Studies on Natural Products Using Monoclonal Antibodies: A Review
Abstract
1. Introduction
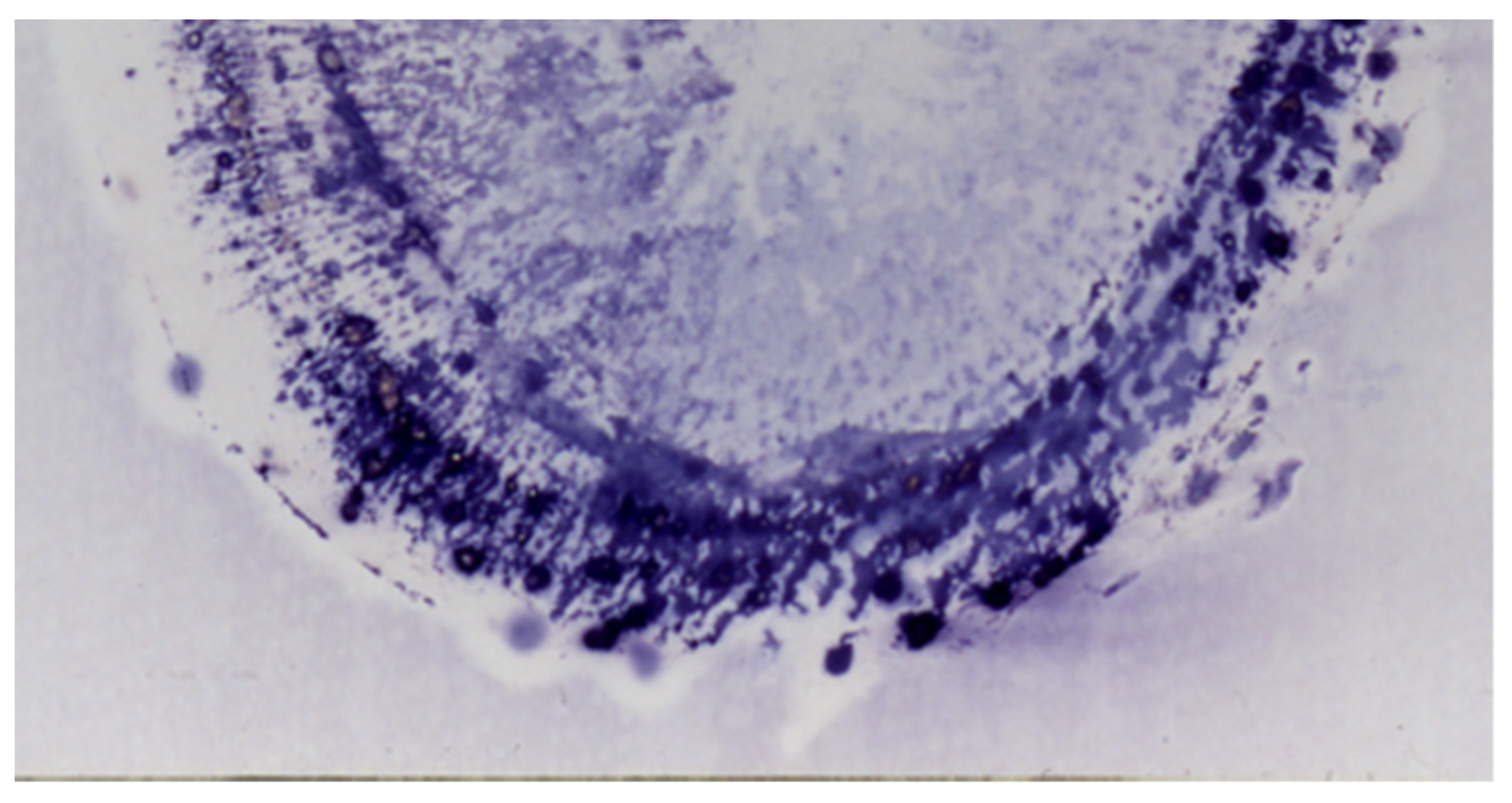
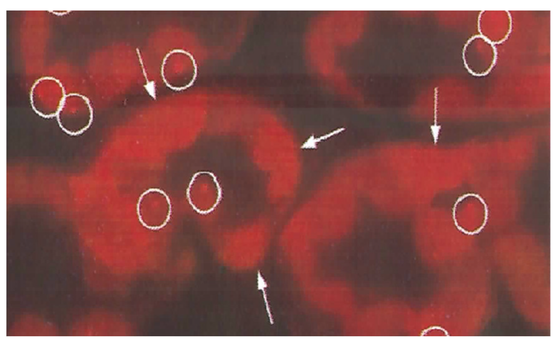
2. Immunostaining Using MAbs
3. Eastern Blotting
4. One-Step Purification on an Immunoaffinity Column
5. Conclusions
Funding
Institutional Review Board Statement
Informed Consent Statement
Data Availability Statement
Acknowledgments
Conflicts of Interest
References
- Lin, X.; Xue, L.; Zhang, H.; Zhu, C. Determination of saikosaponins a, c, and d in Bupleurum chinese DC from different areas by capillary zone electrophoresis. Anal. Bioanal. Chem. 2005, 382, 1610–1615. [Google Scholar] [CrossRef]
- Elizabeth, R.; Tor, M.S.; Filigenzi, B.P. Determination of oleandrin in tissues and biological fluids by liquid chromatography−electrospray tandem mass spectrometry. J. Agric. Food Chem. 2005, 53, 4322–4325. [Google Scholar]
- Guo, Z.; Peng, B.; Li, Z.Y.; Pan, R.L. Study on transformation rule of saikosaponin a and saikosaponin d under different extraction conditions by UPLC-QT tof-MS. Nat. Prod. Res. Dev. 2014, 26, 716–720. [Google Scholar]
- Hoffmann, T.; Krug, D.; Hüttel, S.; Müller, R. Improving natural products identification through targeted LC-MS/MS in an untargeted secondary metabolomics work flow. Anal. Chem. 2014, 86, 10780–10788. [Google Scholar] [CrossRef]
- Zhang, H.N.; Zhao, Y.Y.; Liang, H.; Liang, H.; Huang, L.Q.; Zhang, Z.X. Simultaneous HPLC-ELSD determination of saikosaponins a, c, d, f in Radix Bupleuri. Chin. J. Pharm. Anal. 2007, 27, 1150–1153. [Google Scholar]
- Weiler, E.W. Chemistry of Plant Protection; Springer: Berlin/Heidelberg, Germany, 1990. [Google Scholar]
- Sawada, J.; Janejai, N.; Nagamatsu, K.; Terao, T. Production and characterization of high-affinity monoclonal antibodies against morphine. Mol. Immunol. 1988, 25, 937–943. [Google Scholar]
- Shoyama, Y.; Sakata, R.; Isobe, R.; Murakami, H.; Kusai, A.; Nojima, K. Direct determination of forskolin-bovine serum albumin conjugate by matrx-assisted laser desorption ionization mass spectrometry. Org. Mass Spectr. 1993, 28, 987–988. [Google Scholar] [CrossRef]
- Goto, Y.; Shima, Y.; Morimoto, S.; Shoyama, Y.; Murakami, H.; Kusai, A.; Nojima, K. Determination of tetrahydrocannabinolic acid-carrier protein conjugate by matrix-assisted laster desorption/Ionization mass spectrometry and antibody formation. Org. Mass Spectr. 1994, 29, 668–671. [Google Scholar] [CrossRef]
- Morinaga, O.; Tanaka, H.; Shoyama, Y. Production of monoclonal antibody against a major purgative component, sennoside A, its characterization and ELISA. Analyst 2000, 125, 1109–1113. [Google Scholar] [CrossRef]
- Shoyama, Y.; Fukada, T.; Murakami, H. Production of monoclonal antibodies and ELISA for thebaine and codeine. Cytotechnology 1996, 19, 55–61. [Google Scholar] [CrossRef]
