Exploring the Potential Role of Ribosomal Proteins to Enhance Potato Resilience in the Face of Changing Climatic Conditions
Abstract
1. Introduction
2. Materials and Methods
2.1. Potato MTs Induction
2.2. RNA Isolation and qPCR Analysis
2.3. Transcriptome and Interaction Analysis of Proteins Involved in Microuberization
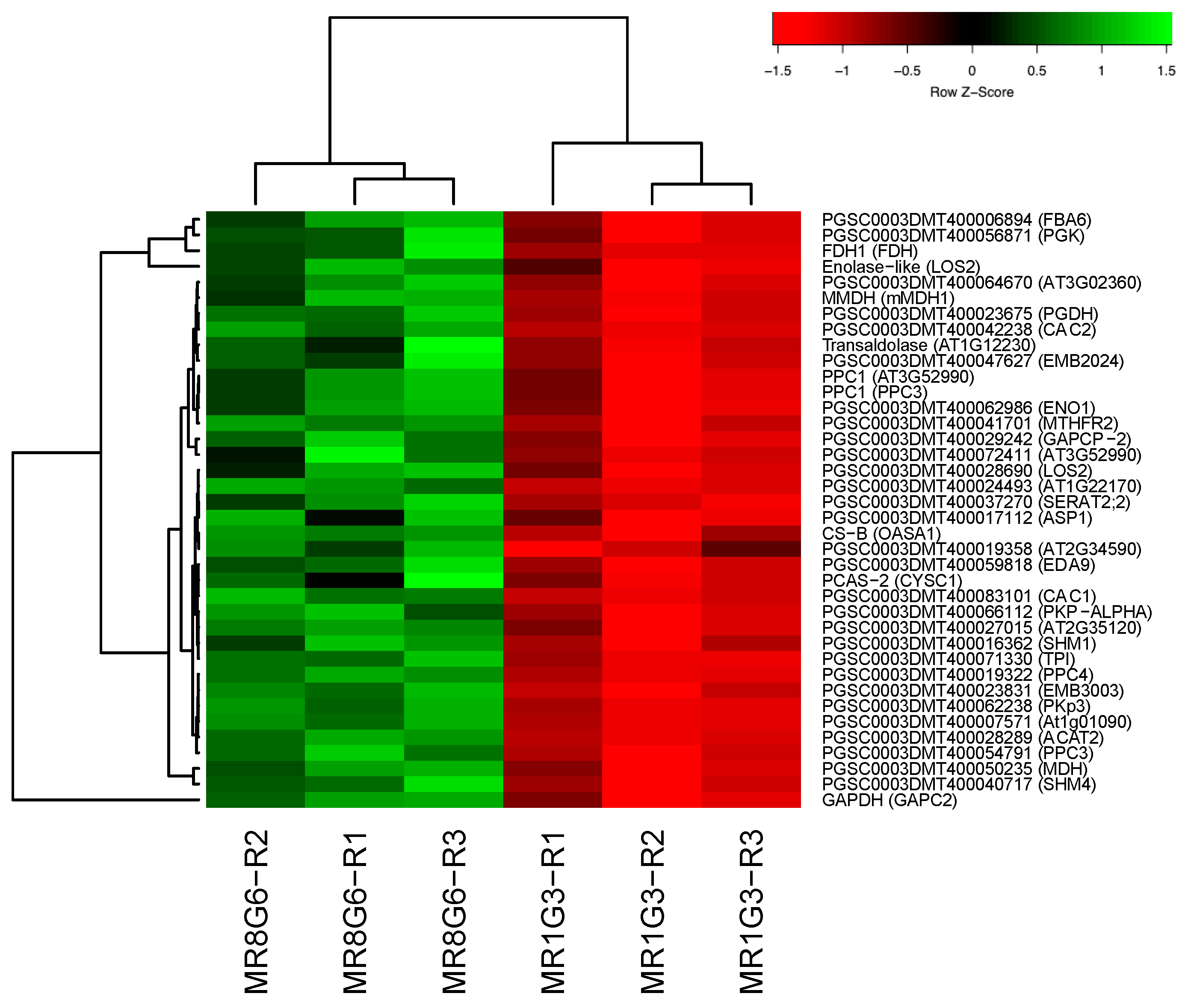
3. Results
3.1. Transcriptome Analysis of MTs Induction
3.2. DEG in MTs Development Involved in Immunophilins, Redoxins, Oxidative Stress, Carbon Metabolism and One-Carbon Metabolism
3.3. Validation of the Transcriptome-Wide Analysis
4. Discussion
4.1. What Is the Importance of Ribosome Biogenesis?
Some RPs Are Lethal Mutants
4.2. Overexpression of Ribosomal Proteins and Ribosome Biogenesis Factors
4.3. Are RPs Good Candidate Genes for Improving of Multiple Abiotic Stress Tolerance in Potato?
4.4. Interaction of RPs Cluster with Immunophilins
4.5. Redoxins
4.6. Response to Oxidative Stress
4.7. RPs Interacting with Carbon Metabolism
One-Carbon Metabolism
5. Conclusions
Author Contributions
Funding
Institutional Review Board Statement
Informed Consent Statement
Data Availability Statement
Acknowledgments
Conflicts of Interest
References
- EIT Food. About EIT Food; EIT Food: Leuven, Belgium, 2019. [Google Scholar]
- Dutt, S.; Manjul, A.S.; Raigond, P.; Singh, B.; Siddappa, S.; Bhardwaj, V.; Kawar, P.G.; Patil, V.U.; Kardile, H.B. Key players associated with tuberization in potato: Potential candidates for genetic engineering. Crit. Rev. Biotechnol. 2017, 37, 942–957. [Google Scholar] [CrossRef] [PubMed]
- Donnelly, D.J.; Coleman, W.K.; Coleman, S.E. Potato microtuber production and performance: A review. Am. J. Potato Res. 2003, 80, 103–115. [Google Scholar] [CrossRef]
- Hannapel, D.J. Signalling the induction of tuber formation. In Potato Biology and Biotechnology; Elsevier Science BV: Amsterdam, The Netherlands, 2007; pp. 237–256. [Google Scholar]
- Vinterhalter, D.; Dragicevic, I.; Vinterhalter, B. Potato in vitro culture techniques and biotechnology. Fruit Veg. Cereal Sci. Biotech. 2008, 2, 16–45. [Google Scholar]
- Herrera-Isidron, L.; Valencia-Lozano, E.; Rosiles-Loeza, P.Y.; Robles-Hernández, M.G.; Napsuciale-Heredia, A.; Cabrera-Ponce, J. Gene expression analysis of microtubers of potato Solanum tuberosum L. induced in cytokinin containing medium and osmotic stress. Plants 2021, 10, 876. [Google Scholar] [CrossRef] [PubMed]
- Valencia-Lozano, E.; Herrera-Isidrón, L.; Flores-López, J.A.; Recoder-Meléndez, O.S.; Barraza, A.; Cabrera-Ponce, J.L. Solanum tuberosum Microtuber Development under Darkness Unveiled through RNAseq Transcriptomic Analysis. Int. J. Mol. Sci. 2022, 23, 13835. [Google Scholar] [CrossRef]
- Abelenda, J.A.; Navarro, C.; Prat, S. From the model to the crop: Genes controlling tuber formation in potato. Curr. Opin. Biotechnol. 2011, 22, 287–292. [Google Scholar] [CrossRef]
- Abelenda, J.A.; Bergonzi, S.; Oortwijn, M.; Sonnewald, S.; Du, M.; Visser, R.G.; Sonnewald, U.; Bachem, C.W. Source-sink regulation is mediated by interaction of an FT homolog with a SWEET protein in potato. Curr. Biol. 2019, 29, 1178–1186. [Google Scholar] [CrossRef]
- Teo, C.J.; Takahashi, K.; Shimizu, K.; Shimamoto, K.; Taoka, K.I. Potato tuber induction is regulated by interactions between components of a tuberigen complex. Plant Cell Physiol. 2017, 58, 365–374. [Google Scholar] [CrossRef]
- Purwestri, Y.A.; Susanto, F.A.; Tsuji, H. Hd3a florigen recruits different proteins to reveal its function in plant growth and development. In Plant Engineering; IntechOpen: London, UK, 2017. [Google Scholar]
- Wang, E.; Liu, T.; Sun, X.; Jing, S.; Zhou, T.; Liu, T.; Song, B. Profiling of the Candidate Interacting Proteins of SELF-PRUNING 6A (SP6A) in Solanum tuberosum. Int. J. Mol. Sci. 2022, 23, 9126. [Google Scholar] [CrossRef]
- Sharma, P.; Lin, T.; Hannapel, D.J. Targets of the StBEL5 transcription factor include the FT ortholog StSP6A. Plant Physiol. 2016, 170, 310–324. [Google Scholar] [CrossRef]
- Salvato, F.; Havelund, J.F.; Chen, M.; Rao, R.S.P.; Rogowska-Wrzesinska, A.; Jensen, O.N.; Gang, D.R.; Thelen, J.J.; Møller, I.M. The potato tuber mitochondrial proteome. Plant Physiol. 2014, 164, 637–653. [Google Scholar] [CrossRef]
- van Dijk, J.P.; Cankar, K.; Scheffer, S.J.; Beenen, H.G.; Shepherd, L.V.; Stewart, D.; Davies, H.V.; Wilkockson, S.J.; Leifert, C.; Gruden, K.; et al. Transcriptome Analysis of Potato Tubers Effects of Different Agricultural Practices. J. Agric. Food Chem. 2009, 57, 1612–1623. [Google Scholar] [CrossRef]
- Shan, J.; Song, W.; Zhou, J.; Wang, X.; Xie, C.; Gao, X.; Xie, T.; Liu, J. Transcriptome analysis reveals novel genes potentially involved in photoperiodic tuberization in potato. Genomics 2013, 102, 388–396. [Google Scholar] [CrossRef]
- Vulavala, V.K.; Fogelman, E.; Faigenboim, A.; Shoseyov, O.; Ginzberg, I. The transcriptome of potato tuber phellogen reveals cellular functions of cork cambium and genes involved in periderm formation and maturation. Sci. Rep. 2019, 9, 10216. [Google Scholar] [CrossRef] [PubMed]
- Livak, K.J.; Schmittgen, T.D. Analysis of relative gene expression usingreal-time quantitative PCR and the 2−ΔΔCT method. Methods 2001, 25, 402–408. [Google Scholar] [CrossRef] [PubMed]
- Bustin, S.A.; Beaulieu, J.F.; Huggett, J.; Jaggi, R.; Kibenge, F.S.; Olsvik, P.A.; Penning, L.C.; Toegel, S. MIQE precis: Practical implementation of minimum standard guidelines for fluorescence-based quantitative real-time PCR exp. BMC Mol. Biol. 2010, 11, 74–80. [Google Scholar] [CrossRef] [PubMed]
- Bolger, A.M.; Lohse, M.; Usadel, B. Trimmomatic: A flexible trimmer for Illumina sequence data. Bioinformatics 2014, 30, 2114–2120. [Google Scholar] [CrossRef] [PubMed]
- Szklarczyk, D.; Franceschini, A.; Wyder, S.; Forslund, K.; Heller, D.; Huerta-Cepas, J.; Von Mering, C. STRING v10: Protein–protein interaction networks, integrated over the tree of life. Nucleic Acids Res. 2015, 43, D447–D452. [Google Scholar] [CrossRef] [PubMed]
- Zhou, K.; Zhang, C.; Xia, J.; Yun, P.; Wang, Y.; Ma, T.; Li, Z. Albino seedling lethality 4; Chloroplast 30S ribosomal protein S1 is required for chloroplast ribosome biogenesis and early chloroplast development in rice. Rice 2021, 14, 47. [Google Scholar] [CrossRef]
