Dual Independent Roles of the p24 Complex in Selectivity of Secretory Cargo Export from the Endoplasmic Reticulum
Abstract
1. Introduction
2. Materials and Methods
2.1. Media and Growth Conditions
2.2. Yeast Strains and Plasmids
2.3. Proteomic Identification of Binding Partners for Emp24-TAP
2.4. Native Co-Immunoprecipitation
2.5. Separation of High-Molecular-Weight Protein Complexes by Density Gradient Centrifugation
2.6. Fluorescence Live Cell Microscopy
2.7. Staining of Bud Scars with Calcofluor White
2.8. Statistical Analysis
3. Results
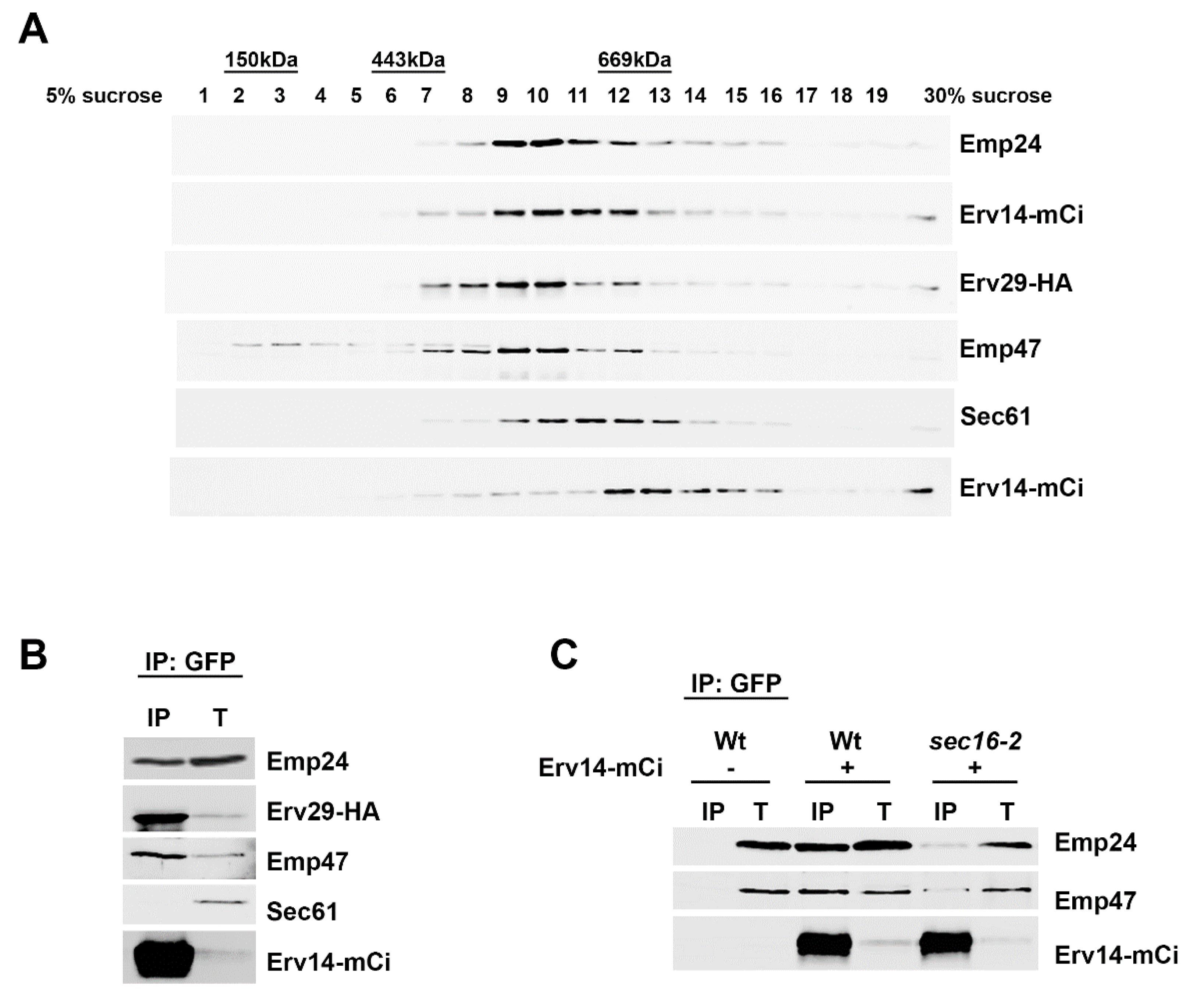
3.1. The p24 Complex Associates with Other ER Cargo Receptors into High Molecular Complexes in a COPII-Dependent Manner
3.2. The p24 Complex Prevents the Non-Selective ER Exit of Secretory Cargos in the Absence of Their Specific Receptors
3.3. Secretory Cargo ER Retention by the p24 Complex Involves Neither the UPR nor the Retrograde Transport from the ER
4. Discussion
Supplementary Materials
Author Contributions
Funding
Acknowledgments
Conflicts of Interest
Abbreviations
| ER | endoplasmic reticulum |
| GPI-AP | Glycosylphosphatidylinositol-anchored protein |
| GFP | green fluorescent protein |
| mCi | m-citrine |
| UPR | unfolded protein response |
References
- Gomez-Navarro, N.; Miller, E. Protein sorting at the ER-Golgi interface. J. Cell Biol. 2016, 215, 769–778. [Google Scholar] [CrossRef] [PubMed]
- Dancourt, J.; Barlowe, C. Protein sorting receptors in the early secretory pathway. Annu. Rev. Biochem. 2010, 79, 777–802. [Google Scholar] [CrossRef] [PubMed]
- D’Arcangelo, J.G.; Stahmer, K.R.; Miller, E.A. Vesicle-mediated export from the ER: COPII coat function and regulation. Biochim. Biophys. Acta 2013, 1833, 2464–2472. [Google Scholar] [CrossRef]
- Geva, Y.; Schuldiner, M. The back and forth of cargo exit from the endoplasmic reticulum. Curr. Biol. 2014, 24, R130–R136. [Google Scholar] [CrossRef]
- Barlowe, C.; Helenius, A. Cargo Capture and Bulk Flow in the Early Secretory Pathway. Annu. Rev. Cell Dev. Biol. 2016, 32, 197–222. [Google Scholar] [CrossRef]
- Marzioch, M.; Henthorn, D.C.; Herrmann, J.M.; Wilson, R.; Thomas, D.Y.; Bergeron, J.J.; Solari, R.C.; Rowley, A. Erp1p and Erp2p, partners for Emp24p and Erv25p in a yeast p24 complex. Mol. Biol. Cell 1999, 10, 1923–1938. [Google Scholar] [CrossRef]
- Hirata, R.; Nihei, C.; Nakano, A. Isoform-selective oligomer formation of Saccharomyces cerevisiae p24 family proteins. J. Biol. Chem. 2013, 288, 37057–37070. [Google Scholar] [CrossRef]
