Effect of Dietetic Obesity on Testicular Transcriptome in Cynomolgus Monkeys
Abstract
1. Introduction
2. Materials and Methods
2.1. Animals
2.2. Hematoxylin and Eosin (H & E) Staining of Testes
2.3. Assay for Testicular Testosterone
2.4. RNA-Sequencing
2.5. Statistical Analysis
3. Results
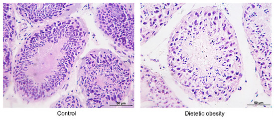
3.1. Dietetic Obese Monkeys Showed Abnormal Testes Morphology
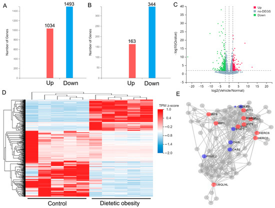
3.2. The Testes Transcriptome of Obese Monkeys Differed Significantly from That of the Control Group
3.3. Gene Ontology and KEGG Pathway Analysis of the Differentially Abundant Genes between the Two Groups
3.4. Abnormal Expression of Infertility-Related Genes and Down-Regulation of Testosterone in Obese Monkeys
4. Discussion
5. Conclusions
Author Contributions
Funding
Institutional Review Board Statement
Informed Consent Statement
Data Availability Statement
Acknowledgments
Conflicts of Interest
References
- Bluher, M. Obesity: Global epidemiology and pathogenesis. Nat. Rev. Endocrinol. 2019, 15, 288–298. [Google Scholar] [CrossRef]
- Prospective Studies Collaboration. Body-mass index and cause-specific mortality in 900 000 adults: Collaborative analyses of 57 prospective studies. Lancet 2009, 373, 1083–1096. [Google Scholar] [CrossRef] [PubMed]
- Leisegang, K.; Sengupta, P.; Agarwal, A.; Henkel, R. Obesity and male infertility: Mechanisms and management. Andrologia 2021, 53, e13617. [Google Scholar] [CrossRef] [PubMed]
- Craig, J.R.; Jenkins, T.G.; Carrell, D.T.; Hotaling, J.M. Obesity, male infertility, and the sperm epigenome. Fertil. Steril. 2017, 107, 848–859. [Google Scholar] [CrossRef] [PubMed]
- Pinto-Pinho, P.; Matos, J.; Arantes-Rodrigues, R.; Gomes, Z.; Brito, M.; Moutinho, O.; Colaco, B.; Pinto-Leite, R. Association of lifestyle factors with semen quality: A pilot study conducted in men from the Portuguese Tras-os-Montes and Alto Douro region followed in fertility support consultations. Andrologia 2020, 52, e13549. [Google Scholar] [CrossRef]
- Almabhouh, F.A.; Md Mokhtar, A.H.; Malik, I.A.; Aziz, N.; Durairajanayagam, D.; Singh, H.J. Leptin and reproductive dysfunction in obese men. Andrologia 2020, 52, e13433. [Google Scholar] [CrossRef] [PubMed]
- Sharma, R.; Biedenharn, K.R.; Fedor, J.M.; Agarwal, A. Lifestyle factors and reproductive health: Taking control of your fertility. Reprod. Biol. Endocrinol. 2013, 11, 66. [Google Scholar] [CrossRef]
- Aitken, R.J.; Baker, M.A. Oxidative stress, sperm survival and fertility control. Mol. Cell. Endocrinol. 2006, 250, 66–69. [Google Scholar] [CrossRef]
- Mitchell, M.; Bakos, H.W.; Lane, M. Paternal diet-induced obesity impairs embryo development and implantation in the mouse. Fertil. Steril. 2011, 95, 1349–1353. [Google Scholar] [CrossRef]
- Lake, J.K.; Power, C.; Cole, T.J. Child to adult body mass index in the 1958 British birth cohort: Associations with parental obesity. Arch. Dis. Child. 1997, 77, 376–381. [Google Scholar] [CrossRef]
