Press: Washington, DC, USA, 2020; p. 25652. ISBN 978-0-309-67048-7. [Google Scholar]
- Greene, C.S.; Kusiak, J.W.; Cowley, T.; Cowley, A.W. Recently Released Report by The National Academies of Sciences, Engineering, and Medicine Proposes Significant Changes in Understanding and Managing Temporomandibular Disorders. J. Prosthet. Dent. 2022, S0022391321006600. [Google Scholar] [CrossRef] [PubMed]
- Okeson, J.P. Management of Temporomandibular Disorders and Occlusion, 7th ed.; Mosby: St. Louis, MO, USA, 2012. [Google Scholar]
- Schiffman, E.; Ohrbach, R.; Truelove, E.; Look, J.; Anderson, G.; Goulet, J.-P.; List, T.; Svensson, P.; Gonzalez, Y.; Lobbezoo, F.; et al. Diagnostic Criteria for Temporomandibular Disorders (DC/TMD) for Clinical and Research Applications: Recommendations of the International RDC/TMD Consortium Network* and Orofacial Pain Special Interest Group. J. Oral Facial Pain Headache 2014, 28, 6–27. [Google Scholar] [CrossRef] [PubMed]
- Peck, C.C.; Goulet, J.-P.; Lobbezoo, F.; Schiffman, E.L.; Alstergren, P.; Anderson, G.C.; de Leeuw, R.; Jensen, R.; Michelotti, A.; Ohrbach, R.; et al. Expanding the Taxonomy of the Diagnostic Criteria for Temporomandibular Disorders. J. Oral Rehabil. 2014, 41, 2–23. [Google Scholar] [CrossRef]
- Valesan, L.F.; Da-Cas, C.D.; Réus, J.C.; Denardin, A.C.S.; Garanhani, R.R.; Bonotto, D.; Januzzi, E.; de Souza, B.D.M. Prevalence of Temporomandibular Joint Disorders: A Systematic Review and Meta-Analysis. Clin. Oral Investig. 2021, 25, 441–453. [Google Scholar] [CrossRef]
- Wieckiewicz, M.; Grychowska, N.; Nahajowski, M.; Hnitecka, S.; Kempiak, K.; Charemska, K.; Balicz, A.; Chirkowska, A.; Zietek, M.; Winocur, E. Prevalence and Overlaps of Headaches and Pain-Related Temporomandibular Disorders Among the Polish Urban Population. J. Oral Facial Pain Headache 2020, 34, 31–39. [Google Scholar] [CrossRef]
- Qvintus, V.; Sipilä, K.; Le Bell, Y.; Suominen, A.L. Prevalence of Clinical Signs and Pain Symptoms of Temporomandibular Disorders and Associated Factors in Adult Finns. Acta Odontol. Scand. 2020, 78, 515–521. [Google Scholar] [CrossRef]
- Dias, I.M.; Coelho, P.R.; Assis, N.M.S.P.; Leite, F.P.P.; Devito, K.L. Evaluation of the Correlation between Disc Displacements and Degenerative Bone Changes of the Temporomandibular Joint by Means of Magnetic Resonance Images. Int. J. Oral Maxillofac. Surg. 2012, 41, 1051–1057. [Google Scholar] [CrossRef]
- Garstka, A.A.; Brzózka, M.; Bitenc-Jasiejko, A.; Ardan, R.; Gronwald, H.; Skomro, P.; Lietz-Kijak, D. Cause-Effect Relationships between Painful TMD and Postural and Functional Changes in the Musculoskeletal System: A Preliminary Report. Pain Res. Manag. 2022, 2022, 1429932. [Google Scholar] [CrossRef] [PubMed]
- Joy, T.E.; Tanuja, S.; Pillai, R.R.; Dhas Manchil, P.R.; Raveendranathan, R. Assessment of Craniocervical Posture in TMJ Disorders Using Lateral Radiographic View: A Cross-Sectional Study. CRANIO® 2021, 39, 391–397. [Google Scholar] [CrossRef] [PubMed]
- Knuutila, J.; Kivipuro, J.; Näpänkangas, R.; Auvinen, J.; Pesonen, P.; Karppinen, J.; Paananen, M.; Pirttiniemi, P.; Raustia, A.; Sipilä, K. Association of Temporomandibular Disorders with Pain Sensitivity: A Cohort Study. Eur. J. Pain 2022, 26, 143–153. [Google Scholar] [CrossRef] [PubMed]
- Saddu, S.C. The Evaluation of Head and Craniocervical Posture among Patients with and without Temporomandibular Joint Disorders- A Comparative Study. J. Clin. Diagn. Res. 2015, 9, ZC55-8. [Google Scholar] [CrossRef] [PubMed]
