Potential Salivary Markers for Differential Diagnosis of Crohn’s Disease and Ulcerative Colitis
Abstract
:1. Introduction
2. Materials and Methods
2.1. Study Participants
2.2. Saliva Collection and Analysis
2.3. Statistical Analysis
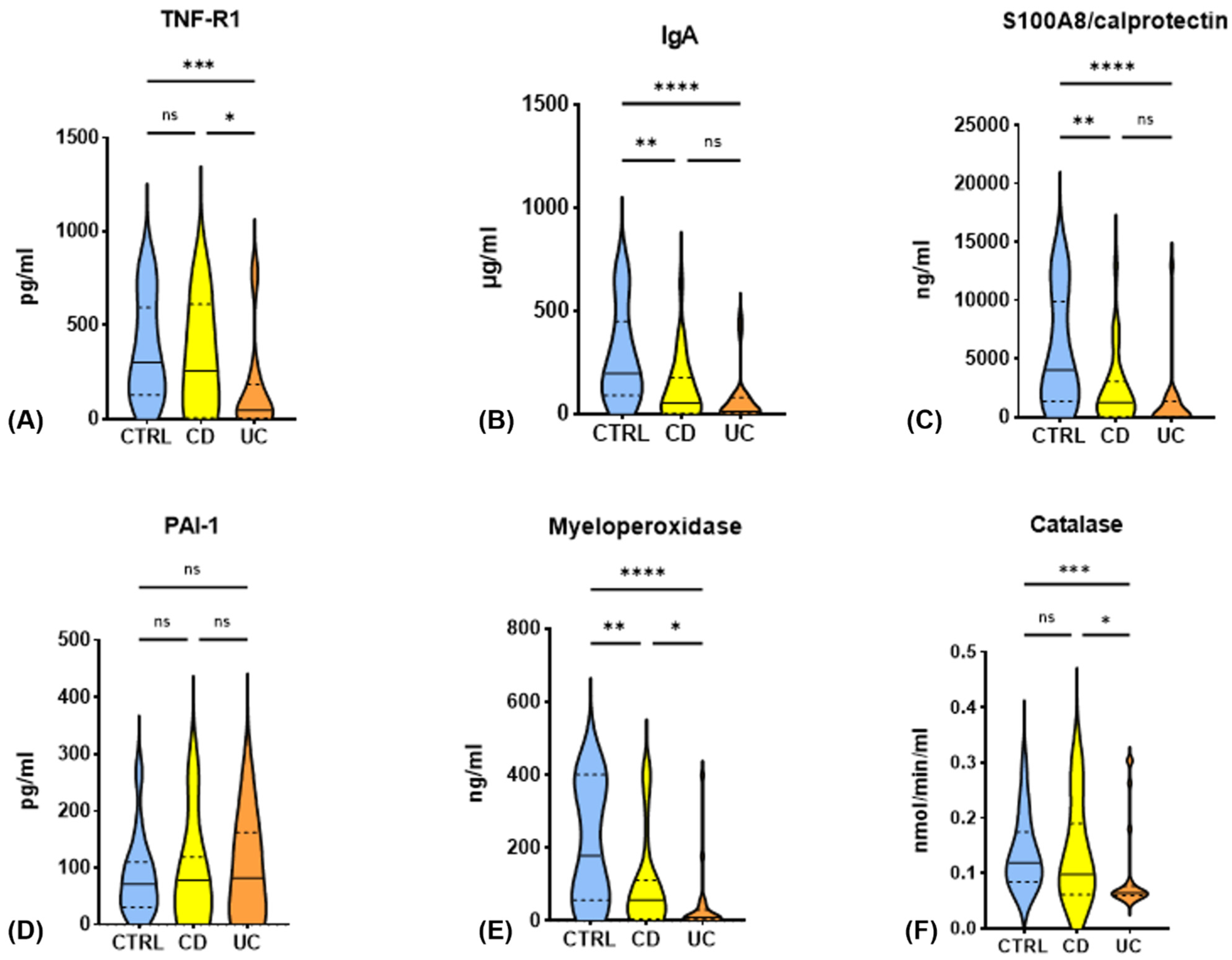
3. Results
3.1. Patient Characteristics
3.2. Selected Salivary Mediators in Patients with IBD
3.3. ROC Analysis for Predictive Value in Differential Diagnosis between CD and UC
4. Discussion
5. Conclusions
Author Contributions
Funding
Institutional Review Board Statement
Informed Consent Statement
Data Availability Statement
Conflicts of Interest
References
- Ng, S.C.; Shi, H.Y.; Hamidi, N.; Underwood, F.E.; Tang, W.; Benchimol, E.I.; Panaccione, R.; Ghosh, S.; Wu, J.C.Y.; Chan, F.K.L.; et al. Worldwide Incidence and Prevalence of Inflammatory Bowel Disease in the 21st Century: A Systematic Review of Population-Based Studies. Lancet 2017, 390, 2769–2778. [Google Scholar] [CrossRef]
- Kornbluth, A.; Sachar, D.B. Practice Parameters Committee of the American College of Gastroenterology Ulcerative Colitis Practice Guidelines in Adults: American College Of Gastroenterology, Practice Parameters Committee. Am. J. Gastroenterol. 2010, 105, 501–523; quiz 524. [Google Scholar] [CrossRef]
- Roberti, R.; Iannone, L.F.; Palleria, C.; De Sarro, C.; Spagnuolo, R.; Barbieri, M.A.; Vero, A.; Manti, A.; Pisana, V.; Fries, W.; et al. Safety Profiles of Biologic Agents for Inflammatory Bowel Diseases: A Prospective Pharmacovigilance Study in Southern Italy. Curr. Med. Res. Opin. 2020, 36, 1457–1463. [Google Scholar] [CrossRef]
- Gomollón, F.; Dignass, A.; Annese, V.; Tilg, H.; Van Assche, G.; Lindsay, J.O.; Peyrin-Biroulet, L.; Cullen, G.J.; Daperno, M.; Kucharzik, T.; et al. 3rd European Evidence-Based Consensus on the Diagnosis and Management of Crohn’s Disease 2016: Part 1: Diagnosis and Medical Management. J. Crohns Colitis 2017, 11, 3–25. [Google Scholar] [CrossRef] [PubMed] [Green Version]
- Magro, F.; Gionchetti, P.; Eliakim, R.; Ardizzone, S.; Armuzzi, A.; Barreiro-de Acosta, M.; Burisch, J.; Gecse, K.B.; Hart, A.L.; Hindryckx, P.; et al. Third European Evidence-Based Consensus on Diagnosis and Management of Ulcerative Colitis. Part 1: Definitions, Diagnosis, Extra-Intestinal Manifestations, Pregnancy, Cancer Surveillance, Surgery, and Ileo-Anal Pouch Disorders. J. Crohns Colitis 2017, 11, 649–670. [Google Scholar] [CrossRef] [PubMed]
- Spagnuolo, R.; Dastoli, S.; Silvestri, M.; Cosco, C.; Garieri, P.; Bennardo, L.; Nisticò, S.P. Anti-Interleukin 12/23 in the Treatment of Erythema Nodosum and Crohn Disease: A Case Report. Dermatol. Ther. 2019, 32, e12811. [Google Scholar] [CrossRef] [PubMed]
