Extrathyroidal Manifestations of Persistent Sporadic Non-Autoimmune Hyperthyroidism in a 6-Year-Old Boy: A Case Report
Abstract
1. Introduction
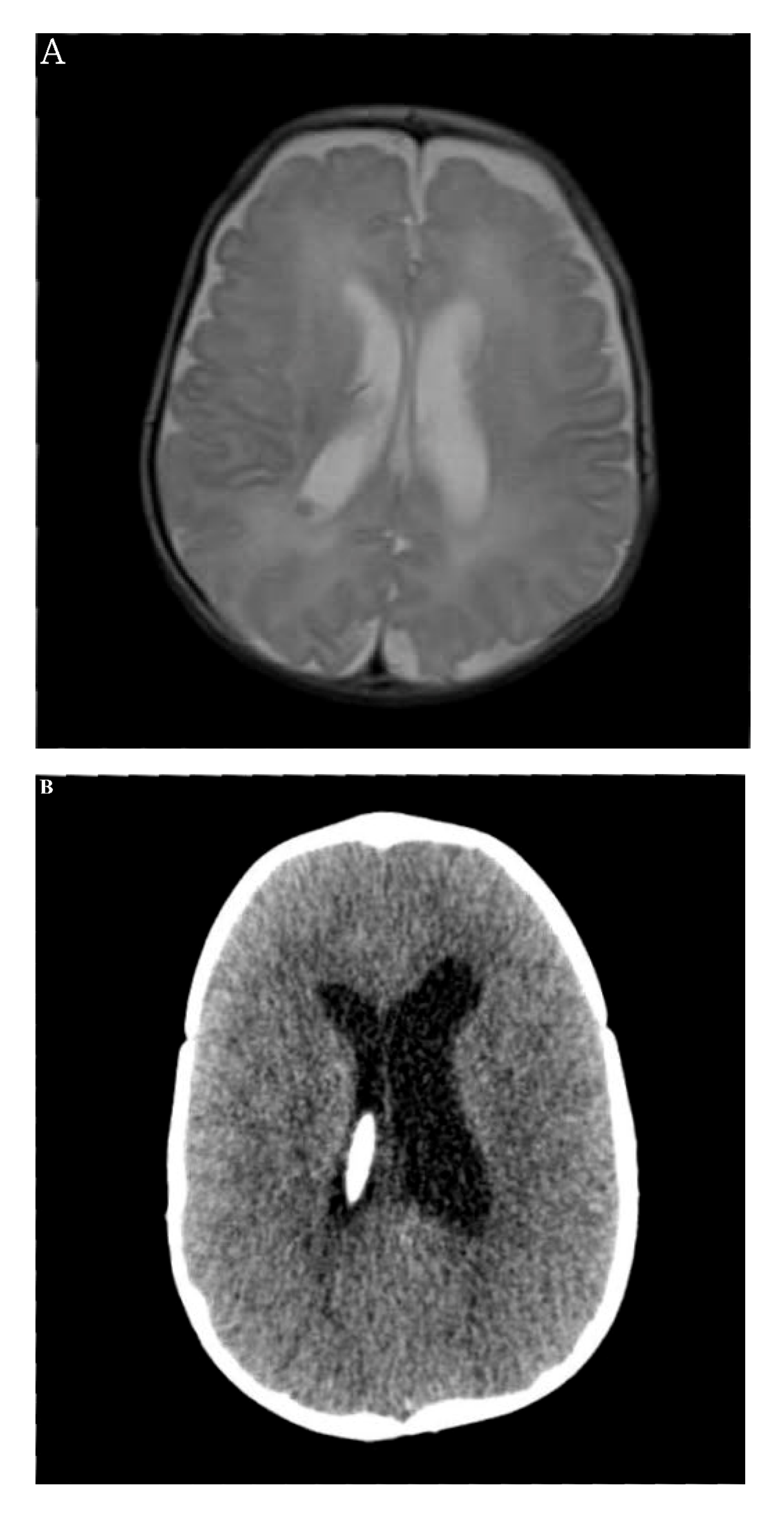
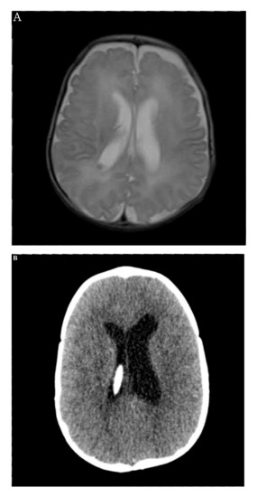
2. Case Report
3. Discussion
Funding
Institutional Review Board Statement
Informed Consent Statement
Data Availability Statement
Conflicts of Interest
References
- Kayas, L.; Camtosun, E.; Akinci, A.; Bircan, R. TSHRV656F Activating Variant of the Thyroid Stimulating Hormone Receptor Gene in Neonatal Onset Hyperthyroidism: A Case Review. J. Clin. Res. Pediatr. Endocrinol. 2021. [Google Scholar] [CrossRef]
- Srinivasan, S.; Misra, M. Hyperthyroidism in children. Pediatr. Rev. 2015, 36, 239–248. [Google Scholar] [CrossRef][Green Version]
- Omladic, J.S.; Pajek, M.; Groselj, U.; Podkrajsek, K.T.; Stefanija, M.A.; Tansek, M.Z.; Kotnik, P.; Battelino, T.; Schweiger, D.S. Central TSH Dysregulation in a Patient with Familial Non-Autoimmune Autosomal Dominant Hyperthyroidism Due to a Novel Thyroid-Stimulating Hormone Receptor Disease-Causing Variant. Medicina 2021, 57, 196. [Google Scholar] [CrossRef]
- Benlarbi, H.; Simon, D.; Rosenblatt, J.; Dumaine, C.; de Roux, N.; Chevenne, D.; Storey, C.; Poidvin, A.; Martinerie, L.; Carel, J.C.; et al. Prevalence and course of thyroid dysfunction in neonates at high risk of Graves’ disease or with non-autoimmune hyperthyroidism. Eur. J. Endocrinol. Eur. Fed. Endocr. Soc. 2021, 184, 431–440. [Google Scholar] [CrossRef] [PubMed]
- De Luca, F.; Mitchell, V.; Wasniewska, M.; Arrigo, T.; Messina, M.F.; Valenzise, M.; de Sanctis, L.; Lahlou, N. Regulation of spermatogenesis in McCune-Albright syndrome: Lessons from a 15-year follow-up. Eur. J. Endocrinol. Eur. Fed. Endocr. Soc. 2008, 158, 921–927. [Google Scholar] [CrossRef][Green Version]
- Paschke, R.; Niedziela, M.; Vaidya, B.; Persani, L.; Rapoport, B.; Leclere, J. 2012 European thyroid association guidelines for the management of familial and persistent sporadic non-autoimmune hyperthyroidism caused by thyroid-stimulating hormone receptor germline mutations. Eur. Thyroid J. 2012, 1, 142–147. [Google Scholar] [CrossRef] [PubMed]
- Roberts, S.A.; Moon, J.E.; Dauber, A.; Smith, J.R. Novel germline mutation (Leu512Met) in the thyrotropin receptor gene (TSHR) leading to sporadic non-autoimmune hyperthyroidism. J. Pediatr. Endocrinol. Metab. 2017, 30, 343–347. [Google Scholar] [CrossRef]
