Heat-Shock-Induced Removal of Transgenes Using the Gene-Deletor System in Hybrid Aspen (Populus tremula × P. tremuloides)
Abstract
1. Introduction
2. Materials and Methods
2.1. Vector Construction
2.2. Verification of the Transformation Vector
2.3. Plant Material and Plant Transformation
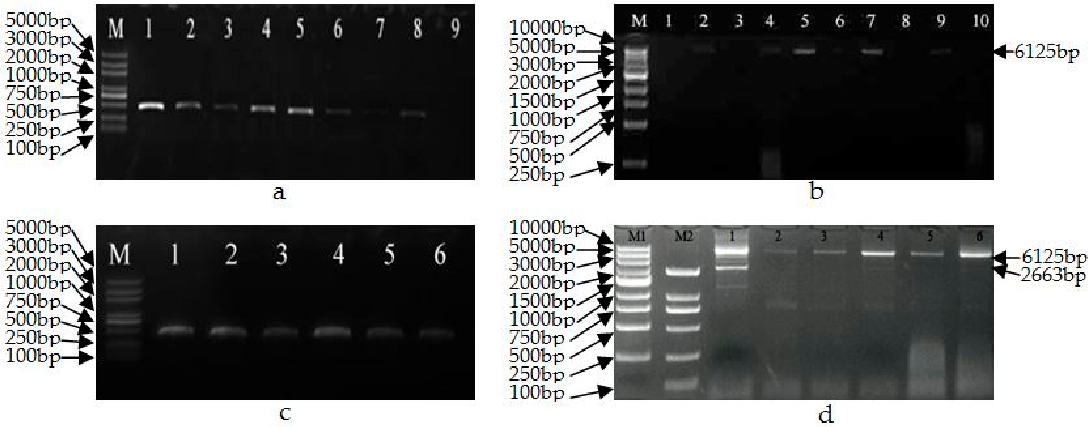
2.4. Polymerase Chain Reaction Analysis
2.5. Heat-Shock Induction
2.6. Southern-Blot Analyses
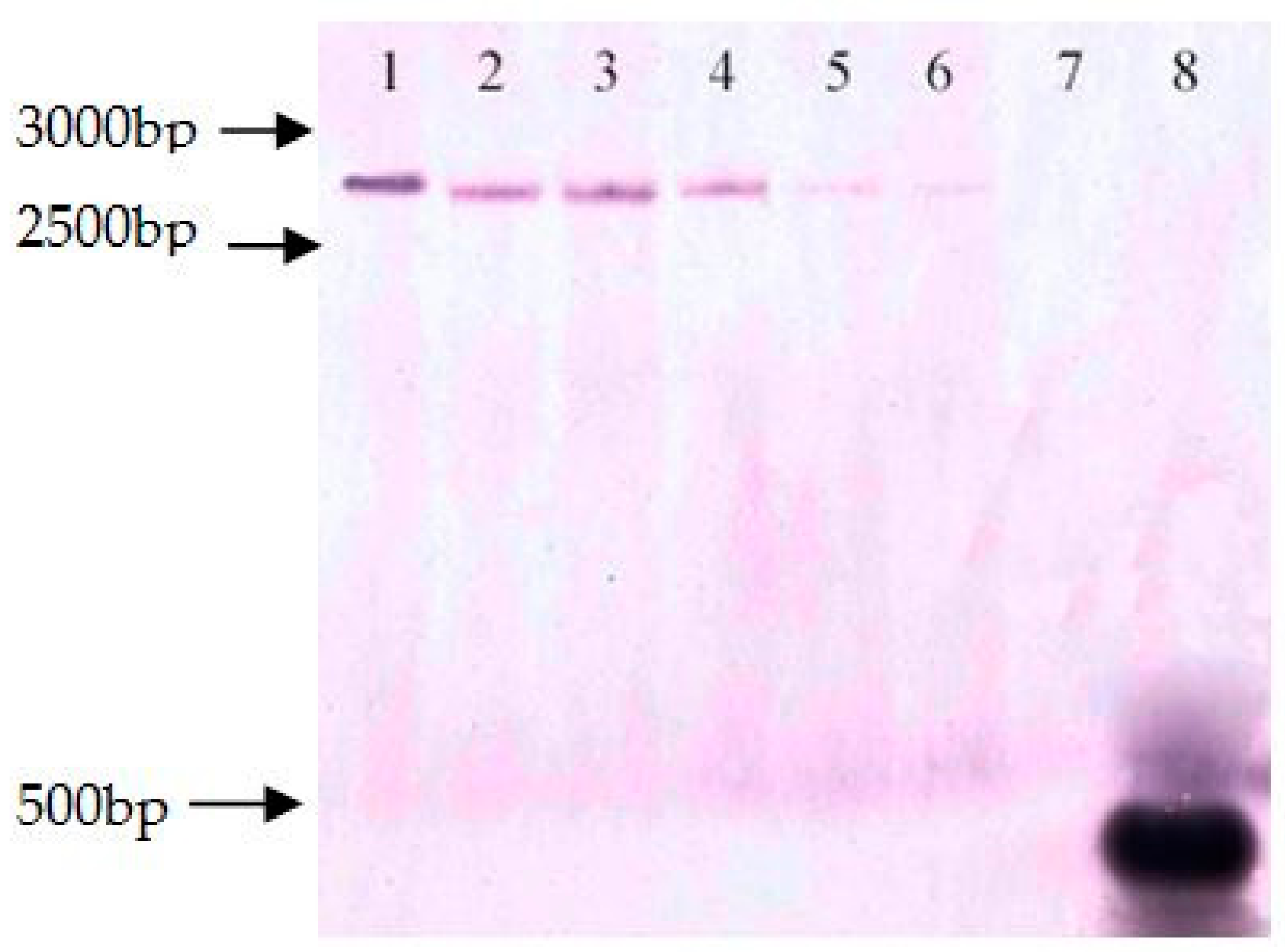
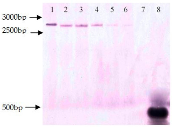
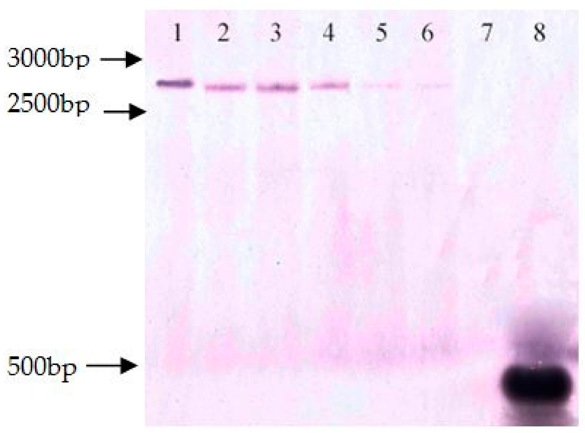
2.7. Methylation Analyses of the Gmhsp 17.6-L Promoter and FLP Recombinase
2.8. Quantitative Real-Time Polymerase Chain Reaction Detection of Gmhsp 17.6-L Promoter and FLP Recombinase
2.9. Statistical Analysis
3. Results
3.1. Generation and Characterization of Transgenic Aspen
3.2. Molecular Analysis of Heat-Induced Marker-Free Transgenic Plants
3.3. Analysis of Transgene Copy Number
3.4. Methylation Analysis of the Gmhsp17.6-L and FLP Genes
3.5. Effect of Heat-Shock Treatment on Gmhsp17.6-L and FLP Gene Expression
4. Discussion
Supplementary Materials
Author Contributions
Funding
Acknowledgments
Conflicts of Interest
References
- Fillatti, J.A.J.; Sellmer, J.; Mccown, B.; Haissig, B.; Comai, L. Agrobacterium mediated transformation and regeneration of Populus. Mol. Gen. Genet. 1987, 206, 192–199. [Google Scholar] [CrossRef]
- Klocko, A.L.; Meilan, R.; James, R.R.; Viswanath, V.; Ma, C.; Payne, P.; Miller, L.; Skinner, J.S.; Oppert, B.; Cardineau, G.A.; et al. Bt-Cry3Aa transgene expression reduces insect damage and improves growth in field-grown hybrid poplar. Can. J. For. Res. 2014, 44, 28–35. [Google Scholar] [CrossRef]
- Karim, A.; Jiang, Y.; Guo, L.; Ling, Z.; Ye, S.; Duan, Y.; Li, C.; Luo, K. Isolation and characterization of a subgroup IIa WRKY transcription factor PtrWRKY40 from Populus trichocarpa. Tree Physiol. 2015, 35, 1129–1139. [Google Scholar] [CrossRef] [PubMed]
- Wilkerson, C.G.; Mansfield, S.D.; Lu, F.; Withers, S.; Park, J.Y.; Karlen, S.D.; Gonzales-Vigil, E.; Padmakshan, D.; Unda, F.; Rencoret, J.; et al. Monolignol ferulate transferase introduces chemically labile linkages into the lignin backbone. Science 2014, 344, 90–93. [Google Scholar] [CrossRef] [PubMed]
- Komari, T.; Hiei, Y.; Saito, Y.; Mural, N.; Kumashiro, T. Vectors carrying two separate t-DNAs for cotransformation of higher plants mediated by Agrobacterium tumefaciens and segregation of transformants free from selection markers. Plant J. 1996, 10, 165–174. [Google Scholar] [CrossRef] [PubMed]
