Small Complex Rearrangement in HINT1-Related Axonal Neuropathy
Abstract
1. Introduction
2. Materials and Methods
2.1. Participants and Clinical Assessment
2.2. Neurophysiology and Neuroimaging
2.3. Next-Generation Sequencing (NGS)
2.4. Optical Genome Mapping (OGM) in the Family
3. Results
3.1. Clinical Presentation
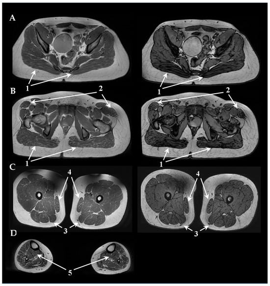
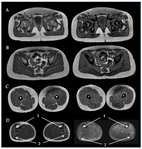
3.2. Neurophysiology and Neuroimaging
3.3. Molecular Genetics Investigations
4. Discussion
5. Conclusions
Author Contributions
Funding
Institutional Review Board Statement
Informed Consent Statement
Data Availability Statement
Conflicts of Interest
References
- Patzko, A.; Shy, M.E. Charcot-Marie-Tooth disease and related genetic neuropathies. Continuum 2012, 18, 39–59. [Google Scholar] [CrossRef] [PubMed]
- Madeiro, B.d.A.C.S.; Peeters, K.; de Lima, E.L.S.; Amor-Barris, S.; De Vriendt, E.; Jordanova, A.; Muniz, M.T.C.; Correia, C.d.C. HINT1 founder mutation causing axonal neuropathy with neuromyotonia in South America: A case report. Mol. Genet. Genom. Med. 2021, 9, e1783. [Google Scholar] [CrossRef] [PubMed]
- Morel, V.; Campana-Salort, E.; Boyer, A.; Esselin, F.; Walther-Louvier, U.; Querin, G.; Latour, P.; Lia, A.; Magdelaine, C.; Beze-Beyrie, P.; et al. HINT1 neuropathy: Expanding the genotype and phenotype spectrum. Clin. Genet. 2022, 102, 379–390. [Google Scholar] [CrossRef] [PubMed]
- Peeters, K.; Chamova, T.; Tournev, I.; Jordanova, A. Axonal neuropathy with neuromyotonia: There is a HINT. Brain 2017, 140, 868–877. [Google Scholar] [CrossRef]
- Rauchenzauner, M.; Frühwirth, M.; Hecht, M.; Kofler, M.; Witsch-Baumgartner, M.; Fauth, C. A Novel Variant in the HINT1 Gene in a Girl with Autosomal Recessive Axonal Neuropathy with Neuromyotonia: Thorough Neurological Examination Gives the Clue. Neuropediatrics 2016, 47, 119–122. [Google Scholar] [CrossRef]
- Zhao, H.; Race, V.; Matthijs, G.; De Jonghe, P.; Robberecht, W.; Lambrechts, D.; Van Damme, P. Exome sequencing reveals HINT1 mutations as a cause of distal hereditary motor neuropathy. Eur. J. Hum. Genet. 2014, 22, 847–850. [Google Scholar] [CrossRef]
- Varadarajulu, J.; Lebar, M.; Krishnamoorthy, G.; Habelt, S.; Lu, J.; Weinstein, I.B.; Li, H.; Holsboer, F.; Turck, C.W.; Touma, C. Increased anxiety-related behaviour in Hint1 knockout mice. Behav. Brain Res. 2011, 220, 305–311. [Google Scholar] [CrossRef]
- Liu, P.; Liu, Z.; Wang, J.; Ma, X.; Dang, Y. HINT1 in Neuropsychiatric Diseases: A Potential Neuroplastic Mediator. Neural Plast. 2017, 2017, 5181925. [Google Scholar] [CrossRef]
- O’Brien, M. (Ed.) Aids to Examination of the Peripheral Nervous System; Memorandum No. 45; Her Majesty’s Stationary Office: London, UK, 1976. [Google Scholar] [CrossRef]
- Wechsler, D. Wechsler Intelligence Scale for Children, 4th ed.; WISC-IV; 2003. Available online: https://psycnet.apa.org/doiLanding?doi=10.1037%2Ft15174-000 (accessed on 14 November 2024). [CrossRef]
- Achenbach, T.M.A. Child Behavior Checklist. In Encyclopedia of Clinical Neuropsychology; Kreutzer, J.S., DeLuca, J., Caplan, B., Eds.; Springer: New York, NY, USA, 2011. [Google Scholar] [CrossRef]
- March, J.S. Multidimensional Anxiety Scale for Children, 2nd ed.; MASC2. Available online: https://psycnet.apa.org/doiLanding?doi=10.1037%2Ft05050-000 (accessed on 14 November 2024). [CrossRef]
