Screening and Genomic Profiling of Antimicrobial Bacteria Sourced from Poultry Slaughterhouse Effluents: Bacteriocin Production and Safety Evaluation
Abstract
1. Introduction
2. Materials and Methods
2.1. Sampling Sites and Sample Treatment
2.2. Screening of Isolates with Antimicrobial Activity Against Gram-Positive Indicators
2.3. Screening of Isolates with Antimicrobial Activity Against Gram-Negative Indicators
2.4. Taxonomic Identification of the Bacterial Isolates
2.5. Random Amplified Polymorphic DNA (RAPD) Technique to Analyze the Diversity of the Bacterial Isolates
2.6. Evaluation of the Antimicrobial Activity of Selected Isolates Versus a Larger Panel of Indicators
2.7. Whole-Genome Sequencing, Assembly, and Data Analysis
2.8. Antibiotic Susceptibility Testing
2.9. Hemolytic and Gelatinase Activities
2.10. In Vitro Cell-Free Protein Synthesis (IV-CFPS) of Putative Bacteriocins Encoded by L. lactis SWD9 and Evaluation of Their Antimicrobial Activity
3. Results
3.1. Isolation of Antimicrobial-Producing Bacterial Isolates (API) Against Gram-Positive Indicators
3.2. Isolation of Antimicrobial-Producing Bacterial Isolates (API) Against Gram-Negative Indicators
3.3. Taxonomic Identification and Genetic Diversity Analysis of Selected Isolates by RAPD-PCR
3.4. Antimicrobial Activity of Supernatants from the Selected Isolates
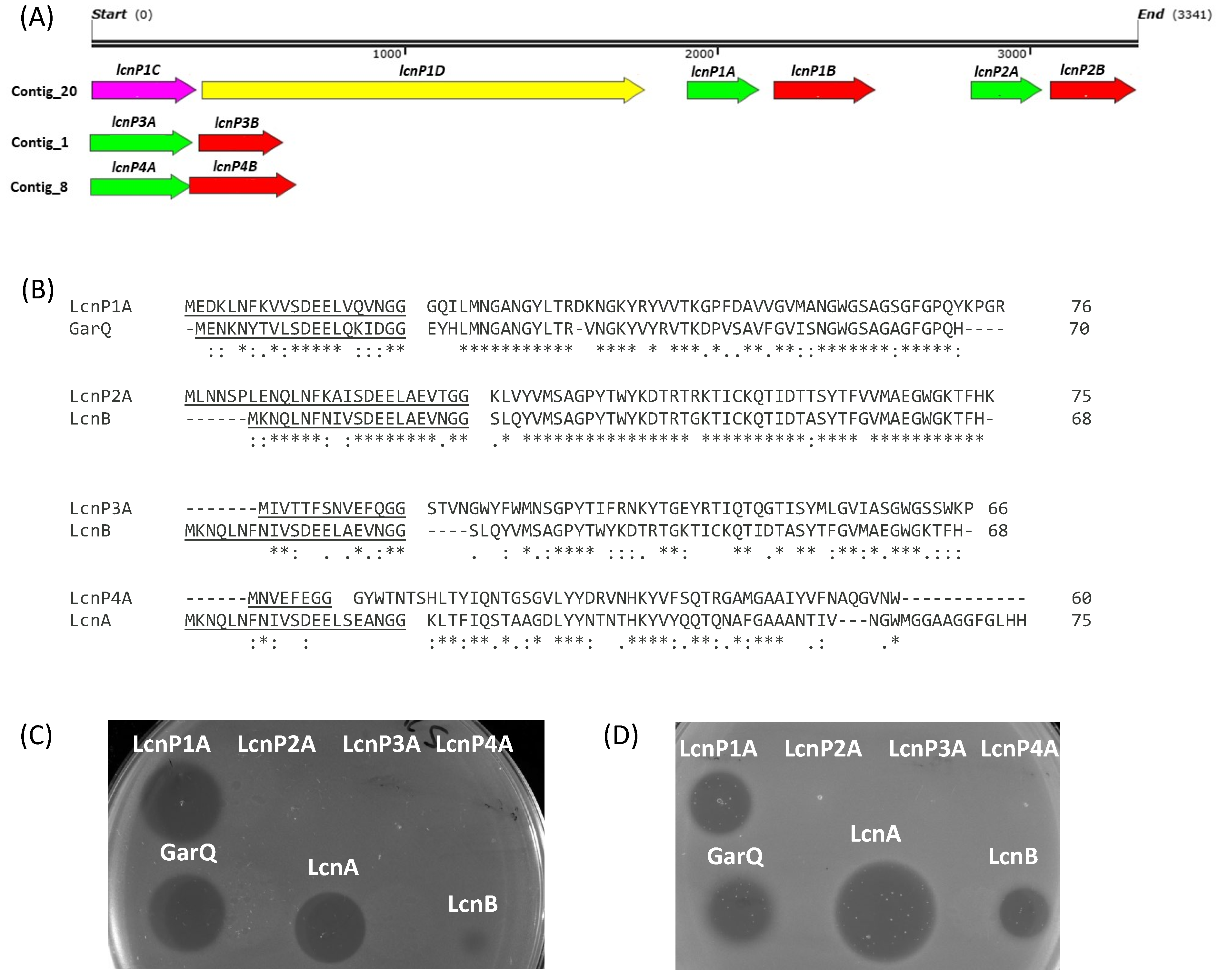
3.5. Identification of Putative Bacteriocins Through in Silico Mining of the Whole Genomes of the Selected Strains
3.6. In Vitro Cell-Free Protein Synthesis (IV-CFPS) and Functionality of the Bacteriocins Identified in L. lactis SWD9
3.7. Genomic Characteristics of the Most Active Antimicrobial Gram-Positive Isolates
4. Discussion
5. Conclusions
Supplementary Materials
Author Contributions
Funding
Data Availability Statement
Acknowledgments
Conflicts of Interest
References
- Naghavi, M.; Vollset, S.E.; Ikuta, K.S.; Swetschinski, L.R.; Gray, A.P.; Wool, E.E.; Dekker, D.M. Global burden of bacterial antimicrobial resistance 1990–2021: A systematic analysis with forecasts to 2050. Lancet 2024, 404, 1199–1226. [Google Scholar] [CrossRef] [PubMed]
- Baljit, S.; Abhijnan, B.; Kamna, R. Antibiotics Misuse and Antimicrobial Resistance Development in Agriculture: A Global Challenge. Environ. Health 2024, 2, 618–622. [Google Scholar]
- EFSA BIOHAZ Panel (EFSA Panel on Biological Hazards); Koutsoumanis, K.; Allende, A.; Alvarez-Ordoñez, A.; Bolton, D.; Bover-Cid, S.; Chemaly, M.; Davies, R.; De Cesare, A.; Herman, L.; et al. Scientific Opinion on the role played by the environment in the emergence and spread of antimicrobial resistance (AMR) through the food chain. EFSA J. 2021, 19, e06651. [Google Scholar]
- Klein, E.Y.; Van Boeckel, T.P.; Martinez, E.M.; Pant, S.; Gandra, S.; Levin, S.A.; Goossens, H.; Laxminarayan, R. Global increase and geographic convergence in antibiotic consumption between 2000 and 2015. Proc. Natl. Acad. Sci. USA 2018, 115, E3463–E3470. [Google Scholar] [CrossRef]
- Kumar, D.; Suchawan, P.; Siddhartha, T. Antibiotic Usage in Poultry Production and Antimicrobial-Resistant Salmonella in Poultry. In Food Safety in Poultry Meat Production; Springer: Berlin/Heidelberg, Germany, 2019; pp. 47–66. [Google Scholar]
- Muhammad, J.; Khan, S.; Su, J.Q.; El-Latif Hesham, A.; Ditta, A.; Nawab, J.; Ali, A. Antibiotics in poultry manure and their associated health issues: A systematic review. J. Soils Sediments 2020, 20, 486–497. [Google Scholar] [CrossRef]
