A Treatment Combination of IGF and EGF Promotes Hair Growth in the Angora Rabbit
Abstract
1. Introduction
2. Materials and Methods
2.1. Animals
2.2. Hair Follicle Organ Culture
2.3. Hair Growth Model for Angora Rabbits
2.4. Immunofluorescence Staining
2.5. Quantitative Real-Time Polymerase Chain Reaction
2.6. Statistical Analysis
3. Results
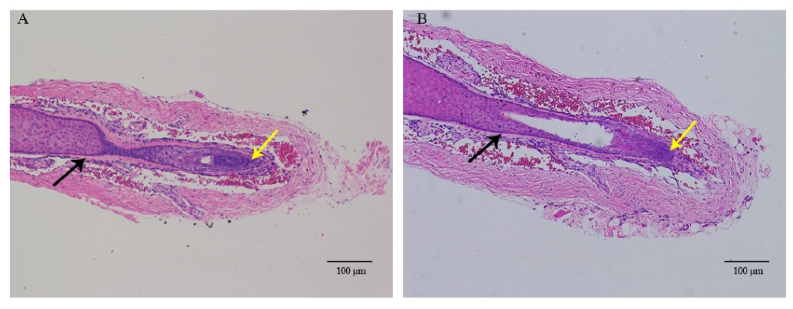
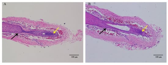
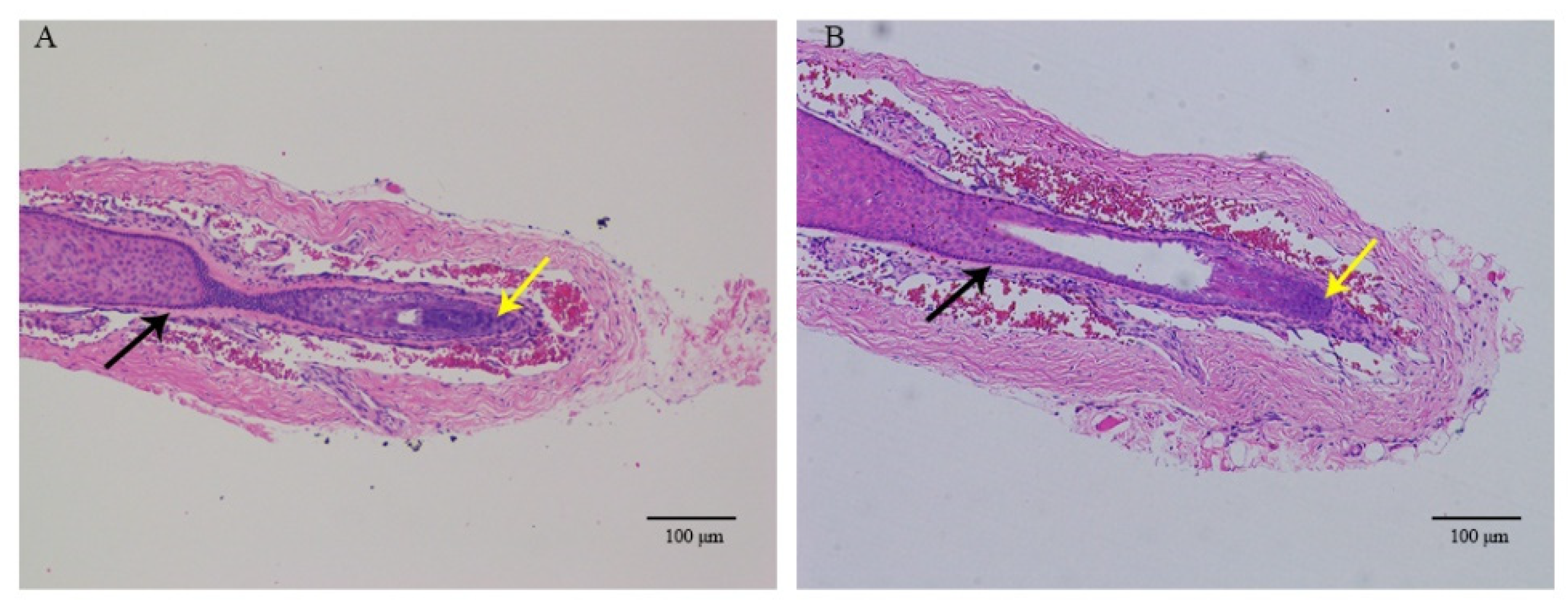
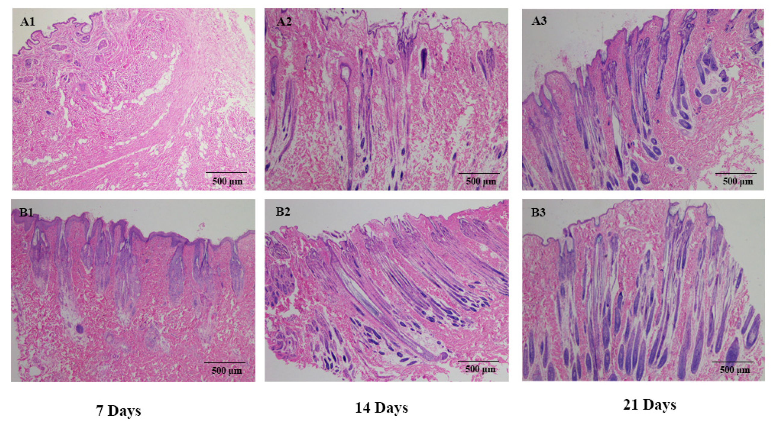
3.1. The Treatment Combination of IGF-1 and EGF Promotes Hair Growth
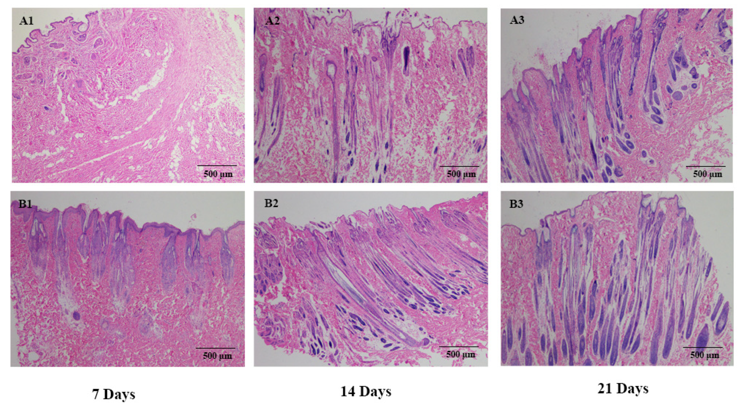
3.2. IGF-1 and EGF Promoted Hair Growth in the Angora Rabbit
3.3. IGF-1 and EGF Regulate Hair Follicle Development Related Genes in the Angora Rabbit
4. Discussion
Author Contributions
Funding
Institutional Review Board Statement
Informed Consent Statement
Data Availability Statement
Conflicts of Interest
References
- Hardy, M.H. The secret life of the hair follicle. Trends in Genetics 1992, 8, 55–61. [Google Scholar] [CrossRef]
- Alonso, L.; Fuchs, E. The hair cycle. J. Cell Sci. 2006, 119, 391–393. [Google Scholar] [CrossRef] [PubMed]
- Morris, R.J.; Liu, Y.; Marles, L.; Yang, Z.; Trempus, C.; Li, S.; Lin, J.S.; Sawicki, J.A.; Cotsarelis, G. Capturing and profiling adult hair follicle stem cells. Nat. Biotechnol. 2004, 22, 411–417. [Google Scholar] [CrossRef] [PubMed]
- Kwack, M.H.; Yang, J.M.; Won, G.H.; Kim, M.K.; Kim, J.C.; Sung, Y.K. Establishment and characterization of five immortalized human scalp dermal papilla cell lines. Biochem. Biophys. Res. Commun. 2018, 496, 346–351. [Google Scholar] [CrossRef] [PubMed]
- Kondo, S.; Hozumi, Y.; Aso, K. Organ culture of human scalp hair follicles: Effect of testosterone and oestrogen on hair growth. Arch. Dermatol. Res. 1990, 282, 442–445. [Google Scholar] [CrossRef]
- Orasan, M.S.; Roman, I.I.; Coneac, A.; Muresan, A.; Orasan, R.I. Hair loss and regeneration performed on animal models. Clujul. Med. 2016, 89, 327–334. [Google Scholar] [CrossRef]