- Nagae, M.; Hirata, T.; Morita-Matsumoto, K.; Theiler, R.; Fujita, M.; Kinoshita, T.; Yamaguchi, Y. 3D Structure and Interaction of p24β and p24δ Golgi Dynamics Domains: Implication for p24 Complex Formation and Cargo Transport. J. Mol. Biol. 2016, 428, 4087–4099. [Google Scholar] [CrossRef] [PubMed]
- Rojo, M.; Pepperkok, R.; Emery, G.; Kellner, R.; Stang, E.; Parton, R.G.; Gruenberg, J. Involvement of the transmembrane protein p23 in biosynthetic protein transport. J. Cell Biol. 1997, 139, 1119–1135. [Google Scholar] [CrossRef]
- Strating, J.R.; Martens, G.J. The p24 family and selective transport processes at the ER-Golgi interface. Biol. Cell 2009, 101, 495–509. [Google Scholar] [CrossRef] [PubMed]
- Belden, W.J.; Barlowe, C. Distinct roles for the cytoplasmic tail sequences of Emp24p and Erv25p in transport between the endoplasmic reticulum and Golgi complex. J. Biol. Chem. 2001, 276, 43040–43048. [Google Scholar] [CrossRef] [PubMed]
- Aguilera-Romero, A.; Kaminska, J.; Spang, A.; Riezman, H.; Muñiz, M. The yeast p24 complex is required for the formation of COPI retrograde transport vesicles from the Golgi apparatus. J. Cell Biol. 2008, 180, 713–720. [Google Scholar] [CrossRef] [PubMed]
- Bremser, M.; Nickel, W.; Schweikert, M.; Ravazzola, M.; Amherdt, M.; Hughes, C.A.; Söllner, T.H.; Rothman, J.E.; Wieland, F.T. Coupling of coat assembly and vesicle budding to packaging of putative cargo receptors. Cell 1999, 96, 495–506. [Google Scholar] [CrossRef]
- Castillon, G.A.; Aguilera-Romero, A.; Manzano-Lopez, J.; Epstein, S.; Kajiwara, K.; Funato, K.; Watanabe, R.; Riezman, H.; Muñiz, M. The yeast p24 complex regulates GPI-anchored protein transport and quality control by monitoring anchor remodeling. Mol. Biol. Cell 2011, 22, 2924–2936. [Google Scholar] [CrossRef] [PubMed]
- Manzano-Lopez, J.; Perez-Linero, A.M.; Aguilera-Romero, A.; Martin, M.E.; Okano, T.; Silva, D.V.; Seeberger, P.H.; Riezman, H.; Funato, K.; Goder, V.; et al. COPII coat composition is actively regulated by luminal cargo maturation. Curr. Biol. 2015, 25, 152–162. [Google Scholar] [CrossRef] [PubMed]
- Muñiz, M.; Nuoffer, C.; Hauri, H.P.; Riezman, H. The Emp24 complex recruits a specific cargo molecule into endoplasmic reticulum-derived vesicles. J. Cell Biol. 2000, 148, 925–930. [Google Scholar] [CrossRef]