- Cong, X.; Krolla, P.; Khan, U.Z.; Savin, M.; Schwartz, T. Antibiotic resistances from slaughterhouse effluents and enhanced antimicrobial blue light technology for wastewater decontamination. Environ. Sci. Pollut Res. 2023, 30, 109315–109330. [Google Scholar] [CrossRef] [PubMed]
- Ding, D.; Wang, B.; Zhang, X.; Zhang, J.; Zhang, H.; Liu, X.; Gao, Z.; Yu, Z. The spread of antibiotic resistance to humans and potential protection strategies. Ecotoxicol. Environ. Saf. 2023, 254, 114734. [Google Scholar] [CrossRef]
- Sugrue, I.; Ross, R.P.; Hill, C. Bacteriocin diversity, function, discovery and application as antimicrobials. Nat. Rev. Microbiol. 2024, 22, 556–571. [Google Scholar] [CrossRef] [PubMed]
- Mathur, H.; Field, D.; Rea, M.C.; Cotter, P.D.; Hill, C.; Ross, R.P. Bacteriocin-Antimicrobial Synergy: A Medical and Food Perspective. Front. Microbiol. 2017, 8, 1205. [Google Scholar] [CrossRef] [PubMed]
- Soltani, S.; Hammami, R.; Cotter, P.D.; Rebuffat, S.; Said, L.B.; Gaudreau, H.; Bédard, F.; Biron, E.; Drider, D.; Fliss, I. Bacteriocins as a new generation of antimicrobials: Toxicity aspects and regulations. FEMS Microbiol. Rev. 2021, 45, fuaa039. [Google Scholar] [CrossRef] [PubMed]
- Hahn-Löbmann, S.; Stephan, A.; Schulz, S.; Schneider, T.; Shaverskyi, A.; Tusé, D.; Giritch, A.; Gleba, Y. Colicins and Salmocins—New Classes of Plant-Made Non-antibiotic Food Antibacterials. Front. Plant. Sci. 2019, 10, 437. [Google Scholar] [CrossRef]
- Zhang, J.N.; Abu Zarin, M.; Lee, C.K.; Tan, J.S. Application of bacteriocins in food preservation and infectious disease treatment for humans and livestock: A review. RSC Adv. 2020, 10, 38937–38964. [Google Scholar]
- Hernández-González, J.C.; Martínez-Tapia, A.; Lazcano-Hernández, G.; García-Pérez, B.E.; Castrejón-Jiménez, N.S. Bacteriocins from Lactic Acid Bacteria. A Powerful Alternative as Antimicrobials, Probiotics, and Immunomodulators in Veterinary Medicine. Animals 2021, 11, 979. [Google Scholar] [CrossRef] [PubMed]
- Lambo, M.T.; Chang, X.; Liu, D. The Recent Trend in the Use of Multistrain Probiotics in Livestock Production: An Overview. Animals 2021, 11, 2–15. [Google Scholar] [CrossRef]
- Reid, G.; Gadir, A.A.; Dhir, R. Probiotics: Reiterating What They Are and What They Are Not. Front. Microbiol. 2019, 10, 424. [Google Scholar] [CrossRef] [PubMed]
- Binda, S.; Hill, C.; Johansen, E.; Obis, D.; Pot, B.; Sanders, M.E.; Tremblay, A.; Ouwehand, A.C. Criteria to Qualify Microorganisms as “Probiotic” in Foods and Dietary Supplements. Front. Microbiol. 2020, 11, 1662. [Google Scholar] [CrossRef] [PubMed]
- Khalifa, A.; Mohamed Ibrahim, H.I. Enterococcus faecium from chicken feces improves chicken immune response and alleviates Salmonella infections: A pilot study. J. Anim. Sci. 2023, 101, skad016. [Google Scholar] [CrossRef]
- Wang, W.; Cai, H.; Zhang, A.; Chen, Z.; Chang, W.; Liu, G.; Deng, X.; Bryden, W.L.; Zheng, A. Enterococcus faecium Modulates the Gut Microbiota of Broilers and Enhances Phosphorus Absorption and Utilization. Animals 2020, 10, 1232. [Google Scholar] [CrossRef] [PubMed]
- Wu, Y.; Zhen, W.; Geng, Y.; Wang, Z.; Guo, Y. Pretreatment with probiotic Enterococcus faecium NCIMB 11181 ameliorates necrotic enteritis-induced intestinal barrier injury in broiler chickens. Sci. Rep. 2019, 9, 10256. [Google Scholar] [CrossRef] [PubMed]
- Zhang, H.; Wang, M.; Jia, J.; Zhao, J.; Radebe, S.M.; Yu, Q. The Protective Effect of E. faecium on S. typhimurium Infection Induced Damage to Intestinal Mucosa. Front. Vet. Sci. 2021, 8, 740424. [Google Scholar] [CrossRef]
