Whole-Body Low-Dose Multidetector-Row CT in Multiple Myeloma: Guidance in Performing, Observing, and Interpreting the Imaging Findings
Abstract
:1. Introduction
1.1. Bone Marrow
- red (hematopoietic) bone marrow: with 60% hematopoietic cells and 40% fat cells;
- yellow (fatty) bone marrow: with almost entirely (95%) fat cells.
1.2. Multiple Myeloma
2. WBLD-CT Protocol and Dose
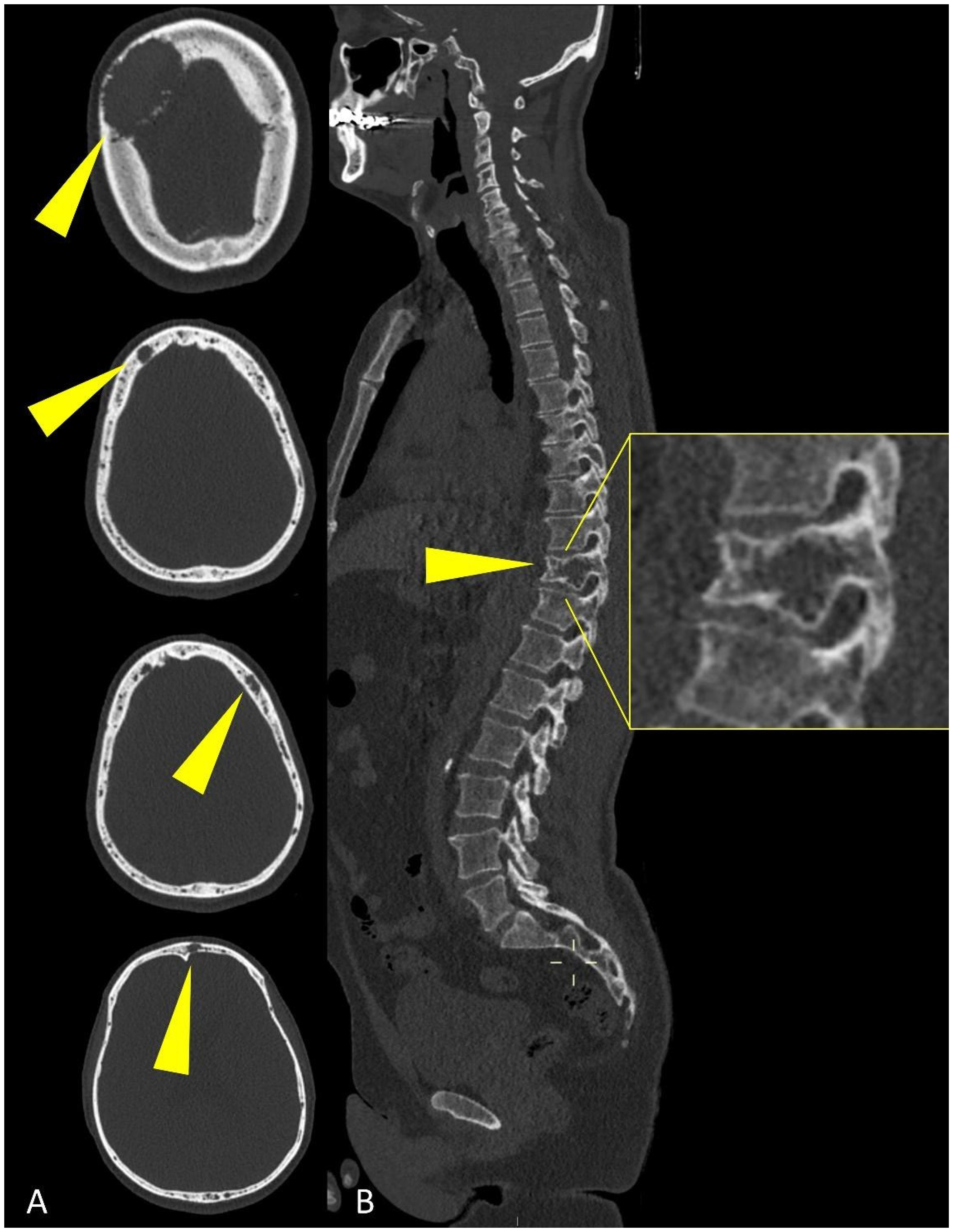
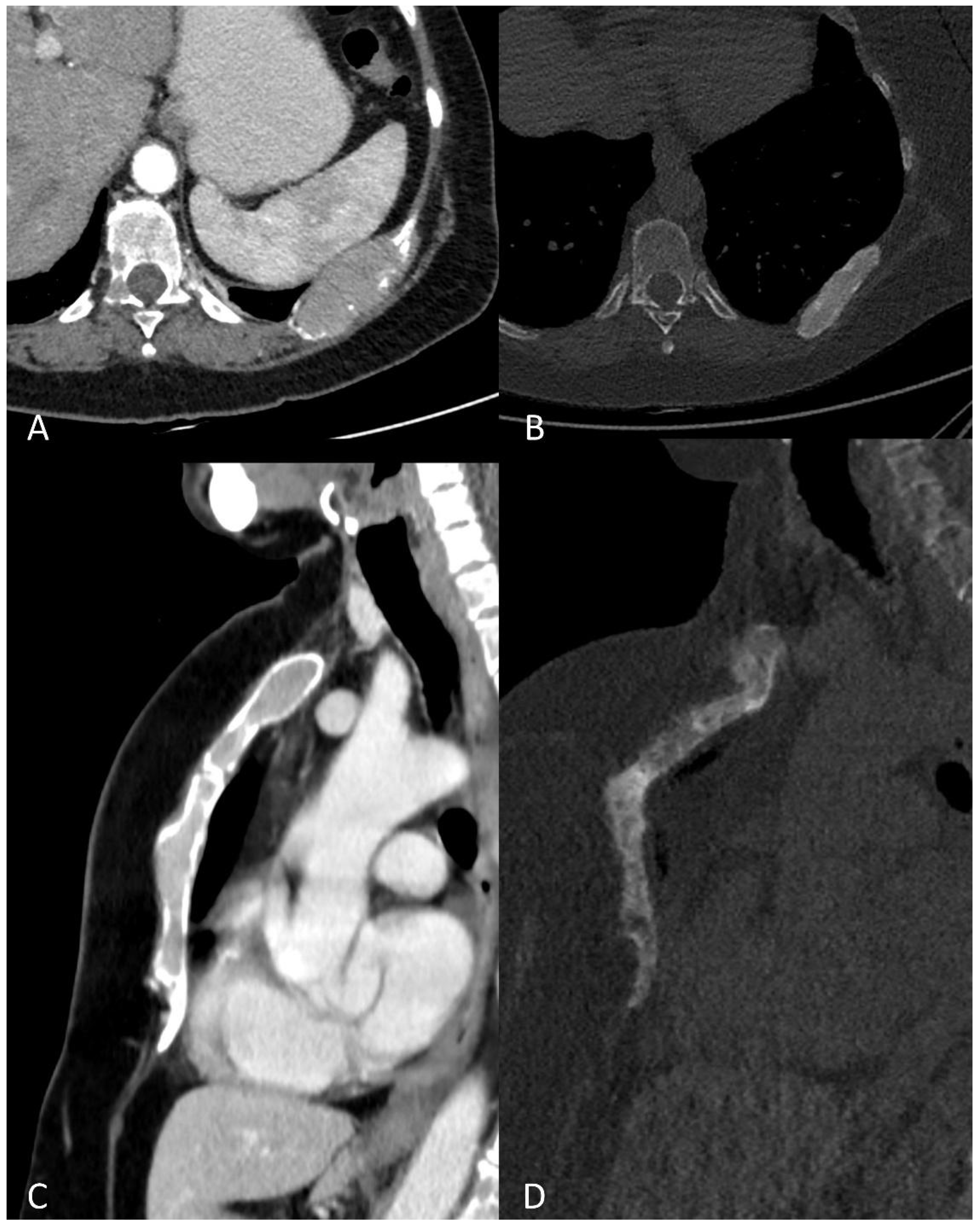
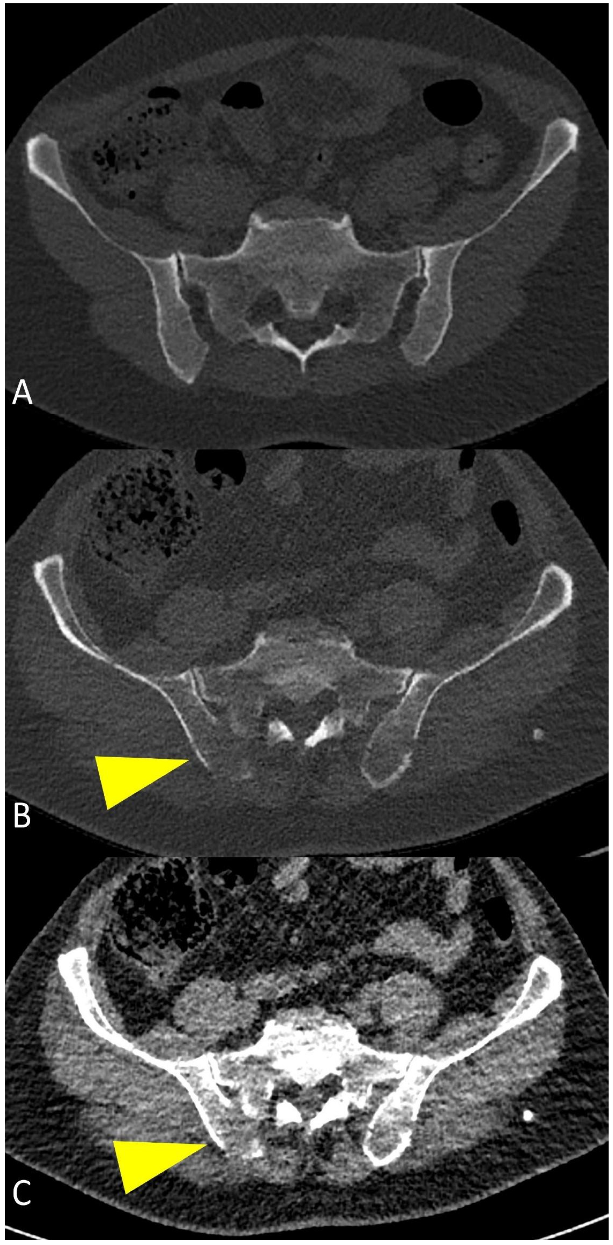
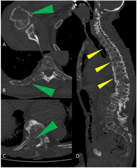
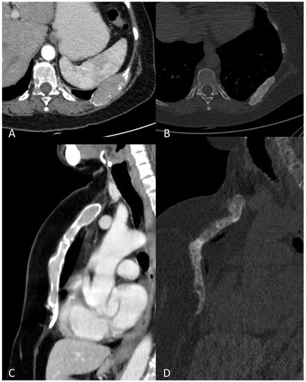
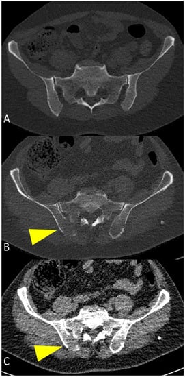
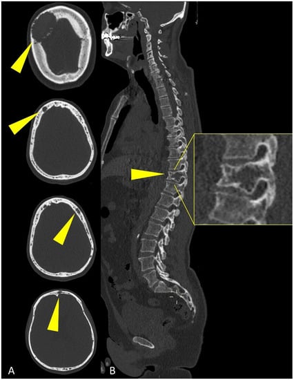
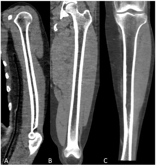
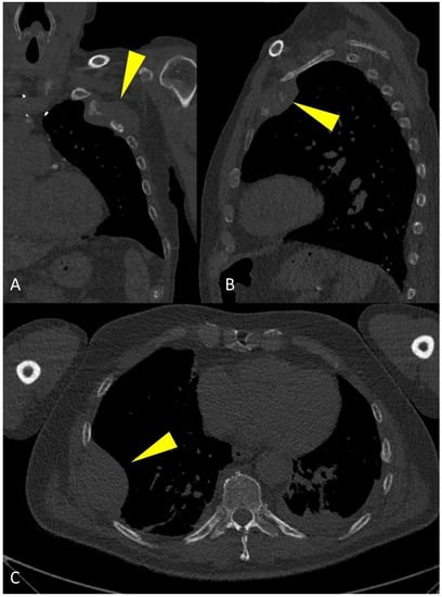
3. WBLD-CT Imaging Findings and Evaluation
4. Differentiation of Multiple Myeloma and Metastasis
5. Report of Imaging Findings
6. Conclusions
Author Contributions
Funding
Institutional Review Board Statement
Informed Consent Statement
Conflicts of Interest
References
- Hwang, S.; Panicek, D.M. Magnetic resonance imaging of bone marrow in oncology, Part 1. Skelet. Radiol. 2007, 36, 913–920. [Google Scholar] [CrossRef] [Green Version]
- Małkiewicz, A.; Dziedzic, M. Bone marrow reconversion—Imaging of physiological changes in bone marrow. Pol. J. Radiol. 2012, 77, 45–50. [Google Scholar] [CrossRef]
- Hillengass, J.; Usmani, S.; Rajkumar, S.V.; Durie, B.G.M.; Mateos, M.V.; Lonial, S.; Joao, C.; Anderson, K.C.; García-Sanz, R.; Riva, E.; et al. International myeloma working group consensus recommendations on imaging in monoclonal plasma cell disorders. Lancet Oncol. 2019, 20, e302–e312. [Google Scholar] [CrossRef]
- Rajkumar, S.V.; Dimopoulos, M.A.; Palumbo, A.; Blade, J.; Merlini, G.; Mateos, M.V.; Kumar, S.; Hillengass, J.; Kastritis, E.; Richardson, P.; et al. International Myeloma Working Group updated criteria for the diagnosis of multiple myeloma. Lancet Oncol. 2014, 15, e538–e548. [Google Scholar] [CrossRef]
