Utility of Circulating Cell-Free DNA in Assessing Microsatellite Instability and Loss of Heterozygosity in Breast Cancer Using Human Identification Approach
Abstract
1. Introduction
2. Materials and Methods
2.1. Study Subjects
2.2. Blood Collection and DNA Extraction
2.3. Amplification of STR Markers
2.4. Statistical Analysis
3. Results
3.1. Clinical and Demographic Characteristics of Study Cohorts
3.2. Quantitative Analysis of cfDNA
3.3. Allelic Frequencies of STR Markers
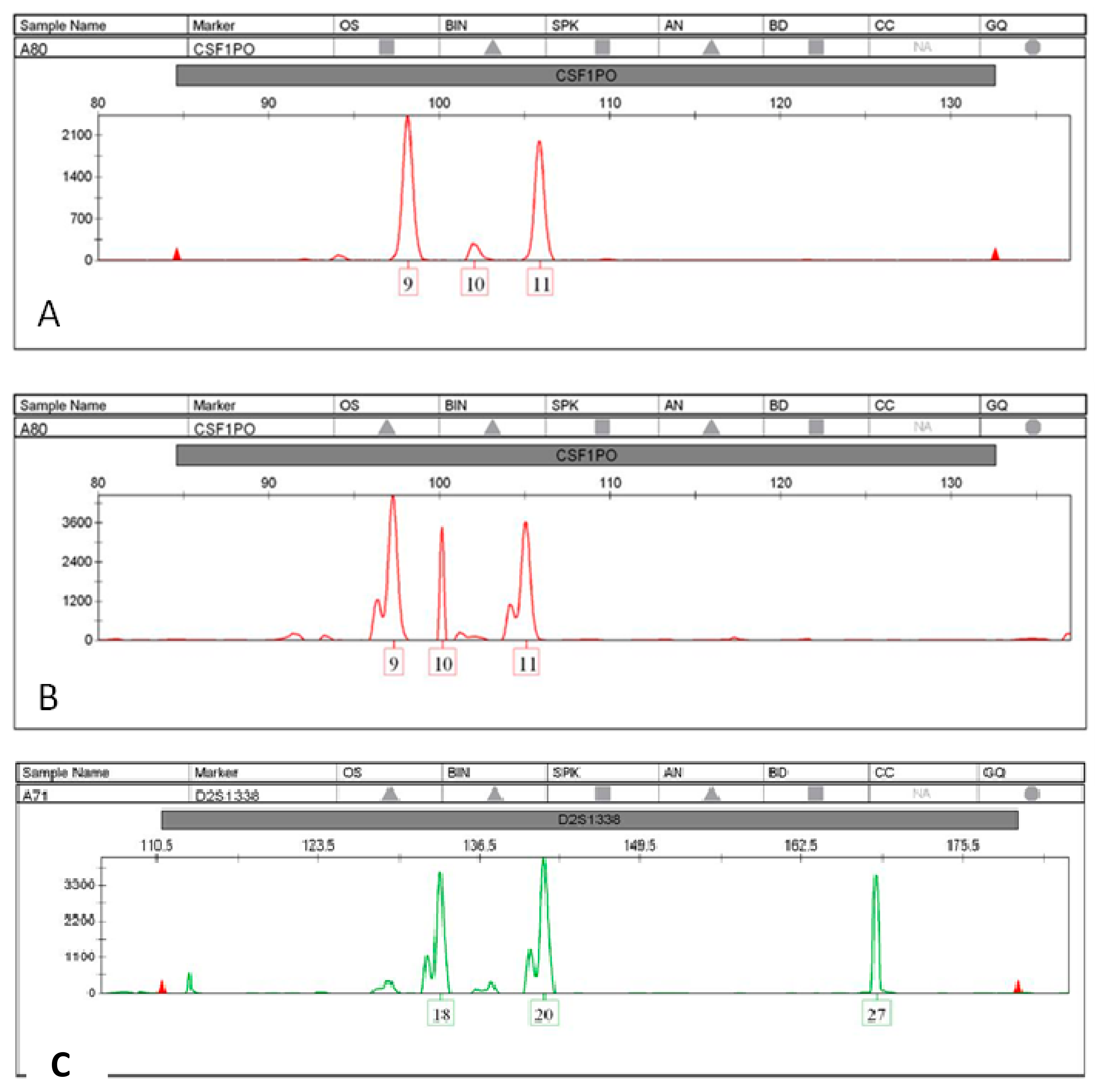
3.4. STR Genotyping and Altered STR Profiles in cfDNA versus WBCs
4. Discussion
5. Conclusions
Supplementary Materials
Author Contributions
Funding
Institutional Review Board Statement
Informed Consent Statement
Data Availability Statement
Acknowledgments
Conflicts of Interest
Abbreviations
| BC | Breast cancer |
| BRCA1 | Breast Cancer 1 gene |
| BRCA2 | Breast Cancer 2 gene |
| BMI | Body mass index |
| CDK6 | Cyclin Dependent Kinase 6 gene |
| cfDNA | Cell-free DNA |
| ER | Estrogen receptor |
| HER2 | Human epidermal growth factor receptor2 |
| IGHG3 | Immunoglobulin heavy constant γ 3 gene |
| KSA | Kingdom of Saudi Arabia |
| LOH | Loss of heterozygosity |
| MMR | Mismatch repair system |
| MSI | Microsatellite instability |
| OR | Odds ratio |
| PR | Progesterone receptor |
| PBD | Proliferative breast disease |
| RPS9 | Ribosomal Protein S9 gene |
| SDS | System Sequence Detection Software |
| STR | Short tandem repeat |
References
- Nadal, R.; Fernandez, A.; Sanchez-Rovira, P.; Salido, M.; Rodriguez, M.; Garcia-Puche, J.L.; Macia, M.; Corominas, J.M.; Delgado-Rodriguez, M.; Gonzalez, L.; et al. Biomarkers characterization of circulating tumour cells in breast cancer patients. Breast Cancer Res. 2012, 14, R71. [Google Scholar] [CrossRef] [PubMed]
- Al-Zahrani, A.S.; Al-Mutlaq, H.M.; Radwi, A.N.; Bazarbashi, S.M. Cancer Incidence Report Saudi Arabia. Available online: https://nhic.gov.sa/en/eServices/Documents/2016.pdf (accessed on 2 January 2022).