- Kim, J.S.; Tanaka, H.; Shoyama, Y. Immunoquantitative analysis for berberine and its related compounds using monoclonal antibody in herbal medicines. Analyst 2004, 129, 87–91. [Google Scholar] [CrossRef]
- Tanaka, H.; Xu, Y.; Shoyama, Y. Preparation of monoclonal antibody against crocin and its characterization. Cytotechnology 1999, 29, 65–70. [Google Scholar]
- Tanaka, H.; Fukuda, N.; Shoyama, Y. Formation of monoclonal antibody against a major ginseng component, ginsenoside Rb1 and its characterization. Cytotechnology 1999, 29, 115–120. [Google Scholar] [CrossRef] [PubMed]
- Shan, S.J.; Tanaka, H.; Shoyama, Y. Enzyme-linked immunosorbent assay for glycyrrhizin using anti-glycyrrhizin monoclonal antibody and a new eastern blotting for glucronides of glycyrrhetinic acid. Anal. Chem. 2001, 73, 5784–5790. [Google Scholar] [CrossRef] [PubMed]
- Ishiyama, M.; Shoyama, Y.; Murakami, H.; Shinohara, H. Production of monoclonal antibodies and development of an ELISA for solamargine. Cytotechnology 1996, 18, 153–158. [Google Scholar] [CrossRef]
- Sakata, R.; Shoyama, Y.; Murakami, H. Production of monoclonal antibodies and enzyme immunoassy for typical adenylate cyclase activater, forskolin. Cytotechnology 1994, 16, 101–108. [Google Scholar] [CrossRef]
- Lu, Z.; Morinaga, O.; Tanaka, H.; Shoyama, Y. A quantitative ELISA using monoclonal antibody to survey paeoniflorin and albiflorin in crude drugs and traditional Chinese herbal medicines. Biol. Pharm. Bull. 2003, 26, 862–866. [Google Scholar] [CrossRef]
- Tanaka, H.; Putalun, W.; De-Eknamkul, W.; Matangkasombut, O.; Shoyama, Y. Preparation of a novel monoclonal antibody against the antimalarial drugs, artemisinin and artesunate. Planta Med. 2007, 73, 1127–1132. [Google Scholar] [CrossRef]
- Tanaka, H.; Goto, Y.; Shoyama, Y. Monoclonal antibody based enzyme immunoassay for marihuana (cannabinoid) compounds. Immunoassay 1996, 17, 321–342. [Google Scholar] [CrossRef] [PubMed]
- Loungratana, P.; Tanaka, H.; Shoyama, Y. Production of monoclonal antibody against ginkgolic acids in Ginkgo biloba Linn. Am. J. Chin. Med. 2004, 32, 33–48. [Google Scholar] [CrossRef] [PubMed]
- Zhu, S.H.; Shimokawa, S.; Tanaka, H.; Shoyama, Y. Development of an assay system for saikosaponin a using anti-saikosaponin a monoclonal antibody. Biol. Pharm. Bull. 2004, 27, 66–71. [Google Scholar] [CrossRef] [PubMed]
- Fukuda, N.; Tanaka, H.; Shoyama, Y. Formation of monoclonal antibody against a major ginseng component, ginsenoside Rg1 and its characterization. Cytotechnology 2000, 34, 197–204. [Google Scholar] [CrossRef]
- Morinaga, O.; Tanaka, H.; Shoyama, Y. Detection and quantification of ginsenoside Re in ginseng samples by a chromatographic immunostaining method using monoclonal antibody against ginsenoside Re. J. Chromatogr. B 2006, 830, 100–104. [Google Scholar] [CrossRef]
