An Ensemble of Global and Local-Attention Based Convolutional Neural Networks for COVID-19 Diagnosis on Chest X-ray Images
Abstract
1. Introduction
- 1.
- A thorough investigation and mitigation of the incorrect attribution problem in CXR images during the deep learning process through consecutive lung localization and segmentation.
- 2.
- Identification of the best performing model for classifying COVID-19 through a comprehensive examination of multiple deep learning models with various combinations of global and local attention features using the state-of-the-art training technique of deep learning methods.
- 3.
- Presentation of an ensemble of DenseNet161 models coupled with global and local attention-based features for COVID-19 identification in a three-label classification framework.
- 4.
- Evaluation of the performances of deep learning models using state-of-the-art performance measures for multi-label classification problem.
- 5.
- Testing the efficacy of data augmentation and class balancing techniques on the performance of deep learning models.
2. Related Work
3. Materials and Methods
3.1. COVID-19 Diagnosis Dataset
3.2. COVID-19 Diagnosis Using Lung CXR Classification
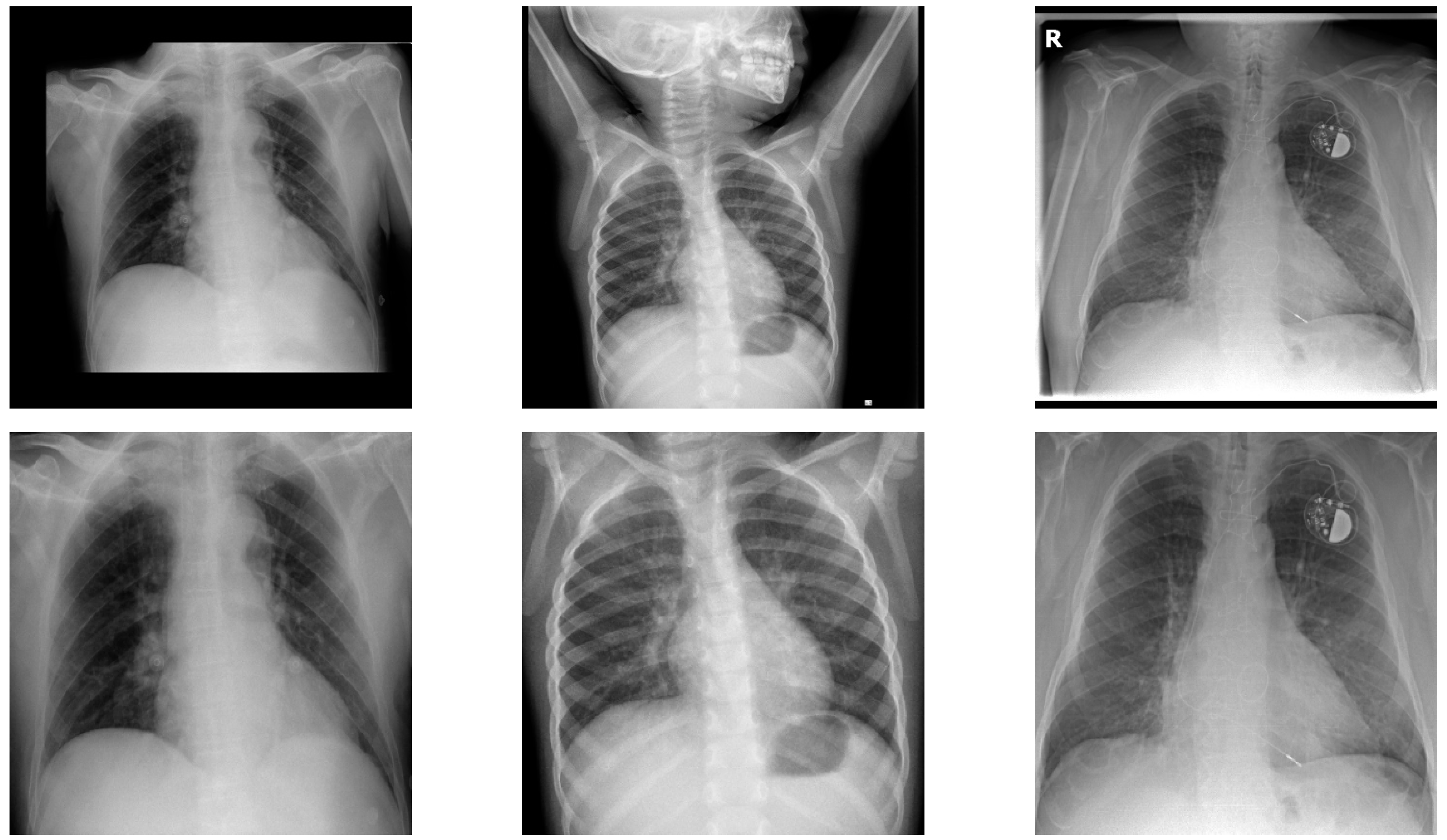
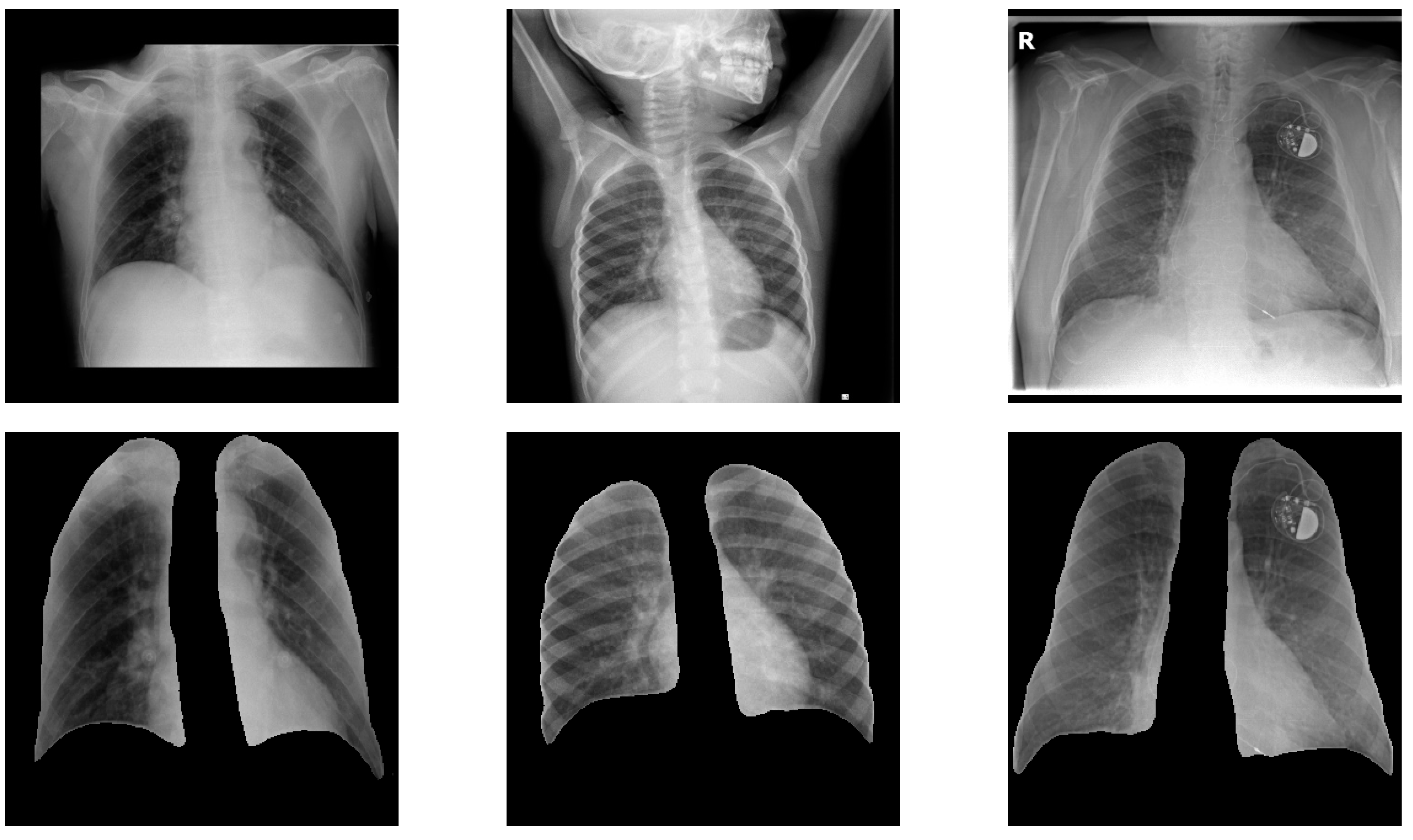
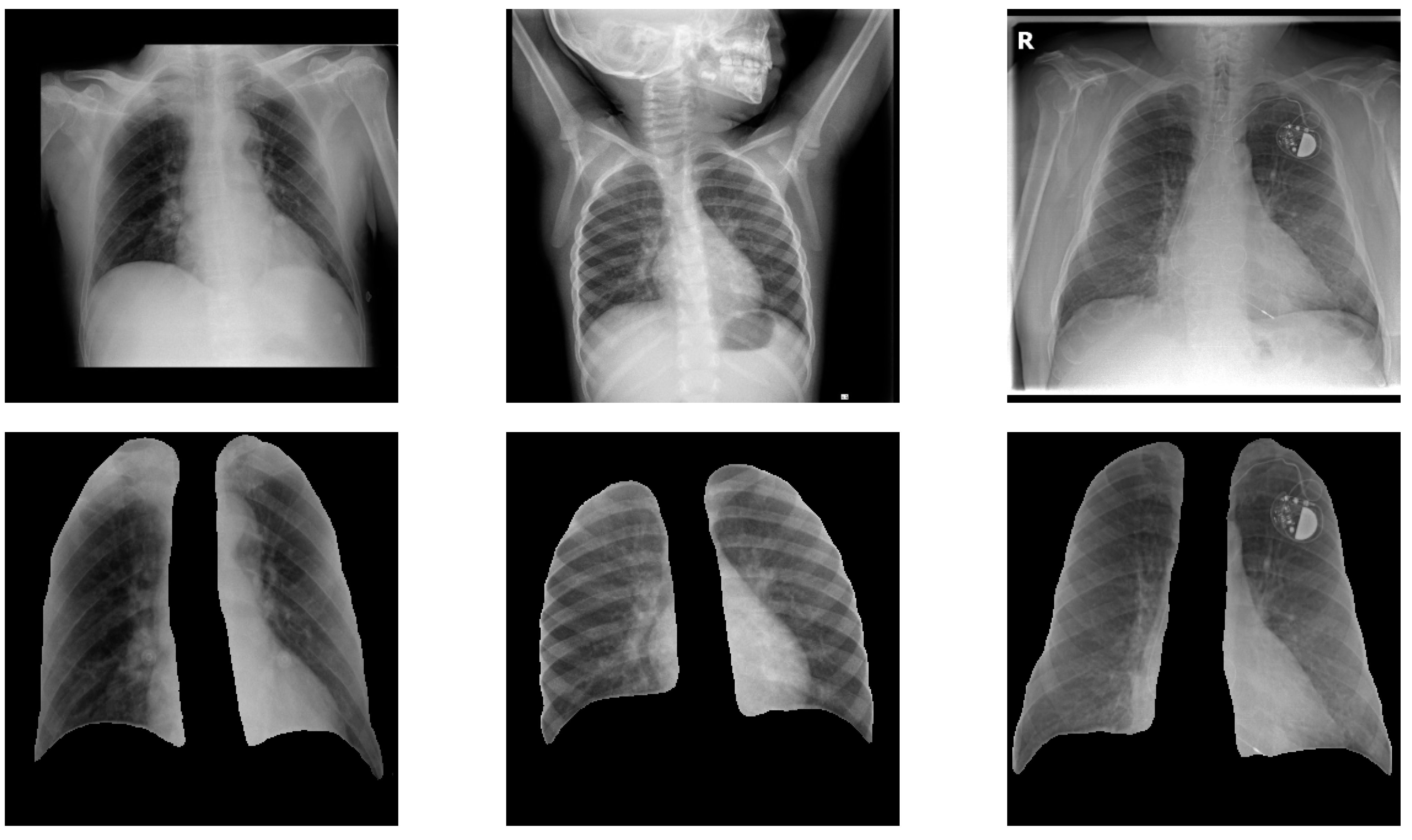
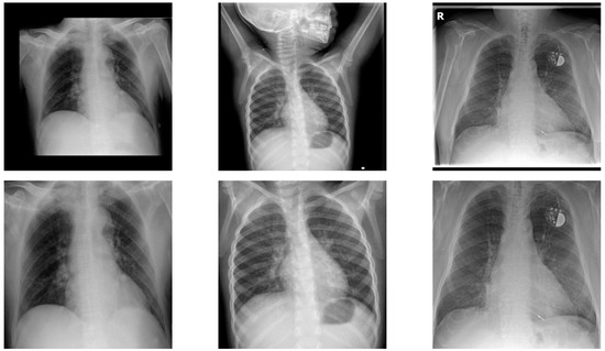
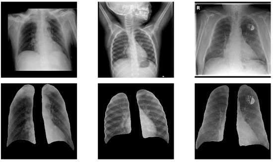
3.2.1. Lung Localization
3.2.2. Lung Segmentation
3.2.3. Multi-Label Lung CXR Classification with Attention-Based Local Features
Deep Residual Learning (ResNet)
Inception V4.0
Densely Connected Convolutional Networks (DenseNet)
Attention-Based Local Feature Extraction
4. Results
5. Discussion
6. Conclusions
Author Contributions
Funding
Institutional Review Board Statement