- Messaoudi, S.A.; Al Sharhan, N.A.; Alharthi, B.; Babu, S.R.; Alsaleh, A.B.; Alasiri, A.M.; Assidi, M.; Buhmeida, A.; Almawi, W.Y. Detection of genetic mutations in patients with breast cancer from Saudi Arabia using Ion AmpliSeq Cancer Hotspot Panel v.2.0. Biomed. Rep. 2022, 16, 26. [Google Scholar] [CrossRef] [PubMed]
- Hadj-Ahmed, M.; Ghali, R.M.; Bouaziz, H.; Habel, A.; Stayoussef, M.; Ayedi, M.; Hachiche, M.; Rahal, K.; Yacoubi-Loueslati, B.; Almawi, W.Y. Transforming growth factor beta 1 polymorphisms and haplotypes associated with breast cancer susceptibility: A case-control study in Tunisian women. Tumour. Biol. 2019, 41, 1010428319869096. [Google Scholar] [CrossRef]
- Harris, L.; Fritsche, H.; Mennel, R.; Norton, L.; Ravdin, P.; Taube, S.; Somerfield, M.R.; Hayes, D.F.; Bast, R.C., Jr. American Society of Clinical Oncology 2007 update of recommendations for the use of tumor markers in breast cancer. J. Clin. Oncol. 2007, 25, 5287–5312. [Google Scholar] [CrossRef]
- Anbazhagan, R.; Fujii, H.; Gabrielson, E. Microsatellite instability is uncommon in breast cancer. Clin. Cancer Res. 1999, 5, 839–844. [Google Scholar]
- de la Chapelle, A.; Hampel, H. Clinical relevance of microsatellite instability in colorectal cancer. J. Clin. Oncol. 2010, 28, 3380–3387. [Google Scholar] [CrossRef]
- Murphy, K.M.; Zhang, S.; Geiger, T.; Hafez, M.J.; Bacher, J.; Berg, K.D.; Eshleman, J.R. Comparison of the microsatellite instability analysis system and the Bethesda panel for the determination of microsatellite instability in colorectal cancers. J. Mol. Diagn. 2006, 8, 305–311. [Google Scholar] [CrossRef]
- Nikiforova, M.N.; Nikiforov, Y.E. Chapter 2—Molecular Anatomic Pathology: Principles, Techniques, and Application to Immunohistologic Diagnosis A2—Dabbs. In Diagnostic Immunohistochemistry, 3rd ed.; David, J., Ed.; W.B. Saunders: Philadelphia, PA, USA, 2011; pp. 42–57. [Google Scholar]
- Abdel-Rahman, W.M. Genomic instability and carcinogenesis: An update. Curr. Genom. 2008, 9, 535–541. [Google Scholar] [CrossRef]
- Dong, J.T. Chromosomal deletions and tumor suppressor genes in prostate cancer. Cancer Metastasis Rev. 2001, 20, 173–193. [Google Scholar] [CrossRef]
- Pepinski, W.; Soltyszewski, I.; Skawronska, M.; Rogowski, M.; Zalewska, R.; Kozlowski, L.; Filipowski, T.; Janica, J. Loss of heterozygosity (LOH)—Implications for human genetic identification. Folia Histochem. Cytobiol. 2009, 47, 105–110. [Google Scholar] [CrossRef][Green Version]
- Yee, C.J.; Roodi, N.; Verrier, C.S.; Parl, F.F. Microsatellite instability and loss of heterozygosity in breast cancer. Cancer Res. 1994, 54, 1641–1644. [Google Scholar] [PubMed]
- Sourvinos, G.; Kiaris, H.; Tsikkinis, A.; Vassilaros, S.; Spandidos, D.A. Microsatellite instability and loss of heterozygosity in primary breast tumours. Tumour. Biol. 1997, 18, 157–166. [Google Scholar] [CrossRef] [PubMed]
- Kumar, Y.; Yang, J.; Hu, T.; Chen, L.; Xu, Z.; Xu, L.; Hu, X.X.; Tang, G.; Wang, J.M.; Li, Y.; et al. Massive interstitial copy-neutral loss-of-heterozygosity as evidence for cancer being a disease of the DNA-damage response. BMC Med. Genom. 2015, 8, 42. [Google Scholar] [CrossRef] [PubMed]
- Pös, Z.; Pös, O.; Styk, J.; Mocova, A.; Strieskova, L.; Budis, J.; Kadasi, L.; Radvanszky, J.; Szemes, T. Technical and methodological aspects of cell-free nucleic acids analyzes. Int. J. Mol. Sci. 2020, 21, 8634. [Google Scholar] [CrossRef]
- Leon, S.A.; Shapiro, B.; Sklaroff, D.M.; Yaros, M.J. Free DNA in the serum of cancer patients and the effect of therapy. Cancer Res. 1977, 37, 646–650. [Google Scholar] [PubMed]
- Diaz, L.A., Jr.; Bardelli, A. Liquid biopsies: Genotyping circulating tumor DNA. J. Clin. Oncol. 2014, 32, 579–586. [Google Scholar] [CrossRef]