- Limsuwanchote, S.; Wungsintawekul, J.; Yusakul, G.; Shoyama, Y. Preparation of a monoclonal antibody against notoginsenoside R1, a distinctive saponin from Panax notoginseng, and its application to indirect competitive ELISA. Planta Med. 2014, 80, 1–6. [Google Scholar] [CrossRef]
- Joo, E.J.; Ha, Y.W.; Shin, H.; Son, S.H.; Kim, Y.S. Generation and characterization of monoclonal antibody to ginsenoside Rg3. Biol. Pharm. Bull. 2009, 32, 548–552. [Google Scholar] [CrossRef] [PubMed][Green Version]
- Qu, H.; Wang, Y.; Shan, W.; Zhang, Y.; Feng, H.; Sai, J.; Wang, Q.; Zhao, Y. Development of Elisa for Detection of Rh1 and Rg2 and Potential Method of Immunoaffinity Chromatography for Separation of Epimers. J. Chromatogr. B Anal. Technol. Biomed. Life Sci. 2015, 985, 197–205. [Google Scholar] [CrossRef] [PubMed]
- Qu, H.; Zhang, G.; Li, Y.; Sun, H.; Sun, Y.; Zhao, Y.; Wang, Q. Development of an Enzyme-Linked Immunosorbent Assay Based on Anti-Puerarin Monoclonal Antibody and Its Applications. J. Chromatogr. B. 2014, 953, 120–125. [Google Scholar] [CrossRef]
- Leu, J.G.; Chen, B.X.; Schiff, P.B.; Erlanger, B.F. Characterization of polyclonal and monoclonal anti-taxol antibodies and measurement of taxol in serum. Cancer Res. 1993, 53, 1388–1391. [Google Scholar]
- Qu, H.; Zhang, Y.; Qu, B.; Cheng, J.; Liu, S.; Feng, S.; Wang, Q.; Zhao, Y. Novel Immunoassay and Rapid Immunoaffinity Chromatography Method for the Detection and Selective Extraction of Naringin in Citrus Aurantium. J. Sep. Sci. 2016, 39, 1389–1398. [Google Scholar] [CrossRef]
- Sakamoto, S.; Yusakul, G.; Pongkitwitoon, B.; Paudel, M.K.; Tanaka, H.; Morimoto, S. Simultaneous Determination of Soy Isoflavone Glycosides, Daidzin and Genistin by Monoclonal Antibody-Based Highly Sensitive Indirect Competitive Enzyme-Linked Immunosorbent Assay. Food Chem. 2015, 169, 127–133. [Google Scholar] [CrossRef]
- Kido, K.; Morinaga, O.; Shoyama, Y.; Tanaka, H. Quick analysis of baicalin in Scutellariae Radix by enzyme-linked immunosorbent assay using a monoclonal antibody. Talanta 2008, 77, 346–350. [Google Scholar] [CrossRef]
- Limsuwanchote, S.; Wungsintaweekul, J.; Keawpradub, N.; Putalun, W.; Morimoto, S.; Tanaka, H. Development of Indirect Competitive Elisa for Quantification of Mitragynine in Kratom (Mitragyna Speciosa (Roxb.) Korth. Forensic Sci. Int. 2014, 244, 70–77. [Google Scholar] [CrossRef] [PubMed]
- Sakamoto, S.; Putalun, W.; Tsuchihashi, R.; Morimoto, S.; Kinjo, J.; Tanaka, H. Development of an Enzyme-Linked Immunosorbent Assay (ELISA) Using Highly-Specific Monoclonal Antibodies against Plumbagin. Anal. Chim. Acta 2008, 607, 100–105. [Google Scholar] [CrossRef]
- Kido, K.; Edakuni, K.; Morinaga, O.; Tanaka, H.; Shoyama, Y. An Enzyme-Linked Immunosorbent Assay for Aconitine-Type Alkaloids Using an Anti-Aconitine Monoclonal Antibody. Anal. Chim. Acta 2008, 616, 109–114. [Google Scholar] [CrossRef]