- Soubry, A.; Guo, L.; Huang, Z.; Hoyo, C.; Romanus, S.; Price, T.; Murphy, S.K. Obesity-related DNA methylation at imprinted genes in human sperm: Results from the TIEGER study. Clin. Epigenetics 2016, 8, 51. [Google Scholar] [CrossRef] [PubMed]
- Donkin, I.; Versteyhe, S.; Ingerslev, L.R.; Qian, K.; Mechta, M.; Nordkap, L.; Mortensen, B.; Appel, E.V.; Jorgensen, N.; Kristiansen, V.B.; et al. Obesity and Bariatric Surgery Drive Epigenetic Variation of Spermatozoa in Humans. Cell Metab. 2016, 23, 369–378. [Google Scholar] [CrossRef] [PubMed]
- Green, C.L.; Lamming, D.W.; Fontana, L. Molecular mechanisms of dietary restriction promoting health and longevity. Nat. Rev. Mol. Cell Biol. 2022, 23, 56–73. [Google Scholar] [CrossRef] [PubMed]
- Li, B.; Dewey, C.N. RSEM: Accurate transcript quantification from RNA-Seq data with or without a reference genome. BMC Bioinform. 2011, 12, 323. [Google Scholar] [CrossRef] [PubMed]
- Love, M.I.; Huber, W.; Anders, S. Moderated estimation of fold change and dispersion for RNA-seq data with DESeq2. Genome Biol. 2014, 15, 550. [Google Scholar] [CrossRef]
- Ojosnegros, S.; Seriola, A.; Godeau, A.L.; Veiga, A. Embryo implantation in the laboratory: An update on current techniques. Hum. Reprod. Update 2021, 27, 501–530. [Google Scholar] [CrossRef]
- Lane, M.A. Nonhuman primate models in biogerontology. Exp. Gerontol. 2000, 35, 533–541. [Google Scholar] [CrossRef] [PubMed]
- Pound, L.D.; Kievit, P.; Grove, K.L. The nonhuman primate as a model for type 2 diabetes. Curr. Opin. Endocrinol. Diabetes 2014, 21, 89–94. [Google Scholar] [CrossRef]
- Wolf, D.P. The non-human primate oocyte and embryo as a model for women, or is it vice versa? Theriogenology 2008, 69, 31–36. [Google Scholar] [CrossRef]
- Slayden, O.D. Cyclic remodeling of the nonhuman primate endometrium: A model for understanding endometrial receptivity. Semin. Reprod. Med. 2014, 32, 385–391. [Google Scholar] [CrossRef]
- O’Rand, M.G.; Silva, E.J.; Hamil, K.G. Non-hormonal male contraception: A review and development of an Eppin based contraceptive. Pharmacol. Ther. 2016, 157, 105–111. [Google Scholar] [CrossRef] [PubMed]
- McNicholl, J.M.; Henning, T.C.; Vishwanathan, S.A.; Kersh, E.N. Non-human primate models of hormonal contraception and HIV. Am. J. Reprod. Immunol. 2014, 71, 513–522. [Google Scholar] [CrossRef]
- Jia, Y.; Hikim, A.P.; Lue, Y.H.; Swerdloff, R.S.; Vera, Y.; Zhang, X.S.; Hu, Z.Y.; Li, Y.C.; Liu, Y.X.; Wang, C. Signaling pathways for germ cell death in adult cynomolgus monkeys (Macaca fascicularis) induced by mild testicular hyperthermia and exogenous testosterone treatment. Biol. Reprod. 2007, 77, 83–92. [Google Scholar] [CrossRef] [PubMed]