- Fujita, M.; Watanabe, R.; Jaensch, N.; Romanova-Michaelides, M.; Satoh, T.; Kato, M.; Riezman, H.; Yamaguchi, Y.; Maeda, Y.; Kinoshita, T. Sorting of GPI-anchored proteins into ER exit sites by p24 proteins is dependent on remodeled GPI. J. Cell Biol. 2011, 194, 61–75. [Google Scholar] [CrossRef]
- Bonnon, C.; Wendeler, M.W.; Paccaud, J.P.; Hauri, H.P. Selective export of human GPI-anchored proteins from the endoplasmic reticulum. J. Cell Sci. 2010, 123, 1705–1715. [Google Scholar] [CrossRef]
- Goder, V.; Melero, A. Protein O-mannosyltransferases participate in ER protein quality control. J. Cell Sci. 2011, 124, 144–153. [Google Scholar] [CrossRef]
- Sikorska, N.; Lemus, L.; Aguilera-Romero, A.; Manzano-Lopez, J.; Riezman, H.; Muñiz, M.; Goder, V. Limited ER quality control for GPI-anchored proteins. J. Cell Biol. 2016, 213, 693–704. [Google Scholar] [CrossRef]
- Satpute-Krishnan, P.; Ajinkya, M.; Bhat, S.; Itakura, E.; Hegde, R.S.; Lippincott-Schwartz, J. ER stress-induced clearance of misfolded GPI-anchored proteins via the secretory pathway. Cell 2014, 158, 522–533. [Google Scholar] [CrossRef] [PubMed]
- Ma, W.; Goldberg, E.; Goldberg, J. ER retention is imposed by COPII protein sorting and attenuated by 4-phenylbutyrate. Elife 2017, 6. [Google Scholar] [CrossRef] [PubMed]
- Elrod-Erickson, M.J.; Kaiser, C.A. Genes that control the fidelity of endoplasmic reticulum to Golgi transport identified as suppressors of vesicle budding mutations. Mol. Biol. Cell 1996, 7, 1043–1058. [Google Scholar] [CrossRef] [PubMed]
- Muñiz, M.; Zurzolo, C. Sorting of GPI-anchored proteins from yeast to mammals--common pathways at different sites? J. Cell Sci. 2014, 127, 2793–2801. [Google Scholar] [CrossRef] [PubMed]
- Muñiz, M.; Riezman, H. Trafficking of glycosylphosphatidylinositol anchored proteins from the endoplasmic reticulum to the cell surface. J. Lipid Res. 2016, 57, 352–360. [Google Scholar] [CrossRef] [PubMed]
- Mayor, S.; Riezman, H. Sorting GPI-anchored proteins. Nat. Rev. Mol. Cell Biol. 2004, 5, 110–120. [Google Scholar] [CrossRef]
- Muñiz, M.; Morsomme, P.; Riezman, H. Protein sorting upon exit from the endoplasmic reticulum. Cell 2001, 104, 313–320. [Google Scholar] [CrossRef]
- Castillon, G.A.; Watanabe, R.; Taylor, M.; Schwabe, T.M.; Riezman, H. Concentration of GPI-anchored proteins upon ER exit in yeast. Traffic 2009, 10, 186–200. [Google Scholar] [CrossRef]