- Fairfield, H.; Falank, C.; Avery, L.; Reagan, M.R. Multiple myeloma in the marrow: Pathogenesis and treatments. Ann. N. Y. Acad. Sci. 2016, 1364, 32–51. [Google Scholar] [CrossRef] [Green Version]
- Kumar, S.K.; Rajkumar, V.; Kyle, R.A.; van Duin, M.; Sonneveld, P.; Mateos, M.V.; Gay, F.; Anderson, K.C. Multiple myeloma. Nat. Rev. Dis. Prim. 2017, 3, 17046. [Google Scholar] [CrossRef]
- Hanrahan, C.J.; Christensen, C.R.; Crim, J.R. Current concepts in the evaluation of multiple myeloma with MR imaging and FDG PET/CT. Radiographics 2010, 30, 127–142. [Google Scholar] [CrossRef]
- Kyle, R.A.; Rajkumar, S.V. Epidemiology of the plasmacell disorders. Best Pract Res. Clin. Haematol. 2007, 20, 637–664. [Google Scholar] [CrossRef]
- Kyle, R.A.; Therneau, T.M.; Rajkumar, S.V.; Offord, J.R.; Larson, D.R.; Plevak, M.F.; Melton, L.J., 3rd. A long-term study of prognosis in monoclonal gammopathy of undetermined significance. N. Engl. J. Med. 2002, 346, 564–569. [Google Scholar] [CrossRef]
- Baldini, L.; Guffanti, A.; Cesana, B.M.; Colombi, M.; Chiorboli, O.; Damilano, I.; Maiolo, A.T. Role of different hematologic variables in defining the risk of malignant transformation in monoclonal gammopathy. Blood 1996, 87, 912–918. [Google Scholar] [CrossRef] [PubMed] [Green Version]
- Ormond Filho, A.G.; Carneiro, B.C.; Pastore, D.; Silva, I.P.; Yamashita, S.R.; Consolo, F.D.; Hungria, V.T.M.; Sandes, A.F.; Rizzatti, E.G.; Nico, M.A.C. Whole-Body Imaging of Multiple Myeloma: Diagnostic Criteria. Radiographics 2019, 39, 1077–1097. [Google Scholar] [CrossRef]
- Silbermann, R.; Roodman, G.D. Myeloma bone disease: Pathophysiology and management. J. Bone Oncol. 2013, 2, 59–69. [Google Scholar] [CrossRef] [Green Version]
