Hepatic Steatosis in a Bullhead (Cottus gobio) Population from a High-Mountain Lake (Carnic Alps): Adaptation to an Extreme Ecosystem?
Abstract
1. Introduction
2. Materials and Methods
2.1. Study Sites
2.2. Fish Sampling
2.3. Analysis of Stomach Contents
2.4. Histological Evaluation
2.5. Statistical Analysis
3. Results
3.1. Fish Sampling and Anatomopathological Features
3.2. Stomach Contents Analysis
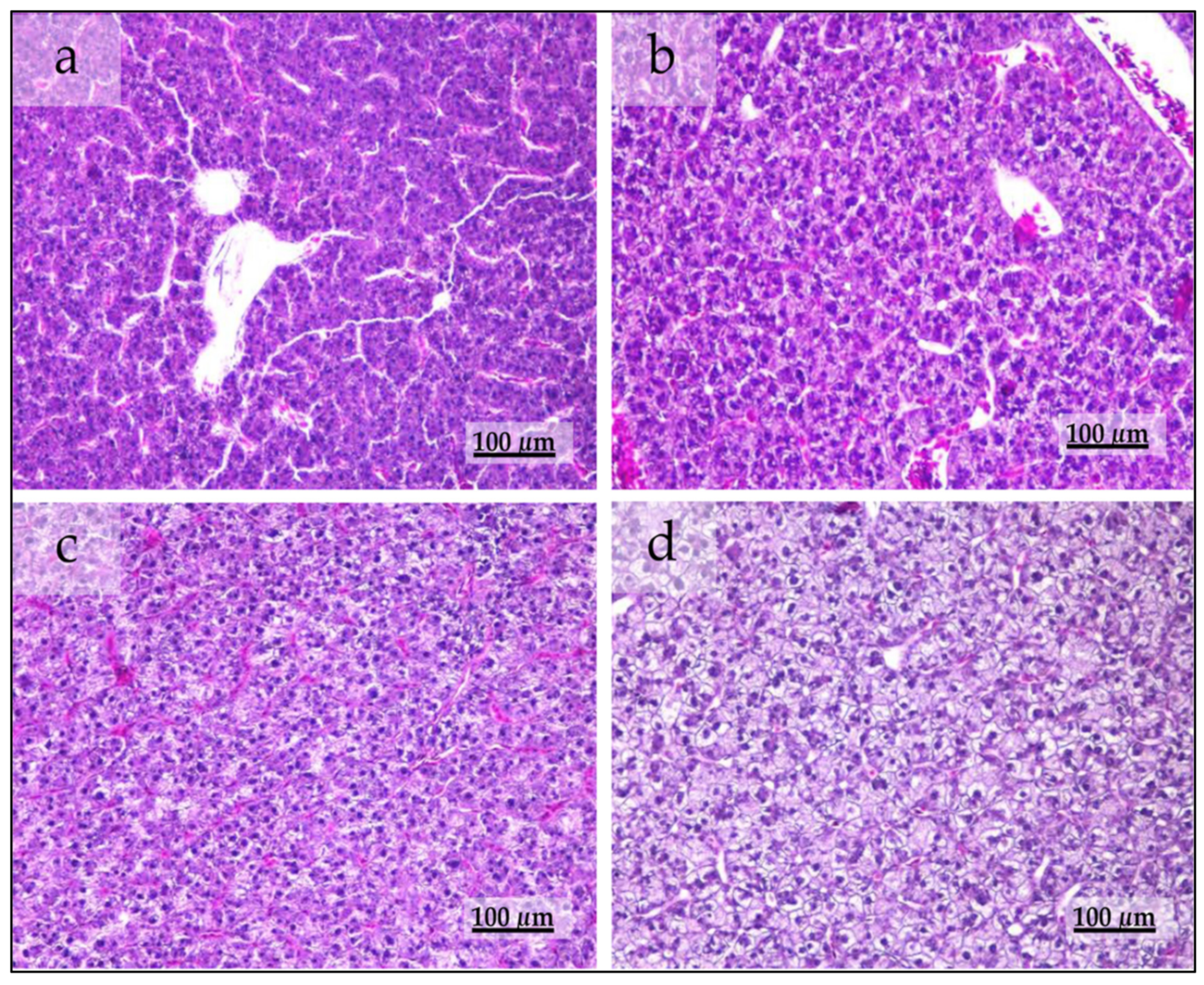
3.3. Histological Analysis
4. Discussion
Author Contributions
Funding
Acknowledgments
Conflicts of Interest
References
- Felip, M.; Wille, A.; Sattler, B.; Psenner, R. Microbial Communities in the Ice and Snow Cover of an Alpine Lake: Evidence for General Patterns, And Lake-Cover Relationship. Aquat. Microb. Ecol. 2002, 29, 123–134. [Google Scholar] [CrossRef]
 - Ventelä, A.M.; Saarikari, V.; Vuorio, K. Vertical and seasonal distributions of micro-organisms, zooplankton and phytoplankton in a eutrophic lake. In Eutrophication in Planktonic Ecosystems: Food Web Dynamics and Elemental Cycling. Developments in Hydrobiology; Tamminen, T., Kuosa, H., Eds.; Springer: Dordrecht, The Netherlands, 1998; Volume 127, pp. 229–240. [Google Scholar]
 - Rasmussen, J.B.; Robinson, M.D.; Hontela, A.; Heath, D.D. Metabolic traits of westslope cutthroat trout, introduced rainbow trout and their hybrids in an ecotonal hybrid zone along an elevation gradient. Biol. J. Linn. Soc. 2012, 105, 56–72. [Google Scholar] [CrossRef]
 - Kang, J.; Ma, X.; He, S. Population genetics analysis of the Nujiang catfish Creteuchiloglanis macropterus through a genome-wide single nucleotide polymorphisms resource generated by RAD-seq. Sci. Rep. 2017, 7, 2813. [Google Scholar] [CrossRef] [PubMed]
 - Li, Y.; Ren, Z.; Shedlock, A.M.; Wu, J.; Sang, L.; Tersing, T.; Zhong, Y. High altitude adaptation of the schizothoracine fishes (Cyprinidae) revealed by the mitochondrial genome analyses. Gene 2013, 517, 169–178. [Google Scholar] [CrossRef] [PubMed]
 - Jacobsen, D. Low oxygen pressure as a driving factor for the altitudinal decline in taxon richness of stream macroinvertebrates. Oecologia 2008, 154, 795–807. [Google Scholar] [CrossRef] [PubMed]
