Diffuse Adrenal Gland and Pancreas Necrosis in a Patient with Disseminated Cryptococcosis—Case Report
Abstract
1. Introduction
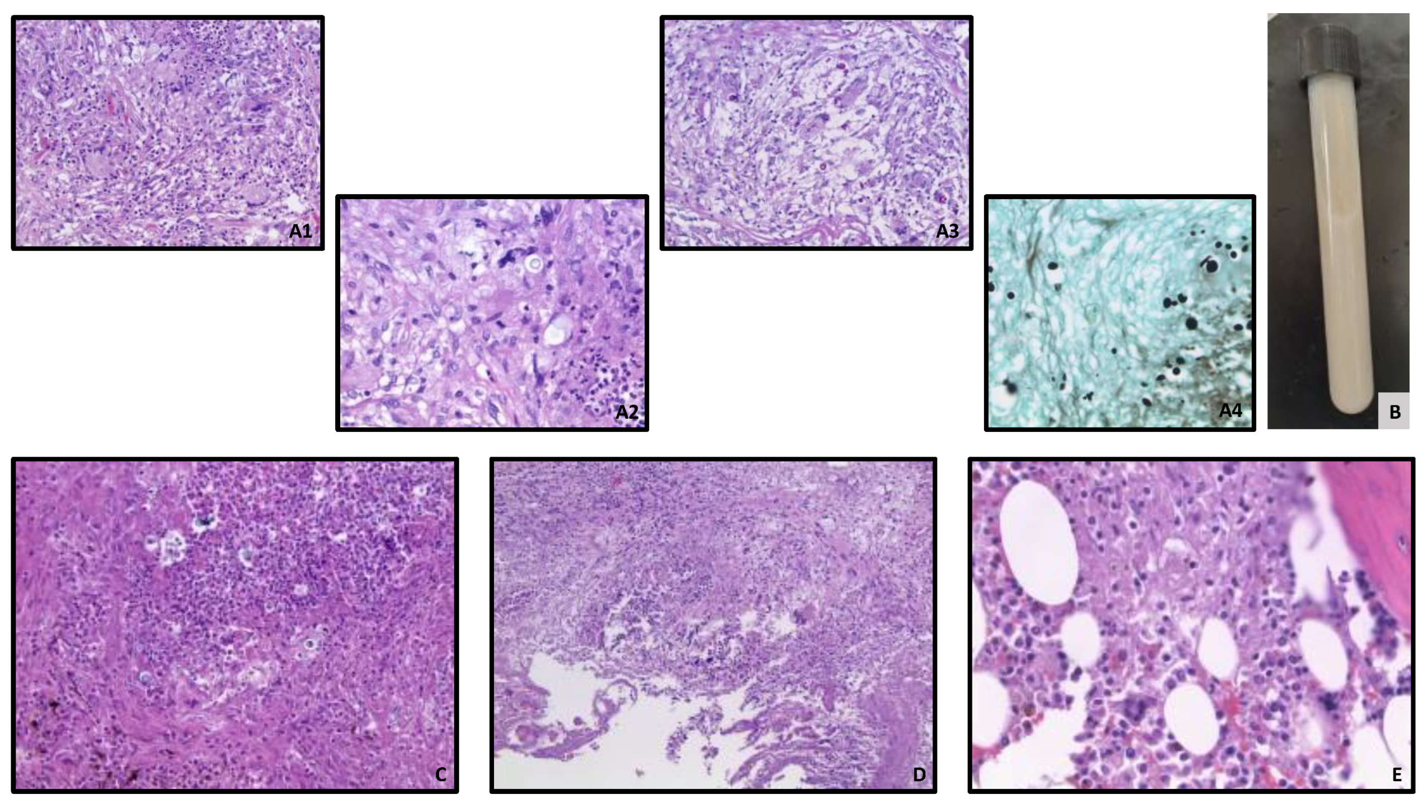
2. Case Presentation
3. Discussion
4. Conclusions
Supplementary Materials
Author Contributions
Funding
Institutional Review Board Statement
Informed Consent Statement
Data Availability Statement
Acknowledgments
Conflicts of Interest
References
- Perfect, J.R.; Dismukes, W.E.; Dromer, F.; Goldman, D.L.; Graybill, J.R.; Hamill, R.J.; Harrison, T.S.; Larsen, R.A.; Lortholary, O.; Nguyen, M.H.; et al. Clinical practice guidelines for the management of cryptococcal disease: 2010 update by the infectious diseases society of america. Clin. Infect. Dis. 2010, 50, 291–322. [Google Scholar] [CrossRef] [PubMed]
- Scheffel, R.S.; Dora, J.M.; Weinert, L.S.; Aquino, V.; Maia, A.L.; Canani, L.H.; Goldani, L.Z. Invasive fungal infections in endogenous Cushing’s syndrome. Infect. Dis. Rep. 2010, 2, e4. [Google Scholar] [CrossRef][Green Version]
- Paolo, W.F., Jr.; Nosanchuk, J.D. Adrenal infections. Int. J. Infect. Dis. 2006, 10, 343–353. [Google Scholar] [CrossRef] [PubMed]
- Liu, P.Y.; Yang, Y.; Shi, Z.-Y. Cryptococcal liver abscess: A case report of successful treatment with amphotericin-B and literature review. Jpn. J. Infect. Dis. 2009, 62, 59–60. [Google Scholar] [PubMed]
- Matsuda, Y.; Kawate, H.; Okishige, Y.; Abe, I.; Adachi, M.; Ohnaka, K.; Satoh, N.; Inokuchi, J.; Tatsugami, K.; Naito, S.; et al. Successful management of cryptococcosis of the bilateral adrenal glands and liver by unilateral adrenalectomy with antifungal agents: A case report. BMC Infect. Dis. 2011, 11, 340. [Google Scholar] [CrossRef]
- Voelz, K.; May, R.C. Cryptococcal interactions with the host immune system. Eukaryot. Cell 2010, 9, 835–846. [Google Scholar] [CrossRef]
- Bahn, Y.S.; Sun, S.; Heitman, J.; Lin, X. Microbe Profile: Cryptococcus neoformans species complex. Microbiology 2020, 166, 797–799. [Google Scholar] [CrossRef]
- Murphy, L.S.; Lacy, A.J.; Smith, A.T.; Shah, K.S. Cryptococcal meningitis in an immunocompetent patient. Am. J. Emerg. Med. 2020, 38, 2492.e1–2492.e3. [Google Scholar] [CrossRef]
- Alanio, A. Dormancy in Cryptococcus neoformans: 60 years of accumulating evidence. J. Clin. Investig. 2020, 130, 3353–3360. [Google Scholar] [CrossRef]
- Zaragoza, O. Basic principles of the virulence of Cryptococcus. Virulence 2019, 10, 490–501. [Google Scholar] [CrossRef]
- Hurtado, J.C.; Castillo, P.; Fernandes, F.; Navarro, M.; Lovane, L.; Casas, I.; Quintó, L.; Marco, F.; Jordao, D.; Ismail, M.R.; et al. Mortality due to Cryptococcus neoformans and Cryptococcus gattii in low-income settings: An autopsy study. Sci. Rep. 2019, 9, 7493. [Google Scholar] [CrossRef] [PubMed]
