Abstract
This experimental study defines the usage of a computer-aided surgical simulation process that is effective, safe, user-friendly, and low-cost, that achieves a detailed and realistic representation of the anatomical region of interest. The chosen tools for this purpose are state-of-the-art Computer Aided Design (CAD) software for mechanical design, and are the fundamental application dedicated to parametric modeling. These tools support different work environments, each one is for a specific type of modeling, and they allow the simulation of surgery. The result will be a faithful representation of the anatomical part both before and after the surgical procedure, screening all the intermediate phases. The doctor will assess different lines of action according to the results, then he will communicate them to the engineer who, consequently, will correct the antisymmetric issue and regenerate the model. Exact measurements of the mutual positions of the various components, skeletal and synthetic, can be achieved; all the osteosynthesis tools, necessary for the surgeon, can be included in the project according to different types of fracture to perfectly match the morphology of the bone to be treated. The method has been tested on seven clinical cases of different complexity and nature and the results of the simulations have been found to be of great effectiveness in the phase of diagnosis and of preoperative planning for the doctors and surgeons; therefore, allowing a lower risk medical operation with a better outcome. This work delivers experimental results in line with theoretical research findings in detail; moreover, full experimental and/or methodical details are provided, so that outcomes could be obtained.
1. Introduction
Radiologic imaging is an ever-evolving field that has shown spectacular progress in recent years. Many more innovative techniques have been introduced, based or not on ionizing radiation, starting from conventional radiology (CR), through ultrasound (US) and conventional CT, eventually replaced by spiral (SCT) and multidetector variants (MDCT) with 3D processing and finally by magnetic resonance (MRI).
With such technologic development it becomes of crucial importance to screen various examination possibilities and choose only those procedures that will lead to correct diagnosis and treatment. Correct radiologic investigation is particularly critical in orthopedic pathology to maintain a cost-effective approach, limit overuse, decrease the amount of radiation which a patient is exposed or in order to satisfy time-dependent surgical planning. If excellent contrast resolution of soft tissue, cartilage and ligamentous structures makes MRI suitable for degenerative and soft tissue traumatic or oncological diseases, the gold standard for most traumatic bone investigations is represented by Computed Tomography for its optimal contrast resolution of the bone, easy and ubiquitous availability in first aid and fast scanning. Technological improvements achieved by multidetector devices allow 3D reconstruction images, essential for the correct evaluation of bone injuries and safe surgical planning.
This study will illustrate the next step by guaranteeing specialists not only the visualization of the three-dimensional reconstruction of antisymmetric anatomical parts, but also by modeling, dissecting and altering them according to the purpose, thanks to the application of a 3D CAD software. In the orthopedic field, especially in pediatric orthopedics (PO), there has been a growing demand for efficient surgical simulation systems to adapt preoperative planning to technological progress and exploit the latest discoveries. Moreover, increasing emphasis on patient safety has considerably limited the timing in the operating room and the possibility of testing new methodologies involving real patients [1].
In spite of the fact that some bone deformities could be simple, with a straightforward treatment, complex deformities, i.e., damages that occur on at least two planes (e.g., shortening and angular/rotational variation) and often involve multiple bones, are frequently encountered in PO. This type of surgery usually requires extensive preoperative planning, that can be prolonged because of the complex geometry of the axial and appendicular skeleton. Thanks to the computer-aided surgical simulation (CASS) methodology it is possible to scale the precision and execution, and subsequently the efficacy of surgeons, thus, diminishing further complications and difficult outcomes, bringing down costs for all parties involved. Furthermore, it enhances informed consent and promotes a clearer communication between doctors and patients; showing the printed model, surgeons can easily convey medical information and the chosen treatments of the case, building a deeper bond of trust with the patients [2]. Nevertheless, CASS is deemed to be costly, time consuming and have limited availability to the few specialized centers with the facilities and staff for it, hence, limiting its use among medical professionals. Such limitations have driven the use of open-source software and user-friendly and low-cost technology.
In order to fulfill these needs, the Department of Industrial Engineering of the University of Bologna has entered into a collaboration with the Rizzoli Orthopedic Institute of Bologna, whose staff has allowed us to access the complex clinical cases that are the foundation of the study presented here. The outcome was a CASS method with the specific use of CREO Parametric, a mechanical modeling program. Once the anatomical part has been reconstructed through various software, it will be possible to interact with the component, rotating it and translating it into space, highlighting any lesions or pathological conditions, but, above all, applying sharp cuts or a more elaborate profile to simulate and observe the results of a surgical operation. The engineer will be able, thanks to precise instructions from the doctor, to virtually carry out the phases of the operation and communicate the results and data obtained.