- Boodhoo, N.; Shojadoost, B.; Alizadeh, M.; Astill, J.; Behboudi, S.; Sharif, S. Effect of treatment with Lactococcus lactis NZ9000 on intestinal microbiota and mucosal immune responses against Clostridium perfringens in broiler chickens. Front. Microbiol. 2023, 14, 1257819. [Google Scholar] [CrossRef] [PubMed]
- Navale, V.D.; Yadav, R.; Khilari, A.; Dharne, M.; Shanmugam, D.; Vamkudoth, K.R. Dietary Supplementation of Lactococcus lactis subsp. lactis BIONCL17752 on Growth Performance and Gut Microbiota of Broiler Chickens. Probiotics Antimicrob. Proteins 2024, 1–14. [Google Scholar] [CrossRef] [PubMed]
- Hu, J.; Ma, L.; Nie, Y.; Chen, J.; Zheng, W.; Wang, X.; Xie, C.; Zheng, Z.; Wang, Z.; Yang, T.; et al. A Microbiota-Derived Bacteriocin Targets the Host to Confer Diarrhea Resistance in Early-Weaned Piglets. Cell Host Microbe 2018, 24, 817–832. [Google Scholar] [CrossRef]
- Sobrino, O.J.; Alba, C.; Arroyo, R.; Pérez, I.; Sariego, L.; Delgado, S.; Fernández, L.; de María, J.; Fumanal, P.; Fumanal, A.; et al. Replacement of Metaphylactic Antimicrobial Therapy by Oral Administration of Ligilactobacillus salivarius MP100 in a Pig Farm. Front. Vet. Sci. 2021, 8, 666887. [Google Scholar] [CrossRef] [PubMed]
- Martín, B.; Corominas, L.; Garriga, M.; Aymerich, T. Identification and tracing of Enterococcus spp. by RAPD-PCR in traditional fermented sausages and meat environment. J. Appl. Microbiol. 2009, 106, 66–77. [Google Scholar] [CrossRef] [PubMed]
- Cintas, L.M.; Rodriguez, J.M.; Fernandez, M.F.; Sletten, K.; Nes, I.F.; Hernandez, P.E.; Holo, H. Isolation and characterization of pediocin L50, a new bacteriocin from Pediococcus acidilactici with a broad inhibitory spectrum. Appl. Environ. Microbial. 1995, 61, 2643–2648. [Google Scholar] [CrossRef] [PubMed]
- Larsen, M.; Cosentino, S.; Lukjancenko, O.; Saputra, D.; Rasmussen, S.; Hasman, H.; Sicheritz-Pontén, T.; Aarestrup, F.M.; Ussery, D.W.; Lund, O. Benchmarking of methods for genomic taxonomy. J. Clin. Microbiol. 2014, 52, 1529–1539. [Google Scholar] [CrossRef]
- Cineros, J.L.B.; Lund, O. KmerFinderJS: A client-server method for fast species typing of bacteria over slow Internet connections. BioRxiv 2017, 145284. [Google Scholar] [CrossRef]
- Aziz, R.K.; Bartels, D.; Best, A.A.; DeJongh, M.; Disz, T.; Edwards, R.A.; Formsma, K.; Gerdes, S.; Glass, E.M.; Kubal, M.; et al. The RAST Server: Rapid annotations using subsystems technology. BMC Genom. 2008, 9, 75. [Google Scholar] [CrossRef]
- Van Heel, A.J.; de Jong, A.; Song, C.; Viel, J.H.; Kok, J.; Kuipers, O.P. BAGEL4: A user-friendly web server to thoroughly mine RiPPs and bacteriocins. Nucleic Acids Res. 2018, 46, W278–W281. [Google Scholar] [CrossRef]
- Blin, K.; Shaw, S.; Augustijn, H.E.; Reitz, Z.L.; Biermann, F.; Alanjary, M.; Fetter, A.; Terlouw, B.R.; Metcalf, W.W.; Helfrich, E.J.N.; et al. antiSMASH 7.0: New and improved predictions for detection, regulation, chemical structures and visualisation. Nucleic Acids Res. 2023, 51, W46–W50. [Google Scholar] [CrossRef] [PubMed]
- Belloso Daza, M.V.; Milani, G.; Cortimiglia, C.; Pietta, E.; Bassi, D.; Cocconcelli, P.S. Genomic Insights of Enterococcus faecium UC7251, a Multi-Drug Resistant Strain From Ready-to-Eat Food, Highlight the Risk of Antimicrobial Resistance in the Food Chain. Front Microbiol. 2022, 13, 894241. [Google Scholar] [CrossRef] [PubMed]
- Mbanga, J.; Amoako, D.G.; Abia, A.L.K.; Allam, M.; Ismail, A.; Essack, S.Y. Genomic Analysis of Enterococcus spp. Isolated From a Wastewater Treatment Plant and Its Associated Waters in Umgungundlovu District, South Africa. Front. Microbiol. 2021, 12, 648454. [Google Scholar] [CrossRef] [PubMed]