- Mitchell, T.G.; Perfect, J.R. Cryptococcosis in the era of AIDS--100 years after the discovery of Cryptococcus neoformans. Clin. Microbiol. Rev. 1995, 8, 515–548. [Google Scholar] [CrossRef] [PubMed]
- Levene, M.; Michaels, L. Acute disseminated torulosis associated with Hodgkin’s disease. J. Clin. Pathol. 1995, 8, 201–206. [Google Scholar] [CrossRef] [PubMed]
- Lascari, A.D.; Pearce, J.M.; Swanson, H. Sudden death due to disseminated cryptococcosis in a child with leukemia in remission. South. Med. J. 1997, 90, 1253–1254. [Google Scholar] [CrossRef]
- Bonacini, M. Pancreatic involvement in human immunodeficiency virus infection. J. Clin. Gastroenterol. 1991, 13, 58–64. [Google Scholar] [CrossRef]
- Alameri, A.; Museedi, A.; Al Qaisi, A.; Alshaikhli, A.; Kim, A. S1379: Cryptococcus Can Be a Great Mimicker in AIDS Patients. Am. J. Gastroenterol. 2020, 115, S694. [Google Scholar] [CrossRef]
- Upadhyay, J.; Sudhindra, P.; Abraham, G.; Trivedi, N. Tuberculosis of the adrenal gland: A case report and review of the literature of infections of the adrenal gland. Int. J. Endocrinol. 2014, 2014, 876037. [Google Scholar] [CrossRef]
- Visonà, S.D.; Tajana, L.; Osculati, A. Sudden Death due to Diseases of the Adrenal Glands and Paraganglia. In Clinical Management of Adrenal Tumors; Lew, J.I., Ed.; IntechOpen: London, UK, 2017; Available online: https://www.intechopen.com/chapters/55467 (accessed on 10 January 2022). [CrossRef]
- Hung, Z.S.; Lai, Y.H.; Hsu, Y.H.; Wang, C.H.; Fang, T.C.; Hsu, B.G. Disseminated cryptococcosis causes adrenal insufficiency in an immunocompetent individual. Intern. Med. 2010, 49, 1023–1026. [Google Scholar] [CrossRef]
- Rawson, A.J.; Collins, L.H., Jr.; Grant, J.L. Histoplasmosis and torulosis as causes of adrenal insufficiency. Am. J. Med. Sci. 1948, 215, 363–371. [Google Scholar] [CrossRef]
- Salyer, W.R.; Moravec, C.L.; Salyer, D.C.; Guerin, P.F. Adrenal involvement in cryptococcosis. Am. J. Clin. Pathol. 1973, 60, 559–561. [Google Scholar] [CrossRef]
- Nakamura, M.; Nakashima, T.; Fujishima, M.; Kobayashi, K.; Inoue, K.; Omae, T.; Iwashita, A.; Momose, T. Cryptococcosis causing Addison’s disease. Fukuoka Igaku Zasshi 1981, 72, 639–645. [Google Scholar] [PubMed]
- Kovacs, J.A.; Kovacs, A.A.; Polis, M.; Wright, W.C.; Gill, V.J.; Tuazon, C.U.; Gelmann, E.P.; Lane, H.C.; Longfield, R.; Overturf, G.; et al. Cryptococcosis in the acquired immunodeficiency syndrome. Ann. Intern. Med. 1985, 103, 533–538. [Google Scholar] [CrossRef] [PubMed]
- Glasgow, B.J.; Steinsapir, K.D.; Anders, K.; Layfield, L.J. Adrenal pathology in the acquired immune deficiency syndrome. Am. J. Clin. Pathol. 1985, 84, 594–597. [Google Scholar] [CrossRef]
- Shah, B.; Taylor, H.C.; Pillay, I.; Chung-Park, M.; Dobrinich, R. Adrenal insufficiency due to cryptococcosis. JAMA 1986, 256, 3247–3249. [Google Scholar] [CrossRef] [PubMed]
