Abstract
Introduction: Axial spondyloarthritis (axSpA) is characterized by damage to the axial skeleton and entheses, and is often associated with extra-articular manifestations, in the presence of the human leukocyte antigen (HLA) B27. The aim of our study is to assess the performance of rheumatologists in interpreting the inflammatory and structural damage to sacroiliac joints, in comparison to radiologists. Material and Methods: The present study included a total of 34 patients diagnosed with axSpA, according to the Assessment of SpondyloArthritis International Society (ASAS) criteria for axSpA, examined from January 2021 to November 2021 in the Departments of Rheumatology and Radiology and Medical Imaging of the University of Medicine and Pharmacy of Craiova. All patients underwent physical examination, laboratory tests, and magnetic resonance imaging (MRI) of the sacroiliac joints. The images were interpreted by a senior radiologist (SR), a junior radiologist (JR), a senior rheumatologist (SRh), and a junior rheumatologist (JRh), who were blinded to the clinical and paraclinical data. Results: The overall κ was 0.7 for the JR (substantial agreement), 0.707 for the SRh (substantial agreement), and 0.601 for the JRh (moderate agreement), in comparison with the SR. Regarding the overall inflammatory changes, the SRh and JR were proven to have substantial agreement (κ = 0.708 and 0.742, respectively) with the SR, while the JRh was proven to have moderate agreement (κ = 0.607). The structural damage observed by the JR showed substantial agreement (κ = 0.676) with the SR, while the SRh and JRh had substantial and moderate agreement (κ = 0.705 and 0.596, respectively) with the SR. Conclusions: Our study showed substantial agreement between the senior radiologist, senior rheumatologist, and junior radiologist, and moderate agreement with the junior rheumatologist.
1. Introduction
Axial spondyloarthritis (axSpA) is characterized by damage to the axial skeleton (spine and sacroiliac joints) and entheses, and is often associated with extra-articular manifestations, such as ocular, cardiac, pulmonary, or renal involvement, in the presence of the human leukocyte antigen (HLA) B27 [1,2,3].
The term axial spondyloarthritis includes both the radiographic and non-radiographic forms, in which case sacroiliitis can be objectified by magnetic resonance imaging (MRI) only, and not by conventional radiographs. This form of the disease is called non-radiographic axial spondyloarthritis (nr-axSpA), and may or may not progress to ankylosing spondylitis (AS) [4,5].
The hallmark of sacroiliitis, from a clinical point of view, is represented by sacroiliac joint pain. Furthermore, while sacroiliac discomfort is often restricted to the buttocks and lower lumbar areas, some patients experience pain radiating to the groin, lower abdomen, trochanter, and even lower leg. Joint palpation and provocation tests, aimed at inducing pain while straining the sacroiliac joints, are part of the physical evaluation of the sacroiliac joint [6,7].
However, at least in the early stages of sacroiliitis, alterations in the sacroiliac joints, detected on radiographs, are not sensitive or specific enough. In many individuals with axSpA, it may take years of clinically obvious illness before clear abnormalities of the sacroiliac joints become detectable on standard radiographs [8,9].
MRI can identify joint inflammation in its early stages, before structural damage develops, thanks to its good contrast resolution. With potentially successful therapy, applicable to a limited window of opportunity for disease control, MRI has become a dominating diagnostic technology, and, at the same time, was incorporated in the axSpA classification criteria, thus becoming the cornerstone of SpA diagnosis [10,11].
Sacroiliitis is usually bilateral and symmetrical. Initially, it involves the lower two-thirds of the sacroiliac joint space. The progression of the erosive process results in pseudo-enlargement of the sacroiliac joint space with bone sclerosis, followed by complete fusion of the sacroiliac joints.
In daily practice, MRI images are interpreted by radiologists, and the readings are presented to the primary care physician or to the rheumatologist. However, a rheumatologist with special training should be able to interpret musculoskeletal MRI examinations. The interobserver agreement, defined as the difference in the measurements between radiologists and rheumatologists, should be further tested. It is not clear whether the assessment criteria for sacroiliitis are reproducible among rheumatologists and radiologists with different levels of experience [12,13].
The aim of our study is to assess the performance of rheumatologists in interpreting the inflammatory and structural damage to sacroiliac joints, in comparison to radiologists.
2. Materials and Methods
2.1. Patients
The present study included a total of 34 patients diagnosed with axSpA according to the Assessment of SpondyloArthritis International Society (ASAS) criteria for axSpA, examined from January 2021 to November 2021 in the Departments of Rheumatology and Radiology and Medical Imaging of the University of Medicine and Pharmacy of Craiova. The inclusion criteria were as follows: age >16 years, diagnosis of AS, and symptoms of sacroiliac joint pain lasting for more than 6 months. The exclusion criteria included the presence of any other rheumatic disease, infection, or trauma to the pelvic region. All patients expressed their agreement to be a part of this study. The study was approved by the local ethics committee of the University of Medicine and Pharmacy of Craiova (Registration no. 210/08.12.2021), according to the European Union Guidelines (Declaration of Helsinki).
