Chaotic Compressive Spectrum Sensing Based on Chebyshev Map for Cognitive Radio Networks
Abstract
1. Introduction
- Review of the compressive sensing theory;
- Review of the cooperative spectrum sensing theory;
- Analysis of Chebyshev sensing matrix;
- Mathematical model of the Bayesian recovery;
- Performance Evaluation of the proposed technique based on different metrics;
- Comparison between Chebyshev matrix and logistic, quadratic, and random matrices.
2. Literature Review
2.1. Compressive Sensing Model
2.2. Cooperative Spectrum Sensing Model
xi(n) = s(n) + wi(n) H1: PU is present
if T < Λ, H0: PU is absent
- The cooperative probability of detection (Cd) is defined as follows:
- The cooperative probability of false alarm (Cfa) is defined as follows:
- The cooperative probability of miss detection (Cmd) is defined as follows:
3. Methodology
3.1. Sub-Nyquist Sampling Based on Chebyshev Sensing Matrix
3.2. Bayesian Recovery via Laplace Prior
3.3. Spectrum Detection and Sensing Decision
xr(n) = s(n) + w(n) H1: PU is present
if TED < Λ, H0: PU is absent
| Algorithm 1 Chaotic compressive spectrum sensing |
| Input: Signal length N Number of compressive measurements M Sparsity level K Noise variance δw Signal-to-noise ratio SNR Energy detection threshold Λ |
| Output: Sensing decision H0/H1 |
| Step 1: Define the received signal x -Generate the sparse signal PU: s -Add the channel noise: x = + sδw Step 2: Construct the Chebyshev sensing matrix C -Initial value: V0 -Bifurcation parameter: r -Sampling distance: d -The Chebyshev sequence: Vn+1 = cos (r cos−1 (Vn)) -The regularization of V (h, d, V0): Ch = V1000+hd -Construction of the matrix C: C1 (Vn, M, N) -Normalization of the matrix C: C = C1 Step 3: Generate the noisy compressive measurements: y = Cx + e Step 4: Solve by Bayesian recovery algorithm: xr = argmin Step 5: Perform spectrum detection -Calculate the energy of xr: TED = xr(n)2 -Make the final decision: if TED ≥ Λ, H1: PU is present if TED < Λ, H0: PU is absent |
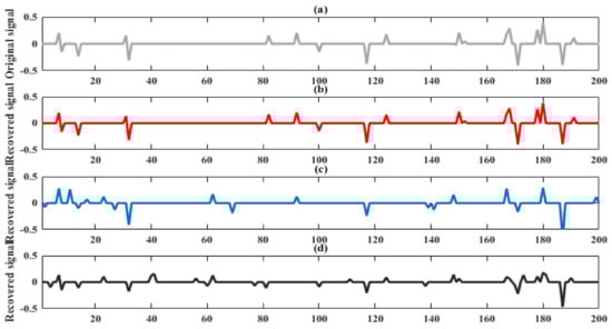
4. Simulation Results
5. Conclusions
Author Contributions
Funding
Institutional Review Board Statement
Informed Consent Statement
Data Availability Statement
Conflicts of Interest
References
- Ridouani, M.; Hayar, A.; Haqiq, A. Relaxed constraint at cognitive relay network under both the outage probability of the primary system and the interference constrain. In Proceedings of the IEEE European Conference on Networks and Communications, London, UK, 8–12 June 2015; pp. 1–6. [Google Scholar]
- Elrhareg, H.; Ridouani, M.; Hayar, A. Routing Protocols on Cognitive Radio Networks: Survey. In Proceedings of the IEEE International Smart Cities Conference, Casablanca, Morocco, 14–17 October 2019; pp. 296–302. [Google Scholar] [CrossRef]
- Salahdine, F.; Kaabouch, N.; El Ghazi, H. Techniques for dealing with uncertainty in cognitive radio networks. In Proceedings of the IEEE 7th Annual Computing and Communication Workshop and Conference, Las Vegas, NV, USA, 9–11 January 2017; pp. 1–6. [Google Scholar] [CrossRef]
- Ejaz, W.; Hattab, G.; Cherif, N.; Ibnkahla, M.; Abdelkefi, F.; Siala, M. Cooperative Spectrum Sensing with Heterogeneous Devices: Hard Combining Versus Soft Combining. IEEE Syst. J. 2018, 12, 981–992. [Google Scholar] [CrossRef]
- Ben Halima, N.; Boujemaa, H. Cooperative Spectrum Sensing with Distributed/Centralized Relay Selection. Wirel. Pers. Commun. 2020, 115, 611–632. [Google Scholar] [CrossRef]
- Mengbo, Z.; Lunwen, W.; Yanqing, F. Distributed cooperative spectrum sensing based on reinforcement learning in cognitive radio networks. Int. J. Electron. Commun. 2018, 94, 359–366. [Google Scholar]
- Salahdine, F.; Kaabouch, N. Security threats, detection, and countermeasures for physical layer in cognitive radio networks: A survey. Phys. Commun. 2020, 39, 101001. [Google Scholar] [CrossRef]