- Kmieć, Z. Cytokines in Inflammatory Bowel Disease. Arch. Immunol. Ther. Exp. 1998, 46, 143–155. [Google Scholar]
- Mohammadi, E.; Qujeq, D.; Taheri, H.; Hajian-Tilaki, K. Evaluation of Serum Trace Element Levels and Superoxide Dismutase Activity in Patients with Inflammatory Bowel Disease: Translating Basic Research into Clinical Application. Biol. Trace Elem. Res. 2016, 177, 235–240. [Google Scholar] [CrossRef]
- Wendland, B.E.; Aghdassi, E.; Tam, C.; Carrrier, J.; Steinhart, A.H.; Wolman, S.L.; Baron, D.; Allard, J.P. Lipid Peroxidation and Plasma Antioxidant Micronutrients in Crohn Disease. Am. J. Clin. Nutr. 2001, 74, 259–264. [Google Scholar] [CrossRef]
- Malamud, D.; Rodriguez-Chavez, I.R. Saliva as a Diagnostic Fluid. Dent. Clin. N. Am. 2011, 55, 159–178. [Google Scholar] [CrossRef] [Green Version]
- Lehmann-Kalata, A.; Miechowicz, I.; Korybalska, K.; Swora-Cwynar, E.; Czepulis, N.; Łuczak, J.; Orzechowska, Z.; Grzymisławski, M.; Surdacka, A.; Witowski, J. Salivary Fingerprint of Simple Obesity. Cytokine 2018, 110, 174–180. [Google Scholar] [CrossRef] [PubMed]
- Lehmann, A.P.; Nijakowski, K.; Swora-Cwynar, E.; Łuczak, J.; Czepulis, N.; Surdacka, A. Characteristics of Salivary Inflammation in Obesity. Pol. Arch. Med. 2020, 130, 297–303. [Google Scholar] [CrossRef] [Green Version]
- Nijakowski, K.; Surdacka, A. Salivary Biomarkers for Diagnosis of Inflammatory Bowel Diseases: A Systematic Review. Int. J. Mol. Sci. 2020, 21, 7477. [Google Scholar] [CrossRef]
- Szczeklik, K.; Krzyściak, W.; Cibor, D.; Domagała-Rodacka, R.; Pytko-Polończyk, J.; Mach, T.; Owczarek, D. Markers of Lipid Peroxidation and Antioxidant Status in the Serum and Saliva of Patients with Active Crohn Disease. Pol. Arch. Intern. Med. 2018, 128, 362–370. [Google Scholar] [CrossRef]
- Rezaie, A.; Ghorbani, F.; Eshghtork, A.; Zamani, M.J.; Dehghan, G.; Taghavi, B.; Nikfar, S.; Mohammadirad, A.; Daryani, N.E.; Abdollahi, M. Alterations in Salivary Antioxidants, Nitric Oxide, and Transforming Growth Factor-Beta 1 in Relation to Disease Activity in Crohn’s Disease Patients. Ann. N. Y. Acad. Sci. 2006, 1091, 110–122. [Google Scholar] [CrossRef]
- Jahanshahi, G.; Motavasel, V.; Rezaie, A.; Hashtroudi, A.A.; Daryani, N.E.; Abdollahi, M. Alterations in Antioxidant Power and Levels of Epidermal Growth Factor and Nitric Oxide in Saliva of Patients with Inflammatory Bowel Diseases. Dig. Dis. Sci. 2004, 49, 1752–1757. [Google Scholar] [CrossRef] [PubMed]
- Szczeklik, K.; Owczarek, D.; Pytko-Polończyk, J.; Kęsek, B.; Mach, T.H. Proinflammatory Cytokines in the Saliva of Patients with Active and Non-Active Crohn’s Disease. Pol. Arch. Med. Wewn. 2012, 122, 200–208. [Google Scholar] [CrossRef] [Green Version]