 - Pastorino, P.; Polazzo, F.; Bertoli, M.; Santi, M.; Righetti, M.; Pizzul, E.; Prearo, M. Consequences of fish introduction in fishless Alpine lakes: preliminary notes from a sanitary point of view. Turk. J. Fish. Aquat. Sci. 2019, 1, 1–8. [Google Scholar]
 - Froese, R. Cube law, condition factor and weight–length relationships: history, meta-analysis and recommendations. J. Appl. Ichthyol. 2006, 22, 241–253. [Google Scholar] [CrossRef]
 - Biney, C.; Amazu, A.T.; Calamari, D.; Kaba, N.; Mbome, I.L.; Naeve, H.; Ochumba, P.B.O.; Osibonjo, O.; Radegonde, V.; Saad, M.A.H. Review of Heavy Metals in the African Aquatic Environment. Ecotoxicol. Environ. Saf. 1994, 31, 134–159. [Google Scholar] [CrossRef]
 - Tiberti, R.; Brighenti, S.; Canedoli, C.; Iacobuzio, R.; Rolla, M. The diet of introduced brook trout (Salvelinus fontinalis; Mitchill, 1814) in an alpine area and a literature review on its feeding ecology. J. Limnol. 2016, 75, 488–507. [Google Scholar] [CrossRef]
 - Caballero, M.J.; Izquierdo, M.S.; Kjorsvik, E.; Fernandez, A.J.; Rosenlund, G. Histological alterations in the liver of sea bream, Sparus aurata L., caused by short- or long-term feeding with vegetable oils. Recovery of normal morphology after feeding fish oil as the sole lipid source. J. Fish Dis. 2004, 27, 531–541. [Google Scholar] [CrossRef]
 - Luna, L.G. Manual of Histologic Staining Methods of the Armed Forces Institute of Pathology, 3rd ed.; McGraw-Hill: New York, NY, USA, 1968; pp. 1–258. [Google Scholar]
 - Tiberti, R.; von Hardenberg, A.; Bogliani, G. Ecological impact of introduced fish in high altitude lakes: a case of study from the European Alps. Hydrobiologia 2014, 724, 1–19. [Google Scholar] [CrossRef]
 - Dawidowicz, P.; Gliwicz, M. Food of brook charr in extreme oligotrophic conditions of an alpine lake. Environ. Biol. Fishes 1983, 8, 55–60. [Google Scholar] [CrossRef]
 - Mills, C.A.; Mann, R.H.K. The bullhead Cottus gobio, a versatile and successful fish. In Fifty-First Annual Report for the Year Ended 31st March 1983; Freshwater Biological Association (Annual Report), Ed.; Freshwater Biological Association: Ambleside, UK, 1983; pp. 76–88. [Google Scholar]
 - Forneris, G.; Paradisi, S.; Specchi, M. Pesci D’acqua Dolce; Carlo Lorenzini Editore: Udine, Italy, 1990; pp. 1–21. [Google Scholar]
 - Ente Tutela Patrimonio Ittico, Regione Friuli Venezia-Giulia (Udine, Italy). Personal communication, 2017.