- Zhang, Z.; Schwartz, S.; Wagner, L.; Miller, W. A Greedy Algorithm for Aligning DNA Sequences. J. Comput. Biol. 2004, 7, 203–214. [Google Scholar] [CrossRef] [PubMed]
- Song, W.; Sun, H.X.; Zhang, C.; Cheng, L.; Peng, Y.; Deng, Z.; Wang, D.; Wang, Y.; Hu, M.; Liu, W.; et al. Prophage Hunter: An integrative hunting tool for active prophages. Nucleic Acids Res. 2019, 47, W74–W80. [Google Scholar] [CrossRef]
- EFSA Panel on Additives and Products or Substances used in Animal Feed (FEEDAP); Rychen, G.; Aquilina, G.; Azimonti, G.; Bampidis, V.; Bastos, M.L.; Bories, G.; Chesson, A.; Cocconcelli, P.S.; Flachowsky, G.; et al. Guidance on the characterisation of microorganisms used as feed additives or as production organisms. EFSA J. 2018, 16, e05206. [Google Scholar]
- Muñoz-Atienza, E.; Gómez-Sala, B.; Araújo, C.; Campanero, C.; del Campo, R.; Hernández, P.E.; Herranz, C.; Cintas, L.M. Antimicrobial activity, antibiotic susceptibility and virulence factors of Lactic Acid Bacteria of aquatic origin intended for use as probiotics in aquaculture. BMC Microbiol. 2013, 13, 15. [Google Scholar] [CrossRef] [PubMed]
- Gabant, P.; Borrero, J. PARAGEN 1.0: A Standardized Synthetic Gene Library for Fast Cell-Free Bacteriocin Synthesis. Front Bioeng. Biotechnol. 2019, 7, 213. [Google Scholar] [CrossRef]
- Ishibashi, N.; Himeno, K.; Fujita, K.; Masuda, Y.; Perez, R.H.; Zendo, T.; Wilaipun, P.; Leelawatcharamas, V.; Nakayama, J.; Sonomoto, K. Purification and Characterization of Multiple Bacteriocins and an Inducing Peptide Produced by Enterococcus faecium NKR-5-3 from Thai Fermented Fish. Biosci. Biotechnol. Biochem. 2012, 76, 947–953. [Google Scholar] [CrossRef] [PubMed]
- Gong, J.; Forster, R.J.; Yu, H.; Chambers, J.R.; Wheatcroft, R.; Sabour, P.M.; Chen, S. Molecular analysis of bacterial populations in the ileum of broiler chickens and comparison with bacteria in the cecum. FEMS Microbiol. Ecol. 2002, 41, 171–179. [Google Scholar] [CrossRef] [PubMed]
- Stępień-Pyśniak, D.; Marek, A.; Banach, T.; Adaszek, Ł.; Pyzik, E.; Wilczyński, J.; Winiarczyk, S. Prevalence and antibiotic resistance of Enterococcus strains isolated from poultry. Acta Vet. Hung. 2016, 64, 148–163. [Google Scholar] [CrossRef] [PubMed]
- Dolka, B.; Gołębiewska–Kosakowska, M.; Krajewski, K.; Kwieciński, P.; Szubstarski, J.; Wilczyński, J.; Szeleszczuk, P. Occurrence of Enterococcus spp. in poultry in Poland based on 2014–2015 data. Med. Weter. 2017, 73, 220–224. [Google Scholar] [CrossRef]
- Mwikuma, G.; Kainga, H.; Kallu, S.A.; Nakajima, C.; Suzuki, Y.; Hang’ombe, B.M. Determination of the Prevalence and Antimicrobial Resistance of Enterococcus faecalis and Enterococcus faecium. Associated with Poultry in Four Districts in Zambia. Antibiotics 2023, 12, 657. [Google Scholar] [CrossRef] [PubMed]
- Tedim, A.P.; Almeida-Santos, A.C.; Lanza, V.F.; Novais, C.; Coque, T.M.; Freitas, A.R.; Peixe, L.; from the ESCMID Study Group on Food- and Water-borne Infections (EFWISG). Bacteriocin distribution patterns in Enterococcus faecium and Enterococcus lactis: Bioinformatic analysis using a tailored genomics framework. Appl. Environ. Microbiol. 2024, 90, e01376-24. [Google Scholar] [CrossRef]
- Garretto, A.; Dawid, S.; Woods, R. Increasing prevalence of bacteriocin carriage in a six-year hospital cohort of E. faecium. MedRxiv 2024, 7, 1–25. [Google Scholar]