- Said, H.S.; Suda, W.; Nakagome, S.; Chinen, H.; Oshima, K.; Kim, S.; Kimura, R.; Iraha, A.; Ishida, H.; Fujita, J.; et al. Dysbiosis of Salivary Microbiota in Inflammatory Bowel Disease and Its Association with Oral Immunological Biomarkers. DNA Res. 2014, 21, 15–25. [Google Scholar] [CrossRef] [Green Version]
- Nielsen, A.A.; Nielsen, J.N.; Schmedes, A.; Brandslund, I.; Hey, H. Saliva Interleukin-6 in Patients with Inflammatory Bowel Disease. Scand. J. Gastroenterol. 2005, 40, 1444–1448. [Google Scholar] [CrossRef]
- Schaefer, J.S.; Attumi, T.; Opekun, A.R.; Abraham, B.; Hou, J.; Shelby, H.; Graham, D.Y.; Streckfus, C.; Klein, J.R. MicroRNA Signatures Differentiate Crohn’s Disease from Ulcerative Colitis. BMC Immunol. 2015, 16, 5. [Google Scholar] [CrossRef] [Green Version]
- Gionchetti, P.; Dignass, A.; Danese, S.; Dias, F.J.M.; Rogler, G.; Lakatos, P.L.; Adamina, M.; Ardizzone, S.; Buskens, C.J.; Sebastian, S.; et al. 3rd European Evidence-Based Consensus on the Diagnosis and Management of Crohn’s Disease 2016: Part 2: Surgical Management and Special Situations. J. Crohns Colitis 2017, 11, 135–149. [Google Scholar] [CrossRef] [Green Version]
- Harbord, M.; Eliakim, R.; Bettenworth, D.; Karmiris, K.; Katsanos, K.; Kopylov, U.; Kucharzik, T.; Molnár, T.; Raine, T.; Sebastian, S.; et al. Third European Evidence-Based Consensus on Diagnosis and Management of Ulcerative Colitis. Part 2: Current Management. J. Crohns Colitis 2017, 11, 769–784. [Google Scholar] [CrossRef] [PubMed] [Green Version]
- Pedersen, A.M.L.; Sørensen, C.E.; Proctor, G.B.; Carpenter, G.H.; Ekström, J. Salivary Secretion in Health and Disease. J. Oral. Rehabil. 2018, 45, 730–746. [Google Scholar] [CrossRef] [PubMed]
- Navazesh, M. Methods for Collecting Saliva. Ann. N. Y. Acad. Sci. 1993, 694, 72–77. [Google Scholar] [CrossRef]
- Ihalin, R.; Loimaranta, V.; Tenovuo, J. Origin, Structure, and Biological Activities of Peroxidases in Human Saliva. Arch. Biochem. Biophys. 2006, 445, 261–268. [Google Scholar] [CrossRef]
- Szczeklik, K.; Krzysciak, W.; Domagala-Rodacka, R.; Mach, P.; Darczuk, D.; Cibor, D.; Pytko-Polonczyk, J.; Rodacki, T.; Owczarek, D. Alterations in Glutathione Peroxidase and Superoxide Dismutase Activities in Plasma and Saliva in Relation to Disease Activity in Patients with Crohn’s Disease. J. Physiol. Pharmacol. 2016, 67, 709–715. [Google Scholar]
- Janšáková, K.; Escudier, M.; Tóthová, Ľ.; Proctor, G. Salivary Changes in Oxidative Stress Related to Inflammation in Oral and Gastrointestinal Diseases. Oral. Dis. 2021, 27, 280–289. [Google Scholar] [CrossRef] [PubMed]