 - Buckland, A.; Baker, R.; Neil, L.; Sheaves, M. Standardizing fish stomach content analysis: The importance of prey condition. Fish. Res. 2017, 196, 126–140. [Google Scholar] [CrossRef]
 - Polazzo, F. Alpine Lakes as Indicators of Global Change: Two Examples from Italian Alps. Master’s Thesis, University of Trieste, Trieste, Italy, 24 March 2018. [Google Scholar]
 - Copp, G.H.; Warrington, S. Comparison of diet in bullhead, Cottus gobio and stone loach, Barbatula barbatula in a small English lowland. Folia Zool. 1994, 43, 171–176. [Google Scholar]
 - Dahl, J. Effects of a benthivorous and a drift-feeding fish on a benthic stream assemblage. Oecologia 1998, 116, 426–432. [Google Scholar] [CrossRef]
 - Copp, G.H.; Spathari, S.; Turmel, M. Consistency of diel behaviour and interactions of stream fishes and invertebrates during summer. River Res. Appl. 2005, 21, 75–90. [Google Scholar] [CrossRef]
 - Gabler, H.M.; Amundsen, P.A. Resource partitioning between Siberian sculpin (Cottus poecilopus Heckel) and Atlantic salmon parr (Salmo salar L.) in a sub-arctic river, northern Norway. Ecol. Freshw. Fish 1999, 8, 201–208. [Google Scholar] [CrossRef]
 - Vlach, P.; Švátora, M.; Dušek, J. The food niche overlap of five fish species in the Úpoř brook (Central Bohemia). Knowl. Manag. Aquat. Ecosyst. 2013, 411, 1–12. [Google Scholar] [CrossRef][Green Version]
 - Števove, B.; Babeľová, M.; Haruštiaková, D.; Kováč, V. When a river is affected by a reservoir: Trophic interactions and flexibility in feeding strategies of alpine bullhead (Cottus poecilopus) and European bullhead (Cottus gobio). Sci. Total Environ. 2019, 651, 1903–1912. [Google Scholar] [CrossRef]
 - Hochachka, P.W.; Somero, G.N. Biochemical Adaptation; Princeton University Press: Princeton, NJ, USA, 1984; pp. 1–560. [Google Scholar]
 - Cossins, A.R. Temperature Adaptation of Biological Membranes; Portland Press: London, UK, 1994; pp. 63–75. [Google Scholar]
 - Trueman, R.J.; Tiku, P.E.; Caddick, M.X.; Cossins, A.R. Thermal thresholds of lipid restructuring and Delta (9)-desaturase expression in the liver of carp (Cyprinus carpio L.). J. Exp. Biol. 2000, 203, 641–650. [Google Scholar]
 - Marshall, D.M. Starvation physiology: Reviewing the different strategies animals use to survive common challenge. Comp. Biochem. Physiol. Part A Mol. Integr. Physiol. 2010, 156, 1–18. [Google Scholar]
 - Akpınar, M.A. Cyprinus carpio L. (Osteichthyes: Cyprinidae) karaciğer ve kasındaki total lipid ve total yağ asidinin mevsimsel değişimi. Çukurova Üniversitesi Fen Bilimleri Dergisi 1986, 4, 33–42. [Google Scholar]
