Performance and Fouling in Pre-Denitrification Membrane Bioreactors Treating High-Strength Wastewater from Food Waste Disposers
Abstract
1. Introduction
2. Materials and Methods
2.1. Reactor Set-Up and Operation
2.2. Disposer Wastewater Characterization
2.3. Extraction and Analysis of EPS and SMP
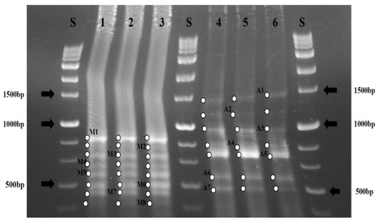
2.4. DNA Extraction and RFLP Analysis
2.5. Chemical Analysis
3. Results and Discussion
3.1. Performance of the Pre-Denitrification MBR on Food Wastewater
3.2. Effects of HRT on Nutrient Removal in the Pre-Denitrification MBR on Food Wastewater
3.3. Membrane Fouling
3.4. EPS and SMP in the Reactor
3.5. Microbial Community Profile by RFLP Analysis
4. Conclusions
- Suspended solids were removed by the membrane system ensuring 99% of removal efficiency and the system could be effective to remove suspended solid in food wastewater.
- Effluent COD was relatively high due to high concentrations of non-biodegradable organic substances and SMP.
- High COD/N (~27) in food wastewater permitted effective biological denitrification achieving TN removal efficiency greater than 82% for the three systems. However, high SRT used in MBR did not allow effective TP removal due to characteristics of the system (not conceived for P removal).
- Longer HRT in general showed better effluent quality in terms of effluent COD, TN, and TP.
- HRT showed large effects on membrane fouling that could be assessed by changes in TMP, increase in SRF, and high membrane fouling rate. Longer HRT led to high membrane fouling.
- HRT also showed large effects on the level of bound EPS. However, that effect was not readily seen from the microbial composition assessed by RFLP.
- Overall, the pre-denitrification MBR is feasible for treating high COD/N food wastewater. When applying pre-denitrification MBR process, higher HRT is preferable in terms of better effluent quality and lower membrane fouling potential due to smaller bound EPS existing in sludge.
Acknowledgments
Author Contributions
Conflicts of Interest
References
- Gonzales, H.B.; Takyu, K.; Sakashita, H.; Nakano, Y.; Nishijima, W.; Okada, M. Biological solubilization and mineralization as novel approach for the pretreatment of food waste. Chemosphere 2005, 58, 57–63. [Google Scholar] [CrossRef] [PubMed]
- Battistoni, P.; Fatone, F.; Passacantando, D.; Bolzonella, D. Application of food waste disposers and alternate cycles process in small-decentralized towns: A case study. Water Res. 2007, 41, 893–903. [Google Scholar] [CrossRef] [PubMed]
- Ichinari, T.; Ohtsubo, A.; Ozawa, T.; Hasegawa, K.; Teduka, K.; Oguchi, T.; Kiso, Y. Wastewater treatment performance and sludge reduction properties of a household wastewater treatment system combined with an aerobic sludge digestion unit. Process Biochem. 2008, 43, 722–728. [Google Scholar] [CrossRef]
- Sankai, T.; Ding, G.; Emori, N.; Kitamura, S.; Katada, K.; Koshio, A.; Maruyama, T.; Kudo, K.; Inamori, Y. Treatment of domestic wastewater mixed with crushed garbage and garbage washing water by advanced gappei-shori johkaso. Water Sci. Technol. 1997, 36, 175–182. [Google Scholar] [CrossRef]
- Visvanathan, C.; Aim, R.B.; Parameshwaran, K. Membrane separation bioreactors for wastewater treatment. Crit. Rev. Environ. Sci. Technol. 2000, 30, 1–48. [Google Scholar] [CrossRef]
- Wang, Y.; Huang, X.; Yuan, Q. Nitrogen and carbon removals from food processing wastewater by an anoxic/aerobic membrane bioreactor. Proc. Biochem. 2005, 40, 1733–1739. [Google Scholar] [CrossRef]