- Owczarek, D.; Cibor, D.; Głowacki, M.K.; Cieśla, A.; Mach, P. TNF-α and Soluble Forms of TNF Receptors 1 and 2 in the Serum of Patients with Crohn’s Disease and Ulcerative Colitis. Pol. Arch. Med. Wewn. 2012, 122, 616–623. [Google Scholar] [CrossRef] [PubMed] [Green Version]
- Spoettl, T.; Hausmann, M.; Klebl, F.; Dirmeier, A.; Klump, B.; Hoffmann, J.; Herfarth, H.; Timmer, A.; Rogler, G. Serum Soluble TNF Receptor I and II Levels Correlate with Disease Activity in IBD Patients. Inflamm. Bowel Dis. 2007, 13, 727–732. [Google Scholar] [CrossRef] [PubMed]
- Warner, R.H.; Stevens, F.M.; McCarthy, C.F. Salivary SIgA and SIgA 1 in Coeliac Disease, Inflammatory Bowel Disease and Controls. Ir. J. Med. Sci. 1999, 168, 33–35. [Google Scholar] [CrossRef]
- Savage, N.W.; Barnard, K.; Shirlaw, P.J.; Rahman, D.; Mistry, M.; Escudier, M.P.; Sanderson, J.D.; Challacombe, S.J. Serum and Salivary IgA Antibody Responses to Saccharomyces Cerevisiae, Candida Albicans and Streptococcus Mutans in Orofacial Granulomatosis and Crohn’s Disease. Clin. Exp. Immunol. 2004, 135, 483–489. [Google Scholar] [CrossRef] [PubMed]
- D’Haens, G.; Ferrante, M.; Vermeire, S.; Baert, F.; Noman, M.; Moortgat, L.; Geens, P.; Iwens, D.; Aerden, I.; Van Assche, G.; et al. Fecal Calprotectin Is a Surrogate Marker for Endoscopic Lesions in Inflammatory Bowel Disease. Inflamm. Bowel Dis. 2012, 18, 2218–2224. [Google Scholar] [CrossRef] [PubMed]
- Tibble, J.A.; Sigthorsson, G.; Bridger, S.; Fagerhol, M.K.; Bjarnason, I. Surrogate Markers of Intestinal Inflammation Are Predictive of Relapse in Patients with Inflammatory Bowel Disease. Gastroenterology 2000, 119, 15–22. [Google Scholar] [CrossRef] [PubMed]
- Johnstone, K.F.; Wei, Y.; Bittner-Eddy, P.D.; Vreeman, G.W.; Stone, I.A.; Clayton, J.B.; Reilly, C.S.; Walbon, T.B.; Wright, E.N.; Hoops, S.L.; et al. Calprotectin (S100A8/A9) Is an Innate Immune Effector in Experimental Periodontitis. Infect. Immun. 2021, IAI0012221. [Google Scholar] [CrossRef]
- Majster, M.; Almer, S.; Boström, E.A. Salivary Calprotectin Is Elevated in Patients with Active Inflammatory Bowel Disease. Arch. Oral Biol. 2019, 107, 104528. [Google Scholar] [CrossRef]
- Sinha, I.; Modesto, J.; Krebs, N.M.; Stanley, A.E.; Walter, V.A.; Richie, J.P.; Muscat, J.E.; Sinha, R. Changes in Salivary Proteome before and after Cigarette Smoking in Smokers Compared to Sham Smoking in Nonsmokers: A Pilot Study. Tob. Induc. Dis. 2021, 19, 56. [Google Scholar] [CrossRef]
