Cichoriin, a Biocoumarin, Mitigates Oxidative Stress and Associated Adverse Dysfunctions on High-Fat Diet-Induced Obesity in Rats
Abstract
1. Introduction
2. Materials and Methods
2.1. Animals
2.2. Induction of Obesity
2.3. Design of Study
2.4. Collection of Serum and Organ Samples
2.5. Assessment of Biochemical Parameters
2.6. Measurement of Antioxidant and Oxidative Stress Parameters
2.7. Histopathological Examination
2.8. RT-PCR of PPAR-γ in Adipose Tissue
2.9. Western Blot Analysis of PPAR-γ Protein Expression in Adipose Tissue
2.10. Statistical Analysis
3. Results
3.1. Effect of Cichoriin on Body Weight, BMI, and Organ Weight of Obese Rats
3.2. Effect of Cichoriin on Lipid Profile of Obese Rats
3.3. Effect of Cichoriin on Biochemical Parameters of Obese Rats
3.4. Effect of Cichoriin on Hepatic and Renal Oxidative Stress Markers of Obese Rats
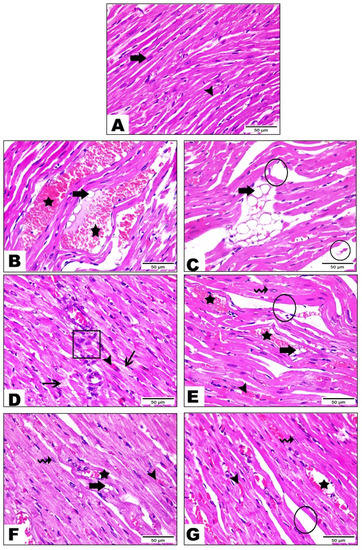
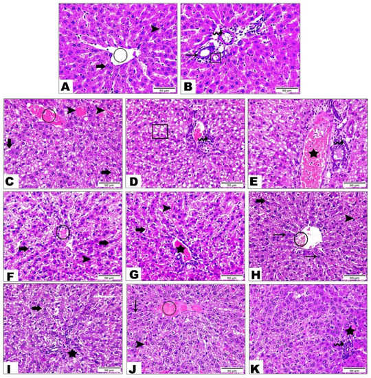
3.5. Histopathological Analysis
3.5.1. Examination of Heart Tissue
3.5.2. Examination of Kidney Tissue
3.5.3. Examination of Liver Tissue
3.6. Effect of Cichoriin on Gene and Protein Expressions in Adipose Tissue
4. Discussion
5. Conclusions
Author Contributions
Funding
Institutional Review Board Statement
Informed Consent Statement
Data Availability Statement
Acknowledgments
Conflicts of Interest
References
- Fu, C.; Jiang, Y.; Guo, J.; Su, Z. Natural products with anti-obesity effects and different mechanisms of action. J. Agric. Food Chem. 2016, 64, 9571–9585. [Google Scholar] [CrossRef] [PubMed]
- Mukhtar, F.; Stieglitz, K.; Ali, S.; Ejaz, A.; Choudhary, M.I.; Fakhri, M.I.; Salar, U.; Khan, K.M. Coumarin and biscoumarin inhibit in vitro obesity model. Adv. Biol. Chem. 2016, 6, 152. [Google Scholar] [CrossRef]
- Jakab, J.; Miškić, B.; Mikšić, Š.; Juranić, B.; Ćosić, V.; Schwarz, D.; Včev, A. Adipogenesis as a Potential Anti-Obesity Target: A Review of Pharmacological Treatment and Natural Products. Diabetes Metab. Syndr. Obes. Targets Ther. 2021, 14, 67–83. [Google Scholar] [CrossRef] [PubMed]
- Vasudeva, N.; Yadav, N.; Sharma, S.K. Natural products: A safest approach for obesity. Chin. J. Integr. Med. 2012, 18, 473–480. [Google Scholar] [CrossRef] [PubMed]
- Chang, E.; Kim, C.Y. Natural products and obesity: A focus on the regulation of mitotic clonal expansion during adipogenesis. Molecules 2019, 24, 1157. [Google Scholar] [CrossRef] [PubMed]
- Khutami, C.; Sumiwi, S.A.; Khairul Ikram, N.K.; Muchtaridi, M. The Effects of Antioxidants from Natural Products on Obesity, Dyslipidemia, Diabetes and Their Molecular Signaling Mechanism. Int. J. Mol. Sci. 2022, 23, 2056. [Google Scholar] [CrossRef] [PubMed]
