Transcriptome Analysis Provides Insights into Copulation, Fertilization, and Gestation in Sebastes schlegelii
Abstract
1. Introduction
2. Materials and Methods
2.1. Sample
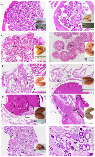
2.2. Histological Analysis
2.3. cDNA Library Construction and Transcriptome Analysis
2.4. RT-qPCR Validation
2.5. WGCNA
2.6. Statistical Analysis
3. Results
3.1. Stages of Ovarian Development
3.2. Sequence and Assembly Analysis
3.3. Differentially Expressed Gene Analysis
3.4. Gene Ontology and Kyoto Encyclopedia of Genes and Genomes Enrichment Analysis of Differentially Expressed Genes
3.5. Validation of DEGs with RT-qPCR
3.6. Weighted Gene Co-Expression Network Analysis
4. Discussion
Supplementary Materials
Author Contributions
Funding
Institutional Review Board Statement
Informed Consent Statement
Data Availability Statement
Conflicts of Interest
References
- Lubzebs, E.; Young, G.; Bobe, J.; Cerda, J. Oogenesis in teleosts: How fish eggs are formed. Gen. Comp. Endocrinol. 2020, 165, 367–389. [Google Scholar] [CrossRef] [PubMed]
- Breder, C.M., Jr.; Rosen, D.E. Modes of Reproduction in Fishes; Natural History Press: Garden City, NY, USA, 1966; p. 957. [Google Scholar]
- Qu, J.B.; Li, R.; Xie, Y.H.; Liu, Y.X.; Liu, J.X.; Zhang, Q.Z. Differential transcriptomic profiling provides new insights into oocyte development and lipid droplet formation in Japanese flounder (Paralichthys olivaceus). Aquaculture 2022, 550, 737843. [Google Scholar] [CrossRef]
- Meng, F.Y.; Sun, S.; Xu, X.; Yu, W.X.; Gan, R.P.; Zhang, L.H.; Zhang, W.M. Transcriptomic analysis provides insights into the growth and maturation of ovarian follicles in the ricefield eel (Monopterus albus). Aquaculture 2022, 555, 738251. [Google Scholar] [CrossRef]
- Tang, L.; Chen, J.; Ye, Z.; Zhao, M.; Meng, Z.; Lin, H.; Zhang, Y. Transcriptomic analysis revealed the regulatory mechanisms of oocyte maturation and hydration in orange-spotted grouper (Epinephelus coioides). Mar. Biotechnol. 2019, 21, 537–549. [Google Scholar] [CrossRef] [PubMed]
- He, S.; Du, H.; Ren, P.; Leng, X.Q.; Tan, Q.S.; Li, C.J.; Wei, Q.W. Transcriptome analysis of ovarian maturation in a chondrostei Chinese sturgeon Acipenser sinensis. J. Exp. Zool. B Mol. Dev. Evol. 2020, 334, 280–293. [Google Scholar] [CrossRef]
- Zhao, Z.H.; Meng, T.G.; Li, A.; Schatten, H.; Wang, Z.B.; Sun, Q.Y. RNA-Seq transcriptome reveals different molecular responses during human and mouse oocyte maturation and fertilization. BMC Genom. 2020, 21, 475. [Google Scholar] [CrossRef] [PubMed]
- Chan, M.E.; Bhamidipati, P.S.; Goldsby, H.J.; Hintze, A.; Hofmann, H.A.; Young, R.L. Comparative transcriptomics reveals distinct patterns of gene expression conservation through vertebrate embryogenesis. Genom. Biol. Evol. 2021, 13, evab160. [Google Scholar] [CrossRef]
- Wang, Y.; Wang, B.J.; Shao, X.Q.; Liu, M.; Jiang, K.Y.; Wang, M.Q.; Wang, L. A comparative transcriptomic analysis in late embryogenesis of the red claw crayfish Cherax quadricarinatus. Mol. Genet. Genom. 2020, 295, 299–311. [Google Scholar] [CrossRef] [PubMed]
- Li, J.S.; Lyu, L.K.; Wen, H.S.; Li, Y.; Wang, X.Y.; Zhang, Y.; Yao, Y.J.; Qi, X. Comparative transcriptomic analysis of gonadal development and renewal in the ovoviviparous black rockfish (Sebastes schlegelii). BMC Genom. 2021, 22, 874. [Google Scholar] [CrossRef]