The surgeon, in turn, will be put in a position to better evaluate the choices to optimize time and costs, but also to reduce the impact of the procedure on the patient and ensure a positive outcome; enabling the application of the experimental part of this study supported by the detailed theoretical findings that would add heft to the selected surgery methods for each particular patient.
1.1. Objectives
The goal of this innovative method is to give a new approach to diagnostics: the ability to reproduce faithfully human anatomy in a 3D CAD model that provides surgeons with a profitable and reliable investigative tool, which enriches the pre-operative planning phase by means of 3D patient visualization that avoids deducing from traditional methodology.
This work aims to provide a faithful simulation which is capable of replicating every single step of the procedure chosen by the specialist, allowing the doctor to estimate the extent of the injury or pathology and then decide how to solve it, immediately appreciating the results, minimizing the risks to the patient and evaluating more solutions thanks to the simulations.
Another objective of the method is to enrich the dialogue with the patient: in addition to seeing the impact of the operation on his body limited to a minimum, he can become aware of all the phases of the treatment that will be carried out with perfect transparency, as the doctor will be able to explain, in much more detail, the characteristics of the disorder and the methods of intervention.
Finally, another purpose for this script is to make available an effective support for surgical teaching; more experienced surgeons, in order to pass on their knowledge to students and young doctors, can avoid the use of training on corpses or incorrect models, which is disadvantageous in terms of the costs and availability of particular diseases.
1.2. Literature Review
Regardless of the different level of progress in the various fields of surgery, the large number of texts dealing with computer-aided simulation testifies to the interest and effectiveness of these techniques in solving complex traumas and pathologies. It commonly emerges that a balance must be met between simulation effectiveness and computational time to evaluate the model, to not cause a drastic cost increase or a decline in treatment accuracy [3].
The literature has shown that there is an increasing expectation of improved performance, patient safety and fiscal responsibility that can only be satisfied with a technological development in methods for the analysis and solution of pathologies. The researchers focused on some fundamental aspects in evaluating the effectiveness of the methodologies developed and, specifically, took into account the feedback, skills acquisition, simulation fidelity and timing [4].
Analyzing the maxillofacial field, the use of 3D technologies is already widespread and many interesting proposals with efficient simulation methods are available. Interesting osteotomy treatments have been developed in maxillo-mandibular surgeries. In the work of Li et al. (2013) [5] is shown the effectiveness of the use of parametric software (Unigraphics NX 7.5) in creating orthognathic templates, while in “Three-dimensional surgical simulation” [6] the dedicated PROPLAN CMF™ software, specific for cranio-maxillofacial surgery applications, is used. The complexity of the anatomy has made it necessary to use advanced tools, since the acquisition of data as in the works of Gateno et al. (2007) [7], Aboul-Hosn Centenero et al. (2012) [8] and Hsu et al. (2013) [9], for all searches starting from CT scanning, flanked by guide models, digital viewers and laser scanners.
The complexity of cases in the orthopedic field, combined with the lack of dedicated software able to treat long bones, articulated bone groups or the wide range of pathologies present, has led to a less advanced level of research that still lacks an effective simulation method, especially without increasing the timing of diagnosis. These problems have resulted in many doubts about the usefulness of aided CAD methods, as explained in the script “To simulate or not to simulate” [10].
To date, various paths have been designed for the reconstruction of a virtual model of anatomical parts, but the next step in creating a method to fully simulate surgical operations in detail is missing. A valid option is to use dedicated medical software: in “Application of computer simulation in the treatment of traumatic cubitus varus deformity in children” [11] MIMICS is used for the simulation of osteotomy, in “Accuracy of the preoperative planning for cementless total hip arthroplasty” [12] use is made of the Hip-PlanTM software (Symbios, Yverdon, Switzerland), which deals only with hip arthroplasty planning, while in “Integration of CAD/CAM planning into computer assisted orthopaedic surgery” [13] the model is transformed into three dimensions and customized bone prostheses are created for the patient via MIMICS software. Another interesting study is the one presented in the script of Wong et al. (2020) [14], where a novel titanium 3D-printed patient-specific implant, starting from a model made with parametric software, is presented. Additionally, there is the paper of Milojevic et al. (2010) [15] that performs a three-dimensional approximation of a femur from X-ray images to verify the exact position and measurements of the screws which are built-in in the human femur. Some studies of the same nature have been carried out on cadavers to test methods of simulation and realization of customized three-dimensional guides; two examples are the works of Helguero et al. (2015) [16] and Wong et al. (2012) [17]. Research has also developed in other directions by testing soft tissue simulations, such as in the script of Perica et al. (2017), [18] but without particular results. In the work of Cofaru et al. (2018) [19] the authors approach a modular device suitable for the different human knee surgery procedures built through the use of Catia V5R20, a commercial software. In the script of Gómez-Palomo et al. (2020) [20] is described the case of a 26-year-old patient diagnosed with Blount disease and the implementation of relative cutting guides for the surgery with the use of the commercial software Fusion 360.
