Next Article in Journal
The Effects of Fog on the Atmospheric Electrical Field Close to the Surface
Previous Article in Journal
The Influencing Mechanism of Urban Travel Carbon Emissions from the Perspective of Built Environment: The Case of Guangzhou, China
 
 
Font Type:
Arial Georgia Verdana
Font Size:
Aa Aa Aa
Line Spacing:
Column Width:
Background:
Article

Study on Lowering the Group 1 Protease Allergens from House Dust Mites by Exposing to Todomatsu Oil Atmosphere

1
Graduate School of Science and Engineering, Saitama University, 255 Shimo-Okubo, Sakura-ku, Saitama 338-8570, Japan
2
School of Environmental and Chemical Engineering, Shanghai University, 99 Shangdalu, Baoshan District, Shanghai 200444, China
*
Authors to whom correspondence should be addressed.
Atmosphere 2023, 14(3), 548; https://doi.org/10.3390/atmos14030548
Submission received: 18 January 2023 / Revised: 26 February 2023 / Accepted: 8 March 2023 / Published: 13 March 2023
(This article belongs to the Section Air Quality)

Abstract

Group 1 protease allergens that persist in fecal particles from house dust mites (HDM) are the prevalent indoor aeroallergens and the primary triggers of dust mite allergy. Consequently, it is vital to discover a secure, efficient, affordable, and eco-friendly inhibitor to restrain these allergens. Herein, an assessment on the suppression of allergens Der f 1 and Der p 1 (predominant Group 1 allergens) with todomatsu oil derived from the remnants of Abies sachalinensis was performed using enzyme-linked immunosorbent assay (ELISA), sodium dodecyl sulfate-polyacrylamide gel electrophoresis (SDS-PAGE), and molecular docking analysis in silico. The results demonstrated that todomatsu oil effectively suppresses allergens Der f 1 and Der p 1 by lowering their allergen contents, and the decline rate rises with increasing todomatsu oil concentration. The formation of alkyl hydrophobic interactions, pi-sigma bonds, and hydrogen bonds have been observed between oil ingredients and allergens Der f 1 and Der p 1. Intriguingly, the majority of oil ingredients prefer to dock on hydrophobic amino acids. Additionally, oil ingredients docked to the cysteine protease site on Der f 1 or IgG epitope on Der p 1 were discovered. Notably, the binding affinity (BA) score and inhibition constant (Ki) revealed that bornyl acetate, the component with the maximum relative proportion in todomatsu oil, is included in the top five ingredients with the best inhibition effectiveness. As a result, todomatsu oil has been identified as an efficient inhibitor against Group 1 HDM allergens and a viable measure to improve indoor air quality.

1. Introduction

Dust mite allergy is one of the most common forms of allergy among allergic diseases (allergic asthma, allergic rhinitis, and atopic dermatitis), which affects 65 to 130 million persons globally [1,2,3,4]. The term dust mite allergy, also named house dust allergy, refers to a sensitization reaction to the house dust mites (HDM) allergens commonly presented in mite feces, roughly the size of a pollen particle, that become airborne and can, thus, be easily inhaled to cause allergy [1,5].
HDM is the most frequent origin of indoor aeroallergens [1]. To date, 64 HDM allergens have been recognized [6,7]. The reported HDM allergens were divided based on their molecular feature and probable activity [3,4]. The two primary HDM allergen groups are Group 1 (Der p 1, Der f 1) and Group 2 (Der p 2, Der f 2). Over 80% of patients suffering from dust mite allergy possess IgE antibodies against Group 1 mite allergens [8,9,10,11]. Notably, Group 1 allergens that are generally observed in mite fecal pellets exhibit cysteine protease activity [1,2,8]. The protease-active allergens from HDM are primarily responsible for their allergic capability [2]. Moreover, Group 1 allergens are considered to retain their proteolytic activity when recognized by IgE, allowing for bimodal activation of cells expressing allergen-specific IgE [8,11,12].
Dust mite allergy arises from an aberrant Th2-biased adaptive immune response. Consolidated results have underlined the critical roles of catalytically competent Group 1 HDM protease allergens on the development of innate immune responses resulting in HDM allergic inflammation [12,13]. Activation of innate immune signaling pathways, regulated by the airway epithelium in respiratory sensitization, has been considered an essential prerequisite for initiating HDM sensitizations [13]. The synthesis of intercellular junctions (such as tight junctions (TJs) and adheres junctions (AJs)) is necessary for the maintenance of the integrity of the epithelial sheet, which is the determining element for its barrier function [13,14]. On inhalation, Group 1 protease allergens elicit a sensitization reaction by irreversibly cleaving epithelial TJs, increasing epithelial permeability, which enables HDM allergens to move to dendritic cells (DCs), which present the inhaled antigens to naïve T cells [1,2,12,15]. The accessibility of Toll-like receptor 4 (TLR4) signaling activation by Group 2 allergens might also depend on the enhanced epithelial permeability induced by Group 1 allergens [12,13]. TLR4 signaling is critical for the development of pulmonary sensitization to HDM allergens [12]. Group 2 allergens can replace myeloid differentiation factor-2 (MD-2), the lipopolysaccharide (LPS) binding co-receptor of TLR4 signaling, in promoting LPS-triggered TLR4 signaling as a result of their structural homologies [12,13,16,17]. However, the endosomes and basolateral location of TLR4 in epithelial cells with the “fence” role of TJs restricting its intramembrane movement and the relatively impermeable airway epithelium to intact native Group 2 allergens have been noticed [12,18,19,20,21]. This implies that the optimal interaction of Group 2 allergens to TLR4 relies on the impairment of the TJ barrier by Group 1 allergens [12,22]. Additionally, the protease activity of Group 1 allergens induces airway epithelial cells to produce interleukin-25 (IL-25), IL-33, and thymic stromal lymphopoietin (TSLP) [2]. Group 2 innate lymphoid cells (ILC2s) become activated by these cytokines, followed by Th2 cytokines IL-5, IL-9, and IL-13 released by activated ILC2s, which allows ILC2s to launch and enhance the immune response and impact both innate and adaptive immunity [2]. (IL-5 involves the eosinophils activation and proliferation; IL-13 involves goblet cell metaplasia and the activation of DCs.) Moreover, Group 1 allergens serve as prothrombinase to generate the thrombin that promotes the activation of protease-activated receptor (PAR)-1, PAR-4, and TLR4 signaling that controls IL-33 release and the expression of the pro-inflammatory genes via TLR4-dependent production of reactive oxidants (ROS) [12,23,24]. Hence, a reasonable modern idea argues that Group 1 protease allergens act as a significant base of HDM allergens to develop immune responses.
Most existing avoidance measures against dust mite allergy include removing mites from our habitat using air purification, high-temperature steam cleaning, humidity control, chemical-synthetic agent sterilizing, etc. [25,26,27,28,29,30,31,32,33,34,35,36,37,38]. Nevertheless, the topic of the suppression of HDM allergens found in their droppings, which easily trigger an allergic reaction on inhalation [1], has not received much attention to date. The indoor levels of HDM allergens have been found to have a causal relationship with sensitization and asthma [39,40,41,42,43]. Furthermore, a clinical trial from Van Den Bemt et al. (2004) demonstrated the alleviation of morning allergic symptoms because of decreased HDM allergens on mattresses after adopting a mite allergen-impermeable bed covering system [44]. Therefore, how to lower allergen levels is a meaningful study subject for dust mite allergy prevention and symptom relief. Notably, the HDM allergen-impermeable covers are ineffective for sensitive individuals leaving the bed because of HDM aeroallergens distributed everywhere indoors, even in traffic transport [45]. A valuable report from Insung et al. (2016) illuminated the repression of allergen Der p 1 using essential oils from the medicinal plants cinnamon (Cinnamomum bejolghota [Buch.-Ham.] Sweet), citronella grass (Cymbopogon nardus Rendle), and clove (Syzygium aromaticum [L.] Merr. and L. M. Perry) [46]. Regrettably, these medicinal plants are challenging for mass production due to their high cost. In the latest report from Lin et al. (2022), the inhibition of allergen Der f 2 using todomatsu oil derived from woodland remnants of Abies sachalinensis has been identified [47]. This body of work illustrated the safe, efficient, inexpensive, ecologically friendly, and convenient (as a spray at home or as a paste on masks in the workplace or on traffic transport) traits of todomatsu oil, making it an attractive potential inhibitor of HDM allergens. To further comprehend the potential of todomatsu oil as an inhibitor against Group 1 protease allergens, the predominant HDM allergens with a prominent role in eliciting the immune response, an in vitro investigation on the suppression of todomatsu oil on Group 1 HDM allergens was conducted. (In vivo or epidemiological studies such as those described by Van Den Bemt et al. (2004) [44] are not feasible under our current conditions, even if they are the best choice for assessing the efficacy of todomatsu oil lowering HDM allergen contents on relieving allergy symptoms and preventing dust mite allergy. Hence, we only elaborate on the suppression of Group 1 HDM allergens using todomatsu oil here.)
This study investigated the suppression of Group 1 protease allergens by todomatsu oil based on the impact of todomatsu oil on the content of allergens Der f 1 and Der p 1. Allergens Der f 1 and Der p 1 secreted from the dominant allergic mite species were chosen to represent Group 1 allergens as Group 1 allergens display structural homology as well as cross-reactivity [1]. The method described here chose a monoclonal antibody (mAb) 4C1 binding to a specific cross-reactive epitope on both allergens [8,11,48]. Moreover, this epitope is linked with IgE recognition and is located far from the active site of cysteine protease [8,11,48,49,50,51]. Owing to its high sequence identity and structural homology with Der p 1 [1,8,11], the standard allergen Der f 1 was adopted as a model allergen to verify the reduction in allergen content in the todomatsu oil atmosphere and evaluate the relationship between oil concentration and decline rate. Subsequently, the interactions within allergens (Der f 1 and Der p 1) and ingredients-of-todomatsu oil were predicted using molecular docking in silico. The fundamental outcomes are docking pattern (docking manner and sites) and docking energy (ΔG) [47]. The binding affinity (BA) score and inhibition constant (Ki), which represent the docking strength and inhibition effectiveness, were computed [52,53,54]. This research will offer fresh insights into the potential of todomatsu oil to restrain the dominant HDM allergens and improve domestic air condition.