- Lindner, G.; Menrad, A.; Gherardi, E.; Merlino, G.; Welker, P.; Handjiski, B.; Roloff, B.; Paus, R. Involvement of hepatocyte growth factor/scatter factor and met receptor signaling in hair follicle morphogenesis and cycling. FASEB J. 2000, 14, 319–332. [Google Scholar] [CrossRef]
- Guo, L.; Degenstein, L.; Fuchs, E. Keratinocyte growth factor is required for hair development but not for wound healing. Genes Dev. 1996, 10, 165–175. [Google Scholar] [CrossRef]
- Weger, N.; Schlake, T. Igf-i signalling controls the hair growth cycle and the differentiation of hair shafts. J. Investig. Dermatol. 2005, 125, 873–882. [Google Scholar] [CrossRef]
- Mak, K.K.; Chan, S.Y. Epidermal growth factor as a biologic switch in hair growth cycle. J. Biol. Chem. 2003, 278, 26120–26126. [Google Scholar] [CrossRef]
- Pollak, M. Insulin and insulin-like growth factor signalling in neoplasia. Nat. Rev. Cancer 2008, 8, 915–928. [Google Scholar] [CrossRef] [PubMed]
- Key, T.J.; Appleby, P.N.; Reeves, G.K.; Roddam, A.W. Insulin-like growth factor 1 (igf1), igf binding protein 3 (igfbp3), and breast cancer risk: Pooled individual data analysis of 17 prospective studies. Lancet Oncol. 2010, 11, 530–542. [Google Scholar] [PubMed]
- Li, J.; Yang, Z.; Li, Z.; Gu, L.; Wang, Y.; Sung, C. Exogenous igf-1 promotes hair growth by stimulating cell proliferation and down regulating tgf-β1 in c57bl/6 mice in vivo. Growth Horm. IGF Res. 2014, 24, 89–94. [Google Scholar] [CrossRef] [PubMed]
- Tang, L.; Bernardo, O.; Bolduc, C.; Lui, H.; Madani, S.; Shapiro, J. The expression of insulin-like growth factor 1 in follicular dermal papillae correlates with therapeutic efficacy of finasteride in androgenetic alopecia. J. Am. Acad. Dermatol. 2003, 49, 229–233. [Google Scholar] [CrossRef]
- Rudman, S.M.; Philpott, M.P.; Thomas, G.A.; Kealey, T. The role of igf-i in human skin and its appendages: Morphogen as well as mitogen? J. Investig. Dermatol. 1997, 109, 770–777. [Google Scholar] [CrossRef] [PubMed]