- Arabia-Obedoza, M.R.; Rodriguez, G.; Johnston, A.; Salahdine, F.; Kaabouch, N. Social Engineering Attacks A Reconnaissance Synthesis Analysis. In Proceedings of the 11th IEEE Annual Ubiquitous Computing, Electronics and Mobile Communication Conference (UEMCON), New York, NY, USA, 28–31 October 2020; pp. 843–848. [Google Scholar] [CrossRef]
- Benazzouza, S.; Ridouani, M.; Salahdine, F.; Hayar, A. A Survey on Compressive Spectrum Sensing for Cognitive Radio Networks. In Proceedings of the IEEE International Smart Cities Conference (ISC2), Casablanca, Morocco, 14–17 October 2019; pp. 535–541. [Google Scholar] [CrossRef]
- Tian, Z.; Giannakis, G.B. Compressed Sensing for Wideband Cognitive Radios. In Proceedings of the IEEE International Conference on Acoustics, Speech and Signal Processing—ICASSP ’07, Honolulu, HI, USA, 15–20 April 2007; Volume 4, p. IV-1357. [Google Scholar] [CrossRef]
- Tian, Z. Compressed Wideband Sensing in Cooperative Cognitive Radio Networks. In Proceedings of the IEEE GLOBECOM 2008–2008 IEEE Global Telecommunications Conference, New Orleans, LA, USA, 30 November–4 December 2008; pp. 1–5. [Google Scholar] [CrossRef]
- Ridouani, M.; Hayar, A.; Haqiq, A. Continuous transmit in cognitive radio systems: Outage performance of selection decode-and-forward relay networks over Nakagami-m fading channels. EURASIP J. Wirel. Commun. Netw. 2015, 2015, 102. [Google Scholar] [CrossRef][Green Version]
- Ridouani, M.; Hayar, A.; Haqiq, A. Perform sensing and transmission in parallel in cognitive radio systems: Spectrum and energy efficiency. Digit. Signal Process. 2017, 62, 65–80. [Google Scholar] [CrossRef]
- Arjoune, Y.; Kaabouch, N. Wideband Spectrum Sensing: A Bayesian Compressive Sensing Approach. Sensors 2018, 18, 1839. [Google Scholar] [CrossRef]
- Salahdine, F.; El Ghazi, H.; Kaabouch, N.; Fihri, W.F. Matched filter detection with dynamic threshold for cognitive radio networks. In Proceedings of the International Conference on Wireless Networks and Mobile Communications (WINCOM), Marrakech, Morocco, 20–23 October 2015; pp. 1–6. [Google Scholar] [CrossRef]
- Khalfi, B.; Zaid, A.; Hamdaoui, B. When machine learning meets compressive sampling for wideband spectrum sensing. In Proceedings of the 13th International Wireless Communications and Mobile Computing Conference (IWCMC), Valencia, Spain, 26–30 June 2017; pp. 1120–1125. [Google Scholar] [CrossRef]
- El-Khamy, S.E.; El-Mahallawy, M.S.; Youssef, E.-N.S. Improved wideband spectrum sensing techniques using wavelet-based edge detection for cognitive radio. In Proceedings of the International Conference on Computing, Networking and Communications (ICNC), San Diego, CA, USA, 28–31 January 2013; pp. 418–423. [Google Scholar] [CrossRef]
- Hayar, A. Process for Sensing Vacant Bands over the Spectrum Bandwidth and Apparatus for Performing the Same Based on Sub Space and Distributions Analysis. European Patent 08368002.5, 1 February 2008. [Google Scholar]
- Arjoune, Y.; Kaabouch, N.; El ghazi, H.; Tamtaoui, A. A performance comparison of measurement matrices in compressive sensing. Int. J. Commun. Syst. 2018, 31, e3576. [Google Scholar] [CrossRef]
- Thu, L.N.; Shin, Y. Deterministic sensing matrices in compressive sensing: A survey. Sci. World J. 2013. [Google Scholar] [CrossRef]
- Salahdine, F.; Kaabouch, N.; El Ghazi, H. A Bayesian recovery technique with Toeplitz matrix for compressive spectrum sensing in cognitive radio networks. Int. J. Commun. Syst. 2017, 30, e3314. [Google Scholar] [CrossRef]
- Salahdine, F.; Kaabouch, N.; El Ghazi, H. Bayesian compressive sensing with circulant matrix for spectrum sensing in cognitive radio networks. In Proceedings of the IEEE 7th Annual Ubiquitous Computing, Electronics and Mobile Communication Conference (UEMCON), New York, NY, USA, 20–22 October 2016; pp. 1–6. [Google Scholar] [CrossRef]