- Weijers, D.; Franke-van Dijk, M.; Vencken, R.J.; Quint, A.; Hooykaas, P.; Offringa, R. An Arabidopsis Minute-like phenotype caused by a semi-dominant mutation in a RIBOSOMAL PROTEIN S5 gene. Development 2001, 128, 4289–4299. [Google Scholar] [CrossRef]
- Ma, Z.; Dooner, H.K. A mutation in the nuclear-encoded plastid ribosomal protein S9 leads to early embryo lethality in maize. Plant J. 2004, 37, 92–103. [Google Scholar] [CrossRef] [PubMed]
- Ito, T.; Kim, G.T.; Shinozaki, K. Disruption of an Arabidopsis cytoplasmic ribosomal protein S13-homologous gene by transposon-mediated mutagenesis causes aberrant growth and development. Plant J. 2000, 22, 257–264. [Google Scholar] [CrossRef] [PubMed]
- Tsugeki, R.; Kochieva, E.Z.; Fedoroff, N.V. A transposon insertion in the Arabidopsis SSR16 gene causes an embryo-defective lethal mutation. Plant J. 1996, 10, 479–489. [Google Scholar] [CrossRef] [PubMed]
- Schultes, N.P.; Sawers, R.J.; Brutnell, T.P.; Krueger, R.W. Maize high chlorophyll fluorescent 60 mutation is caused by an Ac disruption of the gene encoding the chloroplast ribosomal small subunit protein 17. Plant J. 2000, 21, 317–327. [Google Scholar] [CrossRef] [PubMed]
- Rogalski, M.; Ruf, S.; Bock, R. Tobacco plastid ribosomal protein S18 is essential for cell survival. Nucleic Acids Res. 2006, 34, 4537–4545. [Google Scholar] [CrossRef]
- Gong, X.; Jiang, Q.; Xu, J.; Zhang, J.; Teng, S.; Lin, D.; Dong, Y. Disruption of the rice plastid ribosomal protein S20 leads to chloroplast developmental defects and seedling lethality. G3 Genes Genom. Genet. 2013, 3, 1769–1777. [Google Scholar] [CrossRef]
- Dong, X.; Duan, S.; Wang, H.B.; Jin, H.L. Plastid ribosomal protein LPE2 is involved in photosynthesis and the response to C/N balance in Arabidopsis thaliana. J. Integr. Plant Biol. 2020, 62, 1418–1432. [Google Scholar] [CrossRef]
- Revenkova, E.; Masson, J.; Koncz, C.; Afsar, K.; Jakovleva, L.; Paszkowski, J. Involvement of Arabidopsis thaliana ribosomal protein S27 in mRNA degradation triggered by genotoxic stress. EMBO J. 1999, 18, 490–499. [Google Scholar] [CrossRef]
- Dupouy, G.; McDermott, E.; Cashell, R.; Scian, A.; McHale, M.; Ryder, P.; Groot, J.; Lucca, N.; Brychkova, G.; McKeown, P.C.; et al. Plastid ribosome protein L5 is essential for post-globular embryo development in Arabidopsis thaliana. Plant Reprod. 2022, 35, 189–204. [Google Scholar] [CrossRef]
- Devis, D.; Firth, S.M.; Liang, Z.; Byrne, M.E. Dosage sensitivity of RPL9 and concerted evolution of ribosomal protein genes in plants. Front. Plant Sci. 2015, 6, 1102. [Google Scholar] [CrossRef]
- Falcone Ferreyra, M.L.; Biarc, J.; Burlingame, A.L.; Casati, P. Arabidopsis L10 ribosomal proteins in UV-B responses. Plant Signal. Behav. 2010, 5, 1222–1225. [Google Scholar] [CrossRef] [PubMed]
- Pesaresi, P.; Varotto, C.; Meurer, J.; Jahns, P.; Salamini, F.; Leister, D. Knock-out of the plastid ribosomal protein L11 in Arabidopsis: Effects on mRNA translation and photosynthesis. Plant J. 2001, 27, 179–189. [Google Scholar] [CrossRef] [PubMed]
- Zhao, D.S.; Zhang, C.Q.; Li, Q.F.; Yang, Q.Q.; Gu, M.H.; Liu, Q.Q. A residue substitution in the plastid ribosomal protein L12/AL1 produces defective plastid ribosome and causes early seedling lethality in rice. Plant Mol. Biol. 2016, 91, 161–177. [Google Scholar] [CrossRef]
- Lee, J.; Jang, S.; Ryu, S.; Lee, S.; Park, J.; Lee, S.; An, G.; Park, S.K. Mutation of plastid ribosomal protein L13 results in an albino seedling-lethal phenotype in rice. Plant Breed. Biotechnol. 2019, 7, 395–404. [Google Scholar] [CrossRef]
- Bobik, K.; Fernandez, J.C.; Hardin, S.R.; Ernest, B.; Ganusova, E.E.; Staton, M.E.; Burch-Smith, T.M. The essential chloroplast ribosomal protein uL 15c interacts with the chloroplast RNA helicase ISE 2 and affects intercellular trafficking through plasmodesmata. New Phytol. 2019, 221, 850–865. [Google Scholar] [CrossRef] [PubMed]
- Yin, T.; Liu, W.; Zhao, Y.; Wang, X.; Wang, K.; Shen, Y.; Ding, Y.; Tang, S. Effects of high temperature on rice grain development and quality formation based on proteomics comparative analysis under field warming. Front. Plant Sci. 2021, 12, 746180. [Google Scholar]
- Degenhardt, R.F.; Bonham-Smith, P.C. Arabidopsis ribosomal proteins RPL23aA and RPL23aB are differentially targeted to the nucleolus and are disparately required for normal development. Plant Physiol. 2008, 147, 128–142. [Google Scholar] [CrossRef]
- Zhou, F.; Roy, B.; Von Arnim, A.G. Translation reinitiation and development are compromised in similar ways by mutations in translation initiation factor eIF3h and the ribosomal protein RPL24. BMC Plant Biol. 2010, 10, 193. [Google Scholar] [CrossRef]
- Romani, I.; Tadini, L.; Rossi, F.; Masiero, S.; Pribil, M.; Jahns, P.; Kater, M.; Leister, D.; Pesaresi, P. Versatile roles of Arabidopsis plastid ribosomal proteins in plant growth and development. Plant J. 2012, 72, 922–934. [Google Scholar] [CrossRef]
- Magnard, J.L.; Heckel, T.; Massonneau, A.; Wisniewski, J.P.; Cordelier, S.; Lassagne, H.; Perez, P.; Dumas, C.; Rogowsky, P.M. Morphogenesis of maize embryos requires ZmPRPL35-1 encoding a plastid ribosomal protein. Plant Physiol. 2004, 134, 649–663. [Google Scholar] [CrossRef]
- Uwer, U.; Willmitzer, L.; Altmann, T. Inactivation of a glycyl-tRNA synthetase leads to an arrest in plant embryo development. Plant Cell 1998, 10, 1277–1294. [Google Scholar] [CrossRef]
- Zhu, R.M.; Chai, S.; Zhang, Z.Z.; Ma, C.L.; Zhang, Y.; Li, S. Arabidopsis Chloroplast protein for Growth and Fertility1 (CGF1) and CGF2 are essential for chloroplast development and female gametogenesis. BMC Plant Biol. 2020, 20, 172. [Google Scholar] [CrossRef]
- Bellaoui, M.; Keddie, J.S.; Gruissem, W. DCL is a plant-specific protein required for plastid ribosomal RNA processing and embryo development. Plant Mol. Biol. 2003, 53, 531–543. [Google Scholar] [CrossRef]
- Hanania, U.; Velcheva, M.; Or, E.; Flaishman, M.; Sahar, N.; Perl, A. Silencing of chaperonin 21; that was differentially expressed in inflorescence of seedless and seeded grapes; promoted seed abortion in tobacco and tomato fruits. Transgenic Res. 2007, 16, 515–525. [Google Scholar] [CrossRef]