- Liu, Q.H.; Wang, X.Y.; Xiao, Y.H.; Zhao, H.Y.; Xu, S.H.; Wang, Y.F.; Wu, L.L.; Zhou, L.; Du, T.F.; Lv, X.J.; et al. Sequencing of the black rockfish chromosomal genome provides insight into spermstorage in the female ovary. DNA Res. 2019, 26, 453–464. [Google Scholar] [CrossRef]
- He, Y.; Chang, Y.; Bao, L.S.; Yu, M.J.; Li, R.; Niu, J.J.; Fan, G.Y.; Song, W.H.; Seim, I.; Qin, Y.T.; et al. A chromosome-level genome of black rockfish, Sebastes schlegelii, provides insights into the evolution of live birth. Mol. Ecol. Resour. 2019, 19, 1309–1321. [Google Scholar] [CrossRef]
- Mori, H.; Nakagawa, M.; Soyano, K.; Koya, Y. Annual reproductive cycle of black rockfish Sebastes schlegeli in captivity. Fish. Sci. 2003, 69, 910–923. [Google Scholar] [CrossRef]
- Zhao, H.X.; Wang, X.Y.; Du, T.F.; Gao, G.; Wu, L.L.; Xu, S.H.; Xiao, Y.S.; Wang, Y.F.; Liu, Q.H.; Li, J. Sperm maturation, migration, and localization before and after copulation in black rockfish (Sebastes schlegelii). Theriogenology 2021, 166, 83–89. [Google Scholar] [CrossRef] [PubMed]
- Xu, X.J.; Wang, X.Y.; Liu, Q.H.; Qi, X.; Zhou, L.; Liu, Q.H.; Li, J. New insights on folliculogenesis and follicular placentation in marine viviparous fish black rockfish (Sebastes schlegelii). Gene 2022, 827, 146444. [Google Scholar] [CrossRef] [PubMed]
- Du, T.F.; Xiao, Y.S.; Zhao, H.X.; Zhou, L.; Liu, Q.H.; Wang, X.Y.; Li, J. Multiple Fetal Nutritional Patterns Before Parturition in Viviparous Fish Sebastes schlegelii (Hilgendorf, 1880). Front. Mar. Sci. 2021, 7, 571946. [Google Scholar]
- Langfelder, P.; Horvath, S. WGCNA: An R package for weighted correlation network analysis. BMC Bioinform. 2008, 9, 559. [Google Scholar] [CrossRef] [PubMed]
- Wang, X.J.; Wen, H.S.; Li, Y.; Lyu, L.K.; Song, M.; Zhang, Y.; Li, J.S.; Yao, Y.J.; Li, J.F.; Qi, X. Characterization of CYP11A1 and its potential role in sex asynchronous gonadal development of viviparous black rockfish Sebastes schlegelii (Sebastidae). Gen. Comp. Endocr. 2021, 302, 113689. [Google Scholar] [CrossRef]
- Lyu, L.K.; Wang, R.; Wen, H.S.; Li, Y.; Li, J.S.; Wang, X.J.; Yao, Y.J.; Li, J.F.; Qi, X. Cyclooxygenases of ovoviviparous black rockfish (Sebastes schlegelii): Cloning, tissue distribution and potential role in mating and parturition. Comp. Biochem. Phys. B 2022, 257, 110677. [Google Scholar] [CrossRef] [PubMed]
- Xue, R.; Wang, X.Y.; Xu, S.H.; Liu, Y.F.; Feng, C.C.; Zhao, C.Y.; Liu, Q.H.; Li, L. Expression profile and localization of vitellogenin mRNA and protein during ovarian development in turbot (Scophthalmus maximus). Comp. Biochem. Phys. B 2018, 226, 53–63. [Google Scholar] [CrossRef]
- Greeley, M.S.; Calder, D.R.; Wallace, R.A. Changes in teleost yolk protein during oocyte maturation: Correlation of yolk proteolysis with oocytes hydration. Comp. Biochem. Physiol. B 1986, 84, 1–9. [Google Scholar] [CrossRef]
- Hiramatsu, N.; Todo, T.; Sullivan, C.V.; Schilling, J.; Reading, B.J.; Matsubara, T.; Ryu, Y.W.; Mizuta, H.; Luo, W.S.; Nishimiya, O.; et al. Ovarian yolk formation in fishes: Molecular mechanisms underlying formation of lipid droplets and vitellogenin-derived yolk proteins. Gen. Comp. Endocrinol. 2015, 221, 9–15. [Google Scholar] [CrossRef] [PubMed]