- Ballif, B.A.; Roux, P.P.; Gerber, S.A.; MacKeigan, J.P.; Blenis, J.; Gygi, S.P. Quantitative phosphorylation profiling of the ERK/p90 ribosomal S6 kinase-signaling cassette and its targets, the tuberous sclerosis tumor suppressors. Proc. Natl. Acad. Sci. USA 2005, 102, 667–672. [Google Scholar] [CrossRef]
- Dieguez-Acuna, F.J.; Gerber, S.A.; Kodama, S.; Elias, J.E.; Beausoleil, S.A.; Faustman, D.; Gygi, S.P. Characterization of mouse spleen cells by subtractive proteomics. Mol. Cell Proteom. 2005, 4, 1459–1470. [Google Scholar] [CrossRef]
- Consortium, U. UniProt: A worldwide hub of protein knowledge. Nucleic Acids Res. 2019, 47, D506–D515. [Google Scholar] [CrossRef] [PubMed]
- Rolli, E.; Ragni, E.; Calderon, J.; Porello, S.; Fascio, U.; Popolo, L. Immobilization of the glycosylphosphatidylinositol-anchored Gas1 protein into the chitin ring and septum is required for proper morphogenesis in yeast. Mol. Biol. Cell 2009, 20, 4856–4870. [Google Scholar] [CrossRef] [PubMed]
- Belden, W.J.; Barlowe, C. Erv25p, a component of COPII-coated vesicles, forms a complex with Emp24p that is required for efficient endoplasmic reticulum to Golgi transport. J. Biol. Chem. 1996, 271, 26939–26946. [Google Scholar] [CrossRef] [PubMed]
- Herzig, Y.; Sharpe, H.J.; Elbaz, Y.; Munro, S.; Schuldiner, M. A systematic approach to pair secretory cargo receptors with their cargo suggests a mechanism for cargo selection by Erv14. PLoS Biol. 2012, 10, e1001329. [Google Scholar] [CrossRef] [PubMed]
- Bue, C.A.; Barlowe, C. Molecular dissection of Erv26p identifies separable cargo binding and coat protein sorting activities. J. Biol. Chem. 2009, 284, 24049–24060. [Google Scholar] [CrossRef] [PubMed]
- Margulis, N.G.; Wilson, J.D.; Bentivoglio, C.M.; Dhungel, N.; Gitler, A.D.; Barlowe, C. Analysis of COPII Vesicles Indicates a Role for the Emp47-Ssp120 Complex in Transport of Cell Surface Glycoproteins. Traffic 2016, 17, 191–210. [Google Scholar] [CrossRef]
- Tanabe, Y.; Arai, S.; Wada, I.; Adachi, H.; Kamakura, T.; Yoda, K.; Noda, Y. Svp26 facilitates ER exit of mannosyltransferases Mnt2 and Mnt3 in Saccharomyces cerevisiae. J. Gen. Appl. Microbiol. 2019, 65, 180–187. [Google Scholar] [CrossRef]
- Shibuya, A.; Margulis, N.; Christiano, R.; Walther, T.C.; Barlowe, C. The Erv41-Erv46 complex serves as a retrograde receptor to retrieve escaped ER proteins. J. Cell Biol. 2015, 208, 197–209. [Google Scholar] [CrossRef]
- Noda, Y.; Hara, T.; Ishii, M.; Yoda, K. Distinct adaptor proteins assist exit of Kre2-family proteins from the yeast ER. Biol. Open 2014, 3, 209–224. [Google Scholar] [CrossRef]