- Suneel, M. Electronic circuit realization of the logistic map. Sadhana 2006, 31, 69–78. [Google Scholar] [CrossRef]
- Ramadan, N.; Ahmed, H.H.; Elkhamy, S.E.; Abd-El-Samie, F.E. Chaos-based image encryption using an improved quadratic chaotic map. Am. J. Signal Process. 2016, 6, 1–13. [Google Scholar]
- Gan, H.; Li, Z.; Li, J.; Wang, X.; Cheng, Z. Compressive sensing using chaotic sequence based on Chebyshev map. Nonlinear Dyn. 2014, 78, 2429–2438. [Google Scholar] [CrossRef]
- Li, C.; Luo, G.; Qin, K.; Li, C. An image encryption scheme based on chaotic tent map. Nonlinear Dyn. 2017, 87, 127–133. [Google Scholar] [CrossRef]
- Rani, M.; Dhok, S.B.; Deshmukh, R.B. A Systematic Review of Compressive Sensing: Concepts, Implementations and Applications. IEEE Access 2018, 6, 4875–4894. [Google Scholar] [CrossRef]
- Salahdine, F.; Kaabouch, N.; El Ghazi, H. A survey on compressive sensing techniques for cognitive radio networks. Phys. Commun. 2016, 20, 61–73. [Google Scholar] [CrossRef]
- Gao, Y.; Chen, Y.; Ma, Y. Sparse-Bayesian-Learning-Based Wideband Spectrum Sensing with Simplified Modulated Wideband Converter. IEEE Access 2018, 6, 6058–6070. [Google Scholar] [CrossRef]
- Yu, L.; Barbot, J.P.; Zheng, G.; Sun, H. Compressive Sensing with Chaotic Sequence. IEEE Signal Process. Lett. 2010, 17, 731–734. [Google Scholar] [CrossRef]
- Kafedziski, V.; Stojanovski, T. Compressive sampling with chaotic dynamical systems. In Proceedings of the 19thTelecommunications Forum (TELFOR), Belgrade, Serbia, 22–24 November 2011; pp. 695–698. [Google Scholar]
- Gan, H.; Xiao, S.; Zhao, Y. A large class of chaotic sensing matrices for compressed sensing. Signal Process. 2018, 149, 193–203. [Google Scholar] [CrossRef]
- Gan, H.; Xiao, S.; Zhang, Z.; Shan, S.; Gao, Y. Chaotic Compressive Sampling Matrix: Where Sensing Architecture Meets Sinusoidal Iterator. Circuits Syst. Signal Process. 2019, 39, 1581–1602. [Google Scholar] [CrossRef]
- Zeng, L.; Zhang, X.; Chen, L.; Cao, T.; Yang, J. Deterministic Construction of Toeplitzed Structurally Chaotic Matrix for Compressed Sensing. Circuits Syst. Signal Process. 2015, 34, 797–813. [Google Scholar] [CrossRef]
- Yao, S.; Wang, T.; Shen, W.; Shaoming, P.; Chong, Y. Research of incoherence rotated chaotic measurement matrix in compressed sensing. Multimed. Tools Appl. 2015, 76, 17699–17717. [Google Scholar] [CrossRef]
- Gan, H.; Xiao, S.; Zhao, Y.; Xue, X. Construction of efficient and structural chaotic sensing matrix for compressive sensing. Signal Process. Image Commun. 2018, 68, 129–137. [Google Scholar] [CrossRef]
- Kamel, S.H.; Abd-El-Malek, M.B.; El-Khamy, S.E. Compressive spectrum sensing using chaotic matrices for cognitive radio networks. Int. J. Commun. Syst. 2019, 32, e3899. [Google Scholar] [CrossRef]
- Linh-Trung, N.; Minh-Chinh, T.; Tran-Duc, T.; Le, H.V.; Do, M.N. Chaotic Compressed Sensing and Its Application to Magnetic Resonance Imaging. REV J. Electron. Commun. 2014, 3, 84–92. [Google Scholar] [CrossRef]
- Peng, H.; Tian, Y.; Kurths, J.; Li, L.; Yang, Y.; Wang, D. Secure and Energy-Efficient Data Transmission System Based on Chaotic Compressive Sensing in Body-to-Body Networks. IEEE Trans. Biomed. Circuits Syst. 2017, 11, 558–573. [Google Scholar] [CrossRef] [PubMed]
- Xie, D.; Peng, H.; Li, L.; Yang, Y. An efficient privacy-preserving scheme for secure network coding based on compressed sensing. AEU Int. J. Electron. Commun. 2017, 79, 33–42. [Google Scholar] [CrossRef]
- Li, X.; Wang, C.; Yang, Z.; Yan, L.; Han, S. Energy-efficient and secure transmission scheme based on chaotic compressive sensing in underwater wireless sensor networks. Digit. Signal Process. 2018, 81, 129–137. [Google Scholar] [CrossRef]