- Terpos, E.; Berenson, J.; Cook, R.J.; Lipton, A.; Coleman, R.E. Prognostic variables for survival and skeletal complications in patients with multiple myeloma osteolytic bone disease. Leukemia 2010, 24, 1043–1049. [Google Scholar] [CrossRef] [PubMed]
- Ippolito, D.; Besostri, V.; Bonaffini, P.A.; Rossini, F.; Di Lelio, A.; Sironi, S. Diagnostic value of whole-body low-dose computed tomography (WBLDCT) in bone lesions detection in patients with multiple myeloma (MM). Eur. J. Radiol. 2013, 82, 2322–2327. [Google Scholar] [CrossRef]
- Moulopoulos, L.A.; Koutoulidis, V.; Hillengass, J.; Zamagni, E.; Aquerreta, J.D.; Roche, C.L.; Lentzsch, S.; Moreau, P.; Cavo, M.; Miguel, J.S.; et al. Recommendations for acquisition, interpretation and reporting of whole body low dose CT in patients with multiple myeloma and other plasma cell disorders: A report of the IMWG Bone Working Group. Blood Cancer J. 2018, 8, 95. [Google Scholar] [CrossRef] [Green Version]
- Lambert, L.; Ourednicek, P.; Meckova, Z.; Gavelli, G.; Straub, J.; Spicka, I. Whole-body low-dose computed tomography in multiple myeloma staging: Superior diagnostic performance in the detection of bone lesions, vertebral compression fractures, rib fractures and extraskeletal findings compared to radiography with similar radiation exposure. Oncol. Lett. 2017, 13, 2490–2494. [Google Scholar] [CrossRef] [Green Version]
- Gleeson, T.G.; Byrne, B.; Kenny, P.; Last, J.; Fitzpatrick, P.; O’Gorman, P.; Eustace, S.J. Image quality in low-dose multidetector computed tomography: A pilot study to assess feasibility and dose optimization in whole-body bone imaging. Can. Assoc. Radiol. J. 2010, 61, 258–264. [Google Scholar] [CrossRef] [Green Version]
- Kosmala, A.; Weng, A.M.; Heidemeier, A.; Krauss, B.; Knop, S.; Bley, T.A.; Petritsch, B. Multiple Myeloma and Dual-Energy CT: Diagnostic Accuracy of Virtual Noncalcium Technique for Detection of Bone Marrow Infiltration of the Spine and Pelvis. Radiology 2018, 286, 205–213. [Google Scholar] [CrossRef]