Informed Consent Statement
Data Availability Statement
Acknowledgments
Conflicts of Interest
References
- WHO Report of the WHO-China Joint Mission on Coronavirus Disease 2019 (COVID-19). World Health Organization (WHO). Available online: https://www.who.int/publications-detail/report-of-the-who-china-joint-mission-on-coronavirus-disease-2019-(covid-19) (accessed on 19 June 2020).
- Coronavirus Update (Live), Worldometer. Available online: https://www.worldometers.info/coronavirus/ (accessed on 19 June 2020).
- He, X.; Lau, E.H.Y.; Wu, P.; Deng, X.; Wang, J.; Hao, X.; Lau, Y.C.; Wong, J.Y.; Guan, Y.; Tan, X.; et al. Temporal dynamics in viral shedding and transmissibility of COVID-19. Nat. Med. 2020, 26, 672. [Google Scholar] [CrossRef] [PubMed]
- COVID-19 Radiology Reference Article, Radiopaedia. Available online: https://radiopaedia.org/articles/covid-19-3 (accessed on 20 June 2020).
- Ai, T.; Yang, Z.; Hou, H.; Zhan, C.; Chen, C.; Lv, W.; Tao, Q.; Sun, Z.; Xia, L. Correlation of Chest CT and RT-PCR Testing for Coronavirus Disease 2019 (COVID-19) in China: A Report of 1014 Cases. Radiology 2020, 296, E32–E40. [Google Scholar] [CrossRef] [PubMed]
- Fang, Y.; Zhang, H.; Xie, J.; Lin, M.; Ying, L.; Pang, P.; Ji, W. Sensitivity of chest CT for COVID-19: Comparison to RT-PCR. Radiology 2020, 296, E115–E117. [Google Scholar] [CrossRef] [PubMed]
- Won, J.; Lee, S.; Park, M.; Kim, T.Y.; Park, M.G.; Choi, B.Y.; Kim, D.; Chang, H.; Kim, V.N.; Lee, C.J. Development of a laboratory-safe and low-cost detection protocol for SARS-CoV-2 of the Coronavirus Disease 2019 (COVID-19). Exp. Neurobiol. 2020, 29, 107. [Google Scholar] [CrossRef] [PubMed]
- Kanne, J. Chest CT findings in 2019 novel coronavirus (2019-NCoV) infections from Wuhan, China: Key points for the radiologist. Radiology 2020, 295, 16–17. [Google Scholar] [CrossRef] [PubMed]