- Chang, C.P.; Chia, R.H.; Wu, T.L.; Tsao, K.C.; Sun, C.F.; Wu, J.T. Elevated cell-free serum DNA detected in patients with myocardial infarction. Clin. Chim. Acta 2003, 327, 95–101. [Google Scholar] [CrossRef]
- Saukkonen, K.; Lakkisto, P.; Pettila, V.; Varpula, M.; Karlsson, S.; Ruokonen, E.; Pulkki, K. Cell-free plasma DNA as a predictor of outcome in severe sepsis and septic shock. Clin. Chem. 2008, 54, 1000–1007. [Google Scholar] [CrossRef]
- Lo, Y.M.; Rainer, T.H.; Chan, L.Y.; Hjelm, N.M.; Cocks, R.A. Plasma DNA as a prognostic marker in trauma patients. Clin. Chem. 2000, 46, 319–323. [Google Scholar] [CrossRef]
- Yigit, B.; Boyle, M.; Ozler, O.; Erden, N.; Tutucu, F.; Hardy, T.; Bergmann, C.; Distler, J.H.W.; Adali, G.; Dayangac, M.; et al. Plasma cell-free DNA methylation: A liquid biomarker of hepatic fibrosis. Gut 2018, 67, 1907–1908. [Google Scholar] [CrossRef]
- Vanderstichele, A.; Busschaert, P.; Smeets, D.; Landolfo, C.; Van Nieuwenhuysen, E.; Leunen, K.; Neven, P.; Amant, F.; Mahner, S.; Braicu, E.I.; et al. Chromosomal instability in cell-free DNA as a highly specific biomarker for detection of ovarian cancer in women with adnexal masses. Clin. Cancer Res. 2017, 23, 2223–2231. [Google Scholar] [CrossRef] [PubMed]
- Bedin, C.; Enzo, M.V.; Del Bianco, P.; Pucciarelli, S.; Nitti, D.; Agostini, M. Diagnostic and prognostic role of cell-free DNA testing for colorectal cancer patients. Int. J. Cancer 2017, 140, 1888–1898. [Google Scholar] [CrossRef] [PubMed]
- Schutz, E.; Akbari, M.R.; Beck, J.; Urnovitz, H.; Zhang, W.W.; Bornemann-Kolatzki, K.; Mitchell, W.M.; Nam, R.K.; Narod, S.A. Chromosomal instability in cell-free DNA is a serum biomarker for prostate cancer. Clin. Chem. 2015, 61, 239–248. [Google Scholar] [CrossRef]
- Karachaliou, N.; Sosa, A.E.; Molina, M.A.; Centelles Ruiz, M.; Rosell, R. Possible application of circulating free tumor DNA in non-small cell lung cancer patients. J. Thorac. Dis. 2017, 9, S1364–S1372. [Google Scholar] [CrossRef]
- De Mattos-Arruda, L.; Caldas, C. Cell-free circulating tumour DNA as a liquid biopsy in breast cancer. Mol. Oncol. 2016, 10, 464–474. [Google Scholar] [CrossRef] [PubMed]
- Higgins, M.J.; Jelovac, D.; Barnathan, E.; Blair, B.; Slater, S.; Powers, P.; Zorzi, J.; Jeter, S.C.; Oliver, G.R.; Fetting, J.; et al. Detection of tumor PIK3CA status in metastatic breast cancer using peripheral blood. Clin. Cancer Res. 2012, 18, 3462–3469. [Google Scholar] [CrossRef]
- Chen, Z.; Sun, T.; Yang, Z.; Zheng, Y.; Yu, R.; Wu, X.; Yan, J.; Shao, Y.W.; Shao, X.; Cao, W.; et al. Monitoring treatment efficacy and resistance in breast cancer patients via circulating tumor DNA genomic profiling. Mol. Genet. Genom. Med. 2020, 8, e1079. [Google Scholar] [CrossRef]
- Paolillo, C.; Mu, Z.; Rossi, G.; Schiewer, M.J.; Nguyen, T.; Austin, L.; Capoluongo, E.; Knudsen, K.; Cristofanilli, M.; Fortina, P. Detection of activating estrogen receptor gene (ESR1) mutations in single circulating tumor cells. Clin. Cancer Res. 2017, 23, 6086–6093. [Google Scholar] [CrossRef]
- Schwarzenbach, H.; Hoon, D.S.; Pantel, K. Cell-free nucleic acids as biomarkers in cancer patients. Nat. Rev. Cancer 2011, 11, 426–437. [Google Scholar] [CrossRef]
- Shaw, J.A.; Guttery, D.S.; Hills, A.; Fernandez-Garcia, D.; Page, K.; Rosales, B.M.; Goddard, K.S.; Hastings, R.K.; Luo, J.; Ogle, O.; et al. Mutation Analysis of Cell-Free DNA and Single Circulating Tumor Cells in Metastatic Breast Cancer Patients with High Circulating Tumor Cell Counts. Clin. Cancer Res. 2017, 23, 88–96. [Google Scholar] [CrossRef]
- Zanetti-Dallenbach, R.; Wight, E.; Fan, A.X.; Lapaire, O.; Hahn, S.; Holzgreve, W.; Zhong, X.Y. Positive correlation of cell-free DNA in plasma/serum in patients with malignant and benign breast disease. Anticancer Res. 2008, 28, 921–925. [Google Scholar] [PubMed]