- Weis, B.L.; Kovacevic, J.; Missbach, S.; Schleiff, E. Plant-specific features of ribosome biogenesis. Trends Plant Sci. 2015, 20, 729–740. [Google Scholar] [CrossRef] [PubMed]
- Durut, N.; Sáez-Vásquez, J. Nucleolin: Dual roles in rDNA chromatin transcription. Gene 2015, 556, 7–12. [Google Scholar] [CrossRef]
- Chen, S.; Blank, M.F.; Iyer, A.; Huang, B.; Wang, L.; Grummt, I.; Voit, R. SIRT7-dependent deacetylation of the U3-55k protein controls pre-rRNA processing. Nat. Commun. 2016, 7, 10734. [Google Scholar] [CrossRef] [PubMed]
- Chen, L.; Zhang, B.B.; Cheung, P.C. Comparative proteomic analysis of mushroom cell wall proteins among the different developmental stages of Pleurotus tuber-regium. J. Agric. Food Chem. 2012, 60, 6173–6182. [Google Scholar] [CrossRef] [PubMed]
- Ohtani, M.; Demura, T.; Sugiyama, M. Arabidopsis root initiation defective1; a DEAH-box RNA helicase involved in pre-mRNA splicing; is essential for plant development. Plant Cell 2013, 25, 2056–2069. [Google Scholar] [CrossRef]
- Strittmatter, P.; Soll, J.; Bölter, B. The chloroplast protein import machinery: A review. Methods Mol. Biol. 2010, 619, 307–321. [Google Scholar]
- Yu, B.; Wakao, S.; Fan, J.; Benning, C. Loss of plastidic lysophosphatidic acid acyltransferase causes embryo-lethality in Arabidopsis. Plant Cell Physiol. 2004, 45, 503–510. [Google Scholar] [CrossRef] [PubMed]
- Kovacheva, S.; Bédard, J.; Patel, R.; Dudley, P.; Twell, D.; Ríos, G.; Koncz, C.; Jarvis, P. In vivo studies on the roles of Tic110; Tic40 and Hsp93 during chloroplast protein import. Plant J. 2005, 41, 412–428. [Google Scholar] [CrossRef]
- Bang, W.Y.; Jeong, I.S.; Kim, D.W.; Im, C.H.; Ji, C.; Hwang, S.M.; Kim, S.W.; Son, Y.S.; Jeong, J.; Shiina, T.; et al. Role of Arabidopsis CHL27 protein for photosynthesis; chloroplast development and gene expression profiling. Plant Cell Physiol. 2008, 49, 1350–1363. [Google Scholar] [CrossRef]
- Chi, W.; Ma, J.; Zhang, D.; Guo, J.; Chen, F.; Lu, C.; Zhang, L. The pentratricopeptide repeat protein DELAYED GREENING1 is involved in the regulation of early chloroplast development and chloroplast gene expression in Arabidopsis. Plant Physiol. 2008, 147, 573–584. [Google Scholar] [CrossRef]
- Patel, R.; Hsu, S.C.; Bédard, J.; Inoue, K.; Jarvis, P. The Omp85-related chloroplast outer envelope protein OEP80 is essential for viability in Arabidopsis. Plant Physiol. 2008, 148, 235–245. [Google Scholar] [CrossRef] [PubMed]
- Garcion, C.; Guilleminot, J.; Kroj, T.; Parcy, F.; Giraudat, J.; Devic, M. AKRP and EMB506 are two ankyrin repeat proteins essential for plastid differentiation and plant development in Arabidopsis. Plant J. 2006, 48, 895–906. [Google Scholar] [CrossRef]
- Dong, H.; Deng, Y.; Mu, J.; Lu, Q.; Wang, Y.; Xu, Y.; Chu, C.; Chong, K.; Lu, C.; Zuo, J. The Arabidopsis Spontaneous Cell Death1 gene; encoding a ζ-carotene desaturase essential for carotenoid biosynthesis; is involved in chloroplast development; photoprotection and retrograde signalling. Cell Res. 2007, 17, 458–470. [Google Scholar] [CrossRef]
- Qian, W.; Yu, C.; Qin, H.; Liu, X.; Zhang, A.; Johansen, I.E.; Wang, D. Molecular and functional analysis of phosphomannomutase (PMM) from higher plants and genetic evidence for the involvement of PMM in ascorbic acid biosynthesis in Arabidopsis and Nicotiana benthamiana. Plant J. 2007, 49, 399–413. [Google Scholar] [CrossRef]
- Huang, X.; Zhang, X.; Yang, S. A novel chloroplast-localized protein EMB1303 is required for chloroplast development in Arabidopsis. Cell Res. 2009, 19, 1205–1216. [Google Scholar] [CrossRef] [PubMed]
- Liang, Q.; Lu, X.; Jiang, L.; Wang, C.; Fan, Y.; Zhang, C. EMB1211 is required for normal embryo development and influences chloroplast biogenesis in Arabidopsis. Physiol. Plant. 2010, 140, 380–394. [Google Scholar] [CrossRef] [PubMed]
- Komatsu, T.; Kawaide, H.; Saito, C.; Yamagami, A.; Shimada, S.; Nakazawa, M.; Matsui, M.; Nakano, A.; Tsujimoto, M.; Natsume, M.; et al. The chloroplast protein BPG2 functions in brassinosteroid-mediated post-transcriptional accumulation of chloroplast rRNA. Plant J. 2010, 61, 409–422. [Google Scholar] [CrossRef]
- Bryant, N.; Lloyd, J.; Sweeney, C.; Myouga, F.; Meinke, D. Identification of nuclear genes encoding chloroplast-localized proteins required for embryo development in Arabidopsis. Plant Physiol. 2011, 155, 1678–1689. [Google Scholar] [CrossRef]
- Palm, D.; Streit, D.; Shanmugam, T.; Weis, B.L.; Ruprecht, M.; Simm, S.; Schleiff, E. Plant-specific ribosome biogenesis factors in Arabidopsis thaliana with essential function in rRNA processing. Nucleic Acids Res. 2019, 47, 1880–1895. [Google Scholar] [CrossRef]
- Asakura, Y.; Galarneau, E.; Watkins, K.P.; Barkan, A.; van Wijk, K.J. Chloroplast RH3 DEAD box RNA helicases in maize and Arabidopsis function in splicing of specific group II introns and affect chloroplast ribosome biogenesis. Plant Physiol. 2012, 159, 961–974. [Google Scholar] [CrossRef] [PubMed]
- Inoue, H.; Li, M.; Schnell, D.J. An essential role for chloroplast heat shock protein 90 (Hsp90C) in protein import into chloroplasts. Proc. Natl. Acad. Sci. USA 2013, 110, 3173–3178. [Google Scholar] [CrossRef]
- Lu, X.; Zhang, D.; Li, S.; Su, Y.; Liang, Q.; Meng, H.; Shen, S.; Fan, Y.; Liu, C.; Zhang, C. FtsHi4 is essential for embryogenesis due to its influence on chloroplast development in Arabidopsis. PLoS ONE 2014, 9, e99741. [Google Scholar] [CrossRef]
- Chen, H.; Zou, W.; Zhao, J. Ribonuclease J is required for chloroplast and embryo development in Arabidopsis. J. Exp. Bot. 2015, 66, 2079–2091. [Google Scholar] [CrossRef] [PubMed]
- Jeon, Y.; Ahn, C.S.; Jung, H.J.; Kang, H.; Park, G.T.; Choi, Y.; Hwang, J.; Pai, H.S. DER containing two consecutive GTP-binding domains plays an essential role in chloroplast ribosomal RNA processing and ribosome biogenesis in higher plants. J. Exp. Bot. 2014, 65, 117–130. [Google Scholar] [CrossRef]
- Missbach, S.; Weis, B.L.; Martin, R.; Simm, S.; Bohnsack, M.T.; Schleiff, E. 40S ribosome biogenesis co-factors are essential for gametophyte and embryo development. PLoS ONE 2013, 8, e54084. [Google Scholar] [CrossRef]