- Poeta, P.; Costa, D.; Rojo-Bezares, B.; Zarazaga, M.; Klibi, N.; Rodrigues, J.; Torres, C. Detection of antimicrobial activities and bacteriocin structural genes in faecal enterococci of wild animals. Microbiol. Res. 2007, 162, 257–263. [Google Scholar] [CrossRef] [PubMed]
- Arbulu, S.; Jiménez, J.J.; Gútiez, L.; Campanero, C.; del Campo, R.; Cintas, L.M.; Herranz, C.; Hernández, P.E. Evaluation of bacteriocinogenic activity, safety traits and biotechnological potential of fecal lactic acid bacteria (LAB), isolated from Griffon Vultures (Gyps fulvus subsp. fulvus). BMC Microbiol. 2016, 16, 228. [Google Scholar] [CrossRef] [PubMed]
- Strateva, T.; Dimov, S.G.; Atanasova, D.; Petkova, V.; Savov, E.; Mitov, I. Molecular genetic study of potentially bacteriocinogenic clinical and dairy Enterococcus spp. isolates from Bulgaria. Ann. Microbiol. 2016, 66, 381–387. [Google Scholar] [CrossRef]
- Casaus, P.; Nilsen, T.; Cintas, L.M.; Nes, I.F.; Hernández, P.E.; Holo, H. Enterocin B, a new bacteriocin from Enterococcus faecium T136 which can act synergistically with enterocin A. Microbiology 1997, 143, 2287–2294. [Google Scholar] [CrossRef]
- Franz, C.M.; Worobo, R.W.; Quadri, L.E.; Schillinger, U.; Holzapfel, W.H.; Vederas, J.C.; Stiles, M.E. Atypical genetic locus associated with constitutive production of enterocin B by Enterococcus faecium BFE 900. Appl. Environ. Microbiol. 1999, 65, 2170–2178. [Google Scholar] [CrossRef] [PubMed]
- Hu, C.B.; Malaphan, W.; Zendo, T.; Nakayama, J.; Sonomoto, K. Enterocin X, a novel two-peptide bacteriocin from Enterococcus faecium KU-B5, has an antibacterial spectrum entirely different from those of its component peptides. Appl. Environ. Microbiol. 2010, 76, 4542–4545. [Google Scholar] [CrossRef]
- Sevillano, E.; Lafuente, I.; Peña, N.; Cintas, L.M.; Muñoz-Atienza, E.; Hernández, P.E.; Borrero, J. Evaluation of safety and probiotic traits from a comprehensive genome-based in silico analysis of Ligilactobacillus salivarius P1CEA3, isolated from pigs and producer of nisin S. Foods 2024, 13, 107. [Google Scholar] [CrossRef] [PubMed]
- Tosukhowong, A.; Zendo, T.; Visessanguan, W.; Roytrakul, S.; Pumpuang, L.; Jaresitthikunchai, J.; Sonomoto, K. Garvieacin Q, a novel class II bacteriocin from Lactococcus garvieae BCC 43578. Appl. Environ. Microbiol. 2012, 78, 1619–1623. [Google Scholar] [CrossRef] [PubMed]
- Desiderato, C.K.; Hasenauer, K.M.; Reich, S.J.; Goldbeck, O.; Holivololona, L.; Ovchinnikov, K.V.; Reiter, A.; Oldiges, M.; Diep, D.B.; Eikmanns, B.J.; et al. Garvicin Q: Characterization of biosynthesis and mode of action. Microb. Cell Fact. 2022, 21, 1–18. [Google Scholar] [CrossRef] [PubMed]
- Venema, K.; Abee, T.; Haandrikman, A.J.; Leenhouts, K.J.; Kok, J.; Konings, W.N.; Venema, G. Mode of Action of Lactococcin B, a Thiol-Activated Bacteriocin from Lactococcus lactis. Appl. Environ. Microbiol. 1993, 59, 1041–1048. [Google Scholar] [CrossRef] [PubMed]
- Holo, H.; Nilssen, O.; Nes, I.F. Lactococcin A, a New Bacteriocin from Lactococcus lactis subsp. cremoris: Isolation and Characterization of the Protein and Its Gene. J. Bacteriol. 1991, 173, 3879–3887. [Google Scholar] [CrossRef] [PubMed]
- Cotter, P.D.; Hill, C.; Ross, R.P. Bacteriocins: Developing innate immunity for food. Nat. Rev. Microbiol. 2005, 3, 777–788. [Google Scholar] [CrossRef] [PubMed]
- Mora, Z.V.; Macías-Rodríguez, M.E.; Arratia-Quijada, J.; Gonzalez-Torres, Y.S.; Nuño, K.; Villarruel-López, A. Clostridium perfringens as Foodborne Pathogen in Broiler Production: Pathophysiology and Potential Strategies for Controlling Necrotic Enteritis. Animals. 2020, 10, 1–28. [Google Scholar] [CrossRef] [PubMed]