2. Methods

2.1. House Dust Sampling

Eight house dust samples were collected from carpets, fabric-covered furniture, mattresses, and smooth floors in the homes of lab members in Japan using a vacuum cleaner (v6 mattress, Dyson Co., Ltd., Tokyo, Japan) [39,55,56,57]. Lab members were requested to refrain from cleaning the rooms for one week before the sample collection. Within this week, they were asked to keep 50% relative humidity and stable temperature (25 ± 1 °C) inside the house. A unique sampling bag was used for each residence, and the vacuum cleaner was cleaned between each sampling. The house dust samples collected in sealed sampling bags were transported to the lab within 6 h. The house dust samples were then dry sieved utilizing sieves with 1 cm mesh sizes. The sieved samples were stored at −30 °C before the extraction of HDM allergens.

2.2. Extraction of House Dust Mite Allergens

To investigate the impact of Group 1 allergens (Der f 1 and Der p 1) in house dust using todomatsu oil, the HDM allergens in house dust were extracted. First, the sieved samples were ground into a powder with liquid nitrogen. Next, 0.1 g of powder from each sample was weighed and placed in a tube, and 1 mL of phosphate-buffered saline (PBS, pH 7.4) was added. After standing at 4 °C for 1 h, samples were centrifuged for 5 min at 13,000 rpm. Finally, the supernatant was carefully collected and filtered using a 2 μm PTFE filter (Toyo Roshi Kaisha, Co., Ltd., Tokyo, Japan). The filtrates, which are house dust extracts, were stored at −20 °C.

2.3. Evaluation of Allergen Content Using ELISA Assay

To estimate the influence of todomatsu oil on Group 1 allergens (Der f 1 and Der p 1), an enzyme-linked immunosorbent assay (ELISA) was performed. The accumulative concentration of allergens Der f 1 and Der p 1 in every house dust extract was first estimated. Three house dust extracts with a concentration that exceeded the sensitization threshold (2 μg/g) [39,40,41,42,43] were picked out from eight house dust extracts for this assay and labeled No. A–No. C. Before the assay, the samples were prepared as described by Lin et al. [47]. The house dust extracts (No. A, No. B, No. C) diluted six times with PBS were exposed to 0.1 μL/cm3 of todomatsu oil (Aroma Laboratory Co., Ltd., Tokyo, Japan) atmosphere and 250 ng/mL of standard allergen Der f 1 (Indoor Biotechnologies Co., Ltd., Cardiff, UK) was exposed to 0.01, 0.02, 0.05, and 0.10 μL/cm3 of todomatsu oil atmosphere in a 200-mL sealed vessel at 25 °C for 2 h. The treatments with todomatsu oil were named the test group, and the oil-free counterpart of each sample was simultaneously set as the control group.
ELISA assay was conducted as previously described [47,58,59,60]. In brief, the prepared samples were coated onto polystyrene plates at 4 °C overnight (PBS was set as blank control). After blocking with 100 mg/L bovine serum albumin (BSA, Jackson Immuno Research Laboratories Inc., West Grove, PA, USA) in PBST (0.1% Tween-20 in PBS), the plates were incubated with rabbit IgG anti-Der f 1 mAb 4C1 (Absolute Antibody, Co., Ltd., UK) (anti-Der f 1 mAb 4C1 [11,48] equally binds Der p 1.) and then goat HRP-conjugated anti-rabbit IgG (H+L chain) polyclonal secondary antibody (Medical Biological Laboratory Co., Ltd., Tokyo, Japan). Following incubating with TMB (3,3′,5,5′-tetramethylbenzidine) solution (Thermo Scientific Inc., Waltham, MA, USA), 2 M H2SO4 was used to terminate the reaction. The measurement of the absorbances at 450 nm was carried out using a microplate reader (Bio-Rad Laboratories, Inc., Hercules, CA, USA). Three duplicates of each sample were executed. The decline rates were measured as a description by Lin et al. [47] and presented in the following equation.
Decline   rate   ( % ) = V C V T V C V 0 × 100 %
where VT, VC, and V0 are the absorbance values of the test group, control group, and blank control, correspondingly.

2.4. Determination of Allergen Level Employing SDS-PAGE

Sodium dodecyl sulfate-polyacrylamide gel electrophoresis (SDS-PAGE) was applied to determine the allergen content in the todomatsu oil atmosphere, referred to the research of Lin et al. [47]. The standard allergen Der f 1 (100,000 ng/mL) in the test group was exposed to a todomatsu oil atmosphere (0.10 μL/cm3) at 25 °C for 2 h in a 200-mL airtight vessel, and its oil-free duplication was designed as the control group. After treatment, the samples were denatured with 6×loading buffer (Geno Technology Inc., St. Louis, MO, USA) at 99 °C for 5 min. The 12.5% prefabricated gel (ATTO Co., Ltd., Chuo, Tokyo, Japan) was loaded with every sample and electrophoresed for 90 min at 250 constant voltages. Hereafter, it was dyed with Coomassie brilliant blue R-250 (ATTO Co., Ltd., Chuo, Tokyo, Japan) and decolorization with deionized water.

2.5. Assessment of Allergens and Ingredients-of-Todomatsu Oil Interactions Utilizing Molecular Docking Analysis

Molecular docking applied extensively in computer-assist drug design docks small molecules to a macromolecular to look for leading molecules with desired bio performance [61]. The blind molecular docking of the ingredients of todomatsu oil on Group 1 allergens (Der f 1 and Der p 1) was achieved in silico using PyRx software version 0.8 (San Diego, CA, USA) [47,61,62,63] to assess the docking pattern (docking manner and sites), binding affinity (BA) score, and inhibition constant (Ki) on both allergens by oil ingredients.
The oil ingredients with their relative proportions in oil were received from Forestry and Forest Products Research Institute, Wood extractives laboratory, and Japan Aroma Laboratory [47,64]. The 3D structure-data files (SDF) of oil ingredients were downloaded from the PubChem online platform (https://pubchem.ncbi.nlm.nih.gov/, accessed on 20 July 2022) (Table 1). Their energy minimization and conversion to AutoDock ligands were conducted through Open Bable in PyRx software version 0.8 [47,61,65,66,67]. Similarly, the 3D structures of allergens Der f 1 and Der p 1 were obtained from the Protein Data Bank (PDB) (https://www.rcsb.org/, accessed on 20 July 2022) with PDB ID: 5vpk and PDB ID: 5vph separately (Table 2). The allergens were then converted to macromolecular for docking using AutoDock Vina in PyRx software version 0.8 [47,61,65,66,67]. The molecular docking of the oil ingredients on allergens Der f 1 and Der p 1 was then conducted utilizing AutoDock Vina in PyRx software version 0.8 [47]. The center grid boxes were set to the dimensions 45.5020 × 52.5891 × 56.7925 Å and 56.9293 × 53.5172 × 44.8991 Å for Der f 1 and Der p 1, respectively. The geometry of the allergen–oil ingredients complex and the docking energy (ΔG) are the primary outcomes of molecular docking [47]. Biovia Discovery studio 4.5 was employed to display the protein–ligand interactions, including the optimal docking manner and sites [47,52,68,69]. The values of BA and Ki were calculated based on ΔG energy as the Equations (2) and (3).
BA = Δ G
K i = e Δ G   × 1000 Rcal   ×   TK
where ΔG is the docking energy, Rcal is 1.987, and TK is 298.15 [53,70,71]. The higher BA score denotes the stronger attachment of the oil ingredient to the allergen. Ki value, the inhibitor concentration required to induce half-maximum suppression, signifies the inhibition effectiveness of the oil ingredient on the allergen [52,53,54].

2.6. Statistical Analysis

OriginLab Pro 8 was adopted to analyze and plot the data. Differences among groups were examined by one-way analysis of variance (One-Way ANOVA) using SPSS version 18 (SPSS Inc., Chicago, IL, USA). Statistical significance was set at p < 0.05. Image J analysis software version 1.48 (National Institutes of Health, Bethesda, MD, USA) was applied to appraise the gray value of the band of the SDS-PAGE result [47].