- An, J.S.; Jeon, D.M.; Jung, W.S.; Yang, I.H.; Lim, W.H.; Ahn, S.J. Influence of Temporomandibular Joint Disc Displacement on Craniocervical Posture and Hyoid Bone Position. Am. J. Orthod. Dentofac. Orthop. 2015, 147, 72–79. [Google Scholar] [CrossRef] [PubMed]
- Ekici, Ö.; Camcı, H. Relationship of Temporomandibular Joint Disorders with Cervical Posture and Hyoid Bone Position. CRANIO® 2021, 1–10. [Google Scholar] [CrossRef] [PubMed]
- Cuenca-Martínez, F.; Herranz-Gómez, A.; Madroñero-Miguel, B.; Reina-Varona, Á.; La Touche, R.; Angulo-Díaz-Parreño, S.; Pardo-Montero, J.; del Corral, T.; López-de-Uralde-Villanueva, I. Craniocervical and Cervical Spine Features of Patients with Temporomandibular Disorders: A Systematic Review and Meta-Analysis of Observational Studies. J. Clin. Med. 2020, 9, 2806. [Google Scholar] [CrossRef] [PubMed]
- Di Giacomo, P.; Ferrara, V.; Accivile, E.; Ferrato, G.; Polimeni, A.; Di Paolo, C. Relationship between Cervical Spine and Skeletal Class II in Subjects with and without Temporomandibular Disorders. Pain Res. Manag. 2018, 2018, 4286796. [Google Scholar] [CrossRef] [PubMed]
- Raya, C.R.; Plaza-Manzano, G.; Pecos-Martín, D.; Ferragut-Garcías, A.; Martín-Casas, P.; Gallego-Izquierdo, T.; Romero-Franco, N. Role of Upper Cervical Spine in Temporomandibular Disorders. J. Back Musculoskelet. Rehabil. 2017, 30, 1245–1250. [Google Scholar] [CrossRef] [PubMed]
- Emodi-Perlman, A.; Eli, I.; Smardz, J.; Uziel, N.; Wieckiewicz, G.; Gilon, E.; Grychowska, N.; Wieckiewicz, M. Temporomandibular Disorders and Bruxism Outbreak as a Possible Factor of Orofacial Pain Worsening during the COVID-19 Pandemic—Concomitant Research in Two Countries. J. Clin. Med. 2020, 9, 3250. [Google Scholar] [CrossRef]
- Page, M.J.; McKenzie, J.E.; Bossuyt, P.M.; Boutron, I.; Hoffmann, T.C.; Mulrow, C.D.; Shamseer, L.; Tetzlaff, J.M.; Akl, E.A.; Brennan, S.E.; et al. The PRISMA 2020 Statement: An Updated Guideline for Reporting Systematic Reviews. BMJ 2021, 88, 105906. [Google Scholar] [CrossRef]
- Ouzzani, M.; Hammady, H.; Fedorowicz, Z.; Elmagarmid, A. Rayyan—A Web and Mobile App for Systematic Reviews. Syst. Rev. 2016, 5, 210. [Google Scholar] [CrossRef]
- Zotero. Corporation for Digital Scholarship. Available online: https://www.zotero.org (accessed on 6 June 2022).
- PRISMA-P Group; Moher, D.; Shamseer, L.; Clarke, M.; Ghersi, D.; Liberati, A.; Petticrew, M.; Shekelle, P.; Stewart, L.A. Preferred Reporting Items for Systematic Review and Meta-Analysis Protocols (PRISMA-P) 2015 Statement. Syst. Rev. 2015, 4, 1. [Google Scholar] [CrossRef]
- Ahn, S.J.; Kim, T.W.; Nahm, D.S. Cephalometric Keys to Internal Derangement of Temporomandibular Joint in Women with Class II Malocclusions. Am. J. Orthod. Dentofac. Orthop. 2004, 126, 486–494; discussion 494–495. [Google Scholar] [CrossRef] [PubMed]
- Câmara-Souza, M.B.; Figueredo, O.M.C.; Maia, P.R.L.; Dantas, I.D.S.; Barbosa, G.A.S. Cervical Posture Analysis in Dental Students and Its Correlation with Temporomandibular Disorder. CRANIO® J. Craniomandib. Pract. 2018, 36, 85–90. [Google Scholar] [CrossRef] [PubMed]
- D’Attilio, M.; Epifania, E.; Ciuffolo, F.; Salini, V.; Filippi, M.R.; Dolci, M.; Festa, F.; Tecco, S. Cervical Lordosis Angle Measured on Lateral Cephalograms; Findings in Skeletal Class II Female Subjects with and without TMD: A Cross Sectional Study. CRANIO® 2004, 22, 27–44. [Google Scholar] [CrossRef] [PubMed]