It is also important to mention the works of which this study is the development; specifically, in “New Methodology for Diagnosis of Orthopedic Diseases through Additive Manufacturing Models” [21], a fast development of an additive manufactured bone model, converted from CAT data, through the use of free open-source software, is exposed. This research has been supported using this method in two other studies performed by Frizziero et al. (2020) [22] and Napolitano et al. (2020) [23]. To finish, in “Paediatric orthopaedic surgery with 3D printing: Improvements and cost reduction”, there is presented a novel algorithm for diagnosis and treatment of rigid flatfoot through 3D printing [24].
2. Materials and Methods
2.1. Tools
The software used in the procedure is described in Table 1; to obtain a three-dimensional object that faithfully represents the anatomical part examined, starting from a CT scan. The focus is almost entirely on the choice of open-source programs to minimize simulation costs. The only program that needs a license is Creo Parametric, and this is also available through academic license and, additionally, full free trial versions are available; it thus achieves a user-friendly and easily reproducible computer process on a personal computer.
Table 1.
Software used.
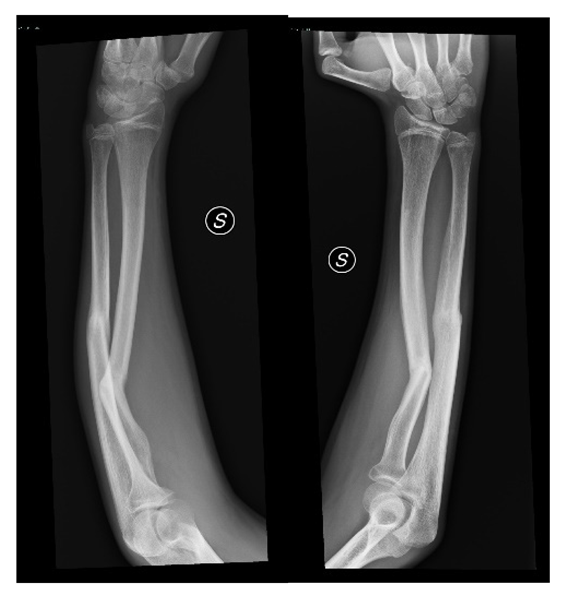
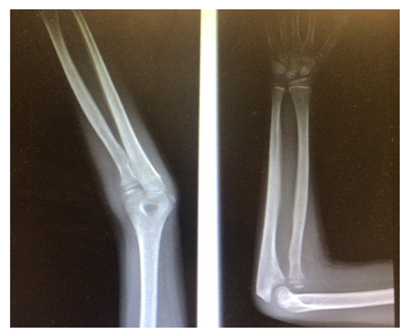
2.2. Case Studies
Seven different cases are reported in this study to verify the effectiveness of the CASS methodology and to identify any criticalities deriving from the great cases of pathology in the orthopedic field (Table 2). For all patients, the processing starts from a computerized tomography examination to obtain an optimized 3D model of the examined anatomy and, finally, the simulation of the surgery on CREO.
Table 2.
Report of the examined pathologies.
2.3. The Process
The simulation procedure is presented below for the case of the Monteggia lesion, modeling on Creo accordingly as required for each surgical procedure. The aim of this work is in fact to present a methodology adaptable to the totality of cases in orthopedics, and does not deal with specific operator pathways.