- Peña, N.; Bland, M.J.; Sevillano, E.; Muñoz-Atienza, E.; Lafuente, I.; Bakkoury, M.E.; Cintas, L.M.; Hernández, P.E.; Gabant, P.; Borrero, J. In vitro and in vivo production and split-intein mediated ligation (SIML) of circular bacteriocins. Front. Microbiol. 2022, 13, 1052686. [Google Scholar] [CrossRef] [PubMed]
- Lafuente, I.; Sevillano, E.; Peña, N.; Cuartero, A.; Hernández, P.E.; Cintas, L.M.; Muñoz-Atienza, E.; Borrero, J. Production of Pumilarin and a Novel Circular Bacteriocin, Altitudin A, by Bacillus altitudinis ECC22, a Soil-Derived Bacteriocin Producer. Int. J. Mol. Sci. 2024, 25, 2020. [Google Scholar] [CrossRef] [PubMed]
- Marković, K.G.; Grujović, M.Ž.; Koraćević, M.G.; Nikodijević, D.D.; Milutinović, M.G.; Semedo-Lemsaddek, T.; Djilas, M.D. Colicins and Microcins Produced by Enterobacteriaceae: Characterization, Mode of Action, and Putative Applications. Int. J. Environ. Res. Public Health 2022, 19, 11825. [Google Scholar] [CrossRef]
- Baquero, F.; Beis, K.; Craik, D.J.; Li, Y.; Link, A.J.; Rebuffat, S.; Salomón, R.; Severinov, K.; Zirah, S.; Hegemann, J.D. The pearl jubilee of microcin J25: Thirty years of research on an exceptional lasso peptide. Nat. Prod. Rep. 2024, 41, 469–511. [Google Scholar] [CrossRef] [PubMed]
- Franz, C.M.A.P.; Pot, B.; Vizoso-Pinto, M.G.; Arini, A.; Coppolecchia, R.; Holzapfel, W.H. An Update on the Taxonomy and Functional Properties of the Probiotic Enterococcus faecium SF68. Benef. Microbes. 2024, 15, 211–225. [Google Scholar] [CrossRef] [PubMed]
- Urshev, Z.; Yungareva, T. Initial safety evaluation of Enterococcus faecium LBB.E81. Biotechnol. Biotechnol. Equip. 2020, 35, 11–17. [Google Scholar] [CrossRef]
- Holzapfel, W.; Arini, A.; Aeschbacher, M.; Coppolecchia, R.; Pot, B. Enterococcus faecium SF68 as a model for efficacy and safety evaluation of pharmaceutical probiotics. Benef. Microbes 2018, 9, 375–388. [Google Scholar] [CrossRef]
- Roer, L.; Kaya, H.; Tedim, A.P.; Novais, C.; Coque, T.M.; Aarestrup, F.M.; Peixe, L.; Hasman, H.; Hammerum, A.M.; Freitas, A.R.; et al. VirulenceFinder for Enterococcus faecium and Enterococcus lactis: An enhanced database for detection of putative virulence markers by using whole-genome sequencing data. Microbiol. Spectr. 2024, 12, e03724-23. [Google Scholar] [CrossRef] [PubMed]
- Serrano, S.; Ferreira, M.V.; Alves-Barroco, C.; Morais, S.; Barreto-Crespo, M.T.; Tenreiro, R.; Semedo-Lemsaddek, T. Beyond Harmful: Exploring Biofilm Formation by Enterococci Isolated from Portuguese Traditional Cheeses. Foods 2024, 13, 3067. [Google Scholar] [CrossRef] [PubMed]
- Hanchi, H.; Mottawea, W.; Sebei, K.; Hammami, R. The genus Enterococcus: Between probiotic potential and safety concerns—An update. Front. Microbiol. 2018, 3, 1791. [Google Scholar] [CrossRef]
- Rashid, M.; Narang, A.; Thakur, S.; Kumar Jain, S.; Kaur, S. Therapeutic and prophylactic effects of oral administration of probiotic Enterococcus faecium Smr18 in Salmonella enterica-infected mice. Gut Pathog. 2023, 15, 23. [Google Scholar] [CrossRef]



| Indicator strains | Isolates | |||||||
|---|---|---|---|---|---|---|---|---|
| E. faecium STG2 | E. faecium STH9 | E. faecium SCH10 | E. faecium DEE8 | E. faecium SWG6 | E. faecium SWB11 | L. garvieae SWE11 | L. lactis SWD9 | |
| Pediococcus damnosus CECT 4797 | +++ | ++ | +++ | ++ | ++ | + | ++ | +++ |
| Clostridium perfringens CECT 4110 | + | + | + | + | + | + | + | + |
| Listeria monocytogenes CECT 4032 | + | + | + | + | + | + | + | + |
| Listeria grayii CECT 931 | + | + | + | + | + | + | + | + |