- Walker, B.F.; Gunthel, C.J.; Bryan, J.A.; Watts, N.B.; Clark, R.V. Disseminated cryptococcosis in an apparently normal host presenting as primary adrenal insufficiency: Diagnosis by fine needle aspiration. Am. J. Med. 1989, 86 Pt 1, 715–717. [Google Scholar] [CrossRef]
- Powers, C.N.; Rupp, G.M.; Maygarden, S.J.; Frable, W.J. Fine-needle aspiration cytology of adrenal cryptococcosis: A case report. Diagn. Cytopathol. 1991, 7, 88–91. [Google Scholar] [CrossRef]
- Liu, Y.C.; Cheng, D.L.; Liu, C.Y.; Yen, M.Y.; Wang, R.S. Isolated cryptococcosis of the adrenal gland. J. Intern. Med. 1991, 230, 285–287. [Google Scholar] [CrossRef]
- Takeshita, A.; Nakazawa, H.; Akiyama, H.; Takeuchi, K.; Kawai, R.; Oohashi, K.; Shishiba, Y. Disseminated cryptococcosis presenting with adrenal insufficiency and meningitis: Resistant to prolonged antifungal therapy but responding to bilateral adrenalectomy. Intern. Med. 1992, 31, 1401–1405. [Google Scholar] [CrossRef]
- Kawamura, M.; Miyazaki, S.; Mashiko, S.; Sumi, M.; Ashidate, K.; Tohda, H.; Hase, K.; Ando, N. Disseminated cryptococcosis associated with adrenal masses and insufficiency. Am. J. Med. Sci. 1998, 316, 60–64. [Google Scholar] [CrossRef]
- Rodrigues, D.; Reis, M.; Teixeira, V.; Silva-Vergara, M.; Filho, D.C.; Adad, S.; Lazo, J. Pathologic findings in the adrenal glands of autopsied patients with acquired immunodeficiency syndrome. Pathol. Res. Pract. 2002, 198, 25–30. [Google Scholar] [CrossRef]
- Benesová, P.; Buchta, V.; Cerman, J.; Zák, P. Cryptococcosis--a review of 13 autopsy cases from a 54-year period in a large hospital. APMIS 2007, 115, 177–183. [Google Scholar] [CrossRef]
- Cheng, H.-M.; Chou, A.S.-B.; Chiang, K.-C.; Huang, H.-W.; Chang, P.-Y.; Yen, P.-S. Primary adrenal insufficiency in isolated cryptococcosis of the adrenal gland: CT and MR imaging appearances. Eur. J. Radiol. Extra 2010, 75, e111–e113. [Google Scholar] [CrossRef]
- Cocker, R.; McNair, S.A.; Kahn, L.; Kwon, S.; Ding, X.; Zeltsman, V.; Sung, C. Isolated adrenal cryptococcosis, diagnosed by fine-needle aspiration biopsy: A case report. Diagn. Cytopathol. 2014, 42, 899–901. [Google Scholar] [CrossRef] [PubMed]
- Ranjan, P.; Jana, M.; Krishnan, S.; Nath, D.; Sood, R. Disseminated cryptococcosis with adrenal and lung involvement in an immunocompetent patient. J. Clin. Diagn. Res. 2015, 9, OD04–OD05. [Google Scholar] [CrossRef]
- Muraoka, Y.; Iwama, S.; Arima, H. Normalization of Bilateral Adrenal Gland Enlargement after Treatment for Cryptococcosis. Case Rep. Endocrinol. 2017, 2017, 1543149. [Google Scholar] [CrossRef] [PubMed]
- Ito, M.; Hinata, T.; Tamura, K.; Koga, A.; Ito, T.; Fujii, H.; Hirata, F.; Sakuta, H. Disseminated Cryptococcosis with Adrenal Insufficiency and Meningitis in an Immunocompetent Individual. Intern. Med. 2017, 56, 1259–1264. [Google Scholar] [CrossRef]