- Chinthalapudi, K.; Rangarajan, E.S.; Izard, T. The interaction of talin with the cell membrane is essential for integrin activation and focal adhesion formation. Proc. Natl. Acad. Sci. USA 2018, 115, 10339–10344. [Google Scholar] [CrossRef]
- Wehrle-Haller, B. Structure and function of focal adhesions. Curr. Opin. Cell Biol. 2012, 24, 116–124. [Google Scholar] [CrossRef] [PubMed]
- Kuo, J.C. Focal adhesions function as a mechanosensor. Prog. Mol. Biol. Transl. 2014, 126, 55–73. [Google Scholar]
- Jahed, Z.; Shams, H.; Mehrbod, M.; Mofrad, M.R.K. Mechanotransduction Pathways Linking the Extracellular Matrix to the Nucleus. Int. Rev. Cell Mol. Biol. 2014, 310, 171–220. [Google Scholar]
- Kleppe, L.; Edvardsen, R.B.; Furmanek, T.; Taranger, G.L.; Wargelius, A. Global Transcriptome Analysis Identifies Regulated Transcripts and Pathways Activated During Oogenesis and Early Embryogenesis in Atlantic Cod. Mol. Reprod. Dev. 2014, 81, 619–635. [Google Scholar] [CrossRef] [PubMed]
- Zhao, L.; Pan, Y.Y.; Wang, M.; Wang, J.Q.; Wang, Y.Y.; Han, X.H.; Wang, J.L.; Zhang, T.X.; Zhao, T.; He, H.H.; et al. Integrated analysis of the expression profiles of the lncRNA-miRNA-mRNA ceRNA network in granulosa and cumulus cells from yak ovaries. BMC Genom. 2022, 23, 633. [Google Scholar] [CrossRef] [PubMed]
- Du, Y.; Liu, L.; Liu, Y.; Wang, K.; Shi, H.; He, Y.; Long, Y.; Sun, D.; Wu, H.; Zi, X.; et al. Ovary transcriptome profiling in high- and low-yielding Chinese Chahua laying chickens. Czech J. Anim. Sci. 2022, 67, 327–338. [Google Scholar] [CrossRef]
- Peng, L.; Wang, L.; Yang, Y.F.; Zou, M.M.; He, W.Y.; Wang, Y.; Wang, Q.; Vasseur, L.; You, M.S. Transcriptome profiling of the Plutella xylostella (Lepidoptera: Plutellidae) ovary reveals genes involved in oogenesis. Gene 2017, 637, 90–99. [Google Scholar] [CrossRef]
- McDonough-Goldstein, C.E.; Pitnick, S.; Dorus, S. Drosophila oocyte proteome composition covaries with female mating status. Sci. Rep. 2021, 11, 3142. [Google Scholar] [CrossRef] [PubMed]








Publisher’s Note: MDPI stays neutral with regard to jurisdictional claims in published maps and institutional affiliations. |
© 2022 by the authors. Licensee MDPI, Basel, Switzerland. This article is an open access article distributed under the terms and conditions of the Creative Commons Attribution (CC BY) license (https://creativecommons.org/licenses/by/4.0/).
Share and Cite
Wang, X.; Zhao, N.; Wang, T.; Du, S.; Liu, Q.; Li, J. Transcriptome Analysis Provides Insights into Copulation, Fertilization, and Gestation in Sebastes schlegelii. Genes 2022, 13, 1812. https://doi.org/10.3390/genes13101812
Wang X, Zhao N, Wang T, Du S, Liu Q, Li J. Transcriptome Analysis Provides Insights into Copulation, Fertilization, and Gestation in Sebastes schlegelii. Genes. 2022; 13(10):1812. https://doi.org/10.3390/genes13101812
Chicago/Turabian StyleWang, Xueying, Ning Zhao, Tao Wang, Shuran Du, Qinghua Liu, and Jun Li. 2022. "Transcriptome Analysis Provides Insights into Copulation, Fertilization, and Gestation in Sebastes schlegelii" Genes 13, no. 10: 1812. https://doi.org/10.3390/genes13101812
APA StyleWang, X., Zhao, N., Wang, T., Du, S., Liu, Q., & Li, J. (2022). Transcriptome Analysis Provides Insights into Copulation, Fertilization, and Gestation in Sebastes schlegelii. Genes, 13(10), 1812. https://doi.org/10.3390/genes13101812