| Listeria seeligeri CECT 917 | ++ | ++ | ++ | ++ | ++ | + | + | + |
| Streptococcus suis C2969/03 | − | − | − | − | − | − | + | − |
| Enterococcus faecium AR1 (VRE) | + | + | + | + | + | − | + | + |
| Enterococcus faecium P7 (VRE) | ++ | + | ++ | + | + | − | ++ | + |
| Enterococcus faecium 714 (VRE) | + | + | + | + | + | − | ++ | − |
| Enterococcus faecium 720 (VRE) | ++ | ++ | ++ | + | ++ | − | + | + |
| Enterococcus faecalis 721 | ++ | + | ++ | ++ | + | − | + | − |
| Enterococcus faecalis DBH18 | − | − | + | − | + | + | + | + |
| Lactococcus lactis IL1403 | + | − | + | − | − | − | ++ | ++ |
| Lactococcus lactis BB24 | − | − | ++ | − | − | + | + | + |
| Lactococcus lactis NZ9000 | − | − | ++ | − | − | − | ++ | − |
| Lactococcus lactis MG1363 | + | − | ++ | + | − | − | ++ | + |
| Lactococcus garvieae 5806 | + | + | ++ | + | + | − | ++ | − |
| Staphylococcus aureus ZTA11/00117ST | − | − | − | − | − | − | − | − |
| Indicators | Isolates | |||
|---|---|---|---|---|
| E. coli SWB4 | E. coli SWF6 | E. coli SWD7 | E. coli SWH2 | |
| Escherichia coli DH5α | +++ | +++ | +++ | ++ |
| Escherichia coli 0157:H7 | +++ | +++ | + | − |
| Escherichia coli ZTA16/02317 | +++ | ++ | − | − |
| Escherichia coli ZTA16/01878 | +++ | +++ | ++ | ++ |
| Escherichia coli ZTA16/01940 | +++ | +++ | ++ | ++ |
| Escherichia coli ZTA16/01268 | ++ | +++ | − | + |
| Salmonella choleraesuis ZTA19/01344 | − | − | − | − |
| Salmonella paratyphi 554 | − | ++ | − | − |
| Salmonella enteritidis 4396 | − | ++ | − | − |
| Salmonella enteritidis 1025 | − | ++ | − | − |
| Shigella spp. JG024/41 | − | + | − | − |
| Shigella spp. H065/02 | − | − | − | − |
| E. faecium STG2 | E. faecium STH9 | E. faecium SCH10 | E. faecium DEE8 | E. faecium SWG6 | E. faecium SWB11 | L. garvieae SWE11 | L. lactis SWD9 |
|---|---|---|---|---|---|---|---|
| Enterocin A (100) | Enterocin A (100) | Enterocin A (100) | Enterocin A (100) | Enterocin A (100) | Enterocin A (100) | Garvieacin Q (93.6) | Garvieacin Q (72.0) |
| Enterocin B (100) | Enterocin B (100) | Enterocin B (100) | Enterocin B (100) | Enterocin B (100) | Enterocin B (100) | Lactococcin B (89.3) | |
| Enterocin X chain α (100) | Enterocin X chain α (100) | Enterocin X chain α (100) | Enterocin X chain α (100) | Enterocin X chain α (100) | Enterocin X chain α (100) | Lactococcin B (38.3) | |
| Enterocin X chain β (100) | Enterocin X chain β (100) | Enterocin X chain β (100) | Enterocin X chain β (100) | Enterocin X chain β (100) | Enterocin X chain β (100) | Lactococcin A (37.0) | |
| Enterocin NKR-5-3 A (96.6) | Enterocin P (95.4) | ||||||
| Enterocin NKR-5-3 Z (93.0) | |||||||
| Enterocin NKR-5-3 D (52.0) | |||||||
| E. coli SWB4 | E. coli SWF6 | E. coli SWD7 | E. coli SWH2 | ||||
| Microcin M (100) | Microcin V (100) | Colicin 1A (36.6) | Colicin E7 (100) | ||||
| Microcin I47 (59.5) | Microcin J25 (100) | Microcin L (97.1) | |||||
| Microcin H47 (100) |
| Strain | Antibiotic Resistance | Virulence Factors | Plasmid Replicon Type | Mobile Elements | Prophage Elements | |
|---|---|---|---|---|---|---|
| Phenotype | Genotype | |||||
| E. faecium STG2 | - | aac(6′)-Ii [GEN] | bepA, ccpA, empA, empB, empC, fms13, fms14, fms15, fms17, fnm, gls20, gls33, gls2B, gls2B1, sagA, scm, orf1481, ptsD, acm, efa | - | ISEfm1 | Lactob phig1e NC_004305 |
| - | msr(C) [ERI] | |||||
| TCY | tet(M) | |||||
| E. faecium STH9 | - | aac(6′)-Ii [GEN] | bepA, ccpA, empA, empB, empC, fms13, fms14, fms15, fms17, fnm, gls20, gls33, gls2B, gls2B1, sagA, scm, orf1481, ptsD, acm, efa | - | ISEfm1 | Lactob phig1e NC_004305 |