The first step concerns the conversion of tomographic images into a three-dimensional model. As mentioned, the images deduced from the CT are not always appropriately clear to allow the medical specialist to develop in detail the procedure to be performed before the operation, so the process is divided into three main phases in order to emphasize the exact region and create the 3D model, removing unnecessary anatomical parts. Computed tomography is converted to standard triangulation language (STL) to represent the examined anatomy in three dimensions, but the model is too heavy, computationally speaking, and is marked by a dense structure that must be optimized. To do that, MeshLab is used for the elimination of the inner material of no interest and the overlapped geometries, and MeshMixer for external surface and file format correction. The steps of this first part of the workflow are summarized below (in order: Figure 1 is the importation in InVesalius of the CT exam, Figure 2 is the processing to optimize the 3D surface obtained and Figure 3 is the correction of mesh errors.
Figure 1.
Computed Tomography and TC display on InVesalius.
Figure 2.
Removal of inner geometries.
Figure 3.
Detection of surface defects and Optimized three-dimensional models.
A detailed description of this initial procedure can be found in other research works prior this one [21,24], which allowed us in this study to describe the simulation procedure through the parametric mechanical modeling software (CREO), showing its versatility and great freedom of action even in the medical field.
To be able to process the anatomical components on CREO, the import of the STL file from Meshmixer is not enough. This format, in fact, represents an object whose surface has been discretized in triangles and it is not recognized as a real solid used by 3D mechanical modeling programs; CREO is therefore able to open the file but not to process it, if not trivially, providing various views and sections. To make the model a real solid, recognizable by the program, a saving by converting the file into “Shrinkwrap” type is used (Figure 4):
Figure 4.
Save with Shrinkwrap.
It may happen that defects are obtained on the surface that must be corrected before starting the simulation of the actual intervention, which depends on the complexity of the imported geometry.
To remove the errors (Figure 5) it is sufficient to create sketches that exactly trace the geometries in excess; the extrusion control with material removal is then used, eliminating the volume of the extruded solid. This operation serves only to refine the external geometry to perfectly reflect the examined anatomy. Since it is a manual procedure, it can take useful time and it can be omitted if the defects, resulting from the import into CREO, do not affect the sections where osteotomy will be performed (Figure 5 and Figure 6).
Figure 5.
Defects of the file initially imported in Creo.
Figure 6.
Removal of excess geometries; mesh clean from imperfections.
Next, the identification on the surface of the significant points and plans, necessary to give basic constraints, was performed by importing a model external to the program. This assigns it only the three main plans in an automatic way, and it would not be possible to control the handling of the members.
As seen below, to define the references (Figure 7, Figure 8, Figure 9, Figure 10 and Figure 11), complex solids must be approximated to simpler geometries; hence, it will be possible to trace the center planes and points of interest as shown in the figure. Creo allows the selection of each mesh vertex; in this way it can characterize the models in a very precise way and highlight relevant anatomical sections, such as epicondyles or diaphysis axes in long bones.
Figure 7.
Starting model for CREO simulation.
Figure 8.
Construction of a plan for cutting the model. The generation of cutting planes must reflect the inclination indicated by the surgeon and will vary from case to case; the main aspect is to build planes that intersect only the part of mesh on which you want to create the section.
Figure 9.
View of the sectioned model (in red, the planes used to modify the model and prepare it for the simulation).
Figure 10.
Removal of a relative part by extrusion control.
Figure 11.
Generation of the axis through the commands in the references section. This is one of the categories present in the top bar of the main screen program; there are several tools for the generation of plane geometries which help as the basis for solid modeling.
After the definition of the various groups and the useful sections, it was possible to handle the members in the working environment assembly: this is a field of the program that allows you to import already finished models, impose relative or absolute constraints on them, in relation to a common reference system, and realize complex assemblies. The software, to establish the links between the geometries, needs exact references that must be defined in the models before opening in assembly. These must be chosen on a case-by-case basis since, depending on the operation to be carried out, different input data will be needed and further information for output will be required as well.
It is important to remember that the features just described (Figure 12, Figure 13 and Figure 14) are only those functional for the simulation of this pathology. The software makes available many other tools that have been used in the processing of the other cases and that will be illustrated in the results chapter.
Figure 12.
(a) View perpendicular to the section built with the related middle planes; (b) perspective view of the same anatomical portion.
Figure 13.
Manual handling of the groups made on Creo through the specific arrows: with this command exact positioning cannot be obtained but it is very convenient to carry out initial evaluations.
Figure 14.
Imposition of the automatic constraints available on Creo to precisely define the reciprocal positions of the elements. In the figure a constraint of planar coincidence and one of coincidence between two axes previously drawn are activated.