- Wang, R.; Li, X.; Zhang, H.; Wang, K.; He, J. Cell-free circulating tumor DNA analysis for breast cancer and its clinical utilization as a biomarker. Oncotarget 2017, 8, 75742–75755. [Google Scholar] [CrossRef] [PubMed]
- Peled, M.; Agassi, R.; Czeiger, D.; Ariad, S.; Riff, R.; Rosenthal, M.; Lazarev, I.; Novack, V.; Yarza, S.; Mizrakli, Y. Cell-free DNA concentration in patients with clinical or mammographic suspicion of breast cancer. Sci. Rep. 2020, 10, 14601. [Google Scholar] [CrossRef] [PubMed]
- Quinones, I.; Daniel, B. Cell free DNA as a component of forensic evidence recovered from touched surfaces. Forensic Sci. Int. Genet. 2012, 6, 26–30. [Google Scholar] [CrossRef]
- Vandewoestyne, M.; Van Hoofstat, D.; Franssen, A.; Van Nieuwerburgh, F.; Deforce, D. Presence and potential of cell free DNA in different types of forensic samples. Sci. Int. Genet. 2013, 7, 316–320. [Google Scholar] [CrossRef]
- Soltani, I.; Bahia, W.; Farrah, A.; Mahdhi, A.; Ferchichi, S.; Almawi, W.Y. Potential functions of hsa-miR-155-5p and core genes in chronic myeloid leukemia and emerging role in human cancer: A joint bioinformatics analysis. Genomics 2021, 113, 1647–1658. [Google Scholar] [CrossRef]
- Cheng, F.; Su, L.; Qian, C. Circulating tumor DNA: A promising biomarker in the liquid biopsy of cancer. Oncotarget 2016, 7, 48832–48841. [Google Scholar] [CrossRef]
- Fettke, H.; Kwan, E.M.; Azad, A.A. Cell-free DNA in cancer: Current insights. Cell Oncol. 2018, 42, 13–28. [Google Scholar] [CrossRef]
- Volik, S.; Alcaide, M.; Morin, R.D.; Collins, C. Cell-free DNA (cfDNA): Clinical significance and utility in cancer shaped by emerging technologies. Mol. Cancer Res. 2016, 14, 898. [Google Scholar] [CrossRef]
- van den Brandt, P.A.; Spiegelman, D.; Yaun, S.S.; Adami, H.O.; Beeson, L.; Folsom, A.R.; Fraser, G.; Goldbohm, R.A.; Graham, S.; Kushi, L.; et al. Pooled analysis of prospective cohort studies on height, weight, and breast cancer risk. Am. J. Epidemiol. 2000, 152, 514–527. [Google Scholar] [CrossRef]
- Habel, A.F.; Ghali, R.M.; Bouaziz, H.; Daldoul, A.; Hadj-Ahmed, M.; Mokrani, A.; Zaied, S.; Hechiche, M.; Rahal, K.; Yacoubi-Loueslati, B.; et al. Common matrix metalloproteinase-2 gene variants and altered susceptibility to breast cancer and associated features in Tunisian women. Tumour. Biol. 2019, 41, 1010428319845749. [Google Scholar] [CrossRef] [PubMed]
- Ghali, R.M.; Mahjoub, S.; Zaied, S.; Bhiri, H.; Bahia, W.; Mahjoub, T.; Almawi, W.Y. Association of genetic variants in NF-kB with susceptibility to breast cancer: A case control study. Pathol. Oncol. Res. 2019, 25, 1395–1400. [Google Scholar] [CrossRef] [PubMed]
- Seo, B.R.; Bhardwaj, P.; Choi, S.; Gonzalez, J.; Andresen Eguiluz, R.C.; Wang, K.; Mohanan, S.; Morris, P.G.; Du, B.; Zhou, X.K.; et al. Obesity-dependent changes in interstitial ECM mechanics promote breast tumorigenesis. Sci. Transl. Med. 2015, 7, 301ra130. [Google Scholar] [CrossRef]
- Assidi, M.; Yahya, F.M.; Al-Zahrani, M.H.; Elkhatib, R.; Zari, A.; Elaimi, A.; Al-Maghrabi, J.; Dallol, A.; Buhmeida, A.; Abu-Elmagd, M. Leptin protein expression and promoter methylation in ovarian cancer: A strong prognostic value with theranostic promises. Int. J. Mol. Sci. 2021, 22, 12872. [Google Scholar] [CrossRef] [PubMed]
- Mouliere, F.; El Messaoudi, S.; Pang, D.; Dritschilo, A.; Thierry, A.R. Multi-marker analysis of circulating cell-free DNA toward personalized medicine for colorectal cancer. Mol. Oncol. 2014, 8, 927–941. [Google Scholar] [CrossRef]
- Schwarzenbach, H.; Alix-Panabieres, C.; Muller, I.; Letang, N.; Vendrell, J.P.; Rebillard, X.; Pantel, K. Cell-free tumor DNA in blood plasma as a marker for circulating tumor cells in prostate cancer. Clin. Cancer Res. 2009, 15, 1032–1038. [Google Scholar] [CrossRef] [PubMed]