- Suda, Y.; Kurokawa, K.; Nakano, A. Regulation of ER-Golgi Transport Dynamics by GTPases in Budding Yeast. Front. Cell Dev. Biol. 2017, 5, 122. [Google Scholar] [CrossRef]
- Shindiapina, P.; Barlowe, C. Requirements for transitional endoplasmic reticulum site structure and function in Saccharomyces cerevisiae. Mol. Biol. Cell 2010, 21, 1530–1545. [Google Scholar] [CrossRef] [PubMed]
- Kung, L.F.; Pagant, S.; Futai, E.; D’Arcangelo, J.G.; Buchanan, R.; Dittmar, J.C.; Reid, R.J.; Rothstein, R.; Hamamoto, S.; Snapp, E.L.; et al. Sec24p and Sec16p cooperate to regulate the GTP cycle of the COPII coat. EMBO J. 2012, 31, 1014–1027. [Google Scholar] [CrossRef] [PubMed]
- Yorimitsu, T.; Sato, K. Insights into structural and regulatory roles of Sec16 in COPII vesicle formation at ER exit sites. Mol. Biol. Cell 2012, 23, 2930–2942. [Google Scholar] [CrossRef] [PubMed]
- Ishii, M.; Suda, Y.; Kurokawa, K.; Nakano, A. COPI is essential for Golgi cisternal maturation and dynamics. J. Cell Sci. 2016, 129, 3251–3261. [Google Scholar] [CrossRef] [PubMed]
- Roemer, T.; Madden, K.; Chang, J.; Snyder, M. Selection of axial growth sites in yeast requires Axl2p, a novel plasma membrane glycoprotein. Genes Dev. 1996, 10, 777–793. [Google Scholar] [CrossRef]
- Powers, J.; Barlowe, C. Transport of axl2p depends on erv14p, an ER-vesicle protein related to the Drosophila cornichon gene product. J. Cell Biol. 1998, 142, 1209–1222. [Google Scholar] [CrossRef]
- Belden, W.J.; Barlowe, C. Deletion of yeast p24 genes activates the unfolded protein response. Mol. Biol. Cell 2001, 12, 957–969. [Google Scholar] [CrossRef]
- Ng, D.T.; Spear, E.D.; Walter, P. The unfolded protein response regulates multiple aspects of secretory and membrane protein biogenesis and endoplasmic reticulum quality control. J. Cell Biol. 2000, 150, 77–88. [Google Scholar] [CrossRef]
- Gomez-Navarro, N.; Melero, A.; Li, X.H.; Boulanger, J.; Kukulski, W.; Miller, E.A. Cargo crowding contributes to sorting stringency in COPII vesicles. J. Cell Biol. 2020, 219. [Google Scholar] [CrossRef]
- Letourneur, F.; Gaynor, E.C.; Hennecke, S.; Démollière, C.; Duden, R.; Emr, S.D.; Riezman, H.; Cosson, P. Coatomer is essential for retrieval of dilysine-tagged proteins to the endoplasmic reticulum. Cell 1994, 79, 1199–1207. [Google Scholar] [CrossRef]