- De Farias Neto, J.P.; De Santana, J.M.; De Santana-Filho, V.J.; Quintans-Junior, L.J.; De Lima Ferreira, A.P.; Bonjardim, L.R. Radiographic Measurement of the Cervical Spine in Patients with Temporomandibular Dysfunction. Arch. Oral Biol. 2010, 55, 670–678. [Google Scholar] [CrossRef]
- Flores, H.F.; Ottone, N.E.; Fuentes, R. Analysis of the Morphometric Characteristics of the Cervical Spine and Its Association with the Development of Temporomandibular Disorders. CRANIO® J. Craniomandib. Pract. 2017, 35, 79–85. [Google Scholar] [CrossRef]
- John, Z.A.S.; Shrivastav, S.S.; Kamble, R.; Jaiswal, E.; Dhande, R. Three-Dimensional Comparative Evaluation of Articular Disc Position and Other Temporomandibular Joint Morphology in Class II Horizontal and Vertical Cases with Class I Malocclusion. Angle Orthod. 2020, 90, 707–714. [Google Scholar] [CrossRef]
- Jung, W.S.; Kim, H.; Jeon, D.M.; Mah, S.J.; Ahn, S.J. Magnetic Resonance Imaging-Verified Temporomandibular Joint Disk Displacement in Relation to Sagittal and Vertical Jaw Deformities. Int. J. Oral Maxillofac. Surg. 2013, 42, 1108–1115. [Google Scholar] [CrossRef]
- Kwon, H.B.; Kim, H.; Jung, W.S.; Kim, T.W.; Ahn, S.J. Gender Differences in Dentofacial Characteristics of Adult Patients with Temporomandibular Disc Displacement. J. Oral Maxillofac. Surg. 2013, 71, 1178–1186. [Google Scholar] [CrossRef]
- Ma, Z.; Xie, Q.; Yang, C.; Zhang, S.; Shen, Y.; Abdelrehem, A. Can Anterior Repositioning Splint Effectively Treat Temporomandibular Joint Disc Displacement? Sci. Rep. 2019, 9, 534. [Google Scholar] [CrossRef]
- Matheus, R.A.; Ramos-Perez, F.M.; Menezes, A.V.; Ambrosano, G.M.; Haiter-Neto, F.; Bóscolo, F.N.; de Almeida, S.M. The Relationship between Temporomandibular Dysfunction and Head and Cervical Posture. J. Appl. Oral Sci. Rev. FOB 2009, 17, 204–208. [Google Scholar] [CrossRef]
- Walczyńska-Dragon, K.; Baron, S.; Nitecka-Buchta, A.; Tkacz, E. Correlation between TMD and Cervical Spine Pain and Mobility: Is the Whole Body Balance TMJ Related? BioMed Res. Int. 2014, 2014, 582414. [Google Scholar] [CrossRef] [PubMed]
- Rubis, L.M.; Rubis, D.; Winchester, B. A Collaborative Approach between Chiropractic and Dentistry to Address Temporomandibular Dysfunction: A Case Report. J. Chiropr. Med. 2014, 13, 55–61. [Google Scholar] [CrossRef] [PubMed][Green Version]
- The Kinnie-Funt (K-F) Chief Complaint Visual Index for Head, Neck, and Facial Pain and TMJ Dysfunction. Available online: https://c3-preview.prosites.com/245737/wy/docs/Fillable/TMJ%20FORM%20(1)%20-%20Fillable.pdf (accessed on 6 June 2022).
- Delgado, D.A.; Lambert, B.S.; Boutris, N.; McCulloch, P.C.; Robbins, A.B.; Moreno, M.R.; Harris, J.D. Validation of Digital Visual Analog Scale Pain Scoring with a Traditional Paper-Based Visual Analog Scale in Adults. JAAOS Glob. Res. Rev. 2018, 2, e088. [Google Scholar] [CrossRef] [PubMed]
- Anderson, G.C.; Gonzalez, Y.M.; Ohrbach, R.; Truelove, E.L.; Sommers, E.; Look, J.O.; Schiffman, E.L. The Research Diagnostic Criteria for Temporomandibular Disorders. VI: Future Directions. J. Orofac. Pain 2010, 24, 79–88. [Google Scholar]
- Pradeep, S.; Venkatasubramanian, P.; Parameswaran, R.; Vijayalakshmi, D. Quantitative Analysis of Body Posture and Its Correlation with Cervical Posture in Various Malocclusions. 2021, In Review. Available online: https://assets.researchsquare.com/files/rs-149271/v1/b60f92f0-b319-4379-8b6d-669119e46036.pdf?c=1631872964 (accessed on 6 June 2022).