- Spindler, K.L.; Pallisgaard, N.; Vogelius, I.; Jakobsen, A. Quantitative cell-free DNA, KRAS, and BRAF mutations in plasma from patients with metastatic colorectal cancer during treatment with cetuximab and irinotecan. Clin. Cancer Res. 2012, 18, 1177–1185. [Google Scholar] [CrossRef]
- Kamat, A.A.; Baldwin, M.; Urbauer, D.; Dang, D.; Han, L.Y.; Godwin, A.; Karlan, B.Y.; Simpson, J.L.; Gershenson, D.M.; Coleman, R.L.; et al. Plasma cell-free DNA in ovarian cancer: An independent prognostic biomarker. Cancer 2010, 116, 1918–1925. [Google Scholar] [CrossRef]
- Chen, X.Q.; Stroun, M.; Magnenat, J.L.; Nicod, L.P.; Kurt, A.M.; Lyautey, J.; Lederrey, C.; Anker, P. Microsatellite alterations in plasma DNA of small cell lung cancer patients. Nat. Med. 1996, 2, 1033–1035. [Google Scholar] [CrossRef]
- Meddeb, R.; Pisareva, E.; Thierry, A.R. Guidelines for the preanalytical conditions for analyzing circulating cell-free DNA. Clin. Chem. 2019, 65, 623–633. [Google Scholar] [CrossRef]
- Woodhouse, R.; Li, M.; Hughes, J.; Delfosse, D.; Skoletsky, J.; Ma, P.; Meng, W.; Dewal, N.; Milbury, C.; Clark, T. Clinical and analytical validation of FoundationOne Liquid CDx, a novel 324-Gene cfDNA-based comprehensive genomic profiling assay for cancers of solid tumor origin. PLoS ONE 2020, 15, e0237802. [Google Scholar] [CrossRef] [PubMed]
- Rolfo, C.; Cardona, A.F.; Cristofanilli, M.; Paz-Ares, L.; Diaz Mochon, J.J.; Duran, I.; Raez, L.E.; Russo, A.; Lorente, J.A.; Malapelle, U.; et al. Challenges and opportunities of cfDNA analysis implementation in clinical practice: Perspective of the International Society of Liquid Biopsy (ISLB). Crit. Rev. Oncol./Hematol. 2020, 151, 102978. [Google Scholar] [CrossRef] [PubMed]
- Mandel, P.; Métais, P. Les acides nucleiques du plasma sanguin chez 1 homme. CR Seances Soc. Biol. Fil. 1948, 142, 241–243. [Google Scholar]
- Sozzi, G.; Conte, D.; Leon, M.; Ciricione, R.; Roz, L.; Ratcliffe, C.; Roz, E.; Cirenei, N.; Bellomi, M.; Pelosi, G.; et al. Quantification of free circulating DNA as a diagnostic marker in lung cancer. J. Clin. Oncol. 2003, 21, 3902–3908. [Google Scholar] [CrossRef]
- Papadopoulou, E.; Davilas, E.; Sotiriou, V.; Georgakopoulos, E.; Georgakopoulou, S.; Koliopanos, A.; Aggelakis, F.; Dardoufas, K.; Agnanti, N.J.; Karydas, I.; et al. Cell-free DNA and RNA in plasma as a new molecular marker for prostate and breast cancer. Ann. N. Y. Acad. Sci. 2006, 1075, 235–243. [Google Scholar] [CrossRef]
- Ip, S.C.; Lin, S.W.; Li, C.; Lai, K.M. Forensic DNA typing strategy of degraded DNA on discarded cigarette ends using the AmpFlSTR(R) Identifiler(R), Identifiler(R) Plus and MiniFiler PCR amplification kits. Sci. Justice 2014, 54, 311–315. [Google Scholar] [CrossRef]
- Bagshaw, A.T.M. Functional mechanisms of microsatellite DNA in eukaryotic genomes. Genome Biol. Evol. 2017, 9, 2428–2443. [Google Scholar] [CrossRef]
- Wooster, R.; Cleton-Jansen, A.M.; Collins, N.; Mangion, J.; Cornelis, R.S.; Cooper, C.S.; Gusterson, B.A.; Ponder, B.A.; von Deimling, A.; Wiestler, O.D.; et al. Instability of short tandem repeats (microsatellites) in human cancers. Nat. Genet. 1994, 6, 152–156. [Google Scholar] [CrossRef]
- Silva, J.M.; Silva, J.; Sanchez, A.; Garcia, J.M.; Dominguez, G.; Provencio, M.; Sanfrutos, L.; Jareno, E.; Colas, A.; Espana, P.; et al. Tumor DNA in plasma at diagnosis of breast cancer patients is a valuable predictor of disease-free survival. Clin. Cancer Res. 2002, 8, 3761–3766. [Google Scholar]
- Smit, A.F.; Riggs, A.D. MIRs are classic, tRNA-derived SINEs that amplified before the mammalian radiation. Nucleic Acids Res. 1995, 23, 98–102. [Google Scholar] [CrossRef]