- Mitrovic, S.; Ben-Tekaya, H.; Koegler, E.; Gruenberg, J.; Hauri, H.P. The cargo receptors Surf4, endoplasmic reticulum-Golgi intermediate compartment (ERGIC)-53, and p25 are required to maintain the architecture of ERGIC and Golgi. Mol. Biol. Cell 2008, 19, 1976–1990. [Google Scholar] [CrossRef] [PubMed]
- Miller, E.A.; Beilharz, T.H.; Malkus, P.N.; Lee, M.C.; Hamamoto, S.; Orci, L.; Schekman, R. Multiple cargo binding sites on the COPII subunit Sec24p ensure capture of diverse membrane proteins into transport vesicles. Cell 2003, 114, 497–509. [Google Scholar] [CrossRef]
- Bharucha, N.; Liu, Y.; Papanikou, E.; McMahon, C.; Esaki, M.; Jeffrey, P.D.; Hughson, F.M.; Glick, B.S. Sec16 influences transitional ER sites by regulating rather than organizing COPII. Mol. Biol. Cell 2013, 24, 3406–3419. [Google Scholar] [CrossRef]
- Sato, K.; Nakano, A. Oligomerization of a cargo receptor directs protein sorting into COPII-coated transport vesicles. Mol. Biol. Cell 2003, 14, 3055–3063. [Google Scholar] [CrossRef]
- Kaiser, C. Thinking about p24 proteins and how transport vesicles select their cargo. Proc. Natl. Acad. Sci. USA 2000, 97, 3783–3785. [Google Scholar] [CrossRef] [PubMed]
- Thor, F.; Gautschi, M.; Geiger, R.; Helenius, A. Bulk flow revisited: Transport of a soluble protein in the secretory pathway. Traffic 2009, 10, 1819–1830. [Google Scholar] [CrossRef] [PubMed]
- Fossati, M.; Colombo, S.F.; Borgese, N. A positive signal prevents secretory membrane cargo from recycling between the Golgi and the ER. EMBO J. 2014, 33, 2080–2097. [Google Scholar] [CrossRef] [PubMed]








| Strain | Genotype | Reference/Source |
|---|---|---|
| BY4742 | MATα his3 leu2 lys2 ura3 | Euroscarf |
| Y15936 | MATα erv29Δ::KanMx his3 leu2 lys2 ura3 | Euroscarf |
| Y14567 | MATα emp24Δ::KanMx his3 leu2 lys2 ura3 | Euroscarf |
| Y14421 | MATα erv14Δ::KanMx his3 leu2 lys2 ura3 | Euroscarf |
| Y16420 | MATα erv26Δ::KanMx his3 leu2 lys2 ura3 | Euroscarf |
| MMY679 | MATa emp24Δ::KanMx erv26Δ::KanMx his3 leu2 lys2 ura3 | This study |
| MMY680 | MATα emp24Δ::KanMx erv29Δ::KanMx his3 leu2 lys2 ura3 | This study |
| MMY1009 | MATα emp24Δ::hph erv14Δ::KanMx ade2 his3 leu2 lys2 trp1 ura3 | This study |
| MMY1271 | MATα ERV14-mCi::HIS5Sp sec16-2 ura3 leu2 his4 lys2 trp1 | This study |
| MMY1464 | MATα erv14Δ::KanMx ret1-1 his4 leu2 ura3 | This study |
| MMY1673 | MATα CPY-GFP::HISMx6 his3 leu2 lys2 ura3 | This study |
| MMY1675 | MATα emp24Δ::KanMx CPY-GFP::HISMx6 his3 leu2 lys2 met15 ura3 | This study |
