Rhombencephalitis in Pregnancy—A Challenging Case of Probable Listeria Infection
Abstract
1. Introduction
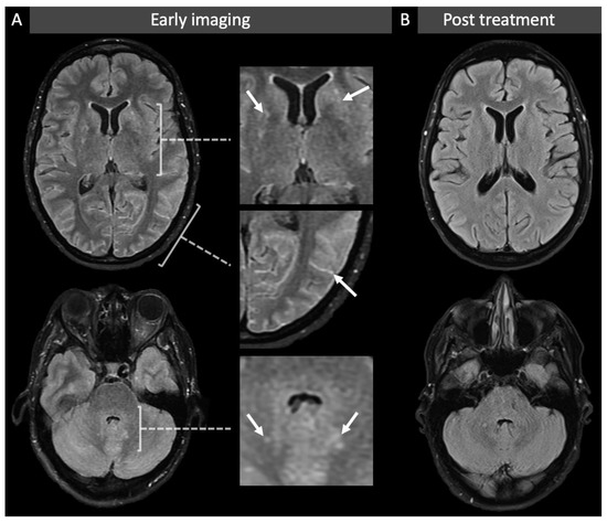
2. Case Presentation
3. Rhombencephalitis
3.1. Clinical Features and Diagnosis
3.2. Treatment
4. Maternal-Neonatal Listeriosis
5. Immunological Response to Listeria monocytogenes
6. In Vitro Studies of the Effects of Listeria on Gestational Tissue
7. Conclusions
Author Contributions
Funding
Institutional Review Board Statement
Informed Consent Statement
Data Availability Statement
Acknowledgments
Conflicts of Interest
References
- Bartt, R. Listeria and atypical presentations of Listeria in the central nervous system. Semin. Neurol. 2000, 20, 361–373. [Google Scholar] [CrossRef]
- Sapuan, S.; Kortsalioudaki, C.; Anthony, M.; Chang, J.; Embleton, N.D.; Geethanath, R.M.; Gray, J.; Greenough, A.; Lal, M.K.; Luck, S.; et al. Neonatal listeriosis in the UK 2004–2014. J. Infect. 2017, 74, 236–242. [Google Scholar] [CrossRef] [PubMed]
- Jeffs, E.; Williman, J.; Brunton, C.; Gullam, J.; Walls, T. The epidemiology of listeriosis in pregnant women and children in New Zealand from 1997 to 2016: An observational study. BMC Public Health 2020, 20, 116. [Google Scholar] [CrossRef]
- Silk, B.J.; Date, K.A.; Jackson, K.A.; Pouillot, R.; Holt, K.G.; Graves, L.M.; Ong, K.L.; Hurd, S.; Meyer, R.; Marcus, R.; et al. Invasive listeriosis in the Foodborne Diseases Active Surveillance Network (FoodNet), 2004–2009: Further targeted prevention needed for higher-risk groups. Clin. Infect. Dis. 2012, 54 (Suppl. S5), S396–S404. [Google Scholar] [CrossRef]
- Ke, Y.; Ye, L.; Zhu, P.; Sun, Y.; Zhu, Z. Listeriosis during pregnancy: A retrospective cohort study. BMC Pregnancy Childbirth 2022, 22, 261. [Google Scholar] [CrossRef]
- Valenti, M.; Ranganathan, N.; Moore, L.S.; Hughes, S. Listeria monocytogenes infections: Presentation, diagnosis and treatment. Br. J. Hosp. Med. 2021, 82, 1–6. [Google Scholar] [CrossRef] [PubMed]
- Madjunkov, M.; Chaudhry, S.; Ito, S. Listeriosis during pregnancy. Arch. Gynecol. Obstet. 2017, 296, 143–152. [Google Scholar] [CrossRef] [PubMed]
- Jubelt, B.; Mihai, C.; Li, T.M.; Veerapaneni, P. Rhombencephalitis/brainstem encephalitis. Curr. Neurol. Neurosci. Rep. 2011, 11, 543–552. [Google Scholar] [PubMed]
- Dramsi, S.; Levi, S.; Triller, A.; Cossart, P. Entry of Listeria monocytogenes into neurons occurs by cell-to-cell spread: An in vitro study. Infect. Immun. 1998, 66, 4461–4468. [Google Scholar] [PubMed]
- Nachmias, B.; Orenbuch-Harroch, E.; Makranz, C.; Nechusthan, H.; Eliahou, R.; Ben-Yehuda, D.; Lossos, A. Early hydrocephalus in Listeria meningitis: Case report and review of the literature. IDCases 2018, 14, e00455. [Google Scholar] [PubMed]
- Eck, H. Encephalomyelitis listeriaca apostematosa. Schweiz. Med. Wochenschr. 1957, 87, 210–214. [Google Scholar] [PubMed]
- Duffy, P.E.; Sassin, J.F.; Summers, D.S.; Lourie, H. Rhombencephalitis Due to Listera Monocytogenes. Neurology 1964, 14, 1067–1072. [Google Scholar] [CrossRef]
- Armstrong, R.W.; Fung, P.C. Brainstem encephalitis (rhombencephalitis) due to Listeria monocytogenes: Case report and review. Clin. Infect. Dis. 1993, 16, 689–702. [Google Scholar] [CrossRef]