- Manfredini, D.; Guarda-Nardini, L. Agreement between Research Diagnostic Criteria for Temporomandibular Disorders and Magnetic Resonance Diagnoses of Temporomandibular Disc Displacement in a Patient Population. Int. J. Oral Maxillofac. Surg. 2008, 37, 612–616. [Google Scholar] [CrossRef]
- Ma, G.M.Y.; Calabrese, C.E.; Donohue, T.; Peacock, Z.S.; Caruso, P.; Kaban, L.B.; Resnick, C.M. Imaging of the Temporomandibular Joint in Juvenile Idiopathic Arthritis: How Does Quantitative Compare to Semiquantitative MRI Scoring? J. Oral Maxillofac. Surg. 2019, 77, 951–958. [Google Scholar] [CrossRef]
- Derwich, M.; Mitus-Kenig, M.; Pawlowska, E. Interdisciplinary Approach to the Temporomandibular Joint Osteoarthritis—Review of the Literature. Medicina 2020, 56, 225. [Google Scholar] [CrossRef]
- de Oliveira, L.B.; Cajaíba, F.; Costa, W.; Rocabado, M.; Lazo-Osório, R.; Ribeiro, S. Comparative Analysis of Assessment of the Craniocervical Equilibrium through Two Methods: Cephalomotry of Rocabado and Cervical Range of Motion. Work 2012, 41, 2563–2568. [Google Scholar] [CrossRef]
- Khayatzadeh, S.; Kalmanson, O.A.; Schuit, D.; Havey, R.M.; Voronov, L.I.; Ghanayem, A.J.; Patwardhan, A.G. Cervical Spine Muscle-Tendon Unit Length Differences between Neutral and Forward Head Postures: Biomechanical Study Using Human Cadaveric Specimens. Phys. Ther. 2017, 97, 756–766. [Google Scholar] [CrossRef]
- Manfredini, D.; Castroflorio, T.; Perinetti, G.; Guarda-Nardini, L. Dental Occlusion, Body Posture and Temporomandibular Disorders: Where We Are Now and Where We Are Heading for. J. Oral Rehabil. 2012, 39, 463–471. [Google Scholar] [CrossRef]
- Haralur, S.; Al-Gadhaan, S.; Al-Qahtani, A.; Mossa, A.; Al-Shehri, W.; Addas, M. Influence of Functional Head Postures on the Dynamic Functional Occlusal Parameters. Ann. Med. Health Sci. Res. 2014, 4, 562. [Google Scholar] [CrossRef] [PubMed]
- Shu, J.; Ma, H.; Jia, L.; Fang, H.; Chong, D.Y.R.; Zheng, T.; Yao, J.; Liu, Z. Biomechanical Behaviour of Temporomandibular Joints during Opening and Closing of the Mouth: A 3D Finite Element Analysis. Int. J. Numer. Methods Biomed. Eng. 2020, 36, e3373. [Google Scholar] [CrossRef] [PubMed]
- Inoue, E.; Maekawa, K.; Minakuchi, H.; Nagamatsu-Sakaguchi, C.; Ono, T.; Matsuka, Y.; Clark, G.T.; Kuboki, T. The Relationship between Temporomandibular Joint Pathosis and Muscle Tenderness in the Orofacial and Neck/Shoulder Region. Oral Surg. Oral Med. Oral Pathol. Oral Radiol. Endodontol. 2010, 109, 86–90. [Google Scholar] [CrossRef] [PubMed]
- Wright, E.F.; Domenech, M.A.; Fischer, J.R. Usefulness of Posture Training for Patients with Temporomandibular Disorders. J. Am. Dent. Assoc. 2000, 131, 202–210. [Google Scholar] [CrossRef] [PubMed]
- Sandoval, C.; Díaz, A.; Manríquez, G. Relationship between Craniocervical Posture and Skeletal Class: A Statistical Multivariate Approach for Studying Class II and Class III Malocclusions. CRANIO® 2021, 39, 133–140. [Google Scholar] [CrossRef]
- Segatto, E.; Segatto, A.; Braunitzer, G.; Kirschneck, C.; Fanghänel, J.; Danesh, G.; Lippold, C. Craniofacial and Cervical Morphology Related to Sagittal Spinal Posture in Children and Adolescents. BioMed Res. Int. 2014, 2014, 638238. [Google Scholar] [CrossRef]
- Michelotti, A.; Buonocore, G.; Manzo, P.; Pellegrino, G.; Farella, M. Dental Occlusion and Posture: An Overview. Prog. Orthod. 2011, 12, 53–58. [Google Scholar] [CrossRef]
- Charles, L.E.; Ma, C.C.; Burchfiel, C.M.; Dong, R.G. Vibration and Ergonomic Exposures Associated with Musculoskeletal Disorders of the Shoulder and Neck. Saf. Health Work 2018, 9, 125–132. [Google Scholar] [CrossRef]
- Kong, L.; Tian, W.; Cao, P.; Wang, H.; Zhang, B.; Shen, Y. Predictive Factors Associated with Neck Pain in Patients with Cervical Disc Degeneration: A Cross-Sectional Study Focusing on Modic Changes. Medicine 2017, 96, e8447. [Google Scholar] [CrossRef]
- Penning, L. Functional Pathology of the Cervical Spine; Excerpta Medica Foundation: Amsterdam, The Netherlands, 1968. [Google Scholar]