2.2. Demographic Characteristics and Assessment of Clinical, Laboratory, and Imaging Data
All patients underwent physical examination, laboratory tests, and MRI of the sacroiliac joints.
The clinical assessment included specific maneuvers for the sacroiliac joints, such as Patrick’s maneuver. Patrick’s maneuver, or the FABER test, was performed by having the leg flexed, while the thigh was abducted and externally rotated. If pain was perceived anteriorly on the ipsilateral side, it suggested hip joint dysfunction on that side. If pain was evoked posteriorly, on the contralateral side around the sacroiliac joint, it was likely caused by sacroiliac joint dysfunction. The patient’s pain and severity were assessed with a visual analog scale (VAS) of 100 mm. Standardized scores, such as the Ankylosing Spondylitis Disease Activity Score (ASDAS), Bath Ankylosing Spondylitis Disease Activity Index (BASDAI), and Bath Ankylosing Spondylitis Functionality Score (BASFI), were used in order to assess disease activity in the group of patients.
The evaluated biological parameters consisted of complete blood count (CBC), liver enzymes, serum creatinine, erythrocyte sedimentation rate (ESR), with a normal range <10 mm/h, and C-reactive protein (CRP), with a normal range <5 mg/L.
All MRI examinations of the sacroiliac joints were performed on a Philips Ingenia 3 Tesla device available in the Department of Radiology and Medical Imaging of the University of Medicine and Pharmacy of Craiova. The MRI protocol for evaluating the sacroiliac joints consisted of coronal oblique T1, T2 (without fat suppression), short tau inversion recovery (STIR) sequences oriented parallel to the sacrum, and axial oblique T2 spectral attenuated inversion recovery (SPAIR) positioned perpendicularly to the sacrum. We evaluated the presence of inflammatory changes (bone marrow edema, synovitis, and enthesitis) and structural damage (subchondral sclerosis, erosions, backfill, fat metaplasia, and joint space narrowing/ankylosis).
The images were interpreted by a senior radiologist (SR), a junior radiologist (JR), a senior rheumatologist (SRh), and a junior rheumatologist (JRh), scored independently without knowledge of the other interpretations. In addition, the scans were anonymized, with no clinical and paraclinical patient data. The SR and SRh have 15 years of experience in radiology and rheumatology, respectively. They both have a particular interest in musculoskeletal imaging, specifically in rheumatic diseases, having attended multiple European Alliance of Associations for Rheumatology (EULAR) and ASAS courses on SpA imaging. The JR and JRh are trainees of the seniors, with 5 years of experience in their chosen specialties.
2.3. Statistical Analysis
Statistical analyses of the data were performed using SPSS Software version 20 for Windows. The relationship between the variables was analyzed using the unpaired t-test and the Pearson/Spearman’s coefficient for evaluating correlations. Values less than 0.05 for p were considered to be statistically significant. The summary statistics of the mean ± standard deviation (SD) are presented for continuous variables. The agreement between observers was calculated using cross-tabulation expressed in Cohen’s kappa (κ). The value of kappa was interpreted according to Landis and Koch as follows: <0—poor agreement; 0.0–0.20—slight agreement; 0.21–0.40—fair agreement; 0.41–0.60—moderate agreement; 0.61–0.80—substantial agreement; 0.81–1.00—almost perfect agreement [14].
3. Results
The study included 34 patients diagnosed with axSpA (29 males and 5 females), with a mean age of 39.14 ± 10.31 years.
The patients had either only axial involvement, as in 32.25% of the cases, or both axial and peripheral joint involvement, as in 67.75% of the cases. The genetic mark of axSpA, HLA-B27, was positive in 76.47% of the patients.
The disease activity, according to ASDAS-CRP, was low in 8.83% of the cases, and high and very high in 2.94% and 88.23% of the cases, respectively. Regarding BASDAI, the inactive and active disease was described in 5.88% and 94.11% of the patients, respectively.
The descriptive parameters of the patients enrolled in the study are presented in Table 1.
Table 1.
Demographic and clinical features of the patients.
We evaluated 68 sacroiliac joints. The prevalence of MRI-detected abnormalities is presented in Table 2. The results of the SR were considered as the reference data. Inflammatory and structural changes were detected on the MRI sequences of the sacroiliac joints. The most frequently encountered inflammatory change, both on the left and right sacroiliac joint, was the presence of bone marrow edema (44.11–58.82%), followed by enthesitis (17.64–26.47%) and synovitis (11.76–17.64%). Regarding structural changes, the most prominent was subchondral sclerosis (50–59.37%), followed by erosions (35.29–41.17%), joint space narrowing (38.23%), fat metaplasia (17.64–23.25%), and backfill (11.76–20.58%) (Figure 1, Figure 2 and Figure 3).