| - | msr(C) [ERI] | |||||
| TCY | tet(M) | |||||
| E. faecium SCH10 | - | aac(6′)-Ii [GEN] | bepA, ccpA, empA, empB, empC, fms13, fms14, fms15, fms16, fms17, fms19, fms20, fms21, fnm, gls20, gls33, gls2B, gls2B1, sagA, scm, acm, efa | repUS12, repUS15, repUS43, rep1, rep2, rep18b | ISSsu5, ISEfa11, ISLgar5, IS256 | - |
| ERI | msr(C), erm(B) | |||||
| TCY | tet(M) | |||||
| CHL | cat(pC194) | |||||
| CLI | erm(B) | |||||
| STR | ant(6)-Ia | |||||
| TYL | Nf | |||||
| E. faecium DEE8 | - | aac(6′)-Ii [GEN] | bepA, ccpA, empA, empB, empC, fms13, fms14, fms15, fms17,fms21, fnm, gls20, gls33, gls2B, gls2B1, sagA, scm, acm, efa | repUS11a, repUS29, repUS43, rep2, rep14b | Tn6009, Tn6260, ISEfa11, ISEnfa4 | Bacill BCJA1c NC_006557 |
| - | msr(C) [ERI] | |||||
| TCY | tet(M) | |||||
| - | cat(pC194) [CHL] | |||||
| E. faecium SWG6 | - | aac(6′)-Ii [GEN] | bepA, ccpA, empA, empB, empC, fms13, fms14, fms15, fms17,fms20, fms21, fnm, gls20, gls33, gls2B, gls2B1, sagA, acm, efa | rep1, repUS15 | ISEfa11, IS1062 | Lactob phig1e NC_004305 |
| - | msr(C) [ERI] | |||||
| E. faecium SWB11 | - | aac(6′)-Ii [GEN] | bepA, ccpA, empA, empB, empC, fms13, fms14, fms15, fms17, fnm, gls20, gls33, gls2B, gls2B1, sagA, scm, orf1481, ptsD, acm, efa | - | - | - |
| ERI | msr(C) | |||||
| TCY | tet(M) | |||||
| CLI | Nf | |||||
| STR | Nf | |||||
| TYL | Nf | |||||
| L. lactis SWD9 | TCY | tet(M) | - | repUS3 | ISLll1, ISS1N, IS1068, IS-LL6 | - |
| L. garvieae SWE11 | CLI | Nf | - | repUS42 | ISEfm1 | - |
Disclaimer/Publisher’s Note: The statements, opinions and data contained in all publications are solely those of the individual author(s) and contributor(s) and not of MDPI and/or the editor(s). MDPI and/or the editor(s) disclaim responsibility for any injury to people or property resulting from any ideas, methods, instructions or products referred to in the content. |
© 2024 by the authors. Licensee MDPI, Basel, Switzerland. This article is an open access article distributed under the terms and conditions of the Creative Commons Attribution (CC BY) license (https://creativecommons.org/licenses/by/4.0/).
Share and Cite
Peña, N.; Lafuente, I.; Sevillano, E.; Feito, J.; Contente, D.; Muñoz-Atienza, E.; Cintas, L.M.; Hernández, P.E.; Borrero, J. Screening and Genomic Profiling of Antimicrobial Bacteria Sourced from Poultry Slaughterhouse Effluents: Bacteriocin Production and Safety Evaluation. Genes 2024, 15, 1564. https://doi.org/10.3390/genes15121564
Peña N, Lafuente I, Sevillano E, Feito J, Contente D, Muñoz-Atienza E, Cintas LM, Hernández PE, Borrero J. Screening and Genomic Profiling of Antimicrobial Bacteria Sourced from Poultry Slaughterhouse Effluents: Bacteriocin Production and Safety Evaluation. Genes. 2024; 15(12):1564. https://doi.org/10.3390/genes15121564
Chicago/Turabian StylePeña, Nuria, Irene Lafuente, Ester Sevillano, Javier Feito, Diogo Contente, Estefanía Muñoz-Atienza, Luis M. Cintas, Pablo E. Hernández, and Juan Borrero. 2024. "Screening and Genomic Profiling of Antimicrobial Bacteria Sourced from Poultry Slaughterhouse Effluents: Bacteriocin Production and Safety Evaluation" Genes 15, no. 12: 1564. https://doi.org/10.3390/genes15121564
APA StylePeña, N., Lafuente, I., Sevillano, E., Feito, J., Contente, D., Muñoz-Atienza, E., Cintas, L. M., Hernández, P. E., & Borrero, J. (2024). Screening and Genomic Profiling of Antimicrobial Bacteria Sourced from Poultry Slaughterhouse Effluents: Bacteriocin Production and Safety Evaluation. Genes, 15(12), 1564. https://doi.org/10.3390/genes15121564