2.4. Data Collection
A key aspect of this approach is the way anatomical data are collected in the various steps. Obviously, it is necessary that the initial examination, the CT, is carried out with a good quality to provide a faithful representation of the patient; the latest generation equipment ensure acquisition of up to 640 layers at the same time (TCSM), allowing, with post-processing analysis, to provide images, both multiplanar and three-dimensional, of the anatomical portion examined. A summary of which is found in Table 3.
Table 3.
Data acquisition systems.
With the use of InVealius, a transition from the two-dimensional sections of the anatomical component examined to the actual 3D model was possible. At this stage it is necessary to pay close attention to the density range that you want to export as this affects the accuracy of the three-dimensional surface. Specifically, for young patients, where the bone is not yet perfectly formed, or for pathologies that alter the normal bone composition, it will be necessary to operate manually to highlight the regions of interest. During component optimization, care should be taken not to erase portions of interest, especially when using automatic filters that may incorrectly select surfaces useful for simulation. MeshLab works through the ambient occlusion filter to select and delete only material within the surface, simplifying geometry and making the 3D simulation phase faster and more effective. In the processing of the outer surface by MeshMixer, a compromise must be reached between fidelity to the starting model and the necessary finishing; for the surgeon it will not be useful to have the exact surface conformation of the bone, but rather that the overall geometry remains faithful to the real one. To finish, while using the Shrinkwrap command, it is recommended to set the maximum quality level in the appropriate window to avoid a not negligible alteration of the geometry of the component.
3. Results
The CASS process was achieved agreeing to the surgeons’ likings and experiences; thus, patients were not consecutive and the study was not randomized. Parents and carers provided authorization for the study. The methodology described and illustrated by the example of a Monteggia lesion has been applied to all the cases reported in Table 4. This resulted in seven different assembly files on CREO, each one representing the phases of the respective surgery. Applying simulation to more than one pathology, involving different body segments, has enabled its effectiveness to be verified and the problems to be solved or improved. Some of the cases have already been operated and the surgeons of Rizzoli were very satisfied with the results obtained in the pre-operative planning phase, finding a considerable reduction in risks and timing during the operating phase.
Table 4.
Achievements.
4. Discussion
The simulation results in a three-dimensional model presenting the anatomical group after the operation (Scheme 1). On it can be detected all the necessary measures in the pre-operative planning phase and the program also allows saving the file in many different types of formats so that it is exportable to other software and not viewable only by CAD.
Scheme 1.
Strengths of models made during simulation.
The literature has documented the error that is made by carrying out this type of measurement on two-dimensional images, an extremely limiting procedure that easily provides inaccurate results. It is therefore necessary to obtain these quantities with the maximum possible accuracy, since a difference of a few degrees of correction determines appreciable variations in the performance of the intervention [32].
The following graph summarizes the strengths of the various results obtained, also focusing on how these help the surgeon in obtaining informed consent from patients, a fundamental element in clinical treatment and one that causes more and more problems given the increasing complexity of the interventions [2]. Finally, the ability of each model to produce subsequent developments, such as 3D printing or cutting guides, is presented.
Being able to rely on these tools leads to an improvement in the clinical outcome, lower risks for the patient and reduced post-operative recovery times; the R.X. exam is not performed, with a consequent decrease in the patient’s exposure time to X-rays, plus, the reduction in the timing of the intervention allows a lower anesthetic dose for the patient. This method is particularly advantageous because it allows surgeons to evaluate, before surgery even, which surgical accessories are best suited to the specific anatomical geometry, as shown in the case of femur afflicted with Ollier syndrome. The dimensions of screws, plates and other surgical supports are defined in the catalog and, following the traditional practice, the surgical room must be equipped with a wide variety of tools to be able to meet any need; to be able to decide in advance the dimensions of the screws that realize the desired support allows even more reductions in the times and the risks associated with the intervention, as well as to greatly limit the dimensions in the operating room.
Coordination between the doctor and the mechanical engineer is a fundamental aspect of the research and can be a weak spot; to prevent discrepancies in the reproduced bone with the actual anatomy and for the success of the prototype proper collaboration is needed. A perfect way would be to commend the completion of the model to professionals that are well-versed in both the medical and engineering fields but, to do that, specific training is necessary to develop new skills. Without th or specific software and hardware, there is the threat of inaccurate implementation, consequently leading to higher costs and an extended schedule [21].