- Rahman, M.M.; Islam, M.R.; Shohag, S.; Hossain, M.E.; Rahaman, M.S.; Islam, F.; Ahmed, M.; Mitra, S.; Khandaker, M.U.; Idris, A.M. The multifunctional role of herbal products in the management of diabetes and obesity: A comprehensive review. Molecules 2022, 27, 1713. [Google Scholar] [CrossRef]
- Manna, P.; Jain, S.K. Obesity, oxidative stress, adipose tissue dysfunction, and the associated health risks: Causes and therapeutic strategies. Metab. Syndr. Relat. Disord. 2015, 13, 423–444. [Google Scholar] [CrossRef] [PubMed]
- Otani, K.; Ishihara, S.; Yamaguchi, H.; Murono, K.; Yasuda, K.; Nishikawa, T.; Tanaka, T.; Kiyomatsu, T.; Hata, K.; Kawai, K. Adiponectin and colorectal cancer. Surg. Today 2017, 47, 151–158. [Google Scholar] [CrossRef] [PubMed]
- Yang, H.; Yue, G.G.L.; Leung, P.C.; Wong, C.K.; San Lau, C.B. A review on the molecular mechanisms, the therapeutic treatment including the potential of herbs and natural products, and target prediction of obesity-associated colorectal cancer. Pharmacol. Res. 2022, 175, 106031. [Google Scholar] [CrossRef] [PubMed]
- Azlan, A.; Sultana, S.; Huei, C.S.; Razman, M.R. Antioxidant, Anti-Obesity, Nutritional and Other Beneficial Effects of Different Chili Pepper: A Review. Molecules 2022, 27, 898. [Google Scholar] [CrossRef] [PubMed]
- Derosa, G.; Maffioli, P. Anti-obesity drugs: A review about their effects and their safety. Expert Opin. Drug Saf. 2012, 11, 459–471. [Google Scholar] [CrossRef] [PubMed]
- LeBlanc, E.S.; O’Connor, E.; Whitlock, E.P.; Patnode, C.D.; Kapka, T. Effectiveness of primary care–relevant treatments for obesity in adults: A systematic evidence review for the US Preventive Services Task Force. Ann. Intern. Med. 2011, 155, 434–447. [Google Scholar] [CrossRef] [PubMed]
- Hsu, Y.-W.; Chu, D.-C.; Ku, P.-W.; Liou, T.-H.; Chou, P. Pharmacotherapy for obesity: Past, present and future. J. Exp. Clin. Med. 2010, 2, 118–123. [Google Scholar] [CrossRef]
- Buyukhatipoglu, H. A possibly overlooked side effect of orlistat: Gastroesophageal reflux disease. J. Natl. Med. Assoc. 2008, 100, 1207. [Google Scholar] [CrossRef]
- Yun, J.W. Possible anti-obesity therapeutics from nature—A review. Phytochemistry 2010, 71, 1625–1641. [Google Scholar] [CrossRef]
- Field, B.C.; Chaudhri, O.B.; Bloom, S.R. Obesity treatment: Novel peripheral targets. Br. J. Clin. Pharmacol. 2009, 68, 830–843. [Google Scholar] [CrossRef]
- Trigueros, L.; Peña, S.; Ugidos, A.; Sayas-Barberá, E.; Pérez-Álvarez, J.; Sendra, E. Food ingredients as anti-obesity agents: A review. Crit. Rev. Food Sci. Nutr. 2013, 53, 929–942. [Google Scholar] [CrossRef]
- Zhang, W.L.; Zhu, L.; Jiang, J.G. Active ingredients from natural botanicals in the treatment of obesity. Obes. Rev. 2014, 15, 957–967. [Google Scholar] [CrossRef]
- Marrelli, M.; Statti, G.; Conforti, F. A review of biologically active natural products from Mediterranean wild edible plants: Benefits in the treatment of obesity and its related disorders. Molecules 2020, 25, 649. [Google Scholar] [CrossRef]