- Parisella, V.; Vozza, I.; Capasso, F.; Luzzi, V.; Ierardo, G.; Nofroni, I.; Polimeni, A. Cephalometric Evaluation of the Hyoid Triangle before and after Maxillary Rapid Expansion in Patients with Skeletal Class II, Mixed Dentition, and Infantile Swallowing. Ann. Stomatol. 2012, 3, 95–99. [Google Scholar]
- Greenbaum, T.; Dvir, Z.; Emodi-Perelmam, A.; Reiter, S.; Rubin, P.; Winocur, E. Relationship between Specific Temporomandibular Disorders and Impaired Upper Neck Performance. Eur. J. Oral Sci. 2020, 128, 292–298. [Google Scholar] [CrossRef] [PubMed]
- Greenbaum, T.; Dvir, Z.; Reiter, S.; Winocur, E. Cervical Flexion-Rotation Test and Physiological Range of Motion—A Comparative Study of Patients with Myogenic Temporomandibular Disorder versus Healthy Subjects. Musculoskelet. Sci. Pract. 2017, 27, 7–13. [Google Scholar] [CrossRef] [PubMed]
- Greenbaum, T.; Dvir, Z.; Emodi-Perlman, A.; Reiter, S.; Rubin, P.; Winocur, E. The Association between Specific Temporomandibular Disorders and Cervicogenic Headache. Musculoskelet. Sci. Pract. 2021, 52, 102321. [Google Scholar] [CrossRef] [PubMed]
- Solow, B.; Tallgren, A. Head Posture and Craniofacial Morphology. Am. J. Phys. Anthropol. 1976, 44, 417–435. [Google Scholar] [CrossRef] [PubMed]
- Sharma, S.; Singla, A.; Puri, A.; Singh, V.; Kumar, D.; Mahajan, N. Predictability of Skeletal Sagittal and Vertical Jaw Relationship with Its Correlation to Cervical Vertebral Morphometry and Cervical Spine Inclination. Int. J. Appl. Dent. Sci. 2021, 7, 377–381. [Google Scholar] [CrossRef]
- Liu, Y.; Sun, X.; Chen, Y.; Hu, M.; Hou, X.; Liu, C. Relationships of Sagittal Skeletal Discrepancy, Natural Head Position, and Craniocervical Posture in Young Chinese Children. CRANIO® 2016, 34, 155–162. [Google Scholar] [CrossRef] [PubMed]
- Oakley, P.A.; Ehsani, N.N.; Moustafa, I.M.; Harrison, D.E. Restoring Cervical Lordosis by Cervical Extension Traction Methods in the Treatment of Cervical Spine Disorders: A Systematic Review of Controlled Trials. J. Phys. Ther. Sci. 2021, 33, 784–794. [Google Scholar] [CrossRef]
- Derwich, M.; Gottesman, L.; Urbanska, K.; Pawlowska, E. Craniovertebral and Craniomandibular Changes in Patients with Temporomandibular Joint Disorders after Physiotherapy Combined with Occlusal Splint Therapy: A Prospective Case Control Study. Medicina 2022, 58, 684. [Google Scholar] [CrossRef]
- McCormick, J.R.; Sama, A.J.; Schiller, N.C.; Butler, A.J.; Donnally, C.J. Cervical Spondylotic Myelopathy: A Guide to Diagnosis and Management. J. Am. Board Fam. Med. 2020, 33, 303–313. [Google Scholar] [CrossRef]
- Arshad, R.; Schmidt, H.; El-Rich, M.; Moglo, K. Sensitivity of the Cervical Disc Loads, Translations, Intradiscal Pressure, and Muscle Activity Due to Segmental Mass, Disc Stiffness, and Muscle Strength in an Upright Neutral Posture. Front. Bioeng. Biotechnol. 2022, 10, 751291. [Google Scholar] [CrossRef]
- Namera, M.O.; Mahmoud, G.; Abdulhadi, A.; Burhan, A. Effects of Low-Intensity Pulsed Ultrasound (LIPUS) Applied on the Temporomandibular Joint (TMJ) Region on the Functional Treatment of Class II Malocclusion: A Randomized Controlled Trial. Dent. Med. Probl. 2020, 57, 53–60. [Google Scholar] [CrossRef] [PubMed]
- Tanaka, E.; Liu, Y.; Xia, L.; Ogasawara, N.; Sakamaki, T.; Kano, F.; Hashimoto, N.; Feng, X.; Yamamoto, A. Effectiveness of Low-Intensity Pulsed Ultrasound on Osteoarthritis of the Temporomandibular Joint: A Review. Ann. Biomed. Eng. 2020, 48, 2158–2170. [Google Scholar] [CrossRef] [PubMed]
- Greene, C.; Manfredini, D. Treating Temporomandibular Disorders in the 21st Century: Can We Finally Eliminate the “Third Pathway”? J. Oral Facial Pain Headache 2020, 34, 206–216. [Google Scholar] [CrossRef] [PubMed]
- Wieckiewicz, M.; Boening, K.; Wiland, P.; Shiau, Y.-Y.; Paradowska-Stolarz, A. Reported Concepts for the Treatment Modalities and Pain Management of Temporomandibular Disorders. J. Headache Pain 2015, 16, 106. [Google Scholar] [CrossRef]
- Okeson, J.P.; de Leeuw, R. Differential Diagnosis of Temporomandibular Disorders and Other Orofacial Pain Disorders. Dent. Clin. N. Am. 2011, 55, 105–120. [Google Scholar] [CrossRef]