- Bai, T.; Liu, F.; Zou, F.; Zhao, G.; Jiang, Y.; Liu, L.; Shi, J.; Hao, D.; Zhang, Q.; Zheng, T.; et al. Epidermal growth factor induces proliferation of hair follicle-derived mesenchymal stem cells through epidermal growth factor receptor-mediated activation of erk and akt signaling pathways associated with upregulation of cyclin d1 and downregulation of p16. Stem. Cells Dev. 2017, 26, 113–122. [Google Scholar] [CrossRef]
- Philpott, M.P.; Kealey, T. Effects of egf on the morphology and patterns of DNA synthesis in isolated human hair follicles. J. Invest. Dermatol. 1994, 102, 186–191. [Google Scholar] [CrossRef]
- Moore, G.; Thébault, R.-G.; Rougeot, J.; Van Dooren, P.; Bonnet, M. Epidermal growth factor (egf) facilitates depilation of the angora rabbit. Ann. Zootech. 1987, 36, 433–438. [Google Scholar] [CrossRef]
- Young, R.D.; Oliver, R.F. Morphological changes associated with the growth cycle of vibrissal follicles in the rat. J. Embryol. Exp Morphol. 1976, 36, 597–607. [Google Scholar]
- Oshima, H.; Rochat, A.; Kedzia, C.; Kobayashi, K.; Barrandon, Y. Morphogenesis and renewal of hair follicles from adult multipotent stem cells. Cell 2001, 104, 233–245. [Google Scholar] [CrossRef]
- Strzalka, W.; Ziemienowicz, A. Proliferating cell nuclear antigen (pcna): A key factor in DNA replication and cell cycle regulation. Ann. Bot. 2011, 107, 1127–1140. [Google Scholar] [CrossRef] [PubMed]
- Schmittgen, T.D.; Livak, K.J. Analyzing real-time pcr data by the comparative c t method. Nat. Protoc. 2008, 3, 1101. [Google Scholar] [CrossRef] [PubMed]
- Itami, S.; Kurata, S.; Takayasu, S. Androgen induction of follicular epithelial cell growth is mediated via insulin-like growth factor-i from dermal papilla cells. Biochem. Biophys. Res. Commun. 1995, 212, 988–994. [Google Scholar] [CrossRef] [PubMed]
- Philpott, M.P.; Sanders, D.A.; Kealey, T. Effects of insulin and insulin-like growth factors on cultured human hair follicles: Igf-i at physiologic concentrations is an important regulator of hair follicle growth in vitro. J. Invest. Dermatol. 1994, 102, 857–861. [Google Scholar] [CrossRef]