- Mylonakis, E.; Hohmann, E.L.; Calderwood, S.B. Central nervous system infection with Listeria monocytogenes. 33 years’ experience at a general hospital and review of 776 episodes from the literature. Medicine 1998, 77, 313–336. [Google Scholar] [CrossRef]
- Mathews, B.K.; Chuang, C.; Rawal, A.; Gertner, E. Listeria rhomboencephalitis in a patient on a tumor necrosis factor alpha inhibitor (etanercept). J. Clin. Rheumatol. 2014, 20, 325–327. [Google Scholar] [CrossRef] [PubMed]
- Hayes, P.S.; Graves, L.M.; Ajello, G.W.; Swaminathan, B.; Weaver, R.E.; Wenger, J.D.; Schuchat, A.; Broome, C.V. Comparison of cold enrichment and U.S. Department of Agriculture methods for isolating Listeria monocytogenes from naturally contaminated foods. The Listeria Study Group. Appl. Environ. Microbiol. 1991, 57, 2109–2113. [Google Scholar] [CrossRef] [PubMed]
- Swaminathan, B.; Hayes, P.S.; Przybyszewski, V.A.; Plikaytis, B.D. Evaluation of enrichment and plating media for isolating Listeria monocytogenes. J. Assoc. Off. Anal. Chem. 1988, 71, 664–668. [Google Scholar] [CrossRef]
- Pucci, L.; Massacesi, M.; Liuzzi, G. Clinical management of women with listeriosis risk during pregnancy: A review of national guidelines. Expert. Rev. Anti. Infect. Ther. 2018, 16, 13–21. [Google Scholar] [CrossRef] [PubMed]
- Moragas, M.; Martinez-Yelamos, S.; Majos, C.; Fernandez-Viladrich, P.; Rubio, F.; Arbizu, T. Rhombencephalitis: A series of 97 patients. Medicine 2011, 90, 256–261. [Google Scholar] [CrossRef] [PubMed]
- Campos, L.G.; Trindade, R.A.; Faistauer, A.; Perez, J.A.; Vedolin, L.M.; Duarte, J.A. Rhombencephalitis: Pictorial essay. Radiol. Bras. 2016, 49, 329–336. [Google Scholar] [CrossRef] [PubMed]
- Charlier, C.; Perrodeau, É.; Leclercq, A.; Cazenave, B.; Pilmis, B.; Henry, B.; Lopes, A.; Maury, M.M.; Moura, A.; Goffinet, F.; et al. Clinical features and prognostic factors of listeriosis: The MONALISA national prospective cohort study. Lancet Infect. Dis. 2017, 17, 510–519. [Google Scholar] [CrossRef]
- Charlier, C.; Disson, O.; Lecuit, M. Maternal-neonatal listeriosis. Virulence 2020, 11, 391–397. [Google Scholar] [CrossRef]
- Lamont, R.F.; Sobel, J.; Mazaki-Tovi, S.; Kusanovic, J.P.; Vaisbuch, E.; Kim, S.K.; Uldbjerg, N.; Romero, R. Listeriosis in human pregnancy: A systematic review. J. Perinat. Med. 2011, 39, 227–236. [Google Scholar] [CrossRef]
- McLauchlin, J. Human listeriosis in Britain, 1967–1985, a summary of 722 cases. 1. Listeriosis during pregnancy and in the newborn. Epidemiol. Infect. 1990, 104, 181–189. [Google Scholar] [CrossRef]
- Mylonakis, E.; Paliou, M.; Hohmann, E.L.; Calderwood, S.B.; Wing, E.J. Listeriosis during pregnancy: A case series and review of 222 cases. Medicine 2002, 81, 260–269. [Google Scholar] [CrossRef]
- Centers for Disease Control and Prevention. Vital signs: Listeria illnesses, deaths, and outbreaks—United States, 2009–2011. Morb. Mortal. Wkly. Rep. 2013, 62, 448–452. [Google Scholar]
- Centers for Disease Control and Prevention. Preliminary FoodNet data on the incidence of infection with pathogens transmitted commonly through food—10 states, 2006. Morb. Mortal. Wkly. Rep. 2007, 56, 336–339. [Google Scholar]
- Serventi, L.; Curi, B.; Johns, R.; Silva, J.; Bainbridge, R.; Gaither, K. Pregnancy Complicated by Listeria Monocytogenes: A Case Report and Review of the Literature. J. Natl. Med. Assoc. 2020, 112, 428–432. [Google Scholar] [CrossRef]