- Zubko, E.; Scutt, C.; Meyer, P. Intrachromosomal recombination between attP regions as a tool to remove selectable marker genes from tobacco transgenes. Nat. Biotechnol. 2000, 18, 442–445. [Google Scholar] [CrossRef] [PubMed]
- Cotsaftis, O.; Sallaud, C.; Breitler, J.C.; Meynard, D.; Greco, R.; Pereira, A.; Guiderdoni, E. Transposon-mediated generation of t-DNA- and marker-free rice plants expressing a Bt endotoxin gene. Mol. Breed. 2002, 10, 165–180. [Google Scholar] [CrossRef]
- Goldsbrough, A.P.; Lastrella, C.N.; Yoder, J.I. Transposition mediated re–positioning and subsequent elimination of marker genes from transgenic tomato. Nat. Biotechnol. 1993, 11, 1286–1292. [Google Scholar] [CrossRef]
- Fladung, M.; Nowitzki, O.; Kumar, S.; Hoenicka, H. The site-specific recombination systems Cre-lox and FLP-FRT are functionally active in poplar. For. Genet. 2005, 12, 121–130. [Google Scholar]
- Nanto, K.; Ebinuma, H. Marker-free site-specific integration plants. Transgenic Res. 2008, 17, 337–344. [Google Scholar] [CrossRef] [PubMed]
- Luo, K.; Duan, H.; Zhao, D.; Zheng, X.; Deng, W.; Chen, Y.; Jiang, X.; McAvoy, R.; Wu, Y.; Pei, Y.; et al. ‘GM-gene-deletor’: Fused loxP-FRT recognition sequences dramatically improve the efficiency of FLP or CRE recombinase on transgene excision from pollen and seed of tobacco plants. Plant Biotechnol. J. 2007, 5, 263–274. [Google Scholar] [CrossRef] [PubMed]
- Li, Y.; Duan, H.; Smith, W. Gene-Deletor System: A New Tool to Address Concerns over GE Crops; ISB News Report; Information Systems for Biotechnology: Blacksburg, VA, USA, 2007. [Google Scholar]
- Zhao, D.; Lv, L.; He, A.; Luo, K.; Duan, H.; Zheng, X.; Deng, W.; Chen, Y.; An, X.; He, M. The gene-deletor technology: Principle and potential application in genetically engineered agriculture. Mol. Plant Breed. 2008, 6, 413–418. [Google Scholar]
- Lu, L.; Liu, Y.; Zhu, Y.; Zhao, D. Selectable gene auto-excision via a cold inducible ‘gene deletor’ system. Afr. J. Agric. Res. 2010, 5, 2426–2433. [Google Scholar]
- Li, Y. Gene deletor: A new tool to address gene flow and food safety concerns over transgenic crop plants. Front. Biol. 2012, 7, 557–565. [Google Scholar] [CrossRef]
- Mlynárová, L.; Conner, A.J.; Nap, J.P. Directed microspore-specific recombination of transgenic alleles to prevent pollen-mediated transmission of transgenes. Plant Biotechnol. J. 2006, 4, 445–452. [Google Scholar] [CrossRef] [PubMed]