Table 2.
Magnetic resonance imaging (MRI) findings of the left and right sacroiliac joints, obtained by the senior radiologist, junior radiologist, senior rheumatologist, and junior rheumatologist—the number and percentage of positive cases for each abnormality.
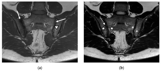
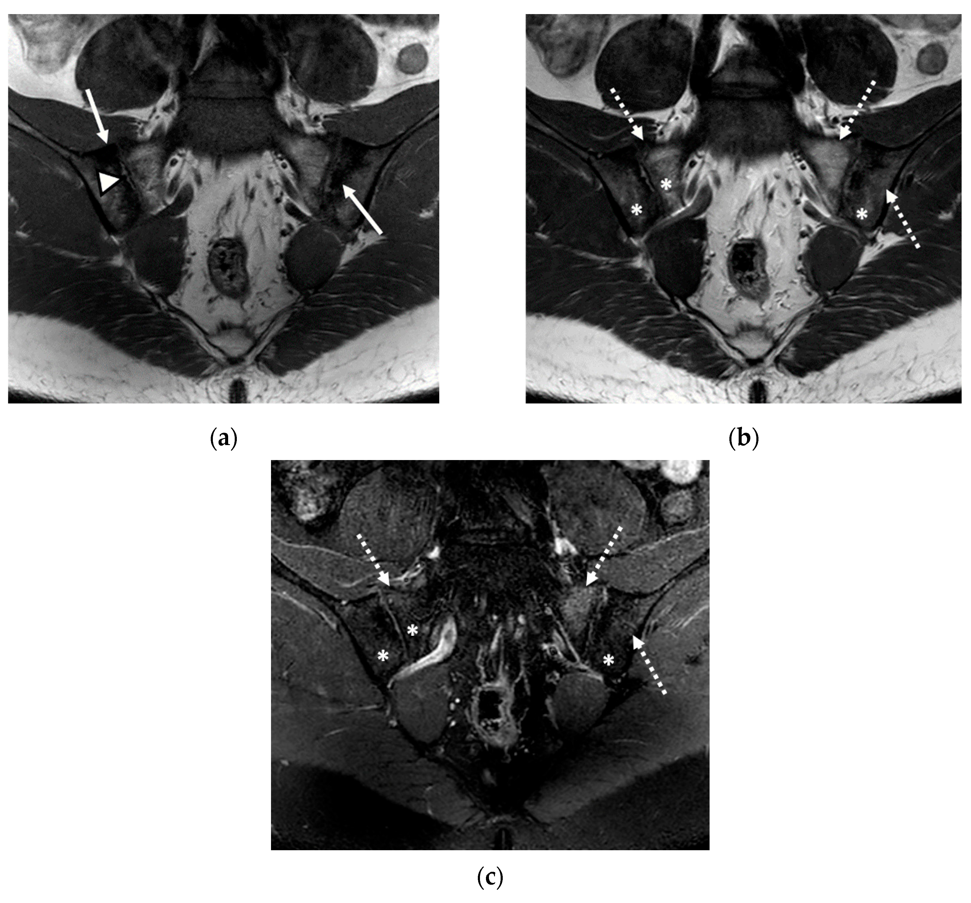
Figure 1.
The magnetic resonance imaging (MRI) examination of the sacroiliac joints revealed narrowing of the sacroiliac joint spaces with bilateral marginal bone erosions (continuous arrow), bilateral subchondral sclerosis (arrowhead), and increased fat metaplasia (star), with minimal diffuse adjacent bone marrow edema (dotted arrow): (a) T1-weighted sequence; (b) T2-weighted sequence; (c) short tau inversion recovery (STIR) sequence.