 - Kandemir, S.; Polat, N. Seasonal variation of total lipid and total fatty acid in muscle and liver of Rainbow trout (Oncorhynchus mykiss W, 1792) reared in Derbent Dam Lake. Turk. J. Fish. Aquat. 2007, 5, 27–31. [Google Scholar]
 - Yılmaz, Ö. Elazığ Hazar Gölü’nde yaşayan Capoeta capoeta umbla (Heckel, 1843)’ın Total Yağ Asidi Miktarı ve Yağ Asitleri Cinslerinin Mevsimlere Göre Değişimi. F.U. Fen Bilimleri Enstitüsü. Biyoloji Anabilim Dalı. Ph.D. Thesis, Fırat University, Elazığ, Turkey, 1995. [Google Scholar]
 - Roberts, R.J. (Ed.) Fish Pathology, 2nd ed.; Bailliere Tindall: London, UK, 1989; pp. 1–466. [Google Scholar]
 - Spisni, E.; Tugnoli, M.; Ponticelli, A.; Mordenti, T.; Tomasi, V. Hepatic steatosis in artificially fed marine teleosts. J. Fish Dis. 1998, 21, 177–184. [Google Scholar] [CrossRef] [PubMed]
 - Castell, J.D.; Sinnhuber, R.O.; Lee, D.J.; Wales, J.H. Essential fatty acids in the diet of rainbow trout (Salmo gairdneri): Physiological symptoms of EFA deficiency. J. Nutr. 1972, 102, 87–92. [Google Scholar] [CrossRef]
 - Murphy, B.R.; Willis, D.W. Fisheries Techniques, 2nd ed.; American Fisheries Society: Bethesda, MD, USA, 1996. [Google Scholar]
 - Hards, A.R.; Gray, M.A.; Noël, S.C.; Cunjak, R.A. Utility of Condition Indices as Predictors of Lipid Content in Slimy Sculpin (Cottus cognatus). Diversity 2019, 11, 71. [Google Scholar] [CrossRef]
 - Bogut, I.; Has-Schön, E.; Adámek, Z.; Rajković, V.; Galović, D. Chironomus plumosus larvae—A suitable nutrient for freshwater farmed fish. Agriculture 2007, 13, 1–5. [Google Scholar]
 - Timon-David, J. Recherches sur les mati6res grasses des insects. Annls. Fac. Sci. Marseille 1930, 4, 28–207. [Google Scholar]
 - Craig, S.; Helfrich, L.A. Understanding Fish Nutrition, Feeds and Feeding; Publication 420-256; Virginia Cooperative Extension: Yorktown, VA, USA, 2002; pp. 1–6. Available online: https://pubs.ext.vt.edu/content/dam/pubs_ext_vt_edu/FST/fst-269/FST-269.pdf (accessed on 4 October 2019).
 - Di Cicco, E.; Terzibasi Tozzini, E.; Rossi, G.; Cellerino, A. The short-lived annual fish Nothobranchius furzeri shows a typical teleost aging process reinforced by high incidence of age-dependent neoplasias. Exp. Geront. 2011, 46, 249–256. [Google Scholar] [CrossRef]
 - Van Dyk, J.C.; Pieterse, G.M.; van Vuren, J.H.J. Histological changes in the liver of Oreochromis mossambicus (Cichlidae) after exposure to cadmium and zinc. Ecotoxicol. Environ. Saf. 2007, 66, 432–440. [Google Scholar] [CrossRef]
 - Thomas, P. Molecular and biochemical responses of fish to stressors and their potential use in environmental monitoring. In Biological Indicators in Fish; Adams, S.M., Ed.; American Fisheries Society: Bethesda, MD, USA, 1990; pp. 9–28. [Google Scholar]