- Liu, H.; Xiu, Z.; Yang, H.; Ma, Z.; Yang, D.; Wang, H.; Tan, B.C. Maize Shrek1 encodes a WD40 protein that regulates pre-rRNA processing in ribosome biogenesis. Plant Cell 2022, 34, 4028–4044. [Google Scholar] [CrossRef] [PubMed]
- Burgess, A.L.; David, R.; Searle, I.R. Conservation of tRNA and rRNA 5-methylcytosine in the kingdom Plantae. BMC Plant Biol. 2015, 15, 199. [Google Scholar] [CrossRef] [PubMed]
- Chi, W.; He, B.; Mao, J.; Li, Q.; Ma, J.; Ji, D.; Zou, M.; Zhang, L. The function of RH22; a DEAD RNA helicase; in the biogenesis of the 50S ribosomal subunits of Arabidopsis chloroplasts. Plant Physiol. 2012, 158, 693–707. [Google Scholar] [CrossRef] [PubMed]
- Li, P.C.; Li, K.; Wang, J.; Zhao, C.Z.; Zhao, S.Z.; Hou, L.; Xia, H.; Ma, C.L.; Wang, X.J. The AAA-ATPase MIDASIN 1 functions in ribosome biogenesis and is essential for embryo and root development. Plant Physiol. 2019, 180, 289–304. [Google Scholar] [CrossRef]
- Lee, J.; Jang, S.; Ryu, S.; Lee, S.; Park, J.; Lee, S.; An, G.; Park, S.K. Impaired plastid ribosomal protein L3 causes albino seedling lethal phenotype in rice. J. Plant Biol. 2019, 62, 419–428. [Google Scholar] [CrossRef]
- Lin, D.; Jiang, Q.; Zheng, K.; Chen, S.; Zhou, H.; Gong, X.; Xu, J.; Teng, S.; Dong, Y. Mutation of the rice ASL 2 gene encoding plastid ribosomal protein L21 causes chloroplast developmental defects and seedling death. Plant Biol. 2015, 17, 599–607. [Google Scholar] [CrossRef]
- Yin, J.; Ibrahim, S.; Petersen, F.; Yu, X. Autoimmunomic signatures of aging and age-related neurodegenerative diseases are associated with brain function and ribosomal proteins. Front. Aging Neurosci. 2021, 13, 679688. [Google Scholar] [CrossRef]
- Horvath, B.M.; Magyar, Z.; Zhang, Y.; Hamburger, A.W.; Bako, L.; Visser, R.G.; Bachem, C.W.; Bögre, L. EBP1 regulates organ size through cell growth and proliferation in plants. EMBO J. 2006, 25, 4909–4920. [Google Scholar] [CrossRef]
- Yang, L.; Xie, C.; Li, W.; Zhang, R.; Jue, D.; Yang, Q. Expression of a wild eggplant ribosomal protein L13a in potato enhances resistance to Verticillium dahliae. Plant Cell Tissue Organ Cult. 2013, 115, 329–340. [Google Scholar] [CrossRef]
- Moin, M.; Saha, A.; Bakshi, A.; Madhav, M.S.; Kirti, P.B. Constitutive expression of ribosomal protein L6 modulates salt tolerance in rice transgenic plants. Gene 2021, 789, 145670. [Google Scholar] [CrossRef] [PubMed]
- Moin, M.; Bakshi, A.; Madhav, M.S.; Kirti, P.B. Expression profiling of ribosomal protein gene family in dehydration stress responses and characterization of transgenic rice plants overexpressing RPL23A for water-use efficiency and tolerance to drought and salt stresses. Front. Chem. 2017, 5, 97. [Google Scholar] [CrossRef]
- Maekawa, S.; Yanagisawa, S. Ribosome biogenesis factor OLI2 and its interactor BRX1-2 are associated with morphogenesis and lifespan extension in Arabidopsis thaliana. Plant Biotechnol. 2021, 38, 117–125. [Google Scholar] [CrossRef]
- Yu, H.; Kong, X.; Huang, H.; Wu, W.; Park, J.; Yun, D.J.; Lee, B.H.; Shi, H.; Zhu, J.K. STCH4/REIL2 confers cold stress tolerance in Arabidopsis by promoting rRNA processing and CBF protein translation. Cell Rep. 2020, 30, 229–242. [Google Scholar] [CrossRef]
- Kappachery, S.; Yu, J.W.; Baniekal-Hiremath, G.; Park, S.W. Rapid identification of potential drought tolerance genes from Solanum tuberosum by using a yeast functional screening method. Comptes Rendus Biol. 2013, 336, 530–545. [Google Scholar] [CrossRef]
- Mahajan, S.; Pandey, G.K.; Tuteja, N. Calcium-and salt-stress signaling in plants: Shedding light on SOS pathway. Arch. Biochem. Biophys. 2008, 471, 146–158. [Google Scholar] [CrossRef] [PubMed]
- Alavilli, H.; Lee, H.; Park, M.; Yun, D.J.; Lee, B.H. Enhanced multiple stress tolerance in Arabidopsis by overexpression of the polar moss peptidyl prolyl isomerase FKBP12 gene. Plant Cell Rep. 2018, 37, 453–465. [Google Scholar] [CrossRef] [PubMed]
- Park, H.J.; Lee, A.; Lee, S.S.; An, D.J.; Moon, K.B.; Ahn, J.C.; Kim, H.S.; Cho, H.S. Overexpression of golgi protein CYP21-4s improves crop productivity in potato and rice by increasing the abundance of mannosidic glycoproteins. Front. Plant Sci. 2017, 8, 1250. [Google Scholar] [CrossRef] [PubMed]
- Andème Ondzighi, C.; Christopher, D.A.; Cho, E.J.; Chang, S.C.; Staehelin, L.A. Arabidopsis protein disulfide isomerase-5 inhibits cysteine proteases during trafficking to vacuoles before programmed cell death of the endothelium in developing seeds. Plant Cell 2008, 20, 2205–2220. [Google Scholar] [CrossRef]
- Eggert, E.; Obata, T.; Gerstenberger, A.; Gier, K.; Brandt, T.; Fernie, A.R.; Walttraud, S.; Kühn, C. A sucrose transporter-interacting protein disulphide isomerase affects redox homeostasis and links sucrose partitioning with abiotic stress tolerance. Plant Cell Environ. 2016, 39, 1366–1380. [Google Scholar] [CrossRef]
- Kim, M.D.; Kim, Y.H.; Kwon, S.Y.; Jang, B.Y.; Lee, S.Y.; Yun, D.J.; Cho, J.H.; Kwak, S.S.; Lee, H.S. Overexpression of 2-cysteine peroxiredoxin enhances tolerance to methyl viologen-mediated oxidative stress and high temperature in potato plants. Plant Physiol. Biochem. 2011, 49, 891–897. [Google Scholar] [CrossRef]
- Che, Y.; Zhang, N.; Zhu, X.; Li, S.; Wang, S.; Si, H. Enhanced tolerance of the transgenic potato plants overexpressing Cu/Zn superoxide dismutase to low temperature. Sci. Hortic. 2020, 261, 108949. [Google Scholar] [CrossRef]
- Pal, A.K.; Acharya, K.; Vats, S.K.; Kumar, S.; Ahuja, P.S. Over-expression of PaSOD in transgenic potato enhances photosynthetic performance under drought. Biol. Plant. 2013, 57, 359–364. [Google Scholar] [CrossRef]
- Shafi, A.; Pal, A.K.; Sharma, V.; Kalia, S.; Kumar, S.; Ahuja, P.S.; Singh, A.K. Transgenic potato plants overexpressing SOD and APX exhibit enhanced lignification and starch biosynthesis with improved salt stress tolerance. Plant Mol. Biol. Rep. 2017, 35, 504–518. [Google Scholar] [CrossRef]
- Ahmad, R.; Kim, Y.H.; Kim, M.D.; Kwon, S.Y.; Cho, K.; Lee, H.S.; Kwak, S.S. Simultaneous expression of choline oxidase; superoxide dismutase and ascorbate peroxidase in potato plant chloroplasts provides synergistically enhanced protection against various abiotic stresses. Physiol. Plant. 2010, 138, 520–533. [Google Scholar] [CrossRef] [PubMed]