- Yang, R.; Wang, L.Q.; Yuan, B.C.; Liu, Y. The Pharmacological Activities of Licorice. Planta Med. 2015, 81, 1654–1669. [Google Scholar] [CrossRef]
- Sharma, V.; Katiyar, A.; Agrawal, R.C. Glycyrrhiza glabra: Chemistry and Pharmacological Activity; Sweeteners. Reference Series in Phytochemistry; Mérillon, J.M., Ramawat, K., Eds.; Springer: Cham, The Netherland, 2018. [Google Scholar] [CrossRef]
- Tanaka, H.; Shoyama, Y. Formation of a monoclonal antibody against glycyrrhizin and development of an ELISA. Biol. Pharm. Bull. 1998, 21, 1391–1393. [Google Scholar] [CrossRef]
- Fukuda, N.; Tanaka, H.; Shoyama, Y. Western blotting for ginseng saponins, ginsenosides using anti-ginsenoside Rb1 monoclonal antibody. Biol. Pharm. Bull. 1999, 22, 219–220. [Google Scholar] [CrossRef]
- Yun, T.K. Brief introduction of Panax ginseng C. A. Meyer. J. Korean Med. Sci. 2001, 16, S3–S5. [Google Scholar] [CrossRef] [PubMed]
- Yang, W.Z.; Hu, Y.; Wu, W.Y.; Ye, M.; Guo, D.A. Saponins in the Genus Panax L. (Araliaceae): A systematic review of their chemical diversity. Phytochemistry 2014, 106, 7–24. [Google Scholar] [CrossRef]
- Leung, K.W.; Wong, A.S.T. Pharmacology of ginsenosides: A literature review. Chin. Med. 2010, 5, 20–35. [Google Scholar] [CrossRef] [PubMed]
- Tung, N.T.; Cao, Z.; Tanaka, H.; Shoyama, Y. Application of Monoclonal Antibodies Against Ginsenosides in the Field of Ginseng Studies. Stud. Nat. Prod. Chem. 2016, 49, 265–278. [Google Scholar] [CrossRef]
- Yokota, S.; Onohara, Y.; Shoyama, Y. Immunofluorescence and imunoelectron microscopic localization of medicinal substance, ginsenoside Rb1, in several plant parts of Panax ginseng. Curr. Drug Discov. Technol. 2011, 8, 51–59. [Google Scholar] [CrossRef]
- Soeda, S.; Aritake, K.; Urade, Y.; Saito, H.; Shoyama, Y. Neuroprotective Activities of Saffron and Crocin, The Benefits of Natural Products for Neurodegenerative Disease; Essa, M.M., Akbar, M., Guillemin, G., Eds.; Springer: Berlin/Heidelberg, Germany, 2016; pp. 275–292. [Google Scholar]
- Li, X.W.; Yokota, S.; Wang, D.; Wang, X.; Shoyama, Y.; Cai, S.Q. Localization of Aristolochic Acid in Mouse Kidney Tissues by Immunohistochemistry Using an Anti-AA-I and AA-II Monoclonal Antibody. Am. J. Chin. Med. 2014, 42, 1453–1469. [Google Scholar] [CrossRef]
- Wang, D.; Li, X.W.; Wang, X.; Tan, H.R.; Jia, Y.; Yang, L.; Li, X.M.; Shang, M.-Y.; Xu, F.H.; Yang, X.-X.; et al. alpha-actinin-4 is a possible target protein for aristolochic acid I in human kidney cell in vitro. Am. J. Chin. Med. 2016, 44, 291–304. [Google Scholar] [CrossRef] [PubMed]
- Taki, T.; Kasama, T.; Handa, S.; Ishikawa, D. A simple and quantitative purification of glycosphingolipids and phospholipids by thin-layer chromatography blotting. Anal. Biochem. 1994, 223, 232–238. [Google Scholar] [CrossRef]