- Khsim, I.E.F.; Mohanaraj-Anton, A.; Horte, I.B.; Lamont, R.F.; Khan, K.S.; Jørgensen, J.S.; Amezcua-Prieto, C. Listeriosis in pregnancy: An umbrella review of maternal exposure, treatment and neonatal complications. BJOG 2022, 129, 1427–1433. [Google Scholar] [CrossRef]
- Poulsen, K.P.; Czuprynski, C.J. Pathogenesis of listeriosis during pregnancy. Anim. Health Res. Rev. 2013, 14, 30–39. [Google Scholar] [CrossRef]
- Sykes, L.; MacIntyre, D.A.; Yap, X.J.; Teoh, T.G.; Bennett, P.R. The Th1:th2 dichotomy of pregnancy and preterm labour. Mediat. Inflamm. 2012, 2012, 967629. [Google Scholar] [CrossRef]
- Craig, A.M.; Dotters-Katz, S.; Kuller, J.A.; Thompson, J.L. Listeriosis in Pregnancy: A Review. Obstet. Gynecol. Surv. 2019, 74, 362–368. [Google Scholar] [CrossRef] [PubMed]
- Romero, R.; Winn, H.N.; Wan, M.; Hobbins, J.C. Listeria monocytogenes chorioamnionitis and preterm labor. Am. J. Perinatol. 1988, 5, 286–288. [Google Scholar] [CrossRef] [PubMed]
- Abram, M.; Schluter, D.; Vuckovic, D.; Wraber, B.; Doric, M.; Deckert, M. Murine model of pregnancy-associated Listeria monocytogenes infection. FEMS Immunol. Med. Microbiol. 2003, 35, 177–182. [Google Scholar] [CrossRef]
- Robbins, J.R.; Skrzypczynska, K.M.; Zeldovich, V.B.; Kapidzic, M.; Bakardjiev, A.I. Placental syncytiotrophoblast constitutes a major barrier to vertical transmission of Listeria monocytogenes. PLoS Pathog. 2010, 6, e1000732. [Google Scholar] [CrossRef]
- Zeldovich, V.B.; Robbins, J.R.; Kapidzic, M.; Lauer, P.; Bakardjiev, A.I. Invasive extravillous trophoblasts restrict intracellular growth and spread of Listeria monocytogenes. PLoS Pathog. 2011, 7, e1002005. [Google Scholar] [CrossRef]
- Johnson, L.J.; Azari, S.; Webb, A.; Zhang, X.; Gavrilin, M.A.; Marshall, J.M.; Rood, K.; Seveau, S. Human Placental Trophoblasts Infected by Listeria monocytogenes Undergo a Pro-Inflammatory Switch Associated With Poor Pregnancy Outcomes. Front Immunol. 2021, 12, 709466. [Google Scholar] [CrossRef]
- Rasheed, Z.B.; Lee, Y.S.; Kim, S.H.; Rai, R.K.; Ruano, C.S.; Anucha, E.; Sullivan, M.H.; MacIntyre, D.A.; Bennett, P.R.; Sykes, L. Differential Response of Gestational Tissues to TLR3 Viral Priming Prior to Exposure to Bacterial TLR2 and TLR2/6 Agonists. Front. Immunol. 2020, 11, 1899. [Google Scholar] [CrossRef]
- Zhang, M.; Gillaspy, A.F.; Gipson, J.R.; Cassidy, B.R.; Nave, J.L.; Brewer, M.F.; Stoner, J.A.; Chen, J.; Drevets, D.A. Neuroinvasive Listeria monocytogenes Infection Triggers IFN-Activation of Microglia and Upregulates Microglial miR-155. Front. Immunol. 2018, 9, 2751. [Google Scholar] [CrossRef]




| Day of Symptoms | Investigation | Result |
|---|---|---|
| 8 | High vaginal swab microscopy, culture and sensitivity (MCS) | No sig growth |
| 9 | Thyroid stimulating hormone | 0.98 milliunit/L |
| Free T4 | 12.1 pmol/L | |
| CMV IgG blood | Not detected | |
| CMV IgM | Not detected | |
| EBV VCA IgG | Detected | |
| EBV VCA IgM | Equivocal | |
| Hep A virus IgM screen | Not detected | |
| Hep B virus surface Ab screen blood | Not detected | |
| Hep C virus Ab screen | Not detected | |
| HIV-1 and HIV-2 serology | Not detected | |
| Varicella zoster virus IgG blood | 995.1 mIU/mL | |
| EBV EBNA-1 IgG blood | Detected | |
| HEV RNA detection | Not detected | |
| SARS-CoV-2 virus RNA | Not detected | |
| 11 | Ferritin | 137 µg/L |