- Detsi, A.; Kontogiorgis, C.; Hadjipavlou-Litina, D. Coumarin derivatives: An updated patent review (2015–2016). Expert Opin. Ther. Pat. 2017, 27, 1201–1226. [Google Scholar] [CrossRef] [PubMed]
- Khalil, H.E.; Kamel, M.S. Phytochemical and biological studies of Cichorium endivia L. leaves. J. Pharm. Sci. Res. 2015, 7, 509. [Google Scholar]
- Venugopala, K.N.; Rashmi, V.; Odhav, B. Review on natural coumarin lead compounds for their pharmacological activity. Biomed. Res. Int. 2013, 2013, 963248. [Google Scholar] [CrossRef] [PubMed]
- Srikrishna, D.; Godugu, C.; Dubey, P.K. A review on pharmacological properties of coumarins. Mini. Rev. Med. Chem. 2018, 18, 113–141. [Google Scholar] [CrossRef] [PubMed]
- Keri, R.S.; Budagumpi, S.; Balappa Somappa, S. Synthetic and natural coumarins as potent anticonvulsant agents: A review with structure–activity relationship. J. Clin. Pharm. Ther. 2022, 47, 915–931. [Google Scholar] [CrossRef] [PubMed]
- Bertin, R.; Chen, Z.; Martinez-Vazquez, M.; Garcia-Argaez, A.; Froldi, G. Vasodilation and radical-scavenging activity of imperatorin and selected coumarinic and flavonoid compounds from genus Casimiroa. Phytomedicine 2014, 21, 586–594. [Google Scholar] [CrossRef]
- Fylaktakidou, K.C.; Hadjipavlou-Litina, D.J.; Litinas, K.E.; Nicolaides, D.N. Natural and synthetic coumarin derivatives with anti-inflammatory/antioxidant activities. Curr. Pharm. Des. 2004, 10, 3813–3833. [Google Scholar] [CrossRef]
- Bansal, Y.; Sethi, P.; Bansal, G. Coumarin: A potential nucleus for anti-inflammatory molecules. Med. Chem. Res. 2013, 22, 3049–3060. [Google Scholar] [CrossRef]
- Bhattarai, N.; Kumbhar, A.A.; Pokharel, Y.R.; Yadav, P.N. Anticancer potential of coumarin and its derivatives. Mini Rev. Med. Chem. 2021, 21, 2996–3029. [Google Scholar] [CrossRef]
- Tejada, S.; Martorell, M.; Capo, X.; ATur, J.; Pons, A.; Sureda, A. Coumarin and derivates as lipid lowering agents. Curr. Top. Med. Chem. 2017, 17, 391–398. [Google Scholar] [CrossRef]
- Ranđelović, S.; Bipat, R. A Review of Coumarins and Coumarin-Related Compounds for Their Potential Antidiabetic Effect. Clin. Med. Insights Endocrinol. Diabetes 2021, 14, 11795514211042023. [Google Scholar] [CrossRef] [PubMed]
- Singh, L.R.; Kumar, A.; Upadhyay, A.; Gupta, S.; Palanati, G.R.; Sikka, K.; Siddiqi, M.I.; Yadav, P.N.; Sashidhara, K.V. Discovery of coumarin-dihydroquinazolinone analogs as niacin receptor 1 agonist with in-vivo anti-obesity efficacy. Eur. J. Med. Chem. 2018, 152, 208–222. [Google Scholar] [CrossRef] [PubMed]
- Srinivasan, K.; Patole, P.S.; Kaul, C.L.; Ramarao, P. Reversal of Glucose Intolerance by Pioglitazone in High Fat Diet-Fed Rats. Methods Find. Exp. Clin. Pharmacol. 2004, 26, 327–333. [Google Scholar] [CrossRef] [PubMed]