- Neerman-Arbez, M.; Honsberger, A.; Antonarakis, S.E.; Morris, M.A. Deletion of the fibrinogen [correction of fibrogen] alpha-chain gene (FGA) causes congenital afibrogenemia. J. Clin. Investig. 1999, 103, 215–218. [Google Scholar] [CrossRef] [PubMed]
- Powierska-Czarny, J.; Miscicka-Sliwka, D.; Czarny, J.; Grzybowski, T.; Wozniak, M.; Drewa, G.; Czechowicz, W.; Sir, J. Analysis of microsatellite instability and loss of heterozygosity in breast cancer with the use of a well characterized multiplex system. Acta Biochim. Pol. 2003, 50, 1195–1203. [Google Scholar] [CrossRef] [PubMed]
- Tsuda, H.; Callen, D.F.; Fukutomi, T.; Nakamura, Y.; Hirohashi, S. Allele loss on chromosome 16q24.2-qter occurs frequently in breast cancers irrespectively of differences in phenotype and extent of spread. Cancer Res. 1994, 54, 513–517. [Google Scholar] [PubMed]
- Sato, T.; Saito, H.; Morita, R.; Koi, S.; Lee, J.H.; Nakamura, Y. Allelotype of human ovarian cancer. Cancer Res. 1991, 51, 5118–5122. [Google Scholar] [PubMed]
- Dodson, M.K.; Hartmann, L.C.; Cliby, W.A.; DeLacey, K.A.; Keeney, G.L.; Ritland, S.R.; Su, J.Q.; Podratz, K.C.; Jenkins, R.B. Comparison of loss of heterozygosity patterns in invasive low-grade and high-grade epithelial ovarian carcinomas. Cancer Res. 1993, 53, 4456–4460. [Google Scholar]
- Cliby, W.; Ritland, S.; Hartmann, L.; Dodson, M.; Halling, K.C.; Keeney, G.; Podratz, K.C.; Jenkins, R.B. Human epithelial ovarian cancer allelotype. Cancer Res. 1993, 53, 2393–2398. [Google Scholar]
- Jongsma, A.P.; Piek, J.M.; Zweemer, R.P.; Verheijen, R.H.; Klein Gebbinck, J.W.; van Kamp, G.J.; Jacobs, I.J.; Shaw, P.; van Diest, P.J.; Kenemans, P. Molecular evidence for putative tumour suppressor genes on chromosome 13q specific to BRCA1 related ovarian and fallopian tube cancer. Mol. Pathol. 2002, 55, 305–309. [Google Scholar] [CrossRef]
- Thierry, A.R.; Mouliere, F.; Gongora, C.; Ollier, J.; Robert, B.; Ychou, M.; Del Rio, M.; Molina, F. Origin and quantification of circulating DNA in mice with human colorectal cancer xenografts. Nucleic Acids Res. 2010, 38, 6159–6175. [Google Scholar] [CrossRef]
- Jung, K.; Fleischhacker, M.; Rabien, A. Cell-free DNA in the blood as a solid tumor biomarker—A critical appraisal of the literature. Clin. Chim. Acta 2010, 411, 1611–1624. [Google Scholar] [CrossRef]
- Fleischhacker, M.; Schmidt, B. Circulating nucleic acids (CNAs) and cancer—A survey. Biochim. Biophys Acta 2007, 1775, 181–232. [Google Scholar] [CrossRef]
- Knudson, A.G. Antioncogenes and human cancer. Proc. Natl. Acad. Sci. USA 1993, 90, 10914–10921. [Google Scholar] [CrossRef] [PubMed]



| Characteristics | Healthy Controls (n = 40) | BC Patients (n = 41) | p-Value 1 |
|---|---|---|---|
| Age (years) 2 | 49.1 ± 11.0 | 48.80 ± 8.28 | 0.61 |
| BMI (kg/m2) 2 | 27.6 ± 5.66 | 32.89 ± 7.96 | 0.01 |
| Obesity 3 | 21 (52.50) | 32 (78.05) | 0.015 |
| Use of oral contraceptives 3 | 23 (57.50) | 19 (46.34) | 0.91 |
| Breastfeeding 3 | 20 (50.00) | 9 (21.95) | 0.008 |
| Family history 3 | 41 (100.00) | 25 (59.51) | <0.0001 |
| Parameters | Number (% Total) | Cell Free DNA 1 | p-Value 2 |
|---|---|---|---|
| Status (Cases:Controls) | 41:40 | 58.3 (0.0–156.0):20.4 (4.0–48.5) | <0.0001 |
| Age (<50 year:≥50 year) | 25 (61):16 (36) | 58.7 (0.0–96.7):57.6 (13.3–156.0) | 0.73 |
| Nodal status (−ve:+ve) | 14 (34.1):26 (63.4) | 64.9 (36.9–156.0):50.7 (0.0–120.0) | 0.04 |
| Size (<2 cm:≥2 cm) | 6 (17.1):35 (85.4) | 11.50 (21.8–76.6):61.13 (0.0–156.0) | 0.09 |
| Stage (I:II:III:IV) | 6 (14.6):13 (31.7):16 (39.0):5 (12.2) | 54.5 (36.9–68.0):62.0 (13.3–156.0):44.2 (0.0–99.1):49.9 (33.8–120.0) | 0.48 |
| ER status (+ve:−ve) | 29 (68.3):11 (29.3) | 58.5 (0.0–156.0):62.0 (13.3–120.0) | 0.72 |
| HER2 (+ve:−ve) | 23 (56.1):15 (36.6) | 61.4 (0.0–156.0):58 (13.3–120.0) | 0.51 |
| PR status (+ve:−ve) | 26 (63.4):13 (31.7) | 58.3 (0.0–156.0):60.8 (13.3–120.0) | 0.88 |