- Tanaka, H.; Putalun, W.; Tsuzaki, C.; Syoyama, S. A simple determination of steroidal alkaloid glycosides by thin-layer chromatography immunostaining using monoclonal antibody against solamargine. FEBS Lett. 1997, 404, 279–282. [Google Scholar] [CrossRef]
- Shan, S.; Tanaka, H.; Shoyama, Y. Western blotting method for the immunostaining detection of glucuronides of glycyrrhetic acid using anti-glycyrrhizin monoclonal antibody. Biol. Pharm. Bull. 1999, 22, 221–223. [Google Scholar] [CrossRef] [PubMed]
- Morinaga, O.; Zhu, S.; Tanaka, H.; Shoyama, Y. Visual detection of saikosaponins by on-membrane immunoassay and estimation of traditional Chinese medicines containing Bupleuri raix. Biochem. Biophhys. Res. Commun. 2006, 346, 687–692. [Google Scholar] [CrossRef]
- Li, X.W.; Morinaga, O.; Tian, M.; Uto, T.; Yu, J.; Shang, M.Y.; Wang, X.; Cai, S.Q.; Shoyama, Y. Development of Eastern blotting technique for the visual detection of aristolochic acids in Aristolochia and Asarum species using monoclonal antibody against aristolochic acids I and II. Phytochem. Anal. 2013, 24, 645–653. [Google Scholar] [CrossRef]
- Fukuda, N.; Tanaka, H.; Shoyama, Y. Double staining of ginsenosides by western blotting using anti-ginsenoside Rb1 and Rg1 monoclonal antibodies. Biol. Pharm. Bull. 2001, 24, 1157–1160. [Google Scholar] [CrossRef] [PubMed]
- Tanaka, H.; Fukuda, N.; Shoyama, Y. Eastern blotting and immunoaffinity concentration using monoclonal antibody for ginseng saponins in the field of traditional Chinese Medicines. J. Agric. Food Chem. 2007, 55, 3783–3787. [Google Scholar] [CrossRef] [PubMed]
- Morinaga, O.; Uto, U.; Sakamoto, S.; Putalun, W.; Tanaka, H.; Shoyama, Y. Development of eastern blotting technique for sennoside A and B using anti-sennoside A and B monoclonal antibodies. Phytochem. Anal. 2009, 20, 154–158. [Google Scholar] [CrossRef]
- Fujii, S.; Morinaga, O.; Uto, T.; Nomura, S.; Shoyama, Y. Development of double eastern blotting for major licorice components, glycyrrhizin and liquiritin for chemical quality control of licorice using anti-glycyrrhizin and anti-liquiritin monoclonal antibodies. J. Agric. Food Chem. 2016, 64, 1087–1093. [Google Scholar] [CrossRef]
- Yanagihara, H.; Sakata, R.; Minami, H.; Tanaka, H.; Shoyama, Y.; Murakami, H. Immunoaffinity column chromatography against forskolin using an anti-forskolin monoclonal antibody and its application. Anal. Chim. Acta 1996, 335, 63–70. [Google Scholar] [CrossRef]
- Fukuda, N.; Tanaka, H.; Shoyama, Y. Isolation of the pharmacologically active saponin ginsenoside Rb1 from ginseng by immunoaffinity column chromatography. J. Nat. Prod. 2000, 63, 283–285. [Google Scholar] [CrossRef] [PubMed]