- Bernheim, A.; Mei, X.; Huang, M.; Yang, Y.; Fayad, Z.A.; Zhang, N.; Diao, K.; Lin, B.; Zhu, X.; Li, K.; et al. Chest CT findings in coronavirus disease 2019 (COVID-19): Relationship to duration of infection. Radiology 2020, 295, 685. [Google Scholar] [CrossRef]
- Xie, X.; Zhong, Z.; Zhao, W.; Zheng, C.; Wang, F.; Liu, J. Chest CT for Typical Coronavirus Disease 2019 (COVID-19) Pneumonia: Relationship to Negative RT-PCR Testing. Radiology 2020, 296, E41–E45. [Google Scholar] [CrossRef]
- Rubin, G.D.; Ryerson, C.J.; Haramati, L.B.; Sverzellati, N.; Kanne, J.P.; Raoof, S.; Schluger, N.W.; Volpi, A.; Yim, J.J.; Martin, I.B.K.; et al. The Role of Chest Imaging in Patient Management during the Covid-19 Pandemic: A Multinational Consensus Statement from the Fleischner Society. Radiology 2020, 296, 172–180. [Google Scholar] [CrossRef]
- Rodrigues, J.C.L.; Hare, S.S.; Edey, A.; Devaraj, A.; Jacob, J.; Johnstone, A.; McStay, R.; Nair, A.; Robinson, G. An update on COVID-19 for the radiologist—A British society of Thoracic Imaging statement. Clin. Radiol. 2020, 75, 323. [Google Scholar] [CrossRef]
- Perlman, S. Another Decade, another Coronavirus. N. Engl. J. Med. 2020, 382, 760–762. [Google Scholar] [CrossRef]
- Kanne, J.P.; Little, B.P.; Chung, J.H.; Elicker, B.M.; Ketai, L.H. Essentials for Radiologists on COVID-19: An Update-Radiology Scientific Expert Panel. Radiology 2020, 296, E113–E114. [Google Scholar] [CrossRef] [PubMed]
- Raptis, C.A.; Hammer, M.M.; Short, R.G.; Shah, A.; Bhalla, S.; Bierhals, A.J.; Filev, P.D.; Hope, M.D.; Jeudy, J.; Kligerman, S.J.; et al. Chest CT and Coronavirus Disease (COVID-19): A Critical Review of the Literature to Date. Am. J. Roentgenol. Roentgenol. 2020, 215, 839. [Google Scholar] [CrossRef] [PubMed]