| MMY1676 | MATα erv29Δ::KanMx CPY-GFP::HISMx6 his3 leu2 lys2 met15 ura3 | This study |
| MMY1679 | MATα emp24Δ::KanMx erv29Δ::KanMx CPY-GFP::HISMx6 his3 leu2 lys2 ura3 | This study |
| RH3042 | MATa ret1-1 his4 leu2 trp1 ura3 | H. Riezman |
| RH7016 | MATα ERV14-mCi::HIS5Sp his4 leu2 trp1 ura3 | H. Riezman |
| VGY448 | MATa EMP24-TAP::HIS3 his3 leu2 met15 ura3 | V. Goder |
| Plasmid | Description | Reference/Source |
|---|---|---|
| pJML01 | ori, CEN, ERV29-3xHA, LEU2 | C. Barlowe |
| pRH3083 | ori, CEN, CWP2-Venus, URA3 | H. Riezman |
| pRS416 | ori, CEN, GAS1-GFP, URA3 | L. Popolo |
| p3079 | ori, CEN, MID2-Venus, LEU2 | H. Riezman |
| pRS316 | ori, CEN, GNT1-GFP, URA3 | K. Kurokawa |
| p3055 | ori, CEN, GAP1-ub-GFP, URA3 | H. Riezman |
| pDN390 | ori, CEN, HAC1i, LEU2 | A. Spang |
© 2020 by the authors. Licensee MDPI, Basel, Switzerland. This article is an open access article distributed under the terms and conditions of the Creative Commons Attribution (CC BY) license (http://creativecommons.org/licenses/by/4.0/).
Share and Cite
Lopez, S.; Perez-Linero, A.M.; Manzano-Lopez, J.; Sabido-Bozo, S.; Cortes-Gomez, A.; Rodriguez-Gallardo, S.; Aguilera-Romero, A.; Goder, V.; Muñiz, M. Dual Independent Roles of the p24 Complex in Selectivity of Secretory Cargo Export from the Endoplasmic Reticulum. Cells 2020, 9, 1295. https://doi.org/10.3390/cells9051295
Lopez S, Perez-Linero AM, Manzano-Lopez J, Sabido-Bozo S, Cortes-Gomez A, Rodriguez-Gallardo S, Aguilera-Romero A, Goder V, Muñiz M. Dual Independent Roles of the p24 Complex in Selectivity of Secretory Cargo Export from the Endoplasmic Reticulum. Cells. 2020; 9(5):1295. https://doi.org/10.3390/cells9051295
Chicago/Turabian StyleLopez, Sergio, Ana Maria Perez-Linero, Javier Manzano-Lopez, Susana Sabido-Bozo, Alejandro Cortes-Gomez, Sofia Rodriguez-Gallardo, Auxiliadora Aguilera-Romero, Veit Goder, and Manuel Muñiz. 2020. "Dual Independent Roles of the p24 Complex in Selectivity of Secretory Cargo Export from the Endoplasmic Reticulum" Cells 9, no. 5: 1295. https://doi.org/10.3390/cells9051295
APA StyleLopez, S., Perez-Linero, A. M., Manzano-Lopez, J., Sabido-Bozo, S., Cortes-Gomez, A., Rodriguez-Gallardo, S., Aguilera-Romero, A., Goder, V., & Muñiz, M. (2020). Dual Independent Roles of the p24 Complex in Selectivity of Secretory Cargo Export from the Endoplasmic Reticulum. Cells, 9(5), 1295. https://doi.org/10.3390/cells9051295

