A Clinical Decision-Support System Based on Three-Stage Integrated Image Analysis for Diagnosing Lung Disease
Abstract
1. Introduction
2. Related Works
2.1. Singular Value Decomposition (SVD)
2.2. Discrete Wavelet Packet Transform (DWPT)
2.3. Rough Sets Theory
3. Materials and Proposed System
3.1. Medical Image Datasets
3.1.1. LIDC Image Dataset
3.1.2. RTH Image Dataset
3.2. Proposed System
3.2.1. Image Processing Block (A)
3.2.2. Reconstruction Block (B)
3.2.3. Feature Extraction Block (C)
3.2.4. Classification Block (D)
3.3. Proposed Procedure
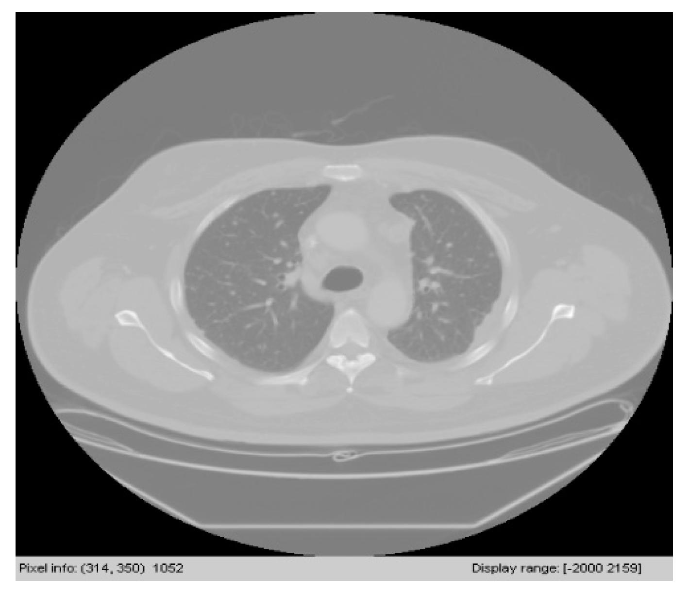
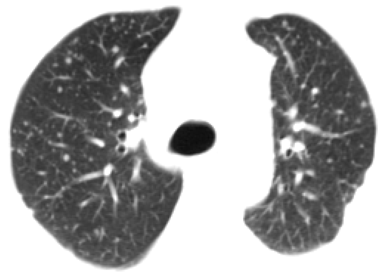
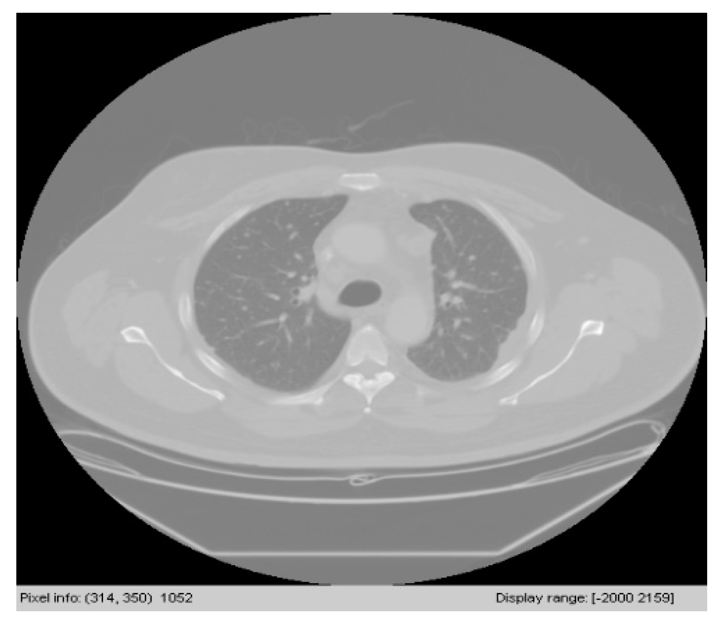
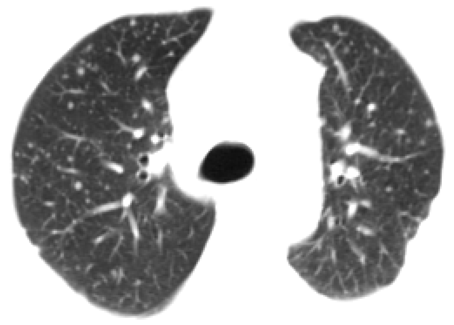
3.3.1. Segmenting the Chest CT Image
| Algorithm 1: Segmenting chest CT image |
| Input: image I (size of I is 512 × 512) begin for i ⃪ 1 to 512 do if > x = i break end end for j ⃪ 1 to 512 do if > y = j break end end for i ⃪ 512 to 1 do if > W = i break end end for j ⃪ 512 to 1 do if > H = j break end end end Output: image I crop from I, width is W-x, and height is H-y |
3.3.2. Removing Irrelevant Background Areas
3.3.3. Outlining the Lung Areas with a Box Field
| Algorithm 2: Removing irrelevant background areas |
| Input: image I (size of I is width × height) begin for i ⃪ 1 to width do for j ⃪ 1 to height if < 1 = 1 else if = 1 and < 10 continue; else break; end end end for i ⃪ 1 to width do for j ⃪ height to 1 if < 1 = 1 else if = 1 and < 10 continue; else break; end end end for j ⃪ 1 to height do for i ⃪ 1 to width do if < 1 = 1 else if = 1 and < 10 continue; else break; end end end for j ⃪ 1 to height do for i ⃪ width to 1 do if < 1 = 1 else if = 1 and < 10 continue; else break; end end end end Output: image I |
| Algorithm 3: Outlining the lung areas with a box field |
| Input: image I (size of I is width × height) begin x = 0, y = 0, W = 0, H = 0 for i ⃪ 1 to width do for j ⃪ 1 to height if < 0.8 x = i break end end if x 0 break end end for i ⃪ width to 1 do for j ⃪ 1 to height if < 0.8 W = i break end end if W 0 break end end for j ⃪ 1 to height do for i ⃪ 1 to width do if < 0.8 y = j break end end if y 0 break end end for j ⃪ height to 1 do for i ⃪ 1 to width do if < 0.8 H = j break end end if H 0 break end end end Output: image I crop from I, width is W-x, and height is H-y |
3.3.4. The DWPT Decomposition Process
3.3.5. Wavelet Packet Entropy
4. Experimental Results and Discussions
5. Conclusions
Author Contributions
Funding
Acknowledgments