- Vervaeke, K.; Verhelst, P.-J.; Orhan, K.; Lund, B.; Benchimol, D.; Van der Cruyssen, F.; De Laat, A.; Jacobs, R.; Politis, C. Correlation of MRI and Arthroscopic Findings with Clinical Outcome in Temporomandibular Joint Disorders: A Retrospective Cohort Study. Head Face Med. 2022, 18, 2. [Google Scholar] [CrossRef]
- Rodhen, R.M.; de Holanda, T.A.; Barbon, F.J.; de Oliveira da Rosa, W.L.; Boscato, N. Invasive Surgical Procedures for the Management of Internal Derangement of the Temporomandibular Joint: A Systematic Review and Meta-Analysis Regarding the Effects on Pain and Jaw Mobility. Clin. Oral Investig. 2022, 26, 3429–3446. [Google Scholar] [CrossRef]
- Almăşan, O.C.; Băciuţ, M.; Almăşan, H.A.; Bran, S.; Lascu, L.; Iancu, M.; Băciuţ, G. Skeletal Pattern in Subjects with Temporomandibular Joint Disorders. Arch. Med. Sci. 2013, 1, 118–126. [Google Scholar] [CrossRef]







| Authors, Year of Publication | PT | Number of Studied Subjects | Mean Age of Subjects | TMD Diagnostic Method | Aim | Outcome | Conclusion |
|---|---|---|---|---|---|---|---|
| Jung-Sub An et al., 2015 [14] | CS | 170 female orthodontic patients | 24.5 ± 5.7 years (range from 17.0 to 50.8 years) | lateral cephalograms MRI 3 groups: bilateral DDR, bilateral DDwR, bilateral N | to evaluate craniocervical posture and hyoid bone position in patients with TMJ DD |
| “craniocervical posture is significantly influenced by TMJ disc displacement, which may be associated with a hyperdivergent skeletal pattern with a retrognathic mandible” |
| Ahn SJ et al., 2004 [24] | CS | 58 women | >18 years | lateral cephalogram class II malocclusions MRI 3 groups: DDR, DDwR, N | to determine the association between the progression of ID and alteration in the dentofacial morphology |
| “lower posterior facial height and ramus height, backward rotation of ramus and mandible, and relative protrusion of upper and lower lips were found in the patients with ID of the TMJ. These changes became increasingly severe as ID progressed to DDwR ID of the TMJ might induce dentofacial changes” |
| Câmara-Souza MB et al., 2017 [25] | CS | 80 randomly selected students, 28 patients with TMD, 52 with no TMD 54 females and 26 males | 18–30 years | lateral radiographs clinical diagnosis of TMD (RDC/TMD) | to evaluate the relationship between TMD and craniocervical posture the position of the hyoid bone, the craniocervical angle and the occiput–atlas distance |
| “no relationship can be found between craniocervical posture in the sagittal plane and the presence of TMD” |
| D’Attilio M. et al., 2004 [26] | CS | study group: 50 females with TMD (DD), class II malocclusion control group: 50 females without TMD | 25–35 years 28.9 years average (SD = 3.2) | lateral cephalograms CVT/EVT angle MRI standardized TMJ clinical examination | to evaluate the existence of a relationship between morphological features of subjects with TMJ DD and CVT/EVT angle | postural variables of the cervical column were associated mandibular length, mandibular divergence and overjet | “in TMJ DD, an increase of the CVT/EVT angle was associated with an increase of mandibular and maxillary protrusion; a decrease of mandibular length; an increase in overjet; an increase in mandibular divergence; and a decreased overbite” |
| de Farias Neto JP, et al., 2010 [27] | CS | 23 subjects 2 groups: (1) no TMD: 11 individuals; (2) TMD group: 12 subjects | from 18 to 30 years | clinical examination RDC/TMD self-reported symptoms questionnaire radiograph of the cervical spine | to compare the craniocervical angles and distances between TMD and no TMD |
| “the symptomatic TMD patients presented a flexion of the first cervical vertebra associated with an anteriorization of the cervical spine (hyperlordosis)” “subjects with symptomatic TMD had a tendency to present flexion of the first cervical vertebra and an anteriorization (hyperlordosis) of the cervical spine (C2–C7)” |