- Moudgal, N.R.; Jeyakumar, M.; Krishnamurthy, H.N.; Sridhar, S.; Krishnamurthy, H.; Martin, F. Development of male contraceptive vaccine--a perspective. Hum. Reprod. Update 1997, 3, 335–346. [Google Scholar] [CrossRef] [PubMed]
- Su, L.; Mruk, D.D.; Lee, W.M.; Cheng, C.Y. Differential effects of testosterone and TGF-beta3 on endocytic vesicle-mediated protein trafficking events at the blood-testis barrier. Exp. Cell Res. 2010, 316, 2945–2960. [Google Scholar] [CrossRef] [PubMed]
- Cheng, C.Y.; Mruk, D.D. The blood-testis barrier and its implications for male contraception. Pharmacol. Rev. 2012, 64, 16–64. [Google Scholar] [CrossRef]
- Liu, Y.; Ding, Z. Obesity, a serious etiologic factor for male subfertility in modern society. Reproduction 2017, 154, R123–R131. [Google Scholar] [CrossRef]
- Martinot, E.; Thirouard, L.; Holota, H.; Monrose, M.; Garcia, M.; Beaudoin, C.; Volle, D.H. Intestinal microbiota defines the GUT-TESTIS axis. Gut 2022, 71, 844–845. [Google Scholar] [CrossRef]
- Fijak, M.; Meinhardt, A. The testis in immune privilege. Immunol. Rev. 2006, 213, 66–81. [Google Scholar] [CrossRef]
- Dura, M.; Teissandier, A.; Armand, M.; Barau, J.; Lapoujade, C.; Fouchet, P.; Bonneville, L.; Schulz, M.; Weber, M.; Baudrin, L.G.; et al. DNMT3A-dependent DNA methylation is required for spermatogonial stem cells to commit to spermatogenesis. Nat. Genet. 2022, 54, 469–480. [Google Scholar] [CrossRef]
- Stewart, K.R.; Veselovska, L.; Kelsey, G. Establishment and functions of DNA methylation in the germline. Epigenomics 2016, 8, 1399–1413. [Google Scholar] [CrossRef]
- Rotondo, J.C.; Lanzillotti, C.; Mazziotta, C.; Tognon, M.; Martini, F. Epigenetics of Male Infertility: The Role of DNA Methylation. Front. Cell Dev. Biol. 2021, 9, 689624. [Google Scholar] [CrossRef] [PubMed]
- Spinelli, P.; Latchney, S.E.; Reed, J.M.; Fields, A.; Baier, B.S.; Lu, X.; McCall, M.N.; Murphy, S.P.; Mak, W.; Susiarjo, M. Identification of the novel Ido1 imprinted locus and its potential epigenetic role in pregnancy loss. Hum. Mol. Genet. 2019, 28, 662–674. [Google Scholar] [CrossRef]
- Garrido, N.; Cruz, F.; Egea, R.R.; Simon, C.; Sadler-Riggleman, I.; Beck, D.; Nilsson, E.; Ben Maamar, M.; Skinner, M.K. Sperm DNA methylation epimutation biomarker for paternal offspring autism susceptibility. Clin. Epigenet. 2021, 13, 6. [Google Scholar] [CrossRef]
- Keyhan, S.; Burke, E.; Schrott, R.; Huang, Z.; Grenier, C.; Price, T.; Raburn, D.; Corcoran, D.L.; Soubry, A.; Hoyo, C.; et al. Male obesity impacts DNA methylation reprogramming in sperm. Clin. Epigenet. 2021, 13, 17. [Google Scholar] [CrossRef] [PubMed]
- Soubry, A.; Murphy, S.K.; Wang, F.; Huang, Z.; Vidal, A.C.; Fuemmeler, B.F.; Kurtzberg, J.; Murtha, A.; Jirtle, R.L.; Schildkraut, J.M.; et al. Newborns of obese parents have altered DNA methylation patterns at imprinted genes. Int. J. Obes. 2015, 39, 650–657. [Google Scholar] [CrossRef]