- Malej, A.; Stefanija, M.A.; Bratanic, N.; Podkrajsek, K.T. Familial Non-autoimmune Hyperthyroidism in Family Members Across Four Generations Due to a Novel Disease-causing Variant in The Thyrotropin Receptor Gene. Balk. J. Med. Genet. 2020, 23, 87–92. [Google Scholar] [CrossRef] [PubMed]
- Cho, W.K.; Ahn, M.B.; Jang, W.; Chae, H.; Kim, M.; Suh, B.K. Nonautoimmune congenital hyperthyroidism due to p.Asp633Glu mutation in the TSHR gene. Ann. Pediatr. Endocrinol. Metab. 2018, 23, 235–239. [Google Scholar] [CrossRef] [PubMed]
- Gozu, H.I.; Lublinghoff, J.; Bircan, R.; Paschke, R. Genetics and phenomics of inherited and sporadic non-autoimmune hyperthyroidism. Mol. Cell Endocrinol. 2010, 322, 125–134. [Google Scholar] [CrossRef]
- Papile, L.A.; Burstein, J.; Burstein, R.; Koffler, H. Incidence and evolution of subependymal and intraventricular hemorrhage: A study of infants with birth weights less than 1500 gm. J. Pediatr. 1978, 92, 529–534. [Google Scholar] [CrossRef]
- Kim, J.H.; Yun, S.; Hwang, S.S.; Shim, J.O.; Chae, H.W.; Lee, Y.J.; Lee, J.H.; Kim, S.C.; Lim, D.; Yang, S.W.; et al. The 2017 Korean National Growth Charts for children and adolescents: Development, improvement, and prospects. Korean J. Pediatr. 2018, 61, 135–149. [Google Scholar] [CrossRef]
- Kleinau, G.; Jaeschke, H.; Worth, C.L.; Mueller, S.; Gonzalez, J.; Paschke, R.; Krause, G. Principles and determinants of G-protein coupling by the rhodopsin-like thyrotropin receptor. PLoS ONE 2010, 5, e9745. [Google Scholar] [CrossRef]
- Kleinau, G.; Worth, C.L.; Kreuchwig, A.; Biebermann, H.; Marcinkowski, P.; Scheerer, P.; Krause, G. Structural-Functional Features of the Thyrotropin Receptor: A Class A G-Protein-Coupled Receptor at Work. Front. Endocrinol. 2017, 8, 86. [Google Scholar] [CrossRef]
- Van Trotsenburg, P.; Stoupa, A.; Leger, J.; Rohrer, T.; Peters, C.; Fugazzola, L.; Cassio, A.; Heinrichs, C.; Beauloye, V.; Pohlenz, J.; et al. Congenital Hypothyroidism: A 2020–2021 Consensus Guidelines Update-An ENDO-European Reference Network Initiative Endorsed by the European Society for Pediatric Endocrinology and the European Society for Endocrinology. Thyroid 2021, 31, 387–419. [Google Scholar] [CrossRef] [PubMed]