- Liu, J.P.; Baker, J.; Perkins, A.S.; Robertson, E.J.; Efstratiadis, A. Mice carrying null mutations of the genes encoding insulin-like growth factor i (igf-1) and type 1 igf receptor (igf1r). Cell 1993, 75, 59–72. [Google Scholar] [CrossRef]
- Lacouture, M.E. Mechanisms of cutaneous toxicities to egfr inhibitors. Nat. Rev. Cancer 2006, 6, 803–812. [Google Scholar] [CrossRef]
- Andl, T.; Reddy, S.T.; Gaddapara, T.; Millar, S.E. Wnt signals are required for the initiation of hair follicle development. Dev. Cell 2002, 2, 643–653. [Google Scholar] [CrossRef]
- Bayle, J.; Fitch, J.; Jacobsen, K.; Kumar, R.; Lafyatis, R.; Lemaire, R. Increased expression of wnt2 and sfrp4 in tsk mouse skin: Role of wnt signaling in altered dermal fibrillin deposition and systemic sclerosis. J. Investig. Dermatol. 2008, 128, 871–881. [Google Scholar] [CrossRef]
- Nie, Y.; Li, S.; Zheng, X.; Chen, W.; Li, X.; Liu, Z.; Hu, Y.; Qiao, H.; Qi, Q.; Pei, Q. Transcriptome reveals long non-coding rnas and mrnas involved in primary wool follicle induction in carpet sheep fetal skin. Front. Physiol. 2018, 9, 446. [Google Scholar] [CrossRef]
- Zhou, P.; Byrne, C.; Jacobs, J.; Fuchs, E. Lymphoid enhancer factor 1 directs hair follicle patterning and epithelial cell fate. Genes Dev. 1995, 9, 700–713. [Google Scholar] [CrossRef]
- Gat, U.; DasGupta, R.; Degenstein, L.; Fuchs, E. De novo hair follicle morphogenesis and hair tumors in mice expressing a truncated β-catenin in skin. Cell 1998, 95, 605–614. [Google Scholar] [CrossRef]
- Cai, C.; Zhao, G.; Tian, L.; Liu, L.; Yan, K.; Ma, Y.; Ji, Z.; Li, X.; Han, K.; Gao, J. Mir-15a and mir-16-1 downregulate ccnd1 and induce apoptosis and cell cycle arrest in osteosarcoma. Oncol. Rep. 2012, 28, 1764–1770. [Google Scholar] [CrossRef] [PubMed]
- Xu, X.; Lyle, S.; Liu, Y.; Solky, B.; Cotsarelis, G. Differential expression of cyclin d1 in the human hair follicle. Am. J. Pathol. 2003, 163, 969–978. [Google Scholar] [CrossRef]