- Horger, M.; Claussen, C.D.; Bross-Bach, U.; Vonthein, R.; Trabold, T.; Heuschmid, M.; Pfannenberg, C. Whole-body low-dose multidetector row-CT in the diagnosis of multiple myeloma: An alternative to conventional radiography. Eur. J. Radiol. 2005, 54, 289–297. [Google Scholar] [CrossRef] [PubMed]
- Nishida, Y.; Matsue, Y.; Suehara, Y.; Fukumoto, K.; Fujisawa, M.; Takeuchi, M.; Ouchi, E.; Matsue, K. Clinical and prognostic significance of bone marrow abnormalities in the appendicular skeleton detected by low-dose whole-body multidetector computed tomography in patients with multiple myeloma. Blood Cancer J. 2015, 5, e329. [Google Scholar] [CrossRef] [Green Version]
- Baur-Melnyk, A.; Buhmann, S.; Becker, C.; Schoenberg, S.O.; Lang, N.; Bartl, R.; Reiser, M.F. Whole-body MRI versus whole-body MDCT for staging of multiple myeloma. AJR Am. J. Roentgenol. 2008, 190, 1097–1104. [Google Scholar] [CrossRef]
- Koutoulidis, V.; Terpos, E.; Klapa, I.; Cheliotis, G.; Ntanasis-Stathopoulos, I.; Boultadaki, A.; Gavriatopoulou, M.; Kastritis, E.; Dimopoulos, M.A.; Moulopoulos, L.A. Whole-Body Low-Dose CT in Multiple Myeloma: Diagnostic Value of Appendicular Medullary Patterns of Attenuation. AJR Am. J. Roentgenol. 2021, 216, 742–751. [Google Scholar] [CrossRef]
- Surov, A.; Bach, A.G.; Tcherkes, A.; Schramm, D. Non-osseous incidental findings in low-dose whole-body CT in patients with multiple myeloma. Br. J. Radiol. 2014, 87, 20140185. [Google Scholar] [CrossRef] [Green Version]
- Terpos, E.; Dimopoulos, M.A. Myeloma bone disease: Pathophysiology and management. Ann. Oncol. 2005, 16, 1223–1231. [Google Scholar] [CrossRef]
- Kyle, R.A.; Gertz, M.A.; Witzig, T.E.; Lust, J.A.; Lacy, M.Q.; Dispenzieri, A.; Fonseca, R.; Rajkumar, S.V.; Offord, J.R.; Larson, D.R.; et al. Review of 1027 patients with newly diagnosed multiple myeloma. Mayo Clin. Proc. 2003, 78, 21–33. [Google Scholar] [CrossRef]