 - Kohler, A.; Deisemann, H.; Lauritzen, B. Histological and cytochemical indices of toxic injury in the liver of dab Limanda limanda. Mar. Ecol. Prog. Ser. 1992, 91, 141–153. [Google Scholar] [CrossRef]
 






| Season | N | TL (cm) | W (g) | LW (g) | HSI | K | L | 
|---|---|---|---|---|---|---|---|
| Summer (July)  | 1 | 14.0 | 29 | 0.803 | 2.77 | 1.06 | 2 | 
| 2 | 15.3 | 38 | 0.927 | 2.44 | 1.06 | 1 | |
| 3 | 15.3 | 37 | 0.925 | 2.50 | 1.03 | 2 | |
| 4 | 14.9 | 29 | 0.913 | 3.15 | 0.88 | 2 | |
| 5 | 13.1 | 27 | 0.867 | 3.21 | 1.20 | 3 | |
| 6 | 15.4 | 46 | 1.090 | 2.37 | 1.26 | 0 | |
| 7 | 14.5 | 41 | 0.914 | 2.23 | 1.34 | 2 | |
| 8 | 13.5 | 32 | 0.877 | 2.74 | 1.30 | 3 | |
| 9 | 13.2 | 26 | 0.874 | 3.36 | 1.13 | 3 | |
| 10 | 15.0 | 39 | 0.905 | 2.32 | 1.16 | 2 | |
| 11 | 13.4 | 31 | 0.964 | 3.11 | 1.29 | 3 | |
| 12 | 13.5 | 27 | 0.877 | 3.25 | 1.10 | 2 | |
| 13 | 12.2 | 20 | 0.594 | 2.97 | 1.10 | 3 | |
| 14 | 12.5 | 25 | 0.767 | 3.07 | 1.28 | 3 | |
| 15 | 12.4 | 21 | 0.540 | 2.57 | 1.10 | 1 | |
| Autumn (October)  | 16 | 14.3 | 37 | 1.424 | 3.85 | 1.27 | 3 | 
| 17 | 12.3 | 19 | 0.507 | 2.67 | 1.02 | 0 | |
| 18 | 14.5 | 37 | 0.884 | 2.39 | 1.21 | 3 | |
| 19 | 12.4 | 26 | 0.946 | 3.64 | 1.36 | 2 | |
| 20 | 12.0 | 17 | 0.530 | 3.12 | 0.98 | 3 | |
| 21 | 14.5 | 31 | 0.973 | 3.14 | 1.02 | 3 | |
| 22 | 15.5 | 33 | 0.861 | 2.61 | 0.89 | 2 | |
| 23 | 15.0 | 32 | 0.896 | 2.80 | 0.95 | 1 | |
| 24 | 15.5 | 39 | 1.197 | 3.07 | 1.05 | 3 | |
| 25 | 13.5 | 23 | 0.655 | 2.85 | 0.93 | 3 | |
| 26 | 14.5 | 34 | 1.231 | 3.62 | 1.12 | 3 | |
| 27 | 13.0 | 26 | 0.738 | 2.84 | 1.18 | 2 | |
| 28 | 13.5 | 28 | 0.717 | 2.56 | 1.14 | 2 | |
| 29 | 11.0 | 20 | 0.578 | 2.89 | 1.50 | 2 | |
| 30 | 12.5 | 24 | 0.838 | 3.49 | 1.23 | 3 | |
| 31 | 13.5 | 27 | 0.896 | 3.32 | 1.10 | 3 | |
| 32 | 11.8 | 19 | 0.606 | 3.19 | 1.16 | 3 | |
| 33 | 12.0 | 20 | 0.674 | 3.37 | 1.16 | 3 | |
| 34 | 11.7 | 19 | 0.589 | 3.10 | 1.19 | 3 | |
| 35 | 12.0 | 23 | 0.718 | 3.12 | 1.33 | 3 | 
| Season | N | TL (cm) | W (g) | LW (g) | HSI | K | L | 
|---|---|---|---|---|---|---|---|
| Summer (July) | 1 | 13.5 | 27 | 0.407 | 1.509 | 1.10 | 0 | 
| 2 | 14.2 | 40 | 0.768 | 1.920 | 1.40 | 1 | |
| 3 | 15.4 | 38 | 0.566 | 1.490 | 1.04 | 0 | |
| 4 | 14.9 | 31 | 0.478 | 1.543 | 0.94 | 0 | |
| 5 | 15.1 | 37 | 0.661 | 1.789 | 1.07 | 1 | |
| 6 | 13.1 | 25 | 0.390 | 1.560 | 1.11 | 1 | |
| 7 | 14.5 | 41 | 0.598 | 1.458 | 1.34 | 0 | |
| 8 | 13.5 | 32 | 0.530 | 1.657 | 1.30 | 0 | |
| 9 | 13.2 | 26 | 0.429 | 1.652 | 1.13 | 1 | |