- Watkinson, J.I.; Hendricks, L.; Sioson, A.A.; Vasquez-Robinet, C.; Stromberg, V.; Heath, L.S.; Schuler, M.; Bohnert, H.J.; Bonierbale, M.; Grene, R. Accessions of Solanum tuberosum ssp. andigena show differences in photosynthetic recovery after drought stress as reflected in gene expression profiles. Plant Sci. 2006, 171, 745–758. [Google Scholar]
- Joshi, R.; Karan, R.; Singla-Pareek, S.L.; Pareek, A. Ectopic expression of Pokkali phosphoglycerate kinase-2 (OsPGK2-P) improves yield in tobacco plants under salinity stress. Plant Cell Rep. 2016, 35, 27–41. [Google Scholar] [CrossRef] [PubMed]
- Suzuki, Y.; Konno, Y.; Takegahara-Tamakawa, Y.; Miyake, C.; Makino, A. Effects of suppression of chloroplast phosphoglycerate kinase on photosynthesis in rice. Photosynth. Res. 2022, 153, 83–91. [Google Scholar] [CrossRef]
- Lei, J.; Teng, X.; Wang, Y.; Jiang, X.; Zhao, H.; Zheng, X.; Ren, Y.; Dong, H.; Wang, Y.; Duan, E.; et al. Plastidic pyruvate dehydrogenase complex E1 component subunit Alpha1 is involved in galactolipid biosynthesis required for amyloplast development in rice. Plant Biotechnol. J. 2022, 20, 437–453. [Google Scholar] [CrossRef]
- Guo, P.; Baum, M.; Grando, S.; Ceccarelli, S.; Bai, G.; Li, R.; Korff, M.V.; Varshney, R.K.; Graner, A.; Valkoun, J. Differentially expressed genes between drought-tolerant and drought-sensitive barley genotypes in response to drought stress during the reproductive stage. J. Exp. Bot. 2009, 60, 3531–3544. [Google Scholar] [CrossRef]
- Huang, S.; Xin, S.; Xie, G.; Han, J.; Liu, Z.; Wang, B.; Zhang, S.; Wu, Q.; Cheng, X. Mutagenesis reveals that the rice OsMPT3 gene is an important osmotic regulatory factor. Crop. J. 2020, 8, 465–479. [Google Scholar] [CrossRef]
- He, K.; Zhao, Z.; Ren, W.; Chen, Z.; Chen, L.; Chen, F.; Mi, G.; Pan, Q.; Yuan, L. Mining genes regulating root system architecture in maize based on data integration analysis. Theor. Appl. Genet. 2023, 136, 127. [Google Scholar] [CrossRef]
- Hu, L.; Tu, B.; Yang, W.; Yuan, H.; Li, J.; Guo, L.; Zheng, L.; Chen, W.; Zhu, X.; Wang, Y.; et al. Mitochondria-associated pyruvate kinase complexes regulate grain filling in rice. Plant Physiol. 2020, 183, 1073–1087. [Google Scholar] [CrossRef]
- Cai, Y.; Li, S.; Jiao, G.; Sheng, Z.; Wu, Y.; Shao, G.; Xie, L.; Peng, C.; Xu, J.; Tang, S.; et al. Os PK 2 encodes a plastidic pyruvate kinase involved in rice endosperm starch synthesis; compound granule formation and grain filling. Plant Biotechnol. J. 2018, 16, 1878–1891. [Google Scholar] [CrossRef] [PubMed]
- Awana, M.; Jain, N.; Samota, M.K.; Rani, K.; Kumar, A.; Ray, M.; Gaikwad, K.; Praveen, S.; Singh, N.K.; Singh, A. Protein and gene integration analysis through proteome and transcriptome brings new insight into salt stress tolerance in pigeonpea (Cajanus cajan L.). Int. J. Biol. Macromol. 2020, 164, 3589–3602. [Google Scholar] [CrossRef]
- Salekdeh, G.H.; Siopongco, J.; Wade, L.J.; Ghareyazie, B.; Bennett, J. Proteomic analysis of rice leaves during drought stress and recovery. Proteomics 2002, 2, 1131–1145. [Google Scholar] [CrossRef]
- Riccardi, F.; Gazeau, P.; de Vienne, D.; Zivy, M. Protein changes in response to progressive water deficit in maize: Quantitative variation and polypeptide identification. Plant Physiol. 1998, 117, 1253–1263. [Google Scholar] [CrossRef] [PubMed]
- Xing, Q.; Bi, G.; Cao, M.; Belcour, A.; Aite, M.; Mo, Z.; Mao, Y. Comparative transcriptome analysis provides insights into response of Ulva compressa to fluctuating salinity conditions. J. Phycol. 2021, 57, 1295–1308. [Google Scholar] [CrossRef]
- Perveen, N.; Dinesh, M.R.; Sankaran, M.; Ravishankar, K.V.; Krishnajee, H.G.; Hanur, V.S.; Alamri, S.; Kesawat, M.S.; Irfan, M. Comparative transcriptome analysis provides novel insights into molecular response of salt-tolerant and sensitive polyembryonic mango genotypes to salinity stress at seedling stage. Front. Plant Sci. 2023, 14, 1152485. [Google Scholar] [CrossRef]
- Uematsu, K.; Suzuki, N.; Iwamae, T.; Inui, M.; Yukawa, H. Increased fructose 1; 6-bisphosphate aldolase in plastids enhances growth and photosynthesis of tobacco plants. J. Exp. Bot. 2012, 63, 3001–3009. [Google Scholar] [CrossRef]
- Talebi, A.F.; Tohidfar, M.; Bagheri, A.; Lyon, S.R.; Salehi-Ashtiani, K.; Tabatabaei, M. Manipulation of carbon flux into fatty acid biosynthesis pathway in Dunaliella salina using AccD and ME genes to enhance lipid content and to improve produced biodiesel quality. Biofuel Res. J. 2014, 1, 91–97. [Google Scholar] [CrossRef]
- Chen, D.; Yuan, X.; Liang, L.; Liu, K.; Ye, H.; Liu, Z.; Liu, Y.; Huang, L.; He, W.; Chen, Y.; et al. Overexpression of acetyl-CoA carboxylase increases fatty acid production in the green alga Chlamydomonas reinhardtii. Biotechnol. Lett. 2019, 41, 1133–1145. [Google Scholar] [CrossRef] [PubMed]
- Ma, C.; Ren, H.; Xing, D.; Xie, G.; Ren, N.; Liu, B. Mechanistic understanding towards the effective lipid production of a microalgal mutant strain Scenedesmus sp. Z-4 by the whole genome bioinformation. J. Hazard. Mat. 2019, 375, 115–120. [Google Scholar] [CrossRef] [PubMed]
- Madoka, Y.; Tomizawa, K.I.; Mizoi, J.; Nishida, I.; Nagano, Y.; Sasaki, Y. Chloroplast transformation with modified accD operon increases acetyl-CoA carboxylase and causes extension of leaf longevity and increase in seed yield in tobacco. Plant Cell Physiol. 2002, 43, 1518–1525. [Google Scholar] [CrossRef] [PubMed]
- Zhang, Y.; Zeng, D.; Liu, Y.; Zhu, W. SlSPS; a sucrose phosphate synthase gene; mediates plant growth and thermotolerance in tomato. Horticulturae 2022, 8, 491. [Google Scholar] [CrossRef]
- Nguyen-Quoc, B.; N’Tchobo, H.; Foyer, C.H.; Yelle, S. Overexpression of sucrose phosphate synthase increases sucrose unloading in transformed tomato fruit. J. Exp. Bot. 1999, 50, 785–791. [Google Scholar] [CrossRef]
- Ishimaru, K.; Hirotsu, N.; Kashiwagi, T.; Madoka, Y.; Nagasuga, K.; Ono, K.; Ohsugi, R. Overexpression of a maize SPS gene improves yield characters of potato under field conditions. Plant Prod. Sci. 2008, 11, 104–107. [Google Scholar] [CrossRef]
- Wang, K.; Bai, Z.Y.; Liang, Q.Y.; Liu, Q.L.; Zhang, L.; Pan, Y.Z.; Liu, G.L.; Jiang, B.B.; Zhang, F.; Jia, Y. Transcriptome analysis of chrysanthemum (Dendranthema grandiflorum) in response to low temperature stress. BMC Genom. 2018, 19, 319. [Google Scholar] [CrossRef]