- Jacobi, A.; Chung, M.; Bernheim, A.; Eber, C. Portable Chest X-Ray in Coronavirus Disease-19 (COVID-19): A Pictorial Review. Clin. Imaging 2020, 64, 35. [Google Scholar] [CrossRef] [PubMed]
- Deng, J.; Dong, W.; Socher, R.; Li, L.; Li, K.; Li, F. ImageNet: A Large-Scale Hierarchical Image Database. In Proceedings of the 2009 IEEE Conference on Computer Vision and Pattern Recognition, Miami, FL, USA, 20–25 June 2009; p. 248. [Google Scholar]
- He, X.; Yang, X.; Zhang, S.; Zhao, J.; Zhang, Y.; Xing, E.; Xie, P. Sample-Efficient Deep Learning for COVID-19 Diagnosis Based on CT Scans. medRxiv 2020. [Google Scholar] [CrossRef]
- Pham, H.H.; Le, T.T.; Ngo, D.T.; Tran, D.Q.; Nguyen, H.Q. Interpreting Chest X-Rays Via CNNS That Exploit Hierarchical Disease Dependencies and Uncertainty Labels. arXiv 2020, arXiv:1911.06475. [Google Scholar]
- Irvin, J.; Rajpurkar, P.; Ko, M.; Yu, Y.; Ciurea-Ilcus, S.; Chute, C.; Marklund, H.; Haghgoo, B.; Ball, R.; Shpanskaya, K.; et al. CheXpert: A Large Chest Radiograph Dataset with Uncertainty Labels and Expert Comparison. In Proceedings of the 33rd AAAI Conference on Artificial Intelligence, Honolulu, HI, USA, 27 January–1 February 2019; p. 590. [Google Scholar]
- Gabruseva, T.; Poplavskiy, D.; Kalinin, A. Deep Learning for Automatic Pneumonia Detection. In Proceedings of the IEEE Computer Society Conference on Computer Vision and Pattern Recognition Workshops, Seattle, WA, USA, 14–19 June 2020; p. 350. [Google Scholar]
- Bansal, N. Classification of X-ray Images for Detecting Covid-19 Using Deep Transfer Learning. Res. Square 2020. [Google Scholar] [CrossRef]
- Zech, J. Reproduce-Chexnet. 2018. Available online: https://github.com/jrzech/reproduce-chexnet (accessed on 19 June 2020).