- Mortazavi, H.; Ghasemi, A.; Vatankhah, M.R. Comparison of Salivary Total Antioxidant Levels in Male Smokers and Non-Smokers According to Their Personality Types. Dent. Med. Probl. 2020, 57, 145–148. [Google Scholar] [CrossRef]
- Ye, D.; Gajendra, S.; Lawyer, G.; Jadeja, N.; Pishey, D.; Pathagunti, S.; Lyons, J.; Veazie, P.; Watson, G.; McIntosh, S.; et al. Inflammatory Biomarkers and Growth Factors in Saliva and Gingival Crevicular Fluid of E-Cigarette Users, Cigarette Smokers, and Dual Smokers: A Pilot Study. J. Periodontol. 2020, 91, 1274–1283. [Google Scholar] [CrossRef]
- Tarbiah, N.; Todd, I.; Tighe, P.J.; Fairclough, L.C. Cigarette Smoking Differentially Affects Immunoglobulin Class Levels in Serum and Saliva: An Investigation and Review. Basic Clin. Pharmacol. Toxicol. 2019, 125, 474–483. [Google Scholar] [CrossRef]
- Berkowitz, L.; Schultz, B.M.; Salazar, G.A.; Pardo-Roa, C.; Sebastián, V.P.; Álvarez-Lobos, M.M.; Bueno, S.M. Impact of Cigarette Smoking on the Gastrointestinal Tract Inflammation: Opposing Effects in Crohn’s Disease and Ulcerative Colitis. Front. Immunol. 2018, 9, 74. [Google Scholar] [CrossRef] [Green Version]




| Marker | Manufacturer | Catalog Number |
|---|---|---|
| TNF-R1 | Bio-Techne, R&D Systems (Minneapolis, MN, USA) | DY225 |
| Serpin E1/PAI-1 | DY1786 | |
| S100A8/calprotectin | DY8226 | |
| Myeloperoxidase | DY3174 | |
| IgA | Demeditec Diagnostics (Kiel, Germany) | DEXK276 |
| Catalase | Cayman Chemical Company (Ann Arbor, MI, USA) | 707002 |
| Parameter | Control n = 51 | CD n = 27 | UC n = 24 | p-Value | p-Value CD vs. UC |
|---|---|---|---|---|---|
| Sex (female) | 17, 33.3 | 10, 37.0 | 7, 29.2 | 0.837 | 0.767 |
| Age [years] | 32 (26–40) | 34 (28–48) | 32 (24–40.5) | 0.302 | 0.460 |
| BMI [kg/m2] | 23.39 (21.70–25.00) | 22.09 (19.59–24.49) | 22.64 (19.67–25.70) | 0.199 | >0.999 |
| Smokers | - | 7, 25.9 | 1, 4.2 | - | 0.053 |
| Previous combined immunosupression (steroids + thiopurines) | not applicable | 7, 25.9 | 11, 45.8 | - | 0.137 |
| Severity of disease (CDAI for CD and Mayo scale for UC) | not applicable | 290 (203–332) | 9 (8.5–10.5) | - | - |
| Disease duration [years] | not applicable | 8.5 (6–12) | 5 (3–10) | - | 0.125 |
| Parameter | Control M (Q1–Q3) | CD M (Q1–Q3) | UC M (Q1–Q3) | p-Value (Kruskal–Wallis) | p-Value CD vs. UC (Dunn) |
|---|---|---|---|---|---|
| pH | 6.90 (6.80–7.20) | 6.84 (6.53–7.01) | 6.87 (6.54–7.02) | 0.07 | 0.93 |
| Flow rate [mL/min] | 0.25 (0.20–0.57) | 0.38 (0.25–0.50) | 0.25 (0.25–0.44) | 0.33 | 0.14 |
| Parameter | CD (A) | UC (B) | Control Group (C) | p-Value (Kruskal–Wallis) | p-Value (Dunn Post-Hoc) | ||
|---|---|---|---|---|---|---|---|
| M (Q1–Q3) | M (Q1–Q3) | M (Q1–Q3) | A vs. B | A vs. C | B vs. C | ||