- D’Amore, A.; Tessa, A.; Casali, C.; Dotti, M.T.; Filla, A.; Silvestri, G.; Antenora, A.; Astrea, G.; Barghigiani, M.; Battini, R.; et al. Next Generation Molecular Diagnosis of Hereditary Spastic Paraplegias: An Italian Cross-Sectional Study. Front. Neurol. 2018, 9, 981. [Google Scholar] [CrossRef]
- Richards, S.; Aziz, N.; Bale, S.; Bick, D.; Das, S.; Gastier-Foster, J.; Grody, W.W.; Hegde, M.; Lyon, E.; Spector, E.; et al. ACMG Laboratory Quality Assurance Committee. Standards and guidelines for the interpretation of sequence variants: A joint consensus recommendation of the American College of Medical Genetics and Genomics and the Association for Molecular Pathology. Genet. Med. 2015, 17, 405–424. [Google Scholar] [CrossRef]
- Bonaglia, M.C.; Salvo, E.; Sironi, M.; Bertuzzo, S.; Errichiello, E.; Mattina, T.; Zuffardi, O. Case Report: Decrypting an interchromosomal insertion associated with Marfan’s syndrome: How optical genome mapping emphasizes the morbid burden of copy-neutral variants. Front. Genet. 2023, 14, 1244983. [Google Scholar] [CrossRef] [PubMed]
- Xu, J.; Yang, Y.; Liu, Y. Analysis of HINT1 gene variant in a case with neuromyotonia and axonal neuropathy. Zhonghua Yi Xue Yi Chuan Xue Za Zhi 2019, 36, 817–820. (In Chinese) [Google Scholar] [CrossRef] [PubMed]
- Zimoń, M.; Baets, J.; Almeida-Souza, L.; De Vriendt, E.; Nikodinovic, J.; Parman, Y.; Battaloǧlu, E.; Matur, Z.; Guergueltcheva, V.; Tournev, I.; et al. Loss-of-function mutations in HINT1 cause axonal neuropathy with neuromyotonia. Nat. Genet. 2012, 44, 1080–1083. [Google Scholar] [CrossRef] [PubMed]
- Cortés-Montero, E.; Rodríguez-Muñoz, M.; Sánchez-Blázquez, P.; Garzón-Niño, J. Human HINT1 Mutant Proteins that Cause Axonal Motor Neuropathy Exhibit Anomalous Interactions with Partner Proteins. Mol. Neurobiol. 2021, 58, 1834–1845. [Google Scholar] [CrossRef]
- Wang, Z.; Lin, J.; Qiao, K.; Cai, S.; Zhang, V.W.; Zhao, C.; Lu, J. Novel mutations in HINT1 gene cause the autosomal recessive axonal neuropathy with neuromyotonia. Eur. J. Med. Genet. 2019, 62, 190–194. [Google Scholar] [CrossRef]
- Laššuthová, P.; Brožková, D.; Krůtová, M.; Neupauerová, J.; Haberlová, J.; Mazanec, R.; Dvořáčková, N.; Goldenberg, Z.; Seeman, P. Mutations in HINT1 are one of the most frequent causes of hereditary neuropathy among Czech patients and neuromyotonia is rather an underdiagnosed symptom. Neurogenetics 2015, 16, 43–54. [Google Scholar] [CrossRef]
- Amor-Barris, S.; Høyer, H.; Brauteset, L.V.; De Vriendt, E.; Strand, L.; Jordanova, A.; Braathen, G.J.; Peeters, K. HINT1 neuropathy in Norway: Clinical, genetic and functional profiling. Orphanet. J. Rare Dis. 2021, 16, 116. [Google Scholar] [CrossRef]
- Elashoff, M.; Higgs, B.W.; Yolken, R.H.; Knable, M.B.; Weis, S.; Webster, M.J.; Barci, B.M.; Torrey, E.F. Meta-analysis of 12 genomic studies in bipolar disorder. J. Mol. Neurosci. 2007, 31, 221–243. [Google Scholar] [CrossRef]
- Martins-De-Souza, D.; Guest, P.C.; Harris, L.W.; Vanattou-Saifoudine, N.; Webster, M.J.; Rahmoune, H.; Bahn, S. Identification of proteomic signatures associated with depression and psychotic depression in post-mortem brains from major depression patients. Transl. Psychiatry 2012, 2, e87. [Google Scholar] [CrossRef]
- Barbier, E.; Wang, J.B. Anti-depressant and anxiolytic like behaviors in PKCI/HINT1 knockout mice associated with elevated plasma corticosterone level. BMC Neurosci. 2009, 10, 132. [Google Scholar] [CrossRef]