- Boonnorat, J.; Boonapatcharoen, N.; Prachanurak, P.; Honda, R.; Phanwilai, S. Toxic compounds biodegradation and toxicity of high strength wastewater treated under elevated nitrogen concentration in the activated sludge and membrane bioreactor systems. Sci. Total Environ. 2017, 592, 252–261. [Google Scholar] [CrossRef] [PubMed]
- Chiemchaisri, C.; Yamamoto, K. Performance of membrane separation bioreactor at various temperatures for domestic wastewater treatment. J. Membr. Sci. 1994, 87, 119–129. [Google Scholar] [CrossRef]
- Di Bella, G.; Di Trapani, D.; Torregrossa, M.; Viviani, G. Performance of a MBR pilot plant treating high strength wastewater subject to salinity increase: Analysis of biomass activity and fouling behaviour. Bioresour. Technol. 2013, 147, 614–618. [Google Scholar] [CrossRef] [PubMed]
- Côté, P.; Buisson, H.; Pound, C.; Arakaki, G. Immersed membrane activated sludge for the reuse of municipal wastewater. Desalination 1997, 113, 189–196. [Google Scholar] [CrossRef]
- Mannina, G.; Cosenza, A.; Di Trapani, D.; Capodici, M.; Viviani, G. Membrane bioreactors for treatment of saline wastewater contaminated by hydrocarbons (diesel fuel): An experimental pilot plant case study. Chem. Eng. J. 2016, 291, 269–278. [Google Scholar] [CrossRef]
- Meng, F.; Shi, B.; Yang, F.; Zhang, H. Effect of hydraulic retention time on membrane fouling and biomass characteristics in submerged membrane bioreactors. Bioprocess Biosyst. Eng 2007, 30, 359–367. [Google Scholar] [CrossRef] [PubMed]
- Le-Clech, P.; Chen, V.; Fane, T.A. Fouling in membrane bioreactors used in wastewater treatment. J. Membr. Sci. 2006, 284, 17–53. [Google Scholar] [CrossRef]
- Jarusutthirak, C.; Amy, G. Role of soluble microbial products (SMP) in membrane fouling and flux decline. Environ. Sci. Technol. 2006, 40, 969–974. [Google Scholar] [CrossRef] [PubMed]
- Wang, Z.; Wu, Z.; Tang, S. Extracellular polymeric substances (EPS) properties and their effects on membrane fouling in a submerged membrane bioreactor. Water Res. 2009, 43, 2504–2512. [Google Scholar] [CrossRef] [PubMed]
- Pan, J.R.; Su, Y.; Huang, C. Characteristics of soluble microbial products in membrane bioreactor and its effect on membrane fouling. Desalination 2010, 250, 778–780. [Google Scholar] [CrossRef]
- Ng, H.Y.; Tan, T.W.; Ong, S.L. Membrane fouling of submerged membrane bioreactors: Impact of mean cell residence time and the contributing factors. Environ. Sci. Technol. 2006, 40, 2706–2713. [Google Scholar] [CrossRef] [PubMed]
- Remy, M.; Potier, V.; Temmink, H.; Rulkens, W. Why low powdered activated carbon addition reduces membrane fouling in MBRs. Water Res. 2010, 44, 861–867. [Google Scholar] [CrossRef] [PubMed]
- Eddy, M.; Burton, F.L.; Stensel, H.D.; Tchobanoglous, G. Wastewater Engineering: Treatment and Reuse; McGraw Hill: New York, NY, USA, 2003. [Google Scholar]
- Oh, S.H.; Park, I.W.; Bae, S.K. The effect of garbage disposer system on the influent loading rate of domestic waste water facilities in apartment. In Proceedings of the 15th Annual Conference of the Japan Society of Waste Management Experts, Takamatsu, Japan, 17–18 November 2004. [Google Scholar]
- Park, C.; Novak, J.T. Characterization of activated sludge exocellular polymers using several cation-associated extraction methods. Water Res. 2007, 41, 1679–1688. [Google Scholar] [CrossRef] [PubMed]