| Di Giacomo P et al., 2018 [17] | CS | 59 subjects with skeletal class II 38 females; 21 males study group: 26 patients with TMD control group: 33 patients without TMD | 33.65 years average | lateral cephalograms cervical spine analysis clinical diagnosis of TMD (RDC/TMD) | to assess changes in the craniocervical structure and hyoid bone position |
| “the significant relationship between skeletal Class II and cervical spine cannot be highlighted” “the alteration of craniocervical angle seems to be mildly present, with backward counterclockwise rotation of the head upon the neck in the sample group” “neck posture could be the result of a compensatory/antalgic mechanism in response to TMD” |
| Flores HF et al., 2016 [28] | CS | 102 patients with TMD (28 men and 74 women) control: 99 subjects without TMD (65 men and 34 women) | study group: mean age 28.93 years (±14.9) control group: mean age 29.32 years (±15.19) | clinical examination RDC/TMD lateral skull and cervical teleradiography biomechanical craniocervical analysis depth of the cervical skull curvature quantitative analysis of the morphometry of the cervical vertebrae | possible relationships between various craniocervical parameters and TMD | in TMD:
| “there is a relationship between the anatomical and functional parameters of the cervical spine in patients with TMD” |
| John ZAS et al., 2010 [29] | CS | 75 cases, 25 cases in each group of class I, II vertical and II horizontal | 18–30 years | MRI |
| alterations in the TMJ morphology in class II vertical and class II horizontal cases, with maximum discrepancy in class II vertical cases | “class II vertical cases are more susceptible to the development of TMDs” “class II vertical cases showed maximum alterations in the disk position, condylar position, and joint spaces.” “there was a tendency for anterior and medial DD with more anteriorly positioned condyles compared with other groups” |
| Jung WS, et al., 2013 [30] | CS | 460 adult patients (117 males and 343 females) skeletal class I, II and III malocclusions | male age range: 18.1–37.8 years (mean 22.7 ± 5.8), female: 17.0–47.3 years (mean 24.1 ± 4.9) | lateral cephalograms MRI 6 groups: N/N; DDR/N; DDR/DDR; DDwR/N; DDR/DDwR; DDwR/DDwR | to analyze the relationships between TMJ DD and skeletal deformities lLinear trends between severity of TMJ DD and sagittal or vertical deformities | the severity of TMJ DD increased as the sagittal skeletal classification changed from skeletal class III to class II and the vertical skeletal classification from hypodivergent to hyperdivergent | “subjects with skeletal class II and/or hyperdivergent deformities have a high possibility of severe TMJ DD” “TMJ DD may be present in patients with various skeletal deformities, regardless of TMJ symptoms” |
| Kwon HB, et al., 2013 [31] | CS | 293 adult patients (80 male and 213 female) | men’s age range: from 18.1 to 37.8 years (mean age 22.7 ± 5.8) women’s age range: from 17.0 to 47.3 years (mean age 24.1 ± 4.9) | lateral cephalogram MRI 3 groups: N/N; DDR/DDR; DDwR/DDwR | to assess gender differences in dentofacial characteristics of adult patients according to TMJ DD |
| “dentofacial morphology is strongly associated with TMJ DD status” “skeletal Class II hyperdivergent pattern with a short ramus and mandible may be a potential indicator of TMJ DD regardless of gender” |
| Ma Z et al., 2019 [32] | PS | 72 juvenile patients skeletal class II malocclusions | average age: 15.7 years (range: 10–20 years) | MRI DDR | to determine whether ARS can effectively treat TMJ anterior DDR in juvenile class II patients |
| “ARS is relatively effective in repositioning the DDR, especially for patients in early puberty” “ARS enhances condylar adaptive remodelling and mandibular growth” |
| Matheus RA, et al., 2018 [33] | CS | 60 patients: study group 30 with TMD control group: 30 with no TMD (47 women, 13 men) | mean age 34.2 | clinical examination RDC/TMD lateral cephalograms MRI | to evaluate the possibility of any correlation between DD and parameters used for evaluation of skull positioning in relation to the cervical spine: craniocervical angle, suboccipital space between C0-C1, cervical curvature and position of the hyoid bone |