- Bassi, P.R.; Attux, R. A Deep Convolutional Neural Network for COVID-19 Detection Using Chest X-Rays. arXiv 2020, arXiv:2005.01578. [Google Scholar]
- Benbrahim, H.; Hachimi, H.; Amine, A. Deep Transfer Learning with Apache Spark to Detect COVID-19 in Chest X-ray Images. Rom. J. Inf. Sci. Technol. 2020, 23, 117. [Google Scholar]
- Zaharia, M.; Xin, R.S.; Wendell, P.; Das, T.; Armbrust, M.; Dave, A.; Meng, X.; Rosen, J.; Venkataraman, S.; Franklin, M.J.; et al. Apache Spark: A Unified Engine for Big Data Processing. Commun. ACM 2016, 59, 56. [Google Scholar] [CrossRef]
- Chowdhury, M.E.H.; Rahman, T.; Khandakar, A.; Mazhar, R.; Kadir, M.A.; Mahbub, Z.B.; Islam, K.R.; Khan, M.S.; Iqbal, A.; Al Emadi, N.; et al. Can AI Help in Screening Viral and COVID-19 Pneumonia? IEEE Access 2020, 8, 132665. [Google Scholar] [CrossRef]
- De Moura, J.; Novo, J.; Ortega, M. Fully Automatic Deep Convolutional Approaches for The Analysis of Covid-19 Using Chest X-Ray Images. medRxiv 2020. [Google Scholar] [CrossRef]
- Ghoshal, B.; Tucker, A. Estimating Uncertainty and Interpretability in Deep Learning for Coronavirus (COVID-19) Detection. arXiv 2020, arXiv:2003.10769. [Google Scholar]
- Chatterjee, S.; Saad, F.; Sarasaen, C.; Ghosh, S.; Khatun, R.; Radeva, P.; Rose, G.; Stober, S.; Speck, O.; Nürnberger, A. Exploration of Interpretability Techniques for Deep Covid-19 Classification Using Chest X-Ray Images. arXiv 2020, arXiv:2006.02570. [Google Scholar]
- Hussain, S.; Khan, A.; Zafar, M.M. Coronavirus Disease Analysis using Chest X-ray Images and a Novel Deep Convolutional Neural Network. Res. Gate 2020. [Google Scholar] [CrossRef]
- Lv, D.; Qi, W.; Li, Y.; Sun, L.; Wang, Y. A Cascade Network for Detecting Covid-19 Using Chest X-rays. arXiv 2020, arXiv:2005.01468. [Google Scholar]
- Narin, A.; Kaya, C.; Pamuk, Z. Automatic Detection of Coronavirus Disease (COVID-19) Using X-ray Images and Deep Convolutional Neural Networks. arXiv 2020, arXiv:2003.10849. [Google Scholar]
- Oh, Y.; Park, S.; Ye, J.C. Deep Learning COVID-19 Features on CXR Using Limited Training Data Sets. IEEE Trans. Med. Imaging 2020, 39, 2688. [Google Scholar] [CrossRef]
- Rajaraman, S.; Siegelman, J.; Alderson, P.O.; Folio, L.S.; Folio, L.R.; Antani, S.K. Iteratively Pruned Deep Learning Ensembles for COVID-19 Detection in Chest X-Rays. IEEE Access 2020, 8, 115041. [Google Scholar] [CrossRef]
- Ramadhan, M.M.; Faza, A.; Lubis, L.E.; Yunus, R.E.; Salamah, T.; Handayani, D.; Lestariningsih, I.; Resa, A.; Alam, C.R.; Prajitno, P.; et al. Fast and Accurate Detection of Covid-19-Related Pneumonia from Chest X-Ray Images with Novel Deep Learning Model. arXiv 2020, arXiv:2005.04562. [Google Scholar]
- Duchesne, S.; Gourdeau, D.; Archambault, P.; Chartrand-Lefebvre, C.; Dieumegarde, L.; Forghani, R.; Gagné, C.; Hains, A.; Hornstein, D.; Le, H.; et al. Tracking and Predicting Covid-19 Radiological Trajectory Using Deep Learning on Chest X-rays: Initial Accuracy Testing. medRxiv 2020. [Google Scholar] [CrossRef]
- Ucar, F.; Korkmaz, D. COVIDiagnosis-Net: Deep Bayes-Squeezenet Based Diagnosis of the Coronavirus Disease 2019 (COVID-19) from X-ray Images. Med. Hypotheses 2020, 140, 109761. [Google Scholar] [CrossRef] [PubMed]
- Ezzat, D.; ell Hassanien, A.; Ella, H.A. GSA-DenseNet121-COVID-19: A Hybrid Deep Learning Architecture for the Diagnosis of COVID-19 Disease based on Gravitational Search Optimization Algorithm. arXiv 2020, arXiv:2004.05084. [Google Scholar]
- Rajaraman, S.; Antani, S. Weakly Labeled Data Augmentation for Deep Learning: A Study on COVID-19 Detection in Chest X-rays. Diagnostics 2020, 10, 358. [Google Scholar] [CrossRef] [PubMed]
- Wang, L.; Lin, Z.Q.; Wong, A. COVID-Net: A Tailored Deep Convolutional Neural Network Design for Detection of COVID-19 Cases from Chest X-ray Images. Sci. Rep. 2020, 10, 19549. [Google Scholar] [CrossRef]
- Sahlol, A.T.; Yousri, D.; Ewees, A.A.; Al-qaness, M.A.A.; Damasevicius, R.; Elaziz, M.A. COVID-19 Image Classification Using Deep Features and Fractional-Order Marine Predators Algorithm. Sci. Rep. 2020, 10, 15364. [Google Scholar] [CrossRef]
- De la Vayá, M.I.; Saborit, J.M.; Montell, J.A.; Pertusa, A.; Bustos, A.; Cazorla, M.; Galant, J.; Barber, X.; Orozco-Beltrán, D.; García-García, F.; et al. BIMCV COVID-19+: A Large Annotated Dataset of RX and CT Images from COVID-19 Patients. arXiv 2020, arXiv:2006.01174. [Google Scholar]