- Anur, R.M.; Mufithah, N.; Sawitri, W.D.; Sakakibara, H.; Sugiharto, B. Overexpression of sucrose phosphate synthase enhanced sucrose content and biomass production in transgenic sugarcane. Plants 2020, 9, 200. [Google Scholar] [CrossRef]
- Galtier, N.; Foyer, C.H.; Murchie, E.; Aired, R.; Quick, P.; Voelker, T.A.; Thepenier, C.; Lasceve, G.; Betsche, T. Effects of light and atmospheric carbon dioxide enrichment on photosynthesis and carbon partitioning in the leaves of tomato (Lycopersicon esculentum L.) plants over-expressing sucrose phosphate synthase. J. Exp. Bot. 1995, 46, 1335–1344. [Google Scholar] [CrossRef]
- Signora, L.; Galtier, N.; Skøt, L.; Lucas, H.; Foyer, C.H. Over-expression of sucrose phosphate synthase in Arabidopsis thaliana results in increased foliar sucrose/starch ratios and favours decreased foliar carbohydrate accumulation in plants after prolonged growth with CO2 enrichment. J. Exp. Bot. 1998, 49, 669–680. [Google Scholar] [CrossRef]
- Wang, J.; Li, B.; Meng, Y.; Ma, X.; Lai, Y.; Si, E.; Yang, K.; Ren, P.; Shang, X.; Wang, H. Transcriptomic profiling of the salt-stress response in the halophyte Halogeton glomeratus. BMC Genom. 2015, 16, 169. [Google Scholar] [CrossRef]
- Wang, Y.; Stevanato, P.; Lv, C.; Li, R.; Geng, G. Comparative physiological and proteomic analysis of two sugar beet genotypes with contrasting salt tolerance. J. Agric. Food Chem. 2019, 67, 6056–6073. [Google Scholar] [CrossRef] [PubMed]
- Kappachery, S.; Baniekal-Hiremath, G.; Yu, J.W.; Park, S.W. Effect of over-and under-expression of glyceraldehyde 3-phosphate dehydrogenase on tolerance of plants to water-deficit stress. Plant Cell Tissue Organ Cult. 2015, 121, 97–107. [Google Scholar] [CrossRef]
- Zhao, X.; Hong, H.; Wang, J.; Zhan, Y.; Teng, W.; Li, H.; Li, W.; Li, Y.; Zhao, X.; Han, Y. Genome-wide identification and analysis of glyceraldehyde-3-phosphate dehydrogenase family reveals the role of GmGAPDH14 to improve salt tolerance in soybean (Glycine max L.). Front. Plant Sci. 2023, 14, 1193044. [Google Scholar] [CrossRef] [PubMed]
- Lim, H.; Hwang, H.; Kim, T.; Kim, S.; Chung, H.; Lee, D.; Kim, S.; Park, S.; Cho, W.; Ji, H.; et al. Transcriptomic analysis of rice plants overexpressing PsGAPDH in response to salinity stress. Genes 2021, 12, 641. [Google Scholar] [CrossRef]
- Jeong, M.J.; Park, S.C.; Byun, M.O. Improvement of salt tolerance in transgenic potato plants by glyceraldehyde-3 phosphate dehydrogenase gene transfer. Mol. Cells 2001, 12, 185–189. [Google Scholar] [CrossRef]
- Chen, L.; Kuai, P.; Ye, M.; Zhou, S.; Lu, J.; Lou, Y. Overexpression of a cytosolic 6-phosphogluconate dehydrogenase gene enhances the resistance of rice to Nilaparvata lugens. Plants 2020, 9, 1529. [Google Scholar] [CrossRef]
- Witzel, K.; Weidner, A.; Surabhi, G.K.; Varshney, R.K.; Kunze, G.; Buck-Sorlin, G.H.; Börner, A.; Mock, H.P. Comparative analysis of the grain proteome fraction in barley genotypes with contrasting salinity tolerance during germination. Plant Cell Environ. 2010, 33, 211–222. [Google Scholar] [CrossRef]
- Spielbauer, G.; Li, L.; Römisch-Margl, L.; Do, P.T.; Fouquet, R.; Fernie, A.R.; Eisenreich, W.; Gierl, A.; Settles, A.M. Chloroplast-localized 6-phosphogluconate dehydrogenase is critical for maize endosperm starch accumulation. J. Exp. Bot. 2013, 64, 2231–2242. [Google Scholar] [CrossRef]
- Tesfaye, M.; Temple, S.J.; Allan, D.L.; Vance, C.P.; Samac, D.A. Overexpression of malate dehydrogenase in transgenic alfalfa enhances organic acid synthesis and confers tolerance to aluminum. Plant Physiol. 2001, 127, 1836–1844. [Google Scholar] [CrossRef]
- Zhang, Y.; Wang, Y.; Sun, X.; Yuan, J.; Zhao, Z.; Gao, J.; Wen, X.; Tang, F.; Kang, M.; Abliz, B.; et al. Genome-Wide Identification of MDH Family Genes and Their Association with Salt Tolerance in Rice. Plants 2022, 11, 1498. [Google Scholar] [CrossRef]
- Yao, Y.X.; Dong, Q.L.; Zhai, H.; You, C.X.; Hao, Y.J. The functions of an apple cytosolic malate dehydrogenase gene in growth and tolerance to cold and salt stresses. Plant Physiol. Biochem. 2011, 49, 257–264. [Google Scholar] [CrossRef] [PubMed]
- Wang, Q.J.; Sun, H.; Dong, Q.L.; Sun, T.Y.; Jin, Z.X.; Hao, Y.J.; Yao, Y.X. The enhancement of tolerance to salt and cold stresses by modifying the redox state and salicylic acid content via the cytosolic malate dehydrogenase gene in transgenic apple plants. Plant Biotechnol. 2016, 14, 1986–1997. [Google Scholar] [CrossRef] [PubMed]
- Beeler, S.; Liu, H.C.; Stadler, M.; Schreier, T.; Eicke, S.; Lue, W.L.; Truernit, E.; Zeeman, S.C.; Chen, J.; Kötting, O. Plastidial NAD-dependent malate dehydrogenase is critical for embryo development and heterotrophic metabolism in Arabidopsis. Plant Physiol. 2014, 164, 1175–1190. [Google Scholar] [CrossRef] [PubMed]
- Behera, D.; Swain, A.; Karmakar, S.; Dash, M.; Swain, P.; Baig, M.J.; Molla, K.A. Overexpression of Setaria italica phosphoenolpyruvate carboxylase gene in rice positively impacts photosynthesis and agronomic traits. Plant Physiol. Biochem. 2023, 194, 169–181. [Google Scholar] [CrossRef]
- Fan, Z.; Li, J.; Lu, M.; Li, X.; Yin, H. Overexpression of phosphoenolpyruvate carboxylase from Jatropha curcas increases fatty acid accumulation in Nicotiana tabacum. Acta Physiol. Plant. 2013, 35, 2269–2279. [Google Scholar] [CrossRef]
- Rolletschek, H.; Borisjuk, L.; Radchuk, R.; Miranda, M.; Heim, U.; Wobus, U.; Weber, H. Seed-specific expression of a bacterial phosphoenolpyruvate carboxylase in Vicia narbonensis increases protein content and improves carbon economy. Plant Biotechnol. J. 2004, 2, 211–219. [Google Scholar] [CrossRef]
- Häusler, R.E.; Kleines, M.; Uhrig, H.; Hirsch, H.J.; Smets, H. Overexpression of phosphoenol pyruvate carboxylase from Corynebacterium glutamicum lowers the CO2 compensation point (Γ*) and enhances dark and light respiration in transgenic potato. J. Exp. Bot. 1999, 50, 1231–1242. [Google Scholar] [CrossRef]
- Wu, D.; Hou, Y.; Cheng, J.; Han, T.; Hao, N.; Zhang, B.; Fan, X.; Ji, X.; Chen, F.; Gong, D.; et al. Transcriptome analysis of lipid metabolism in response to cerium stress in the oleaginous microalga Nannochloropsis oculata. Sci. Total Environ. 2022, 838, 156420. [Google Scholar] [CrossRef]