- Teague, P.; Wang, M.; Hyun, C.D.; Kim, Y.M.; Park, C. The effect of aeration basin reactor configuration on anaerobic digestion and sludge properties. Proc. Water Environ. Fed. 2011, 9, 6438–6454. [Google Scholar] [CrossRef]
- Kane, M.D.; Poulsen, L.K.; Stahl, D.A. Monitoring the enrichment and isolation of sulfate-reducing bacteria by using oligonucleotide hybridization probes designed from environmentally derived 16s rRNA sequences. Appl. Environ. Microbiol. 1993, 59, 682–686. [Google Scholar] [PubMed]
- Lin, C.; Stahl, D.A. Comparative analyses reveal a highly conserved endoglucanase in the cellulolytic genus Fibrobacter. J. Bacteriol. 1995, 177, 2543–2549. [Google Scholar] [CrossRef] [PubMed][Green Version]
- APHA. Standard Methods for The Examination of Water and Wastewater; American Public Health Association: Washington, DC, USA, 2005. [Google Scholar]
- Lowry, O.H.; Rosebrough, N.J.; Farr, A.L.; Randall, R.J. Protein measurement with the folin phenol reagent. J. Biol. Chem. 1951, 193, 265–275. [Google Scholar] [PubMed]
- Dubois, M. Colorimetric method for determination of sugars and related substances. Anal. Chem. 1956, 28, 350–356. [Google Scholar] [CrossRef]
- He, Y.; Xu, P.; Li, C.; Zhang, B. High-concentration food wastewater treatment by an anaerobic membrane bioreactor. Water Res. 2005, 39, 4110–4118. [Google Scholar] [CrossRef] [PubMed]
- Fuchs, W.; Binder, H.; Mavrias, G.; Braun, R. Anaerobic treatment of wastewater with high organic content using a stirred tank reactor coupled with a membrane filtration unit. Water Res. 2003, 37, 902–908. [Google Scholar] [CrossRef]
- Park, K.Y.; Lee, J.W.; Ahn, K.H.; Maeng, S.K.; Hwang, J.H.; Song, K.G. Ozone disintegration of excess biomass and application to nitrogen removal. Water Environ. Res. 2004, 76, 162–167. [Google Scholar] [CrossRef] [PubMed]
- Park, C.; Helm, R.F.; Novak, J.T. Investigating the fate of activated sludge extracellular proteins in sludge digestion using sodium dodecyl sulfate polyacrylamide gel electrophoresis. Water Environ. Res. 2008, 80, 2219–2227. [Google Scholar] [CrossRef]
- Bruce, E.R.; Perry, L.M. Environmental Biotechnology: Principles and Applications; McGraw Hill: New York, NY, USA, 2001. [Google Scholar]
- Choi, Y.Y.; Baek, S.R.; Kim, J.I.; Choi, J.W.; Hur, J.; Lee, T.U.; Park, C.J.; Lee, B.J. Characteristics and Biodegradability of Wastewater Organic Matter in Municipal Wastewater Treatment Plants Collecting Domestic Wastewater and Industrial Discharge. Water-Sui 2017, 9, 409. [Google Scholar] [CrossRef]
- Ren, X.; Shon, H.K.; Jang, N.; Lee, Y.G.; Bae, M.; Lee, J.; Cho, K.; Kim, I.S. Novel membrane bioreactor (MBR) coupled with a nonwoven fabric filter for household wastewater treatment. Water Res. 2010, 44, 751–760. [Google Scholar] [CrossRef] [PubMed]
- Yeom, I.T.; Nah, Y.M.; Ahn, K.H. Treatment of household wastewater using an intermittently aerated membrane bioreactor. Desalination 1999, 124, 193–203. [Google Scholar] [CrossRef]
- Di Bella, G.; Torregrossa, M.; Viviani, G. The role of EPS concentration in MBR foaming: Analysis of a submerged pilot plant. Bioresour. Technol. 2011, 102, 1628–1635. [Google Scholar] [CrossRef] [PubMed]
- Le Clech, P.; Jefferson, B.; Chang, I.S.; Judd, S.J. Critical flux determination by the flux-step method in a submerged membrane bioreactor. J Membr. Sci. 2003, 227, 81–93. [Google Scholar] [CrossRef]