- Moravčíková, J.; Vaculková, E.; Bauer, M.; Libantová, J. Feasibility of the seed specific cruciferin C promoter in the self-excision Cre/loxP strategy focused on generation of marker-free transgenic plants. Theor. Appl. Genet. 2008, 117, 1325–1334. [Google Scholar] [CrossRef] [PubMed]
- Sugita, K.; Kasahara, T.; Matsunaga, E.; Ebinuma, H. A transformation vector for the production of marker-free transgenic plants containing a single copy transgene at high frequency. Plant J. 2000, 22, 461–469. [Google Scholar] [CrossRef] [PubMed]
- Sreekala, C.; Wu, L.; Gu, K.; Wang, D.; Tian, D.; Yin, Z. Excision of a selectable marker in transgenic rice (Oryza sativa L.) using a chemically regulated Cre/loxP system. Plant Cell Rep. 2005, 24, 86–94. [Google Scholar] [CrossRef] [PubMed]
- Zhang, Y.; Li, H.; Ouyang, B.; Lu, Y.; Ye, Z. Chemical-induced autoexcision of selectable markers in elite tomato plants transformed with a gene conferring resistance to lepidopteran insects. Biotechnol. Lett. 2006, 28, 1247–1253. [Google Scholar] [CrossRef] [PubMed]
- Kilby, N.J.; Davies, G.J.; Snaith, M.R.; Murray, J.A.H. FLP recombinase in transgenic plants: Constitutive activity in stably transformed tobacco and generation of marked cell clones in Arabidopsis. Plant J. 1995, 8, 637–652. [Google Scholar] [CrossRef] [PubMed]
- Hoff, T.; Schnorr, K.M.; Mundy, J. A recombinase-mediated transcriptional induction system in transgenic plants. Plant Mol. Biol. 2001, 45, 41–49. [Google Scholar] [CrossRef] [PubMed]
- Fladung, M.; Becker, D. Targeted integration and removal of transgenes in hybrid aspen (Populus tremula L. x P. tremuloides Michx.) using site-specific recombination systems. Plant Biology 2010, 12, 334–340. [Google Scholar] [CrossRef] [PubMed]
- Chong-Pérez, B.; Kosky, R.G.; Reyes, M.; Rojas, L.; Ocaña, B.; Tejeda, M.; Pérez, B.; Angenon, G. Heat shock induced excision of selectable marker genes in transgenic banana by the Cre-lox site-specific recombination system. J. Biotechnol. 2012, 159, 265–273. [Google Scholar] [CrossRef] [PubMed]
- Zhang, H.; Harry, D.E.; Ma, C.; Yuceer, C.; Hsu, C.Y.; Vikram, V.; Shevchenko, O.; Etherington, E.; Strauss, S.H. Precocious flowering in trees: the FLOWERING LOCUS T gene as a research and breeding tool in Populus. J. Exp. Bot. 2010, 61, 2549–2560. [Google Scholar] [CrossRef] [PubMed]
- Zhang, Y.; Wang, B.; Guo, L.; Xu, W.; Wang, Z.; Li, B.; Zhang, J. Factors influencing direct shoot regeneration from leaves, petioles, and plantlet roots of triploid hybrid Populus sect. Tacamahaca. J. For. Res. 2017. [Google Scholar] [CrossRef]