3. Results

3.1. Significantly Lowered Levels of Allergens Der f 1 and Der p 1 in the Todomatsu Oil Atmosphere

The impact of todomatsu oil on allergens Der f 1 and Der p 1 in house dust extracts was first estimated using an ELISA assay. (The findings reflect the cumulative content of allergens Der f 1 plus Der p 1 in house dust as the result of anti-Der f 1 mAb 4C1 used in the assay alike recognizing Der p 1 [8,11,48].) We found that the accumulative contents of allergens Der f 1 and Der p 1 in house dust extracts declined using todomatsu oil, and the decline rate was 20–40% (Figure 1). This indicates that todomatsu oil reduces allergens Der f 1 and Der p 1 in house dust extracts.
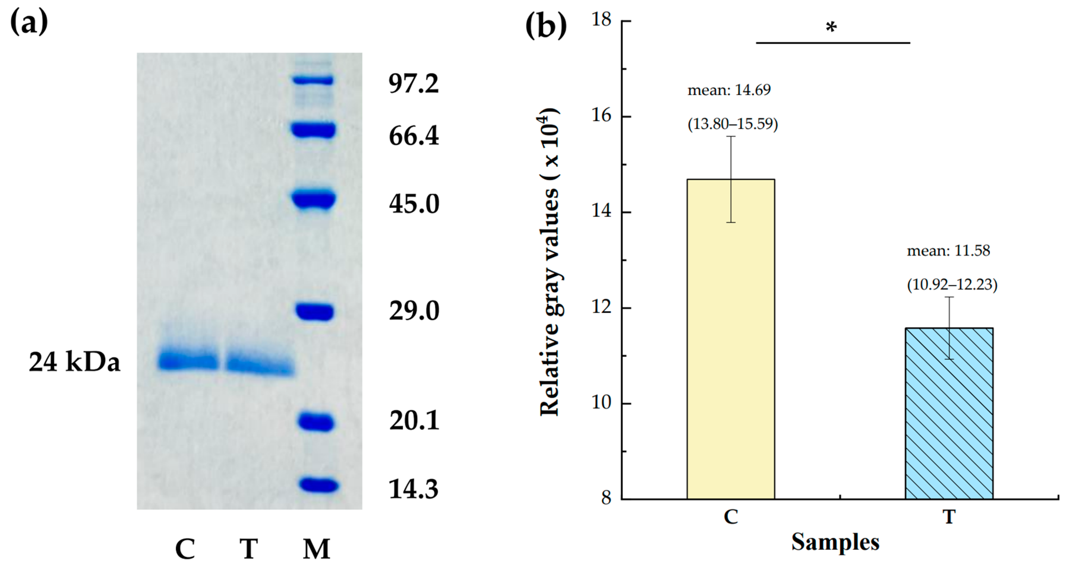
To verify the reduction in allergen content in the todomatsu oil atmosphere, the content of standard allergen Der f 1 exposure to todomatsu oil was determined utilizing SDS-PAGE. Allergen Der f 1 was applied as a representative allergen in this determination since it shares substantial sequence similarity and structural homology with Der p 1 [1,8,11]. As shown in Figure 2, a significant content reduction of allergen Der f 1 occurred after todomatsu oil exposure. Accordingly, it suggests that todomatsu oil effectively suppresses allergens Der f 1 and Der p 1 by lowering their allergen levels.

3.2. Higher Decline Rate with the Increasing Todomatsu Oil Concentration

To evaluate the effect of todomatsu oil concentration on suppression, the decline rates of standard allergen Der f 1 in todomatsu oil atmosphere with varied concentrations were examined via ELISA. The results showed a higher decline rate with the increased todomatsu oil concentration. (Figure 3). The possible competitive combination to todomatsu oil by the multiple allergens contained in unpurified house dust extracts is likely accountable for the higher inhibition rate on standard allergen Der f 1 under the same given condition than on allergens Der f 1 and Der p 1 in house dust extracts.

3.3. Interactions among Ingredients-of-Todomatsu Oil and Allergens Der f 1 and Der p 1

The blind auto-docking in silico was performed to predict the interactions between ingredients-of-todomatsu oil (involving 3-carene, α-terpinolene, borneol, β-maaliene, tricyclene, β-myrcene, limonene, β-pinene, β-phellandrene, α-pinene, camphene, and bornyl acetate) and allergens Der f 1 and Der p 1. Oil ingredients have been discovered docking on both allergens through alkyl hydrophobic interactions, pi-sigma bonds, and hydrogen bonds (including conventional hydrogen bonds and carbon–hydrogen bonds) (Table 3 and Table A1).
Covalent bonds are the most powerful natural bonds [72]. Covalent bonds between cysteine (disulfide bridges) are crucial determinants of protein structure. Hydrogen bonds maintain stable secondary, tertiary, and quaternary structures of proteins [72]. Hydrophobic interactions have a considerable impact on protein structure as well, through forming a hydrophobic inner to keep stability and bioactive [72,73,74]. According to the docking outcomes, most oil ingredients favor docking to hydrophobic amino acids via alkyl hydrophobic interactions (Table 3 and Table A1). In terms of Der f 1, tricyclene and limonene only interact with hydrophobic amino acids, 75–80% of interacting amino acids with α-terpinolene, β-phellandrene, and camphene are hydrophobic, and 67% of amino acids interacting with 3-carene, borneol, β-maaliene, and bornyl acetate are hydrophobic. As for Der p 1, α-terpinolene, β-maaliene, limonene, and β-pinene only dock to hydrophobic amino acids, 80% and 75% of amino acids bound by β-phellandrene and β-myrcene are hydrophobic, and 67% of amino acids docked by α-pinene and bornyl acetate are hydrophobic.

3.4. Functional Sites on Allergens Der f 1 and Der p 1 Bound by Todomatsu Oil

Group 1 HDM allergens are cysteine proteases. In the study of Dilworth et al. (1991), the amino acid residues constructing the active site of allergen Der f 1 are conserved in allergen Der p 1 [75]. These residues are GLN29, GLY33, SER34, CYS35, HIS171, ASN191, SER192, and TRP193 (The numbering refers to Der f 1. Der p 1 lacking a serine, appearing at position 8 in Der f 1, is the reason for the discrepancy in amino acid numbering between both allergens [11,75].). Among them, GLN29, CYS35, HIS171, and ASN191 are catalytic residues [8]. From the docking analysis, β-maaliene, β-myrcene, and camphene have been observed in alkyl hydrophobic interactions with catalytic residue CYS35 in allergen Der f 1 (Table 3 and Table A1).
As per the report from Chruszcz et al. (2012), the amino acid residues formed mAb 4C1 binding epitope in allergens Der f 1 and Der p 1 are GLU13, ASP15, ARG17, GLN18, ARG20, ARG156, ILE158, ALA180, GLN181, TYR185, ASP198, ASN199, TYR201, and TYR203 (the numbering refers to Der p 1) [11]. As per the docking data, ILE158, ALA180, TYR185, and TYR203 have been discovered in interactions with oil ingredients (Table A1). Alkyl hydrophobic interactions have been found between ILE158-3-carene, ALA180-borneol, ALA180-tricyclene, ALA180-camphene, TYR185-3-carene, TYR185-borneol, TYR185-tricyclene, TYR185-camphene, TYR203-3-carene, TYR203-tricyclene, and TYR203-camphene. Pi-sigma bonds, which are mostly developed on side-chain-exposed functional groups of proteins with ligands [72], have been shown within TYR203-borneol and TYR185-tricyclene.

3.5. Inhibition Effectiveness of Each Ingredients-of-Todomatsu Oil on Allergens Der f 1 and Der p 1

The BA score, an indicator of the docking strength of the allergen–ingredient complex, of each oil ingredient to allergens Der f 1 and Der p 1, was calculated separately using Equation (2). The Ki value of each oil ingredient on allergens Der f 1 and Der p 1 was computed independently using Equation (3). Ki value, referred to as the inhibitor concentration sufficient to generate half-maximum repression, implies the inhibition effectiveness of each oil ingredient on the allergen [52,53,54]. As shown in Figure 4, regression analysis showed a linear correlation between ΔG energy and Ki value with R2 = 0.9, indicating that the Ki value is proportional to the ΔG energy, so a smaller Ki value denotes a higher BA score. As a result, a lower Ki value and a superior BA score express better inhibition effectiveness. Following the results of BA score and Ki value, the oil ingredients can restrain the Der f 1 slightly stronger than Der p 1 except β-myrcene, yet, their inhibition trends on both allergens are alike (Figure 5 and Table A2). In addition, the top 5 oil ingredients that showed the best inhibition effectiveness on both allergens are β-maaliene (Ki values are 20.34 and 33.74 μM on Der f 1 and Der p 1), bornyl acetate (33.74 and 66.29 μM on Der f 1 and Der p 1), α-terpinolene (39.95 μM on both Der f 1 and Der p 1), β-phellandrene (47.30 and 66.29 μM on Der f 1 and Der p 1), and limonene (55.99 and 66.29 μM on Der f 1 and Der p 1) (Figure 5 and Table A2). Significantly, bornyl acetate (25.75%) and β-phellandrene (12.05%), with the highest and relatively high quantities in todomatsu oil separately, are included in these top 5 ingredients [47,64]. Inversely, the most effective ingredients for allergen Der f 2 possess the lowest relative percentages in oil [47]. This suggests that todomatsu oil is perhaps more potent for Group 1 allergens than for Der f 2.