| STR | Alleles | Controls | Cases | χ2 | p1 | OR (95% CI) |
|---|---|---|---|---|---|---|
| D13S317 | 8 | 0.113 | 0.110 | 0.00 | 1.000 | 0.97 (0.36, 2.58) |
| 9 | 0.063 | 0.049 | 0.15 | 0.699 | 0.77 (0.2, 2.98) | |
| 10 | 0.025 | 0.085 | 2.81 | 0.094 | 3.64 (0.73, 18.09) | |
| 11 | 0.263 | 0.280 | 0.07 | 0.791 | 1.1 (0.55, 2.2) | |
| 12 | 0.363 | 0.305 | 0.61 | 0.435 | 0.77 (0.40, 1.48) | |
| 13 | 0.150 | 0.098 | 1.03 | 0.310 | 0.61 (0.24, 1.58) | |
| 14 | 0.025 | 0.073 | 2.00 | 0.157 | 3.08 (0.6, 15.74) | |
| D7S820 | 7 | 0.000 | 0.012 | 1.01 | 0.315 | Undefined |
| 8 | 0.200 | 0.061 | 6.94 | 0.0084 | 0.26 (0.09, 0.75) | |
| 9 | 0.125 | 0.159 | 0.37 | 0.543 | 1.32 (0.54, 3.21) | |
| 10 | 0.350 | 0.427 | 1.01 | 0.315 | 1.38 (0.73, 2.60) | |
| 11 | 0.188 | 0.146 | 0.49 | 0.48 | 0.74 (0.32, 1.70) | |
| 12 | 0.125 | 0.171 | 0.67 | 0.41 | 1.44 (0.60, 3.46) | |
| 13 | 0.013 | 0.024 | 0.31 | 0.578 | 1.98 (0.18, 22.28) | |
| D2S1338 | 15 | 0.000 | 0.012 | 1.01 | 0.315 | Undefined |
| 16 | 0.075 | 0.085 | 0.06 | 0.806 | 1.15 (0.37, 3.58) | |
| 17 | 0.175 | 0.171 | 0.01 | 0.920 | 0.97 (0.43, 2.19) | |
| 18 | 0.050 | 0.061 | 0.09 | 0.764 | 1.23 (0.32, 4.76) | |
| 19 | 0.125 | 0.122 | 0.00 | 1.000 | 0.97 (0.38, 2.47) | |
| 20 | 0.238 | 0.280 | 0.39 | 0.532 | 1.25 (0.62, 2.53) | |
| 21 | 0.100 | 0.037 | 1.92 | 0.337 | 0.39 (0.10, 1.53) | |
| 22 | 0.038 | 0.037 | 0 | 1.000 | 1.06 (0.21, 5.43) | |
| 23 | 0.100 | 0.049 | 1.55 | 0.213 | 0.46 (0.13, 1.59) | |
| 24 | 0.025 | 0.098 | 3.68 | 0.04 | 4.22 (0.87, 20.53) | |
| 25 | 0.050 | 0.049 | 0 | 1 | 0.97 (0.23, 4.02) | |
| 26 | 0.025 | 0.000 | 2.08 | 0.149 | 0.00 (0.00, ∞) | |
| D21S11 | 27 | 0.000 | 0.012 | 1.01 | 0.315 | Undefined |
| 28 | 0.163 | 0.256 | 2.14 | 0.143 | 1.77 (0.82, 3.84) | |
| 28.2 | 0.075 | 0.159 | 2.73 | 0.098 | 2.32 (0.84, 6.44) | |
| 29 | 0.238 | 0.037 | 13.93 | 0.0002 | 0.12 (0.03, 0.42) | |
| 29.2 | 0.150 | 0.195 | 0.58 | 0.446 | 1.37 (0.60, 3.12) | |
| 30 | 0.075 | 0.098 | 0.06 | 0.806 | 1.15 (0.38, 3.49) | |
| 30.2 | 0.000 | 0.049 | 4 | 0.046 | Undefined | |
| 31 | 0.038 | 0.049 | 0.12 | 0.730 | 1.32 (0.29, 6.09) | |
| 31.2 | 0.100 | 0.024 | 4 | 0.040 | 0.23 (0.05, 1.12) | |
| 32 | 0.013 | 0.037 | 1.02 | 0.313 | 3.08 (0.31, 30.24) | |
| 32.2 | 0.125 | 0.024 | 5.98 | 0.014 | 0.18 (0.04, 0.85) | |
| 33 | 0.013 | 0.049 | 1.78 | 0.182 | 4.05 (0.44, 37.05) | |
| 33.2 | 0.013 | 0.000 | 1.03 | 0.310 | Undefined | |
| 34 | 0.000 | 0.012 | 1.01 | 0.315 | Undefined | |
| D16S539 | 8 | 0.075 | 0.061 | 0.13 | 0.718 | 0.8 (0.23, 2.73) |
| 9 | 0.138 | 0.110 | 0.23 | 0.632 | 0.8 (0.31, 2.05) | |
| 10 | 0.050 | 0.049 | 0 | 1 | 0.99 (0.23, 4.02) | |
| 11 | 0.425 | 0.415 | 0.07 | 0.791 | 0.92 (0.49, 1.72) | |
| 12 | 0.213 | 0.159 | 0.78 | 0.377 | 0.7 (0.31, 1.56) | |
| 13 | 0.088 | 0.183 | 2.1 | 0.147 | 2.01 (0.77, 5.25) | |
| 14 | 0.013 | 0.024 | 0.34 | 0.560 | 2.03 (0.18, 22.85) | |
| D18S51 | 11 | 0.038 | 0.000 | 3.13 | 0.077 | Undefined |
| 12 | 0.113 | 0.159 | 0.73 | 0.393 | 1.49 (0.6, 3.71) | |
| 13 | 0.175 | 0.122 | 2.39 | 0.122 | 0.51 (0.22, 1.19) | |
| 13.2 | 0.050 | 0.024 | 0.74 | 0.390 | 0.48 (0.09, 2.70) | |
| 14 | 0.100 | 0.134 | 0.46 | 0.498 | 1.39 (0.53, 3.66) | |
| 14.2 | 0.038 | 0.073 | 0.98 | 0.322 | 2.03 (0.49, 8.41) | |
| 15 | 0.050 | 0.061 | 0.09 | 0.764 | 1.23 (0.32, 4.76) | |
| 16 | 0.163 | 0.207 | 0.54 | 0.462 | 1.35 (0.61, 3.00) | |
| 17 | 0.100 | 0.061 | 0.84 | 0.360 | 0.58 (0.18, 1.86) | |
| 18 | 0.075 | 0.061 | 0.13 | 0.718 | 0.80 (0.23, 2.73) | |
| 19 | 0.063 | 0.061 | 0 | 1 | 0.97 (0.27, 3.49) | |
| 20 | 0.025 | 0.024 | 0 | 1 | 0.98 (0.13, 7.13) | |
| 21 | 0.013 | 0.000 | 1.03 | 0.310 | Undefined | |
| 23 | 0.000 | 0.012 | 1.01 | 0.315 | Undefined | |
| CSF1PO | 9 | 0.013 | 0.061 | 2.67 | 0.102 | 5.13 (0.59, 44.93) |