- Chen, Q.; Wang, X.; Oneill, F.; Walsh, D.; Kendler, K.S.; Chen, X. Is the histidine triad nucleotide-binding protein 1 (HINT1) gene a candidate for schizophrenia? Schizophr. Res. 2008, 106, 200–207. [Google Scholar] [CrossRef] [PubMed]
- Rozevska, M.; Rots, D.; Gailite, L.; Linde, R.; Mironovs, S.; Timcenko, M.; Linovs, V.; Locmele, D.; Micule, I.; Lace, B.; et al. The most common European HINT1 neuropathy variant phenotype and its case studies. Front. Neurol. 2023, 14, 1084335. [Google Scholar] [CrossRef] [PubMed]
- Scarpini, G.; Spagnoli, C.; Salerno, G.G.; Rizzi, S.; Frattini, D.; Fusco, C. Autosomal recessive axonal neuropathy caused by HINT1 mutation: New association of a psychiatric disorder to the neurologic phenotype. Neuromuscul. Disord. 2019, 29, 979. [Google Scholar] [CrossRef] [PubMed]
- Rossi, S.; Perna, A.; Modoni, A.; Bertini, E.; Riso, V.; Nicoletti, T.F.; Silvestri, G. Response to “Autosomal recessive axonal neuropathy caused by HINT1 mutation: New association of a psychiatric disorder to the neurological phenotype”. Neuromuscul. Disord. 2020, 30, 265–266. [Google Scholar] [CrossRef]
- Reddy, M.; Narmada, G.; Sundarachary, N. HINT1-Associated Axonal Neuropathy with Neuromyotonia. Neurol. India 2023, 71, 363–365. [Google Scholar] [CrossRef]
- Jerath, N.U.; Shy, M.E.; Grider, T.; Gutmann, L. A case of neuromyotonia and axonal motor neuropathy: A report of a HINT1 mutation in the United States. Muscle Nerve 2015, 52, 1110–1113. [Google Scholar] [CrossRef]
- Jiang, N.; Campo, R.V.D.; Kazamel, M. Case report: A novel homozygous histidine triad nucleotide-binding protein 1 mutation featuring distal hereditary motor-predominant neuropathy with rimmed vacuoles. Front. Neurol. 2023, 14, 1007051. [Google Scholar] [CrossRef]





| P1 | P2 | |
|---|---|---|
| Cognitive assessment (WISC-IV) | ||
| IQ | 45 | 65 |
| VCI | 62 | 80 |
| PRI | 58 | 74 |
| WMI | 64 | 76 |
| PSI | 50 | 62 |
| CBCL 6–18 | ||
| Syndrome scales | Anxious/Depressed, nc | Anxious/Depressed, nc |
| Withdrawn/Depressed, C (T = 76) | Withdrawn/Depressed, nc | |
| Somatic Complaints, nc | Somatic Complaints, nc | |
| Social Problems, B (T = 67) | Social Problems, nc | |
| Thought Problems, C (T = 73) | Thought Problems, nc | |
| Attention Problems, nc | Attention Problems, nc | |
| Rule-Breaking Behavior, C (T = 70) | Rule-Breaking Behavior, nc | |
| Aggressive Behavior, C (T = 72) | Aggressive Behavior, nc | |
| DSM-Oriented scales | Affective Problems, C (T = 75) | Affective Problems, nc |
| Anxiety Problems, nc | Anxiety Problems, nc | |
| Somatic Problems, nc | Somatic Problems, nc | |
| ADHD Problems, B (T = 66) | ADHD Problems, nc | |
| Oppositional Defiant Problems, B (T = 66) | Oppositional Defiant Problems, nc | |
| Conduct Problems, C (T = 70) | Conduct Problems, nc | |
| MASC 2 | ||
| Parent report | Separation anxiety, nc | Separation anxiety, nc |
| Generalized anxiety, B (T = 65) | Generalized anxiety, B (T = 65) | |
| Social anxiety, B (T = 69) | Social anxiety, nc | |
| Humiliation/rejection, nc | Humiliation/rejection, B (T = 65) | |
| Prestational fear, C (T = 70) | Prestational fear, nc | |
| Obsessive-compulsive, nc | Obsessive-compulsive, C (T = 78) | |
| Physical symptoms, nc | Physical symptoms, C (T = 72) | |
| Panic, nc | Panic, B (T = 68) | |
| Tension/agitation, B (T = 68) | Tension/agitation, C (T = 72) | |
| Avoidance of danger, nc | Avoidance of danger, nc | |