4. Discussion

The hazards of Group 1 HDM allergens, particularly for sensitized respiratory diseases, have been extensively elucidated in the literature [2,3]. Nonetheless, awareness of how to restrain these allergens remains generally low. Recent research by Lin et al. (2022) demonstrated the inhibiting capability of todomatsu oil produced from Abies sachalinensis remnants on allergen Der f 2, with its efficient, inexpensive, harmless, handy, and eco-friendly features, allowing it to become a prospective possible antagonist of HDM allergens [47]. In contrast, research on repressing Group 1 allergens with todomatsu oil is still missing. We conducted this study to assess the suppression of Group 1 HDM allergens, which are prevalent in the domestic environment and more readily trigger allergy, using todomatsu oil.
The existence of a hydrophobic core is what stabilizes the tertiary structure, in addition to disulfide bonds [76]. A hydrophobic core is hydrophobic amino acids concentrated in the center and hydrophilic residues on the surface. The oil-bound hydrophobic amino acids (Table 3 and Table A1) potentially lead to the exposure of the hydrophobic core of the allergens and then the breakdown of protein structure, accelerating the degradation of allergens. It perhaps is responsible for the reduced allergen levels.
As reported in Chruszcz et al. (2012), the amino acid residues creating mAb 4C1 binding epitope in allergens Der f 1 and Der p 1 are GLU13, ASP15, ARG17, GLN18, ARG20, ARG156, ILE158, ALA180, GLN181, TYR185, ASP198, ASN199, TYR201, and TYR203 (the numbering refers to Der p 1) [11]. ASP15, ARG17, ILE158, TYR185, ASP198, TYR201, and TYR203 established a core “rigid” interface to which the antibody adheres [11]. Moreover, the hydrogen bond has been developed between TYR203 of Der p 1 and GLU106 from the third complementarity-determining region (CDR3) on the mAb 4C1 when mAb 4C1 specifically recognized to Der p 1 [11]. Abolished mAb 4C1 binding and diminished IgE antibody binding can be observed for the allergen Der p 1 with mutated contact residues [11]. Under the data from molecular docking, ILE158, ALA180, TYR185, and TYR203, involved in the epitope of mAb 4C1 that overlaps the epitope of human IgE antibodies on Der p 1 [8,11,48], can be docked by oil ingredients (3-carene, borneol, tricyclene, and camphene) via alkyl hydrophobic interactions (Table A1). Furthermore, pi-sigma bonds have been displayed, as well, in TYR203-borneol and TYR185-tricyclene (Table A1). In many instances, the establishment of a covalent bond results in the blocking of the biological activity of their target due to its irreversible nature and a high surface coverage after its construction [74]. Thereby, the interactions among oil ingredients and contact residues of mAb 4C1 epitope on allergen Der p 1 probably block the IgG/IgE binding epitopes of Der p 1. This indicates that todomatsu oil possibly decreases the human IgG/IgE binding ability to Der p 1.
GLN29, CYS35, HIS171, and ASN191 are substrate-binding and catalytic residues in allergen Der f 1 [8]. A thiolate–imidazolinium ion pair built by CYS35 and HIS171, which is preserved in other cysteine proteases, is likely the most important for the enzymatic activity [8,77,78]. The docking outcomes have revealed the catalytic residue CYS35 in allergen Der f 1 bound with oil ingredients (β-maaliene, β-myrcene, and camphene) through alkyl hydrophobic interactions (Table 3 and Table A1). Thus, it is speculated that the alkyl hydrophobic interactions within these oil ingredients and CYS35 presumably destroy the enzymatic activity of cysteine proteases, which display a crucial role in leading to HDM allergic inflammation. This suggests that the sensitized manifestation of Group 1 allergens might be impaired owing to the disrupted catalytic activity of cysteine proteases by todomatsu oil.
This research provides novel information about a feasible approach for repressing Group 1 HDM allergens and enhancing indoor air quality. Todomatsu oil, produced from Abies sachalinensis remnants, which is safe, efficient, affordable, convenient, and eco-friendly, presented its excellent competency to inhibit the Group 1 HDM allergens and allergen Der f 2 [47], which are the most prevalent allergens in mite droppings. Practical applications have been undertaken in this study. It means todomatsu oil effectively suppresses HDM allergens in our living surroundings. The predicted interactions between oil ingredients and Group 1 allergens have been analyzed, as well, which shed light on the effectiveness of todomatsu oil as an antagonist. Nonetheless, in vivo or epidemiological studies are still perceived necessary to discover the performance of todomatsu oil on dust mite allergy prevention and symptom relief due to the various environmental and biological factors that influence the results in the natural environment.

5. Conclusions

Group 1 allergens with cysteine protease activity in the fecal matter secreted from house dust mites are widespread indoor airborne allergens and play a prominent role in provoking dust mite allergy. Thence, finding an efficient, affordable, safe, and environmentally sustainable inhibitor is in demand for repressing these allergens. Our data disclosed that todomatsu oil extracted from Abies sachalinensis remnants represses the allergens Der f 1 and Der p 1 by lowering their allergen content. Moreover, a higher decline rate appeared as todomatsu oil concentration increased. The oil ingredients docked on allergens Der f 1 and Der p 1 through alkyl hydrophobic interactions, pi-sigma bonds, and hydrogen bonds. Interestingly, hydrophobic amino acids are the preferred residues most oil ingredients dock on. Additionally, the cysteine protease site on Der f 1 and IgG epitope on Der p 1 have been detected in interaction with oil ingredients. Remarkably, bornyl acetate, listed in the top five ingredients (β-maaliene, bornyl acetate, α-terpinolene, β-phellandrene, and limonene), is the most abundant component of todomatsu oil. Consequently, todomatsu oil, being efficient, inexpensive, secure, convenient, and environmentally benign, is an excellent suppressant of Group 1 HDM allergens and a feasible strategy for improving indoor air quality.

Author Contributions

Conceptualization, Y.L. and Q.W.; methodology, Y.L. and K.X.; formal analysis, Y.L.; resources, Q.W.; data curation, Y.L. and Q.W.; writing—original draft preparation, Y.L.; writing—review and editing, Y.L., Q.W., K.X., S.L., and W.W.; visualization, Y.L.; project administration, Q.W.; funding acquisition, Q.W. All authors have read and agreed to the published version of the manuscript.

Funding

This study was partially supported by the Special Funds for Innovative Area Research (No. 20120015, FY2008-FY2012) and Basic Research (B) (No. 24310005, FY2012-FY2014; No. 18H03384, FY2017-FY2020) of Grant-in-Aid for Scientific Research of Japanese Ministry of Education, Culture, Sports, Science and Technology (MEXT) and the Steel Foundation for Environmental Protection Technology of Japan (No. C-33, FY2015-FY2017). The APC was funded by the correspondence author.

Institutional Review Board Statement

Not applicable.

Informed Consent Statement

Not applicable.

Data Availability Statement

The raw data requests can be made to the corresponding author.

Acknowledgments

The authors wish to thank the Japan Aroma Laboratory Co., Ltd. (S. T. Corporation) for their support and for providing todomatsu oil and its dominant ingredients with relative percentages.

Conflicts of Interest

The authors declare no conflict of interest.

Appendix A

Table A1. 2D and 3D diagrams of ingredients-of-todomatsu oil (except top 5 ingredients) on allergens Der f 1(5vpk)/Der p 1(5vph) binding pocket.
Table A1. 2D and 3D diagrams of ingredients-of-todomatsu oil (except top 5 ingredients) on allergens Der f 1(5vpk)/Der p 1(5vph) binding pocket.
Ingredients of Todomatsu Oil3D Complex Representation2D Complex RepresentationDocking Amino Acid Residues
Der f 1Der p 1Der f 1Der p 1Der f 1Der p 1
3-careneAtmosphere 14 00548 i001Atmosphere 14 00548 i002Atmosphere 14 00548 i003Atmosphere 14 00548 i004AHI:
AlA150
TYR154
ILE160
AHI:
ILE158
TYR185
TYR203
borneolAtmosphere 14 00548 i005Atmosphere 14 00548 i006Atmosphere 14 00548 i007Atmosphere 14 00548 i008AHI:
ALA150
ILE160
HB:
HIS162
AHI:
ALA180
TYR185
HB:
GLY155
PS:
TYR203
tricycleneAtmosphere 14 00548 i009Atmosphere 14 00548 i010Atmosphere 14 00548 i011Atmosphere 14 00548 i012AHI:
ILE142
ALA172
AHI:
ALA180
TYR185
TYR203
PS:
TYR185
β-myrceneAtmosphere 14 00548 i013Atmosphere 14 00548 i014Atmosphere 14 00548 i015Atmosphere 14 00548 i016AHI:
CYS35
ILE77
ILE142
TYR170
ALA172
TYR217
PS:
TYR170
AHI:
ALA149
TYR153
ILE159
MET211
β-pineneAtmosphere 14 00548 i017Atmosphere 14 00548 i018Atmosphere 14 00548 i019Atmosphere 14 00548 i020AHI:
ALA150
TYR154
ILE160
HIS162
AHI:
ALA149
ILE159
α-pineneAtmosphere 14 00548 i021Atmosphere 14 00548 i022Atmosphere 14 00548 i023Atmosphere 14 00548 i024AHI:
ALA150
TYR154
ILE160
HIS162
AHI:
ALA149
TYR153
ILE159
campheneAtmosphere 14 00548 i025Atmosphere 14 00548 i026Atmosphere 14 00548 i027Atmosphere 14 00548 i028AHI:
CYS35
ILE77
ILE142
ALA172
AHI:
ALA180
TYR185
TYR203
AHI, alkyl hydrophobic interaction; PS, pi-sigma; HB, hydrogen bond; ALA, alanine; TYR, tyrosine; ILE, isoleucine; MET, methionine; HIS, histidine; GLY, glycine; CYS, cysteine.
Table A2. Binding affinity (BA) score and inhibition constant (Ki) of ingredients-of-todomatsu oil on allergens Der f 1 and Der p 1.
Table A2. Binding affinity (BA) score and inhibition constant (Ki) of ingredients-of-todomatsu oil on allergens Der f 1 and Der p 1.
Ingredients of Todomatsu OilDocking Energy (ΔG, Kcal/mol)Inhibition Constant (Ki, μM)Ingredients of Todomatsu OilDocking Energy (ΔG, Kcal/mol)Inhibition Constant (Ki, μM)
Der f 1Der p 1Der f 1Der p 1Der f 1Der p 1Der f 1Der p 1
3-carene−5.5−5.392.91130.22limonene−5.8−5.755.9966.29
α-terpinolene−6.0−6.039.9539.95β-pinene−5.4−5.1109.99182.51
borneol−5.1−4.9182.51255.80β-phellandrene−5.9−5.747.3066.29
β-maaliene−6.4−6.120.3433.74α-pinene−5.6−5.278.48154.16
tricyclene−5.1−4.9182.51255.80camphene−5.4−4.9109.99255.80
β-myrcene−5.1−5.2182.51154.16bornyl acetate−6.1−5.733.7466.29