- Seong, E.S.; Jeon, M.R.; Choi, J.H.; Yoo, J.H.; Lee, J.G.; Na, J.K.; Kim, N.Y.; Yu, C.Y. Overexpression of S-adenosylmethionine synthetase enhances tolerance to cold stress in tobacco. Russ. J. Plant Physiol. 2020, 67, 242–249. [Google Scholar] [CrossRef]
- Zhu, H.; He, M.; Jahan, M.S.; Wu, J.; Gu, Q.; Shu, S.; Sun, J.; Guo, S. CsCDPK6; a CsSAMS1-interacting protein; affects polyamine/ethylene biosynthesis in Cucumber and enhances salt tolerance by overexpression in tobacco. Int. J. Mol. Sci. 2021, 22, 11133. [Google Scholar] [CrossRef]
- Kim, J.H.; Ahn, J.W.; Park, E.J.; Choi, J.I. Overexpression of S-Adenosylmethionine Synthetase in Recombinant Chlamydomonas for Enhanced Lipid Production. J. Microbiol. Biotechnol. 2023, 33, 310. [Google Scholar] [CrossRef] [PubMed]
- Ma, C.; Wang, Y.; Gu, D.; Nan, J.; Chen, S.; Li, H. Overexpression of S-adenosyl-L-methionine synthetase 2 from sugar beet M14 increased Arabidopsis tolerance to salt and oxidative stress. Int. J. Mol. Sci. 2017, 18, 847. [Google Scholar] [CrossRef] [PubMed]
- Kim, E.Y.; Park, K.Y.; Seo, Y.S.; Kim, W.T. Arabidopsis small rubber particle protein homolog SRPs play dual roles as positive factors for tissue growth and development and in drought stress responses. Plant Physiol. 2016, 170, 2494–2510. [Google Scholar] [CrossRef]
- Gong, B.; Li, X.; VandenLangenberg, K.M.; Wen, D.; Sun, S.; Wei, M.; Li, Y.; Yang, F.; Shi, Q.; Wang, X. Overexpression of S-adenosyl-l-methionine synthetase increased tomato tolerance to alkali stress through polyamine metabolism. Plant Biotechnol. J. 2014, 12, 694–708. [Google Scholar] [CrossRef] [PubMed]
- Godge, M.R.; Kumar, D.; Kumar, P.P. Arabidopsis HOG1 gene and its petunia homolog PETCBP act as key regulators of yield parameters. Plant Cell Rep. 2008, 27, 1497–1507. [Google Scholar] [CrossRef]
- Yang, Y.; Zhu, G.; Li, R.; Yan, S.; Fu, D.; Zhu, B.; Tian, H.; Luo, Y.; Zhu, H. The RNA editing factor SlORRM4 is required for normal fruit ripening in tomato. Plant Physiol. 2017, 175, 1690–1702. [Google Scholar] [CrossRef]
- Mishra, P.; Bhoomika, K.; Dubey, R.S. Differential responses of antioxidative defense system to prolonged salinity stress in salt-tolerant and salt-sensitive Indica rice (Oryza sativa L.) seedlings. Protoplasma 2013, 250, 3–19. [Google Scholar] [CrossRef]
- Yuan, Y.; Xu, D.; Xiang, D.; Jiang, L.; Hu, H. Serine Hydroxymethyltransferase 1 Is Essential for Primary-Root Growth at Low-Sucrose Conditions. Int. J. Mol. Sci. 2022, 23, 4540. [Google Scholar] [CrossRef]
- Fang, C.; Zhang, P.; Li, L.; Yang, L.; Mu, D.; Yan, X.; Li, Z.; Lin, W. Serine hydroxymethyltransferase localised in the endoplasmic reticulum plays a role in scavenging H 2 O 2 to enhance rice chilling tolerance. BMC Plant Biol. 2020, 20, 1–13. [Google Scholar] [CrossRef]
- Wang, S.; Li, X.; Zhu, J.; Liu, H.; Liu, T.; Yu, G.; Shao, M. Covalent interaction between high hydrostatic pressure-pretreated rice bran protein hydrolysates and ferulic acid: Focus on antioxidant activities and emulsifying properties. J. Agric. Food Chem. 2021, 69, 7777–7785. [Google Scholar] [CrossRef]
- Gorelova, V.; De Lepeleire, J.; Van Daele, J.; Pluim, D.; Meï, C.; Cuypers, A.; Leroux, O.; Rebeille, F.; Schellens, J.H.M.; Blancquaert, D.; et al. Dihydrofolate reductase/thymidylate synthase fine-tunes the folate status and controls redox homeostasis in plants. Plant Cell 2017, 29, 2831–2853. [Google Scholar] [CrossRef] [PubMed]
- Maniga, A. Studies on the meristematic and E2F-dependent gene expression in Arabidopsis thaliana plants. Cell Biol. 2017, 17, 5077–5086. [Google Scholar]
- Albani, D.; Giorgetti, L.; Pitto, L.; Luo, M.; Cantoni, R.M. Proliferation-dependent pattern of expression of a dihydrofolate reductase-thymidylate synthase gene from Daucus carota. Eur. J. Histochem. 2005, 49, 107–116. [Google Scholar] [PubMed]









| Gen ID | Sequences | ID NCBI |
|---|---|---|
| RPL29 | F: AATCAGTCGTACAAGGCTCAC | XM_015312492.1 |
| R: GCATACCTCTGGTTCCTCAAG | ||
| RPL11 | F: GAGAAGCTGCCGGATCTTAAT | XM_006343698.2 |
| R: TCGGAGGGTCAATGTCAATTC | ||
| RPL40 | F: AGCCAAGATTCAGGACAAGG | XM_006350430.1 |
| R: TCAGGACAAGATGCAGAGTTG | ||
| RPL17 | F: GTTTCCAATTACCTTGCCGAAG | XM_006345811.2 |
| R: ACCATTGTTCATCCCGTCTTC | ||
| SP6A | F: TGCAACCTAGGGCTCATATTG | NM_001287968.1 |
| R: GCCAATGTAGATACTCCCTCAAG | ||
| EFα1 | F: TTTGGCCCTACTGGTTTGAC | NM_001288491.1 |
| R: GCACTGGAGCATATCCGTTT | ||
| SEC3 | F: GCTTGCACACGCCATATCAAT | XM_006342542.2 |
| R: TGGATTTTACCACCTTCCGCA |
| Protein | Function/Process/Organism | Loss-of-Function Phenotype | References |
|---|---|---|---|
| RPs | Ribosomal Proteins | ||
| RPS1 | Ribosomal protein. Rice | Seedling lethality | Zhou et al., 2021 [22] |
| RPS5A | Ribosomal protein. Arabidopsis | Embryo lethality | Weijers et al., 2001 [23] |
| RPS9 | Ribosomal protein. Maize | Embryo lethal | Ma and Dooner, 2004 [24] |
| RPS13A | Ribosomal protein | Root growth retarded and late flowering | Ito et al., 2000 [25] |
| RPS16 | Ribosomal protein. Arabidopsis | Embryo lethality | Tsugeki et al., 1996 [26] |
| RPS17 | Ribosomal protein. Maize | Seedling lethality | Schultes et al., 2000 [27] |
| RPS18A | Ribosomal protein. Tobacco | Seedling lethality | Rogalski et al., 2006 [28] |
| RPS20 | Ribosomal protein. Rice | Seedling lethality | Gong et al., 2013 [29] |
| RPS21 | Ribosomal protein. Arabidopsis | Reduced photosynthetic activity | Dong et al., 2020 [30] |
| RPS27 | Ribosomal protein. Arabidopsis | Embryo lethality | Revenkova et al., 1999 [31] |
| RPL5C | Ribosomal. Arabidopsis | Embryo lethality | Dupouy et al., 2022 [32] |
| RPL9C, RPL9D | Ribosomal protein. Arabidopsis | Embryo lethality | Devis et al., 2015 [33] |
| RPL10 | Ribosomal protein. Arabidopsis, Maize | Embryo lethality | Falcone et al., 2010 [34] |
| RPL11 | Ribsomal protein. Arabidopsis | Decreased leaf pigmentation, plant growth and photosyntesis | Pesaresi et al., 2001 [35] |
| RPL12 | Ribosomal protein. Rice | Seedling lethality | Zhao et al., 2016 [36] |
| RPL13 | Ribsomal protein. Rice | Embryo lethality | Lee et al., 2019 [37] |