| Immunoglobulin A level | 0.96 g/L | |
| Immunoglobulin G level | 8.1 g/L | |
| Immunoglobulin M level | 0.48 g/L (low) | |
| Protein electrophoresis | No abnormalities detected | |
| ANA | Negative | |
| ANCA screen | Negative | |
| Borrelia burgdorferi Ab level blood | Not detected | |
| Respiratory Virus PCR screen (including Influenza A virus, Influenza A subtyping, Influenza B virus, Respiratory Syncytial virus PCR, rhinovirus/enterovirus, parainfluenza 1, 2, Parainfluenza 4 virus, adenovirus PCR, HMPV PCR, Bordetella species, Bordetella pertussis, mycoplasma pneumoniae) | Not detected | |
| 12 | Lumbar puncture | Glucose CSF 2.1 mmol/L, lactate 3.8 mmol/L, protein 1.88 g/L |
| CSF MCS | 75 WBCs, RBCs 1, differential 80% mononuclear, 20% polymorphs. Gram stain no organisms seen and no growth at 2 days | |
| CSF measles virus RNA, mumps virus RNA, listeria monocytogenes DNA | Not detected | |
| Syphilis serology | Not detected | |
| 14 | LGI1 Ab blood | Negative |
| Neuronal Ab level serum | Neuronal IIF screen Hu/ANNA-1 Ab neg Yo/PCA-1 Ab neg Ri/ANNA-2 Ab neg GAD Ab neg | |
| Anti-NMDA receptor Ab level | Negative | |
| CASP2 Ab blood | Negative | |
| West Nile virus IgM, Borrelia burgdorferi IgG/IgM, Leptospirosis IgM, Sandfly fever Sicilian virus IgG, Sandfly fever Naples virus IgG, Sandfly fever Toscana virus IgG, Sandfly fever Cyprus Virus IgG | Negative | |
| SARS-CoV-2 N protein Ab blood | Not detected | |
| Chlamydia psittaci serology | IgG antibodies < 64 | |
| Coxiella Burnetii Pneumonia | Negative | |
| Syphilis serology blood | Not detected | |
| Mycoplasma pneumoniae IgG serology PCR | negative | |
| 15 | Vitamin D level | 41.2 nmol/L (low, range 70–150) |
| Vitamin B12 level | 594 ng/L | |
| Folate | 11.8 µg/L | |
| Cortisol | 1568 nmol/L | |
| 16 | Lumbar puncture | Glucose 2.7 mmol/L, lactate 3.2 mmol/L |
| Cerebrospinal fluid MCS | 111 WBCs/cmm, 10 RBCs/cmm, 100% mononuclear cells Gram stain no organisms seen and no growth after extended incubation | |
| Virus screen on CSF including HSV-1, HSV-2, varicella zoster virus, cytomegalovirus, Epstein–Barr virus, enterovirus, parechovirus, HHV-6, Listeria monocytogenes DNA, measles virus RNA, Mumps virus RNA | Not detected | |
| Oligoclonal bands CSF | CSF IgG is not oligoclonal. Results indicate that local synthesis of IgG is unlikely | |
| Glutamic acid decarboxylase Ab (GAD) CSF | Negative | |
| Borrelia PCR CSF | Negative | |
| Cryptococcus Ag screen CSF | Negative | |
| Acanthamoeba CSF | Not isolated | |
| CSF Auramine stain | No growth at 6 weeks, no acid alcohol fast bacilli seen | |
| Meningococcal screening PCR test | negative | |
| 17 | Aspergillus Galactomannan Ag | Negative |
| Brucella species Ab level blood | Negative | |
| Cryptococcal Ag | Negative | |
| Histoplasma species Ab level blood | negative | |
| Toxoplasma species screen blood | Negative | |
| Beta Glucan Beta D-glucan antigen test | Negative with concentration < 30 pg/mL | |
| 18 | Lumbar puncture | Glucose CSF 2.9 mmol/L, protein 0.99 g/L |
| CSF MCS | 88 WBCs/cmm, 280 RBCs/cmm. Polymorphs 10%, mononuclear cells 90%. Gram stain no organisms seen and no growth at 2 days | |
| CSF cytology | Extremely cellular and consists of mature lymphoid cells in large numbers. Occasional neutrophils and monocytes are present which could possibly be blood derived. Features suggest a lymphocyte rich inflammatory process. No malignant cells seen. Final diagnosis lymphocytic inflammation | |