- Putalun, W.; Tanaka, H.; Shoyama, Y. Rapid separation of solasodine glycoside by an immunoaffinity column using anti-solamargine monoclonal antibody. Cytotechnology 1999, 31, 151–156. [Google Scholar] [CrossRef] [PubMed]
- Zhang, Y.; Qu, H.; Zeng, W.; Zhao, Y.; Shan, W.; Xueqian, X.; Wang, Q.; Zhao, Y. Development of an enzyme-linked immunosorbent assay and immunoaffinity chromatography for glycyrrhizic acid using an anti-glycyrrhizic acid monoclonal antibody. J. Sep. Sci. 2015, 38, 2363–2370. [Google Scholar] [CrossRef]
- Qu, H.; Qu, B.; Wang, X.; Zhang, Y.; Cheng, J.; Zeng, W.; Liu, S.; Wang, Q.; Zhao, Y. Rapid, sensitive separation of the three main isoflavones in soybean using immunoaffinity chromatography. J. Sep. Sci. 2016, 39, 1195–1201. [Google Scholar] [CrossRef] [PubMed]








| Component Plant | Plant Resource | Reference |
|---|---|---|
| Forskolin | Coleus forskolii | [17] |
| Crocin | Crocus sativus | [13] |
| Paeoniflorin, albiflorin | Paeonia lactiflora | [18] |
| Artemisinin, artesunate | Artemisia annua | [19] |
| Morphine, thebaine, codeine | Papaver somuniferum | [11] |
| Berbarine | Coptis japonica | [12] |
| Sennoside A, B | Rhem spp., Senna spp. | [10] |
| Tetrahydrocannabinolic acid | Cannavis sativa | [20] |
| Gindgolic acid | Ginkgo biloba | [21] |
| Saikosaponin a | Bupleurum falcatum | [22] |
| Glycyrrhizin | Glycyrrhiza spp. | [15] |
| Ginsenoside Rb1, Rg1, Re | Panax spp. | [14,23,24] |
| Notoginsenoside R1 | Panax notoginseng | [25] |
| Ginsenoside Rg3 | processed ginseng | [26] |
| Ginsenoside Rh1 | Panax spp. | [27] |
| Puerarin | Pueraria lobata | [28] |
| Paclitaxel | Taxus brevifolia | [29] |
| Naringin | Citrus spp. | [30] |
| Solamargine | Solanum spp. | [16] |
| Daidzin | Glycine max | [31] |
| Baicalin | Scutellaria baicalensis | [32] |
| Mitragynine | Mitragyna speciosa | [33] |
| Plumbagin | Plumbago indica | [34] |
| Aconitine | Aconitum spp. | [35] |
Publisher’s Note: MDPI stays neutral with regard to jurisdictional claims in published maps and institutional affiliations. |
© 2021 by the author. Licensee MDPI, Basel, Switzerland. This article is an open access article distributed under the terms and conditions of the Creative Commons Attribution (CC BY) license (https://creativecommons.org/licenses/by/4.0/).
Share and Cite
Shoyama, Y. Studies on Natural Products Using Monoclonal Antibodies: A Review. Antibodies 2021, 10, 43. https://doi.org/10.3390/antib10040043
Shoyama Y. Studies on Natural Products Using Monoclonal Antibodies: A Review. Antibodies. 2021; 10(4):43. https://doi.org/10.3390/antib10040043
Chicago/Turabian StyleShoyama, Yukihiro. 2021. "Studies on Natural Products Using Monoclonal Antibodies: A Review" Antibodies 10, no. 4: 43. https://doi.org/10.3390/antib10040043
APA StyleShoyama, Y. (2021). Studies on Natural Products Using Monoclonal Antibodies: A Review. Antibodies, 10(4), 43. https://doi.org/10.3390/antib10040043