- Qaisar, S.; Bilal, R.M.; Iqbal, W.; Naureen, M.; Lee, S. Compressive sensing: From theory to applications, a survey. J. Commun. Netw. 2013, 15, 443–456. [Google Scholar] [CrossRef]
- Qin, Z.; Gao, Y.; Plumbley, M.D.; Parini, C.G. Wideband Spectrum Sensing on Real-Time Signals at Sub-Nyquist Sampling Rates in Single and Cooperative Multiple Nodes. IEEE Trans. Signal Process. 2016, 64, 3106–3117. [Google Scholar] [CrossRef]
- Aziz, A.; Singh, K.; Osamy, W.; Khedr, A.M. An Efficient Compressive Sensing Routing Scheme for Internet of Things Based Wireless Sensor Networks. Wirel. Pers. Commun. 2020, 114, 1905–1925. [Google Scholar] [CrossRef]
- Fardad, M.; Sayedi, S.M.; Yazdian, E. A Low-Complexity Hardware for Deterministic Compressive Sensing Reconstruction. IEEE Trans. Circuits Syst. I Regul. Pap. 2018, 65, 3349–3361. [Google Scholar] [CrossRef]
- Salahdine, F.; Kaabouch, N.; El Ghazi, H. One-bit compressive sensing vs. multi-bit compressive sensing for cognitive radio networks. In Proceedings of the IEEE International Conference on Industrial Technology (ICIT), Lyon, France, 20–22 February 2018; pp. 1610–1615. [Google Scholar] [CrossRef]
- Han-Fei, Z.; Lei, H.; Jian, L. Compressive sampling for spectrally sparse signal recovery via one-bit random demodulator. Digit. Sig. Process. 2018, 81, 1–7. [Google Scholar]
- Baraniuk, R.G.; Davenport, M.A.; Devore, R.A.; Wakin, M.B. A Simple Proof of the Restricted Isometry Property for Random Matrices. Constr. Approx. 2008, 28, 253–263. [Google Scholar] [CrossRef]
- Taghouti, M. Compressed sensing. In Computing in Communication Networks; Fitzek, F.H.P., Granelli, F., Seeling, P., Eds.; Academic Press: London, UK; San Diego, CA, USA; Cambridge, MA, USA; Oxford, UK, 2020; pp. 197–215. [Google Scholar]
- Eftekhari, A.; Yap, H.L.; Rozell, C.J.; Wakin, M.B. The restricted isometry property for random block diagonal matrices. Appl. Comput. Harmon. Anal. 2015, 38, 1–31. [Google Scholar] [CrossRef]
- Sharon, Y.; Wright, J.; Ma, Y. Computation and relaxation of conditions for equivalence between l1 and l0 minimization. IEEE Trans. Info. Theory 2008, 5. Available online: http://people.eecs.berkeley.edu/~yima/psfile/Equivalence-L1L0.pdf (accessed on 3 January 2021).
- Ridouani, M.; Hayar, A.; Haqiq, A. A novel power control based on a relaxed constraint in cognitive system. Trans. Emerg. Telecommun. Technol. 2016, 27, 745–758. [Google Scholar] [CrossRef]
- Salahdine, F.; Ghribi, N.K.E.; Kaabouch, N. A Cooperative Spectrum Sensing Scheme Based on Compressive Sensing for Cognitive Radio Networks. Int. J. Digit. Inf. Wirel. Commun. 2019, 9, 124–136. [Google Scholar] [CrossRef]
- Geisel, T.; Fairén, V. Statistical properties of chaos in Chebyshev maps. Phys. Lett. A 1984, 105, 263–266. [Google Scholar] [CrossRef]
- Babacan, S.D.; Molina, R.; Katsaggelos, A.K. Bayesian Compressive Sensing Using Laplace Priors. IEEE Trans. Image Process. 2010, 19, 53–63. [Google Scholar] [CrossRef]
- Manesh, M.; Apu, S.; Kaabouch, N.; Hu, W. Performance evaluation of spectrum sensing techniques for cognitive radio sys-tems. In Proceedings of the IEEE Ubiquitous Computing, Electronics and Mobile Communications Conference, New York, NY, USA, 20–22 October 2016; pp. 1–6. [Google Scholar]
- Benazzouza, S.; Ridouani, M.; Salahdine, F.; Hayar, A. A Secure Bayesian Compressive Spectrum Sensing Technique Based Chaotic Matrix for Cognitive Radio Networks. In Proceedings of the IEEE International Conference on Information Assurance and Security (IAS 2020), 15–18 December 2020; Available online: https://www.researchgate.net/publication/346572030_A_Secure_Bayesian_Compressive_Spectrum_Sensing_Technique_Based_Chaotic_Matrix_for_Cognitive_Radio_Networks (accessed on 3 January 2021).