- Aborehab, N.M.; El Bishbishy, M.H.; Waly, N.E. Resistin Mediates Tomato and Broccoli Extract Effects on Glucose Homeostasis in High Fat Diet-Induced Obesity in Rats. BMC Complement. Altern. Med. 2016, 16, 225. [Google Scholar] [CrossRef]
- Pari, L.; Rajarajeswari, N. Efficacy of Coumarin on Hepatic Key Enzymes of Glucose Metabolism in Chemical Induced Type 2 Diabetic Rats. Chem. Biol. Interact. 2009, 181, 292–296. [Google Scholar] [CrossRef] [PubMed]
- Shehata, T.M.; Khalil, H.E.; Elsewedy, H.S.; Soliman, W.E. Myrrh Essential Oil-Based Nanolipid Formulation for Enhancement of the Antihyperlipidemic Effect of Atorvastatin. J. Drug Deliv. Sci. Technol. 2021, 61, 102277. [Google Scholar] [CrossRef]
- Novelli, E.L.B.; Diniz, Y.S.; Galhardi, C.M.; Ebaid, G.M.X.; Rodrigues, H.G.; Mani, F.; Fernandes, A.A.H.; Cicogna, A.C.; Novelli Filho, J.L.V.B. Anthropometrical Parameters and Markers of Obesity in Rats. Lab. Anim. 2007, 41, 111–119. [Google Scholar] [CrossRef]
- Fossati, P.; Prencipe, L. Serum Triglycerides Determined Colorimetrically with an Enzyme That Produces Hydrogen Peroxide. Clin. Chem. 1982, 28, 2077–2080. [Google Scholar] [CrossRef]
- Allain, C.C.; Poon, L.S.; Chan, C.S.G.; Richmond, W.; Fu, P.C. Enzymatic Determination of Total Serum Cholesterol. Clin. Chem. 1974, 20, 470–475. [Google Scholar] [CrossRef]
- Wieland, H.; Seidel, D. A Simple Specific Method for Precipitation of Low Density Lipoproteins. J. Lipid Res. 1983, 24, 904–909. [Google Scholar] [CrossRef]
- IFCC methods for the measurement of catalytic concentration of enzymes. Part 7: IFCC method for creatine kinase. JIFCC 1989, 1, 130–139.
- Khalil, H.E.; Abdelwahab, M.F.; Emeka, P.M.; Badger-Emeka, L.I.; Thirugnanasambantham, K.; Ibrahim, H.-I.M.; Naguib, S.M.; Matsunami, K.; Abdel-Wahab, N.M. Ameliorative Effect of Ocimum forskolei Benth on Diabetic, Apoptotic, and Adipogenic Biomarkers of Diabetic Rats and 3T3-L1 Fibroblasts Assisted by In Silico Approach. Molecules 2022, 27, 2800. [Google Scholar] [CrossRef] [PubMed]
- Khalil, H.E.; Abdelwahab, M.F.; Emeka, P.M.; Badger-Emeka, L.I.; Ahmed, A.-S.F.; Anter, A.F.; Abdel Hafez, S.M.N.; AlYahya, K.A.; Ibrahim, H.-I.M.; Thirugnanasambantham, K.; et al. Brassica oleracea L. var. botrytis Leaf Extract Alleviates Gentamicin-Induced Hepatorenal Injury in Rats—Possible Modulation of IL-1β and NF-κB Activity Assisted with Computational Approach. Life 2022, 12, 1370. [Google Scholar] [CrossRef] [PubMed]
- Khalil, H.E.; Ibrahim, H.-I.M.; El-Fass, K.A.; Akrawi, S.H.; Morsy, M.A. Orientin Alleviates Liver Inflammation via Downregulation of ZEB-2/PTEN Markers—Hepatic Stellate Cells Approach. Appl. Sci. 2022, 12, 2725. [Google Scholar] [CrossRef]