- Wang, K.; Liu, H.; Du, L.; Ye, X. Generation of marker-free transgenic hexaploid wheat via an Agrobacterium-mediated co-transformation strategy in commercial Chinese wheat varieties. Plant Biotechnol. J. 2017, 15, 614–623. [Google Scholar] [CrossRef] [PubMed]
- Livak, K.J.; Schmittgen, T.D. Analysis of relative gene expression data using real-time quantitative PCR and the 2−ΔΔCT method. Methods 2001, 25, 402–408. [Google Scholar] [CrossRef] [PubMed]
- Rao, M.R.; Moon, H.S.; Schenk, T.M.; Becker, D.; Mazarei, M.; Stewart, C.N., Jr. FLP/FRT recombination from yeast: Application of a two gene cassette scheme as an inducible system in plants. Sensors 2010, 10, 8526–8535. [Google Scholar] [CrossRef] [PubMed]
- Zheng, Y.; Pan, Y.; Li, J.; Zhou, Y.; Pan, Y.; Ding, Y.; Su, C.; Zhang, X. Visible marker excision via heat-inducible Cre/LoxP system and Ipt selection in tobacco. In Vitro Cell. Dev. Pl. 2016, 52, 492–499. [Google Scholar] [CrossRef]
- Khattri, A.; Nandy, S.; Srivastava, V. Heat-inducible Cre-lox system for marker excision in transgenic rice. J. Biosci. 2011, 36, 37–42. [Google Scholar] [CrossRef] [PubMed]
- Chong-Pérez, B.; Reyes, M.; Rojas, L.; Ocaña, B.; Ramos, A.; Kosky, R.G.; Angenon, G. Excision of a selectable marker gene in transgenic banana using a Cre/lox system controlled by an embryo specific promoter. Plant Mol. Biol. 2013, 83, 143–152. [Google Scholar] [CrossRef] [PubMed]
- Zou, X.; Peng, A.; Xu, L.; Liu, X.; Lei, T.; Yao, L.; He, Y.; Chen, S. Efficient auto-excision of a selectable marker gene from transgenic citrus by combining the Cre/loxP system and ipt selection. Plant Cell Rep. 2013, 32, 1601–1613. [Google Scholar] [CrossRef] [PubMed]
- Zhang, W.; Subbarao, S.; Addae, P.; Shen, A.; Armstrong, C.; Peschke, V.; Gilbertson, L. Cre/lox-mediated marker gene excision in transgenic maize (Zea mays L.) plants. Theor. Appl. Genet. 2003, 107, 1157–1168. [Google Scholar] [CrossRef] [PubMed]
- Costa, L.D.; Piazza, S.; Campa, M.; Flachowsky, H.; Hanke, M.V.; Malnoy, M. Efficient heat-shock removal of the selectable marker gene in genetically modified grapevine. Plant Cell Tissue Organ Cult. 2016, 124, 471–481. [Google Scholar] [CrossRef]
- Herzog, K.; Flachowsky, H.; Deising, H.B.; Hanke, M.V. Heat-shock-mediated elimination of the nptII marker gene in transgenic apple (Malus × domestica Borkh.). Gene 2012, 498, 41–49. [Google Scholar] [CrossRef] [PubMed]
- Ding, J.; Duan, H.; Deng, Z.; Zhao, D.; Yi, G.; McAvoy, R.; Li, Y. Molecular strategies for addressing gene flow problems and their potential applications in abiotic stress tolerant transgenic plants. Crit. Rev. Plant Sci. 2014, 33, 190–204. [Google Scholar] [CrossRef]