References

  1. Aggarwal, P.; Senthilkumaran, S. Dust Mite Allergy. In StatPearls [Internet]; StatPearls Publishing: Treasure Island, FL, USA, 2022. [Google Scholar]
  2. Yasuda, Y.; Nagano, T.; Kobayashi, K.; Nishimura, Y. Group 2 Innate Lymphoid Cells and the House Dust Mite-Induced Asthma Mouse Model. Cells 2020, 9, 1178. [Google Scholar] [CrossRef]
  3. Calderón, M.A.; Linneberg, A.; Kleine-Tebbe, J.; De Blay, F.; De Rojas, D.H.F.; Virchow, J.C.; Demoly, P. Respiratory Allergy Caused by House Dust Mites: What Do We Really Know? J. Allergy Clin. Immunol. 2015, 136, 38–48. [Google Scholar] [CrossRef]
  4. Colloff, M.J. Dust Mites; Springer, CSIRO Publishing: Dordrecht, The Netherlands, 2009; Available online: http://www.publish.csiro.au/pid/6022.htm (accessed on 8 December 2022).
  5. Mumcuoglu, K.Y.; Taylan-Özkan, A. Preventive Measures to Avoid Contact with House Dust Mites and Their Allergens. Acarol. Stud. 2020, 2, 1–6. Available online: https://dergipark.org.tr/en/pub/acarolstud/issue/52206/659923 (accessed on 8 February 2023).
  6. Pomés, A.; Davies, J.M.; Gadermaier, G.; Hilger, C.; Holzhauser, T.; Lidholm, J.; Lopata, A.L.; Mueller, G.A.; Nandy, A.; Radauer, C.; et al. WHO/IUIS Allergen Nomenclature: Providing a Common Language. Mol. Immunol. 2018, 100, 3–13. [Google Scholar] [CrossRef] [PubMed]
  7. Sudharson, S.; Kalic, T.; Hafner, C.; Breiteneder, H. Newly Defined Allergens in the WHO/IUIS Allergen Nomenclature Database during 01/2019–03/2021. Allergy 2021, 76, 3359–3373. [Google Scholar] [CrossRef]
  8. Chruszcz, M.; Chapman, M.D.; Vailes, L.D.; Stura, E.A.; Saint-Remy, J.M.; Minor, W.; Pomés, A. Crystal Structures of Mite Allergens Der f 1 and Der p 1 Reveal Differences in Surface-Exposed Residues that May Influence Antibody Binding. J. Mol. Biol. 2009, 386, 520–530. [Google Scholar] [CrossRef]
  9. Heymann, P.W.; Chapman, M.D.; Aalberse, R.C.; Fox, J.W.; Platts-Mills, T.A.E. Antigenic and Structural Analysis of Group II Allergens (Der f II and Der p II) from House Dust Mites (Dermatophagoides Spp.). J. Allergy Clin. Immunol. 1989, 83, 1055–1067. [Google Scholar] [CrossRef] [PubMed]
  10. Chapman, M.D.; Platts-Mills, T.A. Purication and characterization of the major allergen from Dermatophagoides pteronyssinus-antigen P1. J. Immunol. 1980, 125, 587–592. [Google Scholar] [CrossRef] [PubMed]
  11. Chruszcz, M.; Pomés, A.; Glesner, J.; Vailes, L.D.; Osinski, T.; Porebski, P.J.; Majorek, K.A.; Heymann, P.W.; Platts-Mills, T.A.E.; Minor, W.; et al. Molecular Determinants for Antibody Binding on Group 1 House Dust Mite Allergens. J. Biol. Chem. 2012, 287, 7388–7398. [Google Scholar] [CrossRef]
  12. Jacquet, A.; Robinson, C. Proteolytic, Lipidergic and Polysaccharide Molecular Recognition Shape Innate Responses to House Dust Mite Allergens. Allergy 2020, 75, 33–53. [Google Scholar] [CrossRef] [PubMed]
  13. Jacquet, A. Characterization of Innate Immune Responses to House Dust Mite Allergens: Pitfalls and Limitations. Front. Allergy 2021, 2, 662378. [Google Scholar] [CrossRef]
  14. Heijink, I.H.; Kuchibhotla, V.N.S.; Roffel, M.P.; Maes, T.; Knight, D.A.; Sayers, I.; Nawijn, M.C. Epithelial Cell Dysfunction, a Major Driver of Asthma Development. Allergy 2020, 75, 1898–1913. [Google Scholar] [CrossRef]
  15. Wan, H.; Winton, H.L.; Soeller, C.; Tovey, E.R.; Gruenert, D.C.; Thompson, P.J.; Stewart, G.A.; Taylor, G.W.; Garrod, D.R.; Cannell, M.B.; et al. Der p 1 Facilitates Transepithelial Allergen Delivery by Disruption of Tight Junctions. J. Clin. Investig. 1999, 104, 123–133. [Google Scholar] [CrossRef] [PubMed]
  16. Derewenda, U.; Li, J.; Derewenda, Z.; Dauter, Z.; Mueller, G.A.; Rule, G.S.; Benjamin, D.C. The crystal structure of a major dust mite allergen Der p 2, and its biological implications. J. Mol. Biol. 2002, 318, 189–197. [Google Scholar] [CrossRef] [PubMed]
  17. Trompette, A.; Divanovic, S.; Visintin, A.; Blanchard, C.; Hegde, R.S.; Madan, R.; Thorne, P.S.; Wills-Karp, M.; Gioannini, T.L.; Weiss, J.P.; et al. Allergenicity Resulting from Functional Mimicry of a Toll-Like Receptor Complex Protein. Nature 2009, 457, 585–588. [Google Scholar] [CrossRef]
  18. Zhang, J.; Chen, J.; Robinson, C. Cellular and Molecular Events in the Airway Epithelium Defining the Interaction between House Dust Mite Group 1 Allergens and Innate Defences. Int. J. Mol. Sci. 2018, 19, 3549. [Google Scholar] [CrossRef]
  19. Guillott, L.; Medjane, S.; Le-Barillec, K.; Balloy, V.; Danel, C.; Chignard, M.; Si-Tahar, M. Response of Human Pulmonary Epithelial Cells to Lipopolysaccharide Involves Toll-Like Receptor 4 (TLR4)-Dependent Signaling Pathways: Evidence for an Intracellular Compartmentalization of TLR4. J. Biol. Chem. 2004, 279, 2712–2718. [Google Scholar] [CrossRef]
  20. Jia, H.P.; Kline, J.N.; Penisten, A.; Apicella, M.A.; Gioannini, T.L.; Weiss, J.; McCray, P.B. Endotoxin Responsiveness of Human Airway Epithelia Is Limited by Low Expression of MD-2. Am. J. Physiol.-Lung Cell. Mol. Physiol. 2004, 287, 428–437. [Google Scholar] [CrossRef]
  21. Muir, A.; Soong, G.; Sokol, S.; Reddy, B.; Gomez, M.I.; Van Heeckeren, A.; Prince, A. Toll-Like Receptors in Normal and Cystic Fibrosis Airway Epithelial Cells. Am. J. Respir. Cell Mol. Biol. 2004, 30, 777–783. [Google Scholar] [CrossRef]
  22. Zhang, J.; Chen, J.; Zuo, J.; Newton, G.K.; Stewart, M.R.; Perrior, T.R.; Garrod, D.R.; Robinson, C. Allergen Delivery Inhibitors: Characterisation of Potent and Selective Inhibitors of Der p 1 and Their Attenuation of Airway Responses to House Dust Mite Allergens. Int. J. Mol. Sci. 2018, 19, 3166. [Google Scholar] [CrossRef]
  23. Zhang, J.; Chen, J.; Allen-Philbey, K.; Baruhupolage, C.P.; Tachie-Menson, T.; Mangat, S.C.; Garrod, D.R.; Robinson, C. Innate Generation of Thrombin and Intracellular Oxidants in Airway Epithelium by Allergen Der p 1. J. Allergy Clin. Immunol. 2016, 138, 1224–1227. [Google Scholar] [CrossRef]
  24. Chen, J.; Zhang, J.; Tachie-Menson, T.; Shukla, N.; Garrod, D.R.; Robinson, C. Allergen-Dependent Oxidant Formation Requires Purinoceptor Activation of ADAM 10 and Prothrombin. J. Allergy Clin. Immunol. 2017, 139, 2023–2026.e9. [Google Scholar] [CrossRef]
  25. Jung, J. Insecticidal Effect against House Dust Mite Using Ethanol Extract of Theobroma Cacao L. Ann. Rom. Soc. Cell Biol. 2021, 25, 786–791. Available online: https://www.annalsofrscb.ro/index.php/journal/article/view/171 (accessed on 29 August 2021).
  26. Abidin, S.Z.; Ming, H.T. Effect of a Commercial Air Ionizer on Dust Mites Dermatophagoides Pteronyssinus and Dermatophagoides Farinae (Acari: Pyroglyphidae) in the Laboratory. Asian Pac. J. Trop. Biomed. 2012, 2, 156–158. [Google Scholar] [CrossRef]
  27. Murray, C.S.; Foden, P.; Sumner, H.; Shepley, E.; Custovic, A.; Simpson, A. Preventing Severe Asthma Exacerbations in Children a Randomized Trial of Mite-Impermeable Bedcovers. Am. J. Respir. Crit. Care Med. 2017, 196, 150–158. [Google Scholar] [CrossRef] [PubMed]
  28. Halken, S.; Høst, A.; Niklassen, U.; Hansen, L.G.; Nielsen, F.; Pedersen, S.; Østerballe, O.; Veggerby, C.; Poulsen, L.K. Effect of Mattress and Pillow Encasings on Children with Asthma and House Dust Mite Allergy. J. Allergy Clin. Immunol. 2003, 111, 169–176. [Google Scholar] [CrossRef] [PubMed]
  29. Terreehorst, I.; Hak, E.; Oosting, A.J.; Tempels-Pavlica, Z.; de Monchy, J.G.R.; Bruijnzeel-Koomen, C.A.F.M.; Aalberse, R.C.; van Wijk, R.G. Evaluation of Impermeable Covers for Bedding in Patients with Allergic Rhinitis. N. Engl. J. Med. 2003, 349, 237–246. [Google Scholar] [CrossRef]
  30. Tsurikisawa, N.; Saito, A.; Oshikata, C.; Nakazawa, T.; Yasueda, H.; Akiyama, K. Encasing Bedding in Covers Made of Microfine Fibers Reduces Exposure to House Mite Allergens and Improves Disease Management in Adult Atopic Asthmatics. Allergy Asthma Clin. Immunol. 2013, 9, 44. [Google Scholar] [CrossRef]
  31. Rijssenbeek-Nouwens, L.H.M.; Oosting, A.J.; De Bruin-Weller, M.S.; Bregman, I.; De Monchy, J.G.R.; Postma, D.S. Clinical Evaluation of the Effect of Anti-Allergic Mattress Covers in Patients with Moderate to Severe Asthma and House Dust Mite Allergy: A Randomised Double Blind Placebo Controlled Study. Thorax 2002, 57, 784–790. [Google Scholar] [CrossRef] [PubMed]
  32. Gore, R.B.; Durrell, B.; Bishop, S.; Curbishley, L.; Woodcock, A.; Custovic, A. High-Efficiency Vacuum Cleaners Increase Personal Mite Allergen Exposure, but Only Slightly. Allergy 2006, 61, 119–123. [Google Scholar] [CrossRef]
  33. Maloney, J.; Sicherer, S.H. Results of a Home-Based Environmental Intervention among Urban Children with Asthma. Pediatrics 2005, 116, 543. [Google Scholar] [CrossRef]
  34. Antonicelli, L.; Bilò, M.B.; Pucci, S.; Schou, C.; Bonifazi, F. Efficacy of an Air-Cleaning Device Equipped with a High Efficiency Particulate Air Filter in House Dust Mite Respiratory Allergy. Allergy 1991, 46, 594–600. [Google Scholar] [CrossRef]
  35. Reisman, R.E.; Mauriello, P.M.; Davis, G.B.; Georgitis, J.W.; DeMasi, J.M. A Double-Blind Study of the Effectiveness of a High-Efficiency Particulate Air (HEPA) Filter in the Treatment of Patients with Perennial Allergic Rhinitis and Asthma. J. Allergy Clin. Immunol. 1990, 85, 1050–1057. [Google Scholar] [CrossRef]