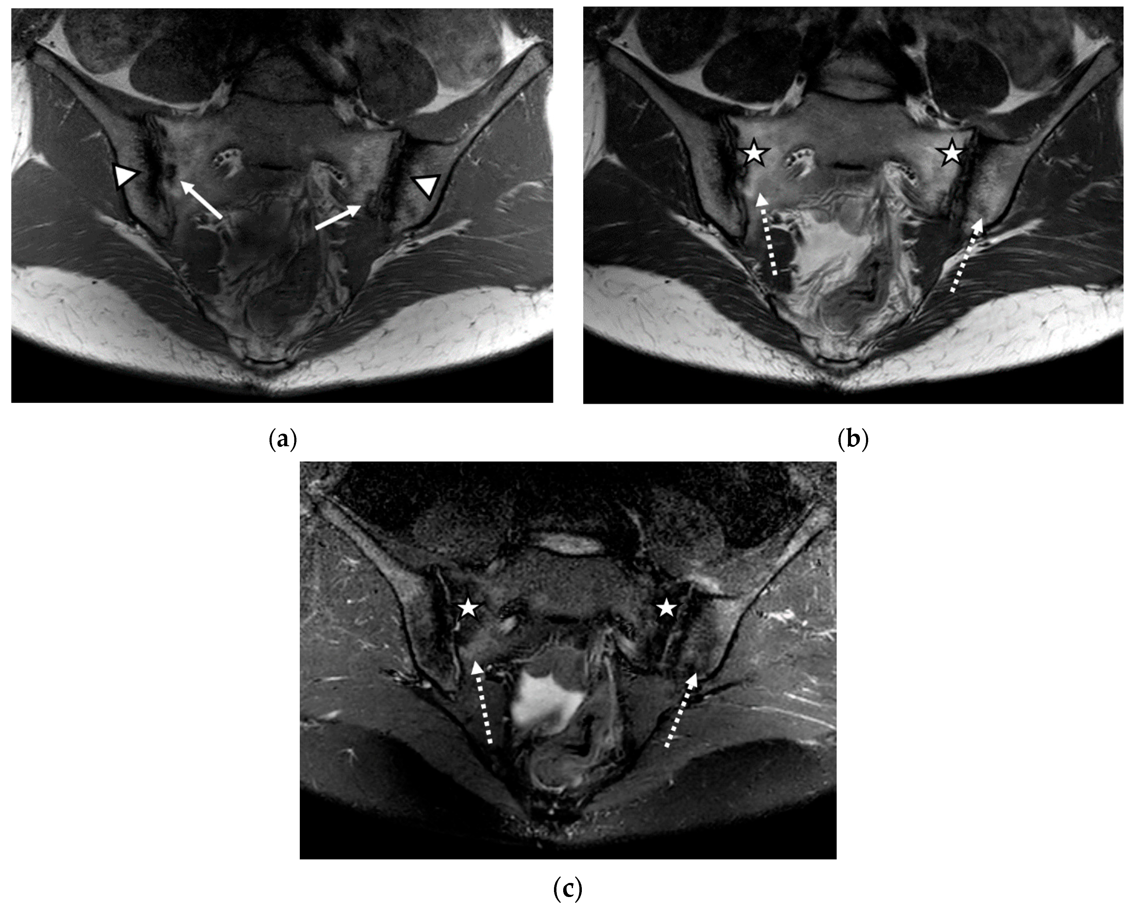
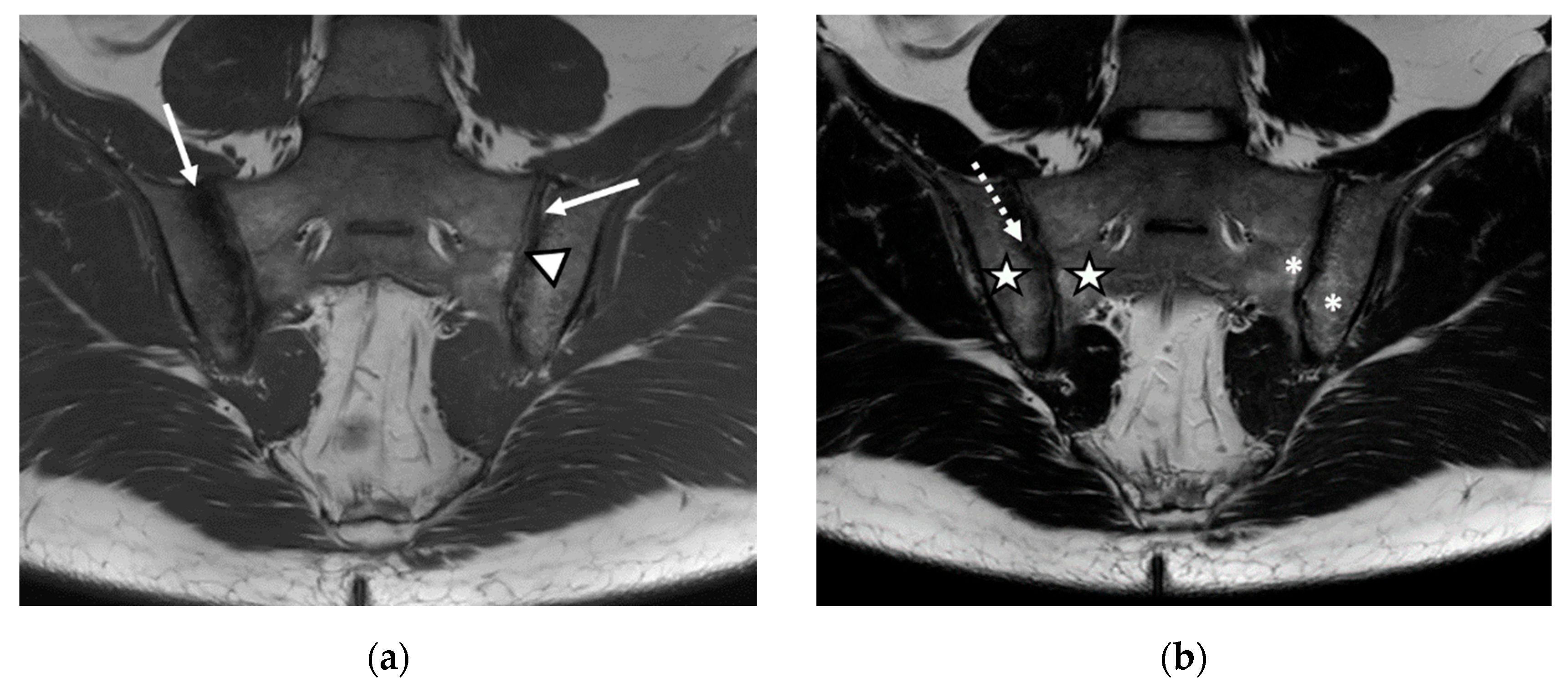
Figure 2.