- Bustos, A.; Pertusa, A.; Salinas, J.M.; de la Iglesia-Vayá, M. Padchest: A Large Chest X-ray Image Dataset with Multi-Label Annotated Reports. arXiv 2019, arXiv:1901.07441. [Google Scholar] [CrossRef] [PubMed]
- De Grave, A.J.; Janizek, J.D.; Lee, S. AI for radiographic COVID-19 detection selects shortcuts over signal. medRxiv 2020. [Google Scholar] [CrossRef]
- Lin, T.Y.; Goyal, P.; Girshick, R.; He, K. Dollar, Focal Loss for Dense Object Detection. In Proceedings of the 2017 IEEE International Conference on Computer Vision, Venice, Italy, 22–29 October 2017; p. 2999. [Google Scholar]
- Lin, T.Y.; Dollár, P.; Girshick, R.; He, K.; Hariharan, B.; Belongie, S. Feature Pyramid Networks for Object Detection. In Proceedings of the 2017 IEEE Conference on Computer Vision and Pattern Recognition, Honolulu, HI, USA, 21–26 July 2017; p. 936. [Google Scholar]
- Comelli, A.; Coronnello, C.; Dahiya, N.; Benfante, V.; Palmucci, S.; Basile, A.; Vancheri, C.; Russo, G.; Yezzi, A.; Stefano, A. Lung Segmentation on High-Resolution Computerized Tomography Images Using Deep Learning: A Preliminary Step for Radiomics Studies. J. Imaging 2020, 6, 125. [Google Scholar] [CrossRef]
- Comelli, A.; Dahiya, N.; Stefano, A.; Benfante, V.; Gentile, G.; Agnese, V.; Raffa, G.M.; Pilato, M.; Yezzi, A.; Petrucci, G.; et al. Deep Learning Approach for the Segmentation of Aneurysmal Ascending Aorta. Biomed. Eng. Lett. 2020, 1–10. [Google Scholar] [CrossRef]
- He, K.; Zhang, X.; Ren, S.; Sun, J. Deep Residual Learning for Image Recognition. In Proceedings of the 2016 IEEE Conference on Computer Vision and Pattern Recognition, Las Vegas, NV, USA, 27–30 June 2016; p. 770. [Google Scholar]
- Xie, S.; Girshick, R.; Dollár, P.; Tu, Z.; He, K. Aggregated Residual Transformations for Deep Neural Networks. In Proceedings of the 2017 IEEE Conference on Computer Vision and Pattern Recognition, Honolulu, HI, USA, 21–26 July 2017; p. 5987. [Google Scholar]
- COVID-19 Xray Dataset [Dataset]. Available online: https://github.com/v7labs/covid-19-xray-dataset (accessed on 1 November 2020).
- Kingma, D.P.; Ba, J.L. Adam: A Method for Stochastic Optimization. In Proceedings of the 3rd International Conference on Learning Representations, San Diego, CA, USA, 7–9 May 2015. [Google Scholar]
- Yasin, R.; Gouda, W. Chest X-Ray Findings Monitoring COVID-19 Disease Course and Severity. Egypt. J. Radiol. Nucl. Med. 2020, 51, 1–18. [Google Scholar] [CrossRef]
- Szegedy, C.; Ioffe, S.; Vanhoucke, V.; Alemi, A.A. Inception-v4, Inception-Resnet and the Impact of Residual Connections on Learning. In Proceedings of the 31st AAAI Conference on Artificial Intelligence, 4–9 February 2017; p. 4278. [Google Scholar]
- Huang, G.; Liu, Z.; Van Der Maaten, L.; Weinberger, K.Q. Densely Connected Convolutional Networks. In Proceedings of the 2017 IEEE Conference on Computer Vision and Pattern Recognition, Honolulu, HI, USA, 21–26 July 2017; p. 2261. [Google Scholar]
- Li, Z.; Wang, C.; Han, M.; Xue, Y.; Wei, W.; Li, L.J.; Fei, L. Thoracic Disease Identification and Localization with Limited Supervision. In Proceedings of the 2018 IEEE/CVF Conference on Computer Vision and Pattern Recognition, Salt Lake City, UT, USA, 18–23 June 2018; p. 8290. [Google Scholar]
- Ilse, M.; Tomczak, J.M.; Welling, M. Attention-Based Deep Multiple Instance Learning. In Proceedings of the 35th International Conference on Machine Learning, Stockholm, Sweden, 10–15 July 2018. [Google Scholar]
- Janez, D. Statistical Comparisons of Classifiers over Multiple Data Sets. J. Mach. Learn. Res. 2006, 7, 1–30. [Google Scholar]
- Nemenyi, P. Distribution-Free Multiple Comparisons. Ph.D. Thesis, Princeton University, Princeton, NJ, USA, 1963. [Google Scholar]
- Herbold, S. Autorank: A Python package for automated ranking of classifiers. J. Open Source Softw. 2020, 5, 2173. [Google Scholar] [CrossRef]
- Zeiler, M.D.; Fergus, R. Visualizing and Understanding Convolutional Networks. Lecture Notes in Computer Science; Springer: Cham, Switzerland, 2014; p. 8689. [Google Scholar]
- Captum-Model Interpretability for PyTorch [Software Framework]. Available online: https://captum.ai/ (accessed on 1 November 2020).