  36. Arlian, L.G.; Neal, J.S.; Vyszenski-Moher, D.A.L. Reducing Relative Humidity to Control the House Dust Mite Dermatophagoides Farinae. J. Allergy Clin. Immunol. 1999, 104, 852–856. [Google Scholar] [CrossRef] [PubMed]
  37. Hayden, M.L.; Rose, G.; Diduch, K.B.; Domson, P.; Chapman, M.D.; Heymann, P.W.; Platts-Mills, T.A.E. Benzyl Benzoate Moist Powder: Investigation of Acarical Activity in Cultures and Reduction of Dust Mite Allergens in Carpets. J. Allergy Clin. Immunol. 1992, 89, 536–545. [Google Scholar] [CrossRef]
  38. Lee, I.; Park, J. Insecticidal Effect of Dermatoohagoides Pteronyssinus Using Ginkgo Biloba Leaves Extracts. KSBB J. 2007, 22, 58–61. [Google Scholar]
  39. Zeytun, E.; Doğan, S.; Özçiçek, F.; Ünver, E. Sensitivity to House Dust Mites Allergens in Patients with Allergic Asthma in Erzincan Province, Turkey. Turk. Parazitol. Derg. 2017, 41, 34–41. [Google Scholar] [CrossRef]
  40. Zheng, Y.W.; Lai, X.X.; Zhao, D.Y.; Zhang, C.Q.; Chen, J.J.; Zhang, L.; Wei, Q.Y.; Chen, S.; Liu, E.M.; Norback, D.; et al. Indoor Allergen Levels and Household Distributions in Nine Cities across China. Biomed. Environ. Sci. 2015, 28, 709–717. [Google Scholar] [CrossRef]
  41. Platts-Mills, T.A.E.; Vervloet, D.; Thomas, W.R.; Aalberse, R.C.; Chapman, M.D. Indoor Allergens and Asthma: Report of the Third International Workshop. J. Allergy Clin. Immunol. 1997, 100, S2–S24. [Google Scholar] [CrossRef]
  42. Platts-Mills, T.A.E.; De Weck, A. Dust Mite Allergens and Asthma—A Worldwide Problem. Bull. WHO 1989, 66, 769–780. [Google Scholar]
  43. Sun, L.; Miller, J.D.; Van Ryswyk, K.; Wheeler, A.J.; Héroux, M.E.; Goldberg, M.S.; Mallach, G. Household Determinants of Biocontaminant Exposures in Canadian Homes. Indoor Air 2022, 32, e12933. [Google Scholar] [CrossRef] [PubMed]
  44. Van Den Bemt, L.; Van Knapen, L.; De Vries, M.P.; Jansen, M.; Cloosterman, S.; Van Schayck, C.P. Clinical Effectiveness of a Mite Allergen-Impermeable Bed-Covering System in Asthmatic Mite-Sensitive Patients. J. Allergy Clin. Immunol. 2004, 114, 858–862. [Google Scholar] [CrossRef]
  45. Custovic, A.; Taggart, S.C.O.; Woodcock, A. House Dust Mite and Cat Allergen in Different Indoor Environments. Clin. Exp. Allergy 1994, 24, 1164–1168. [Google Scholar] [CrossRef]
  46. Insung, A.; Pumnuan, J.; Mahakittikun, V.; Wangapai, T. Effectiveness of Essential Oils of Medicinal Plants at Reducing the Amounts of Allergen Produced by the European House Dust Mite, Dermatophagoides Pteronyssinus (Trouessart). J. Acarol. Soc. Jpn. 2016, 25, S179–S184. [Google Scholar] [CrossRef]
  47. Lin, Y.; Enyoh, C.E.; Wang, Q.; Lu, S.; Zhang, W.; Xiao, K.; Zhou, S.; Kaneko, T.; Seguchi, A.; Wang, W.; et al. Novel Approaches for Inhibiting the Indoor Allergen Der f 2 Excreted from House Dust Mites by Todomatsu Oil Produced from Woodland Residues. Int. J. Environ. Res. Public Health 2022, 19, 10881. [Google Scholar] [CrossRef]
  48. Chapman, M.D.; Heymann, P.W.; Platts-Mills, T.A. Epitope Mapping of Two Major Inhalant Allergens, Der p I and Der f I, from Mites of the Genus Dermatophagoides. J. Immunol. 1987, 139, 1479–1484. [Google Scholar] [CrossRef]
  49. De Halleux, S.; Stura, E.; VanderElst, L.; Carlier, V.; Jacquemin, M.; Saint-Remy, J.M. Three-Dimensional Structure and IgE-Binding Properties of Mature Fully Active Der p 1, a Clinically Relevant Major Allergen. J. Allergy Clin. Immunol. 2006, 117, 571–576. [Google Scholar] [CrossRef]
  50. Meno, K.; Thorsted, P.B.; Ipsen, H.; Kristensen, O.; Larsen, J.N.; Spangfort, M.D.; Gajhede, M.; Lund, K. The Crystal Structure of Recombinant ProDer p 1, a Major House Dust Mite Proteolytic Allergen. J. Immunol. 2005, 175, 3835–3845. [Google Scholar] [CrossRef] [PubMed]
  51. Zheng, H.; Chruszcz, M.; Lasota, P.; Lebioda, L.; Minor, W. Data Mining of Metal Ion Environments Present in Protein Structures. J. Inorg. Biochem. 2008, 102, 1765–1776. [Google Scholar] [CrossRef]
  52. Enyoh, C.E.; Maduka, T.; Wang, Q.; Islam, M.R. In Silico Screening of Active Compounds in Garri for the Inhibition of Key Enzymes Linked to Diabetes Mellitus. ACS Food Sci. Technol. 2022, 2, 1597–1611. [Google Scholar] [CrossRef]
  53. Shivashankar, S.; Sangeetha, M.K. The Natural Ligand for Metalloproteinase—A Multifaceted Drug Target. Appl. Biochem. Biotechnol. 2022, 194, 1716–1739. [Google Scholar] [CrossRef]
  54. Enyoh, C.E.; Wang, Q.; Ovuoraye, P.E.; Maduka, T.O. Toxicity Evaluation of Microplastics to Aquatic Organisms through Molecular Simulations and Fractional Factorial Designs. Chemosphere 2022, 308, 136342. [Google Scholar] [CrossRef] [PubMed]
  55. Dabbaghzadeh, A.; Ghaffari, J.; Feridoni, M.; Alipour, A. House Dust Mite Allergen Levels of Der p1 and Der f1 in Houses of Asthmatic Children. J. Pediatr. Rev. 2020, 8, 267–274. [Google Scholar] [CrossRef]
  56. Fereidouni, M.; Fereidouni, F.; Hadian, M.; Hasankiadeh, S.N.; Mazandarani, M.; Ziaee, M. Evaluation of the Level of House Dust Mite Allergens, Der p 1 and Der f 1 in Iranian Homes, a Nationwide Study. Allergol. Immunopathol. 2013, 41, 381–386. [Google Scholar] [CrossRef]
  57. Shafique, R.H.; Akhter, S.; Abbas, S.; Ismail, M. Sensitivity to House Dust Mite Allergens and Prevalence of Allergy-Causing House Dust Mite Species in Pothwar, Pakistan. Exp. Appl. Acarol. 2018, 74, 415–426. [Google Scholar] [CrossRef]
  58. Cabanillas, B.; Pedrosa, M.M.; Rodríguez, J.; González, Á.; Muzquiz, M.; Cuadrado, C.; Crespo, J.F.; Burbano, C. Effects of Enzymatic Hydrolysis on Lentil Allergenicity. Mol. Nutr. Food Res. 2010, 54, 1266–1272. [Google Scholar] [CrossRef] [PubMed]
  59. Lv, L.; Qu, X.; Yang, N.; Ahmed, I. The Conformational Structural Change of β-Lactoglobulin via Acrolein Treatment Reduced the Allergenicity. Food Chem. X 2021, 10, 100120. [Google Scholar] [CrossRef]
  60. Zhou, S.; Zhao, H.; Peng, J.; Hong, Q.; Xiao, K.; Shang, Y.; Lu, S.; Zhang, W.; Wu, M.; Li, S.; et al. Size Distribution of Platanus Acerifolia Allergen 3 (Pla A3) in Shanghai Ambient Size-Resolved Particles and Its Allergenic Effects. Atmos. Environ. 2019, 198, 324–334. [Google Scholar] [CrossRef]
  61. Dallakyan, S.; Olson, A.J. Small-Molecule Library Screening by Docking with PyRx. Methods Mol. Biol. 2015, 1263, 243–250. [Google Scholar] [CrossRef]
  62. Duru, C.E.; Umar, H.I.U.; Duru, I.A.; Enenebeaku, U.E.; Ngozi-Olehi, L.C.; Enyoh, C.E. Blocking the Interactions between Human Ace2 and Coronavirus Spike Glycoprotein by Selected Drugs: A Computational Perspective. Environ. Health Toxicol. 2021, 36, e2021010. [Google Scholar] [CrossRef]
  63. Duru, C.E.; Duru, I.A.; Enyoh, C.E. In Silico Binding Affinity Analysis of Microplastic Compounds on PET Hydrolase Enzyme Target of Ideonella Sakaiensis. Bull. Natl. Res. Cent. 2021, 45, 104. [Google Scholar] [CrossRef]
  64. Tatsuro, O.; Naoyuki, M.; Toshihiko, K.; Yuichi, T.M.E. Efficient Extraction of Essential Oil from Woody Materials Using Vaccume Microwave Assisted Steam Distillation. Aroma Res. 2010, 11, 48–55. [Google Scholar]
  65. Trott, O.; Olson, A.J. AutoDock Vina: Improving the Speed and Accuracy of Docking with a New Scoring Function, Efficient Optimization, and Multithreading. J. Comput. Chem. 2009, 31, 455–461. [Google Scholar] [CrossRef] [PubMed]
  66. Rappé, A.K.; Casewit, C.J.; Colwell, K.S.; Goddard, W.A.; Skiff, W.M. UFF, a Full Periodic Table Force Field for Molecular Mechanics and Molecular Dynamics Simulations. J. Am. Chem. Soc. 1992, 114, 10024–10035. [Google Scholar] [CrossRef]
  67. O’Boyle, N.M.; Banck, M.; James, C.A.; Morley, C.; Vandermeersch, T.; Hutchison, G.R. Open Babel. J. Cheminform. 2011, 3, 33. [Google Scholar] [CrossRef] [PubMed]
  68. Laskowski, R.A.; Swindells, M.B. LigPlot+: Multiple Ligand-Protein Interaction Diagrams for Drug Discovery. J. Chem. Inf. Model. 2011, 51, 2778–2786. [Google Scholar] [CrossRef]
  69. Wallace, A.C.; Laskowski, R.A.; Thornton, J.M. Ligplot: A Program to Generate Schematic Diagrams of Protein-Ligand Interactions. Protein Eng. Des. Sel. 1995, 8, 127–134. [Google Scholar] [CrossRef] [PubMed]
  70. Ghosh, S.; Chandar, N.B.; Lo, R.; Ganguly, B. Effective Docking Program for Designing Reactivator for Treating Organophosphorus Inhibited AChE. JSM Chem. 2016, 4, 1032. [Google Scholar]
  71. Iman, M.; Saadabadi, A.; Davood, A. Molecular Docking Analysis and Molecular Dynamics Simulation Study of Ameltolide Analogous as a Sodium Channel Blocker. Turk. J. Chem. 2015, 39, 306–316. [Google Scholar] [CrossRef]
  72. Bhagavan, N.V.; Ha, C.E. Chapter 4—Three-Dimensional Structure of Proteins and Disorders of Protein Misfolding. In Essentials of Medical Biochemistry; Elsevier: Amsterdam, The Netherlands, 2015; pp. 31–51. [Google Scholar] [CrossRef]
  73. Baldwin, R.L.; Rose, G.D. How the Hydrophobic Factor Drives Protein Folding. Proc. Natl. Acad. Sci. USA 2016, 113, 12462–12466. [Google Scholar] [CrossRef]