Conflicts of Interest
Appendix A

References
- Sousa, J.R.; Silva, A.C.; De Paiva, A.C.; Nunes, R.A. Methodology for automatic detection of lung nodules in computerized tomography images. Comput. Methods Programs Biomed. 2010, 98, 1–14. [Google Scholar] [CrossRef] [PubMed]
- Souto, M.; Correa, J.; Tahoces, P.G.; Tucker, D.; Malagari, K.S.; Vidal, J.J.; Fraser, R.G. Enhancement of Chest Images by Automatic Adaptive Spatial Filtering. J. Digit. Imaging 1992, 4, 1–7. [Google Scholar] [CrossRef]
- Correa, J.; Souto, M.; Tahoces, P.G.; Malagari, K.; Tucker, D.; Larkin, J.; Kuhlman, J.; Barnes, G.T.; Zerhouni, E.; Fraser, R.G.; et al. Digital chest radiography: A comparison between unprocessed and processed images in the detection of solitary pulmonary nodules. Radiology 1995, 195, 253–258. [Google Scholar] [CrossRef] [PubMed]
- Helen, H.; Jeongjin, L.; Yeny, Y. Automatic lung nodule matching on sequential CT images. Comput. Biol. Med. 2008, 38, 623–634. [Google Scholar]
- Armato, S.G.; McLennan, G.; McNitt-Gray, M.F.; Meyer, C.R.; Yankelevitz, D.; Aberle, D.R.; Clarke, L.P. Lung image database consortium developing a resource for the medical imaging research community. Radiology 2004, 232, 739–748. [Google Scholar] [CrossRef] [PubMed]
- Lee, S.L.A.; Kouzani, A.Z.; Hu, E.J. Random forest based lung nodule classification aided by clustering. Comput. Med. Imaging Graph. 2010, 34, 535–542. [Google Scholar] [CrossRef]
- Mullaly, W.; Betke, M.; Hong, H.; Wang, J.; Mann, K.; Ko, J.P. Multi-criterion 3D segmentation and registration of pulmonary nodules on CT: A preliminary investigation. In Proceedings of the International Conference on Diagnostic Imaging and Analysis (ICDIA 2002), Shanghai, China, 18–20 August 2002; pp. 176–181. [Google Scholar]
- Dehmeshki, J.; Ye, X.; Lin, X.Y.; Valdivieso, M.; Amin, H. Automated detection of lung nodules in CT images using shape-based genetic algorithm. Comput. Med. Imaging Graph. 2007, 31, 408–417. [Google Scholar] [CrossRef]
- Yeny, Y.; Helen, H. Correction of segmented lung boundary for inclusion of pleural nodules and pulmonary vessels in chest CT images. Comput. Biol. Med. 2008, 38, 845–857. [Google Scholar]
- Mallat, S. A Wavelet Tour of Signal Processing; Academic Press: New York, NY, USA, 1999. [Google Scholar]
- Avci, E. An expert system based on Wavelet Neural Network-Adaptive Norm Entropy for scale invariant texture classification. Expert Syst. Appl. 2007, 32, 919–926. [Google Scholar] [CrossRef]