- Qin, L.; Zhao, D.; Zhao, D. Overexpression of NrCN improved TMV resistance in selection marker-free tobacco generated by Gene-Deletor system. Plant Mol. Biol. Rep. 2015, 33, 1619–1633. [Google Scholar] [CrossRef]
- Xu, M. The Application of the Gene-Deletor Technology in Transgenic Brassica napus. Master’s Thesis, Guizhou University, Guiyang, China, 4 June 2009. [Google Scholar]
- Zhu, Y. The Preliminary Study on the Construction of Exogenous Gene Specific. Master’s Thesis, Fujian Agriculture and Forestry University, Fujian, China, 13 June 2010. [Google Scholar]
- Li, Y.; Zhao, D. Genetic transformation efficiency enhanced by ipt gene and heat shock promoter driven gene excision in petunia. Genom. Appl. Biol. 2011, 30, 145–151. [Google Scholar]
- Xiang, Y.; Liu, Y.; Zhao, D.; Li, Y. Application of gene-deletor system to create multiple stress tolerant corn new germplasm with gene ZmSDD1, BT and BAR. Mol. Plant Breed. 2015, 13, 1953–1961. [Google Scholar]
- Hoenicka, H.; Lehnhardt, D.; Nunna, S.; Reinhardt, R.; Jeltsch, A.; Briones, V.; Fladung, M. Level of tissue differentiation influences the activation of a heat-inducible flower-specific system for genetic containment in poplar (Populus tremula L.). Plant Cell Rep. 2016, 35, 369–384. [Google Scholar] [CrossRef] [PubMed]
- Zelasco, S.; Ressegotti, V.; Confalonieri, M.; Carbonera, D.; Calligari, P.; Bonadei, M.; Bisoffi, S.; Yamada, K.; Balestrazzi, A. Evaluation of MAT-vector system in white poplar (Populus alba L.) and production of ipt marker-free transgenic plants by ‘single-step transformation’. Plant Cell Tissue Organ Cult. 2007, 91, 61–72. [Google Scholar] [CrossRef]
- Navarre, C.; Sallets, A.; Gauthy, E.; Maîtrejean, M.; Magy, B.; Nader, J.; Thozée, C.; Crouzet, J.; Batoko, H.; Boutry, M. Isolation of heat shock-induced Nicotiana tabacum transcription promoters and their potential as a tool for plant research and biotechnology. Transgenic Res. 2011, 20, 799–810. [Google Scholar] [CrossRef] [PubMed]
- Ashburner, M.; Bonner, J.J. The induction of gene activity in drosophila by heat shock. Cell 1979, 17, 241–254. [Google Scholar] [CrossRef]
- Takahashi, T.; Komeda, Y. Characterization of two genes encoding small heat-shock proteins in Arabidopsis thaliana. Mol. Gen. Genet. 1989, 219, 365–372. [Google Scholar] [CrossRef] [PubMed]
- Fladung, M.; Polak, O. Ac/Ds-transposon activation tagging in poplar: A powerful tool for gene discovery. BMC Genom. 2012, 13. [Google Scholar] [CrossRef] [PubMed]