- Lew, B.; Tarre, S.; Beliavski, M.; Dosoretz, C.; Green, M. Anaerobic membrane bioreactor (AnMBR) for domestic wastewater treatment. Desalination 2009, 243, 251–257. [Google Scholar] [CrossRef]
- Cho, J.; Song, K.G.; Ahn, K.H. The activated sludge and microbial substances influences on membrane fouling in submerged membrane bioreactor: Unstirred batch cell test. Desalination 2005, 183, 425–429. [Google Scholar] [CrossRef]
- Holler, S.; Trösch, W. Treatment of urban wastewater in a membrane bioreactor at high organic loading rates. J. Biotechnol. 2001, 92, 95–101. [Google Scholar] [CrossRef]
- Dvořák, L.; Gómez, M.; Dvořáková, M.; Růžičková, I.; Wanner, J. The impact of different operating conditions on membrane fouling and EPS production. Bioresour. Technol. 2011, 102, 6870–6875. [Google Scholar] [CrossRef] [PubMed]
- Jang, N.; Ren, X.; Choi, K.; Kim, I.S. Comparison of membrane biofouling in nitrification and denitrification for the membrane bioreactor (MBR). Water Sci. Technol. 2006, 53, 43–49. [Google Scholar] [CrossRef] [PubMed]
- Holakoo, L.; Nakhla, G.; Bassi, A.S.; Yanful, E.K. Long term performance of MBR for biological nitrogen removal from synthetic municipal wastewater. Chemosphere 2007, 66, 849–857. [Google Scholar] [CrossRef] [PubMed]









| Reactor | SRT (day) | HRT (h) | RAS (%) | IR (%) | ||
|---|---|---|---|---|---|---|
| Total | Anoxic | Aerobic | ||||
| MBR1 * | 45 *** | 18 | 6 | 12 | 300 | |
| MBR2 * | 45 *** | 24 | 9 | 15 | 300 | |
| MBR3 * | 45 *** | 36 | 12 | 24 | 300 | |
| Conventional MLE ** | 7–20 | 5–15 | 1–3 | 4–12 | 50–100 | 100–200 |
| BOD (mg/L) | SS (mg/L) | COD (mg/L) | T-N (mg/L) | T-P (mg/L) | pH | |
|---|---|---|---|---|---|---|
| Concentration * | 750 (60) | 510 (41) | 1276 (103) | 46.7 (3.7) | 6.1 (0.4) | 6.0–6.5 |
| MBR1 | MBR2 | MBR3 | |
|---|---|---|---|
| Total HRT (h) | 18 | 24 | 36 |
| Organic Loading Rate (g COD/L-day) | 0.21 | 0.16 | 0.11 |
| MLSS (mg/L) | 6700 | 6300 | 5635 |
| MLVSS (mg/L) | 5430 | 5040 | 4310 |
| SS removal (%) * | >99 | >99 | >99 |
| COD removal (%) * | 79.0 (5.8) | 81.8 (11.6) | 83.2 (5.1) |
| T-N removal (%) * | 82.0 (3.6) | 84.2 (3.4) | 88.2 (3.5) |
| T-P removal (%) * | 54.4 (14.4) | 64.2 (13.9) | 71.6 (14.8) |
© 2017 by the authors. Licensee MDPI, Basel, Switzerland. This article is an open access article distributed under the terms and conditions of the Creative Commons Attribution (CC BY) license (http://creativecommons.org/licenses/by/4.0/).
Share and Cite
Lee, J.; Lee, J.W.; Kim, Y.M.; Park, C.; Park, K.Y. Performance and Fouling in Pre-Denitrification Membrane Bioreactors Treating High-Strength Wastewater from Food Waste Disposers. Water 2017, 9, 512. https://doi.org/10.3390/w9070512
Lee J, Lee JW, Kim YM, Park C, Park KY. Performance and Fouling in Pre-Denitrification Membrane Bioreactors Treating High-Strength Wastewater from Food Waste Disposers. Water. 2017; 9(7):512. https://doi.org/10.3390/w9070512
Chicago/Turabian StyleLee, Jongkeun, Jae Woo Lee, Young Mo Kim, Chul Park, and Ki Young Park. 2017. "Performance and Fouling in Pre-Denitrification Membrane Bioreactors Treating High-Strength Wastewater from Food Waste Disposers" Water 9, no. 7: 512. https://doi.org/10.3390/w9070512
APA StyleLee, J., Lee, J. W., Kim, Y. M., Park, C., & Park, K. Y. (2017). Performance and Fouling in Pre-Denitrification Membrane Bioreactors Treating High-Strength Wastewater from Food Waste Disposers. Water, 9(7), 512. https://doi.org/10.3390/w9070512