  74. Brandon, C.; Tooze, J. Introduction to Protein Structure, 2nd ed.; Garland Publishing: New York, NY, USA; London, UK, 1991. [Google Scholar]
  75. Dilworth, R.J.; Chua, K.Y.; Thomas, W.R. Sequence Analysis of CDNA Coding for a Major House Dust Mite Allergen, Der f I. Clin. Exp. Allergy 1991, 21, 25–32. [Google Scholar] [CrossRef] [PubMed]
  76. Banach, M.; Fabian, P.; Stapor, K.; Konieczny, L.; Roterman, I. Structure of the Hydrophobic Core Determines the 3d Protein Structure—Verification by Single Mutation Proteins. Biomolecules 2020, 10, 767. [Google Scholar] [CrossRef] [PubMed]
  77. Mellor, G.W.; Thomas, E.W.; Topham, M.; Brocklehurst, K. Ionization Characteristics of the Cys-25/His-159 Interactive System and of the Modulatory Group of Papain: Resolution of Ambiguity by Electronic Perturbation of the Quasi-2-Mercaptopyridine Leaving Group in a New Pyrimidyl Disulphide Reactivity Probe. Biochem. J. 1993, 296, 289–296. [Google Scholar] [CrossRef]
  78. Dardenne, L.E.; Werneck, A.S.; De Oliveira Neto, M.; Bisch, P.M. Electrostatic Properties in the Catalytic Site of Papain: A Possible Regulatory Mechanism for the Reactivity of the Ion Pair. Proteins Struct. Funct. Bioinform. 2003, 52, 236–253. [Google Scholar] [CrossRef] [PubMed]
Figure 1. Lowered content of allergens Der f 1 and Der p 1 in house dust extracts using todomatsu oil (a) and the decline rates (b) were analyzed using ELISA. Test group: the 6-times diluted house dust extracts (No. A, No. B, No. C), with a concentration that is higher than the sensitization threshold (2 μg/g) [39,40,41,42,43] before dilution, exposed to todomatsu oil atmosphere (0.1 μL/cm3) for 2 h at 25 °C. Control group: their counterpart in the same given condition yet without oil. The value is the mean ± SD from three independent replicates of each sample. * signifies a significant difference (p < 0.05).
Figure 1. Lowered content of allergens Der f 1 and Der p 1 in house dust extracts using todomatsu oil (a) and the decline rates (b) were analyzed using ELISA. Test group: the 6-times diluted house dust extracts (No. A, No. B, No. C), with a concentration that is higher than the sensitization threshold (2 μg/g) [39,40,41,42,43] before dilution, exposed to todomatsu oil atmosphere (0.1 μL/cm3) for 2 h at 25 °C. Control group: their counterpart in the same given condition yet without oil. The value is the mean ± SD from three independent replicates of each sample. * signifies a significant difference (p < 0.05).
Atmosphere 14 00548 g001
Figure 2. Reduced level of standard allergen Der f 1 exposure to todomatsu oil atmosphere was determined through SDS-PAGE. (a) Graph from SDS-PAGE; (b) Quantification for SDS-PAGE results. The standard allergen Der f 1 (100,000 ng/mL) exposure to todomatsu oil atmosphere (0.10 μL/cm3) for 2 h at 25 °C was designated as the test group, and the oil-free duplication was set as a control group. The value is the mean (minimum-maximum) from two independent replicates of each sample. C: control group; T: test group; M, marker. * signifies a significant difference (p < 0.05).
Figure 2. Reduced level of standard allergen Der f 1 exposure to todomatsu oil atmosphere was determined through SDS-PAGE. (a) Graph from SDS-PAGE; (b) Quantification for SDS-PAGE results. The standard allergen Der f 1 (100,000 ng/mL) exposure to todomatsu oil atmosphere (0.10 μL/cm3) for 2 h at 25 °C was designated as the test group, and the oil-free duplication was set as a control group. The value is the mean (minimum-maximum) from two independent replicates of each sample. C: control group; T: test group; M, marker. * signifies a significant difference (p < 0.05).
Atmosphere 14 00548 g002
Figure 3. The decline rates of standard allergen Der f 1 in varied concentrations of todomatsu oil atmosphere were analyzed with ELISA. (a) OD 450nm values received from ELISA assay; (b) Decline rates. 250 ng/mL of standard allergen Der f 1 in the test group was exposed to 0.01, 0.02, 0.05, or 0.10 μL/cm3 of todomatsu oil atmosphere for 2 h at 25 °C. The oil-free equivalent of the test group was assigned as the control group. The value is the mean ± SD from three independent replicates of each sample. * signifies a significant difference (p < 0.05).
Figure 3. The decline rates of standard allergen Der f 1 in varied concentrations of todomatsu oil atmosphere were analyzed with ELISA. (a) OD 450nm values received from ELISA assay; (b) Decline rates. 250 ng/mL of standard allergen Der f 1 in the test group was exposed to 0.01, 0.02, 0.05, or 0.10 μL/cm3 of todomatsu oil atmosphere for 2 h at 25 °C. The oil-free equivalent of the test group was assigned as the control group. The value is the mean ± SD from three independent replicates of each sample. * signifies a significant difference (p < 0.05).
Atmosphere 14 00548 g003
Figure 4. Regression analysis of docking energy (ΔG) and inhibition constant (Ki) of ingredients-of-todomatsu oil on allergens Der f 1 (a) and Der p 1 (b).
Figure 4. Regression analysis of docking energy (ΔG) and inhibition constant (Ki) of ingredients-of-todomatsu oil on allergens Der f 1 (a) and Der p 1 (b).
Atmosphere 14 00548 g004
Figure 5. Binding affinity (BA) scores and inhibition constants (Ki) of ingredients-of-todomatsu oil on allergens Der f 1 and Der p 1.
Figure 5. Binding affinity (BA) scores and inhibition constants (Ki) of ingredients-of-todomatsu oil on allergens Der f 1 and Der p 1.
Atmosphere 14 00548 g005
Table 1. List of the ingredients of todomatsu oil and their chemical structures.
Table 1. List of the ingredients of todomatsu oil and their chemical structures.
Ingredients of
Todomatsu Oil
(Relative Proportion)
PubChem CIDChemical FormulaChemical StructureIngredients of
Todomatsu Oil
(Relative Proportion)
PubChem CIDChemical FormulaChemical Structure
3-carene
(0.50%)
26049C10H16Atmosphere 14 00548 i029limonene
(5.75%)
22311C10H16Atmosphere 14 00548 i030
α-terpinolene
(0.95%)
11463C10H16Atmosphere 14 00548 i031β-pinene
(7.55%)
14896C10H16Atmosphere 14 00548 i032
borneol
(1.00%)
64685C10H18OAtmosphere 14 00548 i033β-phellandrene
(12.05%)
11142C10H16Atmosphere 14 00548 i034
β-maaliene
(1.25%)
101596917C15H24Atmosphere 14 00548 i035α-pinene
(18.25%)
6654C10H16Atmosphere 14 00548 i036
tricyclene
(2.25%)
79035C10H16Atmosphere 14 00548 i037camphene
(20.25%)
6616C10H16Atmosphere 14 00548 i038
β-myrcene
(4.45%)
31253C10H16Atmosphere 14 00548 i039bornyl acetate
(25.75%)
6448C12H20O2Atmosphere 14 00548 i040
The todomatsu oil ingredients with their relative proportions in oil were provided by Forestry and Forest Products Research Institute, Wood extractives laboratory, and Japan Aroma Laboratory [47,64]. The relative proportions of oil ingredients are the mean of the extraction results obtained by hydro-distillation and vacuum microwave-assisted steam distillation.
Table 2. Description of representative Group 1 HDM allergens.
Table 2. Description of representative Group 1 HDM allergens.
Group 1 AllergensPDB ID3D structureEnzymatic ActivityOrganismMutations
Der f 15vpkAtmosphere 14 00548 i041Cysteine proteaseDermatophagoides farinaeNo
Der p 15vphAtmosphere 14 00548 i042Cysteine proteaseDermatophagoides pteronyssinusNo
The different amino acid residues between allergens Der f 1 and Der p 1 have been highlighted in purple color.
Table 3. 2D and 3D diagrams of top 5 ingredients of todomatsu oil on allergens Der f 1(5vpk)/Der p 1(5vph) binding pocket.
Table 3. 2D and 3D diagrams of top 5 ingredients of todomatsu oil on allergens Der f 1(5vpk)/Der p 1(5vph) binding pocket.
Ingredients of Todomatsu Oil3D Complex Representation2D Complex RepresentationDocking Amino Acid Residues
Der f 1Der p 1Der f 1Der p 1Der f 1Der p 1
β-maalieneAtmosphere 14 00548 i043Atmosphere 14 00548 i044Atmosphere 14 00548 i045Atmosphere 14 00548 i046AHI:
CYS35
ILE142
ALA172
AHI:
ALA149
ILE159
bornyl acetateAtmosphere 14 00548 i047Atmosphere 14 00548 i048Atmosphere 14 00548 i049Atmosphere 14 00548 i050AHI:
ALA150
ILE160
CHB:
ASP163
AHI:
ALA149
ILE159
CHB:
ASP162
α-terpinoleneAtmosphere 14 00548 i051Atmosphere 14 00548 i052Atmosphere 14 00548 i053Atmosphere 14 00548 i054AHI:
ALA150
PHE151
ILE160
MET212
PS:
HIS162
AHI:
ALA149
ILE159
β-phellandreneAtmosphere 14 00548 i055Atmosphere 14 00548 i056Atmosphere 14 00548 i057Atmosphere 14 00548 i058AHI:
ALA150
TYR154
ILE160
MET212
AHI:
ALA149
PHE150
TYR153
ILE159
MET211
limoneneAtmosphere 14 00548 i059Atmosphere 14 00548 i060Atmosphere 14 00548 i061Atmosphere 14 00548 i062AHI:
ALA150
ILE160
MET212
AHI:
ALA149
PHE150
ILE159
MET211
AHI, alkyl hydrophobic interaction; PS, pi-sigma; CHB, carbon hydrogen bond; ALA, alanine; TYR, tyrosine; ILE, isoleucine; PHE, phenylalanine; MET, methionine; HIS, histidine; CYS, cysteine; ASP, aspartate.
Disclaimer/Publisher’s Note: The statements, opinions and data contained in all publications are solely those of the individual author(s) and contributor(s) and not of MDPI and/or the editor(s). MDPI and/or the editor(s) disclaim responsibility for any injury to people or property resulting from any ideas, methods, instructions or products referred to in the content.