| RPL15C | Ribosomal protein. Arabidopsis | Embryo lethality | Bobik et al., 2019 [38] |
| RPL21C | Ribosomal protein. Arabidopsis and Rice | Embryo lethality | Yin et al., 2021, Lin et al., 2015 [39] |
| RPL23a | Ribosomal protein, Arabidopsis | Abnormal root and leaves, delayed transition to reproductive growth and reduced seed production | Degenhardt and Bonham-Smith, 2008 [40] |
| RPL24B | Ribosomal protein. Arabidopsis | Defects in Auxin response related to ARF3 and ARF5 | Zhou et al., 2010 [41] |
| RPL28-1 | Ribosomal protein. Arabidopsis | Embryo lethality | Romani et al., 2012 [42] |
| RPL35-1 | Ribosomal protein. Maize | Embryo lethality | Magnard et al., 2004 [43] |
| RPS20, RPL1, RPL4, RPL27 and RPL35 | Ribosomal proteins. Arabidopsis | Embryo lethality | Romani et al., 2012 [42] |
| Chloroplast/Ribosome biogenesis factors | |||
| EDD1 (GlyRS9) | Glycyl tRNA synthetase. Arabidopsis | Embryo lethality | Uwer et al., 1998 [44] |
| CFG1, CFG2 | Chloroplast development. Arabidopsis | Seedling lethality | Zhu et al., 2020 [45] |
| DCL-M | Defective chloroplast and leaf- mutable. Tomato | Embryo lethality | Bellaoui et al., 2003 [46] |
| CPN21 | Chaperonin: Tomato, Tobacco | Seed abortion | Hanania et al., 2006 [47] |
| AtBRX-1-1, AtBRX-1-2 | Maturation of the large pre-60S ribosomal subunit | Pointed leaves, delayed growth | Weis et al., 2015 [48] |
| AtNuc-L1-AtNuc-L2 | Ribosome biogenesis. Arabidopsis | Seedling lethality | Durut et al., 2014 [49] |
| AtTHAL | Nucleolar organization | Embryo lethality | Chen et al., 2016 [50] |
| AtNMD3 | Nuclear export adaptor of 60S pre-ribosome export and maturation | Lethal | Chen et al., 2012 [51] |
| RID1 | DEAH-box RNA helicase, Pre-mRNA splicing | Abnormal shoot and root apical meristem maintenance, leaf and root morphogenesis | Ohtani et al., 2013 [52] |
| TIC32 | Translocon of the inner envelope of chloroplasts | Embryo lethality | Hörmann et al., 2004 [53] |
| ATS2 | Phosphatidic acid as intermediate for chloroplast membrane lipid biosynthesis | Embryo lethality | Yu et al., 2004 [54] |
| TIC110 | Translocon of the inner envelope of chloroplasts | Embryo lethality | Kovacheva et al., 2005 [55] |
| CHL27 | Chlorophyl biosynthesis | Retarded growth and chloroplast developmental defects | Bang et al., 2008 [56] |
| DG1 | Early chloroplast development | Delayed greening phenotype | Chi et al., 2008 [57] |
| OEP80 | Chloroplast outer envelope protein | Embryo lethality | Patel et al., 2008 [58] |
| EMB5067/AKRP | Embryo development chloroplast protein | Embryo lethality | Garcion et al., 2006 [59] |
| SPC1 | Carotenoid biosynthesis | Embryo lethality | Dong et al., 2007 [60] |
| PDS3 | phytoene desaturase gene, | Embryo lethality | Qin et al., 2007 [61] |
| EMB1303-1 | Chloroplast biogenesis | Embryo lethality | Huang et al., 2009 [62] |
| EMB1211 | Chloroplast biogenesis | Seedling lethality | Liang et al., 2010 [63] |
| BPG2 | Chloroplast protein accumulation induced by Brassinazole | Decreased number of stacked grana thylakoids | Komatsu et al., 2010 [64] |
| 119 Nuclear genes-assoc. w/chloroplast | Embryo defective mutants/associated to chloroplast | Embryo lethality | Bryant et al., 2011 [65] |
| IRM | Involved in RNA processing | Embryo lethality | Palm et al., 2019 [66] |
| ZMRH3 | The RH3 DEAD Box Helicase | Embryo lethality | Asakura et al., 2012 [67] |
| HSP90C | Chloroplast biogenesis | Embryo lethality | Inoue et al., 2013 [68] |
| FTSHI4 | Thylakoid membrane-associated protein | Embryo lethality | Lu et al., 2014 [69] |
| RNAJ | Ribonuclease J (RNase J) required for chloroplast and embryo development | Embryo lethality | Chen et al., 2015 [70] |
| DER | Chloroplast ribosomal RNA processing | Embryo lethality | Jeon et al., 2014 [71] |
| Rrp5, Pwp2, Nob1, Enp1 and Noc4 | Ribosome biogenesis factors | Embryo lethality | Missbach et al., 2013 [72] |
| SHREK1 | Ribosome biogenesis factor | Embryo lethality | Liu et al., 2022 [73] |
| NOP2A, NOP2B | tRNA and rRNA methylation profiles | Embryo lethality | Burgess et al., 2015 [74] |
| RH22 | RNA helicase22 | Embryo lethality | Chi et al., 2012 [75] |
| MDN1 | The AAA-ATPase MIDASIN 1 functions in ribosome biogenesis | Embryo lethality | Li et al., 2019 [76] |
Disclaimer/Publisher’s Note: The statements, opinions and data contained in all publications are solely those of the individual author(s) and contributor(s) and not of MDPI and/or the editor(s). MDPI and/or the editor(s) disclaim responsibility for any injury to people or property resulting from any ideas, methods, instructions or products referred to in the content. |
© 2023 by the authors. Licensee MDPI, Basel, Switzerland. This article is an open access article distributed under the terms and conditions of the Creative Commons Attribution (CC BY) license (https://creativecommons.org/licenses/by/4.0/).
Share and Cite
Valencia-Lozano, E.; Herrera-Isidrón, L.; Flores-López, J.A.; Recoder-Meléndez, O.S.; Uribe-López, B.; Barraza, A.; Cabrera-Ponce, J.L. Exploring the Potential Role of Ribosomal Proteins to Enhance Potato Resilience in the Face of Changing Climatic Conditions. Genes 2023, 14, 1463. https://doi.org/10.3390/genes14071463
Valencia-Lozano E, Herrera-Isidrón L, Flores-López JA, Recoder-Meléndez OS, Uribe-López B, Barraza A, Cabrera-Ponce JL. Exploring the Potential Role of Ribosomal Proteins to Enhance Potato Resilience in the Face of Changing Climatic Conditions. Genes. 2023; 14(7):1463. https://doi.org/10.3390/genes14071463
Chicago/Turabian StyleValencia-Lozano, Eliana, Lisset Herrera-Isidrón, Jorge Abraham Flores-López, Osiel Salvador Recoder-Meléndez, Braulio Uribe-López, Aarón Barraza, and José Luis Cabrera-Ponce. 2023. "Exploring the Potential Role of Ribosomal Proteins to Enhance Potato Resilience in the Face of Changing Climatic Conditions" Genes 14, no. 7: 1463. https://doi.org/10.3390/genes14071463
APA StyleValencia-Lozano, E., Herrera-Isidrón, L., Flores-López, J. A., Recoder-Meléndez, O. S., Uribe-López, B., Barraza, A., & Cabrera-Ponce, J. L. (2023). Exploring the Potential Role of Ribosomal Proteins to Enhance Potato Resilience in the Face of Changing Climatic Conditions. Genes, 14(7), 1463. https://doi.org/10.3390/genes14071463