- Hsu, E.; Webster, S.M.; Nanes, M. Disseminated Cryptococcosis in An Immunocompetent Host Presenting as Osteomyelitis and Leading to Adrenal Insufficiency. Am. J. Med. Sci. 2022, 363, 75–79. [Google Scholar] [CrossRef] [PubMed]
- Vu, K.; Tham, R.; Uhrig, J.P.; Thompson, G.R., 3rd; Na Pombejra, S.; Jamklang, M.; Bautos, J.M.; Gelli, A. Invasion of the central nervous system by Cryptococcus neoformans requires a secreted fungal metalloprotease. mBio 2014, 5, e01101–e01114. [Google Scholar] [CrossRef]
- Shea, J.M.; Henry, J.L.; Del Poeta, M. Lipid metabolism in Cryptococcus neoformans. FEMS Yeast Res. 2006, 6, 469–479. [Google Scholar] [CrossRef]
- Nolan, S.J.; Fu, M.S.; Coppens, I.; Casadevall, A. Lipids Affect the Cryptococcus neoformans-Macrophage Interaction and Promote Nonlytic Exocytosis. Infect. Immun. 2017, 85, e00564-17. [Google Scholar] [CrossRef] [PubMed]
- Singh, A.; MacKenzie, A.; Girnun, G.; Del Poeta, M. Analysis of sphingolipids, sterols, and phospholipids in human pathogenic Cryptococcus strains. J. Lipid Res. 2017, 58, 2017–2036. [Google Scholar] [CrossRef] [PubMed]
- Bryan, A.M.; Del Poeta, M.; Luberto, C. Sphingolipids as Regulators of the Phagocytic Response to Fungal Infections. Mediat. Inflamm. 2015, 2015, 640540. [Google Scholar] [CrossRef]
- Xu, X.; Lin, D.; Tu, S.; Gao, S.; Shao, A.; Sheng, J. Is Ferroptosis a Future Direction in Exploring Cryptococcal Meningitis? Front. Immunol. 2021, 12, 598601. [Google Scholar] [CrossRef]


Publisher’s Note: MDPI stays neutral with regard to jurisdictional claims in published maps and institutional affiliations. |
© 2022 by the authors. Licensee MDPI, Basel, Switzerland. This article is an open access article distributed under the terms and conditions of the Creative Commons Attribution (CC BY) license (https://creativecommons.org/licenses/by/4.0/).
Share and Cite
Wappler-Guzzetta, E.A.; Gray, A.L.; Dagostino, J.; Kerstetter, J.C. Diffuse Adrenal Gland and Pancreas Necrosis in a Patient with Disseminated Cryptococcosis—Case Report. Life 2022, 12, 1667. https://doi.org/10.3390/life12101667
Wappler-Guzzetta EA, Gray AL, Dagostino J, Kerstetter JC. Diffuse Adrenal Gland and Pancreas Necrosis in a Patient with Disseminated Cryptococcosis—Case Report. Life. 2022; 12(10):1667. https://doi.org/10.3390/life12101667
Chicago/Turabian StyleWappler-Guzzetta, Edina A., Austin L. Gray, Jessika Dagostino, and Justin C. Kerstetter. 2022. "Diffuse Adrenal Gland and Pancreas Necrosis in a Patient with Disseminated Cryptococcosis—Case Report" Life 12, no. 10: 1667. https://doi.org/10.3390/life12101667
APA StyleWappler-Guzzetta, E. A., Gray, A. L., Dagostino, J., & Kerstetter, J. C. (2022). Diffuse Adrenal Gland and Pancreas Necrosis in a Patient with Disseminated Cryptococcosis—Case Report. Life, 12(10), 1667. https://doi.org/10.3390/life12101667