- Hariri, N.; Thibault, L. High-Fat Diet-Induced Obesity in Animal Models. Nutr. Res. Rev. 2010, 23, 270–299. [Google Scholar] [CrossRef]
- Sargin, S.A. Plants Used against Obesity in Turkish Folk Medicine: A Review. J. Ethnopharmacol. 2021, 270, 113841. [Google Scholar] [CrossRef]
- Chandra, K.; Khan, W.; Jetley, S.; Ahmad, S.; Jain, S.K. Antidiabetic, Toxicological, and Metabolomic Profiling of Aqueous Extract of Cichorium Intybus Seeds. Pharmacogn. Mag. 2018, 14, S377–S383. [Google Scholar]
- Eltokhy, A.K.; Khattab, H.A.; Rabah, H.M. The Impact of Cichorium intybus L. On GDF-15 Level in Obese Diabetic Albino Mice as Compared with Metformin Effect. J. Diabetes Metab. Disord. 2021, 20, 1119–1128. [Google Scholar] [CrossRef]
- Choudhary, S.; Kaurav, H.; Chaudhary, G. Kasani Beej (Cichorium Intybus): Ayurvedic View, Folk View, Phytochemistry and Modern Therapeutic Uses. Int. J. Res. Appl. Sci. Biotechnol. 2021, 8, 114–125. [Google Scholar] [CrossRef]
- Um, M.Y.; Moon, M.K.; Ahn, J.; Ha, T.Y. Coumarin attenuates hepatic steatosis by down-regulating lipogenic gene expression in mice fed a high-fat diet. Br. J. Nutr. 2013, 109, 1590–1597. [Google Scholar] [CrossRef]
- Cai, G.; Shi, G.; Xue, S.; Lu, W. The Atherogenic Index of Plasma Is a Strong and Independent Predictor for Coronary Artery Disease in the Chinese Han Population. Medicine 2017, 96, e8058. [Google Scholar] [CrossRef] [PubMed]
- Wang, C.; Zeng, F.; Liu, Y.; Pan, Y.; Xu, J.; Ge, X.; Zheng, H.; Pang, J.; Liu, B.; Huang, Y. Coumarin-Rich Grifola Frondosa Ethanol Extract Alleviate Lipid Metabolism Disorders and Modulates Intestinal Flora Compositions of High-Fat Diet Rats. J. Funct. Foods 2021, 85, 104649. [Google Scholar] [CrossRef]
- Kim, Y.; Lee, J. Esculetin, a coumarin derivative, suppresses adipogenesis through modulation of the AMPK pathway in 3T3-L1 adipocytes. J. Funct. Foods 2015, 12, 509–515. [Google Scholar] [CrossRef]
- Karmase, A.; Jagtap, S.; Bhutani, K.K. Anti adipogenic activity of Aegle marmelos Correa. Phytomedicine 2013, 20, 1267–1271. [Google Scholar] [CrossRef]
- Sashidhara, K.V.; Kumar, A.; Kumar, M.; Sonkar, R.; Bhatia, G.; Khanna, A. Novel coumarin derivatives as potential antidyslipidemic agents. Bioorganic Med. Chem. Lett. 2010, 20, 4248–4251. [Google Scholar] [CrossRef] [PubMed]
- Kim, M.R.; Kim, J.W.; Park, J.B.; Hong, Y.K.; Ku, S.K.; Choi, J.S. Anti-Obesity Effects of Yellow Catfish Protein Hydrolysate on Mice Fed a 45% Kcal High-Fat Diet. Int. J. Mol. Med. 2017, 40, 784–800. [Google Scholar] [CrossRef]
- Mohamed, A.S.; Ibrahim, W.M.; Zaki, N.I.; Ali, S.B.; Soliman, A.M. Effectiveness of Coelatura Aegyptiaca Extract Combination with Atorvastatin on Experimentally Induced Hyperlipidemia in Rats. Evid.-Based Complement. Altern. Med. 2019, 2019, 9726137. [Google Scholar] [CrossRef] [PubMed]