- Vaidya, B.; Campbell, V.; Tripp, J.H.; Spyer, G.; Hattersley, A.T.; Ellard, S. Premature birth and low birth weight associated with nonautoimmune hyperthyroidism due to an activating thyrotropin receptor gene mutation. Clin. Endocrinol. 2004, 60, 711–718. [Google Scholar] [CrossRef]
- Parilla, B.V.; Hanif, F.; Hasbani, K.; Iannucci, T. Fetal tachycardia treated successfully with maternally administered propylthiouracil. Case Rep. Obstet. Gynecol. 2014, 2014, 968051. [Google Scholar] [CrossRef] [PubMed]
- Leitch, V.D.; Bassett, J.H.D.; Williams, G.R. Role of thyroid hormones in craniofacial development. Nat. Rev. Endocrinol. 2020, 16, 147–164. [Google Scholar] [CrossRef] [PubMed]
- Supornsilchai, V.; Sahakitrungruang, T.; Wongjitrat, N.; Wacharasindhu, S.; Suphapeetiporn, K.; Shotelersuk, V. Expanding clinical spectrum of non-autoimmune hyperthyroidism due to an activating germline mutation, p.M453T, in the thyrotropin receptor gene. Clin. Endocrinol. 2009, 70, 623–628. [Google Scholar] [CrossRef] [PubMed]
- Ballabh, P.; de Vries, L.S. White matter injury in infants with intraventricular haemorrhage: Mechanisms and therapies. Nat. Rev. Neurol. 2021, 17, 199–214. [Google Scholar] [CrossRef] [PubMed]
- Chen, K.; Xie, Y.; Zhao, L.; Mo, Z. Hyperthyroidism-associated hypercalcemic crisis: A case report and review of the literature. Medicine 2017, 96, e6017. [Google Scholar] [CrossRef] [PubMed]
- Ozkaya, H.M.; Keskin, F.E.; Haliloglu, O.A.; Senel, T.E.; Kadioglu, P. Life-Threatening Hypercalcemia due to Graves’ Disease and Concomitant Adrenal Failure: A Case Report and Review of the Literature. Case Rep. Endocrinol. 2015, 2015, 684648. [Google Scholar] [CrossRef] [PubMed][Green Version]
- Iqbal, A.A.; Burgess, E.H.; Gallina, D.L.; Nanes, M.S.; Cook, C.B. Hypercalcemia in hyperthyroidism: Patterns of serum calcium, parathyroid hormone, and 1,25-dihydroxyvitamin D3 levels during management of thyrotoxicosis. Endocr. Pract. 2003, 9, 517–521. [Google Scholar] [CrossRef]
- Thakker, R.V. Calcium-sensing receptor: Role in health and disease. Indian J. Endocrinol. Metab. 2012, 16, S213–S216. [Google Scholar]
- Yang, L.K.; Hou, Z.S.; Tao, Y.X. Biased signaling in naturally occurring mutations of G protein-coupled receptors associated with diverse human diseases. Biochim. Biophys. Acta Mol. Basis Dis. 2021, 1867, 165973. [Google Scholar] [CrossRef]