The MRI scan of the sacroiliac joints indicated bilateral narrowing of the sacroiliac joint space, associated with bilateral subchondral sclerosis of the iliac bones (continuous arrow); bilateral fat metaplasia (asterisk), mostly affecting the iliac bones and the right part of the sacrum; backfill of the right sacroiliac joint space (arrowhead); diffuse bone marrow edema (discontinuous arrow), affecting the sacrum and the left iliac bone: (a) T1-weighted sequence; (b) T2-weighted sequence (without fat suppression); (c) STIR sequence.

Figure 3.
The MRI aspect of the sacroiliac joints included pseudo-widening of both sacroiliac joints, with marked bone marrow edema (star) of both the sacrum and the right iliac bone, in the proximity of the ipsilateral sacroiliac joint space, right iliac bone erosions (discontinuous arrow), bilateral subchondral sclerosis (continuous arrow), and fat metaplasia (asterisk), affecting the left iliac bone, and the left part of the sacrum and backfill (arrowhead) of the left sacroiliac joint space: (a) T1-weighted sequence; (b) T2-weighted sequence (without fat suppression); (c) STIR sequence.
The MRI findings on the total number of sacroiliac joints, as well as the interobserver agreement results, are depicted in Table 3.
Table 3.
Global MRI findings for the 68 sacroiliac joints and the level of agreement between readers. SR—senior radiologist; JR—junior radiologist; SRh—senior rheumatologist; JRh—junior rheumatologist.
Moderate to substantial agreement (0.489–0.766) was encountered between the observers regarding the inflammatory changes, whereas poor to almost perfect agreement (0.396–0.813) was noted in the case of structural damage. The overall κ was 0.7 for the JR (substantial agreement), 0.707 for the SRh (substantial agreement), and 0.601 for the JRh (moderate agreement), in comparison with the SR. Regarding the overall inflammatory changes, the SRh and JR showed substantial agreement (κ = 0.708 and 0.742, respectively) with the SR, while the JRh showed moderate agreement (κ = 0.607). The structural damage observed by the JR showed substantial agreement (κ = 0.676) with the SR, while the SRh and JRh had substantial and moderate agreement (κ = 0.705 and 0.596, respectively) with the SR.
Associations between Clinical and MRI Findings
A positive Patrick’s maneuver on the right was associated with the presence of synovitis on the MRI interpreted by the SR (p = 0.019), while a positive Patrick’s maneuver on the left was associated with the presence of bone marrow edema interpreted by the SR (p = 0.019). None of the other parameters tested, such as enthesitis, subchondral sclerosis, erosions, backfill, fat metaplasia, and joint narrowing, reflected an association with Patrick’s maneuver.
The disease activity score ASDAS-CRP showed an association with fat metaplasia, both on the right (p = 0.012) and on the left (p = 0.034) sacroiliac joints, and also with joint space narrowing of the right (p = 0.007) and left (p = 0.007) sacroiliac joints. None of the other MRI parameters tested, such as bone marrow edema, synovitis, enthesitis, subchondral sclerosis, erosions, and backfill, showed associations with the disease activity score.
4. Discussion
The use of MRI has significantly improved the assessment and management of patients with SpA. As part of the updated New York criteria for AS, the presence of bilateral moderate or unilateral severe radiographic sacroiliitis was previously required for diagnosis. This typically caused a 7–10-year delay in diagnosis [15]. MRI is of great importance in assessing the diagnosis of AS, but also in monitoring the disease activity through the presence of inflammatory/acute findings, and in monitoring the structural joint damage and progression of the disease [16,17].
In our study, the senior radiologist and senior rheumatologist showed substantial agreement (the overall κ = 0.707) in interpreting the MRI of the sacroiliac joints, in concordance with a study conducted by Rueda et al. Their study included an expert radiologist, a local radiologist, and a rheumatologist as observers, showing substantial agreement between the expert radiologist and the rheumatologist. In our case, the senior radiologist and rheumatologist had special training in interpreting MRIs in SpA [18].