- Wang, Y.; Chen, B.; Hu, Y.; Li, J.; Lin, Z. Inducible excision of selectable marker gene from transgenic plants by the Cre/lox site-specific recombination system. Transgenic Res. 2005, 14, 605–614. [Google Scholar] [CrossRef] [PubMed]
- Fladung, M.; Schenk, T.M.H.; Polak, O.; Becker, D. Elimination of marker genes and targeted integration via FLP/FRT recombination system from yeast in hybrid aspen (Populus tremula L. × P. tremuloides Michx.). Tree Genet. Genomes 2010, 6, 205–217. [Google Scholar] [CrossRef]
- Ahmad, A.; Zhang, Y.; Cao, X.-F. Decoding the epigenetic language of plant development. Mol. Plant 2010, 3, 719–728. [Google Scholar] [CrossRef] [PubMed]
- Endo, S.; Kasahara, T.; Sugita, K.; Ebinuma, H. A new GST-MAT vector containing both ipt and iaaM/H genes can produce marker-free transgenic tobacco plants with high frequency. Plant Cell Rep. 2002, 20, 923–928. [Google Scholar]
- Matsunaga, E.; Sugita, K.; Ebinuma, H. Asexual production of selectable marker-free transgenic woody plants, vegetatively propagated species. Mol. Breed. 2002, 10, 95–106. [Google Scholar] [CrossRef]
- Éva, C.; Téglás, F.; Zelenyánszki, H.; Tamás, C.; Juhász, A.; Mészáros, K.; Tamás, L. Cold inducible promoter driven Cre-lox system proved to be highly efficient for marker gene excision in transgenic barley. J. Biotechnol. 2018, 265, 15–24. [Google Scholar] [CrossRef] [PubMed]









© 2018 by the authors. Licensee MDPI, Basel, Switzerland. This article is an open access article distributed under the terms and conditions of the Creative Commons Attribution (CC BY) license (http://creativecommons.org/licenses/by/4.0/).
Share and Cite
Wang, B.; Zhang, Y.; Zhao, J.; Dong, M.; Zhang, J. Heat-Shock-Induced Removal of Transgenes Using the Gene-Deletor System in Hybrid Aspen (Populus tremula × P. tremuloides). Genes 2018, 9, 484. https://doi.org/10.3390/genes9100484
Wang B, Zhang Y, Zhao J, Dong M, Zhang J. Heat-Shock-Induced Removal of Transgenes Using the Gene-Deletor System in Hybrid Aspen (Populus tremula × P. tremuloides). Genes. 2018; 9(10):484. https://doi.org/10.3390/genes9100484
Chicago/Turabian StyleWang, Beibei, Yan Zhang, Jian Zhao, Mingliang Dong, and Jinfeng Zhang. 2018. "Heat-Shock-Induced Removal of Transgenes Using the Gene-Deletor System in Hybrid Aspen (Populus tremula × P. tremuloides)" Genes 9, no. 10: 484. https://doi.org/10.3390/genes9100484
APA StyleWang, B., Zhang, Y., Zhao, J., Dong, M., & Zhang, J. (2018). Heat-Shock-Induced Removal of Transgenes Using the Gene-Deletor System in Hybrid Aspen (Populus tremula × P. tremuloides). Genes, 9(10), 484. https://doi.org/10.3390/genes9100484