- Tessaris, D.; Corrias, A.; Matarazzo, P.; De Sanctis, L.; Wasniewska, M.; Messina, M.F.; Vigone, M.C.; Lala, R. Thyroid abnormalities in children and adolescents with McCune-Albright syndrome. Horm. Res. Paediatr. 2012, 78, 151–157. [Google Scholar] [CrossRef]
- Lee, K.H.; Kim, H.S.; Shin, C.H.; Yang, S.; Lym, J.S.; Jung, M.H.; Jung, S.J.; Hwang, I.T.; Hwang, J.S. The Korean Society of Pediatric Endocrinology’s Precocious Puberty Clinical Guidelines. 2011. Available online: http://www.kspendo.or.kr/file/main/treatment_20120420.pdf (accessed on 19 July 2021).
- Schöneberg, T.; Liebscher, I. Mutations in G Protein–Coupled Receptors: Mechanisms, Pathophysiology and Potential Therapeutic Approaches. Pharmacol. Rev. 2021, 73, 89–119. [Google Scholar] [CrossRef]




| Thyroid Function (Units) (Reference Range) | Ventriculomegaly | Bladder Stone | GDPP |
|---|---|---|---|
| T3 (ng/mL) (0.94–2.41) | 4.00 | 1.58 | 1.93 |
| fT4 (ng/dL) (0.80–2.00) | 3.76 | 1.40 | 0.94 |
| TSH (mIU/L) (0.60–8.00) | 0.06 | 0.09 | 0.01 |
Publisher’s Note: MDPI stays neutral with regard to jurisdictional claims in published maps and institutional affiliations. |
© 2021 by the author. Licensee MDPI, Basel, Switzerland. This article is an open access article distributed under the terms and conditions of the Creative Commons Attribution (CC BY) license (https://creativecommons.org/licenses/by/4.0/).
Share and Cite
Ahn, M.B. Extrathyroidal Manifestations of Persistent Sporadic Non-Autoimmune Hyperthyroidism in a 6-Year-Old Boy: A Case Report. Life 2021, 11, 713. https://doi.org/10.3390/life11070713
Ahn MB. Extrathyroidal Manifestations of Persistent Sporadic Non-Autoimmune Hyperthyroidism in a 6-Year-Old Boy: A Case Report. Life. 2021; 11(7):713. https://doi.org/10.3390/life11070713
Chicago/Turabian StyleAhn, Moon Bae. 2021. "Extrathyroidal Manifestations of Persistent Sporadic Non-Autoimmune Hyperthyroidism in a 6-Year-Old Boy: A Case Report" Life 11, no. 7: 713. https://doi.org/10.3390/life11070713
APA StyleAhn, M. B. (2021). Extrathyroidal Manifestations of Persistent Sporadic Non-Autoimmune Hyperthyroidism in a 6-Year-Old Boy: A Case Report. Life, 11(7), 713. https://doi.org/10.3390/life11070713