| TNF-R1 [pg/µg TP] | 0.608 (0.264–1.720) | 0.199 (0.033–0.526) | 0.478 (0.235–1.095) | 0.022 * | 0.019 # | 0.780 | 0.134 |
| IgA [µg/µg TP] | 0.233 (0.001–0.965) | 0.047 (0.001–0.188) | 0.299 (0.126–0.719) | <0.001 * | 0.110 | 0.249 | <0.001 # |
| calprotectin [ng/µg TP] | 4.755 (0.036–9.369) | 0.019 (0.004–2.838) | 5.786 (2.691–12.498) | <0.001 * | 0.007 # | 0.584 | <0.001 # |
| PAI-1 [pg/µg TP] | 0.185 (0.000–0.899) | 0.222 (0.000–0.687) | 0.110 (0.044–0.224) | 0.602 | >0.999 | >0.999 | >0.999 |
| MPO [ng/µg TP] | 0.167 (0.046–0.577) | 0.055 (0.011–0.124) | 0.239 (0.070–0.685) | <0.001 * | 0.015 # | 0.975 | <0.001 # |
| catalase [pmol/min/µg TP] | 0.542 (0.265–0.908) | 0.291 (0.174–0.530) | 0.202 (0.102–0.366) | <0.001 * | 0.218 | <0.001 # | 0.141 |
| Marker | AUC | SE | −95% CI | +95% CI | p-Value |
|---|---|---|---|---|---|
| TNF-R1 [pg/mL] | 0.672 | 0.078 | 0.519 | 0.826 | 0.028 * |
| IgA [µg/mL] | 0.617 | 0.081 | 0.459 | 0.776 | 0.147 |
| calprotectin [ng/mL] | 0.667 | 0.077 | 0.516 | 0.819 | 0.030 * |
| PAI-1 [pg/mL] | 0.528 | 0.083 | 0.366 | 0.689 | 0.736 |
| MPO [ng/mL] | 0.690 | 0.077 | 0.538 | 0.841 | 0.014 * |
| CAT [nmol/min/mL] | 0.671 | 0.080 | 0.514 | 0.829 | 0.033 * |
Publisher’s Note: MDPI stays neutral with regard to jurisdictional claims in published maps and institutional affiliations. |
© 2021 by the authors. Licensee MDPI, Basel, Switzerland. This article is an open access article distributed under the terms and conditions of the Creative Commons Attribution (CC BY) license (https://creativecommons.org/licenses/by/4.0/).
Share and Cite
Nijakowski, K.; Rutkowski, R.; Eder, P.; Simon, M.; Korybalska, K.; Witowski, J.; Surdacka, A. Potential Salivary Markers for Differential Diagnosis of Crohn’s Disease and Ulcerative Colitis. Life 2021, 11, 943. https://doi.org/10.3390/life11090943
Nijakowski K, Rutkowski R, Eder P, Simon M, Korybalska K, Witowski J, Surdacka A. Potential Salivary Markers for Differential Diagnosis of Crohn’s Disease and Ulcerative Colitis. Life. 2021; 11(9):943. https://doi.org/10.3390/life11090943
Chicago/Turabian StyleNijakowski, Kacper, Rafał Rutkowski, Piotr Eder, Marek Simon, Katarzyna Korybalska, Janusz Witowski, and Anna Surdacka. 2021. "Potential Salivary Markers for Differential Diagnosis of Crohn’s Disease and Ulcerative Colitis" Life 11, no. 9: 943. https://doi.org/10.3390/life11090943
APA StyleNijakowski, K., Rutkowski, R., Eder, P., Simon, M., Korybalska, K., Witowski, J., & Surdacka, A. (2021). Potential Salivary Markers for Differential Diagnosis of Crohn’s Disease and Ulcerative Colitis. Life, 11(9), 943. https://doi.org/10.3390/life11090943