- Ahsan, M.M.; Alam, T.E.; Trafalis, T. Huebner, Deep MLP-CNN Model Using Mixed-Data to Distinguish between COVID-19 and Non-COVID-19 Patients. Symmetry 2020, 12, 1526. [Google Scholar] [CrossRef]
- Khan, A.I.; Shah, J.L.; Bhat, M.M. CoroNet: A Deep Neural Network for Detection and Diagnosis of COVID-19 from Chest X-ray Images. Comput. Methods Programs Biomed. 2020, 196, 105581. [Google Scholar] [CrossRef]
- Rey, D.; Neuhäuser, M. Wilcoxon-Signed-Rank Test. In International Encyclopedia of Statistical Science; Lovric, M., Ed.; Springer: Berlin/Heidelberg, Germany, 2011. [Google Scholar] [CrossRef]













| Class | Training | Validation | Test |
|---|---|---|---|
| Control | 5009 | 1076 | 1133 |
| Pneumonia | 3934 | 822 | 785 |
| COVID19 | 739 | 158 | 159 |
| CNN Model | Evaluation Metric | Global Only | Local Attention | Ensemble |
|---|---|---|---|---|
| ReseNet18 | AUC | 0.903 (0.883, 0.927) | 0.917 (0.890, 0.943) | 0.927 (0.902, 0.955) |
| Balanced Accuracy | 83.8% (81.3, 86.7) | 84.9% (81.4, 88.4) | 85.5% (82.0, 89.4) | |
| Average Precession | 87.8% (85.6, 90.5) | 90.2% (87.4, 93.0) | 91.3% (88.6, 94.3) | |
| F1 Score | 83.6% (81.0, 86.7) | 84.9% (81.4, 88.4) | 85.3% (81.8, 89.2) | |
| DenseNet161 | AUC | 0.926 (0.908, 0.947) | 0.934 (0.910, 0.959) | 0.943 (0.921, 0.967) |
| Balanced Accuracy | 86.0% (83.6, 88.8) | 87.3% (84.1, 90.4) | 87.8% (84.6, 91.3) | |
| Average Precession | 91.0% (89.0, 93.3) | 92.2% (89.5, 94.8) | 93.1% (90.6, 95.9) | |
| F1 Score | 86.0% (83.6, 88.8) | 87.3% (84.1, 90.4) | 87.8% (84.6, 91.3) | |
| Inception V4.0 | AUC | 0.896 (0.875, 0.921) | 0.906 (0.878, 0.934) | 0.923 (0.896, 0.853) |
| Balanced Accuracy | 82.1% (79.5, 85.1) | 83.5% (79.8, 87.1) | 84.7% (81.2, 88.6) | |
| Average Precession | 87.4% (85.2, 90.1) | 88.5% (85.3, 91.6) | 90.9% (88.0, 94.1) | |
| F1 Score | 82.3% (79.7, 85.4) | 83.6% (79.9, 87.2) | 84.5% (81.0, 88.4) |
| CNN Model | Evaluation Metric | Global Only | Local Attention | Ensemble |
|---|---|---|---|---|
| ReseNet18 | AUC | 0.891 (0.865, 0.922) | 0.907 (0.873, 0.940) | 0.911 (0.877, 0.948) |
| Balanced Accuracy | 82.3% (79.1, 86.1) | 83.2% (78.8, 87.5) | 83.8% (79.4, 88.6) | |
| Average Precession | 89.2% (86.6, 92.3) | 90.8% (87.4, 94.1) | 91.5% (88.1, 95.2) | |
| F1 Score | 82.4% (79.2, 86.2) | 83.0% (78.6, 87.3) | 83.6% (79.2, 88.4) | |
| DenseNet161 | AUC | 0.914 (0.890, 0.942) | 0.922 (0.890, 0.953) | 0.923 (0.890, 0.958) |
| Balanced Accuracy | 84.5% (81.5, 88.0) | 85.5% (81.3, 89.6) | 86.4% (82.4, 90.9) | |
| Average Precession | 91.5% (89.1, 94.3) | 92.1% (88.9, 95.2) | 92.1% (88.9, 95.6) | |
| F1 Score | 85.0% (82.0, 88.5) | 85.6% (81.4, 89.7) | 86.5% (82.5, 91.0) | |
| Inception V4.0 | AUC | 0.883 (0.857, 0.914) | 0.895 (0.860, 0.930) | 0.906 (0.872, 0.943) |
| Balanced Accuracy | 80.6% (77.3, 84.4) | 82.0% (77.5, 86.5) | 83.3% (78.9, 88.1) | |
| Average Precession | 88.8% (86.2, 91.9) | 89.7% (86.2, 93.2) | 90.5% (87.0, 94.4) | |
| F1 Score | 80.4% (77.1, 84.3) | 81.9% (77.4, 86.4) | 83.3% (78.9, 88.1) |
| CNN Model | Evaluation Metric | Global Only | Local Attention | Ensemble |
|---|---|---|---|---|
| ReseNet18 | AUC | 0.989 (0.976, 1.00) | 0.989 (0.971, 1.00) | 0.994 (0.983, 1.00) |
| Balanced Accuracy | 95.2% (91.3, 99.8) | 95.7% (90.3, 100) | 96.0% (90.9, 100) | |
| Average Precession | 90.1% (85.0, 96.5) | 92.0% (85.0, 99.0) | 94.3% (88.2, 100) | |
| F1 Score | 95.7% (91.9, 100) | 97.4% (93.2, 100) | 98.1% (94.6, 100) | |
| DenseNet161 | AUC | 0.997 (0.993, 1.00) | 0.995 (0.987, 1.00) | 0.998 (0.993, 1.00) |
| Balanced Accuracy | 96.8% (93.6, 99.5) | 97.1% (92.7, 99.7) | 98.5% (95.7, 100) | |
| Average Precession | 95.7% (91.9, 100) | 95.5% (90.1, 100) | 97.5% (93.5, 100) | |
| F1 Score | 98.4% (96.5, 100) | 97.7% (94.1, 100) | 98.9% (96.9, 100) | |