- Abdessamad, E.; Saadane, R.; El Aroussi, M.; Wahbi, M.; Hamdoun, A. Spectrum sensing with an improved Energy detection. In Proceedings of the International Conference on Multimedia Computing and Systems (ICMCS), Marrakech, Morocco, 14–16 April 2014; pp. 895–900. [Google Scholar] [CrossRef]
- Abo-Zahhad, M.M.; Hussein, A.I.; Mohamed, A.M. Compressive Sensing Algorithms for Signal Processing Applications: A Survey. Int. J. Commun. Netw. Syst. Sci. 2015, 8, 197–216. [Google Scholar]
- Salahdine, F.; Ghribi, E.; Kaabouch, N. Metrics for Evaluating the Efficiency of Compressing Sensing Techniques. In Proceedings of the International Conference on Information Networking (ICOIN), Barcelona, Spain, 7–10 January 2020; pp. 562–567. [Google Scholar] [CrossRef]
















| Evaluation Metrics | Chebyshev with Bayesian | Chebyshev with OMP | Chebyshev with BP |
|---|---|---|---|
| Recovery time (ms) | Fast | Fast | Slow |
| Recovery error | Low | High | Low |
| Complexity | Not complex | Not Complex | Complex |
| Uncertainty | Deal with uncertainty | Uncertain | Uncertain |
| Sensing Matrices | Chebyshev | Logistic | Quadratic | Random |
|---|---|---|---|---|
| Sampling time (ms) | 0.67 | 1.2 | 0.88 | 3.7 |
| Evaluation Metrics | Normal Sensing | Sensing with Chebyshev | Sensing with Logistic | Sensing with Quadratic | Sensing with Random |
|---|---|---|---|---|---|
| Probability of detection SNR = 0 dBP fa = 0.01 | 100% | 92% | 55% | 80% | 80% |
| Recovery error M/N = 50% | No recovery | 0.023 | 0.18 | 0.02 | 0.05 |
| Coherence | No coherence | 0.32 | 0.85 | 0.53 | 0.33 |
| Processing time (ms) | 33 | 24 | 26.3 | 25.4 | 28 |
Publisher’s Note: MDPI stays neutral with regard to jurisdictional claims in published maps and institutional affiliations. |
© 2021 by the authors. Licensee MDPI, Basel, Switzerland. This article is an open access article distributed under the terms and conditions of the Creative Commons Attribution (CC BY) license (http://creativecommons.org/licenses/by/4.0/).
Share and Cite
Benazzouza, S.; Ridouani, M.; Salahdine, F.; Hayar, A. Chaotic Compressive Spectrum Sensing Based on Chebyshev Map for Cognitive Radio Networks. Symmetry 2021, 13, 429. https://doi.org/10.3390/sym13030429
Benazzouza S, Ridouani M, Salahdine F, Hayar A. Chaotic Compressive Spectrum Sensing Based on Chebyshev Map for Cognitive Radio Networks. Symmetry. 2021; 13(3):429. https://doi.org/10.3390/sym13030429
Chicago/Turabian StyleBenazzouza, Salma, Mohammed Ridouani, Fatima Salahdine, and Aawatif Hayar. 2021. "Chaotic Compressive Spectrum Sensing Based on Chebyshev Map for Cognitive Radio Networks" Symmetry 13, no. 3: 429. https://doi.org/10.3390/sym13030429
APA StyleBenazzouza, S., Ridouani, M., Salahdine, F., & Hayar, A. (2021). Chaotic Compressive Spectrum Sensing Based on Chebyshev Map for Cognitive Radio Networks. Symmetry, 13(3), 429. https://doi.org/10.3390/sym13030429