Three-dimensional models, specific to each patient, can be used during instruction and preparatory discussions on surgical strategies. These representations can be useful for doctors to better understand the musculoskeletal pathology but also to be able to explain the surgery more clearly to patients. It is also possible to reduce the area of skeletonization of the patient, limiting the invasiveness of the surgery, allowing surgeons to deal with complex operations with maximum knowledge of the anatomy of patients. The realization of anatomical models allows us to better convey the description of surgical procedures chosen for patients, breaking down cultural barriers between these and the health staff with an increased confidence in the surgical team. In fact, models of anatomical parts subject to injury have been used to improve understanding by the patients themselves with complex pathologies, who will thus be able to personally follow the future operation, in all its stages. CAD files, which preserve pathologies and their interventional solutions, can also be catalogued and ordered to be re-used as educational tools for doctors and medical students. It is clear that this process facilitates practical learning for surgeons in particular by providing them with extensive documentation for both preparation and control, enabling them to fully customize procedure steps and required tooling by means of using the same software tools selected in this study.
5. Conclusions
The surgeons voiced their praise, giving positive feedback on the advantages that this technology can offer, especially in the preoperative diagnosis phase. Still, it is important to call to mind that that this type of research currently centers on a very small number of patients and the exercises of the proposed methodology are still few. This study aims to encourage the widespread application of this technological innovation in routine clinical practice. Indeed, there are great opportunities for future developments:
- Custom Cutting GuidesThe cutting guides are aid tools used during surgery that guide the blade in the intervention on the bone. Generally, the masks are made of a material that can adapt to the shape of the anatomical component, with special carvings for the points of intervention; having at your disposal the reconstruction of the bone, instead, you can generate a personalized object that follows the patient’s anatomy, therefore being more precise and accurate. The realization of the template would start from the negative of the three-dimensional component; thanks to the planes, the axes and, in general, the geometries defined for the simulation, you would already have all the necessary references to modeling. Having the exact anatomy of the anatomical component, it is also possible to establish more effectively the securing points for the guides so that they have a better grip on the bone but at the same time do not harm it.
- Augmented RealityThe offered technique is flawlessly suited for displaying the model in augmented reality. For now, it would be possible to make detailed presentations by placing the anatomical components into virtual environments, but, progressing in this direction, a system could be developed to overlap the virtual reconstruction of bones or other tissues directly on the patient to facilitate both the diagnosis phase and the explanation of the intervention [33].
Author Contributions
Conceptualization, L.F.; methodology, C.P.; software, A.L.; formal analysis, C.L.-C.; investigation, G.D. and G.M.S.; resources, G.T., P.Z., G.L.D.G., S.S. (Stefano Stilli) and S.S. (Stefano Stallone); data curation, C.P., P.P. and F.N.; writing—original draft preparation, C.P.; writing—review and editing, C.P. and C.L.-C.; supervision, L.F. All authors have read and agreed to the published version of the manuscript.
Funding
This research received no external funding.
Institutional Review Board Statement
Not applicable.
Informed Consent Statement
Not applicable.