A study by Arnbak et al., regarding the back pain cohort in Denmark, showed moderate to almost perfect interobserver agreement, with the almost perfect agreement being found for bone marrow edema. In our study, the interobserver reliability between the senior radiologist, senior rheumatologist, and junior radiologist was substantial, while moderate agreement was found between the senior radiologist and junior rheumatologist [19].
In a study by Geijer et al., regarding findings of sacroiliitis on computed tomography (CT) scans, the authors showed substantial agreement between the interpretations of two expert radiologists; whereas, in our study, the SR and JR had substantial agreement in reading the scans [20].
A study by Berg et al. evaluated the patients included in the DESIR cohort. The images were interpreted by local rheumatologists or radiologists, versus central trained readers. In the case of recent-onset inflammatory back pain, the trained readers and local rheumatologists/radiologists showed substantial agreement, in concordance with our study, in which the SR, SRh, and JR showed substantial agreement. Compared with this study, our readers were blinded to the diagnosis [21].
Overall, our study demonstrated that the senior radiologist, senior rheumatologist, and junior radiologist trained by the senior were in substantial agreement regarding inflammatory changes (κ = 0.708—SRh and κ = 0.748—JR), structural damage (κ = 0.676—SRh and κ = 0.705—JR), and overall findings (κ = 0.707—SRh and κ = 0.70—JR). The junior rheumatologist demonstrated moderate agreement with the senior radiologist regarding inflammatory, structural, and overall changes (κ = 0.607, κ = 0.596, and κ = 601, respectively). The findings may prove that, with special training, the results between radiologists and rheumatologists are comparable.
Even if there was substantial agreement between the SR, SRh, and JR, regarding inflammatory, structural, and overall sacroiliac joint abnormalities, there were certain differences between the interpretations. One reason for these discrepancies is related to the fact that the interpretation of an MRI is subjective, dependent on the interpreter. Another reason may be that the SR and JR have more experience in interpreting MRIs in general, having opportunities to describe MRI lesions on a daily basis. Due to the fact that the SRh underwent special training in spondyloarthritis imaging, the interobserver agreement was substantial. Regarding the moderate agreement with the JRh, it only proves that the better the training, the better the agreement between interpreters.
In our study, we also encountered a positive association (p = 0.019) between bone marrow edema and clinical maneuvers, regarding the pain of the sacroiliac joints (Patrick’s maneuver); these findings were compatible with a study conducted by Yang et al., which proved that bone marrow edema correlated with pain in the sacroiliac joints [22].
In addition, the presence of synovitis was associated with a positive Patrick’s maneuver (p = 0.019), with both bone marrow edema and synovitis being inflammatory changes that can trigger positive provocation maneuvers of the sacroiliac joints.
In a study by Castro et al., which aimed to assess the construct validity of clinical tests to identify sacroiliac joint inflammation in patients with nr-axSpA, the authors concluded that the FABER test (Patrick’s) showed greater likelihood ratios to identify sacroiliac joint inflammation, in concordance with our findings. In our case, active/inflammatory changes had a positive correlation with Patrick’s maneuver [23].
In our study, we showed a positive association between fat metaplasia on both sacroiliac joints (p = 0.017—right; p = 0.017—left) and the sacroiliac joint space narrowing on both sides (p = 0.012—right; p = 0.034—left). The evidence in the literature is contrasting, with MRI scores showing either no association with ASDAS-CRP or a positive association. We believe that these discrepancies may be due to the fact that inflammation parameters, such as CRP, are not frequently high in spondyloarthritis, even if the patients are proven to have high disease activity from a clinical point of view [24,25,26].
The limitations of our study were the small sample size and the fact that the interpreters were aware of the overall diagnosis of the patients, but not of the clinical and paraclinical data.
5. Conclusions
Our study showed substantial agreement between the senior radiologist, senior rheumatologist, and junior radiologist, and moderate agreement with the junior rheumatologist; these findings are in concordance with other studies in the literature. However, the interobserver reliability in the MRI assessment of sacroiliac joints is not a very well-studied domain, so further studies on larger numbers of patients have to be conducted in order to establish the level of agreement.
Author Contributions
Conceptualization, A.E.M., P.L.C. and I.A.G.; methodology, A.F., C.C., L.M.F. and F.L.G.; validation, A.E.M. and I.A.G.; formal analysis, A.F., A.B., F.B. and A.M.; investigation, A.F., A.E.M., L.M.F. and I.A.G.; resources, L.M.F. and I.A.G.; writing—original draft preparation, A.F., A.B., F.B., A.M., L.M.F. and F.L.G.; writing—review and editing, A.E.M., C.C., P.L.C. and I.A.G.; visualization, A.B., F.B. and A.M.; supervision, A.E.M., I.A.G. and F.L.G.; project administration, A.E.M. and I.A.G. All authors have read and agreed to the published version of the manuscript.