- Zambello, R.; Crimì, F.; Lico, A.; Barilà, G.; Branca, A.; Guolo, A.; Varin, C.; Vezzaro, R.; Checuz, L.; Scapin, V.; et al. Whole-body low-dose CT recognizes two distinct patterns of lytic lesions in multiple myeloma patients with different disease metabolism at PET/MRI. Ann. Hematol. 2019, 98, 679–689. [Google Scholar] [CrossRef] [Green Version]
- Treitl, K.M.; Ricke, J.; Baur-Melnyk, A. Whole-body magnetic resonance imaging (WBMRI) versus whole-body computed tomography (WBCT) for myeloma imaging and staging. Skeletal Radiol. 2021. [Google Scholar] [CrossRef]
- Batsukh, K.; Lee, S.E.; Min, G.J.; Park, S.S.; Jeon, Y.W.; Yoon, J.H.; Cho, B.S.; Eom, K.S.; Kim, Y.J.; Kim, H.J.; et al. Distinct Clinical Outcomes between Paramedullary and Extramedullary Lesions in Newly Diagnosed Multiple Myeloma. Immune Netw. 2017, 17, 250–260. [Google Scholar] [CrossRef] [PubMed]
- Horger, M.; Pereira, P.; Claussen, C.D.; Kanz, L.; Vonthein, R.; Denecke, B.; Driessen, C. Hyperattenuating bone marrow abnormalities in myeloma patients using whole-body non-enhanced low-dose MDCT: Correlation with haematological parameters. Br. J. Radiol. 2008, 81, 386–396. [Google Scholar] [CrossRef] [PubMed]
- Hillengass, J.; Moulopoulos, L.A.; Delorme, S.; Koutoulidis, V.; Mosebach, J.; Hielscher, T.; Drake, M.; Rajkumar, S.V.; Oestergaard, B.; Abildgaard, N.; et al. Whole-body computed tomography versus conventional skeletal survey in patients with multiple myeloma: A study of the International Myeloma Working Group. Blood Cancer J. 2017, 7, e599. [Google Scholar] [CrossRef] [PubMed] [Green Version]
- Blebea, J.S.; Houseni, M.; Torigian, D.A.; Fan, C.; Mavi, A.; Zhuge, Y.; Iwanaga, T.; Mishra, S.; Udupa, J.; Zhuang, J.; et al. Structural and functional imaging of normal bone marrow and evaluation of its age-related changes. Semin. Nucl. Med. 2007, 37, 185–194. [Google Scholar] [CrossRef]