- Vozalis, M.G.; Margaritis, K.G. Using SVD and demographic data for the enhancement of generalized Collaborative Filtering. Inf. Sci. 2007, 177, 3017–3037. [Google Scholar] [CrossRef]
- Pawlak, Z. Rough sets. Int. J. Comput. Inf. Sci. 1982, 11, 341–356. [Google Scholar] [CrossRef]
- Pawlak, Z. Rough Sets: Theoretical Aspects of Reasoning about Data; Kluwer Academic Publisher: Boston, MA, USA, 1991. [Google Scholar]
- Pawlak, Z.; Skowron, A. Rudiments of rough sets. Inf. Sci. 2007, 177, 3–27. [Google Scholar] [CrossRef]
- Jothi, G.; Hannah Inbarani, H. Hybrid Tolerance Rough Set–Firefly based supervised feature selection for MRI brain tumor image classification. Appl. Soft Comput. 2016, 46, 639–651. [Google Scholar]
- Chung, K.L.; Yang, W.N.; Huang, Y.H.; Wu, S.T.; Hsu, Y.C. On SVD-based watermarking algorithm. Appl. Math. Comput. 2007, 188, 54–57. [Google Scholar] [CrossRef]
- Avci, E. Comparison of wavelet families for texture classification by using wavelet packet entropy adaptive network based fuzzy inference system. Appl. Soft Comput. 2008, 8, 225–231. [Google Scholar] [CrossRef]
- Avci, E.; Turkoglu, I.; Poyraz, M. A new approach based on scalogram for automatic target recognition with X-band Doppler radar. Asian J. Inf. Technol. 2005, 4, 133–140. [Google Scholar]
- Avci, E.; Turkoglu, I.; Poyraz, M. Intelligent target recognition based on wavelet packet neural network. Expert Syst. Appl. 2005, 29, 175–182. [Google Scholar] [CrossRef]
- Mallat, S.; Zhong, S. Characterization of signals from multiscale edges. IEEE Trans. Pattern Anal. Mach. Intell. 1992, 14, 710–732. [Google Scholar] [CrossRef]
- Huang, K.; Aviyente, S. Information-theoretic wavelet packet subband selection for texture classification. Signal Process. 2006, 86, 1410–1420. [Google Scholar] [CrossRef]
- Muneeswaran, K.; Ganesan, L.; Arumugam, S.; Soundar, K.R. Texture classification with combined rotation and scale invariant wavelet features. Pattern Recognit. 2005, 38, 1495–1506. [Google Scholar] [CrossRef]
- Messay, T.; Hardie, R.C.; Rogers, S.K. A new computationally efficient CAD system for pulmonary nodule detection in CT imagery. Med. Image Anal. 2010, 14, 390–406. [Google Scholar] [CrossRef] [PubMed]
- Gonzalez, R.C.; Woods, R.E. Digital Image Processing, 2nd ed.; Prentice-Hall: Englewood Cliffs, NJ, USA, 2002. [Google Scholar]
- Kroon, D.-J. Region Growing, MATLAB Central File Exchange. Available online: https://www.mathworks.com/matlabcentral/fileexchange/19084-region-growing (accessed on 25 February 2020).