| Total, B (T = 66) | Total, C (T = 74) | |
| P1 | P2 | |||||
|---|---|---|---|---|---|---|
| Motor conduction Velocity | Latency (ms) | Amplitude (mV) | MCV (m/s) | Latency (ms) | Amplitude (mV) | MCV (m/s) |
| Right Medianus | ||||||
| Wrist-Thumb | - | - | - | 3.2 | 9 | |
| Elbow-Thumb | - | - | - | 8.7 | 9 | 51.8 |
| Right Ulnaris | ||||||
| Wrist-ABM | 2.7 | 15 | 2.8 | 16 | ||
| Elbow-ABM | 6.8 | 15 | 56.1 | 8.0 | 16 | 51.9 |
| Right Tibialis | ||||||
| Medial malleolus-Abductor allucis | 3.2 | 5 | - | - | - | |
| Popliteal fossa-Abductor allucis | 12.3 | 5 | 40.7 | - | - | - |
| Left Tibialis | ||||||
| Medial malleolus- Abductor allucis | - | - | - | 4.0 | 0.3 | |
| Popliteal fossa- Abductor allucis | - | - | - | 13.8 | 0.3 | 43.9 |
| Right Peroneus profundus | ||||||
| Foot dorsum-EBD | 4.2 | 0.7 | - | - | - | |
| Caput-EBD | 12.3 | 0.7 | 42.0 | - | - | - |
| Left Peroneus profundus | ||||||
| Foot dorsum-EBD | 4.2 | 0.3 | 5.5 | 0.5 | ||
| Caput-EBD | 12.2 | 0.3 | 40.0 | 15.0 | 0.5 | 40.5 |
| Sensitive Conduction Velocity | Latency (ms) | Amplitude (μV) | SCV (m/s) | Latency (ms) | Amplitude (μV) | SCV (m/s) |
| Right Medianus | ||||||
| Palm-III finger | - | - | - | 1.3 | 53 | 56.0 |
| Wrist-Palm | - | - | - | 2.3 | 47 | 57.1 |
| Elbow-Wrist | - | - | - | 6.9 | 18 | 62.0 |
| Right Ulnaris | ||||||
| Wrist-V finger | 1.6 | 76 | 54.5 | 1.9 | 43 | 52.1 |
| Elbow-Wrist | 5.7 | 30 | 56.8 | 6.7 | 18 | 56.5 |
| Right Suralis | ||||||
| Third medial Gastrocnemius- Lateral malleolus | 2.1 | 29 | 42.9 | - | - | - |
| Left Suralis | ||||||
| Third medial Gastrocnemius- Lateral malleolus | - | - | - | 3.0 | 7 | 40.0 |
Disclaimer/Publisher’s Note: The statements, opinions and data contained in all publications are solely those of the individual author(s) and contributor(s) and not of MDPI and/or the editor(s). MDPI and/or the editor(s) disclaim responsibility for any injury to people or property resulting from any ideas, methods, instructions or products referred to in the content. |
© 2024 by the authors. Licensee MDPI, Basel, Switzerland. This article is an open access article distributed under the terms and conditions of the Creative Commons Attribution (CC BY) license (https://creativecommons.org/licenses/by/4.0/).
Share and Cite
Tessa, A.; Schifino, M.; Salvo, E.; Trovato, R.; Cesana, L.; Frosini, S.; Pasquariello, R.; Sgherri, G.; Battini, R.; Bonaglia, M.C.; et al. Small Complex Rearrangement in HINT1-Related Axonal Neuropathy. Genes 2024, 15, 1483. https://doi.org/10.3390/genes15111483
Tessa A, Schifino M, Salvo E, Trovato R, Cesana L, Frosini S, Pasquariello R, Sgherri G, Battini R, Bonaglia MC, et al. Small Complex Rearrangement in HINT1-Related Axonal Neuropathy. Genes. 2024; 15(11):1483. https://doi.org/10.3390/genes15111483
Chicago/Turabian StyleTessa, Alessandra, Mariapaola Schifino, Eliana Salvo, Rosanna Trovato, Luca Cesana, Silvia Frosini, Rosa Pasquariello, Giada Sgherri, Roberta Battini, Maria Clara Bonaglia, and et al. 2024. "Small Complex Rearrangement in HINT1-Related Axonal Neuropathy" Genes 15, no. 11: 1483. https://doi.org/10.3390/genes15111483
APA StyleTessa, A., Schifino, M., Salvo, E., Trovato, R., Cesana, L., Frosini, S., Pasquariello, R., Sgherri, G., Battini, R., Bonaglia, M. C., Santorelli, F. M., & Astrea, G. (2024). Small Complex Rearrangement in HINT1-Related Axonal Neuropathy. Genes, 15(11), 1483. https://doi.org/10.3390/genes15111483