- García-Arroyo, F.E.; Gonzaga-Sánchez, G.; Tapia, E.; Muñoz-Jiménez, I.; Manterola-Romero, L.; Osorio-Alonso, H.; Arellano-Buendía, A.S.; Pedraza-Chaverri, J.; Roncal-Jiménez, C.A.; Lanaspa, M.A.; et al. Osthol Ameliorates Kidney Damage and Metabolic Syndrome Induced by a High-Fat/High-Sugar Diet. Int. J. Mol. Sci. 2021, 22, 2431. [Google Scholar] [CrossRef] [PubMed]
- Blaschke, F.; Takata, Y.; Caglayan, E.; Law, R.E.; Hsueh, W.A. Obesity, Peroxisome Proliferator-Activated Receptor, and Atherosclerosis in Type 2 Diabetes. Arterioscler. Thromb. Vasc. Biol. 2006, 26, 28–40. [Google Scholar] [CrossRef]
- Goto, T.; Kim, Y., II; Takahashi, N.; Kawada, T. Natural Compounds Regulate Energy Metabolism by the Modulating the Activity of Lipid-Sensing Nuclear Receptors. Mol. Nutr. Food Res. 2013, 57, 20–33. [Google Scholar] [CrossRef]
- Kuroyanagi, K.; Kang, M.S.; Goto, T.; Hirai, S.; Ohyama, K.; Kusudo, T.; Yu, R.; Yano, M.; Sasaki, T.; Takahashi, N.; et al. Citrus Auraptene Acts as an Agonist for PPARs and Enhances Adiponectin Production and MCP-1 Reduction in 3T3-L1 Adipocytes. Biochem. Biophys. Res. Commun. 2008, 366, 219–225. [Google Scholar] [CrossRef] [PubMed]
- Sahebkar, A. Citrus Auraptene: A Potential Multifunctional Therapeutic Agent for Nonalcoholic Fatty Liver Disease. Ann. Hepatol. 2011, 10, 575–577. [Google Scholar] [CrossRef]
- Huang, W.C.; Liao, P.C.; Huang, C.H.; Hu, S.; Huang, S.C.; Wu, S.J. Osthole Attenuates Lipid Accumulation, Regulates the Expression of Inflammatory Mediators, and Increases Antioxidants in FL83B Cells. Biomed. Pharmacother. 2017, 91, 78–87. [Google Scholar] [CrossRef] [PubMed]
- Qi, Z.G.; Zhao, X.; Zhong, W.; Xie, M.L. Osthole Improves Glucose and Lipid Metabolism via Modulation of PPARα/γ-Mediated Target Gene Expression in Liver, Adipose Tissue, and Skeletal Muscle in Fatty Liver Rats. Pharm. Biol. 2016, 54, 882–888. [Google Scholar] [CrossRef] [PubMed]





| Components | Amount (g for Total 1 kg Diet) |
|---|---|
| Normal pellet diet | 365 |
| Beef fat | 310 |
| Casein | 250 |
| Vitamins and minerals mixture | 63 |
| Cholesterol | 10 |
| Sodium chloride | 1 |
| Dried yeast | 1 |
| Groups | Control | HFD | HFD + cichoriin 50 mg/kg | HFD + cichoriin 100 mg/kg | HFD + Ator 10 mg/kg |
|---|---|---|---|---|---|
| Body-weight gain (g) | 106 ± 8 | 202 ± 8 * | 142 ± 118 *# | 123 ± 8 # | 145 ± 7 *# |
| BMI (g/cm2) | 0.53 ± 0.01 | 0.71 ± 0.004 * | 0.58 ± 0.02 *# | 0.55 ± 0.002 # | 0.58 ± 0.01 *# |
| Liver (g) | 6.8 ± 0.4 | 8.5 ± 0.4 * | 7.0 ± 0.2 # | 6.7 ± 0.4 # | 6.8 ± 0.3 # |
| Kidney (g) | 1.3 ± 0.1 | 1.7 ± 0.1 * | 1.5 ± 0.1 | 1.2 ± 0.04 #$ | 1.4 ± 0.1 # |
| Heart (g) | 0.9 ± 0.04 | 1.2 ±0.1 * | 1.1 ± 0.1 | 0.9 ± 0.04 #$ | 1.0 ± 0.05 |
| Visceral fat (g) | 2.2 ± 0.3 | 7.1 ± 0.4 * | 4.7 ± 0.7 *# | 3.1 ± 0.2 # | 4.3 ± 0.5 *# |