- Grzymala-Busse, J.W. A new version of the rule induction system LERS. Fundam. Inform. 1997, 31, 27–39. [Google Scholar] [CrossRef]
- Arivazhagan, S.; Ganesan, L. Texture classification using wavelet transform. Pattern Recognit. Lett. 2003, 24, 1513–1521. [Google Scholar] [CrossRef]
- Witten, I.H.; Frank, E.; Hall, M.A.; Christopher, J.P. Data Mining: Practical Machine Learning Tools and Techniques, 4th ed.; Elsevier: Amsterdam, The Netherlands, 2017; pp. 67–89. [Google Scholar]
- Klement, W.; Wilk, S.; Michalowski, W.; Farion, K.J.; Osmond, M.H.; Verter, V. Predicting the need for CT imaging in children with minor head injury using an ensemble of Naive Bayes classifiers. Artif. Intell. Med. 2012, 54, 163–170. [Google Scholar] [CrossRef]
- Mohan, G.; Subashini, M.M. MRI based medical image analysis: Survey on brain tumor grade classification. Biomed. Signal Process. Control 2018, 39, 139–161. [Google Scholar] [CrossRef]
- Li, S.; Jiang, H.; Wang, Z.; Zhang, G.; Yao, Y.D. An effective computer aided diagnosis model for pancreas cancer on PET/CT images. Comput. Methods Programs Biomed. 2018, 165, 205–214. [Google Scholar] [CrossRef]
- Xie, H.T.; Yang, D.B.; Sun, N.N.; Chen, Z.N.; Zhang, Y.D. Automated pulmonary nodule detection in CT images using deep convolutional neural networks. Pattern Recognit. 2019, 85, 109–119. [Google Scholar] [CrossRef]
















| (1–6) | Size | Pos.Reg. | SC | Reducts |
|---|---|---|---|---|
| 1 | 1 | 1 | 1 | {range} |
| 2 | 1 | 1 | 1 | {mean} |
| 3 | 1 | 1 | 1 | {min} |
| 4 | 1 | 1 | 1 | {max} |
| 5 | 1 | 1 | 1 | {standard-deviation} |
| 6 | 1 | 1 | 1 | {mean-absolute-deviation } |
| Method | Proposed | Trees | Naïve Bayes | Multilayer Perception | SMO |
|---|---|---|---|---|---|
| Region growing | 97.80% (0.038) | 79.40% (11.53) | 80.10% (12.35) | 79.80% (9.95) | 77.40% (10.21) |
| Proposed algorithm | * 99.41% (0.018) | 87.42% (9.68) | 83.18% (10.51) | 84.48% (11.16) | 81.13% (10.91) |
| Method | Proposed | Trees | Naïve Bayes | Multilayer Perception | SMO |
|---|---|---|---|---|---|
| Region growing | 97.51% (0.043) | 81.50% (12.58) | 67.40% (14.33) | 89.00% (10.68) | 71.00% (13.82) |
| Proposed algorithm | * 98.80% (0.037) | 87.00%(10.78) | 62.90% (13.73) | 89.50% (9.36) | 71.40% (13.41) |
| Method | Rough Sets | Trees.J48 | Naïve Bayes | Multilayer Perception | SMO | |
|---|---|---|---|---|---|---|
| Proposed system | DWPT | 99.17% (0.026) | 86.90% (9.40) | 82.10% (11.83) | 84.70% (11.59) | 80.90% (10.55) |
| DWPT-SVD | * 99.41% (0.018) | 87.42% (9.68) | 83.18% (10.51) | 84.48% (11.16) | 81.13% (10.91) | |
| Method | Rough Sets | Trees.J48 | Naïve Bayes | Multilayer Perception | SMO | |
|---|---|---|---|---|---|---|
| Proposed system | DWPT | 98.66% (0.030) | 84.80% (11.05) | 62.90% (13.43) | 89.50% (9.47) | 71.60% (13.61) |
| DWPT-SVD | * 98.80% (0.037) | 87.00% (10.78) | 62.90% (13.73) | 89.50% (9.36) | 71.40% (13.41) | |
© 2020 by the authors. Licensee MDPI, Basel, Switzerland. This article is an open access article distributed under the terms and conditions of the Creative Commons Attribution (CC BY) license (http://creativecommons.org/licenses/by/4.0/).
Share and Cite
Cheng, C.-H.; Chen, H.-H.; Chen, T.-L. A Clinical Decision-Support System Based on Three-Stage Integrated Image Analysis for Diagnosing Lung Disease. Symmetry 2020, 12, 386. https://doi.org/10.3390/sym12030386
Cheng C-H, Chen H-H, Chen T-L. A Clinical Decision-Support System Based on Three-Stage Integrated Image Analysis for Diagnosing Lung Disease. Symmetry. 2020; 12(3):386. https://doi.org/10.3390/sym12030386
Chicago/Turabian StyleCheng, Ching-Hsue, Hsien-Hsiu Chen, and Tai-Liang Chen. 2020. "A Clinical Decision-Support System Based on Three-Stage Integrated Image Analysis for Diagnosing Lung Disease" Symmetry 12, no. 3: 386. https://doi.org/10.3390/sym12030386
APA StyleCheng, C.-H., Chen, H.-H., & Chen, T.-L. (2020). A Clinical Decision-Support System Based on Three-Stage Integrated Image Analysis for Diagnosing Lung Disease. Symmetry, 12(3), 386. https://doi.org/10.3390/sym12030386