- Park, G.E.; Jee, W.H.; Lee, S.Y.; Sung, J.K.; Jung, J.Y.; Grimm, R.; Son, Y.; Paek, M.Y.; Min, C.K.; Ha, K.Y. Differentiation of multiple myeloma and metastases: Use of axial diffusion-weighted MR imaging in addition to standard MR imaging at 3T. PLoS ONE 2018, 13, e0208860. [Google Scholar] [CrossRef]
- Edwards, B.J.; Langman, C.B.; Bunta, A.D.; Vicuna, M.; Favus, M. Secondary contributors to bone loss in osteoporosis related hip fractures. Osteoporos. Int. 2008, 19, 991–999. [Google Scholar] [CrossRef]
- Mauch, J.T.; Carr, C.M.; Cloft, H.; Diehn, F.E. Review of the Imaging Features of Benign Osteoporotic and Malignant Vertebral Compression Fractures. AJNR Am. J. Neuroradiol. 2018, 39, 1584–1592. [Google Scholar] [CrossRef] [PubMed]
- Lang, N.; Su, M.Y.; Yu, H.J.; Lin, M.; Hamamura, M.J.; Yuan, H. Differentiation of myeloma and metastatic cancer in the spine using dynamic contrast-enhanced MRI. Magn. Reson. Imaging 2013, 31, 1285–1291. [Google Scholar] [CrossRef] [Green Version]
- Xiong, X.; Wang, J.; Hu, S.; Dai, Y.; Zhang, Y.; Hu, C. Differentiating Between Multiple Myeloma and Metastasis Subtypes of Lumbar Vertebra Lesions Using Machine Learning-Based Radiomics. Front. Oncol. 2021, 11, 601699. [Google Scholar] [CrossRef] [PubMed]
- Musto, P.; Engelhardt, M.; Caers, J.; Bolli, N.; Kaiser, M.; Van de Donk, N.; Terpos, E.; Broijl, A.; De Larrea, C.F.; Gay, F.; et al. 2021 European Myeloma Network review and consensus statement on smoldering multiple myeloma: How to distinguish (and manage) Dr. Jekyll and Mr. Hyde. Haematologica 2021, 106, 2799–2812. [Google Scholar] [CrossRef] [PubMed]
- Simeone, F.J.; Harvey, J.P.; Yee, A.J.; O’Donnell, E.K.; Raje, N.S.; Torriani, M.; Bredella, M.A. Value of low-dose whole-body CT in the management of patients with multiple myeloma and precursor states. Skeletal Radiol. 2019, 48, 773–779. [Google Scholar] [CrossRef]