| Groups | Control | HFD | HFD + cichoriin 50 mg/kg | HFD + cichoriin 100 mg/kg | HFD + Ator 10 mg/kg |
|---|---|---|---|---|---|
| TC (mg/dL) | 103 ± 9 | 168 ± 12 * | 125 ± 6 # | 85 ± 5 #$ | 86 ± 4 #$ |
| TG (mg/dL) | 36 ± 2 | 68 ± 4 * | 48 ± 1 *# | 40 ± 2 # | 38 ± 2 # |
| LDL-C (mg/dL) | 69 ± 8 | 138 ± 12 * | 93 ± 7 # | 44 ± 4 #$ | 44 ± 4 #$ |
| HDL-C (mg/dl) | 27 ± 1.5 | 16 ± 1.4 * | 23 ± 1.4 # | 33 ± 1.8 #$ | 34 ± 2.2 *#$ |
| LDL-C/HDL-C | 2.6 ± 0.2 | 8.9 ± 1.1 * | 4.2 ± 0.5 # | 1.4 ± 0.1 #$ | 1.3 ± 0.2 #$ |
| Groups | Control | HFD | HFD + cichoriin 50 mg/kg | HFD + cichoriin 100 mg/kg | HFD + Ator 10 mg/kg |
|---|---|---|---|---|---|
| Hepatic MDA (nmol/g tissue) | 82.9 ± 3.6 | 136.5 ± 2.3 * | 107.2 ± 1.8 *# | 96.9 ± 3.4 *# | 96.2± 3.7 *# |
| Renal MDA (nmol/g tissue) | 67.0 ± 1.4 | 118.8 ± 2.6 * | 78.4 ± 3.0 *# | 64.3 ± 3.0 #$ | 66.2 ± 1.9 #$ |
| Hepatic GSH (mg/g tissue) | 634 ± 20 | 202 ± 9 * | 271 ± 8 *# | 325 ± 3 *#$ | 328 ± 6 *#$ |
| Renal GSH (mg/g tissue) | 556 ± 5 | 180 ± 13 * | 286 ± 12 *# | 339 ± 19 *#$ | 336 ± 6 *# |
Publisher’s Note: MDPI stays neutral with regard to jurisdictional claims in published maps and institutional affiliations. |
© 2022 by the authors. Licensee MDPI, Basel, Switzerland. This article is an open access article distributed under the terms and conditions of the Creative Commons Attribution (CC BY) license (https://creativecommons.org/licenses/by/4.0/).
Share and Cite
Khalil, H.E.; Abdelwahab, M.F.; Ibrahim, H.-I.M.; AlYahya, K.A.; Altaweel, A.A.; Alasoom, A.J.; Burshed, H.A.; Alshawush, M.M.; Waz, S. Cichoriin, a Biocoumarin, Mitigates Oxidative Stress and Associated Adverse Dysfunctions on High-Fat Diet-Induced Obesity in Rats. Life 2022, 12, 1731. https://doi.org/10.3390/life12111731
Khalil HE, Abdelwahab MF, Ibrahim H-IM, AlYahya KA, Altaweel AA, Alasoom AJ, Burshed HA, Alshawush MM, Waz S. Cichoriin, a Biocoumarin, Mitigates Oxidative Stress and Associated Adverse Dysfunctions on High-Fat Diet-Induced Obesity in Rats. Life. 2022; 12(11):1731. https://doi.org/10.3390/life12111731
Chicago/Turabian StyleKhalil, Hany Ezzat, Miada F. Abdelwahab, Hairul-Islam Mohamed Ibrahim, Khalid A. AlYahya, Abdullah Abdulhamid Altaweel, Abdullah Jalal Alasoom, Hussein Ali Burshed, Marwan Mohamed Alshawush, and Shaimaa Waz. 2022. "Cichoriin, a Biocoumarin, Mitigates Oxidative Stress and Associated Adverse Dysfunctions on High-Fat Diet-Induced Obesity in Rats" Life 12, no. 11: 1731. https://doi.org/10.3390/life12111731
APA StyleKhalil, H. E., Abdelwahab, M. F., Ibrahim, H.-I. M., AlYahya, K. A., Altaweel, A. A., Alasoom, A. J., Burshed, H. A., Alshawush, M. M., & Waz, S. (2022). Cichoriin, a Biocoumarin, Mitigates Oxidative Stress and Associated Adverse Dysfunctions on High-Fat Diet-Induced Obesity in Rats. Life, 12(11), 1731. https://doi.org/10.3390/life12111731