- Babakhanzadeh, E.; Khodadadian, A.; Rostami, S.; Alipourfard, I.; Aghaei, M.; Nazari, M.; Hosseinnia, M.; Mehrjardi, M.Y.V.; Jamshidi, Y.; Ghasemi, N. Testicular expression of TDRD1, TDRD5, TDRD9 and TDRD12 in azoospermia. BMC Med. Genet. 2020, 21, 33. [Google Scholar] [CrossRef]
- Kamaliyan, Z.; Pouriamanesh, S.; Soosanabadi, M.; Gholami, M.; Mirfakhraie, R. Investigation of piwi-interacting RNA pathway genes role in idiopathic non-obstructive azoospermia. Sci. Rep. 2018, 8, 142. [Google Scholar] [CrossRef]
- Choi, Y.; Jeon, S.; Choi, M.; Lee, M.H.; Park, M.; Lee, D.R.; Jun, K.Y.; Kwon, Y.; Lee, O.H.; Song, S.H.; et al. Mutations in SOHLH1 gene associate with nonobstructive azoospermia. Hum. Mutat. 2010, 31, 788–793. [Google Scholar] [CrossRef] [PubMed]
- Ramaswamy, S.; Razack, B.S.; Roslund, R.M.; Suzuki, H.; Marshall, G.R.; Rajkovic, A.; Plant, T.M. Spermatogonial SOHLH1 nucleocytoplasmic shuttling associates with initiation of spermatogenesis in the rhesus monkey (Macaca mulatta). Mol. Hum. Reprod. 2014, 20, 350–357. [Google Scholar] [CrossRef]
- Terre, B.; Lewis, M.; Gil-Gomez, G.; Han, Z.; Lu, H.; Aguilera, M.; Prats, N.; Roy, S.; Zhao, H.; Stracker, T.H. Defects in efferent duct multiciliogenesis underlie male infertility in GEMC1-, MCIDAS- or CCNO-deficient mice. Development 2019, 146, dev162628. [Google Scholar] [CrossRef] [PubMed]
- Yatsenko, A.N.; O’Neil, D.S.; Roy, A.; Arias-Mendoza, P.A.; Chen, R.; Murthy, L.J.; Lamb, D.J.; Matzuk, M.M. Association of mutations in the zona pellucida binding protein 1 (ZPBP1) gene with abnormal sperm head morphology in infertile men. Mol. Hum. Reprod. 2012, 18, 14–21. [Google Scholar] [CrossRef] [PubMed]
- Zhou, H.; Zeng, Z.; Koentgen, F.; Khan, M.; Mombaerts, P. The testicular soma of Tsc22d3 knockout mice supports spermatogenesis and germline transmission from spermatogonial stem cell lines upon transplantation. Genesis 2019, 57, e23295. [Google Scholar] [CrossRef] [PubMed]
- Inoue, N.; Hess, K.D.; Moreadith, R.W.; Richardson, L.L.; Handel, M.A.; Watson, M.L.; Zinn, A.R. New gene family defined by MORC, a nuclear protein required for mouse spermatogenesis. Hum. Mol. Genet. 1999, 8, 1201–1207. [Google Scholar] [CrossRef] [PubMed]
- Pastor, W.A.; Stroud, H.; Nee, K.; Liu, W.; Pezic, D.; Manakov, S.; Lee, S.A.; Moissiard, G.; Zamudio, N.; Bourc’his, D.; et al. MORC1 represses transposable elements in the mouse male germline. Nat. Commun. 2014, 5, 5795. [Google Scholar] [CrossRef] [PubMed]
- Davila, R.A.; Spiller, C.; Harkins, D.; Harvey, T.; Jordan, P.W.; Gronostajski, R.M.; Piper, M.; Bowles, J. Deletion of NFIX results in defective progression through meiosis within the mouse testis†. Biol. Reprod. 2022, 106, 1191–1205. [Google Scholar] [CrossRef]
- Puri, P.; Phillips, B.T.; Suzuki, H.; Orwig, K.E.; Rajkovic, A.; Lapinski, P.E.; King, P.D.; Feng, G.-S.; Walker, W.H. The transition from stem cell to progenitor spermatogonia and male fertility requires the SHP2 protein tyrosine phosphatase. Stem Cells 2014, 32, 741–753. [Google Scholar] [CrossRef]