Publisher’s Note: MDPI stays neutral with regard to jurisdictional claims in published maps and institutional affiliations. |
© 2021 by the authors. Licensee MDPI, Basel, Switzerland. This article is an open access article distributed under the terms and conditions of the Creative Commons Attribution (CC BY) license (https://creativecommons.org/licenses/by/4.0/).
Share and Cite
Pierro, A.; Posa, A.; Astore, C.; Sciandra, M.; Tanzilli, A.; Petrosino, A.; del Balso, M.S.; Fraticelli, V.; Cilla, S.; Iezzi, R. Whole-Body Low-Dose Multidetector-Row CT in Multiple Myeloma: Guidance in Performing, Observing, and Interpreting the Imaging Findings. Life 2021, 11, 1320. https://doi.org/10.3390/life11121320
Pierro A, Posa A, Astore C, Sciandra M, Tanzilli A, Petrosino A, del Balso MS, Fraticelli V, Cilla S, Iezzi R. Whole-Body Low-Dose Multidetector-Row CT in Multiple Myeloma: Guidance in Performing, Observing, and Interpreting the Imaging Findings. Life. 2021; 11(12):1320. https://doi.org/10.3390/life11121320
Chicago/Turabian StylePierro, Antonio, Alessandro Posa, Costanzo Astore, Mariacarmela Sciandra, Alessandro Tanzilli, Antonella Petrosino, Maria Saveria del Balso, Vincenzo Fraticelli, Savino Cilla, and Roberto Iezzi. 2021. "Whole-Body Low-Dose Multidetector-Row CT in Multiple Myeloma: Guidance in Performing, Observing, and Interpreting the Imaging Findings" Life 11, no. 12: 1320. https://doi.org/10.3390/life11121320
APA StylePierro, A., Posa, A., Astore, C., Sciandra, M., Tanzilli, A., Petrosino, A., del Balso, M. S., Fraticelli, V., Cilla, S., & Iezzi, R. (2021). Whole-Body Low-Dose Multidetector-Row CT in Multiple Myeloma: Guidance in Performing, Observing, and Interpreting the Imaging Findings. Life, 11(12), 1320. https://doi.org/10.3390/life11121320