Data Availability Statement
Not applicable.
Conflicts of Interest
The authors declare no conflict of interest.
References
- Badash, I.; Burtt, K.; Solorzano, C.A.; Carey, J.N. Innovations in surgery simulation: A review of past, current and future techniques. Ann. Transl. Med. 2016, 4, 1–10. [Google Scholar] [CrossRef]
- Michalski, A.; Stopa, M.; Miśkowiak, B. Use of multimedia technology in the doctor- patient relationship for obtaining patient informed consent. Med. Sci. Monit. 2016, 22, 3994–3999. [Google Scholar] [CrossRef]
- O’Toole, R.V.; Jaramaz, B.; DiGioia, A.M.; Visnic, C.D.; Reid, R.H. Biomechanics for preoperative planning and surgical simulations in orthopaedics. Comput. Biol. Med. 1995, 25. [Google Scholar] [CrossRef]
- Mediouni, M.; Volosnikov, A. The trends and challenges in orthopaedic simulation. J. Orthop. 2015, 12, 253–259. [Google Scholar] [CrossRef] [PubMed]
- Li, B.; Zhang, L.; Sun, H.; Yuan, J.; Shen, S.G.F.; Wang, X. A novel method of computer aided orthognathic surgery using individual CAD/CAM templates: A combination of osteotomy and repositioning guides. Br. J. Oral Maxillofac. Surg. 2013, 51, e239–e244. [Google Scholar] [CrossRef] [PubMed]
- Cevidanes, L.H.C.; Tucker, S.; Styner, M.; Kim, H.; Chapuis, J.; Reyes, M.; Proffit, W.; Turvey, T.; Jaskolka, M. Three-dimensional surgical simulation. Am. J. Orthod. Dentofac. Orthop. 2010, 138, 361–371. [Google Scholar] [CrossRef]
- Gateno, J.; Xia, J.J.; Teichgraeber, J.F.; Christensen, A.M.; Lemoine, J.J.; Liebschner, M.A.K.; Gliddon, M.J.; Briggs, M.E. Clinical Feasibility of Computer-Aided Surgical Simulation (CASS) in the Treatment of Complex Cranio-Maxillofacial Deformities. J. Oral Maxillofac. Surg. 2007, 65, 728–734. [Google Scholar] [CrossRef] [PubMed]
- Aboul-Hosn Centenero, S.; Hernández-Alfaro, F. 3D planning in orthognathic surgery: CAD/CAM surgical splints and prediction of the soft and hard tissues results—Our experience in 16 cases. J. Cranio-Maxillofac. Surg. 2012, 40, 162–168. [Google Scholar] [CrossRef]
- Hsu, S.S.P.; Gateno, J.; Bell, R.B.; Hirsch, D.L.; Markiewicz, M.R.; Teichgraeber, J.F.; Zhou, X.; Xia, J.J. Accuracy of a computer-aided surgical simulation protocol for orthognathic surgery: A prospective multicenter study. J. Oral Maxillofac. Surg. 2013, 71, 128–142. [Google Scholar] [CrossRef]
- Dutta, S.; Gaba, D.; Krummel, T. To simulate or not to simulate. Ann. Surg. 2006, 243, 301–303. [Google Scholar] [CrossRef]
- Jiang, H.; Li, M.; Wu, Y. Application of computer simulation in the treatment of traumatic cubitus varus deformity in children. Medicine 2019, 98, e13882. [Google Scholar] [CrossRef] [PubMed]
- Sariali, E.; Mauprivez, R.; Khiami, F.; Pascal-Mousselard, H.; Catonné, Y. Accuracy of the preoperative planning for cementless total hip arthroplasty. A randomised comparison between three-dimensional computerised planning and conventional templating. Orthop. Traumatol. Surg. Res. 2012, 98, 151–158. [Google Scholar] [CrossRef]
- Wong, K.C.; Kumta, S.M.; Leung, K.S.; Ng, K.W.; Ng, E.W.K.; Lee, K.S. Integration of CAD/CAM planning into computer assisted orthopaedic surgery. Comput. Aided Surg. 2010, 15, 65–74. [Google Scholar] [CrossRef] [PubMed]
- Wong, K.W.; Da Wu, C.; Chien, C.S.; Lee, C.W.; Yang, T.H.; Lin, C.L. Patient-specific 3-dimensional printing titanium implant biomechanical evaluation for complex distal femoral open fracture reconstruction with segmental large bone defect: A nonlinear finite element analysis. Appl. Sci. 2020, 10, 4098. [Google Scholar] [CrossRef]
- Milojevic, Z.; Navalušic, S.; Obradovic, R.; Milankov, M.; Viorel Dragoi, M.; Beju, L. System for 3d approximate model generation of the femur and screw built into human knee. Acad. J. Manuf. Eng. 2010, 8, 73–78. [Google Scholar]
- Helguero, C.G.; Kao, I.; Komatsu, D.E.; Shaikh, S.; Hansen, D.; Franco, J.; Khan, F. Improving the accuracy of wide resection of bone tumors and enhancing implant fit: A cadaveric study. J. Orthop. 2015, 12, S188–S194. [Google Scholar] [CrossRef] [PubMed]