Funding
The Article Processing Charges were funded by the University of Medicine and Pharmacy of Craiova, Romania.
Institutional Review Board Statement
The study was conducted according to the guidelines of the Declaration of Helsinki and approved by the Ethics Committee of the University of Medicine and Pharmacy of Craiova (Reg. no. 210/08.12.2021).
Informed Consent Statement
Informed consent was obtained from all subjects involved in the study.
Conflicts of Interest
The authors declare no conflict of interest.
References
- Garcia-Montoya, L.; Gul, H.; Emery, P. Recent Advances in Ankylosing Spondylitis: Understanding the Disease and Management [Version 1; Peer Review: 2 Approved]. F1000Research 2018, 7, 1512. [Google Scholar] [CrossRef] [PubMed] [Green Version]
- Magrey, M.N.; Danve, A.S.; Ermann, J.; Walsh, J.A. Recognizing Axial Spondyloarthritis: A Guide for Primary Care. Mayo Clin. Proc. 2020, 95, 2499–2508. [Google Scholar] [CrossRef] [PubMed]
- Florescu, A.; Pădureanu, V.; Florescu, D.N.; Bobircă, A.; Florescu, L.M.; Bumbea, A.M.; Pădureanu, R.; Mușetescu, A.E. The Role of Clinical and Ultrasound Enthesitis Scores in Ankylosing Spondylitis. Life 2021, 11, 218. [Google Scholar] [CrossRef] [PubMed]
- Kameda, H.; Kobayashi, S.; Tamura, N.; Kadono, Y.; Tada, K.; Yamamura, M.; Tomita, T. Non-Radiographic Axial Spondyloarthritis. Mod. Rheumatol. 2021, 31, 277–282. [Google Scholar] [CrossRef] [PubMed]
- Van Gaalen, F.A.; Bakker, P.A.C.; De Hooge, M.; Schoones, J.W.; Van der Heijde, D. Assessment of Sacroiliitis by Radiographs and MRI: Where Are We Now? Curr. Opin. Rheumatol. 2014, 26, 384–388. [Google Scholar] [CrossRef]
- Sieper, J.; Poddubnyy, D. Axial Spondyloarthritis. Lancet 2017, 390, 73–84. [Google Scholar] [CrossRef]
- Líška, D.; Zelník, R.; Hegedüšová, N. Clinical Examination of the Sacroiliac Joint. J. Orthop. Trauma Rehabil. 2021, 28, 1–6. [Google Scholar] [CrossRef]
- Østergaard, M.; Lambert, R.G.W. Imaging in Ankylosing Spondylitis. Ther. Adv. Musculoskelet. Dis. 2012, 4, 301. [Google Scholar] [CrossRef]
- Slobodin, G.; Hussein, H.; Rosner, I.; Eshed, I. Sacroiliitis—Early Diagnosis Is Key. J. Inflamm. Res. 2018, 11, 339. [Google Scholar] [CrossRef] [Green Version]
- Kröber, G.; Weber, U. MRI in Spondyloarthritis: When and How? Curr. Opin. Rheumatol. 2018, 30, 324–333. [Google Scholar] [CrossRef]
- Gorelik, N.; Tamizuddin, F.; Rodrigues, T.C.; Beltran, L.; Malik, F.; Reddy, S.; Koo, J.; Subhas, N.; Gyftopoulos, S. Comparison between Radiography and Magnetic Resonance Imaging for the Detection of Sacroiliitis in the Initial Diagnosis of Axial Spondyloarthritis: A Cost-Effectiveness Study. Skelet. Radiol. 2020, 49, 1581–1588. [Google Scholar] [CrossRef] [PubMed]
- Azzolin, I.; Massazza, G.; Iagnocco, A. Spondyloarthritis: Not Only Enthesitis. Clin. Exp. Rheumatol. 2020, 38, 157–163. [Google Scholar] [PubMed]
- Braun, J.; Baraliakos, X.; Buehring, B.; Kiltz, U.; Fruth, M. Imaging of Axial Spondyloarthritis. New Aspects and Differential Diagnoses. Clin. Exp. Rheumatol. 2018, 114, S35–S42. [Google Scholar]
- Cohen, J. Weighted Kappa: Nominal Scale Agreement Provision for Scaled Disagreement or Partial Credit. Psychol. Bull. 1968, 70, 213–220. [Google Scholar] [CrossRef]
- Linden, S.V.D.; Valkenburg, H.A.; Cats, A. Evaluation of Diagnostic Criteria for Ankylosing Spondylitis. A Proposal for Modification of the New York Criteria. Arthritis Rheum. 1984, 27, 361–368. [Google Scholar] [CrossRef]