- Puri, P.; Walker, W.H. The regulation of male fertility by the PTPN11 tyrosine phosphatase. Semin. Cell Dev. Biol. 2016, 59, 27–34. [Google Scholar] [CrossRef]
- Grossmann, K.S.; Rosário, M.; Birchmeier, C.; Birchmeier, W. The tyrosine phosphatase Shp2 in development and cancer. Adv. Cancer Res. 2010, 106, 53–89. [Google Scholar] [CrossRef]
- Tajan, M.; de Rocca Serra, A.; Valet, P.; Edouard, T.; Yart, A. SHP2 sails from physiology to pathology. Eur. J. Med. Genet. 2015, 58, 509–525. [Google Scholar] [CrossRef]
- Choi, D.; Lee, E.; Hwang, S.; Jun, K.; Kim, D.; Yoon, B.K.; Shin, H.S.; Lee, J.H. The biological significance of phospholipase C beta 1 gene mutation in mouse sperm in the acrosome reaction, fertilization, and embryo development. J. Assist. Reprod. Genet. 2001, 18, 305–310. [Google Scholar] [CrossRef] [PubMed]
- Huang, G.; Kaufman, A.J.; Ryan, R.J.H.; Romin, Y.; Huryn, L.; Bains, S.; Manova-Todorova, K.; Morris, P.L.; Hunnicutt, G.R.; Adelman, C.A.; et al. Mouse DCUN1D1 (SCCRO) is required for spermatogenetic individualization. PLoS ONE 2019, 14, e0209995. [Google Scholar] [CrossRef] [PubMed]







Disclaimer/Publisher’s Note: The statements, opinions and data contained in all publications are solely those of the individual author(s) and contributor(s) and not of MDPI and/or the editor(s). MDPI and/or the editor(s) disclaim responsibility for any injury to people or property resulting from any ideas, methods, instructions or products referred to in the content. |
© 2023 by the authors. Licensee MDPI, Basel, Switzerland. This article is an open access article distributed under the terms and conditions of the Creative Commons Attribution (CC BY) license (https://creativecommons.org/licenses/by/4.0/).
Share and Cite
Zhang, Y.; Qi, J.; Zhao, J.; Li, M.; Zhang, Y.; Hu, H.; Wei, L.; Zhou, K.; Qin, H.; Qu, P.; et al. Effect of Dietetic Obesity on Testicular Transcriptome in Cynomolgus Monkeys. Genes 2023, 14, 557. https://doi.org/10.3390/genes14030557
Zhang Y, Qi J, Zhao J, Li M, Zhang Y, Hu H, Wei L, Zhou K, Qin H, Qu P, et al. Effect of Dietetic Obesity on Testicular Transcriptome in Cynomolgus Monkeys. Genes. 2023; 14(3):557. https://doi.org/10.3390/genes14030557
Chicago/Turabian StyleZhang, Yanru, Jia Qi, Juan Zhao, Miaojing Li, Yulin Zhang, Huizhong Hu, Liangliang Wei, Kai Zhou, Hongyu Qin, Pengxiang Qu, and et al. 2023. "Effect of Dietetic Obesity on Testicular Transcriptome in Cynomolgus Monkeys" Genes 14, no. 3: 557. https://doi.org/10.3390/genes14030557
APA StyleZhang, Y., Qi, J., Zhao, J., Li, M., Zhang, Y., Hu, H., Wei, L., Zhou, K., Qin, H., Qu, P., Cao, W., & Liu, E. (2023). Effect of Dietetic Obesity on Testicular Transcriptome in Cynomolgus Monkeys. Genes, 14(3), 557. https://doi.org/10.3390/genes14030557