| “no direct relationship could be determined between the presence of DD and the assessed variables” “there is a close anatomofunctional relationship between the masticatory system and the cervical region and scapular centric” “the postural alteration of the head leads to a disadvantage to muscular biomechanics” “the relationship between craniocervical disorder and TMD may be related to the muscular component rather than the articular one” |
| Walczynska-Dragon K, et al., 2014 [34] | PS | 60 patients with TMD (30 female, 30 male) two groups: with TMD, cervical spine pain and limited cervical spine ROM control group | 18–40 years | questionnaire about TMD symptoms and neck pain clinical examination RDC/TMD VAS and the cervical Oswestry scale for the cervical spine pain mandibular motion was recorded by jaw motion analyzer | to evaluate the influence of occlusal splint therapy on cervical spine ROM and spinal pain | occlusal splint therapy showed a significant improvement in TMJ function, cervical spine ROM and a reduction of spinal pain | “there is a significant association between TMD treatment and reduction of cervical spine pain, as far as improvement of cervical spine mobility” |
| Parameter | Value | Mean ± SD | Meaning |
|---|---|---|---|
| SNA | 86.5° | 82 ± 2° | protruded maxilla |
| SNB | 83° | 80 ± 2° | prognathic mandible |
| Y axis to S-N | 60° | 70 ± 4° | horizontal growth pattern |
| FMA | 11.5° | 25 ± 2° | hypodivergent pattern |
| gonial angle | 109° | 125 ± 5° | acute gonial angle |
| occlusal plane to Go-Gn | 2.7° | 19.09 ± 4.7° | vertical undergrowth of mandible |
| occlusal plane to S-N | 16.3° | 14.5 ± 2° | horizontal growth tendency |
| S-N to Gn | 59.5° | 67.0 ± 2° | hypodivergent facial pattern |
| S-N to Go-Me | 16.5° | 32 ± 2° | horizontal growth tendency |
| articular angle | 141° | 145 ± 5° | acute articular angle |
| facial height ratio | 83.48% | 65 ± 8% | hypodivergent growth pattern |
| lower anterior facial height (mm) | 98.5 mm | 130 ± 3 mm | small anterior facial height |
| Go-Gn (mandibular plane) to S-N | 13.6° | 32 ± 4° | hypodivergent facial pattern |
| Wits appraisal | −0.5 mm | −2.5 ± 0.5 mm | skeletal class II |
| A-B plane | −7.5 mm | −4.5 ± 2.5 mm | class II malocclusion |
| overbite | 3.5 mm | 2 ± 2 mm | normal |
| overjet | 3.5 mm | 2 ± 2 mm | normal |
Publisher’s Note: MDPI stays neutral with regard to jurisdictional claims in published maps and institutional affiliations. |
© 2022 by the authors. Licensee MDPI, Basel, Switzerland. This article is an open access article distributed under the terms and conditions of the Creative Commons Attribution (CC BY) license (https://creativecommons.org/licenses/by/4.0/).
Share and Cite
Almășan, O.; Kui, A.; Duncea, I.; Manea, A.; Buduru, S. Temporomandibular Joint Disk Displacements in Class II Malocclusion and Cervical Spine Alterations: Systematic Review and Report of a Hypodivergent Case with MRI Bone and Soft Tissue Changes. Life 2022, 12, 908. https://doi.org/10.3390/life12060908
Almășan O, Kui A, Duncea I, Manea A, Buduru S. Temporomandibular Joint Disk Displacements in Class II Malocclusion and Cervical Spine Alterations: Systematic Review and Report of a Hypodivergent Case with MRI Bone and Soft Tissue Changes. Life. 2022; 12(6):908. https://doi.org/10.3390/life12060908
Chicago/Turabian StyleAlmășan, Oana, Andreea Kui, Ioana Duncea, Avram Manea, and Smaranda Buduru. 2022. "Temporomandibular Joint Disk Displacements in Class II Malocclusion and Cervical Spine Alterations: Systematic Review and Report of a Hypodivergent Case with MRI Bone and Soft Tissue Changes" Life 12, no. 6: 908. https://doi.org/10.3390/life12060908
APA StyleAlmășan, O., Kui, A., Duncea, I., Manea, A., & Buduru, S. (2022). Temporomandibular Joint Disk Displacements in Class II Malocclusion and Cervical Spine Alterations: Systematic Review and Report of a Hypodivergent Case with MRI Bone and Soft Tissue Changes. Life, 12(6), 908. https://doi.org/10.3390/life12060908