| Inception V4.0 | AUC | 0.983 (0.965, 1.00) | 0.987 (0.967, 1.00) | 0.991 (0.969, 1.00) |
| Balanced Accuracy | 95.0% (91.0, 99.7) | 95.1% (89.7, 100) | 96.6% (91.9, 100) | |
| Average Precession | 90.0% (84.4, 96.6) | 90.3% (83.0, 97.8) | 93.5% (86.8, 100) | |
| F1 Score | 96.2% (92.7, 100) | 96.5% (91.9, 100) | 96.4% (91.2, 100) |
| CNN Model | Evaluation Metric | Global Only | Local Attention | Ensemble |
|---|---|---|---|---|
| ReseNet18 | Balanced Accuracy | 86.8% (85.0, 88.9) | 87.2% (84.9, 89.5) | 88.7% (88.8, 91.3) |
| Average Precession | 87.9% (86.2, 89.9) | 87.3% (85.0, 89.6) | 88.8% (86.4, 91.4) | |
| F1 Score | 87.3% (85.6, 89.3) | 88.5% (86.2, 90.8) | 89.3% (87.1, 91.7) | |
| DenseNet161 | Balanced Accuracy | 88.9% (87.2, 90.9) | 89.4% (87.2, 91.6) | 91.2% (89.2, 93.4) |
| Average Precession | 90.7% (89.3, 92.4) | 91.3% (89.3, 93.3) | 92.4% (90.5, 94.6) | |
| F1 Score | 89.6% (88.1, 91.4) | 90.2% (88.0, 92.4) | 91.9% (89.9, 94.1) | |
| Inception V4.0 | Balanced Accuracy | 84.7% (82.9, 86.8) | 86.2% (83.7, 88.7) | 87.5% (85.1, 90.1) |
| Average Precession | 85.5% (83.7, 87.6) | 88.7% (86.4, 91.0) | 88.9% (86.5, 91.5) | |
| F1 Score | 86.3% (84.5, 88.4) | 87.3% (85.0, 89.6) | 88.2% (85.8, 90.8) |
| Task/Backbone Model | GPU (Time in Seconds) | CPU (Time in Seconds) | |
|---|---|---|---|
| Localization + segmentation | 0.61 | 1.36 | |
| ResNet18 | Global | 0.02 | 0.06 |
| Local | 0.02 | 0.06 | |
| Ensemble | 0.04 | 0.12 | |
| DenseNet161 | Global | 0.03 | 0.38 |
| Local | 0.04 | 0.38 | |
| Ensemble | 0.07 | 0.76 | |
| Inception V4.0 | Global | 0.03 | 0.23 |
| Local | 0.03 | 0.24 | |
| Ensemble | 0.06 | 0.47 |
| Evaluation Metric | Control Group | Pneumonia | COVID-19 | |||
|---|---|---|---|---|---|---|
| No Aug or Bal | Aug + Bal | No Aug or Bal | Aug + Bal | No Aug or Bal | Aug + Bal | |
| AUC | 0.933 (0.916, 0.954) | 0.943 (0.921, 0.965) | 0.921 (0.900, 0.948) | 0.923 (0.892, 0.954) | 0.991 (0.975, 1.00) | 0.998 (0.988, 1.00) |
| Balanced Accuracy | 87.3% (85.2, 90.0) | 87.8% (84.7, 90.9) | 85.5% (82.7, 89.0) | 86.4% (82.4, 90.4) | 96.2% (92.8, 100) | 98.5% (95.5, 100) |
| Average Precession | 91.5% (89.7, 93.7) | 93.1% (90.6, 95.6) | 92.6% (90.6, 95.1) | 92.1% (89.0, 95.2) | 90.5% (85.3, 97.0) | 97.5% (93.5, 100) |
| F1 Score | 87.2% (85.1, 89.9) | 87.8% (84.7, 90.9) | 85.5% (82.7, 89.0) | 86.5% (82.5, 90.5) | 97.2% (94.3, 100) | 98.9% (96.4, 100) |
Publisher’s Note: MDPI stays neutral with regard to jurisdictional claims in published maps and institutional affiliations. |
© 2021 by the authors. Licensee MDPI, Basel, Switzerland. This article is an open access article distributed under the terms and conditions of the Creative Commons Attribution (CC BY) license (http://creativecommons.org/licenses/by/4.0/).
Share and Cite
Afifi, A.; Hafsa, N.E.; Ali, M.A.S.; Alhumam, A.; Alsalman, S. An Ensemble of Global and Local-Attention Based Convolutional Neural Networks for COVID-19 Diagnosis on Chest X-ray Images. Symmetry 2021, 13, 113. https://doi.org/10.3390/sym13010113
Afifi A, Hafsa NE, Ali MAS, Alhumam A, Alsalman S. An Ensemble of Global and Local-Attention Based Convolutional Neural Networks for COVID-19 Diagnosis on Chest X-ray Images. Symmetry. 2021; 13(1):113. https://doi.org/10.3390/sym13010113
Chicago/Turabian StyleAfifi, Ahmed, Noor E Hafsa, Mona A. S. Ali, Abdulaziz Alhumam, and Safa Alsalman. 2021. "An Ensemble of Global and Local-Attention Based Convolutional Neural Networks for COVID-19 Diagnosis on Chest X-ray Images" Symmetry 13, no. 1: 113. https://doi.org/10.3390/sym13010113
APA StyleAfifi, A., Hafsa, N. E., Ali, M. A. S., Alhumam, A., & Alsalman, S. (2021). An Ensemble of Global and Local-Attention Based Convolutional Neural Networks for COVID-19 Diagnosis on Chest X-ray Images. Symmetry, 13(1), 113. https://doi.org/10.3390/sym13010113