Share and Cite

MDPI and ACS Style

Lin, Y.; Xiao, K.; Wang, W.; Lu, S.; Wang, Q. Study on Lowering the Group 1 Protease Allergens from House Dust Mites by Exposing to Todomatsu Oil Atmosphere. Atmosphere 2023, 14, 548. https://doi.org/10.3390/atmos14030548

AMA Style

Lin Y, Xiao K, Wang W, Lu S, Wang Q. Study on Lowering the Group 1 Protease Allergens from House Dust Mites by Exposing to Todomatsu Oil Atmosphere. Atmosphere. 2023; 14(3):548. https://doi.org/10.3390/atmos14030548

Chicago/Turabian Style

Lin, Yichun, Kai Xiao, Weiqian Wang, Senlin Lu, and Qingyue Wang. 2023. "Study on Lowering the Group 1 Protease Allergens from House Dust Mites by Exposing to Todomatsu Oil Atmosphere" Atmosphere 14, no. 3: 548. https://doi.org/10.3390/atmos14030548

APA Style

Lin, Y., Xiao, K., Wang, W., Lu, S., & Wang, Q. (2023). Study on Lowering the Group 1 Protease Allergens from House Dust Mites by Exposing to Todomatsu Oil Atmosphere. Atmosphere, 14(3), 548. https://doi.org/10.3390/atmos14030548

Note that from the first issue of 2016, this journal uses article numbers instead of page numbers. See further details here.

Article Metrics

Back to TopTop