- Poddubnyy, D.; Gaydukova, I.; Hermann, K.G.; Song, I.H.; Haibel, H.; Braun, J.; Sieper, J. Magnetic Resonance Imaging Compared to Conventional Radiographs for Detection of Chronic Structural Changes in Sacroiliac Joints in Axial Spondyloarthritis. J. Rheumatol. 2013, 40, 1557–1565. [Google Scholar] [CrossRef]
- Arnbak, B.; Grethe Jurik, A.; Hørslev-Petersen, K.; Hendricks, O.; Hermansen, L.T.; Loft, A.G.; Østergaard, M.; Pedersen, S.J.; Zejden, A.; Egund, N.; et al. Associations Between Spondyloarthritis Features and Magnetic Resonance Imaging Findings: A Cross-Sectional Analysis of 1020 Patients With Persistent Low Back Pain. Arthritis Rheumatol. 2016, 68, 892–900. [Google Scholar] [CrossRef] [Green Version]
- Rueda, J.C.; Arias-Correal, S.; Vasquez, A.Y.; Calvo, E.; Peña, P.; Porras, M.; Angarita, J.I.; Saldarriaga, E.L.; Santos, A.M.; Londono, J. Interobserver Agreement in Magnetic Resonance of the Sacroiliac Joints in Patients with Spondyloarthritis. Int. J. Rheumatol. 2017, 2017, 3143069. [Google Scholar] [CrossRef] [Green Version]
- Arnbak, B.; Jensen, T.S.; Manniche, C.; Zejden, A.; Egund, N.; Jurik, A.G. Spondyloarthritis-Related and Degenerative MRI Changes in the Axial Skeleton—An Inter- and Intra-Observer Agreement Study. BMC Musculoskelet. Disord. 2013, 14, 274. [Google Scholar] [CrossRef] [Green Version]
- Geijer, M.; Gadeholt Göthlin, G.; Göthlin, J.H. Observer Variation in Computed Tomography of the Sacroiliac Joints: A Retrospective Analysis of 1383 Cases. Acta Radiol. 2007, 48, 665–671. [Google Scholar] [CrossRef]
- Van den Berg, R.; Lenczner, G.; Thévenin, F.; Claudepierre, P.; Feydy, A.; Reijnierse, M.; Saraux, A.; Rahmouni, A.; Dougados, M.; van der Heijde, D. Classification of Axial SpA Based on Positive Imaging (Radiographs and/or MRI of the Sacroiliac Joints) by Local Rheumatologists or Radiologists versus Central Trained Readers in the DESIR Cohort. Ann. Rheum. Dis. 2015, 74, 2016–2021. [Google Scholar] [CrossRef] [PubMed]
- Yang, R.; Liu, H.; Fan, M. A Quick Decrease of Bone Marrow Edema in Sacroiliac Joint Could Be Served as a Novel Marker for Dose Tapering of Etanercept in Ankylosing Spondylitis Patients. Medicine 2019, 98, e14620. [Google Scholar] [CrossRef]
- Castro, M.P.; Stebbings, S.M.; Milosavljevic, S.; Pedersen, S.J.; Bussey, M.D. Assessing the Construct Validity of Clinical Tests to Identify Sacroiliac Joint Inflammation in Patients with Non-Radiographic Axial Spondyloarthritis. Int. J. Rheum. Dis. 2019, 22, 1521–1528. [Google Scholar] [CrossRef]
- Lau, H.W.; Mok, C.C.; Chan, W.C.S.; Yuen, M.K.; Li, O.C. Intercorrelation between MRI Disease Activity Scores of the Sacroiliac Joints and the Spine, and Clinical Disease Activity Indices in Patients with Axial Spondyloarthritis. Rep. Med. Imaging 2017, 10, 45–51. [Google Scholar] [CrossRef] [Green Version]
- Cui, Y.; Zheng, J.; Zhang, X.; Zeng, H.; Luo, R. Evaluation of Treatments for Sacroiliitis in Spondyloarthropathy Using the Spondyloarthritis Research Consortium Canada Scoring System. Arthritis Res. Ther. 2016, 18, 38. [Google Scholar] [CrossRef] [PubMed] [Green Version]
- Zhang, P.; Yu, K.; Guo, R.; Shah, S.; Morelli, J.N.; Runge, V.A.; Li, X. Ankylosing Spondylitis: Correlations between Clinical and MRI Indices of Sacroiliitis Activity. Clin. Radiol. 2015, 70, 62–66. [Google Scholar] [CrossRef] [PubMed]
Publisher’s Note: MDPI stays neutral with regard to jurisdictional claims in published maps and institutional affiliations. |
© 2022 by the authors. Licensee MDPI, Basel, Switzerland. This article is an open access article distributed under the terms and conditions of the Creative Commons Attribution (CC BY) license (https://creativecommons.org/licenses/by/4.0/).