| 10 | 15.0 | 39 | 0.575 | 1.475 | 1.16 | 0 | |
| Autumn (October) | 11 | 11.2 | 16 | 0.282 | 1.766 | 1.14 | 0 | 
| 12 | 13.2 | 26 | 0.402 | 1.547 | 1.13 | 0 | |
| 13 | 10.7 | 15 | 0.244 | 1.631 | 1.18 | 0 | |
| 14 | 14.1 | 38 | 0.622 | 1.639 | 1.36 | 1 | |
| 15 | 13.0 | 24 | 0.416 | 1.735 | 1.09 | 0 | |
| 16 | 10.6 | 14 | 0.216 | 1.542 | 1.14 | 0 | |
| 17 | 10.7 | 16 | 0.253 | 1.584 | 1.29 | 1 | |
| 18 | 14.4 | 28 | 0.462 | 1.651 | 0.93 | 0 | |
| 19 | 10.7 | 17 | 0.251 | 1.479 | 1.39 | 1 | |
| 20 | 15.0 | 37 | 0.532 | 1.437 | 1.10 | 0 | 
| Site | Season | N | TL (cm) | W (g) | K | LW (g) | HSI | L | 
|---|---|---|---|---|---|---|---|---|
| Dimon | Summer | 15 | 13.88 ± 1.12 | 31.20 ± 7.54 | 1.15 ± 0.12 | 0.85 ± 0.14 | 2.80 ± 0.38 a | 2 a | 
| Autumn | 20 | 13.25 ± 1.37 | 26.70 ± 6.89 | 1.14 ± 0.15 | 0.82 ± 0.24 | 3.08 ± 0.39 b | 3 b | |
| Degano | Summer | 10 | 14.24 ± 0.86 | 33.6 ± 6.15 | 1.16 ± 0.14 | 0.54 ± 0.12 | 1.60 ± 0.15 a | 0 a | 
| Autumn | 10 | 12.36 ± 1.76 | 23.1 ± 9.04 | 1.17 ± 0.14 | 0.36 ± 0.14 | 1.60 ± 0.10 b | 0 b | 
© 2019 by the authors. Licensee MDPI, Basel, Switzerland. This article is an open access article distributed under the terms and conditions of the Creative Commons Attribution (CC BY) license (http://creativecommons.org/licenses/by/4.0/).
Share and Cite
Pastorino, P.; Prearo, M.; Pizzul, E.; Bertoli, M.; Francese, D.R.; Menconi, V.; Mugetti, D.; Bozzetta, E.; Varello, K. Hepatic Steatosis in a Bullhead (Cottus gobio) Population from a High-Mountain Lake (Carnic Alps): Adaptation to an Extreme Ecosystem? Water 2019, 11, 2570. https://doi.org/10.3390/w11122570
Pastorino P, Prearo M, Pizzul E, Bertoli M, Francese DR, Menconi V, Mugetti D, Bozzetta E, Varello K. Hepatic Steatosis in a Bullhead (Cottus gobio) Population from a High-Mountain Lake (Carnic Alps): Adaptation to an Extreme Ecosystem? Water. 2019; 11(12):2570. https://doi.org/10.3390/w11122570
Chicago/Turabian StylePastorino, Paolo, Marino Prearo, Elisabetta Pizzul, Marco Bertoli, Danila Raffaella Francese, Vasco Menconi, Davide Mugetti, Elena Bozzetta, and Katia Varello. 2019. "Hepatic Steatosis in a Bullhead (Cottus gobio) Population from a High-Mountain Lake (Carnic Alps): Adaptation to an Extreme Ecosystem?" Water 11, no. 12: 2570. https://doi.org/10.3390/w11122570
APA StylePastorino, P., Prearo, M., Pizzul, E., Bertoli, M., Francese, D. R., Menconi, V., Mugetti, D., Bozzetta, E., & Varello, K. (2019). Hepatic Steatosis in a Bullhead (Cottus gobio) Population from a High-Mountain Lake (Carnic Alps): Adaptation to an Extreme Ecosystem? Water, 11(12), 2570. https://doi.org/10.3390/w11122570
        