| Gene | Sequence (5′-3′) |
|---|---|
| LEF1 | Forward primer: CATCTCGGGTGGATTCAGG |
| Reverse primer: ATGAGGGATGCCAGTTGTG | |
| WNT2 | Forward primer: AGCCATCCAGGTCGTCATGAACCAG |
| Reverse primer: TGCACACACGACCTGCTGTACCC | |
| FGF2 | Forward primer: GTGTGTGCAAACCGTTACCTT |
| Reverse primer: TCGTTTCAGTGCCACATACCAG | |
| CCND1 | Forward primer: GAACGCTACCTTCCCCAGTGCTC |
| Reverse primer: CCTCACAGACCTCCAGCATCCAG | |
| GAPDH | Forward primer: CACCAGGGCTGCTTTTAACTCT |
| Reverse primer: CTTCCCGTTCTCAGCCTTGACC | |
| IGF-1 | Forward primer: TTCAGAAGCAATGGGAAAAAT |
| Reverse primer: TAGAAGAGATGCGAGGAGGAC | |
| EGF | Forward primer: GCACAACACAGATGGAAGCAG |
| Reverse primer: AGATACGGTCACCAAAAAGGG |
Publisher’s Note: MDPI stays neutral with regard to jurisdictional claims in published maps and institutional affiliations. |
© 2020 by the authors. Licensee MDPI, Basel, Switzerland. This article is an open access article distributed under the terms and conditions of the Creative Commons Attribution (CC BY) license (http://creativecommons.org/licenses/by/4.0/).
Share and Cite
Zhao, B.; Li, J.; Chen, Q.; Yang, N.; Bao, Z.; Hu, S.; Chen, Y.; Wu, X. A Treatment Combination of IGF and EGF Promotes Hair Growth in the Angora Rabbit. Genes 2021, 12, 24. https://doi.org/10.3390/genes12010024
Zhao B, Li J, Chen Q, Yang N, Bao Z, Hu S, Chen Y, Wu X. A Treatment Combination of IGF and EGF Promotes Hair Growth in the Angora Rabbit. Genes. 2021; 12(1):24. https://doi.org/10.3390/genes12010024
Chicago/Turabian StyleZhao, Bohao, Jiali Li, Qiuran Chen, Naisu Yang, Zhiyuan Bao, Shuaishuai Hu, Yang Chen, and Xinsheng Wu. 2021. "A Treatment Combination of IGF and EGF Promotes Hair Growth in the Angora Rabbit" Genes 12, no. 1: 24. https://doi.org/10.3390/genes12010024
APA StyleZhao, B., Li, J., Chen, Q., Yang, N., Bao, Z., Hu, S., Chen, Y., & Wu, X. (2021). A Treatment Combination of IGF and EGF Promotes Hair Growth in the Angora Rabbit. Genes, 12(1), 24. https://doi.org/10.3390/genes12010024