| LGi1 Ab CSF | Negative | |
| NMDA receptor Ab CSF | Negative | |
| CASP2 Ab CSF | Negative | |
| Long term fungal culture CSF | No fungi isolated after 7 days, 2 weeks and 4 weeks incubation | |
| TB PCR CSF | Negative CSF | |
| Cryptococcus Ag screen CSF | negative | |
| 19 | Amylase | 92 unit/L |
| Absolute lymphosum count | 875 cells/µL (low, range 1000–2800) | |
| CD3+ lymphocytes % blood | 69.7% | |
| CD3+ lymphocytes absolute blood | 610 cells/µL (low, range 700–2100) | |
| CD4:CD8 ratio | 1.9 | |
| CD4+ lymphocytes % blood | 45.1% | |
| CD4+ lymphocytes absolute blood | 384 cells/µL | |
| CD8+ lymphocytes % | 24.3 | |
| CD8+ lymphocytes absolute blood | 207 cells/µL | |
| CD56+ lymphocytes % blood | 10.5 | |
| CD56+ lymphocytes absolute blood | 95 cells/µL | |
| Total B lymphocyte count | 183 cells/µL | |
| B lymphocytes % blood | 20.3% (high, range 6–19) | |
| IgG subclass 1 level | 2.05 g/L (low, range 3.2–10.2) | |
| IgG subclass 2 level | 2.36 g/L | |
| IgG subclass 3 level | 0.29 g/L | |
| IgG subclass 4 level | 0.18 g/L | |
| 27 | Hepatitis B virus surface Ag blood | Not detected |
| 29 | Smooth muscle Ab level | Negative |
| Liver and kidney microsomal Ab | Negative | |
| Mitochondrial Ab level | Negative | |
| Gastric parietal cell Ab level | Negative | |
| 8, 11 | Blood cultures | No growth |
| 24, 29, 35 | Carbapenem Res Orgs screen culture rectal swab | No carbapenem resistant organisms isolated |
| 15, 20, 24, 29, 35 | MRSA nose and groin screen | MRSA not isolated |
| 11, 15 | Throat swab | No significant growth |
| 9, 11, 25, 30, 31, 38 | Urine culture | No growth |
| 11, 25, 30, 31, 32, 38 | Urine microscopy | WCC < 50 cmm, RBC not seen, scanty epithelial cells |
Publisher’s Note: MDPI stays neutral with regard to jurisdictional claims in published maps and institutional affiliations. |
© 2022 by the authors. Licensee MDPI, Basel, Switzerland. This article is an open access article distributed under the terms and conditions of the Creative Commons Attribution (CC BY) license (https://creativecommons.org/licenses/by/4.0/).
Share and Cite
Ho, A.E.P.; Rasheed, Z.B.M.; Norman, J.; Gabriel, C.; Dixon, L.; Ashworth, S.; Frise, C.; Yu, C.K.H.; Sykes, L. Rhombencephalitis in Pregnancy—A Challenging Case of Probable Listeria Infection. Life 2022, 12, 1600. https://doi.org/10.3390/life12101600
Ho AEP, Rasheed ZBM, Norman J, Gabriel C, Dixon L, Ashworth S, Frise C, Yu CKH, Sykes L. Rhombencephalitis in Pregnancy—A Challenging Case of Probable Listeria Infection. Life. 2022; 12(10):1600. https://doi.org/10.3390/life12101600
Chicago/Turabian StyleHo, Alison E. P., Zahirrah B. M. Rasheed, James Norman, Carolyn Gabriel, Luke Dixon, Simon Ashworth, Charlotte Frise, Christina K. H. Yu, and Lynne Sykes. 2022. "Rhombencephalitis in Pregnancy—A Challenging Case of Probable Listeria Infection" Life 12, no. 10: 1600. https://doi.org/10.3390/life12101600
APA StyleHo, A. E. P., Rasheed, Z. B. M., Norman, J., Gabriel, C., Dixon, L., Ashworth, S., Frise, C., Yu, C. K. H., & Sykes, L. (2022). Rhombencephalitis in Pregnancy—A Challenging Case of Probable Listeria Infection. Life, 12(10), 1600. https://doi.org/10.3390/life12101600