| 10 | 0.275 | 0.317 | 0.34 | 0.560 | 1.22 (0.62, 2.40) | |
| 11 | 0.425 | 0.244 | 5.98 | 0.0144 | 0.44 (0.22, 0.86) | |
| 12 | 0.263 | 0.305 | 0.36 | 0.549 | 1.23 (0.62, 2.44) | |
| 13 | 0.025 | 0.061 | 1.27 | 0.260 | 2.53 (0.48, 13.44) | |
| 0.000 | 0.012 | 1.01 | 0.315 | Undefined | ||
| FGA | 18 | 0.000 | 0.024 | 1.98 | 0.159 | Undefined |
| 19 | 0.050 | 0.049 | 0 | 1 | 0.97 (0.23, 4.02) | |
| 20 | 0.113 | 0.110 | 0 | 1 | 0.97 (0.36, 2.58) | |
| 21 | 0.113 | 0.073 | 0.75 | 0.386 | 0.62 (0.21, 1.83) | |
| 22 | 0.113 | 0.183 | 1.59 | 0.207 | 1.77 (0.73, 4.32) | |
| 23 | 0.200 | 0.207 | 0.01 | 0.920 | 1.05 (0.49, 2.26) | |
| 24 | 0.188 | 0.134 | 0.86 | 0.354 | 0.67 (0.29, 1.56) | |
| 25 | 0.150 | 0.146 | 0 | 1 | 0.97 (0.41, 2.31) | |
| 26 | 0.025 | 0.061 | 1.27 | 0.260 | 2.53 (0.48, 13.44) | |
| 27 | 0.025 | 0.000 | 2.08 | 0.150 | Undefined | |
| 28 | 0.013 | 0.012 | 0 | 1 | 0.98 (0.06, 15.94) | |
| 29 | 0.013 | 0.000 | 1.03 | 0.310 | Undefined |
| Patient | Age (Years) | Stage | DNA Samples | MSI Detected in | LOH Detected in | RT-(Cf-DNA) 1 |
|---|---|---|---|---|---|---|
| 2 | 40 | 4 | Plasma | FGA | 40 | |
| 4 | 43 | 3 | Plasma | D7S820, D16S539 | 41 | |
| 8 | 70 | 2 | Plasma | D13S317, D16S539 | 71.4 | |
| 9 | 42 | 2 | Plasma | D18S51 | 68.1 | |
| 10 | 44 | 2 | Plasma | CSF1P0 | 64.9 | |
| 11 | 45 | 4 | Plasma | D2S1338 | D13S317 | 120 |
| 13 | 62 | 1 | Plasma | CSF1P0 | 58.7 | |
| 15 | 85 | 3 | Blood-plasma | CSF1P0 | FGA | 99.1 |
| 16 | 31 | 4 | Plasma | D13S317, D7S820, D18S51 | FGA | 49.9 |
| 18 | 35 | 2 | Plasma | D2S1338 | 62 | |
| 20 | 57 | 2 | Blood-plasma | CSF1P0 | CSF1P0 | 156 |
| 30 | 42 | 3 | Plasma | FGA | 35.5 | |
| 36 | 33 | 2 | Plasma | D21S11 | 58 | |
| 38 | 47 | 2 | Plasma | D21S11 | 34 | |
| 39 | 49 | 1 | Plasma | D2S1338 | 44.9 |
Publisher’s Note: MDPI stays neutral with regard to jurisdictional claims in published maps and institutional affiliations. |
© 2022 by the authors. Licensee MDPI, Basel, Switzerland. This article is an open access article distributed under the terms and conditions of the Creative Commons Attribution (CC BY) license (https://creativecommons.org/licenses/by/4.0/).
Share and Cite
Al Sharhan, N.A.; Messaoudi, S.A.; Babu, S.R.; Chaudhary, A.B.; Alsharm, A.A.; Alrefaei, A.F.; Kadasah, S.; Abu-Elmagd, M.; Assidi, M.; Buhmeida, A.; et al. Utility of Circulating Cell-Free DNA in Assessing Microsatellite Instability and Loss of Heterozygosity in Breast Cancer Using Human Identification Approach. Genes 2022, 13, 590. https://doi.org/10.3390/genes13040590
Al Sharhan NA, Messaoudi SA, Babu SR, Chaudhary AB, Alsharm AA, Alrefaei AF, Kadasah S, Abu-Elmagd M, Assidi M, Buhmeida A, et al. Utility of Circulating Cell-Free DNA in Assessing Microsatellite Instability and Loss of Heterozygosity in Breast Cancer Using Human Identification Approach. Genes. 2022; 13(4):590. https://doi.org/10.3390/genes13040590
Chicago/Turabian StyleAl Sharhan, Norah A., Safia A. Messaoudi, Saranya R. Babu, AbdulRauf B. Chaudhary, Abdullah A. Alsharm, Abdulmajeed F. Alrefaei, Sultan Kadasah, Muhammad Abu-Elmagd, Mourad Assidi, Abdelbaset Buhmeida, and et al. 2022. "Utility of Circulating Cell-Free DNA in Assessing Microsatellite Instability and Loss of Heterozygosity in Breast Cancer Using Human Identification Approach" Genes 13, no. 4: 590. https://doi.org/10.3390/genes13040590
APA StyleAl Sharhan, N. A., Messaoudi, S. A., Babu, S. R., Chaudhary, A. B., Alsharm, A. A., Alrefaei, A. F., Kadasah, S., Abu-Elmagd, M., Assidi, M., Buhmeida, A., Carracedo, Á., & Almawi, W. Y. (2022). Utility of Circulating Cell-Free DNA in Assessing Microsatellite Instability and Loss of Heterozygosity in Breast Cancer Using Human Identification Approach. Genes, 13(4), 590. https://doi.org/10.3390/genes13040590