- Wong, K.C.; Kumta, S.M.; Sze, K.Y.; Wong, C.M. Use of a patient-specific CAD/CAM surgical jig in extremity bone tumor resection and custom prosthetic reconstruction. Comput. Aided Surg. 2012, 17, 284–293. [Google Scholar] [CrossRef]
- Perica, E.; Sun, Z. Patient-specific three-dimensional printing for pre-surgical planning in hepatocellular carcinoma treatment. Quant. Imaging Med. Surg. 2017, 7, 668–677. [Google Scholar] [CrossRef]
- Cofaru, N.F.; Cofaru, I.I.; Oleksik, V.; Pascu, A.; Dragoi, M.V. Modular device used in the surgery of the human tibia. IOP Conf. Ser. Mater. Sci. Eng. 2018, 393. [Google Scholar] [CrossRef]
- Gómez-Palomo, J.M.; Meschian-Coretti, S.; Esteban-Castillo, J.L.; García-Vera, J.J.; Montañez-Heredia, E. Double Level Osteotomy Assisted by 3D Printing Technology in a Patient with Blount Disease: A Case Report. JBJS Case Connect 2020, 10, e0477. [Google Scholar] [CrossRef] [PubMed]
- Frizziero, L.; Liverani, A.; Donnici, G.; Osti, F.; Neri, M.; Maredi, E.; Trisolino, G.; Stilli, S. New methodology for diagnosis of orthopedic diseases through additive manufacturing models. Symmetry 2019, 11, 542. [Google Scholar] [CrossRef]
- Frizziero, F.N.L.; Donnici, G.; Liverani, A.; Santi, G.; Neri, M.; Papaleo, P. Description of the CAD-AM Process for 3D Bone Printing: The Case Study of a Femur. In Proceedings of the 5th NA International Conference on Industrial Engineering and Operations, Detroit, MI, USA, 10–14 August 2020. [Google Scholar]
- Napolitano, F.; Frizziero, L.; Santi, G.M.; Donnici, G.; Liverani, A.; Papaleo, P.; Giuseppetti, V. Description of the cad-am process for 3d bone printing: The case study of a flat foot. In Proceedings of the 5th NA International Conference on Industrial Engineering and Operations, Detroit, MI, USA, 10–14 August 2020; pp. 2258–2266. [Google Scholar]
- Frizziero, L.; Santi, G.M.; Liverani, A.; Giuseppetti, V.; Trisolino, G.; Maredi, E.; Stilli, S. Paediatric orthopaedic surgery with 3D printing: Improvements and cost reduction. Symmetry 2019, 11, 1317. [Google Scholar] [CrossRef]
- Bindra, R.R.; Cole, R.J.; Yamaguchi, K.; Evanoff, B.A.; Pilgram, T.K.; Gilula, L.A.; Gelberman, R.H. Quantification of the radial torsion angle with computerized tomography in cadaver specimens. J. Bone Jt. Surg. 1997, 79, 833–837. [Google Scholar] [CrossRef] [PubMed]
- Guzzanti, V. Traumatologia pediatrica. G. Ital. Ortop. Traumatol. 2014, 40, 217–241. [Google Scholar]
- Varismo. Available online: https://www.my-personaltrainer.it/salute/varismo.html#:~:text=Il%20cubito%20varo%20%C3%A8%20la,di%2015%20gradi%20o%20superiore (accessed on 1 December 2020).
- Di Gennaro, G.L. Available online: https://digennaro.ortopediatra.it/ginocchio-varo/ (accessed on 13 December 2020).
- Beals, R.K. Coxa vara in childhood: Evaluation and management. J. Am. Acad. Orthop. Surg. 1998. [Google Scholar] [CrossRef] [PubMed]
- N.O. for R.D. (NORD). Available online: https://rarediseases.org/rare-diseases/ollier-disease/ (accessed on 10 January 2021).
- NuVasive. Implant and Product Offering Guide; NuVasive, Inc.: San Diego, CA, USA, 2020. [Google Scholar]
- Nam, D.; Williams, B.; Hirsh, J.; Johnson, S.R.; Nunley, R.M.; Barrack, R.L. Planned Bone Resections Using an MRI-Based Custom Cutting Guide System Versus 3-Dimensional, Weight-Bearing Images in Total Knee Arthroplasty. J. Arthroplast. 2015, 30, 567–572. [Google Scholar] [CrossRef]
- Caligiana, P.; Liverani, A.; Ceruti, A.; Santi, G.M.; Donnici, G.; Osti, F. An Interactive Real-Time Cutting Technique for 3D Models in Mixed Reality. Technologies 2020, 8, 23. [Google Scholar] [CrossRef]
Publisher’s Note: MDPI stays neutral with regard to jurisdictional claims in published maps and institutional affiliations. |
© 2021 by the authors. Licensee MDPI, Basel, Switzerland. This article is an open access article distributed under the terms and conditions of the Creative Commons Attribution (CC BY) license (https://creativecommons.org/licenses/by/4.0/).



































